CÁNCER DE MAMA CISNEROS GARCÍA KARINA BETSABÉ DURAND BORJAS MIGUEL AUGUSTO GUERRA VÁZQUEZ ROSA OLIVIA  MALDONADO REYES FRANCISCO JAVIER
CONTENIDO Anatomía y fisiología de la glándula mamaria Lesiones premalignas Historia natural del cáncer de mama Epidemiología Síndromes relacionados con cáncer de mama Factores de riesgo Estadificación Anatomía Patológica
OBJETIVOS Comprender la anatomía y fisiología de la glándula mamaria Conocer la epidemiología y los factores de riesgo Aprender la patogenia del cáncer de mama, así como su estadificación
PRINCIPAL OBJETIVO
ANATOMÍA
GLÁNDULA MAMARIA Situadas en la cara anterior y superior del tórax Se extienden de la 3ra – 7ma costilla Formas variables, según el estado fisiológico Cubierta por piel fina y móvil
Puede observarse: Polimastia – mama supernumeraria Politelia – pezón supernumerario trastorno hereditario 1%
Forma y tamaño Se ubica dentro de la aponeurosis superficial de la pared torácica anterior Rodeada por tejido conectivo subcutáneo  extendiendose en forma de tabiques
Glándula en la Madurez Tiene una configuración cónica y saliente Variación en el tamaño (cualquier edad) Fuera del periodo de lactancia pesa  150 – 225 g Lactancia peso mayor de 500 g
Mujer nulípara Configuración hemisferica típica con un aplanamiento por encima del pezón
Mujer multípara Más grande y más péndula Debido a la estimulación hormonal asociada con el embarazo y la lactancia
La mitad superior de la mama y en particular el  cuadrante superoexterno , contiene más tejido glandular que el resto de la glándula
Hombre Glándula rudimentaria Pequeño disco de tejido glandular Pezón y aréola igual al de la mujer Puede ser asiento de procesos patológicos, inflamatorios o tumorales
Aréola Zona circular de 15 – 25 mm diámetro Coloración:  * rosada – mujer joven * marrón - embarazada
Aréola Tubérculos de Morgagni – 15 a 20 Presencia de glándulas sebáceas voluminosas, que se hipertrofian en el embarazo Tubérculos de Montgomery
Papila mamaria Se encuentra en el centro de la aréola Cílindrica o cónica y saliente 10 – 12 mm
Papila umbilicada NORMAL  PLANO  INVERTIDO
Histología de la aréola Tapizada por una capa de fibras musculares lisas Fibras circulares  Fibras radiadas Telotismo
Histología de la aréola Fibras musculares lisas Glándulas sudoríparas Glándulas sebáceas
Histología de la aréola Las fibras musculares de la papila son atravesadas por los conductos lactíferos  Se abren en su ápex Número de 15 a 20
Arterias Proceden de: 1 - arteria axilar y sus  ramas 2 - arteria mamaria  interna  3 - arterias intercostales 2 3
Arterias Ramas de la arteria axilar Rama torácica de la toracoacromial Arteria torácica superior Arteria subescapular Arteria mamaria externa
Arterias Arteria mamaria interna envía varias ramas a la glándula Se originan en el 2°, 3° Y 4° espacio intercondral Arteria principal medial es la más desarrollada
Arterias Recibe ramas de las arterias intercostales por medio de sus ramas perforantes Ramos mamarios mediales
Venas Vénulas originadas de esta red capilar   Llegan a la superficie de la glándula y forman una red subcutánea Siguen en la glándula un trayecto similar al de las arterias
Venas De esta red emergen venas que se dirigen: - Vena axilar - Vena mamaria interna - Vena yugular externa - Vena cefálica - Venas superficiales del abdomen
Venas Venas profundas de la mama emergen por la cara posterior, Atraviesan los planos musculares de los pectorales Y llegan a las venas intercostales y al sistema ácigos
Linfáticos Vasos linfáticos Origen: cutáneo y glandular Conductos que drenan la linfa de la piel convergen hacia la cara profunda de la piel de la aréola y forman el plexo subareolar
Linfáticos Vasos eferentes Vía principal - Formada: 2 - 4 troncos superficiales 1 tronco profundo - Llegan a un grupo de linfonodos situados contra la arteria mamaria externa
Linfáticos Vías accesorias - Fosa axilar los troncos colectores están ampliamente anastomosados con los linfáticos axilares
Ganglios linfáticos de la axila Grupo de la vena axilar Grupo mamario externo Grupo escapular Grupo central Grupo subclavicular Grupo interpectoral o de Rotter
Grupos de linfonodos de la axila
 
 
Linfáticos de la mama y tributarios axilares Arteria axilar Nervio mediano Vena axilar Ganglios torácicos laterales Ganglios infraclaviculares
Ganglios linfáticos de la pared torácica Paraesternales o torácicos Intercostales Diafragmáticos
Ganglios linfáticos de la cavidad torácica Mediastínico anterior Mediastínico posterior Traqueobronquial
Nervios Plexo cervical superficial Ramos perforantes de 2° al 6° nervios intercostales Aportan a la glándula filetes sensitivos, vasomotores y secretorios
FISIOLOGÍA
GLÁNDULA MAMARIA EN LA MUJER Desarrollo - pubertad Regulado por hormonas 20 años – desarrollo máximo 40 años – cambios atróficos
Ciclo menstrual – cambios estructurales Bajo influencia de las variaciones de los niveles de hormonas ováricas
Glándula mamaria tiene tres componenetes : Lactogénesis:   producción de leche en los acinos o alveolos glandulares Lactopoyesis:   capacidad de mantener la producción de leche durante la lactancia Expulsión láctea:   capacidad de succión del bebe, produce contracción de las células mioepiteliales que rodean al acino, lo que cual depende de la oxitocina
 
