Universidad Abierta Interamericana
Cátedra de Medicina Interna
Aux. alumna: Camila Dorrego
Junio 2016
NEUMONÍA
Incidencia anual: 5 a 11 casos cada 1000
personas.
En Argentina: 6ta causa de muerte, y 5ta
en mayores de 60 años.
Mortalidad:
- paciente ambulatorio: 0,1- 5%
- paciente que requiere hospitalización
puede superar 50%, especialmente los que
se encuentran en UTI.
Epidemiología:
Infección aguda del parénquima
pulmonar.
En pacientes no hospitalizados
durante los 14 días previos.
Signos y síntomas de infección
respiratoria baja.
Infiltrado nuevo en la radiografía de
tórax.
NEUMONÍA ADQUIRIDA EN
LA COMUNIDAD: concepto
NEUMONÍA INTRAHOSPITALARIA:
concepto
• Infección del parénquima pulmonar
• Después de, como mínimo, 48 a 72 horas
• de hospitalización.
La neumonía asociada a ventilación mecánica (NAV)
es aquella que aparece en pacientes tratados con AMR.
La importancia en diferenciar si se
trata de una NAC o una NIH
radica en los diferentes
microorganismos que predominan
como causantes en las distintas
entidades, lo que determinará la
conducta terapéutica.
Streptococcus pneumoniae
Haemophylus influenzae
Chlamydia pneumoniae
Mycoplasma pneumoniae
Virus (Influenza A y B)
Principales agentes productores
de NAC en adultos:
Principales agentes
productores de NIH
Pseudomona aeruginosa
Staphilococcus aureus
Acinetobacter spp.
Enterobacterias
Haemophilus
Streptococcus pneumoniae
Hongos y virus: más frecuente en
inmunodeprimidos
AMBULATORIO HOSPITALIZADO UTI
Streptococcus pn. 28,1 23,5 29,8
Mycoplasma pn. 8,5 7,2 1,6
Haemophylus I.
(fumadores, <65,
comorbilidades)
7 4,4 7,6
Chlamydia pn. 6,3 7,1 1,4
Legionella spp 0,9 5 6,7
BGNA 0,4 3,0 9
Staphylococcus A. 0,2 1,1 12,2
Chlamydia burnetti 0,9 0,9 1
Pseudomona A. 0,2 2 3
Mycoplasma
catarrhalis
- 1,4 3,1
Mycobacterium Tbc 0,2 1 1,7
Todos los virus 17,3 10,1 2,4
Influenza A y B 8,8 6,2 1
Mixtas 3,2 8,3 14,8
Nada 55,3 46 38,6
CONDICIONES EPIDEMIOLÓGICAS -> PATÓGENOS ESPECÍFICOS
Alcoholismo S. pneumoniae, anaerobios, BGNA, MTBC
EPOC y/o
tabaquismo
S. pneumoniae, H. Influenzae, Mycoplasmas catarrhalis,
Legionella pneumophila.
Diabetes Neumonía bacteriémica por S. pneumoniae, S. Aureus
Geriátricos S. Pneumoniae, BGNA, H. Influenzae, S. Aureus, anaerobios,
Chlamydia pneumoniae
Mala higiene
dental
Anaerobios
ADEV S. Aureus, anaerobios, TBC, Pneumocystis Jiroveci
Infección
temprana HIV
S. pneumoniae, H. Influenzae, TBC
Infección tardía
HIV
+ P. Jiroveci, Cryptococcus sp. Histoplasma sp.
Aspiración
masiva
Anaerobios, BGNA, neumonitis química
Obstrucción VA Anaerobios, S. pneumoniae, H. Influenzae, S. Aureus
Enfermedad
estructural(bron-
quiectasias,FQ)
Pseudomonas Aeruginosa, S. Aureus
Paciente joven con neumonía grave y
epidemiología compatible tener en cuenta
infección asociada a HIV, sindrome
pulmonar por hantavirus, y leptospirosis.
TAMPOCO OLVIDAR…
VÍAS DE TRANSMISIÓN
• HEMATÓGENA
• INHALATORIA
• COLONIZACIÓN DE LA MUCOSA
• DE VÍA AÉREA SUPERIOR Y DESCENSO.
(CANALICULAR)
¿CÓMO DIAGNOSTICAMOS
UNA NEUMONÍA?
 TOS (82%)
 EXPECTORACIÓN
 FIEBRE (50%; en ancianos puede ser baja o no
haber)
 DISNEA (72%)
 DOLOR PLEURÍTICO (50%)
 HIPOREXIA (70%)
 ESCALOFRÍOS
 HEMOPTISIS (15%)
 MAL ESTADO GENERAL
 CONFUSIÓN (ancianos)
CLÍNICA
TAQUICARDIA
TAQUIPNEA
HIPERTERMIA
SIGNOS DE CONSOLIDACIÓN:
EXAMEN FÍSICO
PALPACIÓN: VIBRACIONES VOCALES ++
EXPANSIÓN DE BASES –
PERCUSIÓN: EXCURSIÓN DE BASES –
MATIDEZ O SUBMATIDEZ
AUSCULTACIÓN: MURMULLO VESICULAR –
ESTERTORES CREPITANTES
SOPLO TUBARIO
PECTORILAQUIA
TÍPICA ATÍPICA *
Presentación clínica: Comienzo agudo Comienzo subagudo
Esputo: purulento,
mucopurulento,
herrumbroso.
