MEDIOS DE
CONTASTE
DEFINICION
• Un agente de contraste se define como aquellas sustancia o
combinación de sustancias que introducidas en el organismo,
permiten resaltar y opacificar estructuras anatómicas
normales y patológicas.
• El contraste ideal es aquel que logra la mayor concentración
tisular con la menor cantidad de efectos adversos.
IMAGEN QUE GENERAN
• POSITIVOS: atenúan los rayos x mas que los tejidos blandos,
viéndose radiopacos.
• NEGATIVOS: atenúan los rx menos que los tejidos blandos,
se ven radiolucidos.
• NEUTROS: son utilizados para distender y rellenar el tubo
digestivo.
SEGÚN VIA DE ADMINISTRACION.
• ORALES:
• Radiología contrastada: sulfato de bario, sales de bicarbonato
y aire ambiental
• TC y TCMS: sales de yodo hidrosoluble o sulfato de bario
diluido.
• RMN: manitoL,metilcelulosa, polietilenglicol y mate cocido.
RECTALES
• Radiología contrastada: bario y agua.
• TC y TCMS: dióxido de carbono, agua, sales de yodo
hidrosoluble.
• Molestias abdominales y deseo evacuatorio.
INTRAVAGINALES
Histerosalpingografia: contraste yodados.
Producen dolor pelviano.
ENDOVENOSOS
• Cistouretrografia.
• Gadolinio (RMN).
• Yodo ( TC).
• 18 fluorodesoxiglucosa (PET).
• Dióxido de carbono.
• Microcapsulas (ECO).
• Reacciones adveras a considerar.
OTRAS VIAS DE ADMINISTRACION
• Intraarteriales: estudios angiograficos con contrastes
yodados.
• Gadolinio con CO2 en pacientes alérgicos con insuficiencia
renal.
• Intraarticulares: contraste yodado o gadolinio.
• Intracanaliculares: Sialografía o cistografía.
Características químicas
• Los medios de contrastes yodados cuando son inyectados por
vía endovenosa, hay que tener en cuenta la osmoralidad con
la del plasma.
• Iso o Hiperosmolares: están asociados a mayores efectos
adversos.
• Ionicos o no ionicos: iones o partículas cuando se disuelven
en agua.
• Monomericos o dimericos: uno o dos núcleos benzoico.
Magnéticos
• Estos agentes de contraste poseen iones de metal que afectan
las propiedades magnéticas de los tejidos circulantes.
• Supermagnetico: oxido de hierro, patología hepática o
linfática.
• Paramagnético: quelatos de gadolinio o de manganeso.
• Reducen el tiempo de relajación de las secuencias T1 y T2.
CONTRASTES SEGÚN
METODO.
BARIO
• Descubierto por Bechem y Gunther en 1910.
• Metal pesado que se administra por vía oral o transrectal.
• SEGD, deglución o colon por enema.
• Lo diluimos con agua.
• Se elimina por vía rectal.
• CONTRAINDICADO: perforación de víscera, dehiscencia
postquirúrgica, cirugía de urgencia.
YODO
• Descubierto en 1923.
• Se pueden administrar por vía oral o EV.
• Se expanden por tejido extracelular.
• Se elimina por vía renal.
• Alternativa al bario.
GADOLINEO
• Ion metálico con propiedades magnéticas.
• Se comenzó a utilizar en el año 1988.
• Se clasifican en paramagnéticos (positivos) o
supramagneticos (negativos).
• Se administra por vía Ev.
• Se elimina por vía renal.
POSITRONES
• Se emplean en PET.
• Se emplean radiofármacos: 18-FDG, carbono 11 y nitrógeno
13 entre otros.
• Vida media corta.
METILCELULOSA
• Medio de contraste neutro.
• Se utilizan con agua.
• Vía oral.
• Disminuyen la reabsorción de agua en la luz intestinal,
mejorando la distensión.
• Transito intestinal.
CONTINUARA
REACCIONES
ADVERSAS
• Son los efectos no deseados que aparecen luego de la
administración de un fármaco en dosis terapéuticas,
diagnosticas o profilácticas.
