NEOPLASIAS
NEOPLASIAS
• Todos saben que significa neoplasia?

• Según Rupert Willis
  – “una masa anormal de tejido, con un crecimiento
    que sobrepasa al de los tejidos normales y no
    coordinado con el de estos, que conserva el
    mismo carácter excesivo una vez concluido el
    estimulo que provoco el cambio”
El estado neoplásico
• El estado neoplásico se da por cambios en el
  material genético que se transmiten a las
  nuevas generaciones de las células de la
  neoplasia
Definiciones
• Neoplasia
• Nuevo crecimiento

• Oncología
• Rama de la medicina que trata del estudio de
  los tumores
Definiciones
• Tumor
• Hinchazón o aumento de tamaño propio de los
  eventos inflamatorios
• Crecimiento hístico caracterizado por
  proliferación celular descontrolada y
  progresiva .
• Puede ser localizado invasivo, benigno o
  maligno
Definiciones
• Cáncer
• Neoplasia caracterizada por el crecimiento
  incontrolado de células anaplásicas que
  tienden a invadir el tejido circundante y
  metastatizar a puntos distantes del
  organismo.
• Gran grupo de enfermedades neoplásicas que
  se caracterizan por la presencia de células
  malignas
Definiciones
• Anaplasia
• Cambio en la estructura celular y en su
  orientación reciproca, caracterizado por la
  perdida de diferenciación y la vuelta a una
  forma mas primitiva
• La anaplasia es característica de la malignidad
Definiciones
• Metaplasia
• Transformación de las células de tejidos
  normales maduros a otros como mecanismo
  de un proceso adaptativo
Definiciones
• Metástasis
• Proceso por el que las células tumorales se
  diseminan hacia partes mas distantes del
  organismo
• Puesto que los tumores malignos no tienen
  capsulas, las células pueden escapar, convertirse
  en émbolos y ser transportados por la circulación
  linfática y/o sanguínea para implantarse en los
  ganglios y otros órganos distantes del tumor
  primario
Componentes de un tumor
• Un tumor tiene dos componentes básicos

• Parénquima
  – Las células neoplásicas propiamente dichas
    (parénquima tumoral)
• Estroma
  – Tejido conjuntivo de sostén vascularizado
Componentes de un tumor
• El estroma puede ser abundante o escaso y
  fibroso o laxo.

• Estas combinaciones se relacionan con la
  consistencia del tumor en su aspecto
  macroscópico
Desmoplasia
• El termino desmoplasia

• Se utiliza para tumores con abundantes
  estroma fibroso a la histología

• Y se traduce en la macro como masas duras y
  difíciles de cortar, que se denominan
  escirrosas
Clasificación de los tumores
•   Benignos y Malignos
•   El tumor benigno
•   Generalmente tiene pronostico bueno
•   Inusualmente produce la muerte

• El tumor maligno
• Es agresivo y mortal generalmente
Clasificación de los tumores
• Para clasificarlos de benigno o maligno

• Se utilizan criterios clínicos y patológicos que
  evalúan entre otras:

•   El comportamiento
•   Su forma de crecimiento
•   Sus características macroscópicas
•   Su aspecto histológico
Tumores - Macroscópicamente
• Tumores malignos
    – Se evalúan elementos :
•   1- La presencia de capsula
•   2- Compresión o invasión del tejido vecino
•   3- Presencia de necrosis
•   4-Diseminacion o no por vasos sanguíneos
•   5-Siembras a distancia
Tumores - histológicamente
• Se usan términos como diferenciación y
  anaplasia

• Para calificar el grado de similitud que tienen
  las células parenquimatosas tumorales con las
  células originales del tejido donde creció el
  tumor

• Entre mas similares: mejor diferenciadas
Histología Tumores

• Los tumores benignos tienden a tener
• Buena diferenciación

• Los tumores malignos tiende a ser
• Pobremente diferenciados
El término anaplasia
• Es sinónimo de ausencia de diferenciación y
  por lo tanto es característica de los:
• Tumores Malignos

