NEOPLASIAS
Definición
 Una neoplasia es una proliferación anormal de
tejido nuevo, incontrolada, sin punto final esperado
y agresiva para el portador.
Clasificación
Diferencias entre tumores benignos y malignos
BENIGNOS MALIGNOS
Encapsulados No encapsulados
Se conservan bien Necrosis y hemorragias frecuentes
No invasivos Invasivos
Bien diferenciados citológicamente Poco diferenciados citológicamente
Mitosis infrecuentes y normales Mitosis numerosas y atípicas
Crecimiento lento Crecimiento rápido
No producen metástasis Producen metástasis
Nomenclatura de las neoplasias que
se originan en células diferenciadas
(tipo adulto)
Neoplasias de células
totipotentes
 Capaz de desarrollarse a cualquier tipo celular
 Célula o sitio: célula germinal
 Neoplasia benigna: teratoma (maduro)
 Neoplasia maligna: teratoma (inmaduro), seminoma
(hombre), disgerminoma (mujer), carcinoma
embrionario, carcinoma del saco vitelino o del seno
endodermal, coriocarcinoma.
Neoplasia de células
embrionarias pluripotentes
 Capaz de desarrollarse a múltiples tipo celulares con un máximo de
dos capas germinales.
 Las neoplasias correspondientes tienen el potencial de formación
de diversos elementos estructurales. Por ejem. Las neoplasias de
las células del anclaje renal (nefroblastoma) se diferencian
comúnmente en estructuras que asemejan túbulos renales y con
menos frecuencia en rudimentos de músculo, cartílago y hueso. Se
denominan BLASTOMAS.
 Estas células se encuentran sólo en el periodo fetal y durante los
primeros años de vida posnatal.
 Ejemplo: anclaje retiniano - retinoblastoma (M), anclaje renal –
nefroblastoma (Tumor de Wilms) (M), células nerviosas primitivas
periféricas – Neuroblastoma
Excepciones a estas reglas
1.- Neoplasias que suenan benignas pero
realmente son malignas: Linfoma, Plasmacitoma,
Melanoma, Astrocitoma, tienen que usarse el adjetivo
maligno.
2.- Neoplasias que suenas malignas pero
realmente son benignas: Osteoblastoma y
Condroblastoma.
3.- Leucemias: neoplasia maligna de tejido
hematopoyético.
4.- Tumores mixtos: fibroadenoma, tumor mixto de
la glándula salival, carcinosarcoma.
5.- Neoplasias cuya célula de origen es
desconocida: tumor de células granulosas (de las
células de Schwann?)
Algunos epónimos de neoplasias. a) Thomas Hodgkin b) Linfoma de
Hodgkin c) Paul Grawitz d) Tumor de Grawitz (antes conocido como
hipernefroma, hoy como carcinoma renal) e) Max Wilms f) Tumor de
Wilms (nefroblastoma).
a
b
c
d
e
f
Diagnóstico histológico
de malignidad
 Las células de las neoplasias malignas presentan
falta de rasgos diferenciados que se conoce como
ANAPLASIA.
 El grado de anaplasia concuerda con la agresividad
del tumor.
Anaplasia (ausencia de diferenciación)
 Pleomorfismo celular y nuclear
 Núcleos hipercromáticos
 Aumento de la relación n/c
 Cromatina densa periférica
 Nucléolos grandes
Anaplasia (ausencia de
diferenciación)
 Mitosis
 Mitosis atípica
 Células tumorales gigantes
 Orientación de células anaplásicas alteradas
(perdida de su polaridad)
 Necrosis isquémica central
Inmunohistoquímica
 Anticuerpos que permiten identificar
productos celulares específicos o
marcadores de superficie.
Inmunohistoquímica
 Proteína S 100: Melanoma
 Queratina: carcinomas
 Vimentina: sarcomas
 Antígeno leucocitario humano: linfoma
 Desmina: Tumores de músculo liso y estriado
 Proteína gliofibrilar ácida: tumores gliales
Mecanismos de
diseminación de la neoplasia
Invasión
 Es la presencia de células neoplásicas fuera de su sitio
de origen, sin pérdida de continuidad entre el tumor
primario y el secundario y con daño en las estructuras
afectadas.
 Proliferación celular
 Movimiento celular
 Proteasas
Metástasis
 Se llama metástasis a la presencia de células
neoplásicas fuera del tumor primitivo y sin continuidad
anatómica con el.
 Proliferación progresiva, vascularización, invasión y
desprendimiento, embolia y supervivencia, detención,
extravasación, evasión de las defensas del huésped y
proliferación progresiva.
 Las células neoplásicas pueden seguir cinco vías de
diseminación metastásica:
1.- Linfática
2.- Hemática
3.- Linfohomática
4.- Transcelómica o por implantación, que consiste en el paso
de las células neoplásicas desde un sitio de una cavidad
serosa a otro. Ejemplo: la pleura con el carcinoma de mama
y pulmón; o en el peritoneo con los tumores de ovario y del
tubo digestivo.