Esputo mucoso o tos
seca.
Dolor Pleurítico Manifestaciones
extrapulmonares:
diarrea, dolor
abdominal.
Falta de rta. a beta
lactámicos
Signos Radiológicos Consolidación lobar o
segmentaria
Infiltrados asimétricos
heterogéneos
Derrame pleural Derrame pleural,
cavitación y
consolidación: poco
frecuentes.
Diferencias entre neumonía Típica y Atípica:
*Más frecuentemente originada por bacterias intracelulares como Legionella
Pneumophyla, C. pneumoniae, C. psittaci, Mycoplasma pneumoniae y Coxiella
burnetii; y virus respiratorios.
 Localización, extensión (puede tener relación con la
gravedad y el pronóstico)
 Patrón radiológico (alveolar, intersticial,
bronconeumónico)
 Complicaciones (derrame pleural, cavitación)
 Enfermedades pulmonares asociadas
 Diagnósticos alternativos (atelectasia, enfermedad
difusa del parénquima, IC, Ca pulmón, vasculitis,
embolia de pulmón, etc)
CONFIRMAMOS EL
DIAGNÓSTICO:
RADIOGRAFÍA DE TÓRAX FRENTE Y PERFIL
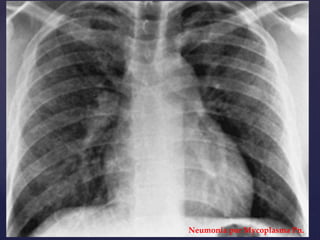
Neumonía por Mycoplasma Pn.
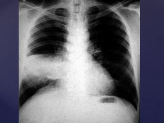
Neumonía por Chlamydia Pn.
 Deshidratación
 Neutropenia
 Neumonía incipiente
 Enfisema bulloso
 Pneumocystis Jirovecii
Neumonía sin infiltrados
radiológicos
Paciente con
sospecha
clínica
de NAC
< 65 años, sin
comorbilidades
>65 años o con
comorbilidades
Placa de tórax
Inicio tto. empírico
Placa de tórax
Laboratorio
Estudios microbiológicos
Inicio tto. empírico
 Hemograma completo (Recuento GR,
hematocrito, índices hematimétricos, recuento
y fórmula leucocitarias, recuento de
plaquetas)
 VES, PCR
 Uremia y creatininemia
 Glicemia
 Hepatograma
 Ionograma sérico
 Saturación de oxígeno (puede reemplazar o
ser complementada con gases arteriales)
 Pruebas de coagulación
Laboratorio (especial en pacientes que
puedan requerir internación)
En menos del 50% de los casos se logra un esputo de buena calidad
(sin atb previos, >25 PMN y <10 células epiteliales planas bajo lente
de 100 aumentos):
 DIRECTO: En esputo de buena calidad la especificidad del
examen directo con GRAM para S. Pneumoniae y H. Influenzae
sería elevada. Así mismo el neumococo forma parte de la flora
normal en casi la mitad de los adultos sanos y puede colonizar el
TRI de pacientes con bronquitis crónica, por lo tanto su
identificación no siempre implica el diagnóstico de NAC.
 CULTIVO: Tiene baja especificidad y sensibilidad pero puede ser
útil frente a la sospecha de TBC y otros agentes menos
prevalentes.
Diagnóstico
microbiológico
 ESPUTO
 Hemocultivos: (2 muestras en distintos sitios de
punción) en paciente que se hospitaliza.
 BAL; Esputo inducido: recomendado sólo para
descartar M. Tuberculosis o P. Jirovecii en
pacientes que no producen esputo adecuado y
exista fuerte sospecha clínica.
 Serología, PCR: Gérmenes dificiles de cultivar:
M. pneumoniae, C. pneumoniae, Legionella,
Hantavirus y los demás virus respiratorios.
 Toracocentesis y estudio del líquido pleural: en
derrames significativos.
 Otros: PCR y Ag urinario Legionella, y Ag
urinario neumococo.
Métodos de diagnóstico de laboratorio para Influenza:
• Aislamiento del virus Influenza en muestras de secreciones
respiratorias (esputo, aspirado nasofaríngeo o hisopado nasofaríngeo,
en pacientes intubados a través del aspirado endotraqueal o BAL).
• Detección de Ag o del genoma viral en las muestras.
• Inmunofluorescencia: método virólógico rápido que distingue
• entre Influenza A y B.
EVALUACIÓN CLÍNICA:
 Primer paso: ¿ESTAMOS FRENTE A UNA NEUMONÍA?
