Sindrome de pinzamiento
subacromial
Sesión parte 2
Dra. Yulia Victoria R1
Dr. Omar Soto R2
Dr. Arturo Balam R4
Definición
Es la irritación mecánica del mango de los rotadores causada por los componentes del arco subacromial.
• Acromion
• Articulación acromioclavicular
• Apofisis coronoides
• Ligamente coracoacromial
Historia
Codman 1972 Síndrome subacromial
Neer 1992 Introduce el termino pinzamiento del manguito de los rotadores
Epidemiología
 Patologia mas comun en hombro
 Principal causa de consulta por hombro doloroso
 Pacientes menores de 60 años
 Deportistas
 Ocupación
Clasificación
Según Neer
Estadio I -Inflamatorio o hemorragico-
Estadio II- Fibrosis y tendinitis
Estadio III- Ostofitos y/o rotura
Clasificación
Según Mecanismo causal
Pinzamiento intrinseco: Sobresuso, desgaste o proceso degenerativo
Pinzamiento extrinseco: Posturas inadecuadas, alteraciones biomecanicas del hombro, patologia del arco
acromial
Factores de riesgo
Factores extrínsecos
Primarios (Estructurales)
 Choque mecánico del mango rotador
Secundarios (Dinámicos)
 Estrechamiento de la salida del supraespinoso
Factores de riesgo
Factores intrínsecos
 Problemas vasculares
 Edad
 Factores dinámicos
 Microtraumatismos
 Tendinitis calcificada
Cuadro clínico
 Dolor ******
 Nocturno
 Irradia hacia 1/3 inferior de húmero
 Empeorar
Crepitación a la movilización
Limitación funcional
Edema en región acromioclavicular
Neer
Yocum
Hawkins Kennedy
Arco doloroso
Test de anestésico local
Diagnóstico
Clínico
Radiológico
 AP
 Escapula en Y
 Outlet
Diagnóstico
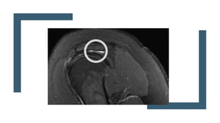
■ USG
Artrografía
■ Resonancia magnética
Imagenes en T2
Cortes coronales
Tendones mantienen una señal baja
Roturas se presentar como imagenes potenciadas en T2
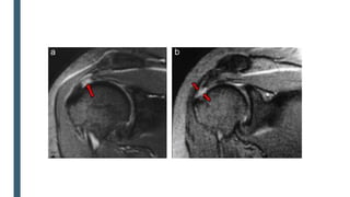
Diagnóstico
■ Resonancia magnética
Retracciòn excesiva de los tendones y atrofia muscular son indicadores de pobre resultado quirúrgico.
Sensbilidad 80-97%
CONFIRMAR LA IMPRESIÓN DIAGNÓSTICA CLÍNICA
Tratamiento
Conservador
 AINEs
 Infiltraciones
 Rehabilitación.
 Ejercicios de Codman
Tratamiento
Quirúrgico
Descompresión
Abierta vs Artroscopica
Criterios de Neer
■ Persistencia del dolor por mas de 12 meses con test positivo a la lidocaína
■ Presencia radiológica de un osteofito subacromial
■ Reparación de manguito rotador
PINZAMIENTO
SUBACROMIAL
Medicina basada en evidencia
■ Factor de impacto 2 años: 4.259
■ Factor de impacto 5 años: 4.847
Metodología
■ Diseño del estudio
– Revisión sistemática
■ Estudios 1963 - 2015 representaba a cabo a través Embase ®,
MEDLINE ®, Cochrane CENTRAL y CINAHL.
■ Palabras clave: "manguito de los rotadores", "artroscopia", "mini
abierto" y "supraespinoso".
■ Pacientes adultos con desgarros del manguito de los rotadores
excluyendo desgarros masivos o irreparables.
Metodología
■ Diseño del estudio
– Revisión sistemática
■ Los resultados clínicos de los pacientes sometidos a reparación
del manguito de los rotadores totalmente artroscópica frente a
la miniabierta.
■ La revisión se realizó e informó de acuerdo con los ítems de
informes preferidos para revisiones sistemáticas y metanálisis
(PRISMA).
Metodología
■ Elegibilidad del estudio
– Criterios de inclusión.
■ Estudios comparativos que informaron la reparación del manguito de
los rotadores totalmente artroscópica versus RCR.
