PATOLOGIA CARDIOVASCULAR
CORAZÓN: Peso promedio de 250- 300gr mujeres y de
300 a 350 gr en hombres
Espesor del ventrículo derecho de 0,3 a 0,5 cms y el
ventrículo izquierdo de 1,3 a 1,5 cms. Hipertrofia y
dilatación.
Cardiomegalia. Aumento del peso o el tamaño del corazón
Miocardio: Miocito cardiaco y miocito excitador (células de
Purkinje):
a.- Nódulo sinoauricular, situado en la unión de la orejuela
auricular derecha con la salida de la vena cava superior.
PATOLOGIA CARDIOVASCULAR
CORAZÓN: Peso promedio de 250- 300gr mujeres y de
300 a 350 gr en hombres
Espesor del ventrículo derecho de 0,3 a 0,5 cms y el
ventrículo izquierdo de 1,3 a 1,5 cms. Hipertrofia y
dilatación.
Cardiomegalia. Aumento del peso o el tamaño del corazón
Miocardio: Miocito cardiaco y miocito excitador (células de
Purkinje): a.- Nódulo sinoauricular, situado en la unión de
la orejuela auricular derecha con la salida de la vena cava
superior
PATOLOGIA CARDIOVASCULAR
b.-el Nódulo AV, situado en la unión de la pared
medial de la aurícula derecha con el tabique
interventricular, c.- el haz de His se dirige por el
tabique interventricular hasta la punta
dividiéndose en dos, derecha e izquierda.
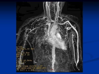
APORTE SANGUINEO:
El miocardio recibe el flujo arterial durante la
diástole.
Arterias coronarias epicárdicas e intramurales
PATOLOGIA CARDIOVASCULAR
La rama descendente anterior de la arteria coronaria
izquierda irriga la mayor parte de la punta cardiaca, la
superficie anterior del ventrículo izquierdo y los dos tercios
anteriores del tabique interventricular.
La arteria coronaria derecha riega la totalidad de la pared
libre del ventrículo derecho, la mitad adyacente de la pared
posterior del ventrículo izquierdo y el tercio posterior del
tabique interventricular
PATOLOGIA CARDIOVASCULAR
Efectos del envejecimiento sobre el corazón:
Miocardio: Aumento de la masa, atrofia parda, aumento de la
grasa subepicárdica, depósitos de amiloide.
Cámaras: Disminución del tamaño de la cavidad ventricular
izquierda, aumento del tamaño de la auricular izquierda.
Válvulas: depósitos de calcio en la válvula aórtica, válvula
mitral, engrosamiento fibroso de las cuerdas tendinosas
Arterias coronarias epicárdicas: Placa ateroesclerótica,
depósitos de calcio, tortuosidad.
Aorta: Dilatación de la aorta descendente con desviación a la
derecha, elongación de la aorta torácica, placa
ateroesclerótica, fragmentación de la elástica
INSUFICIENCIA CARDIACA IZQUIERDA
CAUSAS:
Cardiopatía isquémica
Hipertensión
Valvulopatía aórtica o mitral
Enfermedades del miocardio
Efectos:
Pulmones: a.- trasudado perivascular e intersticial, destaca en
los tabiques interalveolares, b.- engrosamiento edematoso
progresivo de los tabiques alveolares, c.- acumulación de
liquido de edema en los espacios alveolares
INSUFICIENCIA CARDIACA IZQUIERDA
Riñones: disminución de la perfusión lleva a la
activación del sistema renina angiotensina
aldosterona. Retención de sal y agua. Necrosis
tubular renal
Cerebro: encefalopatía hipóxica con irritabilidad,
perdida de la atención e intranquilidad
INSUFICIENCIA CARDIACA DERECHA
Cor pulmonale: dilatación de cámaras derecha, casos agudos
cursan con adelgazamiento y dilatación del ventrículo
derecho, casos crónicos ocurre hipertrofia ventricular
derecha.
La congestión pulmonar es mínima con marcada ingurgitación
de los sistemas portal y venoso sistémico.
Hígado: ligeramente aumentado de tamaño, al corte
superficie de “nuez moscada” producto de la congestión
pasiva crónica ( centros rojos congestionados de los lóbulos
hepáticos rodeados de áreas mas pálidas)
INSUFICIENCIA CARDIACA DERECHA
Riñones: mayor retención de liquido, edema
periférico e hiperazoemia
Sistema drenaje portal: esplenomegalia,
engrosamiento fibroso de la paredes de los
sinusoides. Ascitis.
Tejidos subcutáneos: edema periférico en las
zonas declives( tobillos)
Espacios pleural y pericárdico: derrame
Cerebro: similar al ya descrito
CARDIOPATIA ISQUEMICA
Es el tipo mas frecuente de cardiopatía y la
principal causa de muerte en los países
occidentales, representa alrededor del 30% de la
muertes en hombres y el 23% en mujeres. Existe
un desequilibrio entre el aporte y la demanda
cardiaca de sangre oxigenada.
A menudo se denomina arteriopatía coronaria o
cardiopatía coronaria
CARDIOPATIA ISQUEMICA
Dependiendo de la velocidad de aparición y de la
gravedad ultima del o de los estrechamientos
arteriales y de la respuesta miocárdica se señalan
cuatro síndromes isquémicos:
a.- Angina de pecho: estable e inestable
b.- infarto de miocardio
c.- cardiopatía isquémica crónica
d.- muerte súbita de origen cardiaco
CARDIOPATIA ISQUEMICA
Epidemiología. 80% de muertes por causa cardiaca
Patogenia global: disminución de la perfusión coronaria en
relación a la demanda miocárdica debido a una compleja
interacción dinámica entre
a.-el estrechamiento ateroesclerótico fijo de las arterias
coronarias,
b.-la trombosis intraluminal suprayacente a una placa
ateroesclerótica rota o fisurada,
c.- la agregación plaquetaria
d.-vasoespasmo
ANGINA DE PECHO ESTABLE
Dolor toráxico episódico al aumentar el trabajo
miocárdico en presencia de una alteración de la
perfusión.
Estenosis al menos del 50% de la luz en una arteria
coronaria principal. Placa ateroesclerótica de dos
tipos: excéntrica y concéntrica.
Episodios repetidos llevan a fibrosis miocárdica.
Desarrollo de vasos anastomóticos para
compensar las zonas de estenosis vascular
ANGINA DE PECHO INESTABLE
Esta relacionada con el resquebrajamiento de la
placa ateromatosa.
Se produce un dolor creciente que inclusive
aparece en el reposo o con mínimo esfuerzo.
Se denomina angina preinfarto o insuficiencia
coronaria aguda.
Como se inicia la trombosis por la fisura se corre
el riego de una oclusión total de la luz arterial.
Puede estar seguido de infarto o arritmia
ventricular
INFARTO DE MIOCARDIO
Secuencia de alteraciones en el infarto de
miocardio
Entre 0 y 12 horas el infarto no es visible
macroscópicamente
Entre 12 y 24 horas la zona infartada es macroscópicamente
pálida con alguna manchas intercaladas. Micro: el músculo
infartado es muy eosinófilo y presenta edema intercelular.