 Siguiente paso: Determinar la necesidad de hospitalización:
 PSI (Pneumonia Severity Index)
 CURB 65 (British Thoracic Society)
 Guía del comité intersociedades (Argentina)
(Tener en cuenta la condición socioeconómica, tolerancia oral,
fiabilidad de cumplimiento terapéutico, probabilidad de regreso
para control, y otros factores comórbidos no considerados en estas
guías. )
NINGUNA REEMPLAZA EL JUICIO CLÍNICO
Edad
Hombres edad en años
Mujeres edad – 10
Residencia +10
Comorbilidad:
Neoplasia +30
Hepática +20
Cardíaca +10
Cerebrovascular +10
Renal +10
Examen Físico:
Confusión +20
FR > o igual 30 +20
PAS<90 +20
T° <35°C ó > ó igual 40°C +15
FC > o igual 125 +10
Lab/Radiología
pH <7,35 +30
BUN >30 +20
Na< 130 +20
Glucosa >250 +10
Hematocrito <30% +10
PaO2<60 +10
Derrame pleural +10
PSI
CLASE Resultados RIESGO DE
MUERTE
I <50 años
No
comorbilidad
EF normal
BAJO
TTO AMB
II < o igual 70
puntos
BAJO
TTO AMB
III 71 – 90
puntos
BAJO
OBS 24 HS
IV 91 – 130
puntos
INTERMEDIO
HTAL/UTI
V >130 puntos ALTO
HTAL/UTI
ÍTEM PUNTOS
CONFUSIÓN 1
ÚREA ELEVADA>42 mg/dL ó >7 mEq/L 1
FRECUENCIA RESPIRATORIA >30
rpm
1
PA: (BP) TAS < 90 ó PAD <60 mmHg 1
EDAD = ó > 65 AÑOS 1
Score CURB 65
0 – 1 PUNTOS:
GRUPO DE BAJO
RIESGO:
TRATAMIENTO
AMBULATORIO
1 – 2 PUNTOS:
GRUPO DE
RIESGO
INTERMEDIO:
HOSPITALIZAR
O si sat <92% (SADI)
3 O MÁS
PUNTOS:
GRUPO DE
ALTO RIESGO:
UTI
o Presencia de 2 o más modificadores:
Edad >65, alcoholismo, IR, hepatopatía, ECV, neoplasia,
enfermedad pulmonar crónica, DBT, IC, internación el año anterior
por NAC.
o Gravedad por examen físico:
FR>30 rpm, TAS<90 O TAD<60, FC>125 lpm, T°>40 Ó <35,
confusión mental.
o Gravedad por laboratorio:
Úrea<50mg%, HTO<30%, Na<130 mEq/L, leucocitos <3000 ó
>40.000/ mm3, glicemia <250 mg%, pH <7,35, PaO2<60 mmHg.
o Gravedad por Rx tórax:
Derrame pleural voluminoso o tabicado, cavitación, infiltrados
multilobulares o aumento >50% en 24 hs.
o Razones sociales
Guía del comité Intersociedades
(Argentina)
SÍ: INTERNACIÓNNO: MANEJO AMBULATORIO
2-3 Criterios menores:
 TAS<90 mmHg
 FR >30 rpm
 Urea >50 mg/dl
 Confusión mental
 PaO2 /FiO2 <250
 Compromiso de más de 2 lóbulos
¿Dónde interno? (Guía de comité Intersociedades)
Criterios mayores:
 Fallo respiratorio con potencial
necesidad de ARM
 Fallo hemodinámico con potencial
necesidad de inotrópicos
 Otras razones que requieran UTI
NO: SALA GENERAL SÍ: UTI
TRATAMIENTO GENERAL DEL
PACIENTE CON NAC
AMBULATORIO:
 TRATAMIENTO ANTIBIÓTICO EMPÍRICO, CON BASE EN LA SOSPECHA
CLÍNICA, SEGÚN LOS ANTECEDENTES EPIDEMIOLÓGICOS. DEBE SER
INSTAURADO PRECOZMENTE.
 INDICAR ANTITÉRMICOS EN CASO DE FIEBRE (Paracetamol 500 mg cada
6-8 horas; Ibuprofeno 400 mg cada 6 horas)
 HIDRATACIÓN ABUNDANTE: Dado el aumento de la temperatura y FR con
la consecuente pérdida de líquidos, debe recomendarse ingerir al menos 2 litros
por día.
 CONTROL EN 48-72 HS PARA VER EVOLUCIÓN.
 PAUTAS DE ALARMA: Dificultad respiratoria, fiebre persistente luego
De 48-72 hs de tto., tos persistente mayor a 15 días (TBC), aumento de la disnea,
Confusión, intolerancia oral: náuseas, vómitos.
TRATAMIENTO EMPÍRICO
INICIAL
PACIENTE AMBULATORIO (VO x 7 días)
 MENOR DE 65 AÑOS, SIN COMORBILIDADES:
TTO
SUGERIDO
AMOXICILINA 1 g cada 12 horas VO ó 500 mg
cada 8 horas VO
TTO
ALTERNATIV
O
ERITROMICINA
CLARITROMICINA
AZITROMICINA
500 mg cada 6 horas VO
500 mg cada 12 horas VO
500 mg 1er día, luego 250 mg cada
24 hs por 4 días VO
Patógenos blanco: Streptococcus pneumoniae, Mycoplasma pneumoniae, Chlamydia
pneumoniae.
 MAYOR DE 65 AÑOS, Y/Ó CON COMORBILIDADES:
TTO
SUGERIDO
AMOXICILINA- ÁC.
CLAVULÁNICO
875/125 mg cada 12 horas VO
TTO
ALTERNATIV
O
LEVOFLOXACINA
CEFTRIAXONA (no en alérgicos)
500 mg cada 24 horas VO
1 g cada 24 hs IM
Patógenos blanco: S. Pneumoniae, Haemophilus Influenzae, S. Aureus y BGNA.