■ Los resultados relevantes de la reparación artroscópica del manguito
rotador o la reparación del manguito rotador mini abierto
Metodología
■ Elegibilidad del estudio
– Criterios de inclusión.
■ Incluyeron puntajes funcionales:
– Puntaje de hombro de la Universidad de California Los Angeles
– Puntaje de resultado de hombro American Shoulder and Elbow
Surgeons
– Puntuaciones de Constant-Murley
– Rango de movimiento (abducción, flexión, rotación externa)
– Puntaje de escala visual analógica (EVA) del dolor y complicaciones.
Metodología
■ Calidad de estudio
– Escala de Evaluación de la Calidad de Newcastle-Ottawa 
estudios de cohortes
– Herramienta de la ColaboraciónCochrane  Riesgo de sesgo para
los ensayos controlados aleatorios
■ Análisis estadístico
– Software Comprehensive Meta-Analysis
– Heterogeneidad  I cuadrada
RESULTADOS
Estudios incluidos
Study Year Study type Group Country Sample size F/M Mean age Follow-up
Cho et al. 2012 RCT ASR South Korea 30 13/17 55.5y 6m
MOR 30 13/17 56.2y 6m
Chung et al. 2013 Prospective ASR South Korea 225 160/128 59.5y 22.8m
MOR 41
OP 22
Colegate-
Stone et al.
2009 Retrospective ASR United Kingdom 92 48/44 57y 24m
MOR 31 15/16 62y 24m
Kang et al. 2007 Retrospective ASR USA 65 NG NG 6m
MOP 63 6m
Kasten et al. 2011 RCT ASR Germany 17 8/9 60.1y 6m
MOR 17 5/12 60.1y 6m
Kim et al. 2003 Retrospective ASR South Korea 42 15/27 55y 39m(24–72)
MOR 34 22/12 55y 39m(24–72)
Kose et al. 2008 Retrospective ASR Turkey 25 18/7 55y 31.20m
MOR 25 21/4 62y 21.56m
Liem et al. 2007 Retrospective ASR Germany 19 3/16 61.9y 25.0m
MOR 19 3/16 62.1y 17.6m
Nové-
Josserand et al.
2011 Retrospective ASR France 154 71/183 50.5y NG
MOR
1.RCT: Randomized controlled trial; ASR: Arthroscopic Repair; MOR: Mini-open repair; Y: Years; M: Months; W: Weeks.
1.RCT: Randomized controlled trial; ASR: Arthroscopic Repair; MOR: Mini-open repair; Y: Years; M: Months; W: Weeks.
Osti et al. 2010 Retrospective ASR Italy 32 17/15 56.1y 30.6m
MOR 32 14/18 56y 31m
Pearsall et al. 2007 Prospective ASR USA 25 14/11 58y 50.6m
MOR 27 17/10 55y 50.6m
Sauerbrey et al. 2005 Retrospective ASR USA 26 10/16 56y 19m
MOR 28 12/16 57y 33m
Severud et al. 2003 Retrospective ASR USA 35 NG NG 44.6m
MOR 29 44.6m
Verma et al. 2006 Retrospective ASR USA 38 16/22 59.4y 24m
MOR 33 10/23 60.7y 24m
Warner et al. 2005 Retrospective ASR USA 9 4/5 53y 44m
MOR 12 4/8 55y 44m
Youm et al. 2005 Retrospective ASR USA 42 NG 60y 37.6m
MOR 42 59y 37.6m
Zhang et al. 2014 RCT ASR China 55 27/28 53.9y 29.4m
MOR 53 26/27 54.2y 29.4m
Zwaal et al. 2013 RCT ASR The Netherlands 47 18/29 57.2y 56w
MOR 48 20/28 57.8y 56w
Estudios incluidos
RESULTADOS FUNCIONALES
■ Diagrama de bosque que muestra la DME (diferencia de medias estandarizada) e IC
del 95% para la UCLA (Universidad de California, Los Ángeles) después de la
cirugía.
■ Diagrama de bosque que muestra la DME (diferencia de medias estandarizada) e IC
del 95% para ASES (cirujanos estadounidenses de hombro y codo) después de la
cirugía
■ Diagrama de bosque que muestra la DME (diferencia de medias estandarizada) y el
IC del 95% (intervalo de confianza) para la puntuación Constant-Murley después de
la cirugía.
