células ubicadas en la
parte más alta
queratinosomas o
cuerpos de Odland
contienen
fosfatasa ácida
contiene
MELANOCITOS
CEL. DE
LANGERHANS
CÉL. DE
MERKEL
CÉLULAS NO
QUERATINO-
CITICAS
células dendríticas localizadas
en la capa basal y espinosa
del epitelio gingival. Sintetizan
melanina en organelos
denominados premelanosomas
o melanosomas.
Encía pigmentada de un perro, se observan
melanocitos (M) en la capa del epitelio basal y
melanóforos (C) en el tejido conectivo.
de tipo dendrítico y se localizan
entre queratinocitos en los
niveles suprabasales.
Pertenecen al sistema de
fagocitos mononucleares
se encuentran en las capas más
profundas del epitelio, albergan
terminaciones nerviosas y están
conectadas a células adyacentes
por desmosomas. Se han
indentificado como receptores
táctiles.
Epitelio gingival humano, aspecto bucal.
Técnica de inmunoperoxidasa mostrando
células de Langerhans
CARACTERÍSTICAS ESTRUCTURALES Y METABÓLICAS DE DIFERENTES ÁREAS
DEL EPITELIO GINGIVAL
COMPONENTE
EPITELIAL
EPITELIO
BUCAL
(EXTERNO)
EPITELIO
DE UNIÓN
EPITELIO
DEL
SURCO
EPITELIO BUCAL (EXTERNO)
Cubre la cresta y la superficie exterior de la encía marginal y la
superficie de la encía insertada.
Tiene entre 0.3 y 0.3 mm de espesor
Está queratinizado, paraqueratinizado o presenta estas
variedades combinadas
El grado de la queratinización gingival disminuye con la edad y el
inicio de la menopausia.
La queratinización de la mucosa bucal varía en diferentes áreas
en el siguiente orden: paladar (más queratinizado), encía, aspecto
ventral de la lengua y mejilla (menos queratinizada).
Las queratinas K1, K2 y K10 a K12 que son específicas para la
diferenciación epidérmica, se expresan inmunohístoquímicarnente
con alta intensidad en las zonas ortoqueratínizadas y con menor en
las paraqueratinizado.
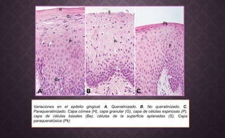
Variaciones en el epitelio gingival. A, Queratinizado. B, No queratinizado. C,
Paraqueratinizado. Capa córnea (H), capa granular (G), capa de células espinosas (P),
capa de células basales (Ba), células de la superficie aplanadas (S), Capa
paraqueratósica (Pk)
A B C
EPITELIO DEL SURCO
epitelio escamoso
estratificado, no
queratinizado y
sin proyecciones
interpapilares
epitelio que
recubre el surco
gingival
se extiende
desde el límite
coronal del
epitelio de unión
hasta la cresta
del margen
gingival.
carece de estrato
granuloso y
córneo y de las
citoquinas k1, k2 y
k10 a k12. En
circunstancias
normales no
contiene células
de Merkel.
EPITELIO DEL SURCO
Menor grado de
actividad que en el
epitelio externo,
sobre todo en el caso
de las enzimas
relacionadas con la
queratinización.
Posee capacidad
para
queratinizarse si:
- Se lo revierte y
expone a la
cavidad bucal
- Se elimina por
completo la
microflora
bacteriana del
surco
Actúa como una
membrana
semipermeable a
través de la cual
los productos
tóxicos de las
bacterias pasan
hacia la encía y el
líquido gingival se
filtra hacia el
surco.
EPITELIO DE UNIÓN
Epitelio de unión en un diente en erupción. El
epitelio de unión (JE) está formado por la unión
del epitelio bucal (OE) y el epitelio reducido del
esmalte (REE).
banda que rodea al diente a modo de collar constituida por
epitelio escamoso estratificado no queratinizado.
En las primeras etapas de la vida, su grosor es de tres
a cuatro capas, aunque la cantidad de estratos
aumenta con la edad hasta 10 o aún 20.
La longitud del epitelio de unión varía desde 0.25
hasta 1.35 mm.
El epitelio de unión se forma por la confluencia del epitelio
bucal y el epitelio reducido del esmalte durante la erupción
dentaria
La falta de queratinosomas y fosfatasa
ácida reflejaría un bajo poder de
defensa contra la acumulación de placa
microbiana en el surco gingival.
Evidencia menos actividad
enzimática glucolítica que el
epitelio externo y carece de
actividad de fosfatasa ácida.
Las fibras gingivales fortalecen la
inserción del epitelio de unión con el
diente. Dichas fibras refuerzan la encía
marginal contra la superficie dentaria.
EPITELIO DE UNIÓN
DESARROLLO DEL
SURCO GINGIVAL
LAB = MB + FA
Se
desintegra
Proliferación
Fase de campana
Desmosomas
Proceso de Tomes
Histogénesis
Dentinogénesis
(Centrífuga)
Amelogénesis (Centrípeta)
Formación de la unión dentogingival del epitelio oral y dental. La línea punteada
separa el epitelio de unión del epitelio oral.
Una vez finalizada la
formación del esmalte, se
cubre con epitelio reducido
del esmalte (REE), que se
inserta al diente por una
lámina basal y
hemidesmosomas.
