UNIVERSIDAD NACIONAL AUTÓNOMA DE MÉXICO
    FACULTAD DE ESTUDIOS SUPERIORES IZTACALA
          CARRERA DE MÉDICO CIRUJANO




ALUMNA: MICHELLE GUILLERMO VILLEDA
GRUPO: 1471
PROFESORA: DRA. MARÍA ERÉNDIRA ITAMI SORDO
Es un estudio citológico
de diagnóstico donde se
examinan los cambios
en las células epiteliales
del cuello

Se utiliza para detectar
oportunamente         el
Cáncer Cérvicouterino
 Relaciones sexuales
 Lavados vaginales
 Tampones
 Menstruación (8 días antes
  o después de ella)
 Lubricantes vaginales
 Desodorantes femeninos
 Espumas, geles, cremas,
  medicamentos que se
  coloquen en la vagina
<18 años             18 años o              65-70
    con VSA                 más                 años*

  *Con tres pruebas normales y ninguna
  anormalidad en 10 años pueden suspender las
  pruebas.

Realizarse anualmente, hasta que se halla tenido 3
tinciones normales, después de esto, se realiza cada 3
años
-VPH: se recomienda una frecuencia de 6 meses.
Metálicos        Varios     Plásticos
               tamaños
             (según edad
            y complexión)
Guantes de
  Látex o      Alcohol del
desechables    96° o Fijador




                Cepillo de
  Espátula      citología
               (Cytobrush)




Hisopo de 18   Portaobjetos
     cm         etiquetado
1. Se le pide a la paciente que vacíe su
   vejiga antes del examen, se enjuague
   con solución salina, y que se quede sin su
   ropa interior
2. Se coloque en la mesa de exploración en
   posición ginecológica (litotomía)
1. Se enfoca la luz en la zona a explorar
2. Se debe asegurar que el espejo vaginal
   está en buenas condiciones
3. Se comienza inspeccionando los
   genitales externos:
        Clítoris
        Meato urinario
        Aspecto de los labios mayores y menores
        Introito vaginal
        Coloración de las mucosas
        Presencia de descubrimientos anormales
         (lesiones, abultamientos…)
 Se le pide a la paciente que respire
  profundo ANTES de introducir el espejo
  vaginal
 Con el dedo índice y pulgar de la mano
  izquierda se separan los labios. Entre los
  dedos índice y medio de la mano derecha
  se sostiene el espejo en posición vertical,
  con las valvas cerradas.
 Se introduce el espejo lubricado solo con
  agua tibia hasta el tercio medio de la
  vagina
   Se le pide a la paciente
    que PUJE (maniobra de
    Valsalva), girando las
    valvas hasta quedar en
    posición horizontal
   Se presiona la palanca
    que abre la valva
    superior con el dedo
    pulgar que sostiene el
    espejo vaginal,
    buscando la localización
    del cérvix. Ya localizado
    el cuello se fijan las valvas
Nulíparas/Cesáreas
•Cérvix Pequeño

Multíparas
•Cérvix agrandado, puede haber laceraciones
   Las muestras se toman de:
    › Endocérvix: Orificio que comunica con el
      útero (Embarazo: NO se toma del
      endocérvix,)
    › Exocérvix: Comunica directamente con la
      vagina
Exocérvix
•Se toma con la espátula, con el extremo bifurcado
•Se ejerce una pequeña presión sobre el orificio cervical, girando
 360° en sentido a las manecillas del reloj




Endocérvix
•Se puede utilizar el extremo cónico de la espátula, el Cytobrush o
 hisopo
•Se coloca en el orificio de este canal, se ejerce una ligera presión y
 se gira en sentido contrario a las manecillas del reloj



EXTENDIDO SOBRE EL PORTAOBJETOS
•Se divide en 2 partes imaginarias longitudinales (endocérvix y
 exocérvix)
•Se EXTIENDE en monocapa evitando excesos (en el caso de
 hisopo/Cytobrush este se ROTA)
•Se coloca en alcohol del 96° o se aplica el fijador
 Se afloja el tornillo para aflojar las valvas,
  colocándolas en posición vertical.
 Se le pide a la paciente que puje y se
  retira suavemente el espejo, haciendo
  una última revisión vaginal
 Si hay flujo, se le enseña el espejo a la
  paciente para que no lo atribuya a la
  exploración
 Se pone el espejo en agua con cloro
Epitelio columnar simple
         Exocérvix
                                       mucosecretor