• ENTENDER LOS TERMINOS
  – Pleomorfismo
  – Relación núcleo-citoplasma
  – Hipercromatismo
  – Mitosis atípicas
Criterios de Malignidad y benignidad
                           BENIGNO                      MALIGNO
PRESENCIA DE CAPSULA
SIMILITUDO CON TEJIDO
DE ORIGEN
CONSERVACION DE
FUNCION
NECROSIS
METÁSTASIS
INVASIÓN A LOS VASOS
DIFERENCIACION DE LAS
CELULAS
ANAPLASIA

     ( + )Cuando generalmente lo tienen y ( - ) Cuando generalmente no lo tienen
NOMENCLATURA
• Tenemos que definir si un tumor es benigno o
  maligno

• Debemos aclarar de que naturaleza es
  – Que tipo de células lo constituyen


• Identificar en que órgano o tejido está
  localizado
Todos estos datos son
indispensables para poder tener una
  aproximación pronostica de una
          lesión tumoral
Nomenclatura
• Para la nomenclatura de los tumores según según su
  origen en términos generales se utiliza ciertos sufijos:

• OMA: tumores benignos
• Carcinoma o sarcoma: tumores malignos

• Existen excepciones a esta regla
• Nomenclatura diferente para el tejido
  linfohematopoyético, las células germinales o las
  células embrionarias
Nomenclatura
• Los tumores de origen epitelial:
• Papilomas:
  – Si crecen exofiticamente en los epitelios
    superficiales (papiloma escamoso de la piel,
    papiloma transicional de la vejiga, etc.)

• Adenomas:
  – Si se originan en glándulas o crecen con patrón
    glandular (adenoma del tiroides o renal) y .
Nomenclatura
• Los tumores de origen epitelial:

• Carcinomas
  – Si son malignos originados en cualquiera de los
    tejidos anteriormente nombrados (carcinoma de
    células transicionales de vejiga o adenocarcinoma
    de colon)
Nomenclatura
• Para los tumores originados en los tejidos
  mesenquimales

• Se antepone el nombre del tejido de donde se
  origino el tumor y se coloca el sufijo OMA si es
  benigno o el sufijo SARCOMA si es maligno
Nomenclatura

• Por ejemplo si es cartilaginoso seria :
  – Condroma o condrosarcoma


• Si es fibroso
  – Fibroma o fibrosarcoma
Hay excepciones

• Tumores malignos del tejido linfoide
• Linfoma

• Neoplasias del tejido linfohematopoyético
• Leucemias
NOMENCLATURA
• Los tumores malignos de tejidos embrionarios
  usan el sufijo BLASTOMA

• Los tumores de células germinales tienen
  nombres como
  – Seminoma, tumor del saco vitelino,
    coriocarcinoma, entre otros
NOMENCLATURA
TEJIDO                     EPITELIO   TUMOR BENIGNO   TUMOR MALIGNO
BOCA, FARINGE, ESOFAGO Y
ANO
ESTOMAGO, INTESTINO
DELGADO Y GRUESO
ENDOMETRIO Y
ENDOCERVIX
EXOCERVIX, VAGINA
VIAS URINARIAS
NOMENCLATURA
TEJIDO               TUMOR BENIGNO   TUMOR MALIGNO
HUESO
MUSCULO LISO
MUSCULO ESTRIADO
FIBROSO
EXCEPCIONES - NOMENCLATURA
NEOPLASIAS DE CELULAS HEMATOPOYETICAS
TUMOR MALIGNO DE TEJIDO LINFOIDE
TUMOR DE MALIGNO DE CELULAS
MELANOCITICAS
TUMORES DE LOS TEJIDOS DE SOSTEN DEL SNC
TUMOR DE ORIGEN ASTROCITICO
TUMOR GERMINAL DEL TESTICULO
TUMOR MIXTO FIBROSO Y GLANDULAR
BENIGNO
TUMOR EMBRIONARIO DERIVADO DE LA
RETINA
TUMOR EMBRIONARIO DERIVADO DEL HIGADO
TUMOR GERMINAL CON LAS 3 CAPAS
GERMINALES
Marcadores tumorales
•   Los antígenos de superficie
•   Proteínas citoplasmáticas
•   Enzimas
•   Hormonas