5.- Por conductos preformados revestidos de epitelio, que son
los aparatos respiratorio, digestivo y urinario.
Gradación y estadiaje del
cáncer. TNM.
 GRADACIÓN
Los grados histológicos/citológicos se basan en el
grado de anaplasia y en la cantidad de células
proliferantes. Son inevitablemente subjetivos.
- Bien diferenciado
- Moderadamente diferenciado
- Pobremente diferenciado
- Indiferenciado
 ESTADIAJE
El estadío clínico está basado en la extensión del tumor.
Sirve para el tratamiento y sobrevida
TNM
- Clasificación clínica (pre tratamiento) designado TNM o cTNM
- Clasificación hitopatológica post-quirúrgica pTNM
T: la extensión del tumor primario
N: la ausencia o presencia y el compromiso de la metástasis en
los ganglios linfáticos regionales
M: la ausencia o presencia de metástasis a distancia
T0, T1, T2, T3, T4; N0, N1, N2, N3; M0, M1
Estadio ( TNM)
 T0 para “Ca in situ”
 T1 a T4: según el tamaño tumoral
 N0 ausencia de ganglios comprometidos
 N1 a N3 según el número de cadenas ganglionares
comprometidas
 M0 ausencia de metástasis
 M1 metástasis
Ejemplos de
neoplasias mixtas
a) Fibroadenoma
mamario, con
proliferación
de células epiteliales (de
los conductos) y de
células del estroma
(fibroblastos).
b) Carcinosarcoma
mamario, en donde
tanto los elementos
epiteliales como los del
estroma son malignos.
Tamaño de las
neoplasias.
Cistosarcoma
phyllodes de
glándula mamaria,
que
pesó 12 kg
Necrosis de las neoplasias. Superficie fungante en un
cystosarcoma phyllodes mamario
Superficie de las neoplasias
a) Superficie lisa y ulcerada en
un tumor maligno de células
gigantes.
b) Ulceración extensa en un
carcinoma basocelular facial.
c) Superficie vellosa o papilar en
un cistadenocarcinoma del
ovario
a b
c
Diferenciación celular
en los tumores
a) Carcinoma
epidermoide de
piel con formación de
queratina.
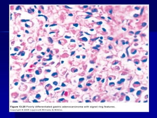
b) Adenocarcinoma
de colon poco
diferenciado, con
células en anillo de
sello que producen
moco pero no lo
secretan
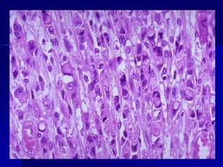
Mitosis atípicas en una neoplasia maligna
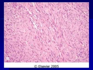
Reacción desmoplástica intensa en un carcinoma poco
diferenciado de la mama
Invasión vascular
a) Invasión de una
vena por un carcinoma
renal.
b) Invasión de
una vena intrahepática
por un tumor
Metástasis de un carcinoma mamario en un ganglio linfático
Metástasis de un
carcinoma mamario en
a) Hígado
b) Pulmones
Carcinomatosis peritoneal secundaria a un carcinoma del ovario
Adenocarcinoma gástrico
CONDROMA
CONDROSARCOMA ÓSEO
Adenocarcinoma papilar de tiroides
LIPOMA
CARACTERÍSTICAS
ANAPLÁSICAS DE
TUMORES MALIGNOS
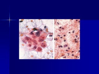
Marcadores tumorales en la identificación de neoplasias
indiferenciadas. Metástasis de melanoma en colon.
Adenocarcinoma de colon con obstrucción intestinal
Múltiples metástasis pigmentadas en los cuerpos vertebrales en
un paciente que falleció por melanoma
Carcinoma metastásico en ganglios linfáticos periaórticos
A) Apariencia macroscópica de un teratoma quístico del ovario abierto.
B) visión microscópica
Leiomioma del útero
Tumor maligno (adenocarcinoma) del colon
Tumor anaplásico del músculo esquelético (rabdomiosarcoma)
Tumor anaplásico que muestra variaciones celulares y nucleares
en el tamaño y la forma
FIBROADENOMA DE LA MAMA
Visión microscópica del fibroadenoma de mama de la vista
anterior
Corte de un carcinoma infiltrante ductal de mama
Visión macroscópica del carcinoma de mama visto en la figura
Carcinoma de colon invadiendo el tejido adiposo pericolónico
Comparación entre un tumor benigno del miometrio (leiomioma) y un
tumor maligno de origen similar (leiomiosarcoma)
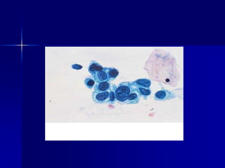
CITOLOGÍA EXFOLIATIVA
Zona de transformación Exocérvix
Célula
de reserva
Cilíndrica Escamosa Célula basal
Unión
escamocilíndrica
CÁNCER DE
CUELLO UTERINO
 Existen lesiones premalignas que anteceden al
desarrollo del cáncer de cuello uterino que se
denominan displasias, que según su gradación se
dividen en displasia leve, moderada y severa. Que
tienen su equivalencia con el NIC (neoplasia
intraepitelial cervical).
