Micosis superficiales Dermatofitosis  Dermatofitosis o tiñas son micosis superficiales que afectan piel y anexos (pelo y uñas) Ocasionadas por dermatofitos del género: Trichophyton, Microsporum y Epidermophyton
Tiñas: Por su localización se conoce la tiña de la cabeza, de la piel, de las ingles, pies y uñas. Los hongos productores pertenecen a tres géneros: Microsporum Epidermophyton y Trichophyton
Géneros  Trichophyton  Microsporum  Epidermophyton  M. Canis  T. Tonasurans T. Rubrum T. Mentagrophytes  E. Floccosum
Tiña de la cabeza (Capitis) Epidemiología Distribución mundial 98% en niños y ocasionalemente en mujeres adultas predomina en preescolares y escolares
Tiña de la cabeza Morfología: Placas pseudoalopecicas con escama y pelos cortos
Tiña de la cabeza Predominio para despúes de la pubertad ya que el sebo contiene ácidos grasos saturados. Microsporum canis y Trichopyton Tonsurans son los agentes etiológicos
Tiña tricofítica Etiología T. Tonsurans Morfología . Placas pequeñas Pseudoalopecicas Pelo parasitado por dentro: Endotrix
 
 
 
 
 
Tiña microspórica Etiología . M.Canis Pelos regularmente afectados y rotos placas circulantes grandes  Pelo parasitado por dentro y fuera: Ectoendotrix
Tiña de la cabeza inflamatoria Querion de Celso Placas pseudoalopecicas con eritema, inflamación, pustulas y exudado purulento Dolor y adenomegalia regional secuela, alopecia permanente
 
 
 
 
Dermatofitosis Diagnóstico Examen directo KOH Cultivo
 
Tiña de la cabeza Diagnóstico diferencial Alopecia areata Tricotilomania Dermatitis seborréica
Tiña de la cabeza Tratamiento 2 a 3 meses de griseofulvina Menores de 3 años 125 mgrs/día 3 a 6 años 250 mgrs/día 7 a 11 años 375 mgrs/día Más de 12 años 500 mgrs/día Ketoconazol / vía oral T. inflamatoria
Tiña de la cabeza Tratamiento Griseofulvina Terbinafina 10-20 kg de peso corporal 62.5 mg/día 20-40 kg de peso 125 mg/día más de 40 kg de peso 250 mg/día por 8 semanas Itraconazol Fluconazol
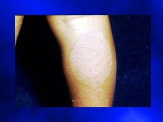
Tiña del cuerpo Herpes circinado Etiología: T. Tonsurans M. Canis T. Rubrum T. Mentagrophytes E. Floccosum
Tiña del cuerpo Etiología. T. Rubrum M. Canis
Tiña del cuerpo Placas eritematoescamosas con borde activo prúrito
Tiña del cuerpo Cuadro clínico: Placas de borde activo, redondas, con liquenificación y escamas
 
 
 
 
 
 
 
 
 
 
 
 
Onicomicosis (tiña de las uñas) Manos o pies: Se manifiesta con engrosamiento, fragilidad, estrias cambios de coloración
Tiña de las uñas-onicomicosis Uñas engrosadas (distróficas) opacas Afección del borde libre hacia la cutícula Etiología. T.Rubrum, T. Mentagrophytes
 
Tiña de los pies Morfología Interdigital. Escamas maceración, fisuras vesiculosa. Vesículas y/u escamas Hiperqueratósica. Escamas e hiperqueratosis
 
 
 
 
 
Micosis superficiales (tiña) Laboratorio: En todas es necesario: El exámen directo El cultivo Luz de Wood
Tiña de las uñas Tratamiento Amorlfina en  laca Bifonazol.- Urea Ciclopiroxolamina en laca
Onicomicosis  Tratamiento sistémico Itraconazol  200 mgs/día/3 meses   pulso 400 mgs Terbinafina  250 mgs /día / 3 meses pulso 500 mgs Fluconazol  150-300 mg/ semana /20-30 semanas
Tiña de las uñas Tratamiento  Tópico. Afección parcial distal y de 3-4 uñas Sistémico. Afección total de la uña y parcial proximal o afección de más de 3 uñas
Fin  primera parte
Micosis superficiales 2 da. parte
Tiña de los pies “ pies de atleta”  Etiología: T. Rubrum, E. Flocosum T. Mentagrophytes Maceración, descamación en espacios Interdigitales y plantas muy pruriginosa
Tiña de los pies Etiología . T. Rubrum   T. Mentagrophytes   E. Floccosum
Tiña de los pies Formas morfológicas Intertriginosa (pliegues) Vesiculosa Hiperqueratosica
 
