TROMBOSIS Jesús A. Custodio Marroquín Jesús A. Custodio Marroquín Estudiante de Medicina VI Ciclo – Universidad Católica Santo Toribio de Mogrovejo – Chiclayo – Perú
TROMBOSIS A.- Concepto. Diferencias entre TROMBO Y COÁGULO TROMBO COÁGULO In vivo. Postmortem. Lesión en pared vascular. No lesión en pared vascular. Adherido a la pared. No adherido al vaso. Duro, no elástico. Elástico. B.- Causas y mecanismos patogénicos: 1.- Alteraciones de la pared vascular. 2.- Alteraciones hemodinámicas. 3.- Modificaciones de la composición sanguínea. Jesús A. Custodio Marroquín
TROMBOSIS Desbalance en los  mecanismos procoagulantes  y  anticoagulantes naturales , que provoca la  obstrucción parcial o total  de un vaso sanguíneo a causa de un coágulo de sangre. VENA Trombosis venosa,  Embolia pulmonar ARTERIA  IAM  AVE Jesús A. Custodio Marroquín
PATOGENIA Tres influencias primarias predisponen a la formación del trombo, la denominada  Triada de Virchow: Lesión Endotelial. Estasis del flujo sanguíneo . Hipercoagulabilidad de la sangre. Jesús A. Custodio Marroquín
Ovino   Coágulos Jesús A. Custodio Marroquín
Equino   Coágulo lardáceo en ventrículo derecho Jesús A. Custodio Marroquín
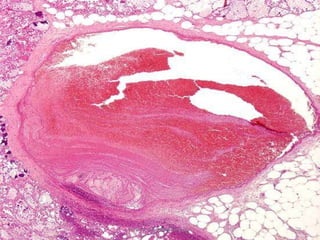
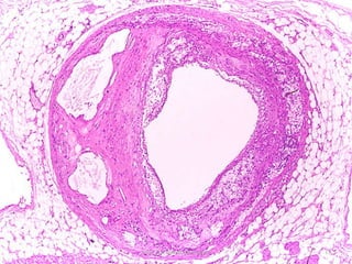
Trombo. Aorta abdominal Jesús A. Custodio Marroquín
Vaso normal Jesús A. Custodio Marroquín Hematíes Granulocito Plaquetas Linfocito
TROMBOSIS Alteraciones en la pared vascular Lesión vascular: Liberación de tromboplastina tisular (factor III) por las céls. endoteliales que se destruyen. Se inicia la cascada de la coagulación por la vía extrínseca (se forma fibrina). Jesús A. Custodio Marroquín
Agregación plaquetaria: Adhesión plaquetaria a la membrana basal libre.  Se forma un agregado plaquetario. TROMBOSIS Alteraciones en la pared vascular Jesús A. Custodio Marroquín
TROMBOSIS Alteraciones en la pared vascular Formación del trombo: La fibrina formada por la vía extrínseca forma una red que atrapa a hematíes y leucocitos, formándose un trombo. Jesús A. Custodio Marroquín
Vaso normal Lesión vascular: Liberación de tromboplastina tisular (factor III) por las céls. endoteliales que se destruyen. Se inicia la cascada de la coagulación por la vía extrínseca (se forma fibrina). Agregación plaquetaria: Adhesión plaquetaria a la memb. basal libre. Se forma un agregado plaquetario. Formación del trombo: La fibrina formada por la vía extrínseca forma una red que atrapa a hematíes y leucocitos, formándose un trombo. TROMBOSIS Alteraciones en la pared vascular Jesús A. Custodio Marroquín Hematíes Granulocito Plaquetas Linfocito
B.-  Causas y mecanismos patogénicos: 1.-   Alteraciones de la pared vascular. Causas: a.-  Traumatismos y/o quemaduras. b.-  Inflamaciones vasculares  (arteritis, flebitis). c.-  Endocarditis (gérmenes).  Ej.: Mal rojo porcino. d.-  Arteriosclerosis: endurecimiento. e.-  Lesiones de estasis: Anoxia y muerte. f.-  Sustancias tóxicas: toxinas. Ej.:  E. Coli . Jesús A. Custodio Marroquín
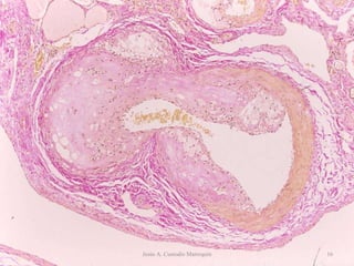
Endocarditis. Porcino Jesús A. Custodio Marroquín
Jesús A. Custodio Marroquín
Jesús A. Custodio Marroquín