• Podemos clasificarlas en:
• Forma de presentación.
• Mecanismo.
• Tipo de contraste empleado.
Forma y tiempo de clasificación.
• En contrastes iónicos ocurren del 1 al 15 %.
• En contrastes no iónicos ocurren hasta en el 3,1%.
• Tiempo de presentación:
• Tempranas: antes de los 60 minutos.
• Tardías: entre la hora y el mes de administración.
MECANISMO DE PRODUCION
• Hipersensibilidad: es mas frecuente en pacientes con
antecedentes.
• Reacciones quimiotoxicas: mas frecuente en pacientes
añosos, revierten con rápido tratamiento.
• Reacciones mecánicas: lesión citopatica directa y efecto
compresivo.
• Nefrotoxicas: ocurre en pacientes con nefropatía o
cardiopatías.
SEGÚN MEDIO DE CONTRASTE
• Contraste yodados:
• Osmolaridad del contraste.
• Antecedentes de reacciones adversas.
• Asma.
• Alergia.
• Fármacos: betabloqueantes.
• Edad: 20 y 29 años.
• Reacciones adversas al gadolineo:
• La mayoría de estas reacciones son leves y autolimitadas.
• Inmediatas: frio, calor, dolor en el sitio de punción.
• Tardías: FSN
SEGÚN FUNCION RENAL
• NEFROPATIA INDUCIDA POR YODO.
• Incidencia: 1-3%.
• Nefritis se desencadenaría por:
• Cambio hemodinámicos renales.
• Desbalance túbulo-medular.
• Efecto toxico-directo.
• Modificación de la reologia renal.
• Injuria de repercusión.
• FIBROSIS SISTEMICA NEFROGENICA POR
GADOLINEO.
• Ocurre en pacientes con IRC grave.
• Hasta el momento 250 pacientes diagnosticados desde 1997.
• No se conoce mecanismo fisiológica.
• Comienza con prurito y puede desencadenar caquexia.
Medios de contraste y metformina.
• Solo se toman precauciones cuando FG es de menos de 30ml-
min.
• Siempre se asocia a cardiopatía previa.
• Se produce por excesivos niveles de metformina en el cuerpo
y su imposibilidad para eliminarlos.
HIPERTIROIDISMO
• Suele presentarse tardíamente.
• Enf de graves o hipertiroideos.
• Administrar fármaco antitiroideo antes del estudio.
• Si se administra contraste radioactivo hay que esperar 2
meses para hacer un centellograma tiroideo.
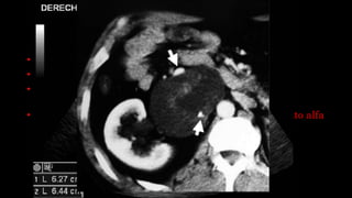
TU. PRODUCTOR DE
CATECOLAMINAS
• Feocromocitomas y paragangliomas.
• Producen HTA de difícil tratamiento.
• Los medio de contraste producen exacerbación de los
síntomas.
• Una semana antes del estudio comenzar con tratamiento alfa
o beta bloqueante.
REACCIONES ADVERSAS
• CLASIFICACION:
• LEVES: nauseas, vómitos, gusto metálico.
• GRAVES:
• Vágales: hipotensión.
• Reacciones pseudoalergicas: exantema, broncoespasmo y
edema de glotis.
• Estimulación de los centros cardiovasculares: shock,
taquicardia, bradicardia, hipotensión.
TRATAMIENTO
• Nauseas o vómitos: metroclopramida 10 mg.
• Urticaria leve: difenhidramina 25-50mg.
• Urticaria grave: cometidina 5mg..
• Hipotensión con taquicardia: S. fisiológica EV, O2, Dopamina
y adrenalina.
• Hipotensión con bradicardia: SF, 02 y atropina.
• Broncoespasmo: 02, betaagonistas.
• Convulsiones: diazoan 5-10 mg.
• HTA: nifedipina sublingual.