 NIC I : Displasia leve
 NIC II : Displasia moderada
 NIC III : Displasia severa y carcinoma in situ
 NIC I: las alteraciones más marcadas se encuentran
en el tercio basal del epitelio.
 NIC II: las alteraciones más importantes se
encuentran en los tercios inferior y medio del
epitelio.
 NIC III: las alteraciones nucleares se aprecian en
todas las capas epiteliales y la citodiferenciación es
mínima.
 El proceso displásica ocurre sobre el labio superior
con mayor frecuencia que sobre el labio posterior del
cuello uterino y a menudo se extiende para abarcar
las glándulas cervicales.
 La mitad de todas las displasias involucionan.
 Sólo el 10 % de displasias progresa a un carcinoma in
situ .
 Menos del 2 % evolucionan a un cáncer invasor.
 El tiempo medio necesario para que todas las
displasias evolucionen a un carcinoma in situ es de 10
años.
 Las lesiones precursoras del cáncer cervical tienen su
origen en la zona de transformación que soporta una
amplia gama de diferenciación epitelial que
comprende la escamosa, cilíndrica y una mezcla de
las dos.
 No todas las lesiones comienzan como NIC I, pueden
entrar en cualquier punto de la secuencia, depen-
diendo del tipo de HPV y el tipo de célula (escamosa
madura, metaplásica inmadura, cilíndrica, etc) infec-
tada por el virus.
Patogenia
 Una gran cantidad de datos epidemiológicos y moleculares ha
establecido los siguientes factores de riesgo para la neoplasia
cervical, todos los cuales indican una compleja interacción entre
el huésped y el virus:
– Edad temprana en la primera relación sexual
– Múltiples parejas sexuales.
– Gran paridad
– Compañero con múltiples parejas sexuales previas
– Presencia de un cáncer asociado al HPV
– Detección persistente del HPV de alto riesgo (16, 18, 31, 33, 35,
39, 45, 51, 52, 56, 58, 59, 68) Los tipos 16 y 18 están en el 70%
de los cánceres invasores.
– Exposición a anticonceptivos orales y nicotina
– Infecciones genitales (clamidias)
 El carcinoma epidermoide invasor suele
manifestarse como una lesión ulcerada, infiltrativa o
exofítica.
 La mayoría corresponde al patrón no
queratinizante. Otros muestran nidos de células
queratinizadas con perlas de queratina.
 El patrón menos frecuente es el de células
pequeñas que es el más agresivo y el de peor
pronóstico.
 La supervivencia a los 5 años para:
– Estadio I: 90%
– Estadio II: 75%
– Estadio III: 35%
– Estadio IV: 10%
 El adenocarcinoma de endocérvix es el otro
tipo de tumor cervical maligno.
 Casi todos ellos proceden de células
endocervicales, corresponde: a
adenocarcinoma in situ, y a adenocarcinoma
invasor.
Actividad sexual
Exposición al HPV
Zona de transformación cervical
Diferenciación escamosa Diferenciación cilíndrica
endocervical
Lesión escamosa intraepitelial
Bajo grado:
HPV de alto
y de bajo grado
Alto grado:
HPV de alto grado
Lesión intraepitelial glandular
(adenocarcinoma insitu)
HPV de alto riesgo
Rara Tabaquismo, anticonceptivos orales, alta paridad,alteración del estado
inmunitario, alteraciones de los genes del huésped, tiempo
Carcinoma escamoso
invasivo
Adenocarcinoma
invasivo
Población
Exposición
al HPV
Exposición
al HPV de
alto riesgo
CIN de
alto grado
persistente
Carcinoma
invasivo
Muerte
ESTADIFICACIÓN (TNM) DEL CÁNCER CERVICAL
Interrelaciones de los sistemas de nomenclatura de la enfermedad
preneoplásica cervical
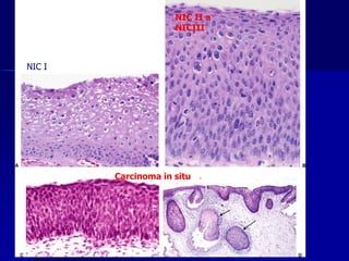
NIC I
NIC II a
NICIII
Carcinoma in situ
Carcinoma Epidermoide Microinvasor
Carcinoma Epidermoide de cuello uterino
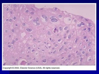
Adenocarcinoma "in
situ".
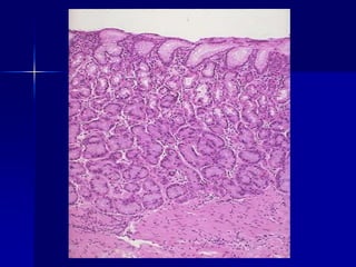
Epitelio superficial de la mucosa endocervical, que muestra células atípicas, con
su polaridad perdida, con variaciones en el tamaño, forma, disposición y
coloración de sus núcleos. No hay signos de infiltración del estro
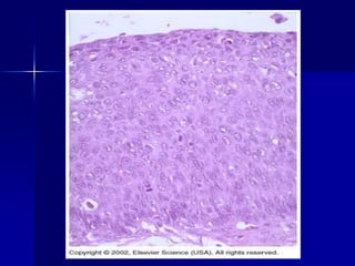
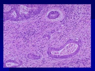
Carcinoma escamoso
invasor.