Amamantar Contribuye a la involución uterina posparto Transferencia de inmunidad pasiva
Cambios hormonales  que se producen en la  menopausia  se asocian con la  regresión o involución del componente glandular de   la mama , que es reemplazado por tejido adiposo y conectivo
LESIONES PREMALIGNAS
SIN AUMENTO DE RIESGO “ Igual riesgo que las mujeres que no han tenido una biopsia de mama” ADENOSIS ECTASIA DUCTAL FIBROADENOMA FIBROSIS MASTITIS  HIPERPLASIA LIGERA SIN ATIPIA QUISTES METAPLASIA APOCRINA SIMPLE
ADENOSIS ESCLEROSANTE Existe fibrosis intralobulillar notable y proliferación de conductillos pequeños y acinos. Se caracteriza por: Proliferación de las células de revestimiento epitelial y mioepitelial, glándulas agregadas Crecimiento excesivo de tejido fibroso, pudiendo comprimir completamente la luz de los acinos y conductos
ADENOSIS ESCLEROSANTE Existe fibrosis intralobulillar notable y proliferación de conductillos pequeños y acinos, pero sin atipia de éstos Se caracteriza por: Proliferación de las células de revestimiento epitelial y mioepitelial, glándulas agregadas. Crecimiento excesivo de tejido fibroso, pudiendo comprimir completamente la luz de los acinos y conductos
RIESGO LIGERAMENTE AUMENTADO “ Para carcinoma infiltrante comparado con el de mujeres que no han tenido una biopsia de mama” FIBROADENOMA CON HECHOS COMPLEJOS HIPERPLASIA MODERADA O INTENSIA SIN ATIPIA ADENOSIS ESCLEROSANTE PAPILOMA SOLITARIO SIN HIPERPLASIA ATIPICA ASOCIADA
FIBROADENOMAS Los  fibroadenomas  son los más frecuentes en <30 años de edad. Se manifiestan: Lesiones redondas, ovaladas o segmentadas con bordes bien delimitados. Pueden ser: solitarios o múltiples. En mujer mayor de edad se asocia con calcificaciones
FIBROADENOMAS Los  fibroadenomas  son los más frecuentes en <30 años de edad. Se manifiestan: Lesiones redondas, ovaladas o segmentadas con bordes bien delimitados. Pueden ser: solitarios o múltiples. En mujer mayor de edad se asocia con calcificaciones Afecta a mujeres con un aumento estrogénico Características: De 1 a 10 cm. de diámetro Nódulo movible. Encapsulado
Riesgo Medianamente Aumentado “ Para carcinoma infiltrante comparado con el de  las mujeres que no han tenido una biopsia de mama” HIPERPLASIA DUCTAL ATIPICA HIPERPLASIA LOBULILLAR ATIPICA
HIPERPLASIA EPITELIAL Lesión proliferante en conductos, conductos terminales y lobulillos Es proporcional al número de cambios celulares y a la gravedad de la atipia Por lo general dan cambios discretos, indetectables por medios clínicos
 
Marcado Aumento de Riesgo “ Para carcinoma infiltrante comparado con  las mujeres que no han tenido una biopsia de mama” CARCINOMA DUCTAL IN SITU CARCINOMA LOBULILLAR IN SITU
HISTORIA  NATURAL  DEL CA DE MAMA
Oncogenes Se han encontrado en muchos tumores de mama expresión de diversos oncogenes: C-erb-B2, neu ó Her2   -  16%, peor pronóstico  C-myc   -  4%
Patogenia del cáncer de mama Célula mamaria normal Carcinoma mamario Proliferación tumoral Diseminación metastásica Inactivación de genes supresores Activación de oncogenes Factor de crecimiento y hormonas Inactivación Nm23
Genes supresores La proliferación celular normal Acción estimulante del crecimiento; oncogenes Equilibrio Acción inhibidora de los genes supresores de tumores Proliferación celular incontrolada Inactivacaión Permite a la célula adquirir un fenotipo neoplásico
El gen p53 (localizado en el Cromosoma 17p) es el más frecuentemente mutado en las neoplasias humanas y se encuentra inactivado en un número variable de casos de cáncer de mama.
Factores de crecimiento y hormonas Factores de crecimiento  + Hormonas sexuales Factores promotores del cáncer de mama Estimulan la proliferación de la célula mamaria  alterada
Factores de crecimiento y hormonas La proliferación del epitelio mamario esta influenciada por el control de las hormonas sexuales a través de receptores proteicos específicos
Las células  del carcinoma de mama proliferan mucho más que las células mamarias normales debido a una mayor concentración de estos receptores La  célula mamaria tumoral  se comporta clínicamente como  hormonodependiente  y se utilice como estrategia terapéutica eficaz
Evolución morfológica Hiperplasia epitelial sin atipia Hiperplasia atípica Displasia Cáncer in situ Cáncer invasor
EPIDEMIOLOGÍA
Definición: Es el estudio de los patrones de una enfermedad en las poblaciones.
1992 La cardiopatía era la principal causa de muerte en Estados Unidos (EU). La 2da.  Causa de muerte era cáncer. 1996 La incidencia de Ca de mama en EU fue de 185.700: Hombres: 1.400 casos. Mujeres: 184.300 casos.
1996 La mortalidad estimada por Ca  de mama en EU fue de 44.560 muertes: Hombres: 260 mujeres: 44.300
Actualmente: 1 de cada 8 mujeres de EU  Ca. de mama Antes de los 85 años de edad 50% >  65 años 6.5% Antes de los 40 años
1997 En  México  se notificó: 87 547  neoplasias malignas 65% femenino 10.3% Ca de mama Fue el más frecuente en mujeres de: 45 a 49 años. >De 65 años. D.F Jalisco Nuevo León
 
Términos utilizados: Es la cantidad de casos que existen en una población en un momento dado. Prevalencia : Incidencia Es la cantidad de casos nuevos en una población que aparecen en un periodo específico de tiempo.