Entre 24 y 72 horas la zona infartada muestra infiltrado
inflamatorio agudo. Macro: la zona muerta aparece blanda
y pálida con un ligero tinte amarillento. Micro: presencia
de neutrófilos abundantes entre las fibras muertas.
INFARTO DE MIOCARDIO
Secuencia de alteraciones en el infarto de
miocardio
Entre 3 y 10 días, organización de la zona
infartada. Borde hiperémico alrededor del
músculo muerto amarillento.
Histológicamente, sustitución de la zona infartada
por tejido de granulación vascularizado.
Semanas y meses, depósito progresivo de colágeno
(cicatriz blanquecina)
INFARTO DE MIOCARDIO
TIEMPO APROXIMADO DE COMIENZO DE LOS
ACONTECIMIENTOS CLAVE EN LOS
MIOCITOS CARDIACOS ISQUÉMICOS
CARACTERISTICA TIEMPO
Comienzo de la depleción de ATP Segundos
Perdida de la contractilidad < 2 min
ATP reducido
Al 50% de lo normal 10 min
Al 10% de lo normal 40 min
Lesión celular irreversible 20-40 min
Lesión microvascular > 1 h
EVOLUCION DE LESIONES
MORFOLOGICAS
Lesión reversible entre 0 y media hora
Lesión Irreversible
•Hasta 4 horas existe densidades amorfas de las mitocondrias
a la ME
•4 a 12 horas moteado oscuro, comienza la necrosis por
coagulación
•12 a 24 h moteado oscuro, inicio del infiltrado neutrófilo,
hipereosinofilia de miocitos
•1 a 3 días moteado de color pardo amarillento del centro del
infarto
EVOLUCION DE LESIONES
MORFOLOGICAS
•3 a 7 días bordes hiperémicos con reblandecimiento pardo
amarillento del centro, fagocitosis de células muertas por los
macrófagos en el borde de la lesión
•7 a 10 días formación precoz de tejido de granulación.
•10 a 14 días bordes del infarto rojo grisáceos deprimidos.
Tejido de granulación con vasos sanguíneos nuevos y
depósitos de colágeno
•2-8 semanas cicatriz blanco grisácea que nace del borde
hacia el centro
•> 2 meses cicatrización completa, cicatriz de colágeno denso
reperfusión
Ruptura músculo cardiaco
Cardiopatia Hipertensiva
ESTENOSIS AORTICA CALCIFICADA
La mas frecuente de las lesiones valvulares
Puede ser congénita o adquirida
Se descubre en personas entre el 5º y 6º decenio con válvulas
congénitamente bicúspide
La estenosis calcificada senil se observa entre 7º y 8º decenio
en válvulas tricúspides sin lesión previa.
Morfología:
Acumulación de masas calcificadas dentro de las valvas
aorticas, bordes libres, deformidad de la base y ausencia de
fusión en las comisuras
DEGENERACIÓN MIXOMATOSA DE LA
VÁLVULA MITRAL
Afecta a 33% de los adultos jóvenes con predilección en
mujeres, valvulopatía mas frecuente del mundo
industrializado.
Morfología:
Rasgo abombado o acampanada de la valvas mitrales o
parcial, suelen ser carnosas y engrosadas. Cuerdas tendinosas
elongadas, dilatación del anillo valvular. La lesion
fundamental es el adelgazamiento de la capa fibrosa de la
válvula
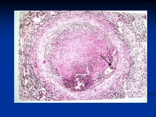
FIEBRE REUMATICA Y CARDIOPATIA
REUMATICA
Enfermedad inflamatoria aguda, de mecanismo inmunitario.
Estreptococo del grupo A beta hemolítico.
Morfología:
En el corazón se observan los cuerpos de Aschoff: focos de
degeneración fibrinoide rodeados de linfocitos principalmente
T , aislados plasmocitos y macrófagos hinchados llamados
células de Anitschkow , estas células son patognomónicas y
poseen abundante citoplasma anfófilo de núcleo central
redondo u oval y cromatina en franja ondulada y estrecha
(células en oruga)
FIEBRE REUMATICA Y CARDIOPATIA
REUMATICA
Estos hallazgos inflamatorios se manifiestan como pancarditis.
Las lesiones pericárdicas se manifiestan como un exudado
fibrinoso ( pan con mantequilla) generalmente se resuelve sin
Secuelas. En el miocardio los cuerpos de Aschoff se localizan
con mayor frecuencia alrededor de los vasos.
Sobre las orejuelas y cuerdas tendinosas se asientan pequeñas
vegetaciones de 1-2 mm (verrugas) ubicadas en el borde libre
de la valva
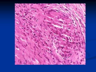
FIEBRE REUMATICA Y CARDIOPATIA
REUMATICA
En la fase crónica de la enfermedad , la válvula mitral está
deformada pero clínicamente la afectación de la válvula
aortica tiene mas importancia. Los cambios anatómicos
cardinales son : engrosamiento de las valvas, fusión de las
comisuras, acortamiento, engrosamiento y fusión de las
cuerdas tendinosas.
Microscópicamente
Los cuerpos de Aschoff son sustituidos por cicatrices fibrosas
y se pierde el carácter avascular y la arquitectura laminar de las
valvas
FIEBRE REUMATICA Y CARDIOPATIA
REUMATICA
Es la causa mas frecuente de estenosis de la mitral en
99% de los casos
En un 65 a 70% se afecta solo la válvula mitral
En un 25% la mitral y la aortica
La fusión de las comisuras, la calcificación por
puentes fibrosos dan lugar a estenosis en boca de pez
u ojal
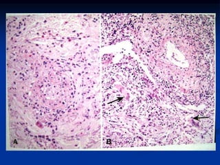
ENDOCARDITIS
Colonización o invasión de las válvulas cardíacas, del
endocardio mural u otros puntos del sistema (vasos y
prótesis) por un agente microbiano que da lugar a la
formación de vegetaciones , voluminosas y friables compuestas
por microorganismos y residuos trombóticos.
Morfología
Las dos formas, aguda y sub aguda se encuentran en las
vegetaciones fibrina, células inflamatorias, bacterias u otros
microorganismos.
Las vegetaciones pueden ser únicas o múltiples , pueden
erosionar el miocardio y causar una cavidad abscesificada.
ENDOCARDITIS
Conocida como absceso en anillo.
La aparición de vegetaciones depende del microorganismo,
respuesta del huésped y del tratamiento antibiótico previo.
En cualquier momento se pueden presentar embolias en la
circulación general causar infartos y aparecer abscesos
(infartos sépticos)
En la endocarditis aguda hay infección y destrucción de una
válvula previamente normal en un corazón sano con muerte
en días o semanas en mas del 50% de los casos a pesar del
Tratamiento y cirugía.