Imagen microscópica a mediano aumento de un carcinoma escamoso invasor.
Obsérvese la presencia de nidos de márgenes irregulares, rodeados por estroma
desmoplásico. Dichos nidos están formados por células atípicas, con diferenciación
escamosa. Focalmente se evidencia alguna disqueratosis. Tinción de H-E,100X.
CÁNCER DE ESTÓMAGO
s
i
f
i
c
a
t
i
o
n
o
f
G
a
s
t
r
i
c
T
u
m
o
r
s
Tumores epiteliales
Neoplasia intraepitelial: adenoma
Adenocarcinoma*
•Adenocarcinoma papilar
•Adenocarcinoma tubular
•Adenocarcinoma mucinoso
•Carcinoma de células en anillo de sello
•Carcinoma indiferenciado
•Carcinoma adenoescamoso
Carcinoma de célula pequeña
Tumor carcinoide
Tumores no epiteliales
Leiomioma
Schwannoma
Tumor de células granulares
Leiomiosarcoma
Tumor de estroma gastrointestinal (GIST) (grados desde benigno hasta maligno)
Sarcoma de Kaposi, otros
Linfoma
n
c
e
o
f
G
a
s
t
r
i
c
C
a
r
c
i
n
o
m
a
Factores medioambientales
Infección por H. pylori
•Presente en la mayoría de los casos de carcinoma de tipo intestinal
Dieta
•Nitritos derivados de los nitratos (agua, alimentos conservados)
•Alimentos ahumados y en salazón, vegetales encurtidos, pimientos picantes
•Falta de frutas y verduras frescas
Nivel socioeconómico bajo
Consumo de cigarrillos
Factores del huésped
Gastritis crónica
Hipoclorhidria: favorece la colonización de H. pylori
•La metaplasia intestinal es una lesión precursora
Gastrectomía parcial
•Favorece reflujo de líquido intestinal, biliar y alcalino
Adenomas gástricos
•El 40% contienen cáncer en el momento del diagnóstico
•El 30% presentan cáncer adyacente en el momento del diagnóstico
Esófago de Barrett
•Riesgo aumentado de tumores de la unión gastroesofágica
Factores genéticos
Ligero aumento del riesgo en individuos con el grupo sanguíneo A
Historia familiar de cáncer gástrico
Síndrome del cáncer de colon hereditario no polipósico
Síndrome de carcinoma gástrico familiar (mutación de la E-cadherina)
Cáncer gástrico avanzado
 La neoplasia ha penetrado a través de la
submucosa en la muscular propia y puede
extenderse a través de la serosa.
 Se clasifica en tres tipos macroscópicos principales
– Adenocarcinoma polipoide (fungoso)
– Adenocarcinoma ulcerado
– Adenocarcinoma difuso o infiltrante
Cáncer gástrico precoz
 Es una neoplasia que está limitada a la mucosa o
submucosa.
 Se reconocen tres tipos principales:
– Tipo I: masa polipoide nodular
– Tipo II: lesión plana superficial
– Tipo III: úlcera maligna excavada
 La mayoría de los cánceres gástricos de tipo
intestinal se originan en el epitelio que ha
experimentado metaplasia intestinal.
 Los tumores menos diferenciados y los de tipo
difuso proceden del cuello de las glándulas
gástricas sin metaplasia intestinal.
 La supervivencia a los diez años del cáncer gástrico
avanzado tratado quirúrgicamente es del 20 % en
comparación con el 25 % del cáncer gástrico precoz.
 La metástasis ocurre por vía linfática a los ganglios
regionales.
 También se produce metástasis linfática a distancia
tal como al ganglio supraclavicular (ganglio de
Virchow)
 Se puede extender al ovario (tumor de Krukemberg)
 Otros tipos de neoplasia gástrica
– Linfoma gástrico que representa el 5% de todos los tumores
malignos de estómago y el 20 % de todos los linfomas
extraganglionares. Desde el punto de vista clínico y
radiológico el linfoma gástrico se parece al adenocarcinoma
gástrico.
Son neoplasias de bajo grado de linfocitos B, del tipo maltoma
y se producen en el marco de la gastritis crónica por H. pylori
y de la hiperplasia linfoide.
 Tumor del estroma gastrointestinal (GIST)
– Constituye el 1% de los cánceres gástricos.
– Resulta difícil predecir el comportamiento biológico por su
aspecto morfológico si no existe infiltración o metástasis.
– Los malignos son más grandes que los tumores benignos.
– La metástasis se produce generalmente en el hígado y las
superficies peritoneales.