INCIDENCIA Existe un aumento constante en la incidencia de Ca. de mama a medida que la mujer envejece.
<20  1 en 76 000 1 en 2 000 40  1 en 229 50  1 en 53 60  1 en 28 70  1 en 13 80  1 en 9 90  1 en 7 Frecuencia del Ca de mama por década de vida según la ACS:
RIESGO DURANTE EL TRANSCURSO DE LA VIDA Feuer y col . Publicaron una metodología para calcular estimaciones de riesgo de desarrollar Ca. de mama en la población general.
Mujer-hombre:  100/1 Green Lee EUA, 2000 1500 casos de Ca de mama en hombres. 400 defunciones. Pero en una serie particular: 9 casos  de 2000 hombres examinados Ósea 1 de cada 220 mujeres.
PATRONES GEOGRÁFICOS La mortalidad por Ca. de mama ha sido Mayor el Noreste que el sur. EU Tasas de Mortalidad (TM) Por edad (1983-1987) Inglaterra y Gales : 29%  Estados Unidos:  23% España:  15% Japón:  6%
Actualmente el INS de los EUA la frecuencia en diferentes países: 1.- Inglaterra. 2.- Dinamarca. 3.- Suecia. 4.- Irlanda. 5.- Luxemburgo. 6.- Israel. 7.- EUA. 8.- México. Incidencia de Ca de mama.
La incidencia global de todos los casos de cáncer es: EUA México 30% 16%
En Latinoamérica Ca de mama 2° lugar. Excepto: Argentina. Uruguay.
Mortalidad de Ca de mama 2002 Se esperaba 340 000 muertes en todo el mundo. Con 42 000 en EUA. 15% de todos los cánceres. 2° lugar después del Ca de pulmón 1999 En México se reportaron: 3 425 muertes 6.3% de todas las muertes por cáncer. TM de 10.3 x 100 000
2002 La cifra esperada de mortalidad para México era de  5 000. Edad reproductiva, la mortalidad fue: 2 439 casos, 10.2%, TM 4.04 x 100 000
Actualmente las TM recientes parecen haberse nivelado o comenzado a declinar en muchos de ellos. Según  Hermon y Beral: En países Tasas altas Tasa bajas aumentado Descendido
*excepto Argentina y Uruguay Europa occidental, EUA  1 de cada 6 a 8 Australia y Nueva Zelanda. Israel  1 de cada 9. Europa Occidental  1 de cada 15. México y Latinoamérica  1 de cada 20. Asiáticos  1 de cada 30. Frecuencia de cáncer en diferentes países
En EUA  sobre todo en menores de 40 años se encontró una diferencia de frecuencia entre razas de mujeres: 11% en negras. 5% blancas La ACS reconoce la frecuencia de Ca de mama : posmenopáusicas blancas jóvenes Negras. ETNICIDAD
Los diagnósticos de carcinoma  in situ : Tempranos Diferenciados Rc hormonales + Mujeres blancas Avanzados. Indiferenciados. Mujeres negras La sobrevida global a 5 años: 85% en blancas. 65% en las negras
Panorama Nacional En la República Mexicana las causas de mortalidad son: 1°  enf. Cardiovasculares. 2° Neoplasias. 3° Accidentes.  Y de las neoplasias: 1° Ca cervicouterino. 2° Ca de mama. Clase media, medio alta y alta. Clase medio baja y baja
El registro Nacional de tumores en México: 9 885 nuevos casos de Ca de mama. 2 439 defunciones. # tasa de 16.1 y 7.9 x 1000,  respectivamente. 1999 Sociedad Mexicana de Estudios Oncológicos revelan que el promedio de edad para Ca de mama es de 48.7 años.
En conclusión acerca de epidemiología: El Ca de mama es una neoplasia en mujeres de elevado nivel socioeconómico, paralelamente a lo que sucede en países con más alto nivel de desarrollo; al igual que se encuentra con más frecuencias en medios urbanos que en espacios rurales. Los cuales van a estar influenciados por los diferentes factores de Riesgo: Factores Hormonales………………………………. Historia Familiar. Enfermedades mamaria benignas previas. Estilo de vida. Medio ambiente. Misceláneas. Menarca temprana. Menopausia tardía. Menstruaciones. Historia reproductiva. Edad al primer embarazo a termino. Lactación.  Anticonceptivos orales. Abortos.  Terapia Hormonal de reemplazo. Senectud
SINDROMES RELACIONADOS CON CA DE MAMA
a- Síndrome de Li-Fraumeni Se hereda de forma autosómica dominante con alta penetrancia. La alteación genética por mutación en el gen p53, localizado en el cromosoma 17p13.1 Incluye la asociación de: tumores de mama, sarcomas de partes blandas,  tumores cerebrales,  leucemia y carcinomas suprarrenales.  El 77% de los casos se diagnostican entre los 22 y 45 años y el 25% tienen tumores bilaterales.
b- Enfermedad de Cowden   Llamado síndrome de múltiples hamartomas. Incluye: lesiones mucocutáneas, tumores benignos de tiroides, pólipos de cólon,  leiomiomas uterinos y cáncer de mama.
b- Enfermedad de Cowden El cáncer de mama afecta al 90% de las mujeres con una edad media al diagnóstico de 40 años.  Con frecuencia es de presentación bilateral.  Tiene herencia autosómica dominante con baja expresión Hasta el momento no se ha hallado el gen responsable de este síndrome hereditario.
c- Síndrome mama-ovario o síndrome de Lynch La asociación entre el cáncer de mama y ovario fue descrita por Lynch. El riesgo acumulado de cáncer de mama o de ovario en hijas de madres afectas con este síndrome es del  46%,  con una herencia autosómica dominante de alta penetrancia. En estas familias suele coexistir la asociación de cáncer de ovario con cáncer de mama de diagnóstico a una edad joven.
d- Cáncer de mama hereditario sin asociación a otras neoplasias Existen algunas familias con  patrón hereditario  para el cáncer de mama de  inicio tardío , en postmenopaúsicas.  Se trata de familias en las que la media se encuentra por debajo de los 45 años (heterogeneidad en la distribución por edades).
e- Cáncer de mama y asociación a otras neoplasias con agregación familiar Las  neoplasias del tracto gastrointestinal son los tumores que con más frecuencia se presentan  entre las familias con cáncer de mama. No se ha confirmado un patrón hereditario claro, pudiendo deberse la asociación a la alta incidencia de estos tumores entre la población general.