ENDOCARDITIS
En la mayoria de los casos de endocarditis sub aguda
existe un corazon anormal con válvulas deformadas
puede infectarse con un germen de menor virulencia
Etiogenia y patogenia
Procesos predisponentes: válvula mitral mixomatosa,
la estenosis valvular de degenerativa calcificada, la
valvula aortica bicuspide, protesis valvulares.
La endocarditis de valvulas nativas pero lesionadas es
causada en 50-60% de los casos por estreptococo
ENDOCARDITIS
Alfa hemolíticos (viridans).
Staphylococcus aureus afecta a 10 o 20% de los casos con
válvulas sanas o deformadas y es el principal agente nocivo
en los drogadictos por via iv. Las demás bacteria son
enterococos y el llamado grupo HACEK (Haemophylus,
Actinobacillus, Cardiobacterium, Eikenella y Kingella
comensales de la cavidad bucal).
ENDOCARDITIS TROMBOTICA NO
BACTERIANA
las lesiones de ETNB son estériles y están débilmente
unidas a la válvula subyacente. Produce embolias
Morfologia
Masas de fibrina de 1 a 5 mm a ambos lados de las
valvas, habitualmente sobre válvulas normales
MIOCARDIOPATIA
Cardiopatía resultante de una afección primaria del miocardio.
Tres formas clínica, funcionales y anatomopatológicas:
Miocardiopatía dilatada
Miocardiopatía hipertrófica
Miocardiopatia restrictiva
La miocardiopatia dilatada es la más frecuente (90%) y la
restrictiva la menos prevalente.
La biopsia endomiocardica consiste en puncionar el
hemicardio derecho con un bioptomo
MIOCARDIOPATIA DILATADA
Miocardiopatía caracterizada por dilatación e hipertrofia
cardiaca progresiva con fallo contractil ( sistolico). Puede
deberse a :
Miocarditis : Coxsackievirus y otros enterovirus
Alcohol y otros tóxicos: el alcohol y sus metabolitos en
especial el acetaldehido tienen acción tóxica directa sobre el
miocardio
Miocardiopatía del periparto, se presenta al final del
embarazo.
Genéticos.
MIOCARDIOPATIA DILATADA
Morfologia :
Corazón grande y blando. Pesa 2 a 3 veces mas y todas
sus cámaras están dilatadas.
Manifestaciones clínica:
Puede aparecer a cualquier edad pero oscila entre los 20 y
60 años. Insuficiencia cardiaca lentamente progresiva. En
etapa terminal la fracción de eyección suele ser inferior a 25%.
La mitad de los pacientes mueren en 2 años
MIOCARDIOPATIA HIPERTROFICA
Se caracteriza por hipertrofia del miocardio, un llenado
diastólico anormal y en un tercio de los casos por obstrucción
intermitente del tracto de salida del ventrículo izquierdo.
Sinónimos: estenosis subaórtica hipertrófica y miocardiopatia
obstructiva hipertrófica
Morfología:
Hipertrofia masiva del miocardio sin dilatación ventricular,
existe un engrosamiento desproporcionado del tabique
interventricular comparado con la pared libre que se llama
hipertrofia septal asimétrica.
MIOCARDIOPATIA HIPERTROFICA
Las características histológicas mas importantes:
Extensa hipertrofia de los miocitos, diámetro transversal de
40 micras, lo normal 25.
Disposición desordenada de los haces de miocitos
Fibrosis intersticial sustitutiva.
Patogenia
La mitad de los casos es familiar y se transmite con carácter
autosómica dominante
MIOCARDIOPATIA RESTRICTIVA
Existe disminución de la distensibilidad ventricular que
dificulta la diástole.
no se encuentra afectada la sístole.
Puede ser idiopática o consecuencia de fibrosis por radiación,
amiloidosis, sarcoidosis, tumor metástasico.
Morfologia.
Ventrículos normales o algo grandes, cavidades no dilatadas.
Dilatacion biauricular. Fibrosis intersticial focal o difusa,
varia de mínima a extensa.
MIOCARDITIS
Fase activa: corazón normal o algo dilatado,
miocardio blando, focos pálidos o diminutas lesiones
hemorrágicas. Puede haber trombos murales.
Presencia de infiltrado mononuclear de predominio
linfocitario.
Miocarditis por hipersensibilidad: infiltrado intersticial
perivascular mayormente de linfocitos, macrófagos y
gran numero de eosinófilos.
TUMORES CARDIACOS
Los tumores primarios son raros y se observan metástasis al
corazón en un 5%.
Los tumores primarios mas corrientes en orden decreciente
son mixoma, fibromas, lipomas, fibroelastomas papilares,
rabdomiomas, angiosarcomas y otros.
Mixoma:
Cerca del 90 % se localizan en las aurículas en una proporción
aproximada de 4:1 entre la aurícula izquierda y la derecha.
Casi siempre hay un solo tumor. La localización predilecta es
la fosa oval del tabique interauricular
CARDIOPATIA CONGENITA
Constituyen las cardiopatías infantiles mas importantes.
Se dividen en dos grupos: las que producen obstrucción al
flujo y las que producen cortocircuitos anormales.
Corto circuitos de izquierda a derecha: son los defectos mas
frecuentes
•Comunicación interauricular
•Comunicación interventricular
•Conducto arterioso persistente
Corto circuitos de derecha a izquierda:
Tetralogía de Fallot
CARDIOPATIA CONGENITA
Consiste en:
CIV
Cabalgamiento aórtico
Estenosis pulmonar
Hipertrofia ventricular derecha
Malformaciones congénitas no asociadas a cortocircuitos:
Estenosis aórtica: estrechamiento valvular generalmente
bicúspide. Si la estenosis es en el tejido muscular se
denomina estenosis sub valvular o en la pared aortica por
encima de la válvula será estenosis supravalvular
CARDIOPATIA CONGENITA
TRANSPOSICIÓN DE LOS GRANDES VASOS
La supervivencia solo es posible si existen otros cortos
circuitos a nivel auricular, ventricular o del agujero de
Botal.
Los pacientes con transposición y defecto del tabique
ventricular (35% de casos) tiene un corto circuito estable.
Los que tienen agujero oval permeable o CAP (65% de
casos) tienen comunicaciones inestables que tienden a
cerrarse
CARDIOPATIA CONGENITA
Coartación de la aorta:
Existe estrechamiento de esta arteria habitualmente
en la zona del conducto arterioso.
Mas frecuente en hombres que en mujeres 2:1.
Dos formas clásicas:
1.- forma “infantil” con hipoplasia tubular del cayado
aórtico proximal a un conducto arterioso
persistente (CAP)
2.- forma “adulta” pequeño repliegue de la aorta
justo antes de CAP cerrado.
ARTERIOESCLEROSIS
Significa el engrosamiento y la perdida de la elasticidad de
las paredes arteriales.
Se reconocen tres patrones de arterioesclerosis:
• Ateroesclerosis: caracterizada por lesiones de la íntima
llamadas ateromas y que debilitan la capa media.