■ Diagrama de bosque que muestra la DME (diferencia de medias estandarizada) y el
IC del 95% (Intervalo de confianza) para la puntuación DASH (Discapacidad del
brazo, hombro y mano) después de la cirugía.
■ Diagrama de bosque que muestra la DME (diferencia de medias estandarizada) y el
IC del 95% (intervalo de confianza) para la SST (prueba simple del hombro)
después de la cirugía.
■ Diagrama de bosque que muestra la DME (diferencia de medias estandarizada) y el
IC del 95% (intervalo de confianza) para la flexión después de la cirugía
RANGO DE MOVIMIENTO
■ Diagrama de bosque que muestra la DME (diferencia de medias estandarizada) y el
IC del 95% (intervalo de confianza) para la flexión hacia adelante después de la
cirugía (análisis de sensibilidad)
RANGO DE MOVIMIENTO
■ Diagrama de bosque que muestra la DME (diferencia de medias estandarizada) y el
IC del 95% (intervalo de confianza) para la rotación externa después de la cirugía.
RANGO DE MOVIMIENTO
■ Diagrama de bosque que muestra la DME (diferencia de medias estandarizada) y el
IC del 95% (intervalo de confianza) para la rotación externa después de la cirugía
(análisis de sensibilidad)
RANGO DE MOVIMIENTO
■ Diagrama de que muestra la DME (diferencia de medias estandarizada) y el IC del
95% (intervalo de confianza) para la abducción después de la cirugía.
RANGO DE MOVIMIENTO
■ Diagrama de bosque que muestra la DME (diferencia de medias estandarizada) y el
IC del 95% (intervalo de confianza) para la rotación interna después de la cirugía.
RANGO DE MOVIMIENTO
■ Diagrama de bosque que muestra la DME (diferencia de medias estandarizada) y el
IC del 95% (intervalo de confianza) para EAV (escala analógica visual) (dolor)
después de la cirugía
PuntuaciónVAS (dolor, función)
■ Diagrama de bosque que muestra la DME (diferencia de medias estandarizada) y el
IC del 95% (intervalo de confianza) para la escala visual analógica (función)
después de la cirugía
PuntuaciónVAS (dolor, función)
■ Diagrama de bosque que muestra la DME (diferencia de medias estandarizada) y el
IC del 95% (intervalo de confianza) para EVA (escala analógica visual) (función)
después de la cirugía (análisis de sensibilidad).
PuntuaciónVAS (dolor, función)
■ Diagrama de bosque que muestra la DME (diferencia de medias estandarizada) y el
IC del 95% (intervalo de confianza) para SF-36 (Forma corta 36) (dolor corporal)
después de la cirugía
SF-36 (dolor corporal, rol físico)
■ Diagrama de bosque que muestra la DME (diferencia de medias estandarizada) y el
IC del 95% (intervalo de confianza) para SF-36 (Forma corta 36) (función física)
después de la cirugía.
SF-36 (dolor corporal, rol físico)
DISCUSION
■ Los resultados agrupados indican que no hubo diferencia en los resultados
funcionales, el rango de movimiento, la escala de la escala analógica visual (VAS) y las
subescalas de forma corta 36 (SF-36).
■ El puntaje funcional de Constant-Murley resultó ser significativamente mejor en
pacientes con reparación mínima abierta.
■ Sin embargo, los resultados de la revisión deben interpretarse con cautela debido al
tamaño pequeño y al pequeño número de estudios que contribuyen al análisis en
algunos de los resultados.
LIMITACIONES
■ Ensayos clínicos aleatoriazdos y estudios retrospectivos
■ Seguimiento postoperatorio, 6 - 50.6 meses
■ Tamaño de desgarro >< 3 cm
■ Técnicas de fijación
■ Nivel de evidencia (CEBM) 1 –
■ Nivel de evidencia (SIGN) 2a
■ Grado de recomendación (CEBM) (SIGN) : B
Conclusión
■ La reparación de artroscopia y la reparación mínima abierta
se asocian con resultados clínicos similares. La elección de la
técnica de operación depende del tamaño del desgarro y la
preferencia del cirujano. La investigación futura debería
centrarse en los patrones de desgarro, el tamaño, el grado de
deslaminación, la movilidad y los resultados de la reparación
quirúrgica.