• Pueden ser detectados en plasma o en otros
  líquidos corporales
Marcadores tumorales
• Su presencia apoya el diagnostico de cáncer

• Útil para establecer la respuesta al
  tratamiento o para indicar la presencia de
  recidivas durante el control o seguimiento
Marcadores tumorales
• Investigue los siguientes Marcadores
  tumorales
  – Antígeno carcinoembrionario
  – Alfafetoproteina
  – Gonadotrofina coriónica
  – Fosfatasa acida prostática
  – Enolasa neuronal específica
Metástasis


• La palabra metástasis significa la extensión de
  un tumor lejos de la lesión primaria y es un
  propiedad exclusiva de los tumores malignos
Metástasis
• Los tumores se pueden diseminar por siembra
  de cavidades y superficies orgánicas o por
  diseminación vascular (linfática o hemática)

• La vía linfática es la vía de diseminación clásica
  de los carcinoma y se hace siguiendo la vía
  natural de drenaje
Metástasis
• La vía hematógena es mas frecuente a los
  sarcomas

• Los órganos mas afectados por metástasis son
  los pulmones y el hígado
Metástasis
• Para que se produzca una metástasis debe
  separarse un grupo de células de la masa
  tumoral, emigrar, intravasarse, extravasarse
  en un sitio distante en el que pueda crecer

• No todos los tumores ni todas las células de
  un mismo tumor tienen igual capacidad
Metástasis
• Mecanismos:

  – Moléculas de adhesión endoteliales
  – Sustancias quimiotácticas producidas en los
    órganos a donde llega la metástasis que facilitara
    su crecimiento o por el contrario, la presencia de
    sustancias inhibitorias o creadoras de un
    ambiente inhóspito que impidan la siempre de las
    células tumorales extravasadas
Metástasis
• Revise en su casa:

  – LA CASCADA DE LOS PASOS SUCESIVOS QUE SE
    CONSIDERAN NECESARIOS PARA LA
    PROPAGACION HEMATÓGENA DE UN TUMOR
Comparison between a benign tumor of the myometrium (leiomyoma) and a
malignant tumor of similar origin (leiomyosarcoma).
Fibroadenoma of the breast. The tan-colored, encapsulated small tumor is sharply
demarcated from the whiter breast tissue.
Microscopic view of fibroadenoma of the breast seen in. The fibrous capsule (right)
delimits the tumor from the surrounding tissue. (Courtesy of Dr. Trace Worrell,
University of Texas Southwestern Medical School, Dallas, TX.)
Cut section of an invasive ductal carcinoma of the breast. The lesion is retracted,
infiltrating the surrounding breast substance, and would be stony hard on
palpation.
The microscopic view of the breast carcinoma seen in Fig illustrates the invasion of
breast stroma and fat by nests and cords of tumor cells (compare with fibroadenoma).
The absence of a well-defined capsule should be noted. (Courtesy of Dr. Trace Worrell,
University of Texas Southwestern Medical School, Dallas, TX.)
Colon carcinoma invading pericolonic adipose tissue. (Courtesy of Dr. Melissa
Upton, University of Washington, Seattle, WA.)
Papilloma of the colon with finger-like projections into the lumen.