• La esclerosis calcificada de Mönckeberg depósitos de
calcio en arteria musculares que no invaden la luz
vascular
• La arterioloesclerosis que afecta a las arterias de
pequeño calibre y arteriolas. Dos tipos: hialina e
hiperplásica
Ateroesclerosis
De acuerdo a la distribución característica de las placas de
ateroma se afectan:
Aorta abdominal inferior, arterias coronarias, arterias
poplíteas, arterias carótidas internas y polígono de Willis.
Las lesiones suelen ser mucho mas prominente en los
orificios de origen de las ramas mayores.
La placa ateroesclerotica esta compuesta de 1.- células
(musculo liso, macrófagos, leucocitos) 2.- Matriz extra
celular MEC con colágeno, fibras elásticas y
proteoglicanos y 3.- lípidos intra y extracelulares
Ateroesclerosis
Las lesiones avanzadas que representan una
complicación de la placa ateroesclerótica y con
significado clínico son:
Rotura focal, ulceración o erosión.
Hemorragia.
Trombosis, complicación mas temida.
Dilatación aneurismática.
Ateroesclerosis leve
Enfermedad grave con
lesiones difusas y
complicadas
Complicaciones clínicas
de la ateroesclerosis en
las arterias coronarias
Arterioloesclerosis Hialina
Arterioloesclerosis Hiperplásica
Arteriolitis necrotizante
ANEURISMA
Consecuencias clínicas : dependen de su localización y
tamaño:
•Rotura en la cavidad peritoneal consecuente hemorragia
•Oclusión de ramas vasculares por compresión directa o
formación de un trombo mural
•Producción de embolia de material ateromatoso o del
trombo mural
•Afectación de estructura vecina como compresión de un
uréter o erosión de una vertebra
•Aparición de una masa abdominal palpable que simula un
tumor
VASCULITIS
VASCULITIS
Inflamación de la pared de un vaso. El cuadro clínico de
las vasculitis es diverso y depende del lecho vascular
afectado.
Signos y síntomas inespecíficos, fiebre, mialgias, artralgias
y malestar.
Cualquier vaso de cualquier órgano puede verse afectado.
Se conocen unas 20 formas de vasculitis. La denominada
nomenclatura de Chapel Hill sigue siendo el criterio mas
aceptado.
Patogenia mas frecuente son la inflamación de origen
inmunitario y la invasión de la pared vascular por
patógenos
Clasificación de las vasculitis consenso de Chapel Hill 2012
VASCULITIS
Mecanismos inmunitarios en vasculitis no infecciosa:
1.- Depósito de inmunocomplejos: vasculitis asociada a
hipersensibilidad farmacológica y algunas infecciones víricas
2.- Anticuerpos Anticitoplasma de Neutrófilo: grupo
heterogéneo de autoanticuerpos dirigido a los constituyentes
de los gránulos primarios contenidos en los neutrófilos, los
lisosomas de los monocitos y las células endoteliales :
antimieloperoxidasa (ANCA-MPO) se denominan ANCA-p
Antiproteinasa 3 (ANCA-PR3) la PR3 comparte homología
con péptidos microbianos . Se denominan ANCA-c
3.- Anticuerpos frente a las células endoteliales.
ARTERITIS DE LA TEMPORAL O DE
CELULAS GIGANTES
• La forma mas común de vasculitis sistémica en el adulto.
• Es una inflamación aguda y crónica con frecuencia
granulomatosa que
• Afecta arterias desde grande a pequeñas principalmente a las
arterias de la cabeza en especial la temporal, pero también a
las vertebrales, oftálmicas y a la aorta e inclusive causar
aneurisma de la aorta
• Las arterias muestran engrosamientos nodulares con
reducción de la luz. Infiltrado mononuclear con células
gigantes multinucleadas y fragmentación de la lamina
elástica interna
ARTERITIS DE LA TEMPORAL O DE
CELULAS GIGANTES
ARTERITIS DE TAKAYASU
• Vasculitis granulomatosa de arterias de mediano
y gran calibre
• Engrosamiento irregular de las paredes de la
aorta y sus ramas con arrugamiento de la intima.
• Se desconocen la causa y la patogenia aunque se
sospecha de mecanismos autoinmunes.
• Puede ocurrir insuficiencia valvular aortica por
dilatación de la raíz de la aorta.
POLIARTERITIS NODOSA
Inflamación necrotizante transmural de las arteria musculares
de pequeño y mediano tamaño. Respeta la circulación
pulmonar.
Lesiones focales, aleatorias y episódicas
Producen dilataciones aneurismáticas, nódulos, obstrucción
vascular e infartos.
Enfermedad propia de adultos jóvenes.
Evolución aguda, subaguda y crónica. Largos intervalos
asintomáticos
Síndrome de Kawasaki
Arteritis que afecta arterias grandes, medianas y pequeñas (a
menudo coronarias)
Afecta principalmente a niños pequeños y lactantes
Enfermedad epidémica en el Japón. Primera causa de
cardiopatia adquirida en los niños de USA
En fase aguda, la enfermedad se manifiesta por fiebre,
eritema de palmas y plantas, una erupción cutánea con
frecuente descamación y adenomegalia cervical. Suele curar
espontáneamente
Enfermedad de Buerger o
Tromboangeítis Obliterante
Inflamación aguda y cronica, segmentaria y
trombosante de las arterias de pequeño y mediano
tamaño. Afecta principalmente arteria radial y tibial.
Afecta mayormente a varones fumadores.
Relación estrecha con el consumo de cigarrillos
Granulomatosis de Wegener o
Granulomatosis con Poliangeitis
Vasculitis necrotizante que afecta vasos pequeños y
medianos incluyendo capilares.
Esta caracterizada por la triada 1.- granulomas
necrotizantes de las vias respiratorias superiores e
inferiores. 2.- vasculitis necrotizante focal o
granulomatosa. 3.- nefropatia tipo glomerulonefritis
focal a menudo con formación de semilunas.
Vasculitis leucocitoclástica o de
hipersensibilidad
Afecta a arteriolas, vénulas y capilares a diferencia de
la poliarteritis nudosa. Todas las lesiones están en la
misma fase evolutiva y en la mayoría de los casos
existe ANCA. En muchos casos es desencadenada
por una reacción inmunológica
Clínicamente se manifiesta con hemoptisis,
hematuria y proteinuria, dolores o hemorragias
intestinales y debilidad o dolores musculares
Tumores vasculares
BENIGNOS
Hemangioma
• Hemangioma capilar
• Hemangioma cavernoso
• Granuloma piógeno (hemangioma capilar lobular)
Linfangioma
Tumor glómico
MALIGNIDAD INTERMEDIA
Sarcoma de Kaposi
Hemangioendotelioma
MALIGNO
Angiosarcoma
Hemangiopericitoma
HEMANGIOMA CAPILAR
HEMANGIOMA CAPILAR
HEMANGIOMA CAVERNOSO
HEMANGIOMA CAVERNOSO
SARCOMA DE KAPOSI
SARCOMA DE KAPOSI CON INFECCIÓN POR
CANDIDA SP
SARCOMA DE KAPOSI FORMA NODULAR
Angiosarcoma
Angiosarcoma moderadamente
diferenciado Inmunohistoquimica CD31

Patologia cardiovascular

  • 1.
