Servicio de Cirugía Oral  y Maxilofacial  Hospital Donostia San Sebastián
  PROCESO DE TRATAMIENTO   “ MODELOS ESTEREOLITOGRÁFICOS EN CIRUGÍA RECONSTRUCTIVA MANDIBULAR”
Introducción Objetivos Procedimiento
Discusión Casos clínicos Conclusiones
Estudio multicéntrico
TC 3D
 
La oncología es una de nuestros mayores retos dentro de nuestra especialidad donde la cirugía ablativa y la cirugía reconstructiva se enfrentan. Cirugías de alto coste: para el paciente, el equipo quirúrgico, el hospital y el sistema sanitario. El acceso a biomodelos nos permitió la exploración de su uso y su utilidad.
Disminución de la variabilidad en el paciente y médicos. Adelantarnos a la complejidad quirúrgica con la mejor planificación que podemos aportar. Mejorar la eficiencia del tiempo quirúrgico. Utilizar nuevos elementos para la docencia en un medio controlado. Individualizar la cirugía y los elementos quirúrgicos a utilizar.
Adquisición de datos Reconstrucción virtual del modelo 3D Validación Validación Producción física del modelo Cirugía de modelo: moldeo placa, osteotomía mandíbula y peroné Esterilización: placa y modelo Uso en quirófano
 
 
 
 
 
 
 
 
 
 
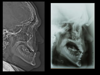
Mandíbula  sin  relación céntrica Mandíbula  con  relación céntrica Reconstrucción 1ª o 2ª
Mandíbula  con  relación céntrica Reconstrucción  1ª
Adquisición de datos Reconstrucción virtual del modelo 3D Validación Validación Producción física del modelo Cirugía de modelo: moldeo placa, osteotomía mandíbula y peroné. Esterilización: placa y modelo Uso en quirófano
 
 
 
 
 
 
 
Mandíbula  sin  relación céntrica Reconstrucción  1ª
Adquisición de datos Reconstrucción virtual del modelo 3D Validación Validación Producción física del modelo Cirugía de modelo: moldeo placa, osteotomía mandíbula y peroné, sistema relación. Esterilización: placa y sistema y modelo Uso en quirófano
 
 
 
 
 
 
 
 
 
 
 
 
 
 
Mandíbula  sin  relación céntrica Técnica en  espejo Reconstrucción  2ª
Adquisición de datos Reconstrucción virtual del modelo 3D Técnica de espejo Validación Validación Producción física del modelo Cirugía de modelo: moldeo placa, osteotomía mandíbula y peroné. Esterilización: placa y sistema y modelo Uso en quirófano
 
 
 
 
 
 
 
 
 
 
 
 
 
 
 
 
 
 
Estado actual de la cirugía reconstructiva mandibular. Limitantes, proyectos actuales. Auge de la cirugía individualizada. Relación de la ingeniería médica en los procesos médicos. Situación y uso de los modelos físicos 3D.
Uso para modelado prequirúrgico de las placas de reconstrucción Uso de sistemas que mantengan la relación céntrica. Otros procedimientos: Cirugía virtual, prótesis (ATM) etc.
Concepto de modelo en espejo
Ingletes: guías de corte
Moldeado previo de la placa
Relación céntrica Sistema de fijación
Modelos, fijador externo y distractor
Disminución de 60´
Mejor planificación estética Y funcional mandibular en el auto trasplante de tejidos. Disminución del tiempo quirúrgico en el modelado de la placa mandibular 60´. Mantenimiento de la relación céntrica. Mayor exactitud con la “técnica en espejo”.
Evitar contaminación de campos. Mayor eficiencia al planificar y realizar las osteotomías mandibulares. Mayor eficiencia al planificar y realizar las osteotomías del peroné.
 
OBJETIVO: “Validación desarrollo del proceso y vía clínica en el autotrasplante de peroné con cirugía de modelos estereolitográficos” “  Relación entre servicios para la mejora continuada y propuesta de nuevos estudios” DEFINICIÓN DEL GRUPO DE TRABAJO: “Equipo integrante del estudio”
DEFINICIÓN DE LAS VARIABLES DEL ESTUDIO SISTEMATICA DE TRABAJO DESARROLLO: “ Puesta en común de los casos realizados y los resultados” DISCUSIÓN  CONCLUSIONES DEL ESTUDIO
 
Casos Clínicos
Anquilosis ATM Hiperplasia condílea Cirugía ortognática
Modelos estereolitográficos  SAHS moderado Hipoplasia maxilar
 
 
 
 
Cirugía de Modelos Estereolitográficos
 
 
 
Resultados
 
 
 
 
 
 
 
 
 
 
Hiperplasia condílea dcha
 
 
 
v v
 
 
Anquilosis ATM dcha
 
 
 
 
 
 
 