                                           (Courtesy of Dr. Trace Worrell, University of Texas Southwestern
                                           Medical School, Dallas, TX.)
Colonic polyp. A, This benign glandular
tumor (adenoma) is projecting into the
colonic lumen and is attached to the
mucosa by a distinct stalk. B, Gross
appearance of several colonic polyps
This mixed tumor of the parotid gland contains epithelial cells forming ducts and
myxoid stroma that resembles cartilage. (Courtesy of Dr. Trace Worrell, University
of Texas Southwestern Medical School, Dallas, TX.)
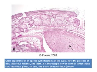
Gross appearance of an opened cystic teratoma of the ovary. Note the presence of
hair, sebaceous material, and tooth. B, A microscopic view of a similar tumor shows
skin, sebaceous glands, fat cells, and a tract of neural tissue (arrow).
Gross appearance of an opened cystic teratoma of the ovary. Note the presence of
hair, sebaceous material, and tooth. B, A microscopic view of a similar tumor shows
skin, sebaceous glands, fat cells, and a tract of neural tissue (arrow).
Leiomyoma of the uterus. This benign, well-differentiated tumor contains
interlacing bundles of neoplastic smooth muscle cells that are virtually identical in
appearance to normal smooth muscle cells in the myometrium.
Benign tumor (adenoma) of the thyroid. Note the normal-looking (well-
differentiated), colloid-filled thyroid follicles. (Courtesy of Dr. Trace Worrell,
University of Texas Southwestern Medical School, Dallas, TX.)
Malignant tumor (adenocarcinoma) of the colon. Note that compared with the
well-formed and normal-looking glands characteristic of a benign tumor , the
cancerous glands are irregular in shape and size and do not resemble the normal
colonic glands. This tumor is considered differentiated because gland formation
can be seen. The malignant glands have invaded the muscular layer of the colon.
(Courtesy of Dr. Trace Worrell, University of Texas Southwestern Medical School, Dallas, TX.)
Anaplastic tumor of the skeletal muscle (rhabdomyosarcoma). Note the marked
cellular and nuclear pleomorphism, hyperchromatic nuclei, and tumor giant cells.
(Courtesy of Dr. Trace Worrell, University of Texas Southwestern Medical School, Dallas, TX.)
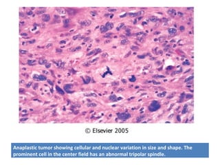
Anaplastic tumor showing cellular and nuclear variation in size and shape. The
prominent cell in the center field has an abnormal tripolar spindle.
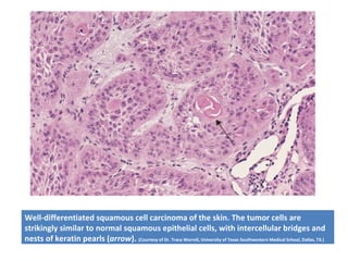
Well-differentiated squamous cell carcinoma of the skin. The tumor cells are
strikingly similar to normal squamous epithelial cells, with intercellular bridges and
nests of keratin pearls (arrow). (Courtesy of Dr. Trace Worrell, University of Texas Southwestern Medical School, Dallas, TX.)
Carcinoma in situ. This low-power view shows that the entire thickness of the
epithelium is replaced by atypical dysplastic cells. There is no orderly differentiation
of squamous cells. The basement membrane is intact and there is no tumor in the
subepithelial stroma. B, A high-power view of another region shows failure of
normal differentiation, marked nuclear and cellular pleomorphism, and numerous
mitotic figures extending toward the surface. The basement membrane (below) is
not seen in this section.
Axillary lymph node with metastatic breast carcinoma. The subcapsular sinus (top) is
distended with tumor cells. Nests of tumor cells have also invaded the subcapsular
cortex. (Courtesy of Dr. Trace Worrell, University of Texas Southwestern Medical
School, Dallas, TX.)
A liver studded with metastatic cancer
Microscopic view of liver metastasis. A pancreatic adenocarcinoma has formed a
metastatic nodule in the liver. (Courtesy of Dr. Trace Worrell, University of Texas
Southwestern Medical School, Dallax, TX.)
Cancer incidence and mortality by site and sex. Excludes basal
cell and squamous cell skin cancers and in situ carcinomas,
except urinary bladder. (Adapted from Jemal A, et al: Cancer
statistics, 2003. CA Cancer J Clin 53:5, 2003.)
Age-adjusted cancer death rates for selected sites in the United States,
adjusted for the 2000 U.S. population. (Adapted from Jemal A, et al: Cancer statistics, 2003. CA
Cancer J Clin 53:5, 2003
Biology of tumor growth. The left panel depicts minimal estimates of tumor cell doublings that precede the formation of a
clinically detectable tumor mass. It is evident that by the time a solid tumor is detected, it has already completed a major
portion of its life cycle as measured by cell doublings. The right panel illustrates clonal evolution of tumors and generation of
tumor cell heterogeneity. New subclones arise from the descendants of the original transformed cell, and with progressive
growth the tumor mass becomes enriched for those variants that are more adept at evading host defenses and are likely to be
more aggressive. (Adapted from Tannock IF: Biology of tumor growth. Hosp Pract 18:81, 1983.)
Schematic representation of tumor growth. As the cell population expands, a
progressively higher percentage of tumor cells leaves the replicative pool by
reversion to G0, differentiation, and death.