– La mayor parte de las células tumorales son positivas para
c-KIT (CD117)
Exofítico Plano o deprimido Excavado
Exofítico Linitis plástica Excavado
Tumor del estroma gastrointestinal del estómago
Se observan células fusiformes con citoplasma vacuolado
Carcinoma gástrico infiltrante (Linitis Plástica)
Carcinoma gástrico infiltrante
Cáncer gástrico precoz
Principales tipos de cáncer gástrico
Cáncer gástrico precoz
Carcinoma polipoide
Carcinoma ulcerado
Carcinoma infiltrante (Linitis plástica)

Neoplasias

  • 1.
  • 2.
    Definición  Una neoplasiaes una proliferación anormal de tejido nuevo, incontrolada, sin punto final esperado y agresiva para el portador.
  • 3.
    Clasificación Diferencias entre tumoresbenignos y malignos BENIGNOS MALIGNOS Encapsulados No encapsulados Se conservan bien Necrosis y hemorragias frecuentes No invasivos Invasivos Bien diferenciados citológicamente Poco diferenciados citológicamente Mitosis infrecuentes y normales Mitosis numerosas y atípicas Crecimiento lento Crecimiento rápido No producen metástasis Producen metástasis
  • 4.
    Nomenclatura de lasneoplasias que se originan en células diferenciadas (tipo adulto)
  • 5.
    Neoplasias de células totipotentes Capaz de desarrollarse a cualquier tipo celular  Célula o sitio: célula germinal  Neoplasia benigna: teratoma (maduro)  Neoplasia maligna: teratoma (inmaduro), seminoma (hombre), disgerminoma (mujer), carcinoma embrionario, carcinoma del saco vitelino o del seno endodermal, coriocarcinoma.
  • 6.
    Neoplasia de células embrionariaspluripotentes  Capaz de desarrollarse a múltiples tipo celulares con un máximo de dos capas germinales.  Las neoplasias correspondientes tienen el potencial de formación de diversos elementos estructurales. Por ejem. Las neoplasias de las células del anclaje renal (nefroblastoma) se diferencian comúnmente en estructuras que asemejan túbulos renales y con menos frecuencia en rudimentos de músculo, cartílago y hueso. Se denominan BLASTOMAS.  Estas células se encuentran sólo en el periodo fetal y durante los primeros años de vida posnatal.  Ejemplo: anclaje retiniano - retinoblastoma (M), anclaje renal – nefroblastoma (Tumor de Wilms) (M), células nerviosas primitivas periféricas – Neuroblastoma
  • 7.
    Excepciones a estasreglas 1.- Neoplasias que suenan benignas pero realmente son malignas: Linfoma, Plasmacitoma, Melanoma, Astrocitoma, tienen que usarse el adjetivo maligno. 2.- Neoplasias que suenas malignas pero realmente son benignas: Osteoblastoma y Condroblastoma. 3.- Leucemias: neoplasia maligna de tejido hematopoyético.
  • 8.
    4.- Tumores mixtos:fibroadenoma, tumor mixto de la glándula salival, carcinosarcoma. 5.- Neoplasias cuya célula de origen es desconocida: tumor de células granulosas (de las células de Schwann?)
  • 9.
    Algunos epónimos deneoplasias. a) Thomas Hodgkin b) Linfoma de Hodgkin c) Paul Grawitz d) Tumor de Grawitz (antes conocido como hipernefroma, hoy como carcinoma renal) e) Max Wilms f) Tumor de Wilms (nefroblastoma). a b c d e f
  • 10.
    Diagnóstico histológico de malignidad Las células de las neoplasias malignas presentan falta de rasgos diferenciados que se conoce como ANAPLASIA.  El grado de anaplasia concuerda con la agresividad del tumor.
  • 11.
    Anaplasia (ausencia dediferenciación)  Pleomorfismo celular y nuclear  Núcleos hipercromáticos  Aumento de la relación n/c  Cromatina densa periférica  Nucléolos grandes
  • 12.
    Anaplasia (ausencia de diferenciación) Mitosis  Mitosis atípica  Células tumorales gigantes  Orientación de células anaplásicas alteradas (perdida de su polaridad)  Necrosis isquémica central
  • 13.
    Inmunohistoquímica  Anticuerpos quepermiten identificar productos celulares específicos o marcadores de superficie.
  • 14.
    Inmunohistoquímica  Proteína S100: Melanoma  Queratina: carcinomas  Vimentina: sarcomas  Antígeno leucocitario humano: linfoma  Desmina: Tumores de músculo liso y estriado  Proteína gliofibrilar ácida: tumores gliales
  • 15.
  • 16.
    Invasión  Es lapresencia de células neoplásicas fuera de su sitio de origen, sin pérdida de continuidad entre el tumor primario y el secundario y con daño en las estructuras afectadas.  Proliferación celular  Movimiento celular  Proteasas
  • 17.
    Metástasis  Se llamametástasis a la presencia de células neoplásicas fuera del tumor primitivo y sin continuidad anatómica con el.  Proliferación progresiva, vascularización, invasión y desprendimiento, embolia y supervivencia, detención, extravasación, evasión de las defensas del huésped y proliferación progresiva.
  • 18.