• REACCION ANAFILACTOIDEA SEVERA:
• O2
• S.F
• Difenhidramina ev
• Betaagonistas.
• Adrenalina.
• Hidrocortisona.

Medios de contaste en radiologia

  • 1.
  • 2.
    DEFINICION • Un agentede contraste se define como aquellas sustancia o combinación de sustancias que introducidas en el organismo, permiten resaltar y opacificar estructuras anatómicas normales y patológicas. • El contraste ideal es aquel que logra la mayor concentración tisular con la menor cantidad de efectos adversos.
  • 3.
    IMAGEN QUE GENERAN •POSITIVOS: atenúan los rayos x mas que los tejidos blandos, viéndose radiopacos. • NEGATIVOS: atenúan los rx menos que los tejidos blandos, se ven radiolucidos. • NEUTROS: son utilizados para distender y rellenar el tubo digestivo.
  • 4.
    SEGÚN VIA DEADMINISTRACION. • ORALES: • Radiología contrastada: sulfato de bario, sales de bicarbonato y aire ambiental • TC y TCMS: sales de yodo hidrosoluble o sulfato de bario diluido. • RMN: manitoL,metilcelulosa, polietilenglicol y mate cocido.
  • 5.
    RECTALES • Radiología contrastada:bario y agua. • TC y TCMS: dióxido de carbono, agua, sales de yodo hidrosoluble. • Molestias abdominales y deseo evacuatorio.
  • 6.
  • 7.
    ENDOVENOSOS • Cistouretrografia. • Gadolinio(RMN). • Yodo ( TC). • 18 fluorodesoxiglucosa (PET). • Dióxido de carbono. • Microcapsulas (ECO). • Reacciones adveras a considerar.
  • 8.
    OTRAS VIAS DEADMINISTRACION • Intraarteriales: estudios angiograficos con contrastes yodados. • Gadolinio con CO2 en pacientes alérgicos con insuficiencia renal. • Intraarticulares: contraste yodado o gadolinio. • Intracanaliculares: Sialografía o cistografía.
  • 9.
    Características químicas • Losmedios de contrastes yodados cuando son inyectados por vía endovenosa, hay que tener en cuenta la osmoralidad con la del plasma. • Iso o Hiperosmolares: están asociados a mayores efectos adversos. • Ionicos o no ionicos: iones o partículas cuando se disuelven en agua. • Monomericos o dimericos: uno o dos núcleos benzoico.
  • 10.
    Magnéticos • Estos agentesde contraste poseen iones de metal que afectan las propiedades magnéticas de los tejidos circulantes. • Supermagnetico: oxido de hierro, patología hepática o linfática. • Paramagnético: quelatos de gadolinio o de manganeso. • Reducen el tiempo de relajación de las secuencias T1 y T2.
  • 11.
  • 12.
    BARIO • Descubierto porBechem y Gunther en 1910. • Metal pesado que se administra por vía oral o transrectal. • SEGD, deglución o colon por enema. • Lo diluimos con agua. • Se elimina por vía rectal. • CONTRAINDICADO: perforación de víscera, dehiscencia postquirúrgica, cirugía de urgencia.
  • 13.
    YODO • Descubierto en1923. • Se pueden administrar por vía oral o EV. • Se expanden por tejido extracelular. • Se elimina por vía renal. • Alternativa al bario.
  • 14.
    GADOLINEO • Ion metálicocon propiedades magnéticas. • Se comenzó a utilizar en el año 1988. • Se clasifican en paramagnéticos (positivos) o supramagneticos (negativos). • Se administra por vía Ev. • Se elimina por vía renal.
  • 15.
    POSITRONES • Se empleanen PET. • Se emplean radiofármacos: 18-FDG, carbono 11 y nitrógeno 13 entre otros. • Vida media corta.
  • 16.
    METILCELULOSA • Medio decontraste neutro. • Se utilizan con agua. • Vía oral. • Disminuyen la reabsorción de agua en la luz intestinal, mejorando la distensión. • Transito intestinal.
  • 17.