Cuando el diente penetra en
la mucosa bucal, el REE se
une con el epitelio bucal y se
transforma en epitelio de
unión.
Esta trasformación procede
en sentido apical sin
interrumpir la inserción al
diente y tarde entre uno y
dos años.
Diente completamente
erupcionado. S: surco con residuos
epiteliales, C: cemento,
ER: residuos epiteliales
Diente en erupción.
JE: epitelio de unión
Diente no erupcionado. D: Dentina, E:
remanentes de la matriz del esmalte,
REE: epitelio reducido del esmalte, OE:
epitelio bucal, a: artefacto de la técnica.
Epitelio de unión en un diente en proceso de erupción. El epitelio de unión (JE) está formado la
adhesión del epitelio bucal (OE) y el epitelio reducido del esmalte (REE). Se reconoce cemento
afibrilar (AC) que se forma algunas veces sobre el esmalte, luego que el REE degenera.
Las células epiteliales en
regeneración se mueven
hacia la superficie del diente
y a lo largo de éste en
sentido coronal hacia el
surco gingival, donde son
exfoliadas.
El surco gingival se forma
cuando el diente entra en
erupción en la cavidad bucal.
El surco consiste del espacio
poco profundo coronal a la
inserción del epitelio de
unión, delimitado por el
diente en un lado y por el
epitelio del surco por el otro.
La extensión coronal del
surco gingival es el margen
gingival.
Las flechas indican el
movimiento coronal de las
células epiteliales en vías
de regeneración, que se
multiplican más rápido en
el JE que en OE.
Hay un patrón de
recambio celular similar en
el diente erupcionado por
completo
RENOVACIÓN DEL EPITELIO GINGIVAL
El epitelio bucal experimenta renovación continua. Su espeso es mantenido por un equilibrio entre la
formación de células nuevas en las capas basales y espinosas y la exfoliación de las células en la
superficie.
La actividad mitótica exhibe una periodicidad de 24 horas. El índice mitótico es mayor en áreas no
queratinizadas y se incrementa en la gingivitis.
El índice mitótico en las áreas del epitelio bucal en orden descendente es así:
El índice mitótico en las áreas del epitelio bucal en orden descendente es así: Los tiempos de recuperación en las áreas
del epitelio bucal es así: paladar, lengua y mejilla, 5 a 6 días; encía, 10 a 12 días; y epitelio de unión, 1 a 6 días.
mucosa bucal paladar duro
epitelio del
surco
epitelio de
unión
superficie
externa de la
encía marginal
encía insertada
ESTRUCTURAS CUTICULARES SOBRE EL
DIENTE
Recubrimientos adquiridos
Saliva
Baterias
Cálculo
Machas de la superficie
Recubrimientos que tienen su
origen durante el desarrollo
Epitelio reducido del esmalte
Cemento coronal
Cutícula dental
“La cutícula es una estructura fina y acelular con una matriz homogénea”.
FLUIDO GINGIVAL
El valor del fluido gingival es que puede estar
representado como trasudado o exudado.
El fluido gingival contiene componentes de tejido conjuntivo, epitelio,
células inflamatorias, suero, flora microbiana que habita en el margen
gingival o el surco (bolsa). Durante la inflamación su flujo aumenta y su
composición comienza a asemejarse a la de un exudado inflamatorio.
La ruta principal de difusión es a través de la membrana basa, espacios
intercelulares del epitelio de unión y luego dentro del surco.
FUNCIONES
Limpia el material del surco
Contiene proteínas plasmáticas que pueden mejorar la adhesión del epitelio al diente
Posee propiedades antimicrobianas
Ejerce actividad como anticuerpo para defender la encía
ES CONOCIDO COMO LÁMINA PROPIA.
Componentes
fibras colágenas (alrededor del
60% por volumen)
fibroblastos (5%)
vasos, nervios y matriz (alrededor
del 35%)
2 capas
un estrato capilar subyacente al epitelio
una capa reticular contigua al periostio
del hueso alveolar.
 El tejido conectivo posee un comportamiento celular y otro
extracelular compuesto por fibras y sustancias fundamental.
 El tejido conjuntivo gingival es en gran parte un tejido
conjuntivo fibroso que tiene elementos que provienen de
manera directa de la mucosa bucal del tejido conjuntivo, así
como algunas fibras (dentogingivales) que se originan en el
folículo dental en desarrollo.
 La sustancia fundamental llena el espacio entre las fibras y
las células, es amorfa y tiene un alto contenido de agua.
 Todos los componentes de la matriz son sintetizados y segregados por los fibroblastos.
 Los proteoglucanos constan de un núcleo central proteico al que se unen un número
variable de cadenas de GAG altamente aniónicas.
 La estructura de los proteoglucanos depende del tipo de cadenas de GAG insertadas en el
núcleo proteico.
Las células y fibras del tejido
conjuntivo, además de los
vasos y los nervios, están
insertados en un matriz
amorfa, no fibrosa y acelular
glucosaminoglucanos (GAG) ácido
hialurónico
Proteoglucanos
sulfato de condroitina
Glucoproteínas
fibronectina
en grandes
cantidades
en la encía.
 Los tejidos blandos como el tejido gingival y el ligamento
periodontal contienen pequeños proteoglucanos de
dermatán sulfato y un proteoglucano condroitín sulfato de
mayor peso molecular (versicán) que puede interaccionar con
el hialuronano.