Neoplasias

  • 1.
  • 2.
    NEOPLASIAS • Todos sabenque significa neoplasia? • Según Rupert Willis – “una masa anormal de tejido, con un crecimiento que sobrepasa al de los tejidos normales y no coordinado con el de estos, que conserva el mismo carácter excesivo una vez concluido el estimulo que provoco el cambio”
  • 3.
    El estado neoplásico •El estado neoplásico se da por cambios en el material genético que se transmiten a las nuevas generaciones de las células de la neoplasia
  • 4.
    Definiciones • Neoplasia • Nuevocrecimiento • Oncología • Rama de la medicina que trata del estudio de los tumores
  • 5.
    Definiciones • Tumor • Hinchazóno aumento de tamaño propio de los eventos inflamatorios • Crecimiento hístico caracterizado por proliferación celular descontrolada y progresiva . • Puede ser localizado invasivo, benigno o maligno
  • 6.
    Definiciones • Cáncer • Neoplasiacaracterizada por el crecimiento incontrolado de células anaplásicas que tienden a invadir el tejido circundante y metastatizar a puntos distantes del organismo. • Gran grupo de enfermedades neoplásicas que se caracterizan por la presencia de células malignas
  • 7.
    Definiciones • Anaplasia • Cambioen la estructura celular y en su orientación reciproca, caracterizado por la perdida de diferenciación y la vuelta a una forma mas primitiva • La anaplasia es característica de la malignidad
  • 8.
    Definiciones • Metaplasia • Transformaciónde las células de tejidos normales maduros a otros como mecanismo de un proceso adaptativo
  • 9.
    Definiciones • Metástasis • Procesopor el que las células tumorales se diseminan hacia partes mas distantes del organismo • Puesto que los tumores malignos no tienen capsulas, las células pueden escapar, convertirse en émbolos y ser transportados por la circulación linfática y/o sanguínea para implantarse en los ganglios y otros órganos distantes del tumor primario
  • 10.
    Componentes de untumor • Un tumor tiene dos componentes básicos • Parénquima – Las células neoplásicas propiamente dichas (parénquima tumoral) • Estroma – Tejido conjuntivo de sostén vascularizado
  • 11.
    Componentes de untumor • El estroma puede ser abundante o escaso y fibroso o laxo. • Estas combinaciones se relacionan con la consistencia del tumor en su aspecto macroscópico
  • 12.
    Desmoplasia • El terminodesmoplasia • Se utiliza para tumores con abundantes estroma fibroso a la histología • Y se traduce en la macro como masas duras y difíciles de cortar, que se denominan escirrosas
  • 13.
    Clasificación de lostumores • Benignos y Malignos • El tumor benigno • Generalmente tiene pronostico bueno • Inusualmente produce la muerte • El tumor maligno • Es agresivo y mortal generalmente
  • 14.
    Clasificación de lostumores • Para clasificarlos de benigno o maligno • Se utilizan criterios clínicos y patológicos que evalúan entre otras: • El comportamiento • Su forma de crecimiento • Sus características macroscópicas • Su aspecto histológico
  • 15.
    Tumores - Macroscópicamente •Tumores malignos – Se evalúan elementos : • 1- La presencia de capsula • 2- Compresión o invasión del tejido vecino • 3- Presencia de necrosis • 4-Diseminacion o no por vasos sanguíneos • 5-Siembras a distancia
  • 16.
    Tumores - histológicamente •Se usan términos como diferenciación y anaplasia • Para calificar el grado de similitud que tienen las células parenquimatosas tumorales con las células originales del tejido donde creció el tumor • Entre mas similares: mejor diferenciadas
  • 17.
    Histología Tumores • Lostumores benignos tienden a tener • Buena diferenciación • Los tumores malignos tiende a ser • Pobremente diferenciados
  • 18.