Síndrome de Muir H.A.D. Se caracteriza por la presencia de: pólipos y adenocarcinomas gastrointestinales,  la frecuente asociación a tumores cutáneos y  el incremento del riesgo de cáncer de mama en postmenopáusicas.
FACTORES  DE  RIESGO
Pueden agruparse: Genéticos y familiares. Hormonales. Dietéticas. Enf. Benigna de la mama. Ambientales Factores de riesgo
Historia familiar* IMPORTANTE: Familiar de 1er. Grado: Estado menstrual (premenopáusica). CA. Mama (bilateral). Otros CA (ovario). * Mas de tres es sospechoso. Factores de riesgo
Mutación*: BRCA-1 BRCA-2  Riesgo elevadísimo. P-53 * autosómica dominante Factores de riesgo Geneticos y familiares:
BRCA-1 50% (45 años) 85% (toda la vida) 65% (2º ca mama primario – 70 años). Varones CA. Próstata. Judíos Ashkenazi (185delAG). Geneticos y familiares: Factores de riesgo
BRCA-2 CA mama precoz. NO ovario (relación) CA mama masculino mayor riesgo. Geneticos y familiares: Factores de riesgo
Menarquia. Paridad. Aborto. Menopausia. Hormonas Exógenos. Factores de riesgo
Menarquia. Temprana. < 12 años Aumenta 1.5 veces *  Tardia efecto protector (20% por c/año). Factores de riesgo Hormonales
Paridad Primiparas  > 30 años* (2). Primipara > 35 años (3). Factores de riesgo Hormonales *2-5 veces vs 18-19 años
Aborto. Factores de riesgo Hormonales Embarazo incompleto. Mama Niveles elevados de estrogenos. Mayor ries g o.
Menopausia.  Tardía (+54 vs 45* años ) duplica. * Menor rie s go (natural o no) Factores de riesgo Hormonales ¿ PROFILAXIS OVARIECTOMIA?
Exogenas. No pruebas convincentes (anticonceptivos). Estrógenos posmenopáusicos (10-20 años admón..) Exposición intrauterina ( > riesgo) Factores de riesgo Hormonales
Obesidad (2-3) Consumo de grasas *. Consumo de alcohol (24gr -1.4-). * Mujeres japonesas que emigran a EAU. Factores de riesgo
Factores de riesgo
Radiación ionizante*: Aumento mínimo después 40 años. Mayor riesgo edad temprana. * Latencia de 10 a 15 años  Factores de riesgo Ambientales.
Exposición a campos electromagnéticos. Exposición a pesticidas organoclorados Factores de riesgo Ambientales
 
“ Alrededor del  50%  de las mujeres que desarrollan Ca de mama no tienen factores de riesgo identificables, aparte del hecho de  SER MUJER  y de  ENVEJECER *” * Vicent T. De Vita, Jr. Samuel H., A. Rosemberg “Cáncer principios y practica de la oncológica” Vol.  2 , 5ta Edición, ED. Panamericana, 2000, Capitulo  36 , Pág.  1557   Factores de riesgo
ANATOMÍA PATOLÓGICA
Tipos histológicos de cáncer de mama Ductales - Intraductal  - Medular  5-7% - Papilar  1%  - Tubular  1% - Infiltrante  70-80%  -  Mucinoso  3% Lobulillares  5-10% Especiales - Enfermedad de Paget  1-4% - Carcinoma inflamatorio  1% Mixtos
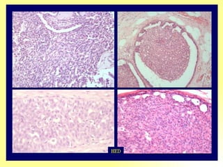
DUCTAL INFILTRANTE
CARCINOMA MAMARIO INFILTRANTE CON CÉLULAS GIGANTES OSTEOCLÁSTICAS.
MEDULAR
LOBULILLAR
LOBULILLAR INFILTRANTE
ESTADIFICACIÒN
Objetivo Determinar: Extensión anatómica de la enf*. Su tendencia a la progresión*. * Instituir terapia adecuada. ESTADIFICACIÒN
Evolución: Steinthal. Lee. Stubendoart. Manchester. Portmann. Haagensen. Stout. Denoix. ESTADIFICACIÒN
ESTADIFICACIÒN
ESTADIFICACIÒN
ESTADIFICACIÒN
ESTADIFICACIÒN
ESTADIFICACIÒN
 
ESTADIFICACIÒN
GRACIAS

Cancer de Mama 4

  • 1.
    CÁNCER DE MAMACISNEROS GARCÍA KARINA BETSABÉ DURAND BORJAS MIGUEL AUGUSTO GUERRA VÁZQUEZ ROSA OLIVIA MALDONADO REYES FRANCISCO JAVIER
  • 2.
    CONTENIDO Anatomía yfisiología de la glándula mamaria Lesiones premalignas Historia natural del cáncer de mama Epidemiología Síndromes relacionados con cáncer de mama Factores de riesgo Estadificación Anatomía Patológica
  • 3.