 Los GAG son polisacáridos no ramificados largos que pueden
unir grandes cantidades de agua.
 Las glicoproteínas son responsables de la débil reacción
positiva a PAS de la sustancia fundamental.
 La fibronectina une los fibroblastos a las fibras y a muchos
otros componentes de la matriz intercelular, ayudando a
mediar en la adhesión y la migración celular.
 La laminina, otra glicoproteína que se encuentra en la lamina
basal, sirve para su adhesión a las células epitealiales.
 Los tres tipos de fibras del tejido conjuntivo son
colágeno, reticular y elástico.
 El colágeno tipo I forma la mayor parte de la lámina
propia y proporciona resistencia a la tracción en el tejido
gingival. El colágeno tipo IV(fibra reticular argirófila) se
ramifica entre los haces de colágeno tipo I y continúa en
las fibras de la membrana basal y las paredes de los vasos
sanguíneos.
 El sistema de fibras elásticas está compuesto por fibras de
oxitalán, elaunina y elastina distribuidas entre las fibras
colágenas.
Aseguran firmemente la encía
marginal contra el diente
Proveen la rigidez necesaria para
soportar las fuerzas de la
masticación sin separarse de la
superficie dentaria.
Unen la encía marginal libre con el
cemento de la raíz y la encía
insertada contigua.
El tejido conjuntivo de la encía marginal es densamente colágeno, contiene un sistema
prominente de haces de fibra de colágeno llamados fibras gingivales. Consisten de
colágeno tipo I.
GRUPO GINGIVODENTAL
Provee soporte
gingival.
Se insertan en
cemento, justo
por debajo del
epitelio, en la
base del surco
gingival.
También se
extienden por fuera
del periostio de los
huesos alveolares
vestibular y lingual y
terminan en la encía
insertada o se unen
con el periostio.
En las superficies
vestibulares y linguales
se proyectan como
abanico desde el
cemento hacia la
cresta y la superficie
externa de la encía
marginal.
En sentido
interproximal, se
extienden hacia
la cresta de la
encía
interdental.
GRUPO CIRCULAR
Las fibras
circulares
atraviesan el
tejido conectivo
de la encía
marginal e
interdental y
rodean al diente
a manera de
anillo.
Mantienen el
contorno y
posición del
margen
gingival libre.
Se hallan localizadas en el
espacio interproximal,
forman haces horizontales
que se extienden entre el
cemento de dientes
adyacentes en los cuales se
insertan
Se originan en la region
cervical de cada corona y se
extienden hacia las
localizaciones similares en la
cara mesial y distal de cada
diente adyacente.
GRUPO TRANSEPTAL
Tres fuentes de irrigación
sanguínea de la encía
ARTERIOLAS
SUPRAPERIOSTICAS
VASOS DEL
LIGAMENTO
PERIODONTAL
ARTERIOLAS
ARTERIOLAS SUPRAPERIOSTICAS
A lo largo de la superficie vestibular y
lingual del hueso alveolar.
LOCALIZACION:
Algunas ramas de las arteriolas atraviesan el hueso alveolar
hacia el ligamento periodontal o corren sobre la cresta del hueso
alveolar.
ARTERIOLAS SUPRAPERIOSTICAS
Recibe su
irrigación de:
ARTERIA
SUBLINGUAL
ARTERIA
MENTONIANA
ARTERIA
BUCAL
ARTERIA
FACIAL
ARTERIA PALATINA
MAYOR
ARTERIA INFRAORBITARIA
ARTERIA ALVEOLAR
POSTERIOR
VASOS DEL LIGAMENTO PERIODONTAL
Se extienden hacia dentro de la encía y establecen anastomosis con
capilares en el área del surco.
ARTERIOLAS
Emergen de la cresta del tabique interdental
Se extienden de
forma paralela a la
cresta del hueso
Con los vasos del ligamento periodontal
Con capilares en las áreas del surco gingival
Vasos que corren sobre la cresta alveolar.
En el área del COL se
presenta un patrón mixto de
capilares y asas en
anastomosis.
La irrigación de los tejidos duros y blandos de los maxilares superior e
inferior es provista por todo el sistema de vasos sanguíneos y no por grupos
individuales de vasos
El papel del
sistema linfático
Eliminación
del exceso de
líquidos
desechos
celulares y
proteínicos
de
microorganismos
el control de la
difusión
la resolución de
los procesos
inflamatorios.
linfa proveniente de los tejidos periodontales drena los ganglios linfáticos de la cabeza y el cuello.
La encía vestibular y lingual de la región de los
incisivos inferiores
drena ganglios linfáticos submentonianos (g.s.me.).
La encía palatina del maxilar superior drena los ganglios linfáticos cervicales profundos
La encía vestibular del maxilar superior y la
encía vestibular y lingual de la región de
premolares y molares
drena ganglios linfáticos submandibulares
Deriva de las
fibras que
surgen
nervios en el
ligamento
periodontal
nervio labial
nervio bucal
nervio palatino
En el tejido conectivo se encuentran las siguientes estructuras nerviosas:
•algunas de las cuales
se extienden hacia el
epitelio
* RED DE FIBRAS
ARGIROFILAS
TERMINALES
•receptores térmicos
•husos encapsulados.