INTERNACIÓN EN SALA
GENERAL (IV 10-14 días)
 MENOR DE 65 AÑOS, SIN COMORBILIDADES Y CON
FUERTE SOSPECHA DE ETIOLOGÍA PNEUMOCÓCCICA:
TTO
SUGERIDO
AMPICILINA 1 g cada 6 horas IV
TTO
ALTERNATIV
O
CLARITROMICINA
LEVOFLOXACINA
500 mg cada 12 horas IV
500 mg cada 24 horas IV
Patógenos blanco: Streptococcus pneumoniae.
 MAYOR DE 65 AÑOS, Y/O CON COMORBILIDADES
TTO
SUGERIDO
AMPICILINA- SULBACTAM +
CLARITROMICINA
Ó
+ CIPROFLOXACINA
1,5 g cada 6 horas IV
500 mg cada 12 horas IV
400 mg cada 12 horas IV
TTO
ALTERNATIV
O
CEFTRIAXONA +
CLARITROMICINA
Ó +
CIPROFLOXACINA
*quinolona en vez de Ceft en
alergia
1 g cada 24 horas IM
500 mg cada 12 horas IV
400 mg cada 12 horas IV
Patógenos blanco: S. pneumoniae, H. Influenzae, M. pneumoniae, C. pneumoniae, S. Aureus,
INTERNACIÓN EN UTI (IV
10-14 días)
 PACIENTE CON NAC GRAVE QUE REQUIEREN
INTERNACIÓN EN UTI;
 SIN FACTOR DE RIESGO PARA PSEUDOMONA
AERUGINOSA:
IGUAL QUE PACIENTE >65 Ó CON COMORBILIDADES
INTERNADO EN SALA GENERAL.
 CON FACTOR DE RIESGO PARA PSEUDOMONA
AERUGINOSA:
TTO
SUGERIDO
CEFEPIMA Ó
PIPERACILINA/TAZOBACTAM
+
CIPROFLOXACINA
2 g cada 8 horas IV
4,5 g cada 8 horas IV
400 mg cada 8 horas IV
TTO
ALTERNATIV
O EN
ALÉRGICOS
AZTREONAM
+
AMIKACINA
+
LEVOFLOXACINA
2 g cada 8 horas IV
15 mg/kg/dia dosis diaria IV
750 mg cada 12 horas IV
Patógenos blanco: P. aeruginosa , S. pneumoniae, H. influenzae, M. pneumoniae, C.
pneumoniae, S. aureus, BGNA, L. pneumophila.
CON RIESGO PARA S. AUREUS METICILINO RESISTENTE
Agregar al esquema de tratamiento de elección:
VANCOMICINA 15 mg/kg cada 12 horas
+/-
CLINDAMICINA 500 mg cada 8 horas
LINEZOLID 600 mg cada 12 horas
INTERNACIÓN EN UTI
Afebril por 48 hs
Ausencia de confusión mental
Saturación de oxígeno >90%
Tolera alimentos por vía oral
FR <25 rpm
Rx de tórax estable o en resolución
Clínica mejorada o estable
Paso de vía parenteral a
oral
¿Tratamos para Influenza?
Mayores de 2 años y adultos:
Paciente que se interne con diagnóstico de IR aguda grave:
TODOS
Paciente ambulatorio con ETI/ IRA: Pacientes con alto riesgo
de complicaciones (mismo grupo a los que se les indica
la vacuna antigripal)
El tto debe iniciarse dentro de las 48 hs del comienzo de los síntomas.
OSELTAMIVIR 75 mg cada 12 horas por 5 días.
PREVENCIÓN
VACUNA ANTIGRIPAL: INDICACIONES:
- Trabajadores de la salud
- Embarazadas en cualquier trimestre y puérperas con niños menores de 6 meses de
vida.
- Niños de 6 meses a menores de 2 años: independientemente de factores de riesgo.
- Niños mayores de 2 años y adultos hasta los 64 años inclusive, con
comorbilidades: respiratorias, cardíacas, inmunodeficiencias congénitas o
adquiridas; pacientes oncohematológicos y transplantados;
- Otros: IMC>40, DBT, IRC en diálisis o con expectativas de ingresar a ésta en los
próximos 6 meses, retraso madurativo grave en menores de 18 años de edad,
sindromes genéticos, enfermedades neuromusculares con compromiso
respiratorio y malformaciones congénitas graves. Tratamiento con AAS en
menores de 18 años. Convivientes o contactos estrechos de enfermos
oncohematológicos. Contactos estrechos con niños menores de 6 meses
(convivientes, cuidadores en jardines maternales)
- Pacientes mayores o igual de 65 años del sector público.
VACUNA ANTINEUMOCÓCCICA: INDICACIONES
1. Mayores de 65 años, inmunocompetentes. Los vacunados hace más de
5 años, sólo si tenían menos de 65 deben revacunarse.
2. Menores de 65 años con riesgo de enfermedad neumocóccica o sus
complicaciones (enfermedad CV crónica, enfermedad pulmonar o
hepática crónica, enfermedad renal crónica, DBT, alcoholismo y fístula
de LCR). No se requiere revacunación.
3. Asplenia funcional o anatómica. Revacunación a los 5 años.
4. Pacientes inmunocomprometidos. Revacunación a los 5 años.
PREVENCIÓN
MUCHAS GRACIAS
Bibliografía
 «Neumonía Aquirida en la Comunidad – Guía práctica Elaborada por un Comité
Intersociedades» Buenos Aires 2003.
 Farreras, Rozman; «Medicina Interna» 16ta Edición; Elsevier España 2009.