    El término anaplasia •Es sinónimo de ausencia de diferenciación y por lo tanto es característica de los: • Tumores Malignos • ENTENDER LOS TERMINOS – Pleomorfismo – Relación núcleo-citoplasma – Hipercromatismo – Mitosis atípicas
  • 19.
    Criterios de Malignidady benignidad BENIGNO MALIGNO PRESENCIA DE CAPSULA SIMILITUDO CON TEJIDO DE ORIGEN CONSERVACION DE FUNCION NECROSIS METÁSTASIS INVASIÓN A LOS VASOS DIFERENCIACION DE LAS CELULAS ANAPLASIA ( + )Cuando generalmente lo tienen y ( - ) Cuando generalmente no lo tienen
  • 20.
    NOMENCLATURA • Tenemos quedefinir si un tumor es benigno o maligno • Debemos aclarar de que naturaleza es – Que tipo de células lo constituyen • Identificar en que órgano o tejido está localizado
  • 21.
    Todos estos datosson indispensables para poder tener una aproximación pronostica de una lesión tumoral
  • 22.
    Nomenclatura • Para lanomenclatura de los tumores según según su origen en términos generales se utiliza ciertos sufijos: • OMA: tumores benignos • Carcinoma o sarcoma: tumores malignos • Existen excepciones a esta regla • Nomenclatura diferente para el tejido linfohematopoyético, las células germinales o las células embrionarias
  • 23.
    Nomenclatura • Los tumoresde origen epitelial: • Papilomas: – Si crecen exofiticamente en los epitelios superficiales (papiloma escamoso de la piel, papiloma transicional de la vejiga, etc.) • Adenomas: – Si se originan en glándulas o crecen con patrón glandular (adenoma del tiroides o renal) y .
  • 24.
    Nomenclatura • Los tumoresde origen epitelial: • Carcinomas – Si son malignos originados en cualquiera de los tejidos anteriormente nombrados (carcinoma de células transicionales de vejiga o adenocarcinoma de colon)
  • 25.
    Nomenclatura • Para lostumores originados en los tejidos mesenquimales • Se antepone el nombre del tejido de donde se origino el tumor y se coloca el sufijo OMA si es benigno o el sufijo SARCOMA si es maligno
  • 26.
    Nomenclatura • Por ejemplosi es cartilaginoso seria : – Condroma o condrosarcoma • Si es fibroso – Fibroma o fibrosarcoma
  • 27.
    Hay excepciones • Tumoresmalignos del tejido linfoide • Linfoma • Neoplasias del tejido linfohematopoyético • Leucemias
  • 28.
    NOMENCLATURA • Los tumoresmalignos de tejidos embrionarios usan el sufijo BLASTOMA • Los tumores de células germinales tienen nombres como – Seminoma, tumor del saco vitelino, coriocarcinoma, entre otros
  • 29.
    NOMENCLATURA TEJIDO EPITELIO TUMOR BENIGNO TUMOR MALIGNO BOCA, FARINGE, ESOFAGO Y ANO ESTOMAGO, INTESTINO DELGADO Y GRUESO ENDOMETRIO Y ENDOCERVIX EXOCERVIX, VAGINA VIAS URINARIAS
  • 30.
    NOMENCLATURA TEJIDO TUMOR BENIGNO TUMOR MALIGNO HUESO MUSCULO LISO MUSCULO ESTRIADO FIBROSO
  • 31.
    EXCEPCIONES - NOMENCLATURA NEOPLASIASDE CELULAS HEMATOPOYETICAS TUMOR MALIGNO DE TEJIDO LINFOIDE TUMOR DE MALIGNO DE CELULAS MELANOCITICAS TUMORES DE LOS TEJIDOS DE SOSTEN DEL SNC TUMOR DE ORIGEN ASTROCITICO TUMOR GERMINAL DEL TESTICULO TUMOR MIXTO FIBROSO Y GLANDULAR BENIGNO TUMOR EMBRIONARIO DERIVADO DE LA RETINA TUMOR EMBRIONARIO DERIVADO DEL HIGADO TUMOR GERMINAL CON LAS 3 CAPAS GERMINALES
  • 32.
    Marcadores tumorales • Los antígenos de superficie • Proteínas citoplasmáticas • Enzimas • Hormonas • Pueden ser detectados en plasma o en otros líquidos corporales
  • 33.
    Marcadores tumorales • Supresencia apoya el diagnostico de cáncer • Útil para establecer la respuesta al tratamiento o para indicar la presencia de recidivas durante el control o seguimiento
  • 34.
    Marcadores tumorales • Investiguelos siguientes Marcadores tumorales – Antígeno carcinoembrionario – Alfafetoproteina – Gonadotrofina coriónica – Fosfatasa acida prostática – Enolasa neuronal específica
  • 35.
    Metástasis • La palabrametástasis significa la extensión de un tumor lejos de la lesión primaria y es un propiedad exclusiva de los tumores malignos