* CORPÚSCULOS
TÁCTILES DE
TIPO MEISSNER
* BULBOS
TERMINALES
TIPO KRAUSE

COLOR
ENCÍA INSERTADA
• rosa coral y se debe al
aporte vascular, grosor y
grado de queratinización
del epitelio,
MUCOSA ALVEOLAR
• es roja, uniforme y brillante
• epitelio más delgado, no
queratinizado y carece de
proyecciones epiteliales
interpapilares.

PIGMENTACIÓN FISIOLÓGICA
(MELANINA)
pigmento de color
pardo que no deriva
de la hemoglobina
tonalidad normal
Todos los
individuos
normales la tienen
bien no siempre en
cantidades
suficientes para
poder identificarla
clinicamente
Según Dummett, la distribución de la pigmentación bucal en la gente de raza negra es
la siguiente: encía, 60%; paladar duro, 61%; membranas mucosas, 22%; lengua, 15%.

coloración oscura de los tejidos orgánicos
acumulación de melanina
pigmento endógeno, pardo,
negruzco, intracelular
escalas de pigmentación gingival.
se debe al incremento de la actividad de los melanocitos
Esta pigmentación es simétrica y
persistente y no altera la arquitectura
normal
contacto con restauración de amalgama.
contacto con la encía, se generan manchas negras.
tratamiento será la retirada de la restauración de amalgama
Hiperpigmentación de la
mucosa bucal, labios, encía,
paladar y lengua
La localización típica es la encía labial anterior.
se asocia con la mucosa bucal y el paladar.
Intensidad: tiempo y la cantidad de tabaco
mejora meses o años después de suspender el tabaquismo
TRATAMIENTO
objetivo
MUCOABRASIÓN
eliminar el epitelio y los
depósitos de melanina con el
uso de fresas con alta velocidad
hasta llegar a alcanzar los
plexos vasculares papilares del
tejido conectivo superficial
Después de la
hemostasia,
se coloca
apósito
periodontal
extirpar el
epitelio
pigmentado
junto con una
capa de tejido
conectivo
subyacente
Es simple,
fácil de
realizar,
económica
Está
contraindicado en
áreas gingivales
delgadas, donde
se puede conducir
a la recesión
gingival.
a. Técnica quirúrgica con bisturí
b. Método de abrasión con fresas
Bajo irrigación
abundante, se debe
aplicar una presión
mínima y ligera como
un suave cepillado
Es simple,
fácil de
realizar,
rentable
suele ser difícil
de controlar la
profundidad
del desgaste
a
b
c. Electrocirugía.
El tiempo de
contacto debe
ser muy breve,
mantener la
punta en un solo
lugar podría
conducir a un
calor excesivo
La pieza de mano
se aplica de una
manera similar a
un lapicero y se
mueve
rápidamente
sobre el tejido
pigmentado
es el uso de la alta
frecuencia, que se
aplica directamente
al tejido para
producir efectos
histológicos.
Se debe evitar
el contacto con
el periostio o el
hueso alveolar y
los dientes
vitales.
d. Criocirugía.
describe el tratamiento de la encía
pigmentada mediante la aplicación
directa de nitrógeno líquidoEl sitio congelado se descongela
espontáneamente en 1 minuto y se
desarrolla un eritema leve.La eliminación de los pigmentos no se
puede evaluar durante el procedimiento y
requiere una segunda sesión después de 5-
7 días.
La profundidad de penetración es difícil de
controlar y la congelación prolongada podría
causar la destrucción excesiva del tejido y
dolor; por lo que se necesita precisión
e. Láser. f. Radiocirugía.
Es de fácil manejo, se logra un
tratamiento corto, hemostasia,
descontaminación (no se requiere
apósito periodontal)
Su principal desventaja es el costo de los
equipos.
afinidad particular por la melanina
produce una microincisión; fina y lisa, sin
calor, que se envía a los tejidos
circundantes.
Se debe tocar las áreas pigmentadas
ligeramente con la punta del electrodo y
retirarlo tan pronto como el tejido alrededor
del electrodo se vuelve blanquecino.
Se usa una mezcla de fenol
al 90% con 95% de alcohol
para destruir el tejido pigmentado, pero es difícil
controlar la profundidad de penetración y es muy
lesivo y generalmente recidiva la pigmentación
puede causar recesión gingival, daño al
periostio del hueso subyacente, se puede
retrasar la cicatrización, y puede ocasionarse
pérdida del esmalte dental.
Fase quirúrgica
asepsia y antisepsia del campo
operatorio extraoral con yodopovidona
anestesia local infiltrativa con lidocaína
al 2% y epinefrina, de pieza 15 a 25
un separador de comisuras labiales
plástico bilateral para tener todo el
campo operatorio expuesto
Se inicia la mucoabrasión con una
pieza de mano de alta velocidad
eliminando toda la capa melánica,
teniendo cuidado de no tocar la
capa de tejido conectivo o
subepitelial
se empieza a realizar un
raspado ligero
para eliminar la capa de
melanina que haya
quedado sin ser
eliminada
Lo que permitirá una mejor
sensibilidad táctil para realizar
el acabado
Finalizando con el uso de apósito
periodontal por 2 días, de tipo pasta-
pasta libre de eugenol
Finalmente, se le dio las indicaciones
posoperatorias sobre los cuidados de dieta y
medicación farmacológica con analgésicos.