Gracias  por su atención

Modelos estereolitograficos reconstructiva buena 97 2003

  • 1.
    Serviciode Cirugía Oral y Maxilofacial Hospital Donostia San Sebastián
  • 2.
    PROCESODE TRATAMIENTO “ MODELOS ESTEREOLITOGRÁFICOS EN CIRUGÍA RECONSTRUCTIVA MANDIBULAR”
  • 3.
  • 4.
  • 5.
  • 6.
  • 7.
  • 8.
    La oncología esuna de nuestros mayores retos dentro de nuestra especialidad donde la cirugía ablativa y la cirugía reconstructiva se enfrentan. Cirugías de alto coste: para el paciente, el equipo quirúrgico, el hospital y el sistema sanitario. El acceso a biomodelos nos permitió la exploración de su uso y su utilidad.
  • 9.
    Disminución de lavariabilidad en el paciente y médicos. Adelantarnos a la complejidad quirúrgica con la mejor planificación que podemos aportar. Mejorar la eficiencia del tiempo quirúrgico. Utilizar nuevos elementos para la docencia en un medio controlado. Individualizar la cirugía y los elementos quirúrgicos a utilizar.
  • 10.
    Adquisición de datosReconstrucción virtual del modelo 3D Validación Validación Producción física del modelo Cirugía de modelo: moldeo placa, osteotomía mandíbula y peroné Esterilización: placa y modelo Uso en quirófano
  • 11.
  • 12.
  • 13.
  • 14.
  • 15.
  • 16.
  • 17.
  • 18.
  • 19.
  • 20.
  • 21.
    Mandíbula sin relación céntrica Mandíbula con relación céntrica Reconstrucción 1ª o 2ª
  • 22.
    Mandíbula con relación céntrica Reconstrucción 1ª
  • 23.
    Adquisición de datosReconstrucción virtual del modelo 3D Validación Validación Producción física del modelo Cirugía de modelo: moldeo placa, osteotomía mandíbula y peroné. Esterilización: placa y modelo Uso en quirófano
  • 24.
  • 25.
  • 26.
  • 27.
  • 28.
  • 29.
  • 30.
  • 31.
    Mandíbula sin relación céntrica Reconstrucción 1ª
  • 32.
    Adquisición de datosReconstrucción virtual del modelo 3D Validación Validación Producción física del modelo Cirugía de modelo: moldeo placa, osteotomía mandíbula y peroné, sistema relación. Esterilización: placa y sistema y modelo Uso en quirófano
  • 33.
  • 34.
  • 35.
  • 36.
  • 37.
  • 38.
  • 39.
  • 40.
  • 41.
  • 42.
  • 43.
  • 44.
  • 45.
  • 46.
  • 47.
    Mandíbula sin relación céntrica Técnica en espejo Reconstrucción 2ª
  • 48.
    Adquisición de datosReconstrucción virtual del modelo 3D Técnica de espejo Validación Validación Producción física del modelo Cirugía de modelo: moldeo placa, osteotomía mandíbula y peroné. Esterilización: placa y sistema y modelo Uso en quirófano
  • 49.
  • 50.
  • 51.
  • 52.
  • 53.
  • 54.
  • 55.
  • 56.
  • 57.
  • 58.
  • 59.
  • 60.
  • 61.
  • 62.
  • 63.
  • 64.
  • 65.
  • 66.
  • 67.
    Estado actual dela cirugía reconstructiva mandibular. Limitantes, proyectos actuales. Auge de la cirugía individualizada. Relación de la ingeniería médica en los procesos médicos. Situación y uso de los modelos físicos 3D.
  • 68.
    Uso para modeladoprequirúrgico de las placas de reconstrucción Uso de sistemas que mantengan la relación céntrica. Otros procedimientos: Cirugía virtual, prótesis (ATM) etc.
  • 69.
  • 70.
  • 71.
  • 72.
  • 73.
  • 74.
  • 75.
    Mejor planificación estéticaY funcional mandibular en el auto trasplante de tejidos. Disminución del tiempo quirúrgico en el modelado de la placa mandibular 60´. Mantenimiento de la relación céntrica. Mayor exactitud con la “técnica en espejo”.
  • 76.
    Evitar contaminación decampos. Mayor eficiencia al planificar y realizar las osteotomías mandibulares. Mayor eficiencia al planificar y realizar las osteotomías del peroné.
  • 77.
  • 78.
    OBJETIVO: “Validación desarrollodel proceso y vía clínica en el autotrasplante de peroné con cirugía de modelos estereolitográficos” “ Relación entre servicios para la mejora continuada y propuesta de nuevos estudios” DEFINICIÓN DEL GRUPO DE TRABAJO: “Equipo integrante del estudio”
  • 79.
    DEFINICIÓN DE LASVARIABLES DEL ESTUDIO SISTEMATICA DE TRABAJO DESARROLLO: “ Puesta en común de los casos realizados y los resultados” DISCUSIÓN CONCLUSIONES DEL ESTUDIO
  • 80.
  • 81.
  • 82.
    Anquilosis ATM Hiperplasiacondílea Cirugía ortognática
  • 83.
    Modelos estereolitográficos SAHS moderado Hipoplasia maxilar
  • 84.
  • 85.
  • 86.
  • 87.
  • 88.
    Cirugía de ModelosEstereolitográficos
  • 89.
  • 90.
  • 91.
  • 92.
  • 93.
  • 94.
  • 95.
  • 96.
  • 97.
  • 98.
  • 99.
  • 100.
  • 101.
  • 102.
  • 103.
  • 104.
  • 105.
  • 106.
  • 107.
  • 108.
  • 109.
  • 110.
  • 111.
  • 112.
  • 113.
  • 114.
  • 115.
  • 116.
  • 117.
  • 118.
    Gracias porsu atención