 «Neumonía adquirida en la comunidad». Nueva normativa de la Sociedad
española de Neumología y Cirugía Torácica (SEPAR).
 «Neumonía Intrahospitalaria: Guía clínica aplicable a Latinoamérica preparada
en común por diferentes especialistas»: Grupo Argentino-Latino Americano
De estudio de la Neumonía Nosocomial (GALANN)
 «Programa de Capacitación; Infecciones prevalentes en el primer nivel de atención
Ministerio de Salud; 2012.

Neumonía Aguda de la Comunidad

  • 1.
    Universidad Abierta Interamericana Cátedrade Medicina Interna Aux. alumna: Camila Dorrego Junio 2016 NEUMONÍA
  • 2.
    Incidencia anual: 5a 11 casos cada 1000 personas. En Argentina: 6ta causa de muerte, y 5ta en mayores de 60 años. Mortalidad: - paciente ambulatorio: 0,1- 5% - paciente que requiere hospitalización puede superar 50%, especialmente los que se encuentran en UTI. Epidemiología:
  • 3.
    Infección aguda delparénquima pulmonar. En pacientes no hospitalizados durante los 14 días previos. Signos y síntomas de infección respiratoria baja. Infiltrado nuevo en la radiografía de tórax. NEUMONÍA ADQUIRIDA EN LA COMUNIDAD: concepto
  • 4.
    NEUMONÍA INTRAHOSPITALARIA: concepto • Infeccióndel parénquima pulmonar • Después de, como mínimo, 48 a 72 horas • de hospitalización. La neumonía asociada a ventilación mecánica (NAV) es aquella que aparece en pacientes tratados con AMR.
  • 5.
    La importancia endiferenciar si se trata de una NAC o una NIH radica en los diferentes microorganismos que predominan como causantes en las distintas entidades, lo que determinará la conducta terapéutica.
  • 6.
    Streptococcus pneumoniae Haemophylus influenzae Chlamydiapneumoniae Mycoplasma pneumoniae Virus (Influenza A y B) Principales agentes productores de NAC en adultos:
  • 7.
    Principales agentes productores deNIH Pseudomona aeruginosa Staphilococcus aureus Acinetobacter spp. Enterobacterias Haemophilus Streptococcus pneumoniae Hongos y virus: más frecuente en inmunodeprimidos
  • 8.
    AMBULATORIO HOSPITALIZADO UTI Streptococcuspn. 28,1 23,5 29,8 Mycoplasma pn. 8,5 7,2 1,6 Haemophylus I. (fumadores, <65, comorbilidades) 7 4,4 7,6 Chlamydia pn. 6,3 7,1 1,4 Legionella spp 0,9 5 6,7 BGNA 0,4 3,0 9 Staphylococcus A. 0,2 1,1 12,2 Chlamydia burnetti 0,9 0,9 1 Pseudomona A. 0,2 2 3 Mycoplasma catarrhalis - 1,4 3,1 Mycobacterium Tbc 0,2 1 1,7 Todos los virus 17,3 10,1 2,4 Influenza A y B 8,8 6,2 1 Mixtas 3,2 8,3 14,8 Nada 55,3 46 38,6
  • 9.
    CONDICIONES EPIDEMIOLÓGICAS ->PATÓGENOS ESPECÍFICOS Alcoholismo S. pneumoniae, anaerobios, BGNA, MTBC EPOC y/o tabaquismo S. pneumoniae, H. Influenzae, Mycoplasmas catarrhalis, Legionella pneumophila. Diabetes Neumonía bacteriémica por S. pneumoniae, S. Aureus Geriátricos S. Pneumoniae, BGNA, H. Influenzae, S. Aureus, anaerobios, Chlamydia pneumoniae Mala higiene dental Anaerobios ADEV S. Aureus, anaerobios, TBC, Pneumocystis Jiroveci Infección temprana HIV S. pneumoniae, H. Influenzae, TBC Infección tardía HIV + P. Jiroveci, Cryptococcus sp. Histoplasma sp. Aspiración masiva Anaerobios, BGNA, neumonitis química Obstrucción VA Anaerobios, S. pneumoniae, H. Influenzae, S. Aureus Enfermedad estructural(bron- quiectasias,FQ) Pseudomonas Aeruginosa, S. Aureus
  • 10.
    Paciente joven conneumonía grave y epidemiología compatible tener en cuenta infección asociada a HIV, sindrome pulmonar por hantavirus, y leptospirosis. TAMPOCO OLVIDAR…
  • 11.
    VÍAS DE TRANSMISIÓN •HEMATÓGENA • INHALATORIA • COLONIZACIÓN DE LA MUCOSA • DE VÍA AÉREA SUPERIOR Y DESCENSO. (CANALICULAR)
  • 12.
  • 13.
     TOS (82%) EXPECTORACIÓN  FIEBRE (50%; en ancianos puede ser baja o no haber)  DISNEA (72%)  DOLOR PLEURÍTICO (50%)  HIPOREXIA (70%)  ESCALOFRÍOS  HEMOPTISIS (15%)  MAL ESTADO GENERAL  CONFUSIÓN (ancianos) CLÍNICA
  • 14.