    PATOLOGIA CARDIOVASCULAR CORAZÓN: Pesopromedio de 250- 300gr mujeres y de 300 a 350 gr en hombres Espesor del ventrículo derecho de 0,3 a 0,5 cms y el ventrículo izquierdo de 1,3 a 1,5 cms. Hipertrofia y dilatación. Cardiomegalia. Aumento del peso o el tamaño del corazón Miocardio: Miocito cardiaco y miocito excitador (células de Purkinje): a.- Nódulo sinoauricular, situado en la unión de la orejuela auricular derecha con la salida de la vena cava superior.
  • 2.
    PATOLOGIA CARDIOVASCULAR CORAZÓN: Pesopromedio de 250- 300gr mujeres y de 300 a 350 gr en hombres Espesor del ventrículo derecho de 0,3 a 0,5 cms y el ventrículo izquierdo de 1,3 a 1,5 cms. Hipertrofia y dilatación. Cardiomegalia. Aumento del peso o el tamaño del corazón Miocardio: Miocito cardiaco y miocito excitador (células de Purkinje): a.- Nódulo sinoauricular, situado en la unión de la orejuela auricular derecha con la salida de la vena cava superior
  • 3.
    PATOLOGIA CARDIOVASCULAR b.-el NóduloAV, situado en la unión de la pared medial de la aurícula derecha con el tabique interventricular, c.- el haz de His se dirige por el tabique interventricular hasta la punta dividiéndose en dos, derecha e izquierda. APORTE SANGUINEO: El miocardio recibe el flujo arterial durante la diástole. Arterias coronarias epicárdicas e intramurales
  • 4.
    PATOLOGIA CARDIOVASCULAR La ramadescendente anterior de la arteria coronaria izquierda irriga la mayor parte de la punta cardiaca, la superficie anterior del ventrículo izquierdo y los dos tercios anteriores del tabique interventricular. La arteria coronaria derecha riega la totalidad de la pared libre del ventrículo derecho, la mitad adyacente de la pared posterior del ventrículo izquierdo y el tercio posterior del tabique interventricular
  • 6.
    PATOLOGIA CARDIOVASCULAR Efectos delenvejecimiento sobre el corazón: Miocardio: Aumento de la masa, atrofia parda, aumento de la grasa subepicárdica, depósitos de amiloide. Cámaras: Disminución del tamaño de la cavidad ventricular izquierda, aumento del tamaño de la auricular izquierda. Válvulas: depósitos de calcio en la válvula aórtica, válvula mitral, engrosamiento fibroso de las cuerdas tendinosas Arterias coronarias epicárdicas: Placa ateroesclerótica, depósitos de calcio, tortuosidad. Aorta: Dilatación de la aorta descendente con desviación a la derecha, elongación de la aorta torácica, placa ateroesclerótica, fragmentación de la elástica
  • 7.
    INSUFICIENCIA CARDIACA IZQUIERDA CAUSAS: Cardiopatíaisquémica Hipertensión Valvulopatía aórtica o mitral Enfermedades del miocardio Efectos: Pulmones: a.- trasudado perivascular e intersticial, destaca en los tabiques interalveolares, b.- engrosamiento edematoso progresivo de los tabiques alveolares, c.- acumulación de liquido de edema en los espacios alveolares
  • 8.
    INSUFICIENCIA CARDIACA IZQUIERDA Riñones:disminución de la perfusión lleva a la activación del sistema renina angiotensina aldosterona. Retención de sal y agua. Necrosis tubular renal Cerebro: encefalopatía hipóxica con irritabilidad, perdida de la atención e intranquilidad
  • 10.
    INSUFICIENCIA CARDIACA DERECHA Corpulmonale: dilatación de cámaras derecha, casos agudos cursan con adelgazamiento y dilatación del ventrículo derecho, casos crónicos ocurre hipertrofia ventricular derecha. La congestión pulmonar es mínima con marcada ingurgitación de los sistemas portal y venoso sistémico. Hígado: ligeramente aumentado de tamaño, al corte superficie de “nuez moscada” producto de la congestión pasiva crónica ( centros rojos congestionados de los lóbulos hepáticos rodeados de áreas mas pálidas)
  • 11.
    INSUFICIENCIA CARDIACA DERECHA Riñones:mayor retención de liquido, edema periférico e hiperazoemia Sistema drenaje portal: esplenomegalia, engrosamiento fibroso de la paredes de los sinusoides. Ascitis. Tejidos subcutáneos: edema periférico en las zonas declives( tobillos) Espacios pleural y pericárdico: derrame Cerebro: similar al ya descrito
  • 13.
    CARDIOPATIA ISQUEMICA Es eltipo mas frecuente de cardiopatía y la principal causa de muerte en los países occidentales, representa alrededor del 30% de la muertes en hombres y el 23% en mujeres. Existe un desequilibrio entre el aporte y la demanda cardiaca de sangre oxigenada. A menudo se denomina arteriopatía coronaria o cardiopatía coronaria
  • 14.
    CARDIOPATIA ISQUEMICA Dependiendo dela velocidad de aparición y de la gravedad ultima del o de los estrechamientos arteriales y de la respuesta miocárdica se señalan cuatro síndromes isquémicos: a.- Angina de pecho: estable e inestable b.- infarto de miocardio c.- cardiopatía isquémica crónica d.- muerte súbita de origen cardiaco
  • 15.
    CARDIOPATIA ISQUEMICA Epidemiología. 80%de muertes por causa cardiaca Patogenia global: disminución de la perfusión coronaria en relación a la demanda miocárdica debido a una compleja interacción dinámica entre a.-el estrechamiento ateroesclerótico fijo de las arterias coronarias, b.-la trombosis intraluminal suprayacente a una placa ateroesclerótica rota o fisurada, c.- la agregación plaquetaria d.-vasoespasmo
  • 17.
    ANGINA DE PECHOESTABLE Dolor toráxico episódico al aumentar el trabajo miocárdico en presencia de una alteración de la perfusión. Estenosis al menos del 50% de la luz en una arteria coronaria principal. Placa ateroesclerótica de dos tipos: excéntrica y concéntrica. Episodios repetidos llevan a fibrosis miocárdica. Desarrollo de vasos anastomóticos para compensar las zonas de estenosis vascular
  • 18.
    ANGINA DE PECHOINESTABLE Esta relacionada con el resquebrajamiento de la placa ateromatosa. Se produce un dolor creciente que inclusive aparece en el reposo o con mínimo esfuerzo. Se denomina angina preinfarto o insuficiencia coronaria aguda. Como se inicia la trombosis por la fisura se corre el riego de una oclusión total de la luz arterial. Puede estar seguido de infarto o arritmia ventricular
  • 19.