     Las célulasneoplásicas pueden seguir cinco vías de diseminación metastásica: 1.- Linfática 2.- Hemática 3.- Linfohomática 4.- Transcelómica o por implantación, que consiste en el paso de las células neoplásicas desde un sitio de una cavidad serosa a otro. Ejemplo: la pleura con el carcinoma de mama y pulmón; o en el peritoneo con los tumores de ovario y del tubo digestivo. 5.- Por conductos preformados revestidos de epitelio, que son los aparatos respiratorio, digestivo y urinario.
  • 19.
    Gradación y estadiajedel cáncer. TNM.  GRADACIÓN Los grados histológicos/citológicos se basan en el grado de anaplasia y en la cantidad de células proliferantes. Son inevitablemente subjetivos. - Bien diferenciado - Moderadamente diferenciado - Pobremente diferenciado - Indiferenciado
  • 20.
     ESTADIAJE El estadíoclínico está basado en la extensión del tumor. Sirve para el tratamiento y sobrevida TNM - Clasificación clínica (pre tratamiento) designado TNM o cTNM - Clasificación hitopatológica post-quirúrgica pTNM T: la extensión del tumor primario N: la ausencia o presencia y el compromiso de la metástasis en los ganglios linfáticos regionales M: la ausencia o presencia de metástasis a distancia T0, T1, T2, T3, T4; N0, N1, N2, N3; M0, M1
  • 21.
    Estadio ( TNM) T0 para “Ca in situ”  T1 a T4: según el tamaño tumoral  N0 ausencia de ganglios comprometidos  N1 a N3 según el número de cadenas ganglionares comprometidas  M0 ausencia de metástasis  M1 metástasis
  • 22.
    Ejemplos de neoplasias mixtas a)Fibroadenoma mamario, con proliferación de células epiteliales (de los conductos) y de células del estroma (fibroblastos). b) Carcinosarcoma mamario, en donde tanto los elementos epiteliales como los del estroma son malignos.
  • 23.
    Tamaño de las neoplasias. Cistosarcoma phyllodesde glándula mamaria, que pesó 12 kg
  • 24.
    Necrosis de lasneoplasias. Superficie fungante en un cystosarcoma phyllodes mamario
  • 25.
    Superficie de lasneoplasias a) Superficie lisa y ulcerada en un tumor maligno de células gigantes. b) Ulceración extensa en un carcinoma basocelular facial. c) Superficie vellosa o papilar en un cistadenocarcinoma del ovario a b c
  • 26.
    Diferenciación celular en lostumores a) Carcinoma epidermoide de piel con formación de queratina. b) Adenocarcinoma de colon poco diferenciado, con células en anillo de sello que producen moco pero no lo secretan
  • 27.
    Mitosis atípicas enuna neoplasia maligna
  • 28.
    Reacción desmoplástica intensaen un carcinoma poco diferenciado de la mama
  • 29.
    Invasión vascular a) Invasiónde una vena por un carcinoma renal. b) Invasión de una vena intrahepática por un tumor
  • 30.
    Metástasis de uncarcinoma mamario en un ganglio linfático
  • 31.
    Metástasis de un carcinomamamario en a) Hígado b) Pulmones
  • 32.
    Carcinomatosis peritoneal secundariaa un carcinoma del ovario
  • 33.
  • 34.
  • 35.
  • 36.
  • 37.
  • 38.
  • 39.
    Marcadores tumorales enla identificación de neoplasias indiferenciadas. Metástasis de melanoma en colon.
  • 40.
    Adenocarcinoma de coloncon obstrucción intestinal
  • 41.
    Múltiples metástasis pigmentadasen los cuerpos vertebrales en un paciente que falleció por melanoma
  • 42.
    Carcinoma metastásico enganglios linfáticos periaórticos
  • 43.
    A) Apariencia macroscópicade un teratoma quístico del ovario abierto. B) visión microscópica
  • 44.
  • 45.
  • 46.
    Tumor anaplásico delmúsculo esquelético (rabdomiosarcoma)
  • 47.
    Tumor anaplásico quemuestra variaciones celulares y nucleares en el tamaño y la forma
  • 48.
  • 49.
    Visión microscópica delfibroadenoma de mama de la vista anterior
  • 50.
    Corte de uncarcinoma infiltrante ductal de mama
  • 51.
    Visión macroscópica delcarcinoma de mama visto en la figura
  • 52.
    Carcinoma de coloninvadiendo el tejido adiposo pericolónico
  • 53.
    Comparación entre untumor benigno del miometrio (leiomioma) y un tumor maligno de origen similar (leiomiosarcoma)
  • 54.
  • 56.
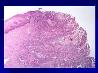
    Zona de transformaciónExocérvix Célula de reserva Cilíndrica Escamosa Célula basal Unión escamocilíndrica
  • 81.
  • 82.