Cuidados intraorales: uso de cepillo con
cerdas blandas y enjuagues con gluconato
de clorhexidina al 0,12%, 2 v/ día por dos
semanas.
Fase de mantenimiento
Primer control:
al segundo día, donde se evidencia un estado óptimo de la zona
tratada en franca regeneración y se retira el apósito
periodontal.
Segundo control:
a los ocho días, se aprecia una cicatrización adecuada y se
evidencia la eliminación total de la melanosis superior
Periodoncia 1

Periodoncia 1

  • 1.
    células ubicadas enla parte más alta queratinosomas o cuerpos de Odland contienen fosfatasa ácida contiene
  • 2.
    MELANOCITOS CEL. DE LANGERHANS CÉL. DE MERKEL CÉLULASNO QUERATINO- CITICAS células dendríticas localizadas en la capa basal y espinosa del epitelio gingival. Sintetizan melanina en organelos denominados premelanosomas o melanosomas. Encía pigmentada de un perro, se observan melanocitos (M) en la capa del epitelio basal y melanóforos (C) en el tejido conectivo. de tipo dendrítico y se localizan entre queratinocitos en los niveles suprabasales. Pertenecen al sistema de fagocitos mononucleares se encuentran en las capas más profundas del epitelio, albergan terminaciones nerviosas y están conectadas a células adyacentes por desmosomas. Se han indentificado como receptores táctiles. Epitelio gingival humano, aspecto bucal. Técnica de inmunoperoxidasa mostrando células de Langerhans
  • 3.
    CARACTERÍSTICAS ESTRUCTURALES YMETABÓLICAS DE DIFERENTES ÁREAS DEL EPITELIO GINGIVAL COMPONENTE EPITELIAL EPITELIO BUCAL (EXTERNO) EPITELIO DE UNIÓN EPITELIO DEL SURCO
  • 4.
    EPITELIO BUCAL (EXTERNO) Cubrela cresta y la superficie exterior de la encía marginal y la superficie de la encía insertada. Tiene entre 0.3 y 0.3 mm de espesor Está queratinizado, paraqueratinizado o presenta estas variedades combinadas El grado de la queratinización gingival disminuye con la edad y el inicio de la menopausia. La queratinización de la mucosa bucal varía en diferentes áreas en el siguiente orden: paladar (más queratinizado), encía, aspecto ventral de la lengua y mejilla (menos queratinizada). Las queratinas K1, K2 y K10 a K12 que son específicas para la diferenciación epidérmica, se expresan inmunohístoquímicarnente con alta intensidad en las zonas ortoqueratínizadas y con menor en las paraqueratinizado.
  • 5.
    Variaciones en elepitelio gingival. A, Queratinizado. B, No queratinizado. C, Paraqueratinizado. Capa córnea (H), capa granular (G), capa de células espinosas (P), capa de células basales (Ba), células de la superficie aplanadas (S), Capa paraqueratósica (Pk) A B C
  • 6.
    EPITELIO DEL SURCO epitelioescamoso estratificado, no queratinizado y sin proyecciones interpapilares epitelio que recubre el surco gingival se extiende desde el límite coronal del epitelio de unión hasta la cresta del margen gingival. carece de estrato granuloso y córneo y de las citoquinas k1, k2 y k10 a k12. En circunstancias normales no contiene células de Merkel.
  • 7.
    EPITELIO DEL SURCO Menorgrado de actividad que en el epitelio externo, sobre todo en el caso de las enzimas relacionadas con la queratinización. Posee capacidad para queratinizarse si: - Se lo revierte y expone a la cavidad bucal - Se elimina por completo la microflora bacteriana del surco Actúa como una membrana semipermeable a través de la cual los productos tóxicos de las bacterias pasan hacia la encía y el líquido gingival se filtra hacia el surco.
  • 8.
    EPITELIO DE UNIÓN Epiteliode unión en un diente en erupción. El epitelio de unión (JE) está formado por la unión del epitelio bucal (OE) y el epitelio reducido del esmalte (REE). banda que rodea al diente a modo de collar constituida por epitelio escamoso estratificado no queratinizado. En las primeras etapas de la vida, su grosor es de tres a cuatro capas, aunque la cantidad de estratos aumenta con la edad hasta 10 o aún 20. La longitud del epitelio de unión varía desde 0.25 hasta 1.35 mm. El epitelio de unión se forma por la confluencia del epitelio bucal y el epitelio reducido del esmalte durante la erupción dentaria
  • 9.
    La falta dequeratinosomas y fosfatasa ácida reflejaría un bajo poder de defensa contra la acumulación de placa microbiana en el surco gingival. Evidencia menos actividad enzimática glucolítica que el epitelio externo y carece de actividad de fosfatasa ácida. Las fibras gingivales fortalecen la inserción del epitelio de unión con el diente. Dichas fibras refuerzan la encía marginal contra la superficie dentaria. EPITELIO DE UNIÓN
  • 10.
  • 11.
    LAB = MB+ FA Se desintegra Proliferación Fase de campana Desmosomas Proceso de Tomes Histogénesis Dentinogénesis (Centrífuga) Amelogénesis (Centrípeta)
  • 12.