    INFARTO DE MIOCARDIO Secuenciade alteraciones en el infarto de miocardio Entre 0 y 12 horas el infarto no es visible macroscópicamente Entre 12 y 24 horas la zona infartada es macroscópicamente pálida con alguna manchas intercaladas. Micro: el músculo infartado es muy eosinófilo y presenta edema intercelular. Entre 24 y 72 horas la zona infartada muestra infiltrado inflamatorio agudo. Macro: la zona muerta aparece blanda y pálida con un ligero tinte amarillento. Micro: presencia de neutrófilos abundantes entre las fibras muertas.
  • 20.
    INFARTO DE MIOCARDIO Secuenciade alteraciones en el infarto de miocardio Entre 3 y 10 días, organización de la zona infartada. Borde hiperémico alrededor del músculo muerto amarillento. Histológicamente, sustitución de la zona infartada por tejido de granulación vascularizado. Semanas y meses, depósito progresivo de colágeno (cicatriz blanquecina)
  • 24.
    INFARTO DE MIOCARDIO TIEMPOAPROXIMADO DE COMIENZO DE LOS ACONTECIMIENTOS CLAVE EN LOS MIOCITOS CARDIACOS ISQUÉMICOS CARACTERISTICA TIEMPO Comienzo de la depleción de ATP Segundos Perdida de la contractilidad < 2 min ATP reducido Al 50% de lo normal 10 min Al 10% de lo normal 40 min Lesión celular irreversible 20-40 min Lesión microvascular > 1 h
  • 25.
    EVOLUCION DE LESIONES MORFOLOGICAS Lesiónreversible entre 0 y media hora Lesión Irreversible •Hasta 4 horas existe densidades amorfas de las mitocondrias a la ME •4 a 12 horas moteado oscuro, comienza la necrosis por coagulación •12 a 24 h moteado oscuro, inicio del infiltrado neutrófilo, hipereosinofilia de miocitos •1 a 3 días moteado de color pardo amarillento del centro del infarto
  • 26.
    EVOLUCION DE LESIONES MORFOLOGICAS •3a 7 días bordes hiperémicos con reblandecimiento pardo amarillento del centro, fagocitosis de células muertas por los macrófagos en el borde de la lesión •7 a 10 días formación precoz de tejido de granulación. •10 a 14 días bordes del infarto rojo grisáceos deprimidos. Tejido de granulación con vasos sanguíneos nuevos y depósitos de colágeno •2-8 semanas cicatriz blanco grisácea que nace del borde hacia el centro •> 2 meses cicatrización completa, cicatriz de colágeno denso
  • 27.
  • 31.
  • 36.
  • 37.
    ESTENOSIS AORTICA CALCIFICADA Lamas frecuente de las lesiones valvulares Puede ser congénita o adquirida Se descubre en personas entre el 5º y 6º decenio con válvulas congénitamente bicúspide La estenosis calcificada senil se observa entre 7º y 8º decenio en válvulas tricúspides sin lesión previa. Morfología: Acumulación de masas calcificadas dentro de las valvas aorticas, bordes libres, deformidad de la base y ausencia de fusión en las comisuras
  • 38.
    DEGENERACIÓN MIXOMATOSA DELA VÁLVULA MITRAL Afecta a 33% de los adultos jóvenes con predilección en mujeres, valvulopatía mas frecuente del mundo industrializado. Morfología: Rasgo abombado o acampanada de la valvas mitrales o parcial, suelen ser carnosas y engrosadas. Cuerdas tendinosas elongadas, dilatación del anillo valvular. La lesion fundamental es el adelgazamiento de la capa fibrosa de la válvula
  • 40.
    FIEBRE REUMATICA YCARDIOPATIA REUMATICA Enfermedad inflamatoria aguda, de mecanismo inmunitario. Estreptococo del grupo A beta hemolítico. Morfología: En el corazón se observan los cuerpos de Aschoff: focos de degeneración fibrinoide rodeados de linfocitos principalmente T , aislados plasmocitos y macrófagos hinchados llamados células de Anitschkow , estas células son patognomónicas y poseen abundante citoplasma anfófilo de núcleo central redondo u oval y cromatina en franja ondulada y estrecha (células en oruga)
  • 41.
    FIEBRE REUMATICA YCARDIOPATIA REUMATICA Estos hallazgos inflamatorios se manifiestan como pancarditis. Las lesiones pericárdicas se manifiestan como un exudado fibrinoso ( pan con mantequilla) generalmente se resuelve sin Secuelas. En el miocardio los cuerpos de Aschoff se localizan con mayor frecuencia alrededor de los vasos. Sobre las orejuelas y cuerdas tendinosas se asientan pequeñas vegetaciones de 1-2 mm (verrugas) ubicadas en el borde libre de la valva
  • 44.
    FIEBRE REUMATICA YCARDIOPATIA REUMATICA En la fase crónica de la enfermedad , la válvula mitral está deformada pero clínicamente la afectación de la válvula aortica tiene mas importancia. Los cambios anatómicos cardinales son : engrosamiento de las valvas, fusión de las comisuras, acortamiento, engrosamiento y fusión de las cuerdas tendinosas. Microscópicamente Los cuerpos de Aschoff son sustituidos por cicatrices fibrosas y se pierde el carácter avascular y la arquitectura laminar de las valvas
  • 45.
    FIEBRE REUMATICA YCARDIOPATIA REUMATICA Es la causa mas frecuente de estenosis de la mitral en 99% de los casos En un 65 a 70% se afecta solo la válvula mitral En un 25% la mitral y la aortica La fusión de las comisuras, la calcificación por puentes fibrosos dan lugar a estenosis en boca de pez u ojal
  • 49.
    ENDOCARDITIS Colonización o invasiónde las válvulas cardíacas, del endocardio mural u otros puntos del sistema (vasos y prótesis) por un agente microbiano que da lugar a la formación de vegetaciones , voluminosas y friables compuestas por microorganismos y residuos trombóticos. Morfología Las dos formas, aguda y sub aguda se encuentran en las vegetaciones fibrina, células inflamatorias, bacterias u otros microorganismos. Las vegetaciones pueden ser únicas o múltiples , pueden erosionar el miocardio y causar una cavidad abscesificada.
  • 50.
    ENDOCARDITIS Conocida como abscesoen anillo. La aparición de vegetaciones depende del microorganismo, respuesta del huésped y del tratamiento antibiótico previo. En cualquier momento se pueden presentar embolias en la circulación general causar infartos y aparecer abscesos (infartos sépticos) En la endocarditis aguda hay infección y destrucción de una válvula previamente normal en un corazón sano con muerte en días o semanas en mas del 50% de los casos a pesar del Tratamiento y cirugía.
  • 51.