 
 
 
 
 
Tiña de los pies Complicaciones Dermatitis por contacto Adenopatía inguinal Fiebre Dermatofitides
 
 
 
 
Tiña inguinal (Tinea Cruris) “  Eccema Marginado de Hebra” En regiones inguinales, perine, escroto Eritema y escamas; Borde activo y vesículas
Tiña de la ingle Placas eritematoescamosas con borde activo uni o bilateral prúrito Etiología. T. Rubrum, T. Mentagrophytes E. Floccosum
 
 
 
 
 
 
Tiña del cuerpo y de la ingle Diagnóstico diferencial Psoriasis Dermatitis seborreíca Pitiriasis rosada
Tiña del cuerpo y de la ingle Tratamiento  Antimicóticos tópicos: Azoles: bifonazol, clotrimazol, miconazol Otros: amorlfina, terafinafina, ciclospiroxalamina Aplicar 1 – 2 veces por día por 2 – 4 semanas
Tratamiento tópico Imidazólicos Terbinafina Disulfuro de selenio 2% Jabón de ácido salicílico y azufre

Micosis Superficiales

  • 1.
    Micosis superficiales Dermatofitosis Dermatofitosis o tiñas son micosis superficiales que afectan piel y anexos (pelo y uñas) Ocasionadas por dermatofitos del género: Trichophyton, Microsporum y Epidermophyton
  • 2.
    Tiñas: Por sulocalización se conoce la tiña de la cabeza, de la piel, de las ingles, pies y uñas. Los hongos productores pertenecen a tres géneros: Microsporum Epidermophyton y Trichophyton
  • 3.
    Géneros Trichophyton Microsporum Epidermophyton M. Canis T. Tonasurans T. Rubrum T. Mentagrophytes E. Floccosum
  • 4.
    Tiña de lacabeza (Capitis) Epidemiología Distribución mundial 98% en niños y ocasionalemente en mujeres adultas predomina en preescolares y escolares
  • 5.
    Tiña de lacabeza Morfología: Placas pseudoalopecicas con escama y pelos cortos
  • 6.
    Tiña de lacabeza Predominio para despúes de la pubertad ya que el sebo contiene ácidos grasos saturados. Microsporum canis y Trichopyton Tonsurans son los agentes etiológicos
  • 7.
    Tiña tricofítica EtiologíaT. Tonsurans Morfología . Placas pequeñas Pseudoalopecicas Pelo parasitado por dentro: Endotrix
  • 8.
  • 9.
  • 10.
  • 11.
  • 12.
  • 13.
    Tiña microspórica Etiología. M.Canis Pelos regularmente afectados y rotos placas circulantes grandes Pelo parasitado por dentro y fuera: Ectoendotrix
  • 14.
    Tiña de lacabeza inflamatoria Querion de Celso Placas pseudoalopecicas con eritema, inflamación, pustulas y exudado purulento Dolor y adenomegalia regional secuela, alopecia permanente
  • 15.
  • 16.
  • 17.
  • 18.
  • 19.
  • 20.
  • 21.
    Tiña de lacabeza Diagnóstico diferencial Alopecia areata Tricotilomania Dermatitis seborréica
  • 22.
    Tiña de lacabeza Tratamiento 2 a 3 meses de griseofulvina Menores de 3 años 125 mgrs/día 3 a 6 años 250 mgrs/día 7 a 11 años 375 mgrs/día Más de 12 años 500 mgrs/día Ketoconazol / vía oral T. inflamatoria
  • 23.
    Tiña de lacabeza Tratamiento Griseofulvina Terbinafina 10-20 kg de peso corporal 62.5 mg/día 20-40 kg de peso 125 mg/día más de 40 kg de peso 250 mg/día por 8 semanas Itraconazol Fluconazol