    TAQUICARDIA TAQUIPNEA HIPERTERMIA SIGNOS DE CONSOLIDACIÓN: EXAMENFÍSICO PALPACIÓN: VIBRACIONES VOCALES ++ EXPANSIÓN DE BASES – PERCUSIÓN: EXCURSIÓN DE BASES – MATIDEZ O SUBMATIDEZ AUSCULTACIÓN: MURMULLO VESICULAR – ESTERTORES CREPITANTES SOPLO TUBARIO PECTORILAQUIA
  • 15.
    TÍPICA ATÍPICA * Presentaciónclínica: Comienzo agudo Comienzo subagudo Esputo: purulento, mucopurulento, herrumbroso. Esputo mucoso o tos seca. Dolor Pleurítico Manifestaciones extrapulmonares: diarrea, dolor abdominal. Falta de rta. a beta lactámicos Signos Radiológicos Consolidación lobar o segmentaria Infiltrados asimétricos heterogéneos Derrame pleural Derrame pleural, cavitación y consolidación: poco frecuentes. Diferencias entre neumonía Típica y Atípica: *Más frecuentemente originada por bacterias intracelulares como Legionella Pneumophyla, C. pneumoniae, C. psittaci, Mycoplasma pneumoniae y Coxiella burnetii; y virus respiratorios.
  • 16.
     Localización, extensión(puede tener relación con la gravedad y el pronóstico)  Patrón radiológico (alveolar, intersticial, bronconeumónico)  Complicaciones (derrame pleural, cavitación)  Enfermedades pulmonares asociadas  Diagnósticos alternativos (atelectasia, enfermedad difusa del parénquima, IC, Ca pulmón, vasculitis, embolia de pulmón, etc) CONFIRMAMOS EL DIAGNÓSTICO: RADIOGRAFÍA DE TÓRAX FRENTE Y PERFIL
  • 19.
  • 20.
  • 21.
     Deshidratación  Neutropenia Neumonía incipiente  Enfisema bulloso  Pneumocystis Jirovecii Neumonía sin infiltrados radiológicos
  • 22.
    Paciente con sospecha clínica de NAC <65 años, sin comorbilidades >65 años o con comorbilidades Placa de tórax Inicio tto. empírico Placa de tórax Laboratorio Estudios microbiológicos Inicio tto. empírico
  • 23.
     Hemograma completo(Recuento GR, hematocrito, índices hematimétricos, recuento y fórmula leucocitarias, recuento de plaquetas)  VES, PCR  Uremia y creatininemia  Glicemia  Hepatograma  Ionograma sérico  Saturación de oxígeno (puede reemplazar o ser complementada con gases arteriales)  Pruebas de coagulación Laboratorio (especial en pacientes que puedan requerir internación)
  • 24.
    En menos del50% de los casos se logra un esputo de buena calidad (sin atb previos, >25 PMN y <10 células epiteliales planas bajo lente de 100 aumentos):  DIRECTO: En esputo de buena calidad la especificidad del examen directo con GRAM para S. Pneumoniae y H. Influenzae sería elevada. Así mismo el neumococo forma parte de la flora normal en casi la mitad de los adultos sanos y puede colonizar el TRI de pacientes con bronquitis crónica, por lo tanto su identificación no siempre implica el diagnóstico de NAC.  CULTIVO: Tiene baja especificidad y sensibilidad pero puede ser útil frente a la sospecha de TBC y otros agentes menos prevalentes. Diagnóstico microbiológico  ESPUTO
  • 25.
     Hemocultivos: (2muestras en distintos sitios de punción) en paciente que se hospitaliza.  BAL; Esputo inducido: recomendado sólo para descartar M. Tuberculosis o P. Jirovecii en pacientes que no producen esputo adecuado y exista fuerte sospecha clínica.  Serología, PCR: Gérmenes dificiles de cultivar: M. pneumoniae, C. pneumoniae, Legionella, Hantavirus y los demás virus respiratorios.  Toracocentesis y estudio del líquido pleural: en derrames significativos.  Otros: PCR y Ag urinario Legionella, y Ag urinario neumococo.
  • 26.
    Métodos de diagnósticode laboratorio para Influenza: • Aislamiento del virus Influenza en muestras de secreciones respiratorias (esputo, aspirado nasofaríngeo o hisopado nasofaríngeo, en pacientes intubados a través del aspirado endotraqueal o BAL). • Detección de Ag o del genoma viral en las muestras. • Inmunofluorescencia: método virólógico rápido que distingue • entre Influenza A y B.
  • 27.
    EVALUACIÓN CLÍNICA:  Primerpaso: ¿ESTAMOS FRENTE A UNA NEUMONÍA?  Siguiente paso: Determinar la necesidad de hospitalización:  PSI (Pneumonia Severity Index)  CURB 65 (British Thoracic Society)  Guía del comité intersociedades (Argentina) (Tener en cuenta la condición socioeconómica, tolerancia oral, fiabilidad de cumplimiento terapéutico, probabilidad de regreso para control, y otros factores comórbidos no considerados en estas guías. ) NINGUNA REEMPLAZA EL JUICIO CLÍNICO
  • 28.