    OBJETIVOS Comprender laanatomía y fisiología de la glándula mamaria Conocer la epidemiología y los factores de riesgo Aprender la patogenia del cáncer de mama, así como su estadificación
  • 4.
  • 5.
  • 6.
    GLÁNDULA MAMARIA Situadasen la cara anterior y superior del tórax Se extienden de la 3ra – 7ma costilla Formas variables, según el estado fisiológico Cubierta por piel fina y móvil
  • 7.
    Puede observarse: Polimastia– mama supernumeraria Politelia – pezón supernumerario trastorno hereditario 1%
  • 8.
    Forma y tamañoSe ubica dentro de la aponeurosis superficial de la pared torácica anterior Rodeada por tejido conectivo subcutáneo extendiendose en forma de tabiques
  • 9.
    Glándula en laMadurez Tiene una configuración cónica y saliente Variación en el tamaño (cualquier edad) Fuera del periodo de lactancia pesa 150 – 225 g Lactancia peso mayor de 500 g
  • 10.
    Mujer nulípara Configuraciónhemisferica típica con un aplanamiento por encima del pezón
  • 11.
    Mujer multípara Másgrande y más péndula Debido a la estimulación hormonal asociada con el embarazo y la lactancia
  • 12.
    La mitad superiorde la mama y en particular el cuadrante superoexterno , contiene más tejido glandular que el resto de la glándula
  • 13.
    Hombre Glándula rudimentariaPequeño disco de tejido glandular Pezón y aréola igual al de la mujer Puede ser asiento de procesos patológicos, inflamatorios o tumorales
  • 14.
    Aréola Zona circularde 15 – 25 mm diámetro Coloración: * rosada – mujer joven * marrón - embarazada
  • 15.
    Aréola Tubérculos deMorgagni – 15 a 20 Presencia de glándulas sebáceas voluminosas, que se hipertrofian en el embarazo Tubérculos de Montgomery
  • 16.
    Papila mamaria Seencuentra en el centro de la aréola Cílindrica o cónica y saliente 10 – 12 mm
  • 17.
    Papila umbilicada NORMAL PLANO INVERTIDO
  • 18.
    Histología de laaréola Tapizada por una capa de fibras musculares lisas Fibras circulares Fibras radiadas Telotismo
  • 19.
    Histología de laaréola Fibras musculares lisas Glándulas sudoríparas Glándulas sebáceas
  • 20.
    Histología de laaréola Las fibras musculares de la papila son atravesadas por los conductos lactíferos Se abren en su ápex Número de 15 a 20
  • 21.
    Arterias Proceden de:1 - arteria axilar y sus ramas 2 - arteria mamaria interna 3 - arterias intercostales 2 3
  • 22.
    Arterias Ramas dela arteria axilar Rama torácica de la toracoacromial Arteria torácica superior Arteria subescapular Arteria mamaria externa
  • 23.
    Arterias Arteria mamariainterna envía varias ramas a la glándula Se originan en el 2°, 3° Y 4° espacio intercondral Arteria principal medial es la más desarrollada
  • 24.
    Arterias Recibe ramasde las arterias intercostales por medio de sus ramas perforantes Ramos mamarios mediales
  • 25.
    Venas Vénulas originadasde esta red capilar Llegan a la superficie de la glándula y forman una red subcutánea Siguen en la glándula un trayecto similar al de las arterias
  • 26.
    Venas De estared emergen venas que se dirigen: - Vena axilar - Vena mamaria interna - Vena yugular externa - Vena cefálica - Venas superficiales del abdomen
  • 27.
    Venas Venas profundasde la mama emergen por la cara posterior, Atraviesan los planos musculares de los pectorales Y llegan a las venas intercostales y al sistema ácigos
  • 28.
    Linfáticos Vasos linfáticosOrigen: cutáneo y glandular Conductos que drenan la linfa de la piel convergen hacia la cara profunda de la piel de la aréola y forman el plexo subareolar
  • 29.
    Linfáticos Vasos eferentesVía principal - Formada: 2 - 4 troncos superficiales 1 tronco profundo - Llegan a un grupo de linfonodos situados contra la arteria mamaria externa
  • 30.
    Linfáticos Vías accesorias- Fosa axilar los troncos colectores están ampliamente anastomosados con los linfáticos axilares
  • 31.
    Ganglios linfáticos dela axila Grupo de la vena axilar Grupo mamario externo Grupo escapular Grupo central Grupo subclavicular Grupo interpectoral o de Rotter
  • 32.
  • 33.
  • 34.
  • 35.
    Linfáticos de lamama y tributarios axilares Arteria axilar Nervio mediano Vena axilar Ganglios torácicos laterales Ganglios infraclaviculares
  • 36.
    Ganglios linfáticos dela pared torácica Paraesternales o torácicos Intercostales Diafragmáticos
  • 37.
    Ganglios linfáticos dela cavidad torácica Mediastínico anterior Mediastínico posterior Traqueobronquial
  • 38.
    Nervios Plexo cervicalsuperficial Ramos perforantes de 2° al 6° nervios intercostales Aportan a la glándula filetes sensitivos, vasomotores y secretorios
  • 39.
  • 40.
    GLÁNDULA MAMARIA ENLA MUJER Desarrollo - pubertad Regulado por hormonas 20 años – desarrollo máximo 40 años – cambios atróficos
  • 41.
    Ciclo menstrual –cambios estructurales Bajo influencia de las variaciones de los niveles de hormonas ováricas
  • 42.
    Glándula mamaria tienetres componenetes : Lactogénesis: producción de leche en los acinos o alveolos glandulares Lactopoyesis: capacidad de mantener la producción de leche durante la lactancia Expulsión láctea: capacidad de succión del bebe, produce contracción de las células mioepiteliales que rodean al acino, lo que cual depende de la oxitocina
  • 43.
  • 44.