    Formación de launión dentogingival del epitelio oral y dental. La línea punteada separa el epitelio de unión del epitelio oral. Una vez finalizada la formación del esmalte, se cubre con epitelio reducido del esmalte (REE), que se inserta al diente por una lámina basal y hemidesmosomas. Cuando el diente penetra en la mucosa bucal, el REE se une con el epitelio bucal y se transforma en epitelio de unión. Esta trasformación procede en sentido apical sin interrumpir la inserción al diente y tarde entre uno y dos años.
  • 13.
    Diente completamente erupcionado. S:surco con residuos epiteliales, C: cemento, ER: residuos epiteliales Diente en erupción. JE: epitelio de unión Diente no erupcionado. D: Dentina, E: remanentes de la matriz del esmalte, REE: epitelio reducido del esmalte, OE: epitelio bucal, a: artefacto de la técnica.
  • 14.
    Epitelio de uniónen un diente en proceso de erupción. El epitelio de unión (JE) está formado la adhesión del epitelio bucal (OE) y el epitelio reducido del esmalte (REE). Se reconoce cemento afibrilar (AC) que se forma algunas veces sobre el esmalte, luego que el REE degenera. Las células epiteliales en regeneración se mueven hacia la superficie del diente y a lo largo de éste en sentido coronal hacia el surco gingival, donde son exfoliadas. El surco gingival se forma cuando el diente entra en erupción en la cavidad bucal. El surco consiste del espacio poco profundo coronal a la inserción del epitelio de unión, delimitado por el diente en un lado y por el epitelio del surco por el otro. La extensión coronal del surco gingival es el margen gingival. Las flechas indican el movimiento coronal de las células epiteliales en vías de regeneración, que se multiplican más rápido en el JE que en OE. Hay un patrón de recambio celular similar en el diente erupcionado por completo
  • 15.
    RENOVACIÓN DEL EPITELIOGINGIVAL El epitelio bucal experimenta renovación continua. Su espeso es mantenido por un equilibrio entre la formación de células nuevas en las capas basales y espinosas y la exfoliación de las células en la superficie. La actividad mitótica exhibe una periodicidad de 24 horas. El índice mitótico es mayor en áreas no queratinizadas y se incrementa en la gingivitis. El índice mitótico en las áreas del epitelio bucal en orden descendente es así: El índice mitótico en las áreas del epitelio bucal en orden descendente es así: Los tiempos de recuperación en las áreas del epitelio bucal es así: paladar, lengua y mejilla, 5 a 6 días; encía, 10 a 12 días; y epitelio de unión, 1 a 6 días. mucosa bucal paladar duro epitelio del surco epitelio de unión superficie externa de la encía marginal encía insertada
  • 16.
    ESTRUCTURAS CUTICULARES SOBREEL DIENTE Recubrimientos adquiridos Saliva Baterias Cálculo Machas de la superficie Recubrimientos que tienen su origen durante el desarrollo Epitelio reducido del esmalte Cemento coronal Cutícula dental “La cutícula es una estructura fina y acelular con una matriz homogénea”.
  • 17.
  • 18.
    El valor delfluido gingival es que puede estar representado como trasudado o exudado.
  • 19.
    El fluido gingivalcontiene componentes de tejido conjuntivo, epitelio, células inflamatorias, suero, flora microbiana que habita en el margen gingival o el surco (bolsa). Durante la inflamación su flujo aumenta y su composición comienza a asemejarse a la de un exudado inflamatorio. La ruta principal de difusión es a través de la membrana basa, espacios intercelulares del epitelio de unión y luego dentro del surco.
  • 20.
    FUNCIONES Limpia el materialdel surco Contiene proteínas plasmáticas que pueden mejorar la adhesión del epitelio al diente Posee propiedades antimicrobianas Ejerce actividad como anticuerpo para defender la encía
  • 21.
    ES CONOCIDO COMOLÁMINA PROPIA.
  • 22.
    Componentes fibras colágenas (alrededordel 60% por volumen) fibroblastos (5%) vasos, nervios y matriz (alrededor del 35%) 2 capas un estrato capilar subyacente al epitelio una capa reticular contigua al periostio del hueso alveolar.
  • 23.
     El tejidoconectivo posee un comportamiento celular y otro extracelular compuesto por fibras y sustancias fundamental.  El tejido conjuntivo gingival es en gran parte un tejido conjuntivo fibroso que tiene elementos que provienen de manera directa de la mucosa bucal del tejido conjuntivo, así como algunas fibras (dentogingivales) que se originan en el folículo dental en desarrollo.  La sustancia fundamental llena el espacio entre las fibras y las células, es amorfa y tiene un alto contenido de agua.
  • 24.
     Todos loscomponentes de la matriz son sintetizados y segregados por los fibroblastos.  Los proteoglucanos constan de un núcleo central proteico al que se unen un número variable de cadenas de GAG altamente aniónicas.  La estructura de los proteoglucanos depende del tipo de cadenas de GAG insertadas en el núcleo proteico. Las células y fibras del tejido conjuntivo, además de los vasos y los nervios, están insertados en un matriz amorfa, no fibrosa y acelular glucosaminoglucanos (GAG) ácido hialurónico Proteoglucanos sulfato de condroitina Glucoproteínas fibronectina en grandes cantidades en la encía.
  • 25.