  • 36.
    Metástasis • Los tumoresse pueden diseminar por siembra de cavidades y superficies orgánicas o por diseminación vascular (linfática o hemática) • La vía linfática es la vía de diseminación clásica de los carcinoma y se hace siguiendo la vía natural de drenaje
  • 37.
    Metástasis • La víahematógena es mas frecuente a los sarcomas • Los órganos mas afectados por metástasis son los pulmones y el hígado
  • 38.
    Metástasis • Para quese produzca una metástasis debe separarse un grupo de células de la masa tumoral, emigrar, intravasarse, extravasarse en un sitio distante en el que pueda crecer • No todos los tumores ni todas las células de un mismo tumor tienen igual capacidad
  • 39.
    Metástasis • Mecanismos: – Moléculas de adhesión endoteliales – Sustancias quimiotácticas producidas en los órganos a donde llega la metástasis que facilitara su crecimiento o por el contrario, la presencia de sustancias inhibitorias o creadoras de un ambiente inhóspito que impidan la siempre de las células tumorales extravasadas
  • 40.
    Metástasis • Revise ensu casa: – LA CASCADA DE LOS PASOS SUCESIVOS QUE SE CONSIDERAN NECESARIOS PARA LA PROPAGACION HEMATÓGENA DE UN TUMOR
  • 43.
    Comparison between abenign tumor of the myometrium (leiomyoma) and a malignant tumor of similar origin (leiomyosarcoma).
  • 44.
    Fibroadenoma of thebreast. The tan-colored, encapsulated small tumor is sharply demarcated from the whiter breast tissue.
  • 45.
    Microscopic view offibroadenoma of the breast seen in. The fibrous capsule (right) delimits the tumor from the surrounding tissue. (Courtesy of Dr. Trace Worrell, University of Texas Southwestern Medical School, Dallas, TX.)
  • 46.
    Cut section ofan invasive ductal carcinoma of the breast. The lesion is retracted, infiltrating the surrounding breast substance, and would be stony hard on palpation.
  • 47.
    The microscopic viewof the breast carcinoma seen in Fig illustrates the invasion of breast stroma and fat by nests and cords of tumor cells (compare with fibroadenoma). The absence of a well-defined capsule should be noted. (Courtesy of Dr. Trace Worrell, University of Texas Southwestern Medical School, Dallas, TX.)
  • 48.
    Colon carcinoma invadingpericolonic adipose tissue. (Courtesy of Dr. Melissa Upton, University of Washington, Seattle, WA.)
  • 49.
    Papilloma of thecolon with finger-like projections into the lumen. (Courtesy of Dr. Trace Worrell, University of Texas Southwestern Medical School, Dallas, TX.)
  • 50.
    Colonic polyp. A,This benign glandular tumor (adenoma) is projecting into the colonic lumen and is attached to the mucosa by a distinct stalk. B, Gross appearance of several colonic polyps
  • 51.
    This mixed tumorof the parotid gland contains epithelial cells forming ducts and myxoid stroma that resembles cartilage. (Courtesy of Dr. Trace Worrell, University of Texas Southwestern Medical School, Dallas, TX.)
  • 52.
    Gross appearance ofan opened cystic teratoma of the ovary. Note the presence of hair, sebaceous material, and tooth. B, A microscopic view of a similar tumor shows skin, sebaceous glands, fat cells, and a tract of neural tissue (arrow).
  • 53.
    Gross appearance ofan opened cystic teratoma of the ovary. Note the presence of hair, sebaceous material, and tooth. B, A microscopic view of a similar tumor shows skin, sebaceous glands, fat cells, and a tract of neural tissue (arrow).
  • 54.
    Leiomyoma of theuterus. This benign, well-differentiated tumor contains interlacing bundles of neoplastic smooth muscle cells that are virtually identical in appearance to normal smooth muscle cells in the myometrium.
  • 55.