    Amamantar Contribuye ala involución uterina posparto Transferencia de inmunidad pasiva
  • 45.
    Cambios hormonales que se producen en la menopausia se asocian con la regresión o involución del componente glandular de la mama , que es reemplazado por tejido adiposo y conectivo
  • 46.
  • 47.
    SIN AUMENTO DERIESGO “ Igual riesgo que las mujeres que no han tenido una biopsia de mama” ADENOSIS ECTASIA DUCTAL FIBROADENOMA FIBROSIS MASTITIS HIPERPLASIA LIGERA SIN ATIPIA QUISTES METAPLASIA APOCRINA SIMPLE
  • 48.
    ADENOSIS ESCLEROSANTE Existefibrosis intralobulillar notable y proliferación de conductillos pequeños y acinos. Se caracteriza por: Proliferación de las células de revestimiento epitelial y mioepitelial, glándulas agregadas Crecimiento excesivo de tejido fibroso, pudiendo comprimir completamente la luz de los acinos y conductos
  • 49.
    ADENOSIS ESCLEROSANTE Existefibrosis intralobulillar notable y proliferación de conductillos pequeños y acinos, pero sin atipia de éstos Se caracteriza por: Proliferación de las células de revestimiento epitelial y mioepitelial, glándulas agregadas. Crecimiento excesivo de tejido fibroso, pudiendo comprimir completamente la luz de los acinos y conductos
  • 50.
    RIESGO LIGERAMENTE AUMENTADO“ Para carcinoma infiltrante comparado con el de mujeres que no han tenido una biopsia de mama” FIBROADENOMA CON HECHOS COMPLEJOS HIPERPLASIA MODERADA O INTENSIA SIN ATIPIA ADENOSIS ESCLEROSANTE PAPILOMA SOLITARIO SIN HIPERPLASIA ATIPICA ASOCIADA
  • 51.
    FIBROADENOMAS Los fibroadenomas son los más frecuentes en <30 años de edad. Se manifiestan: Lesiones redondas, ovaladas o segmentadas con bordes bien delimitados. Pueden ser: solitarios o múltiples. En mujer mayor de edad se asocia con calcificaciones
  • 52.
    FIBROADENOMAS Los fibroadenomas son los más frecuentes en <30 años de edad. Se manifiestan: Lesiones redondas, ovaladas o segmentadas con bordes bien delimitados. Pueden ser: solitarios o múltiples. En mujer mayor de edad se asocia con calcificaciones Afecta a mujeres con un aumento estrogénico Características: De 1 a 10 cm. de diámetro Nódulo movible. Encapsulado
  • 53.
    Riesgo Medianamente Aumentado“ Para carcinoma infiltrante comparado con el de las mujeres que no han tenido una biopsia de mama” HIPERPLASIA DUCTAL ATIPICA HIPERPLASIA LOBULILLAR ATIPICA
  • 54.
    HIPERPLASIA EPITELIAL Lesiónproliferante en conductos, conductos terminales y lobulillos Es proporcional al número de cambios celulares y a la gravedad de la atipia Por lo general dan cambios discretos, indetectables por medios clínicos
  • 55.
  • 56.
    Marcado Aumento deRiesgo “ Para carcinoma infiltrante comparado con las mujeres que no han tenido una biopsia de mama” CARCINOMA DUCTAL IN SITU CARCINOMA LOBULILLAR IN SITU
  • 57.
    HISTORIA NATURAL DEL CA DE MAMA
  • 58.
    Oncogenes Se hanencontrado en muchos tumores de mama expresión de diversos oncogenes: C-erb-B2, neu ó Her2 - 16%, peor pronóstico C-myc - 4%
  • 59.
    Patogenia del cáncerde mama Célula mamaria normal Carcinoma mamario Proliferación tumoral Diseminación metastásica Inactivación de genes supresores Activación de oncogenes Factor de crecimiento y hormonas Inactivación Nm23
  • 60.
    Genes supresores Laproliferación celular normal Acción estimulante del crecimiento; oncogenes Equilibrio Acción inhibidora de los genes supresores de tumores Proliferación celular incontrolada Inactivacaión Permite a la célula adquirir un fenotipo neoplásico
  • 61.
    El gen p53(localizado en el Cromosoma 17p) es el más frecuentemente mutado en las neoplasias humanas y se encuentra inactivado en un número variable de casos de cáncer de mama.
  • 62.
    Factores de crecimientoy hormonas Factores de crecimiento + Hormonas sexuales Factores promotores del cáncer de mama Estimulan la proliferación de la célula mamaria alterada
  • 63.
    Factores de crecimientoy hormonas La proliferación del epitelio mamario esta influenciada por el control de las hormonas sexuales a través de receptores proteicos específicos
  • 64.
    Las células del carcinoma de mama proliferan mucho más que las células mamarias normales debido a una mayor concentración de estos receptores La célula mamaria tumoral se comporta clínicamente como hormonodependiente y se utilice como estrategia terapéutica eficaz
  • 65.
    Evolución morfológica Hiperplasiaepitelial sin atipia Hiperplasia atípica Displasia Cáncer in situ Cáncer invasor
  • 66.
  • 67.
    Definición: Es elestudio de los patrones de una enfermedad en las poblaciones.
  • 68.
    1992 La cardiopatíaera la principal causa de muerte en Estados Unidos (EU). La 2da. Causa de muerte era cáncer. 1996 La incidencia de Ca de mama en EU fue de 185.700: Hombres: 1.400 casos. Mujeres: 184.300 casos.
  • 69.
    1996 La mortalidadestimada por Ca de mama en EU fue de 44.560 muertes: Hombres: 260 mujeres: 44.300
  • 70.
    Actualmente: 1 decada 8 mujeres de EU Ca. de mama Antes de los 85 años de edad 50% > 65 años 6.5% Antes de los 40 años
  • 71.