     Los tejidosblandos como el tejido gingival y el ligamento periodontal contienen pequeños proteoglucanos de dermatán sulfato y un proteoglucano condroitín sulfato de mayor peso molecular (versicán) que puede interaccionar con el hialuronano.  Los GAG son polisacáridos no ramificados largos que pueden unir grandes cantidades de agua.  Las glicoproteínas son responsables de la débil reacción positiva a PAS de la sustancia fundamental.  La fibronectina une los fibroblastos a las fibras y a muchos otros componentes de la matriz intercelular, ayudando a mediar en la adhesión y la migración celular.  La laminina, otra glicoproteína que se encuentra en la lamina basal, sirve para su adhesión a las células epitealiales.
  • 26.
     Los trestipos de fibras del tejido conjuntivo son colágeno, reticular y elástico.  El colágeno tipo I forma la mayor parte de la lámina propia y proporciona resistencia a la tracción en el tejido gingival. El colágeno tipo IV(fibra reticular argirófila) se ramifica entre los haces de colágeno tipo I y continúa en las fibras de la membrana basal y las paredes de los vasos sanguíneos.  El sistema de fibras elásticas está compuesto por fibras de oxitalán, elaunina y elastina distribuidas entre las fibras colágenas.
  • 27.
    Aseguran firmemente laencía marginal contra el diente Proveen la rigidez necesaria para soportar las fuerzas de la masticación sin separarse de la superficie dentaria. Unen la encía marginal libre con el cemento de la raíz y la encía insertada contigua. El tejido conjuntivo de la encía marginal es densamente colágeno, contiene un sistema prominente de haces de fibra de colágeno llamados fibras gingivales. Consisten de colágeno tipo I.
  • 29.
    GRUPO GINGIVODENTAL Provee soporte gingival. Seinsertan en cemento, justo por debajo del epitelio, en la base del surco gingival. También se extienden por fuera del periostio de los huesos alveolares vestibular y lingual y terminan en la encía insertada o se unen con el periostio. En las superficies vestibulares y linguales se proyectan como abanico desde el cemento hacia la cresta y la superficie externa de la encía marginal. En sentido interproximal, se extienden hacia la cresta de la encía interdental.
  • 30.
    GRUPO CIRCULAR Las fibras circulares atraviesanel tejido conectivo de la encía marginal e interdental y rodean al diente a manera de anillo. Mantienen el contorno y posición del margen gingival libre.
  • 31.
    Se hallan localizadasen el espacio interproximal, forman haces horizontales que se extienden entre el cemento de dientes adyacentes en los cuales se insertan Se originan en la region cervical de cada corona y se extienden hacia las localizaciones similares en la cara mesial y distal de cada diente adyacente. GRUPO TRANSEPTAL
  • 33.
    Tres fuentes deirrigación sanguínea de la encía ARTERIOLAS SUPRAPERIOSTICAS VASOS DEL LIGAMENTO PERIODONTAL ARTERIOLAS
  • 34.
    ARTERIOLAS SUPRAPERIOSTICAS A lolargo de la superficie vestibular y lingual del hueso alveolar. LOCALIZACION: Algunas ramas de las arteriolas atraviesan el hueso alveolar hacia el ligamento periodontal o corren sobre la cresta del hueso alveolar.
  • 35.
    ARTERIOLAS SUPRAPERIOSTICAS Recibe su irrigaciónde: ARTERIA SUBLINGUAL ARTERIA MENTONIANA ARTERIA BUCAL ARTERIA FACIAL ARTERIA PALATINA MAYOR ARTERIA INFRAORBITARIA ARTERIA ALVEOLAR POSTERIOR
  • 36.
    VASOS DEL LIGAMENTOPERIODONTAL Se extienden hacia dentro de la encía y establecen anastomosis con capilares en el área del surco.
  • 37.
    ARTERIOLAS Emergen de lacresta del tabique interdental Se extienden de forma paralela a la cresta del hueso Con los vasos del ligamento periodontal Con capilares en las áreas del surco gingival Vasos que corren sobre la cresta alveolar. En el área del COL se presenta un patrón mixto de capilares y asas en anastomosis.
  • 38.
    La irrigación delos tejidos duros y blandos de los maxilares superior e inferior es provista por todo el sistema de vasos sanguíneos y no por grupos individuales de vasos
  • 40.
    El papel del sistemalinfático Eliminación del exceso de líquidos desechos celulares y proteínicos de microorganismos el control de la difusión la resolución de los procesos inflamatorios.
  • 41.
    linfa proveniente delos tejidos periodontales drena los ganglios linfáticos de la cabeza y el cuello. La encía vestibular y lingual de la región de los incisivos inferiores drena ganglios linfáticos submentonianos (g.s.me.). La encía palatina del maxilar superior drena los ganglios linfáticos cervicales profundos La encía vestibular del maxilar superior y la encía vestibular y lingual de la región de premolares y molares drena ganglios linfáticos submandibulares
  • 43.
    Deriva de las fibrasque surgen nervios en el ligamento periodontal nervio labial nervio bucal nervio palatino
  • 44.
    En el tejidoconectivo se encuentran las siguientes estructuras nerviosas: •algunas de las cuales se extienden hacia el epitelio * RED DE FIBRAS ARGIROFILAS TERMINALES •receptores térmicos •husos encapsulados. * CORPÚSCULOS TÁCTILES DE TIPO MEISSNER * BULBOS TERMINALES TIPO KRAUSE
  • 46.