    ENDOCARDITIS En la mayoriade los casos de endocarditis sub aguda existe un corazon anormal con válvulas deformadas puede infectarse con un germen de menor virulencia Etiogenia y patogenia Procesos predisponentes: válvula mitral mixomatosa, la estenosis valvular de degenerativa calcificada, la valvula aortica bicuspide, protesis valvulares. La endocarditis de valvulas nativas pero lesionadas es causada en 50-60% de los casos por estreptococo
  • 52.
    ENDOCARDITIS Alfa hemolíticos (viridans). Staphylococcusaureus afecta a 10 o 20% de los casos con válvulas sanas o deformadas y es el principal agente nocivo en los drogadictos por via iv. Las demás bacteria son enterococos y el llamado grupo HACEK (Haemophylus, Actinobacillus, Cardiobacterium, Eikenella y Kingella comensales de la cavidad bucal).
  • 53.
    ENDOCARDITIS TROMBOTICA NO BACTERIANA laslesiones de ETNB son estériles y están débilmente unidas a la válvula subyacente. Produce embolias Morfologia Masas de fibrina de 1 a 5 mm a ambos lados de las valvas, habitualmente sobre válvulas normales
  • 60.
    MIOCARDIOPATIA Cardiopatía resultante deuna afección primaria del miocardio. Tres formas clínica, funcionales y anatomopatológicas: Miocardiopatía dilatada Miocardiopatía hipertrófica Miocardiopatia restrictiva La miocardiopatia dilatada es la más frecuente (90%) y la restrictiva la menos prevalente. La biopsia endomiocardica consiste en puncionar el hemicardio derecho con un bioptomo
  • 61.
    MIOCARDIOPATIA DILATADA Miocardiopatía caracterizadapor dilatación e hipertrofia cardiaca progresiva con fallo contractil ( sistolico). Puede deberse a : Miocarditis : Coxsackievirus y otros enterovirus Alcohol y otros tóxicos: el alcohol y sus metabolitos en especial el acetaldehido tienen acción tóxica directa sobre el miocardio Miocardiopatía del periparto, se presenta al final del embarazo. Genéticos.
  • 62.
    MIOCARDIOPATIA DILATADA Morfologia : Corazóngrande y blando. Pesa 2 a 3 veces mas y todas sus cámaras están dilatadas. Manifestaciones clínica: Puede aparecer a cualquier edad pero oscila entre los 20 y 60 años. Insuficiencia cardiaca lentamente progresiva. En etapa terminal la fracción de eyección suele ser inferior a 25%. La mitad de los pacientes mueren en 2 años
  • 63.
    MIOCARDIOPATIA HIPERTROFICA Se caracterizapor hipertrofia del miocardio, un llenado diastólico anormal y en un tercio de los casos por obstrucción intermitente del tracto de salida del ventrículo izquierdo. Sinónimos: estenosis subaórtica hipertrófica y miocardiopatia obstructiva hipertrófica Morfología: Hipertrofia masiva del miocardio sin dilatación ventricular, existe un engrosamiento desproporcionado del tabique interventricular comparado con la pared libre que se llama hipertrofia septal asimétrica.
  • 64.
    MIOCARDIOPATIA HIPERTROFICA Las característicashistológicas mas importantes: Extensa hipertrofia de los miocitos, diámetro transversal de 40 micras, lo normal 25. Disposición desordenada de los haces de miocitos Fibrosis intersticial sustitutiva. Patogenia La mitad de los casos es familiar y se transmite con carácter autosómica dominante
  • 66.
    MIOCARDIOPATIA RESTRICTIVA Existe disminuciónde la distensibilidad ventricular que dificulta la diástole. no se encuentra afectada la sístole. Puede ser idiopática o consecuencia de fibrosis por radiación, amiloidosis, sarcoidosis, tumor metástasico. Morfologia. Ventrículos normales o algo grandes, cavidades no dilatadas. Dilatacion biauricular. Fibrosis intersticial focal o difusa, varia de mínima a extensa.
  • 69.
    MIOCARDITIS Fase activa: corazónnormal o algo dilatado, miocardio blando, focos pálidos o diminutas lesiones hemorrágicas. Puede haber trombos murales. Presencia de infiltrado mononuclear de predominio linfocitario. Miocarditis por hipersensibilidad: infiltrado intersticial perivascular mayormente de linfocitos, macrófagos y gran numero de eosinófilos.
  • 71.
    TUMORES CARDIACOS Los tumoresprimarios son raros y se observan metástasis al corazón en un 5%. Los tumores primarios mas corrientes en orden decreciente son mixoma, fibromas, lipomas, fibroelastomas papilares, rabdomiomas, angiosarcomas y otros. Mixoma: Cerca del 90 % se localizan en las aurículas en una proporción aproximada de 4:1 entre la aurícula izquierda y la derecha. Casi siempre hay un solo tumor. La localización predilecta es la fosa oval del tabique interauricular
  • 73.
    CARDIOPATIA CONGENITA Constituyen lascardiopatías infantiles mas importantes. Se dividen en dos grupos: las que producen obstrucción al flujo y las que producen cortocircuitos anormales. Corto circuitos de izquierda a derecha: son los defectos mas frecuentes •Comunicación interauricular •Comunicación interventricular •Conducto arterioso persistente Corto circuitos de derecha a izquierda: Tetralogía de Fallot
  • 74.
    CARDIOPATIA CONGENITA Consiste en: CIV Cabalgamientoaórtico Estenosis pulmonar Hipertrofia ventricular derecha Malformaciones congénitas no asociadas a cortocircuitos: Estenosis aórtica: estrechamiento valvular generalmente bicúspide. Si la estenosis es en el tejido muscular se denomina estenosis sub valvular o en la pared aortica por encima de la válvula será estenosis supravalvular
  • 75.
    CARDIOPATIA CONGENITA TRANSPOSICIÓN DELOS GRANDES VASOS La supervivencia solo es posible si existen otros cortos circuitos a nivel auricular, ventricular o del agujero de Botal. Los pacientes con transposición y defecto del tabique ventricular (35% de casos) tiene un corto circuito estable. Los que tienen agujero oval permeable o CAP (65% de casos) tienen comunicaciones inestables que tienden a cerrarse
  • 77.
    CARDIOPATIA CONGENITA Coartación dela aorta: Existe estrechamiento de esta arteria habitualmente en la zona del conducto arterioso. Mas frecuente en hombres que en mujeres 2:1. Dos formas clásicas: 1.- forma “infantil” con hipoplasia tubular del cayado aórtico proximal a un conducto arterioso persistente (CAP) 2.- forma “adulta” pequeño repliegue de la aorta justo antes de CAP cerrado.
  • 81.
    ARTERIOESCLEROSIS Significa el engrosamientoy la perdida de la elasticidad de las paredes arteriales. Se reconocen tres patrones de arterioesclerosis: • Ateroesclerosis: caracterizada por lesiones de la íntima llamadas ateromas y que debilitan la capa media. • La esclerosis calcificada de Mönckeberg depósitos de calcio en arteria musculares que no invaden la luz vascular • La arterioloesclerosis que afecta a las arterias de pequeño calibre y arteriolas. Dos tipos: hialina e hiperplásica
  • 82.