  • 18.
  • 19.
    • Son losefectos no deseados que aparecen luego de la administración de un fármaco en dosis terapéuticas, diagnosticas o profilácticas. • Podemos clasificarlas en: • Forma de presentación. • Mecanismo. • Tipo de contraste empleado.
  • 20.
    Forma y tiempode clasificación. • En contrastes iónicos ocurren del 1 al 15 %. • En contrastes no iónicos ocurren hasta en el 3,1%. • Tiempo de presentación: • Tempranas: antes de los 60 minutos. • Tardías: entre la hora y el mes de administración.
  • 21.
    MECANISMO DE PRODUCION •Hipersensibilidad: es mas frecuente en pacientes con antecedentes. • Reacciones quimiotoxicas: mas frecuente en pacientes añosos, revierten con rápido tratamiento. • Reacciones mecánicas: lesión citopatica directa y efecto compresivo. • Nefrotoxicas: ocurre en pacientes con nefropatía o cardiopatías.
  • 22.
    SEGÚN MEDIO DECONTRASTE • Contraste yodados: • Osmolaridad del contraste. • Antecedentes de reacciones adversas. • Asma. • Alergia. • Fármacos: betabloqueantes. • Edad: 20 y 29 años.
  • 23.
    • Reacciones adversasal gadolineo: • La mayoría de estas reacciones son leves y autolimitadas. • Inmediatas: frio, calor, dolor en el sitio de punción. • Tardías: FSN
  • 24.
    SEGÚN FUNCION RENAL •NEFROPATIA INDUCIDA POR YODO. • Incidencia: 1-3%. • Nefritis se desencadenaría por: • Cambio hemodinámicos renales. • Desbalance túbulo-medular. • Efecto toxico-directo. • Modificación de la reologia renal. • Injuria de repercusión.
  • 25.
    • FIBROSIS SISTEMICANEFROGENICA POR GADOLINEO. • Ocurre en pacientes con IRC grave. • Hasta el momento 250 pacientes diagnosticados desde 1997. • No se conoce mecanismo fisiológica. • Comienza con prurito y puede desencadenar caquexia.
  • 26.
    Medios de contrastey metformina. • Solo se toman precauciones cuando FG es de menos de 30ml- min. • Siempre se asocia a cardiopatía previa. • Se produce por excesivos niveles de metformina en el cuerpo y su imposibilidad para eliminarlos.
  • 27.
    HIPERTIROIDISMO • Suele presentarsetardíamente. • Enf de graves o hipertiroideos. • Administrar fármaco antitiroideo antes del estudio. • Si se administra contraste radioactivo hay que esperar 2 meses para hacer un centellograma tiroideo.
  • 28.
    TU. PRODUCTOR DE CATECOLAMINAS •Feocromocitomas y paragangliomas. • Producen HTA de difícil tratamiento. • Los medio de contraste producen exacerbación de los síntomas. • Una semana antes del estudio comenzar con tratamiento alfa o beta bloqueante.
  • 29.
    REACCIONES ADVERSAS • CLASIFICACION: •LEVES: nauseas, vómitos, gusto metálico. • GRAVES: • Vágales: hipotensión. • Reacciones pseudoalergicas: exantema, broncoespasmo y edema de glotis. • Estimulación de los centros cardiovasculares: shock, taquicardia, bradicardia, hipotensión.
  • 30.
    TRATAMIENTO • Nauseas ovómitos: metroclopramida 10 mg. • Urticaria leve: difenhidramina 25-50mg. • Urticaria grave: cometidina 5mg.. • Hipotensión con taquicardia: S. fisiológica EV, O2, Dopamina y adrenalina. • Hipotensión con bradicardia: SF, 02 y atropina. • Broncoespasmo: 02, betaagonistas. • Convulsiones: diazoan 5-10 mg. • HTA: nifedipina sublingual.
  • 31.
    • REACCION ANAFILACTOIDEASEVERA: • O2 • S.F • Difenhidramina ev • Betaagonistas. • Adrenalina. • Hidrocortisona.