  • 24.
    Tiña del cuerpoHerpes circinado Etiología: T. Tonsurans M. Canis T. Rubrum T. Mentagrophytes E. Floccosum
  • 25.
    Tiña del cuerpoEtiología. T. Rubrum M. Canis
  • 26.
    Tiña del cuerpoPlacas eritematoescamosas con borde activo prúrito
  • 27.
    Tiña del cuerpoCuadro clínico: Placas de borde activo, redondas, con liquenificación y escamas
  • 28.
  • 29.
  • 30.
  • 31.
  • 32.
  • 33.
  • 34.
  • 35.
  • 36.
  • 37.
  • 38.
  • 39.
  • 40.
    Onicomicosis (tiña delas uñas) Manos o pies: Se manifiesta con engrosamiento, fragilidad, estrias cambios de coloración
  • 41.
    Tiña de lasuñas-onicomicosis Uñas engrosadas (distróficas) opacas Afección del borde libre hacia la cutícula Etiología. T.Rubrum, T. Mentagrophytes
  • 42.
  • 43.
    Tiña de lospies Morfología Interdigital. Escamas maceración, fisuras vesiculosa. Vesículas y/u escamas Hiperqueratósica. Escamas e hiperqueratosis
  • 44.
  • 45.
  • 46.
  • 47.
  • 48.
  • 49.
    Micosis superficiales (tiña)Laboratorio: En todas es necesario: El exámen directo El cultivo Luz de Wood
  • 50.
    Tiña de lasuñas Tratamiento Amorlfina en laca Bifonazol.- Urea Ciclopiroxolamina en laca
  • 51.
    Onicomicosis Tratamientosistémico Itraconazol 200 mgs/día/3 meses pulso 400 mgs Terbinafina 250 mgs /día / 3 meses pulso 500 mgs Fluconazol 150-300 mg/ semana /20-30 semanas
  • 52.
    Tiña de lasuñas Tratamiento Tópico. Afección parcial distal y de 3-4 uñas Sistémico. Afección total de la uña y parcial proximal o afección de más de 3 uñas
  • 53.
  • 54.
  • 55.
    Tiña de lospies “ pies de atleta” Etiología: T. Rubrum, E. Flocosum T. Mentagrophytes Maceración, descamación en espacios Interdigitales y plantas muy pruriginosa
  • 56.
    Tiña de lospies Etiología . T. Rubrum T. Mentagrophytes E. Floccosum
  • 57.
    Tiña de lospies Formas morfológicas Intertriginosa (pliegues) Vesiculosa Hiperqueratosica
  • 58.
  • 59.
  • 60.
  • 61.
  • 62.
  • 63.
  • 64.
    Tiña de lospies Complicaciones Dermatitis por contacto Adenopatía inguinal Fiebre Dermatofitides
  • 65.
  • 66.
  • 67.
  • 68.
  • 69.
    Tiña inguinal (TineaCruris) “ Eccema Marginado de Hebra” En regiones inguinales, perine, escroto Eritema y escamas; Borde activo y vesículas
  • 70.
    Tiña de laingle Placas eritematoescamosas con borde activo uni o bilateral prúrito Etiología. T. Rubrum, T. Mentagrophytes E. Floccosum
  • 71.
  • 72.
  • 73.
  • 74.
  • 75.
  • 76.
  • 77.
    Tiña del cuerpoy de la ingle Diagnóstico diferencial Psoriasis Dermatitis seborreíca Pitiriasis rosada
  • 78.
    Tiña del cuerpoy de la ingle Tratamiento Antimicóticos tópicos: Azoles: bifonazol, clotrimazol, miconazol Otros: amorlfina, terafinafina, ciclospiroxalamina Aplicar 1 – 2 veces por día por 2 – 4 semanas
  • 79.
    Tratamiento tópico ImidazólicosTerbinafina Disulfuro de selenio 2% Jabón de ácido salicílico y azufre