                                  Epitelio plano escamoso
         Endocérvix
                                      no queratinizado
Cérvix
                                     Tiene 3 capas

                                          Capa basal
           Maduración= 4 días             Capa parabasal
          -Acortado: Estrógenos           Estrato Intermedio
              -Prolongado:                Superficial
              Progesterona

                                        Las células acumulen
                                     glucógeno en su citoplasma
   El informe citológico suele tener, tres
    tipos de resultados:
    Microbiológico

    • Indica si hay existencia de flora, infección (cocos,
      gardnerellas, chlamidyas, trichomonas, hongos, virus herpes,
      VPH)

    Hormonal

    • Nivel de estrógenos y progesterona

    Morfológico

    • Alteraciones en la forma de las células epiteliales
      (benignidad o malignidad)
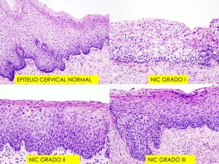
   Es un crecimiento
    anormal y pre-
    canceroso de células
    escamosas en el
    cuello uterino.
   Progresan a Cáncer
    Cervical
   La causa principal es
    una previa infección
    de transmisión sexual,
    por VPH, las cepas
    oncogénicas 16 y 18
   Son mas frecuentes en
    edades reproductivas
    (25-35 años)
Basado en
NIC
      •Representa una Displasia leve o crecimiento
       anormal                                          el espesor
      •Lesión escamosa intraepitelial de bajo grado
                                                           de la

 1
      •Invade 1/3 basal del epitelio cervical.
                                                       invasión de
                                                        las células
                                                       escamosas



NIC
      •Displasia moderada
      •Lesión escamosa intraepitelial de alto grado   Norm       Cánc
      •Invade 2/3 basales del epitelio cervical       al         er


 2

NIC
      •Displasia severa                               NIC bajo   NIC
      •Lesión escamosa intraepitelial de alto grado   grado      alto
        Carcinoma In situ                                       grado

 3
      •Invade >2/3 de todo el epitelio cervical,
       incluyendo todo el grosor del revestimiento
       cervical
EPITELIO CERVICAL NORMAL   NIC GRADO I