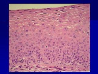
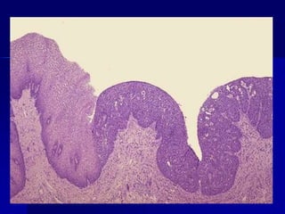
     Existen lesionespremalignas que anteceden al desarrollo del cáncer de cuello uterino que se denominan displasias, que según su gradación se dividen en displasia leve, moderada y severa. Que tienen su equivalencia con el NIC (neoplasia intraepitelial cervical).  NIC I : Displasia leve  NIC II : Displasia moderada  NIC III : Displasia severa y carcinoma in situ
  • 83.
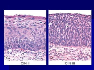
     NIC I:las alteraciones más marcadas se encuentran en el tercio basal del epitelio.  NIC II: las alteraciones más importantes se encuentran en los tercios inferior y medio del epitelio.  NIC III: las alteraciones nucleares se aprecian en todas las capas epiteliales y la citodiferenciación es mínima.
  • 84.
     El procesodisplásica ocurre sobre el labio superior con mayor frecuencia que sobre el labio posterior del cuello uterino y a menudo se extiende para abarcar las glándulas cervicales.  La mitad de todas las displasias involucionan.  Sólo el 10 % de displasias progresa a un carcinoma in situ .  Menos del 2 % evolucionan a un cáncer invasor.  El tiempo medio necesario para que todas las displasias evolucionen a un carcinoma in situ es de 10 años.
  • 85.
     Las lesionesprecursoras del cáncer cervical tienen su origen en la zona de transformación que soporta una amplia gama de diferenciación epitelial que comprende la escamosa, cilíndrica y una mezcla de las dos.  No todas las lesiones comienzan como NIC I, pueden entrar en cualquier punto de la secuencia, depen- diendo del tipo de HPV y el tipo de célula (escamosa madura, metaplásica inmadura, cilíndrica, etc) infec- tada por el virus.
  • 86.
    Patogenia  Una grancantidad de datos epidemiológicos y moleculares ha establecido los siguientes factores de riesgo para la neoplasia cervical, todos los cuales indican una compleja interacción entre el huésped y el virus: – Edad temprana en la primera relación sexual – Múltiples parejas sexuales. – Gran paridad – Compañero con múltiples parejas sexuales previas – Presencia de un cáncer asociado al HPV – Detección persistente del HPV de alto riesgo (16, 18, 31, 33, 35, 39, 45, 51, 52, 56, 58, 59, 68) Los tipos 16 y 18 están en el 70% de los cánceres invasores. – Exposición a anticonceptivos orales y nicotina – Infecciones genitales (clamidias)
  • 87.
     El carcinomaepidermoide invasor suele manifestarse como una lesión ulcerada, infiltrativa o exofítica.  La mayoría corresponde al patrón no queratinizante. Otros muestran nidos de células queratinizadas con perlas de queratina.  El patrón menos frecuente es el de células pequeñas que es el más agresivo y el de peor pronóstico.
  • 88.
     La supervivenciaa los 5 años para: – Estadio I: 90% – Estadio II: 75% – Estadio III: 35% – Estadio IV: 10%
  • 89.
     El adenocarcinomade endocérvix es el otro tipo de tumor cervical maligno.  Casi todos ellos proceden de células endocervicales, corresponde: a adenocarcinoma in situ, y a adenocarcinoma invasor.
  • 90.
    Actividad sexual Exposición alHPV Zona de transformación cervical Diferenciación escamosa Diferenciación cilíndrica endocervical Lesión escamosa intraepitelial Bajo grado: HPV de alto y de bajo grado Alto grado: HPV de alto grado Lesión intraepitelial glandular (adenocarcinoma insitu) HPV de alto riesgo Rara Tabaquismo, anticonceptivos orales, alta paridad,alteración del estado inmunitario, alteraciones de los genes del huésped, tiempo Carcinoma escamoso invasivo Adenocarcinoma invasivo
  • 91.
    Población Exposición al HPV Exposición al HPVde alto riesgo CIN de alto grado persistente Carcinoma invasivo Muerte
  • 94.
    ESTADIFICACIÓN (TNM) DELCÁNCER CERVICAL
  • 115.
    Interrelaciones de lossistemas de nomenclatura de la enfermedad preneoplásica cervical
  • 116.
    NIC I NIC IIa NICIII Carcinoma in situ
  • 117.
  • 118.
  • 119.
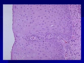
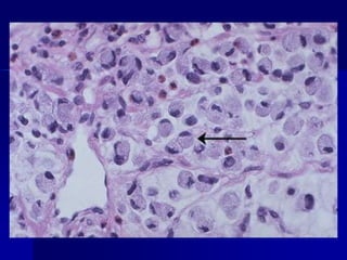
    Adenocarcinoma "in situ". Epitelio superficialde la mucosa endocervical, que muestra células atípicas, con su polaridad perdida, con variaciones en el tamaño, forma, disposición y coloración de sus núcleos. No hay signos de infiltración del estro
  • 120.