    Benign tumor (adenoma)of the thyroid. Note the normal-looking (well- differentiated), colloid-filled thyroid follicles. (Courtesy of Dr. Trace Worrell, University of Texas Southwestern Medical School, Dallas, TX.)
  • 56.
    Malignant tumor (adenocarcinoma)of the colon. Note that compared with the well-formed and normal-looking glands characteristic of a benign tumor , the cancerous glands are irregular in shape and size and do not resemble the normal colonic glands. This tumor is considered differentiated because gland formation can be seen. The malignant glands have invaded the muscular layer of the colon. (Courtesy of Dr. Trace Worrell, University of Texas Southwestern Medical School, Dallas, TX.)
  • 57.
    Anaplastic tumor ofthe skeletal muscle (rhabdomyosarcoma). Note the marked cellular and nuclear pleomorphism, hyperchromatic nuclei, and tumor giant cells. (Courtesy of Dr. Trace Worrell, University of Texas Southwestern Medical School, Dallas, TX.)
  • 58.
    Anaplastic tumor showingcellular and nuclear variation in size and shape. The prominent cell in the center field has an abnormal tripolar spindle.
  • 59.
    Well-differentiated squamous cellcarcinoma of the skin. The tumor cells are strikingly similar to normal squamous epithelial cells, with intercellular bridges and nests of keratin pearls (arrow). (Courtesy of Dr. Trace Worrell, University of Texas Southwestern Medical School, Dallas, TX.)
  • 60.
    Carcinoma in situ.This low-power view shows that the entire thickness of the epithelium is replaced by atypical dysplastic cells. There is no orderly differentiation of squamous cells. The basement membrane is intact and there is no tumor in the subepithelial stroma. B, A high-power view of another region shows failure of normal differentiation, marked nuclear and cellular pleomorphism, and numerous mitotic figures extending toward the surface. The basement membrane (below) is not seen in this section.
  • 61.
    Axillary lymph nodewith metastatic breast carcinoma. The subcapsular sinus (top) is distended with tumor cells. Nests of tumor cells have also invaded the subcapsular cortex. (Courtesy of Dr. Trace Worrell, University of Texas Southwestern Medical School, Dallas, TX.)
  • 62.
    A liver studdedwith metastatic cancer
  • 63.
    Microscopic view ofliver metastasis. A pancreatic adenocarcinoma has formed a metastatic nodule in the liver. (Courtesy of Dr. Trace Worrell, University of Texas Southwestern Medical School, Dallax, TX.)
  • 66.
    Cancer incidence andmortality by site and sex. Excludes basal cell and squamous cell skin cancers and in situ carcinomas, except urinary bladder. (Adapted from Jemal A, et al: Cancer statistics, 2003. CA Cancer J Clin 53:5, 2003.)
  • 67.
    Age-adjusted cancer deathrates for selected sites in the United States, adjusted for the 2000 U.S. population. (Adapted from Jemal A, et al: Cancer statistics, 2003. CA Cancer J Clin 53:5, 2003
  • 70.
    Biology of tumorgrowth. The left panel depicts minimal estimates of tumor cell doublings that precede the formation of a clinically detectable tumor mass. It is evident that by the time a solid tumor is detected, it has already completed a major portion of its life cycle as measured by cell doublings. The right panel illustrates clonal evolution of tumors and generation of tumor cell heterogeneity. New subclones arise from the descendants of the original transformed cell, and with progressive growth the tumor mass becomes enriched for those variants that are more adept at evading host defenses and are likely to be more aggressive. (Adapted from Tannock IF: Biology of tumor growth. Hosp Pract 18:81, 1983.)
  • 71.
    Schematic representation oftumor growth. As the cell population expands, a progressively higher percentage of tumor cells leaves the replicative pool by reversion to G0, differentiation, and death.