B.-  Causas y mecanismos patogénicos: 2.-   Alteraciones hemodinámicas: a.-   Estasis venosa: - Inmovilización prolongada (fracturas, etc); - Insuficiencia cardiaca; - Shock, etc. b.-  Turbulencias: - Zonas de lesión vascular. - Alteraciones del diámetro vascular. - Válvulas venosas.   Jesús A. Custodio Marroquín
CIRCULACIÓN SANGUÍNEA FLUJO LAMINAR Contacto con endotelio:  Plasma. Centro:   Elementos celulares (hematies, leucocitos).  Periferia:  Plaquetas.  Velocidad rápida Velocidad media Velocidad lenta Jesús A. Custodio Marroquín
FASES DE LA LESIÓN VASCULAR Leve separación y descamación endotelial: Se produce una separación intercelular que permite la salida de líquido (suero). Jesús A. Custodio Marroquín
FASES DE LA LESIÓN VASCULAR Moderada separación y descamación endotelial: La separación intercelular producida permite la salida de líquido (plasma) con presencia de proteínas (albúmina, fibrinógeno, etc). Jesús A. Custodio Marroquín
FASES DE LA LESIÓN VASCULAR Grave separación y descamación endotelial: La separación intercelular producida, así como la intensa descamación celular, permite la salida de líquido (plasma) e incluso elementos celulares. Jesús A. Custodio Marroquín
FASES DE LA LESIÓN VASCULAR Grave Moderada Leve Sano Jesús A. Custodio Marroquín
CIRCULACIÓN SANGUÍNEA FLUJO LAMINAR ALTERADO Trombosis Lesión vascular Bifurcación vascular Jesús A. Custodio Marroquín
3.- Modificaciones de la composición sanguínea . La hipercoagulabilidad contribuye menos frecuentemente a los estados trombóticos pero es un componente importante. Pueden ser trastornos primarios  (genéticos) y secundarios (adquiridos). a.-  Trombocitosis. b.-  Incremento en el número de hematíes. c.-  Enfermedades renales o hepáticas. d.-  Venenos. Jesús A. Custodio Marroquín
Jesús A. Custodio Marroquín
1.-   Trombos blancos o lardáceos (precipitación). 2.-   Trombos rojos (coagulación). 3.-   Trombos mixtos. 4.-   Trombos hialinos. C.-  Morfología y morfogénesis. Jesús A. Custodio Marroquín
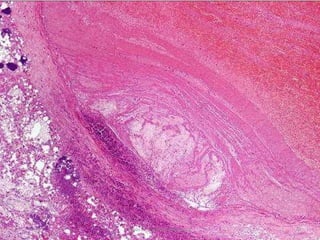
C.-  Morfología y morfogénesis de los trombos Trombo blanco o lardáceo (precipitación): - Se forman en arterias. - No son obturantes (por la fuerza de la corriente). - Rugosos y adheridos a la pared vascular. - Presentan una estriación a modo de bandas (bandas de Zhan) por la formación sucesiva.  - Crece en dirección de la sangre. -  Causa : Lesión en pared vascular. -  Componentes : GB, plaquetas y fibrina. -  Color : blancos o blanco-grisáceos. Jesús A. Custodio Marroquín
Equino. Pulmón Jesús A. Custodio Marroquín
Jesús A. Custodio Marroquín
Jesús A. Custodio Marroquín
Diferencias entre trombos blancos y rojos CARACTERÍSTICAS BLANCOS ROJOS Causa Lesión en la pared Lentificación de la corriente Tipo de vaso Arterias Venas ¿Obturan la luz vascular? No Si ¿Adheridos a la pared? Si Poco Aspecto Rugoso Brillante Dirección de crecimiento A favor de corriente Contracorriente Componentes Plaqtas, GB y fibrina Plaqtas, GB, GR y fibrina Color Blancos o grisáceos Rojos Jesús A. Custodio Marroquín
C.-  Morfología y morfogénesis de los trombos Trombo rojo (coagulación): - Se forma en venas alejadas del corazón. - Son obturante (coagulación rápida). - Poco adheridos a la pared. Tienden a desprenderse. - Crecen contracorriente. -  Causa : Lentificación de la corriente por un estasis prolongado de la zona. -  Componentes : GB, GR, plaquetas y fibrina. -  Color : rojo. Jesús A. Custodio Marroquín