    Ateroesclerosis De acuerdo ala distribución característica de las placas de ateroma se afectan: Aorta abdominal inferior, arterias coronarias, arterias poplíteas, arterias carótidas internas y polígono de Willis. Las lesiones suelen ser mucho mas prominente en los orificios de origen de las ramas mayores. La placa ateroesclerotica esta compuesta de 1.- células (musculo liso, macrófagos, leucocitos) 2.- Matriz extra celular MEC con colágeno, fibras elásticas y proteoglicanos y 3.- lípidos intra y extracelulares
  • 83.
    Ateroesclerosis Las lesiones avanzadasque representan una complicación de la placa ateroesclerótica y con significado clínico son: Rotura focal, ulceración o erosión. Hemorragia. Trombosis, complicación mas temida. Dilatación aneurismática.
  • 87.
  • 88.
    Enfermedad grave con lesionesdifusas y complicadas
  • 89.
    Complicaciones clínicas de laateroesclerosis en las arterias coronarias
  • 90.
  • 91.
  • 92.
  • 93.
    ANEURISMA Consecuencias clínicas :dependen de su localización y tamaño: •Rotura en la cavidad peritoneal consecuente hemorragia •Oclusión de ramas vasculares por compresión directa o formación de un trombo mural •Producción de embolia de material ateromatoso o del trombo mural •Afectación de estructura vecina como compresión de un uréter o erosión de una vertebra •Aparición de una masa abdominal palpable que simula un tumor
  • 95.
  • 96.
    VASCULITIS Inflamación de lapared de un vaso. El cuadro clínico de las vasculitis es diverso y depende del lecho vascular afectado. Signos y síntomas inespecíficos, fiebre, mialgias, artralgias y malestar. Cualquier vaso de cualquier órgano puede verse afectado. Se conocen unas 20 formas de vasculitis. La denominada nomenclatura de Chapel Hill sigue siendo el criterio mas aceptado. Patogenia mas frecuente son la inflamación de origen inmunitario y la invasión de la pared vascular por patógenos
  • 97.
    Clasificación de lasvasculitis consenso de Chapel Hill 2012
  • 98.
    VASCULITIS Mecanismos inmunitarios envasculitis no infecciosa: 1.- Depósito de inmunocomplejos: vasculitis asociada a hipersensibilidad farmacológica y algunas infecciones víricas 2.- Anticuerpos Anticitoplasma de Neutrófilo: grupo heterogéneo de autoanticuerpos dirigido a los constituyentes de los gránulos primarios contenidos en los neutrófilos, los lisosomas de los monocitos y las células endoteliales : antimieloperoxidasa (ANCA-MPO) se denominan ANCA-p Antiproteinasa 3 (ANCA-PR3) la PR3 comparte homología con péptidos microbianos . Se denominan ANCA-c 3.- Anticuerpos frente a las células endoteliales.
  • 99.
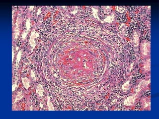
    ARTERITIS DE LATEMPORAL O DE CELULAS GIGANTES • La forma mas común de vasculitis sistémica en el adulto. • Es una inflamación aguda y crónica con frecuencia granulomatosa que • Afecta arterias desde grande a pequeñas principalmente a las arterias de la cabeza en especial la temporal, pero también a las vertebrales, oftálmicas y a la aorta e inclusive causar aneurisma de la aorta • Las arterias muestran engrosamientos nodulares con reducción de la luz. Infiltrado mononuclear con células gigantes multinucleadas y fragmentación de la lamina elástica interna
  • 100.
    ARTERITIS DE LATEMPORAL O DE CELULAS GIGANTES
  • 103.
    ARTERITIS DE TAKAYASU •Vasculitis granulomatosa de arterias de mediano y gran calibre • Engrosamiento irregular de las paredes de la aorta y sus ramas con arrugamiento de la intima. • Se desconocen la causa y la patogenia aunque se sospecha de mecanismos autoinmunes. • Puede ocurrir insuficiencia valvular aortica por dilatación de la raíz de la aorta.
  • 108.
    POLIARTERITIS NODOSA Inflamación necrotizantetransmural de las arteria musculares de pequeño y mediano tamaño. Respeta la circulación pulmonar. Lesiones focales, aleatorias y episódicas Producen dilataciones aneurismáticas, nódulos, obstrucción vascular e infartos. Enfermedad propia de adultos jóvenes. Evolución aguda, subaguda y crónica. Largos intervalos asintomáticos
  • 115.
    Síndrome de Kawasaki Arteritisque afecta arterias grandes, medianas y pequeñas (a menudo coronarias) Afecta principalmente a niños pequeños y lactantes Enfermedad epidémica en el Japón. Primera causa de cardiopatia adquirida en los niños de USA En fase aguda, la enfermedad se manifiesta por fiebre, eritema de palmas y plantas, una erupción cutánea con frecuente descamación y adenomegalia cervical. Suele curar espontáneamente
  • 118.
    Enfermedad de Buergero Tromboangeítis Obliterante Inflamación aguda y cronica, segmentaria y trombosante de las arterias de pequeño y mediano tamaño. Afecta principalmente arteria radial y tibial. Afecta mayormente a varones fumadores. Relación estrecha con el consumo de cigarrillos
  • 121.
    Granulomatosis de Wegenero Granulomatosis con Poliangeitis Vasculitis necrotizante que afecta vasos pequeños y medianos incluyendo capilares. Esta caracterizada por la triada 1.- granulomas necrotizantes de las vias respiratorias superiores e inferiores. 2.- vasculitis necrotizante focal o granulomatosa. 3.- nefropatia tipo glomerulonefritis focal a menudo con formación de semilunas.
  • 126.
    Vasculitis leucocitoclástica ode hipersensibilidad Afecta a arteriolas, vénulas y capilares a diferencia de la poliarteritis nudosa. Todas las lesiones están en la misma fase evolutiva y en la mayoría de los casos existe ANCA. En muchos casos es desencadenada por una reacción inmunológica Clínicamente se manifiesta con hemoptisis, hematuria y proteinuria, dolores o hemorragias intestinales y debilidad o dolores musculares
  • 128.
    Tumores vasculares BENIGNOS Hemangioma • Hemangiomacapilar • Hemangioma cavernoso • Granuloma piógeno (hemangioma capilar lobular) Linfangioma Tumor glómico MALIGNIDAD INTERMEDIA Sarcoma de Kaposi Hemangioendotelioma MALIGNO Angiosarcoma Hemangiopericitoma
  • 129.
  • 130.
  • 131.
  • 132.
  • 134.
  • 135.
    SARCOMA DE KAPOSICON INFECCIÓN POR CANDIDA SP
  • 136.
    SARCOMA DE KAPOSIFORMA NODULAR
  • 137.
  • 138.