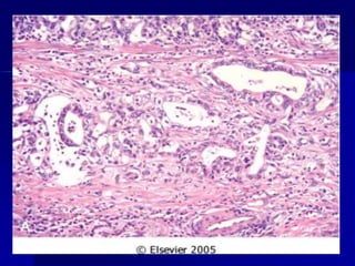
    Carcinoma escamoso invasor. Imagen microscópicaa mediano aumento de un carcinoma escamoso invasor. Obsérvese la presencia de nidos de márgenes irregulares, rodeados por estroma desmoplásico. Dichos nidos están formados por células atípicas, con diferenciación escamosa. Focalmente se evidencia alguna disqueratosis. Tinción de H-E,100X.
  • 121.
  • 122.
    s i f i c a t i o n o f G a s t r i c T u m o r s Tumores epiteliales Neoplasia intraepitelial:adenoma Adenocarcinoma* •Adenocarcinoma papilar •Adenocarcinoma tubular •Adenocarcinoma mucinoso •Carcinoma de células en anillo de sello •Carcinoma indiferenciado •Carcinoma adenoescamoso Carcinoma de célula pequeña Tumor carcinoide Tumores no epiteliales Leiomioma Schwannoma Tumor de células granulares Leiomiosarcoma Tumor de estroma gastrointestinal (GIST) (grados desde benigno hasta maligno) Sarcoma de Kaposi, otros Linfoma
  • 123.
    n c e o f G a s t r i c C a r c i n o m a Factores medioambientales Infección porH. pylori •Presente en la mayoría de los casos de carcinoma de tipo intestinal Dieta •Nitritos derivados de los nitratos (agua, alimentos conservados) •Alimentos ahumados y en salazón, vegetales encurtidos, pimientos picantes •Falta de frutas y verduras frescas Nivel socioeconómico bajo Consumo de cigarrillos Factores del huésped Gastritis crónica Hipoclorhidria: favorece la colonización de H. pylori •La metaplasia intestinal es una lesión precursora Gastrectomía parcial •Favorece reflujo de líquido intestinal, biliar y alcalino Adenomas gástricos •El 40% contienen cáncer en el momento del diagnóstico •El 30% presentan cáncer adyacente en el momento del diagnóstico Esófago de Barrett •Riesgo aumentado de tumores de la unión gastroesofágica
  • 124.
    Factores genéticos Ligero aumentodel riesgo en individuos con el grupo sanguíneo A Historia familiar de cáncer gástrico Síndrome del cáncer de colon hereditario no polipósico Síndrome de carcinoma gástrico familiar (mutación de la E-cadherina)
  • 125.
    Cáncer gástrico avanzado La neoplasia ha penetrado a través de la submucosa en la muscular propia y puede extenderse a través de la serosa.  Se clasifica en tres tipos macroscópicos principales – Adenocarcinoma polipoide (fungoso) – Adenocarcinoma ulcerado – Adenocarcinoma difuso o infiltrante
  • 126.
    Cáncer gástrico precoz Es una neoplasia que está limitada a la mucosa o submucosa.  Se reconocen tres tipos principales: – Tipo I: masa polipoide nodular – Tipo II: lesión plana superficial – Tipo III: úlcera maligna excavada
  • 127.
     La mayoríade los cánceres gástricos de tipo intestinal se originan en el epitelio que ha experimentado metaplasia intestinal.  Los tumores menos diferenciados y los de tipo difuso proceden del cuello de las glándulas gástricas sin metaplasia intestinal.
  • 128.
     La supervivenciaa los diez años del cáncer gástrico avanzado tratado quirúrgicamente es del 20 % en comparación con el 25 % del cáncer gástrico precoz.  La metástasis ocurre por vía linfática a los ganglios regionales.  También se produce metástasis linfática a distancia tal como al ganglio supraclavicular (ganglio de Virchow)  Se puede extender al ovario (tumor de Krukemberg)
  • 129.
     Otros tiposde neoplasia gástrica – Linfoma gástrico que representa el 5% de todos los tumores malignos de estómago y el 20 % de todos los linfomas extraganglionares. Desde el punto de vista clínico y radiológico el linfoma gástrico se parece al adenocarcinoma gástrico. Son neoplasias de bajo grado de linfocitos B, del tipo maltoma y se producen en el marco de la gastritis crónica por H. pylori y de la hiperplasia linfoide.
  • 130.
     Tumor delestroma gastrointestinal (GIST) – Constituye el 1% de los cánceres gástricos. – Resulta difícil predecir el comportamiento biológico por su aspecto morfológico si no existe infiltración o metástasis. – Los malignos son más grandes que los tumores benignos. – La metástasis se produce generalmente en el hígado y las superficies peritoneales. – La mayor parte de las células tumorales son positivas para c-KIT (CD117)
  • 133.
    Exofítico Plano odeprimido Excavado Exofítico Linitis plástica Excavado
  • 147.
    Tumor del estromagastrointestinal del estómago Se observan células fusiformes con citoplasma vacuolado
  • 148.
  • 149.
  • 150.
  • 151.
    Principales tipos decáncer gástrico Cáncer gástrico precoz Carcinoma polipoide Carcinoma ulcerado Carcinoma infiltrante (Linitis plástica)