Trombo mixto: - Se forman en arterias. - Se forma lentamente en el tiempo. -  Partes : a.-  Cabeza:  Es lo primero que se forma y suele ser blanca. b.-  Cuerpo:  A veces es estriado (blanco y rojo) o no se aprecia. c.-  Cola:  Se forma la última. Siempre es roja, blanda y fácilmente  desprendible (no unida al vaso) desencadenando émbolos. C.-  Morfología y morfogénesis de los trombos Jesús A. Custodio Marroquín a b c Émbolo
Equino. Pulmón Jesús A. Custodio Marroquín
Equino. Vasos pulmonares.   Trombo Equino. Pulmón Jesús A. Custodio Marroquín
Trombo hialino: - Se forma en capilares. - Suele ser obturante (luz pequeña). -  Componentes : plaquetas y fibrina. -  Causas : CID, Shock, algunas enfermedades  (ej.: difteria),  venenos de serpientes. -  Color : transparentes. C.-  Morfología y morfogénesis de los trombos Jesús A. Custodio Marroquín
Trombo blanco Trombo rojo Trombo mixto Trombo hialino C.-  Morfología y morfogénesis de los trombos Jesús A. Custodio Marroquín
1.-   Acrecentamiento. 2.-   Embolismo. 3.-   Trombolisis (fibrinolisis). 4.-   Organización: a.-   Epitelización del trombo. b.-  Recanalización del trombo. c.-  Fibrosis. D.-  Evolución y consecuencias. Jesús A. Custodio Marroquín
FASES DE LA ORGANIZACIÓN DE UN TROMBO VASO NORMAL FORMACIÓN DEL TROMBO Trombo Jesús A. Custodio Marroquín
EPITELIZACIÓN Céls. endoteliales FASES DE LA ORGANIZACIÓN DE UN TROMBO Jesús A. Custodio Marroquín
RECANALIZACIÓN Macrófagos y angioblastos (neovasos) FASES DE LA ORGANIZACIÓN DE UN TROMBO Jesús A. Custodio Marroquín
FIBROSIS Fibroblastos (fibras colágenas) FASES DE LA ORGANIZACIÓN DE UN TROMBO Jesús A. Custodio Marroquín
FASES DE LA ORGANIZACIÓN DE UN TROMBO VASO NORMAL FORMACIÓN DEL TROMBO EPITELIZACIÓN RECANALIZACIÓN FIBROSIS Trombo Céls. endoteliales Macrófagos y  angioblastos (neovasos) Fibroblastos  (fibras colágenas) Jesús A. Custodio Marroquín
1.- Definición Una variedad de trastornos, que varían desde complicaciones obstétricas hasta neoplasias avanzadas, pueden complicarse con una CID, que implica la aplicación súbita o insidiosa de trombos de fibrina diseminados en la microcirculación.  Pueden causar insuficiencia circulatoria difusa, particularmente en le cerebro, pulmones, corazón y riñones. E.- Coagulación intravascular diseminada (C.I.D.). Jesús A. Custodio Marroquín
Trombo. Aorta abdominal Jesús A. Custodio Marroquín
Ovino. Vasos pulmonares.   Trombo Jesús A. Custodio Marroquín
Cascada de Coagulación Serie de conversiones enzimáticas, que vuelven proenzimas inactivas en enzimas activadas y culminan en la formación de trombina.  Posteriormente, la trombina convierte la proteína plasmática soluble precursora  fibrinógeno  en la proteína fibrosa soluble  fibrina . La vía  intrínseca  puede iniciar in vitro mediante la activación del factor Hageman ( factor XII ), mientras que la vía  extrínseca  se activa por el  factor tisular. Jesús A. Custodio Marroquín
Jesús A. Custodio Marroquín
MUCHAS  GRACIAS Jesús A. Custodio Marroquín

Trombosis

  • 1.