    1997 En México se notificó: 87 547 neoplasias malignas 65% femenino 10.3% Ca de mama Fue el más frecuente en mujeres de: 45 a 49 años. >De 65 años. D.F Jalisco Nuevo León
  • 72.
  • 73.
    Términos utilizados: Esla cantidad de casos que existen en una población en un momento dado. Prevalencia : Incidencia Es la cantidad de casos nuevos en una población que aparecen en un periodo específico de tiempo.
  • 74.
    INCIDENCIA Existe unaumento constante en la incidencia de Ca. de mama a medida que la mujer envejece.
  • 75.
    <20 1en 76 000 1 en 2 000 40 1 en 229 50 1 en 53 60 1 en 28 70 1 en 13 80 1 en 9 90 1 en 7 Frecuencia del Ca de mama por década de vida según la ACS:
  • 76.
    RIESGO DURANTE ELTRANSCURSO DE LA VIDA Feuer y col . Publicaron una metodología para calcular estimaciones de riesgo de desarrollar Ca. de mama en la población general.
  • 77.
    Mujer-hombre: 100/1Green Lee EUA, 2000 1500 casos de Ca de mama en hombres. 400 defunciones. Pero en una serie particular: 9 casos de 2000 hombres examinados Ósea 1 de cada 220 mujeres.
  • 78.
    PATRONES GEOGRÁFICOS Lamortalidad por Ca. de mama ha sido Mayor el Noreste que el sur. EU Tasas de Mortalidad (TM) Por edad (1983-1987) Inglaterra y Gales : 29% Estados Unidos: 23% España: 15% Japón: 6%
  • 79.
    Actualmente el INSde los EUA la frecuencia en diferentes países: 1.- Inglaterra. 2.- Dinamarca. 3.- Suecia. 4.- Irlanda. 5.- Luxemburgo. 6.- Israel. 7.- EUA. 8.- México. Incidencia de Ca de mama.
  • 80.
    La incidencia globalde todos los casos de cáncer es: EUA México 30% 16%
  • 81.
    En Latinoamérica Cade mama 2° lugar. Excepto: Argentina. Uruguay.
  • 82.
    Mortalidad de Cade mama 2002 Se esperaba 340 000 muertes en todo el mundo. Con 42 000 en EUA. 15% de todos los cánceres. 2° lugar después del Ca de pulmón 1999 En México se reportaron: 3 425 muertes 6.3% de todas las muertes por cáncer. TM de 10.3 x 100 000
  • 83.
    2002 La cifraesperada de mortalidad para México era de 5 000. Edad reproductiva, la mortalidad fue: 2 439 casos, 10.2%, TM 4.04 x 100 000
  • 84.
    Actualmente las TMrecientes parecen haberse nivelado o comenzado a declinar en muchos de ellos. Según Hermon y Beral: En países Tasas altas Tasa bajas aumentado Descendido
  • 85.
    *excepto Argentina yUruguay Europa occidental, EUA 1 de cada 6 a 8 Australia y Nueva Zelanda. Israel 1 de cada 9. Europa Occidental 1 de cada 15. México y Latinoamérica 1 de cada 20. Asiáticos 1 de cada 30. Frecuencia de cáncer en diferentes países
  • 86.
    En EUA sobre todo en menores de 40 años se encontró una diferencia de frecuencia entre razas de mujeres: 11% en negras. 5% blancas La ACS reconoce la frecuencia de Ca de mama : posmenopáusicas blancas jóvenes Negras. ETNICIDAD
  • 87.
    Los diagnósticos decarcinoma in situ : Tempranos Diferenciados Rc hormonales + Mujeres blancas Avanzados. Indiferenciados. Mujeres negras La sobrevida global a 5 años: 85% en blancas. 65% en las negras
  • 88.
    Panorama Nacional Enla República Mexicana las causas de mortalidad son: 1° enf. Cardiovasculares. 2° Neoplasias. 3° Accidentes. Y de las neoplasias: 1° Ca cervicouterino. 2° Ca de mama. Clase media, medio alta y alta. Clase medio baja y baja
  • 89.
    El registro Nacionalde tumores en México: 9 885 nuevos casos de Ca de mama. 2 439 defunciones. # tasa de 16.1 y 7.9 x 1000, respectivamente. 1999 Sociedad Mexicana de Estudios Oncológicos revelan que el promedio de edad para Ca de mama es de 48.7 años.
  • 90.
    En conclusión acercade epidemiología: El Ca de mama es una neoplasia en mujeres de elevado nivel socioeconómico, paralelamente a lo que sucede en países con más alto nivel de desarrollo; al igual que se encuentra con más frecuencias en medios urbanos que en espacios rurales. Los cuales van a estar influenciados por los diferentes factores de Riesgo: Factores Hormonales………………………………. Historia Familiar. Enfermedades mamaria benignas previas. Estilo de vida. Medio ambiente. Misceláneas. Menarca temprana. Menopausia tardía. Menstruaciones. Historia reproductiva. Edad al primer embarazo a termino. Lactación. Anticonceptivos orales. Abortos. Terapia Hormonal de reemplazo. Senectud
  • 91.
  • 92.
    a- Síndrome deLi-Fraumeni Se hereda de forma autosómica dominante con alta penetrancia. La alteación genética por mutación en el gen p53, localizado en el cromosoma 17p13.1 Incluye la asociación de: tumores de mama, sarcomas de partes blandas, tumores cerebrales, leucemia y carcinomas suprarrenales. El 77% de los casos se diagnostican entre los 22 y 45 años y el 25% tienen tumores bilaterales.
  • 93.
    b- Enfermedad deCowden Llamado síndrome de múltiples hamartomas. Incluye: lesiones mucocutáneas, tumores benignos de tiroides, pólipos de cólon, leiomiomas uterinos y cáncer de mama.