Bibliografía
■ Beaudreuil J., Dhénain M., Coudane H. y Mlika-Cabanne N. Guías de práctica clínica para el manejo quirúrgico de los desgarros del manguito de los rotadores en
adultos . Ortopedia y Traumatología: Surgery & Research 96 , 175-179 (2010). [ PubMed ]
■ Huisstede BM, Koes BW, Gebremariam L., Keijsers E. y Verhaar JA . Evidencia actual de la efectividad de las intervenciones para tratar desgarros del manguito
rotador . Terapia manual 16 , 217-230 (2011). [ PubMed ]
■ Pandey V. & Willems WJ Desgarro del manguito rotador: una actualización detallada . Revista Asia-Pacífico de Medicina Deportiva, Artroscopia, Rehabilitación y
Tecnología 2 , 1-14 (2015).
■ Kang L., Henn RF, Tashjian RZ & Green A. Resultado temprano de la reparación artroscópica del manguito de los rotadores: una comparación combinada con la
reparación del manguito de los rotadores mini-abierto . Artroscopia: The Journal of Arthroscopic & Related Surgery 23 , 573-582. e572 (2007). [ PubMed ]
■ Kasten P. y col. . Comparación aleatorizada prospectiva de reparación artroscópica versus manguito rotador mini-abierto del tendón supraespinoso . International
Ortopedia 35 , 1663-1670 (2011). [ Artículo gratuito de PMC ] [ PubMed ]
■ Kim S.-H. et al. . Reparación artroscópica versus reparación de rescate mínima abierta de la rotura del manguito de los rotadores: análisis de resultados a los 2 a 6
años de seguimiento . Artroscopia: The Journal of Arthroscopic & Related Surgery 19 , 746-754 (2003). [ PubMed ]
■ Köse K. Ç. et al. . Reparación de manguito rotador mini abierto versus todo artroscópico: comparación de los costos operativos y los resultados clínicos . Avances en
la terapia 25 , 249-259 (2008). [ PubMed ]
■ Osti L., Papalia R., Paganelli M., Denaro E. y Maffulli N. Artroscópicas vs reparación mini-abierta del manguito de los rotadores. Un estudio de deterioro de la calidad
de vida . International Orthopedics 34 , 389-394 (2010). [ Artículo gratuito de PMC ] [ PubMed ]
■ van der Zwaal P. y col. . Resultado clínico en la reparación del manguito rotador todo-artroscópico versus mini-abierto en lágrimas pequeñas y medianas: un ensayo
controlado aleatorizado en 100 pacientes con seguimiento de 1 año . Artroscopia: The Journal of Arthroscopic & Related Surgery 29, 266-273 (2013). [ PubMed ]
■ Verma NN y col. . Reparación del manguito de los rotadores completamente artroscópica versus mini abierta: una revisión retrospectiva con un seguimiento mínimo
de 2 años . Artroscopia: The Journal of Arthroscopic & Related Surgery 22 , 587-594 (2006). [ PubMed ]
■ Youm T., Murray DH, Kubiak EN, Rokito AS y Zuckerman JD Reparación artroscópica versus mini abierto del manguito de los rotadores: una comparación de los
resultados clínicos y la satisfacción del paciente . Revista de cirugía de hombro y codo 14 , 455-459 (2005). [ PubMed ]
Bibliografía
■ Ji X., Bi C., Wang F. y Wang Q. Reparación del manguito de los rotadores artroscópica frente a mini abierto: un metanálisis actualizado de ensayos
controlados aleatorios . Artroscopia: The Journal of Arthroscopic & Related Surgery 31 , 118-124 (2015). [ PubMed ]
■ Wang Y.-J., Song Y.-C., Fang R. & Hong H.-G. Comparación del efecto terapéutico del artroscopio versus mini abierto en el tratamiento del deterioro del
manguito rotador: un metanálisis. Chinese Journal of Evidence-Based Medicine 10 : 10, 1222-1227 (2010).