    Edad Hombres edad enaños Mujeres edad – 10 Residencia +10 Comorbilidad: Neoplasia +30 Hepática +20 Cardíaca +10 Cerebrovascular +10 Renal +10 Examen Físico: Confusión +20 FR > o igual 30 +20 PAS<90 +20 T° <35°C ó > ó igual 40°C +15 FC > o igual 125 +10 Lab/Radiología pH <7,35 +30 BUN >30 +20 Na< 130 +20 Glucosa >250 +10 Hematocrito <30% +10 PaO2<60 +10 Derrame pleural +10 PSI CLASE Resultados RIESGO DE MUERTE I <50 años No comorbilidad EF normal BAJO TTO AMB II < o igual 70 puntos BAJO TTO AMB III 71 – 90 puntos BAJO OBS 24 HS IV 91 – 130 puntos INTERMEDIO HTAL/UTI V >130 puntos ALTO HTAL/UTI
  • 29.
    ÍTEM PUNTOS CONFUSIÓN 1 ÚREAELEVADA>42 mg/dL ó >7 mEq/L 1 FRECUENCIA RESPIRATORIA >30 rpm 1 PA: (BP) TAS < 90 ó PAD <60 mmHg 1 EDAD = ó > 65 AÑOS 1 Score CURB 65 0 – 1 PUNTOS: GRUPO DE BAJO RIESGO: TRATAMIENTO AMBULATORIO 1 – 2 PUNTOS: GRUPO DE RIESGO INTERMEDIO: HOSPITALIZAR O si sat <92% (SADI) 3 O MÁS PUNTOS: GRUPO DE ALTO RIESGO: UTI
  • 30.
    o Presencia de2 o más modificadores: Edad >65, alcoholismo, IR, hepatopatía, ECV, neoplasia, enfermedad pulmonar crónica, DBT, IC, internación el año anterior por NAC. o Gravedad por examen físico: FR>30 rpm, TAS<90 O TAD<60, FC>125 lpm, T°>40 Ó <35, confusión mental. o Gravedad por laboratorio: Úrea<50mg%, HTO<30%, Na<130 mEq/L, leucocitos <3000 ó >40.000/ mm3, glicemia <250 mg%, pH <7,35, PaO2<60 mmHg. o Gravedad por Rx tórax: Derrame pleural voluminoso o tabicado, cavitación, infiltrados multilobulares o aumento >50% en 24 hs. o Razones sociales Guía del comité Intersociedades (Argentina) SÍ: INTERNACIÓNNO: MANEJO AMBULATORIO
  • 31.
    2-3 Criterios menores: TAS<90 mmHg  FR >30 rpm  Urea >50 mg/dl  Confusión mental  PaO2 /FiO2 <250  Compromiso de más de 2 lóbulos ¿Dónde interno? (Guía de comité Intersociedades) Criterios mayores:  Fallo respiratorio con potencial necesidad de ARM  Fallo hemodinámico con potencial necesidad de inotrópicos  Otras razones que requieran UTI NO: SALA GENERAL SÍ: UTI
  • 32.
    TRATAMIENTO GENERAL DEL PACIENTECON NAC AMBULATORIO:  TRATAMIENTO ANTIBIÓTICO EMPÍRICO, CON BASE EN LA SOSPECHA CLÍNICA, SEGÚN LOS ANTECEDENTES EPIDEMIOLÓGICOS. DEBE SER INSTAURADO PRECOZMENTE.  INDICAR ANTITÉRMICOS EN CASO DE FIEBRE (Paracetamol 500 mg cada 6-8 horas; Ibuprofeno 400 mg cada 6 horas)  HIDRATACIÓN ABUNDANTE: Dado el aumento de la temperatura y FR con la consecuente pérdida de líquidos, debe recomendarse ingerir al menos 2 litros por día.  CONTROL EN 48-72 HS PARA VER EVOLUCIÓN.  PAUTAS DE ALARMA: Dificultad respiratoria, fiebre persistente luego De 48-72 hs de tto., tos persistente mayor a 15 días (TBC), aumento de la disnea, Confusión, intolerancia oral: náuseas, vómitos.
  • 33.
  • 34.
    PACIENTE AMBULATORIO (VOx 7 días)  MENOR DE 65 AÑOS, SIN COMORBILIDADES: TTO SUGERIDO AMOXICILINA 1 g cada 12 horas VO ó 500 mg cada 8 horas VO TTO ALTERNATIV O ERITROMICINA CLARITROMICINA AZITROMICINA 500 mg cada 6 horas VO 500 mg cada 12 horas VO 500 mg 1er día, luego 250 mg cada 24 hs por 4 días VO Patógenos blanco: Streptococcus pneumoniae, Mycoplasma pneumoniae, Chlamydia pneumoniae.  MAYOR DE 65 AÑOS, Y/Ó CON COMORBILIDADES: TTO SUGERIDO AMOXICILINA- ÁC. CLAVULÁNICO 875/125 mg cada 12 horas VO TTO ALTERNATIV O LEVOFLOXACINA CEFTRIAXONA (no en alérgicos) 500 mg cada 24 horas VO 1 g cada 24 hs IM Patógenos blanco: S. Pneumoniae, Haemophilus Influenzae, S. Aureus y BGNA.
  • 35.
  • 36.