   NIC GRADO II            NIC GRADO III
   PRECIO:
    › CHOPO: $389
    › CLÍNICAS DE SALUD: Gratis


 TIEMPO DE ENTREGA:
 LABORATORIOS JENNER: 4 días
Papanicolaou

Papanicolaou

  • 1.
    UNIVERSIDAD NACIONAL AUTÓNOMADE MÉXICO FACULTAD DE ESTUDIOS SUPERIORES IZTACALA CARRERA DE MÉDICO CIRUJANO ALUMNA: MICHELLE GUILLERMO VILLEDA GRUPO: 1471 PROFESORA: DRA. MARÍA ERÉNDIRA ITAMI SORDO
  • 2.
    Es un estudiocitológico de diagnóstico donde se examinan los cambios en las células epiteliales del cuello Se utiliza para detectar oportunamente el Cáncer Cérvicouterino
  • 3.
     Relaciones sexuales Lavados vaginales  Tampones  Menstruación (8 días antes o después de ella)  Lubricantes vaginales  Desodorantes femeninos  Espumas, geles, cremas, medicamentos que se coloquen en la vagina
  • 4.
    <18 años 18 años o 65-70 con VSA más años* *Con tres pruebas normales y ninguna anormalidad en 10 años pueden suspender las pruebas. Realizarse anualmente, hasta que se halla tenido 3 tinciones normales, después de esto, se realiza cada 3 años -VPH: se recomienda una frecuencia de 6 meses.
  • 6.
    Metálicos Varios Plásticos tamaños (según edad y complexión)
  • 7.
    Guantes de Látex o Alcohol del desechables 96° o Fijador Cepillo de Espátula citología (Cytobrush) Hisopo de 18 Portaobjetos cm etiquetado
  • 10.
    1. Se lepide a la paciente que vacíe su vejiga antes del examen, se enjuague con solución salina, y que se quede sin su ropa interior 2. Se coloque en la mesa de exploración en posición ginecológica (litotomía)
  • 11.
    1. Se enfocala luz en la zona a explorar 2. Se debe asegurar que el espejo vaginal está en buenas condiciones 3. Se comienza inspeccionando los genitales externos:  Clítoris  Meato urinario  Aspecto de los labios mayores y menores  Introito vaginal  Coloración de las mucosas  Presencia de descubrimientos anormales (lesiones, abultamientos…)
  • 14.
     Se lepide a la paciente que respire profundo ANTES de introducir el espejo vaginal  Con el dedo índice y pulgar de la mano izquierda se separan los labios. Entre los dedos índice y medio de la mano derecha se sostiene el espejo en posición vertical, con las valvas cerradas.  Se introduce el espejo lubricado solo con agua tibia hasta el tercio medio de la vagina
  • 16.
    Se le pide a la paciente que PUJE (maniobra de Valsalva), girando las valvas hasta quedar en posición horizontal  Se presiona la palanca que abre la valva superior con el dedo pulgar que sostiene el espejo vaginal, buscando la localización del cérvix. Ya localizado el cuello se fijan las valvas
  • 17.
    Nulíparas/Cesáreas •Cérvix Pequeño Multíparas •Cérvix agrandado,puede haber laceraciones  Las muestras se toman de: › Endocérvix: Orificio que comunica con el útero (Embarazo: NO se toma del endocérvix,) › Exocérvix: Comunica directamente con la vagina
  • 18.
    Exocérvix •Se toma conla espátula, con el extremo bifurcado •Se ejerce una pequeña presión sobre el orificio cervical, girando 360° en sentido a las manecillas del reloj Endocérvix •Se puede utilizar el extremo cónico de la espátula, el Cytobrush o hisopo •Se coloca en el orificio de este canal, se ejerce una ligera presión y se gira en sentido contrario a las manecillas del reloj EXTENDIDO SOBRE EL PORTAOBJETOS •Se divide en 2 partes imaginarias longitudinales (endocérvix y exocérvix) •Se EXTIENDE en monocapa evitando excesos (en el caso de hisopo/Cytobrush este se ROTA) •Se coloca en alcohol del 96° o se aplica el fijador
  • 19.
     Se aflojael tornillo para aflojar las valvas, colocándolas en posición vertical.  Se le pide a la paciente que puje y se retira suavemente el espejo, haciendo una última revisión vaginal  Si hay flujo, se le enseña el espejo a la paciente para que no lo atribuya a la exploración  Se pone el espejo en agua con cloro
  • 21.
    Epitelio columnar simple Exocérvix mucosecretor Epitelio plano escamoso Endocérvix no queratinizado Cérvix Tiene 3 capas Capa basal Maduración= 4 días Capa parabasal -Acortado: Estrógenos Estrato Intermedio -Prolongado: Superficial Progesterona Las células acumulen glucógeno en su citoplasma
  • 22.
    El informe citológico suele tener, tres tipos de resultados: Microbiológico • Indica si hay existencia de flora, infección (cocos, gardnerellas, chlamidyas, trichomonas, hongos, virus herpes, VPH) Hormonal • Nivel de estrógenos y progesterona Morfológico • Alteraciones en la forma de las células epiteliales (benignidad o malignidad)
  • 24.
    Es un crecimiento anormal y pre- canceroso de células escamosas en el cuello uterino.  Progresan a Cáncer Cervical  La causa principal es una previa infección de transmisión sexual, por VPH, las cepas oncogénicas 16 y 18  Son mas frecuentes en edades reproductivas (25-35 años)
  • 25.
    Basado en NIC •Representa una Displasia leve o crecimiento anormal el espesor •Lesión escamosa intraepitelial de bajo grado de la 1 •Invade 1/3 basal del epitelio cervical. invasión de las células escamosas NIC •Displasia moderada •Lesión escamosa intraepitelial de alto grado Norm Cánc •Invade 2/3 basales del epitelio cervical al er 2 NIC •Displasia severa NIC bajo NIC •Lesión escamosa intraepitelial de alto grado grado alto  Carcinoma In situ grado 3 •Invade >2/3 de todo el epitelio cervical, incluyendo todo el grosor del revestimiento cervical
  • 26.
    EPITELIO CERVICAL NORMAL NIC GRADO I NIC GRADO II NIC GRADO III
  • 27.
    PRECIO: › CHOPO: $389 › CLÍNICAS DE SALUD: Gratis  TIEMPO DE ENTREGA:  LABORATORIOS JENNER: 4 días