    TROMBOSIS Jesús A.Custodio Marroquín Jesús A. Custodio Marroquín Estudiante de Medicina VI Ciclo – Universidad Católica Santo Toribio de Mogrovejo – Chiclayo – Perú
  • 2.
    TROMBOSIS A.- Concepto.Diferencias entre TROMBO Y COÁGULO TROMBO COÁGULO In vivo. Postmortem. Lesión en pared vascular. No lesión en pared vascular. Adherido a la pared. No adherido al vaso. Duro, no elástico. Elástico. B.- Causas y mecanismos patogénicos: 1.- Alteraciones de la pared vascular. 2.- Alteraciones hemodinámicas. 3.- Modificaciones de la composición sanguínea. Jesús A. Custodio Marroquín
  • 3.
    TROMBOSIS Desbalance enlos mecanismos procoagulantes y anticoagulantes naturales , que provoca la obstrucción parcial o total de un vaso sanguíneo a causa de un coágulo de sangre. VENA Trombosis venosa, Embolia pulmonar ARTERIA IAM AVE Jesús A. Custodio Marroquín
  • 4.
    PATOGENIA Tres influenciasprimarias predisponen a la formación del trombo, la denominada Triada de Virchow: Lesión Endotelial. Estasis del flujo sanguíneo . Hipercoagulabilidad de la sangre. Jesús A. Custodio Marroquín
  • 5.
    Ovino Coágulos Jesús A. Custodio Marroquín
  • 6.
    Equino Coágulo lardáceo en ventrículo derecho Jesús A. Custodio Marroquín
  • 7.
    Trombo. Aorta abdominalJesús A. Custodio Marroquín
  • 8.
    Vaso normal JesúsA. Custodio Marroquín Hematíes Granulocito Plaquetas Linfocito
  • 9.
    TROMBOSIS Alteraciones enla pared vascular Lesión vascular: Liberación de tromboplastina tisular (factor III) por las céls. endoteliales que se destruyen. Se inicia la cascada de la coagulación por la vía extrínseca (se forma fibrina). Jesús A. Custodio Marroquín
  • 10.
    Agregación plaquetaria: Adhesiónplaquetaria a la membrana basal libre. Se forma un agregado plaquetario. TROMBOSIS Alteraciones en la pared vascular Jesús A. Custodio Marroquín
  • 11.
    TROMBOSIS Alteraciones enla pared vascular Formación del trombo: La fibrina formada por la vía extrínseca forma una red que atrapa a hematíes y leucocitos, formándose un trombo. Jesús A. Custodio Marroquín
  • 12.
    Vaso normal Lesiónvascular: Liberación de tromboplastina tisular (factor III) por las céls. endoteliales que se destruyen. Se inicia la cascada de la coagulación por la vía extrínseca (se forma fibrina). Agregación plaquetaria: Adhesión plaquetaria a la memb. basal libre. Se forma un agregado plaquetario. Formación del trombo: La fibrina formada por la vía extrínseca forma una red que atrapa a hematíes y leucocitos, formándose un trombo. TROMBOSIS Alteraciones en la pared vascular Jesús A. Custodio Marroquín Hematíes Granulocito Plaquetas Linfocito
  • 13.
    B.- Causasy mecanismos patogénicos: 1.- Alteraciones de la pared vascular. Causas: a.- Traumatismos y/o quemaduras. b.- Inflamaciones vasculares (arteritis, flebitis). c.- Endocarditis (gérmenes). Ej.: Mal rojo porcino. d.- Arteriosclerosis: endurecimiento. e.- Lesiones de estasis: Anoxia y muerte. f.- Sustancias tóxicas: toxinas. Ej.: E. Coli . Jesús A. Custodio Marroquín
  • 14.