     MENOR DE65 AÑOS, SIN COMORBILIDADES Y CON FUERTE SOSPECHA DE ETIOLOGÍA PNEUMOCÓCCICA: TTO SUGERIDO AMPICILINA 1 g cada 6 horas IV TTO ALTERNATIV O CLARITROMICINA LEVOFLOXACINA 500 mg cada 12 horas IV 500 mg cada 24 horas IV Patógenos blanco: Streptococcus pneumoniae.  MAYOR DE 65 AÑOS, Y/O CON COMORBILIDADES TTO SUGERIDO AMPICILINA- SULBACTAM + CLARITROMICINA Ó + CIPROFLOXACINA 1,5 g cada 6 horas IV 500 mg cada 12 horas IV 400 mg cada 12 horas IV TTO ALTERNATIV O CEFTRIAXONA + CLARITROMICINA Ó + CIPROFLOXACINA *quinolona en vez de Ceft en alergia 1 g cada 24 horas IM 500 mg cada 12 horas IV 400 mg cada 12 horas IV Patógenos blanco: S. pneumoniae, H. Influenzae, M. pneumoniae, C. pneumoniae, S. Aureus,
  • 37.
    INTERNACIÓN EN UTI(IV 10-14 días)
  • 38.
     PACIENTE CONNAC GRAVE QUE REQUIEREN INTERNACIÓN EN UTI;  SIN FACTOR DE RIESGO PARA PSEUDOMONA AERUGINOSA: IGUAL QUE PACIENTE >65 Ó CON COMORBILIDADES INTERNADO EN SALA GENERAL.  CON FACTOR DE RIESGO PARA PSEUDOMONA AERUGINOSA: TTO SUGERIDO CEFEPIMA Ó PIPERACILINA/TAZOBACTAM + CIPROFLOXACINA 2 g cada 8 horas IV 4,5 g cada 8 horas IV 400 mg cada 8 horas IV TTO ALTERNATIV O EN ALÉRGICOS AZTREONAM + AMIKACINA + LEVOFLOXACINA 2 g cada 8 horas IV 15 mg/kg/dia dosis diaria IV 750 mg cada 12 horas IV Patógenos blanco: P. aeruginosa , S. pneumoniae, H. influenzae, M. pneumoniae, C. pneumoniae, S. aureus, BGNA, L. pneumophila.
  • 39.
    CON RIESGO PARAS. AUREUS METICILINO RESISTENTE Agregar al esquema de tratamiento de elección: VANCOMICINA 15 mg/kg cada 12 horas +/- CLINDAMICINA 500 mg cada 8 horas LINEZOLID 600 mg cada 12 horas INTERNACIÓN EN UTI
  • 40.
    Afebril por 48hs Ausencia de confusión mental Saturación de oxígeno >90% Tolera alimentos por vía oral FR <25 rpm Rx de tórax estable o en resolución Clínica mejorada o estable Paso de vía parenteral a oral
  • 41.
    ¿Tratamos para Influenza? Mayoresde 2 años y adultos: Paciente que se interne con diagnóstico de IR aguda grave: TODOS Paciente ambulatorio con ETI/ IRA: Pacientes con alto riesgo de complicaciones (mismo grupo a los que se les indica la vacuna antigripal) El tto debe iniciarse dentro de las 48 hs del comienzo de los síntomas. OSELTAMIVIR 75 mg cada 12 horas por 5 días.
  • 42.
    PREVENCIÓN VACUNA ANTIGRIPAL: INDICACIONES: -Trabajadores de la salud - Embarazadas en cualquier trimestre y puérperas con niños menores de 6 meses de vida. - Niños de 6 meses a menores de 2 años: independientemente de factores de riesgo. - Niños mayores de 2 años y adultos hasta los 64 años inclusive, con comorbilidades: respiratorias, cardíacas, inmunodeficiencias congénitas o adquiridas; pacientes oncohematológicos y transplantados; - Otros: IMC>40, DBT, IRC en diálisis o con expectativas de ingresar a ésta en los próximos 6 meses, retraso madurativo grave en menores de 18 años de edad, sindromes genéticos, enfermedades neuromusculares con compromiso respiratorio y malformaciones congénitas graves. Tratamiento con AAS en menores de 18 años. Convivientes o contactos estrechos de enfermos oncohematológicos. Contactos estrechos con niños menores de 6 meses (convivientes, cuidadores en jardines maternales) - Pacientes mayores o igual de 65 años del sector público.
  • 43.
    VACUNA ANTINEUMOCÓCCICA: INDICACIONES 1.Mayores de 65 años, inmunocompetentes. Los vacunados hace más de 5 años, sólo si tenían menos de 65 deben revacunarse. 2. Menores de 65 años con riesgo de enfermedad neumocóccica o sus complicaciones (enfermedad CV crónica, enfermedad pulmonar o hepática crónica, enfermedad renal crónica, DBT, alcoholismo y fístula de LCR). No se requiere revacunación. 3. Asplenia funcional o anatómica. Revacunación a los 5 años. 4. Pacientes inmunocomprometidos. Revacunación a los 5 años. PREVENCIÓN
  • 44.
  • 45.
    Bibliografía  «Neumonía Aquiridaen la Comunidad – Guía práctica Elaborada por un Comité Intersociedades» Buenos Aires 2003.  Farreras, Rozman; «Medicina Interna» 16ta Edición; Elsevier España 2009.  «Neumonía adquirida en la comunidad». Nueva normativa de la Sociedad española de Neumología y Cirugía Torácica (SEPAR).  «Neumonía Intrahospitalaria: Guía clínica aplicable a Latinoamérica preparada en común por diferentes especialistas»: Grupo Argentino-Latino Americano De estudio de la Neumonía Nosocomial (GALANN)  «Programa de Capacitación; Infecciones prevalentes en el primer nivel de atención Ministerio de Salud; 2012.