     COLOR ENCÍA INSERTADA • rosacoral y se debe al aporte vascular, grosor y grado de queratinización del epitelio, MUCOSA ALVEOLAR • es roja, uniforme y brillante • epitelio más delgado, no queratinizado y carece de proyecciones epiteliales interpapilares.
  • 47.
     PIGMENTACIÓN FISIOLÓGICA (MELANINA) pigmento decolor pardo que no deriva de la hemoglobina tonalidad normal Todos los individuos normales la tienen bien no siempre en cantidades suficientes para poder identificarla clinicamente Según Dummett, la distribución de la pigmentación bucal en la gente de raza negra es la siguiente: encía, 60%; paladar duro, 61%; membranas mucosas, 22%; lengua, 15%.
  • 48.
  • 51.
    coloración oscura delos tejidos orgánicos acumulación de melanina pigmento endógeno, pardo, negruzco, intracelular escalas de pigmentación gingival.
  • 53.
    se debe alincremento de la actividad de los melanocitos Esta pigmentación es simétrica y persistente y no altera la arquitectura normal contacto con restauración de amalgama. contacto con la encía, se generan manchas negras. tratamiento será la retirada de la restauración de amalgama
  • 54.
    Hiperpigmentación de la mucosabucal, labios, encía, paladar y lengua La localización típica es la encía labial anterior. se asocia con la mucosa bucal y el paladar. Intensidad: tiempo y la cantidad de tabaco mejora meses o años después de suspender el tabaquismo
  • 55.
    TRATAMIENTO objetivo MUCOABRASIÓN eliminar el epitelioy los depósitos de melanina con el uso de fresas con alta velocidad hasta llegar a alcanzar los plexos vasculares papilares del tejido conectivo superficial
  • 56.
    Después de la hemostasia, secoloca apósito periodontal extirpar el epitelio pigmentado junto con una capa de tejido conectivo subyacente Es simple, fácil de realizar, económica Está contraindicado en áreas gingivales delgadas, donde se puede conducir a la recesión gingival. a. Técnica quirúrgica con bisturí b. Método de abrasión con fresas Bajo irrigación abundante, se debe aplicar una presión mínima y ligera como un suave cepillado Es simple, fácil de realizar, rentable suele ser difícil de controlar la profundidad del desgaste a b
  • 57.
    c. Electrocirugía. El tiempode contacto debe ser muy breve, mantener la punta en un solo lugar podría conducir a un calor excesivo La pieza de mano se aplica de una manera similar a un lapicero y se mueve rápidamente sobre el tejido pigmentado es el uso de la alta frecuencia, que se aplica directamente al tejido para producir efectos histológicos. Se debe evitar el contacto con el periostio o el hueso alveolar y los dientes vitales. d. Criocirugía. describe el tratamiento de la encía pigmentada mediante la aplicación directa de nitrógeno líquidoEl sitio congelado se descongela espontáneamente en 1 minuto y se desarrolla un eritema leve.La eliminación de los pigmentos no se puede evaluar durante el procedimiento y requiere una segunda sesión después de 5- 7 días. La profundidad de penetración es difícil de controlar y la congelación prolongada podría causar la destrucción excesiva del tejido y dolor; por lo que se necesita precisión
  • 58.
    e. Láser. f.Radiocirugía. Es de fácil manejo, se logra un tratamiento corto, hemostasia, descontaminación (no se requiere apósito periodontal) Su principal desventaja es el costo de los equipos. afinidad particular por la melanina produce una microincisión; fina y lisa, sin calor, que se envía a los tejidos circundantes. Se debe tocar las áreas pigmentadas ligeramente con la punta del electrodo y retirarlo tan pronto como el tejido alrededor del electrodo se vuelve blanquecino.
  • 59.
    Se usa unamezcla de fenol al 90% con 95% de alcohol para destruir el tejido pigmentado, pero es difícil controlar la profundidad de penetración y es muy lesivo y generalmente recidiva la pigmentación puede causar recesión gingival, daño al periostio del hueso subyacente, se puede retrasar la cicatrización, y puede ocasionarse pérdida del esmalte dental.
  • 61.
    Fase quirúrgica asepsia yantisepsia del campo operatorio extraoral con yodopovidona anestesia local infiltrativa con lidocaína al 2% y epinefrina, de pieza 15 a 25 un separador de comisuras labiales plástico bilateral para tener todo el campo operatorio expuesto Se inicia la mucoabrasión con una pieza de mano de alta velocidad eliminando toda la capa melánica, teniendo cuidado de no tocar la capa de tejido conectivo o subepitelial se empieza a realizar un raspado ligero para eliminar la capa de melanina que haya quedado sin ser eliminada
  • 62.
    Lo que permitiráuna mejor sensibilidad táctil para realizar el acabado Finalizando con el uso de apósito periodontal por 2 días, de tipo pasta- pasta libre de eugenol Finalmente, se le dio las indicaciones posoperatorias sobre los cuidados de dieta y medicación farmacológica con analgésicos. Cuidados intraorales: uso de cepillo con cerdas blandas y enjuagues con gluconato de clorhexidina al 0,12%, 2 v/ día por dos semanas.
  • 63.
    Fase de mantenimiento Primercontrol: al segundo día, donde se evidencia un estado óptimo de la zona tratada en franca regeneración y se retira el apósito periodontal. Segundo control: a los ocho días, se aprecia una cicatrización adecuada y se evidencia la eliminación total de la melanosis superior