    Endocarditis. Porcino JesúsA. Custodio Marroquín
  • 15.
  • 16.
  • 17.
    B.- Causasy mecanismos patogénicos: 2.- Alteraciones hemodinámicas: a.- Estasis venosa: - Inmovilización prolongada (fracturas, etc); - Insuficiencia cardiaca; - Shock, etc. b.- Turbulencias: - Zonas de lesión vascular. - Alteraciones del diámetro vascular. - Válvulas venosas. Jesús A. Custodio Marroquín
  • 18.
    CIRCULACIÓN SANGUÍNEA FLUJOLAMINAR Contacto con endotelio: Plasma. Centro: Elementos celulares (hematies, leucocitos). Periferia: Plaquetas. Velocidad rápida Velocidad media Velocidad lenta Jesús A. Custodio Marroquín
  • 19.
    FASES DE LALESIÓN VASCULAR Leve separación y descamación endotelial: Se produce una separación intercelular que permite la salida de líquido (suero). Jesús A. Custodio Marroquín
  • 20.
    FASES DE LALESIÓN VASCULAR Moderada separación y descamación endotelial: La separación intercelular producida permite la salida de líquido (plasma) con presencia de proteínas (albúmina, fibrinógeno, etc). Jesús A. Custodio Marroquín
  • 21.
    FASES DE LALESIÓN VASCULAR Grave separación y descamación endotelial: La separación intercelular producida, así como la intensa descamación celular, permite la salida de líquido (plasma) e incluso elementos celulares. Jesús A. Custodio Marroquín
  • 22.
    FASES DE LALESIÓN VASCULAR Grave Moderada Leve Sano Jesús A. Custodio Marroquín
  • 23.
    CIRCULACIÓN SANGUÍNEA FLUJOLAMINAR ALTERADO Trombosis Lesión vascular Bifurcación vascular Jesús A. Custodio Marroquín
  • 24.
    3.- Modificaciones dela composición sanguínea . La hipercoagulabilidad contribuye menos frecuentemente a los estados trombóticos pero es un componente importante. Pueden ser trastornos primarios (genéticos) y secundarios (adquiridos). a.- Trombocitosis. b.- Incremento en el número de hematíes. c.- Enfermedades renales o hepáticas. d.- Venenos. Jesús A. Custodio Marroquín
  • 25.
  • 26.
    1.- Trombos blancos o lardáceos (precipitación). 2.- Trombos rojos (coagulación). 3.- Trombos mixtos. 4.- Trombos hialinos. C.- Morfología y morfogénesis. Jesús A. Custodio Marroquín
  • 27.
    C.- Morfologíay morfogénesis de los trombos Trombo blanco o lardáceo (precipitación): - Se forman en arterias. - No son obturantes (por la fuerza de la corriente). - Rugosos y adheridos a la pared vascular. - Presentan una estriación a modo de bandas (bandas de Zhan) por la formación sucesiva. - Crece en dirección de la sangre. - Causa : Lesión en pared vascular. - Componentes : GB, plaquetas y fibrina. - Color : blancos o blanco-grisáceos. Jesús A. Custodio Marroquín
  • 28.
    Equino. Pulmón JesúsA. Custodio Marroquín
  • 29.
  • 30.
  • 31.
    Diferencias entre trombosblancos y rojos CARACTERÍSTICAS BLANCOS ROJOS Causa Lesión en la pared Lentificación de la corriente Tipo de vaso Arterias Venas ¿Obturan la luz vascular? No Si ¿Adheridos a la pared? Si Poco Aspecto Rugoso Brillante Dirección de crecimiento A favor de corriente Contracorriente Componentes Plaqtas, GB y fibrina Plaqtas, GB, GR y fibrina Color Blancos o grisáceos Rojos Jesús A. Custodio Marroquín
  • 32.
    C.- Morfologíay morfogénesis de los trombos Trombo rojo (coagulación): - Se forma en venas alejadas del corazón. - Son obturante (coagulación rápida). - Poco adheridos a la pared. Tienden a desprenderse. - Crecen contracorriente. - Causa : Lentificación de la corriente por un estasis prolongado de la zona. - Componentes : GB, GR, plaquetas y fibrina. - Color : rojo. Jesús A. Custodio Marroquín
  • 33.