  • 94.
    b- Enfermedad deCowden El cáncer de mama afecta al 90% de las mujeres con una edad media al diagnóstico de 40 años. Con frecuencia es de presentación bilateral. Tiene herencia autosómica dominante con baja expresión Hasta el momento no se ha hallado el gen responsable de este síndrome hereditario.
  • 95.
    c- Síndrome mama-ovarioo síndrome de Lynch La asociación entre el cáncer de mama y ovario fue descrita por Lynch. El riesgo acumulado de cáncer de mama o de ovario en hijas de madres afectas con este síndrome es del 46%, con una herencia autosómica dominante de alta penetrancia. En estas familias suele coexistir la asociación de cáncer de ovario con cáncer de mama de diagnóstico a una edad joven.
  • 96.
    d- Cáncer demama hereditario sin asociación a otras neoplasias Existen algunas familias con patrón hereditario para el cáncer de mama de inicio tardío , en postmenopaúsicas. Se trata de familias en las que la media se encuentra por debajo de los 45 años (heterogeneidad en la distribución por edades).
  • 97.
    e- Cáncer demama y asociación a otras neoplasias con agregación familiar Las neoplasias del tracto gastrointestinal son los tumores que con más frecuencia se presentan entre las familias con cáncer de mama. No se ha confirmado un patrón hereditario claro, pudiendo deberse la asociación a la alta incidencia de estos tumores entre la población general.
  • 98.
    Síndrome de MuirH.A.D. Se caracteriza por la presencia de: pólipos y adenocarcinomas gastrointestinales, la frecuente asociación a tumores cutáneos y el incremento del riesgo de cáncer de mama en postmenopáusicas.
  • 99.
    FACTORES DE RIESGO
  • 100.
    Pueden agruparse: Genéticosy familiares. Hormonales. Dietéticas. Enf. Benigna de la mama. Ambientales Factores de riesgo
  • 101.
    Historia familiar* IMPORTANTE:Familiar de 1er. Grado: Estado menstrual (premenopáusica). CA. Mama (bilateral). Otros CA (ovario). * Mas de tres es sospechoso. Factores de riesgo
  • 102.
    Mutación*: BRCA-1 BRCA-2 Riesgo elevadísimo. P-53 * autosómica dominante Factores de riesgo Geneticos y familiares:
  • 103.
    BRCA-1 50% (45años) 85% (toda la vida) 65% (2º ca mama primario – 70 años). Varones CA. Próstata. Judíos Ashkenazi (185delAG). Geneticos y familiares: Factores de riesgo
  • 104.
    BRCA-2 CA mamaprecoz. NO ovario (relación) CA mama masculino mayor riesgo. Geneticos y familiares: Factores de riesgo
  • 105.
    Menarquia. Paridad. Aborto.Menopausia. Hormonas Exógenos. Factores de riesgo
  • 106.
    Menarquia. Temprana. <12 años Aumenta 1.5 veces * Tardia efecto protector (20% por c/año). Factores de riesgo Hormonales
  • 107.
    Paridad Primiparas > 30 años* (2). Primipara > 35 años (3). Factores de riesgo Hormonales *2-5 veces vs 18-19 años
  • 108.
    Aborto. Factores deriesgo Hormonales Embarazo incompleto. Mama Niveles elevados de estrogenos. Mayor ries g o.
  • 109.
    Menopausia. Tardía(+54 vs 45* años ) duplica. * Menor rie s go (natural o no) Factores de riesgo Hormonales ¿ PROFILAXIS OVARIECTOMIA?
  • 110.
    Exogenas. No pruebasconvincentes (anticonceptivos). Estrógenos posmenopáusicos (10-20 años admón..) Exposición intrauterina ( > riesgo) Factores de riesgo Hormonales
  • 111.
    Obesidad (2-3) Consumode grasas *. Consumo de alcohol (24gr -1.4-). * Mujeres japonesas que emigran a EAU. Factores de riesgo
  • 112.
  • 113.
    Radiación ionizante*: Aumentomínimo después 40 años. Mayor riesgo edad temprana. * Latencia de 10 a 15 años Factores de riesgo Ambientales.
  • 114.
    Exposición a camposelectromagnéticos. Exposición a pesticidas organoclorados Factores de riesgo Ambientales
  • 115.
  • 116.
    “ Alrededor del 50% de las mujeres que desarrollan Ca de mama no tienen factores de riesgo identificables, aparte del hecho de SER MUJER y de ENVEJECER *” * Vicent T. De Vita, Jr. Samuel H., A. Rosemberg “Cáncer principios y practica de la oncológica” Vol. 2 , 5ta Edición, ED. Panamericana, 2000, Capitulo 36 , Pág. 1557 Factores de riesgo
  • 117.
  • 118.
    Tipos histológicos decáncer de mama Ductales - Intraductal - Medular 5-7% - Papilar 1% - Tubular 1% - Infiltrante 70-80% - Mucinoso 3% Lobulillares 5-10% Especiales - Enfermedad de Paget 1-4% - Carcinoma inflamatorio 1% Mixtos
  • 119.
  • 120.
    CARCINOMA MAMARIO INFILTRANTECON CÉLULAS GIGANTES OSTEOCLÁSTICAS.
  • 121.
  • 122.
  • 123.
  • 124.
  • 125.
    Objetivo Determinar: Extensiónanatómica de la enf*. Su tendencia a la progresión*. * Instituir terapia adecuada. ESTADIFICACIÒN
  • 126.
    Evolución: Steinthal. Lee.Stubendoart. Manchester. Portmann. Haagensen. Stout. Denoix. ESTADIFICACIÒN
  • 127.
  • 128.
  • 129.
  • 130.
  • 131.
  • 132.
  • 133.
  • 134.