    Trombo mixto: -Se forman en arterias. - Se forma lentamente en el tiempo. - Partes : a.- Cabeza: Es lo primero que se forma y suele ser blanca. b.- Cuerpo: A veces es estriado (blanco y rojo) o no se aprecia. c.- Cola: Se forma la última. Siempre es roja, blanda y fácilmente desprendible (no unida al vaso) desencadenando émbolos. C.- Morfología y morfogénesis de los trombos Jesús A. Custodio Marroquín a b c Émbolo
  • 34.
    Equino. Pulmón JesúsA. Custodio Marroquín
  • 35.
    Equino. Vasos pulmonares. Trombo Equino. Pulmón Jesús A. Custodio Marroquín
  • 36.
    Trombo hialino: -Se forma en capilares. - Suele ser obturante (luz pequeña). - Componentes : plaquetas y fibrina. - Causas : CID, Shock, algunas enfermedades (ej.: difteria), venenos de serpientes. - Color : transparentes. C.- Morfología y morfogénesis de los trombos Jesús A. Custodio Marroquín
  • 37.
    Trombo blanco Tromborojo Trombo mixto Trombo hialino C.- Morfología y morfogénesis de los trombos Jesús A. Custodio Marroquín
  • 38.
    1.- Acrecentamiento. 2.- Embolismo. 3.- Trombolisis (fibrinolisis). 4.- Organización: a.- Epitelización del trombo. b.- Recanalización del trombo. c.- Fibrosis. D.- Evolución y consecuencias. Jesús A. Custodio Marroquín
  • 39.
    FASES DE LAORGANIZACIÓN DE UN TROMBO VASO NORMAL FORMACIÓN DEL TROMBO Trombo Jesús A. Custodio Marroquín
  • 40.
    EPITELIZACIÓN Céls. endotelialesFASES DE LA ORGANIZACIÓN DE UN TROMBO Jesús A. Custodio Marroquín
  • 41.
    RECANALIZACIÓN Macrófagos yangioblastos (neovasos) FASES DE LA ORGANIZACIÓN DE UN TROMBO Jesús A. Custodio Marroquín
  • 42.
    FIBROSIS Fibroblastos (fibrascolágenas) FASES DE LA ORGANIZACIÓN DE UN TROMBO Jesús A. Custodio Marroquín
  • 43.
    FASES DE LAORGANIZACIÓN DE UN TROMBO VASO NORMAL FORMACIÓN DEL TROMBO EPITELIZACIÓN RECANALIZACIÓN FIBROSIS Trombo Céls. endoteliales Macrófagos y angioblastos (neovasos) Fibroblastos (fibras colágenas) Jesús A. Custodio Marroquín
  • 44.
    1.- Definición Unavariedad de trastornos, que varían desde complicaciones obstétricas hasta neoplasias avanzadas, pueden complicarse con una CID, que implica la aplicación súbita o insidiosa de trombos de fibrina diseminados en la microcirculación. Pueden causar insuficiencia circulatoria difusa, particularmente en le cerebro, pulmones, corazón y riñones. E.- Coagulación intravascular diseminada (C.I.D.). Jesús A. Custodio Marroquín
  • 45.
    Trombo. Aorta abdominalJesús A. Custodio Marroquín
  • 46.
    Ovino. Vasos pulmonares. Trombo Jesús A. Custodio Marroquín
  • 47.
    Cascada de CoagulaciónSerie de conversiones enzimáticas, que vuelven proenzimas inactivas en enzimas activadas y culminan en la formación de trombina. Posteriormente, la trombina convierte la proteína plasmática soluble precursora fibrinógeno en la proteína fibrosa soluble fibrina . La vía intrínseca puede iniciar in vitro mediante la activación del factor Hageman ( factor XII ), mientras que la vía extrínseca se activa por el factor tisular. Jesús A. Custodio Marroquín
  • 48.
  • 49.
    MUCHAS GRACIASJesús A. Custodio Marroquín