■ Morse K. et al. . Reparación artroscópica versus mini-abreviatura de manguito rotador Una revisión exhaustiva y metanálisis . El diario estadounidense de
medicina del deporte 36 , 1824-1828 (2008).[ PubMed ]
■ Shan L., Fu D., Chen K., Cai Z. y Li G. Reparación artroscópica versus mini abierta de desgarros del manguito de los rotadores pequeños a grandes: un
metanálisis de los resultados clínicos . PloS one 9, e94421 (2014). [ Artículo gratuito de PMC ] [ PubMed ]
■ Roy J.-S., MacDermid JC & Woodhouse LJ Una revisión sistemática de las propiedades psicométricas del puntaje de Constant-Murley . Journal of Shoulder
and Elbow Surgery 19 , 157-164 (2010). [ PubMed ]
■ Severud EL, Ruotolo C., Abbott DD & Nottage WM Reparación del manguito de los rotadorestotalmente artroscópica versus mini abierta: una comparación
del resultado retrospectivo a largo plazo . Artroscopia: The Journal of Arthroscopic & Related Surgery 19 , 234-238 (2003). [ PubMed ]
■ Nove-Josserand L. et al. . Resultado ocupacional después de la cirugía en pacientes con desgarro del manguito rotador debido a una lesión relacionada con el
trabajo o enfermedad ocupacional. Una serie de 262 casos . Ortopedia y Traumatología: Surgery & Research 97 , 361-366 (2011). [ PubMed ]
■ Warner JJ, Tétreault P., Lehtinen J. y Zurakowski D. Reparación del manguito de los rotadores artroscópica frente a mini abierto: un estudio de comparación
de cohortes . Artroscopia: The Journal of Arthroscopic & Related Surgery 21 , 328-332 (2005). [ PubMed ]
■ Chung SW, Huong CB, Kim SH y Oh JH Rigidez del hombro después de la reparación del manguito rotador: factores de riesgo e influencia en el
resultado . Artroscopia: The Journal of Arthroscopic & Related Surgery 29 , 290-300 (2013). [ PubMed ]
■ Pearsall AW, Ibrahim KA y Madanagopal SG Los resultados de la reparación artroscópica frente a la reparación mínima abierta para los desgarros del
manguito de los rotadores en el seguimiento a mitad del período . Revista de cirugía ortopédica e investigación 2 , 24 (2007). [ Artículo gratuito de
PMC ] [ PubMed ]
■ Zhang Q. y col. . La técnica de fijación de una sola fila o doble fila para los desgarros del manguito rotador de grosor completo: un metanálisis . PloS one 8 ,
e68515 (2013). [ Artículo gratuito de PMC ] [ PubMed ]
■ Xu C., Zhao J. y Li D. Meta-análisis comparando las técnicas de reparación de una hilera y doble hilera en el tratamiento artroscópico de las roturas del
manguito de los rotadores . Journal of Shoulder and Elbow Surgery 23 , 182-188 (2014). [ PubMed ]
■ Millett PJ, Warth RJ, Dornan GJ, Lee JT y Spiegl UJ Los resultados clínicos y estructurales después de artroscópica sola fila frente de doble hilera de
reparación del manguito rotador: una revisión sistemática y meta-análisis de nivel I ensayos clínicos aleatorios . Journal of Shoulder and Elbow Surgery 23 ,
586-597 (2014). [ PubMed ]
PREGUNTAS
GRACIAS

Pinzamiento subacromial

  • 1.
    Sindrome de pinzamiento subacromial Sesiónparte 2 Dra. Yulia Victoria R1 Dr. Omar Soto R2 Dr. Arturo Balam R4
  • 2.
    Definición Es la irritaciónmecánica del mango de los rotadores causada por los componentes del arco subacromial. • Acromion • Articulación acromioclavicular • Apofisis coronoides • Ligamente coracoacromial
  • 3.
    Historia Codman 1972 Síndromesubacromial Neer 1992 Introduce el termino pinzamiento del manguito de los rotadores
  • 4.
    Epidemiología  Patologia mascomun en hombro  Principal causa de consulta por hombro doloroso  Pacientes menores de 60 años  Deportistas  Ocupación
  • 5.
    Clasificación Según Neer Estadio I-Inflamatorio o hemorragico- Estadio II- Fibrosis y tendinitis Estadio III- Ostofitos y/o rotura
  • 6.
    Clasificación Según Mecanismo causal Pinzamientointrinseco: Sobresuso, desgaste o proceso degenerativo Pinzamiento extrinseco: Posturas inadecuadas, alteraciones biomecanicas del hombro, patologia del arco acromial
  • 7.
    Factores de riesgo Factoresextrínsecos Primarios (Estructurales)  Choque mecánico del mango rotador Secundarios (Dinámicos)  Estrechamiento de la salida del supraespinoso
  • 9.
    Factores de riesgo Factoresintrínsecos  Problemas vasculares  Edad  Factores dinámicos  Microtraumatismos  Tendinitis calcificada
  • 10.
    Cuadro clínico  Dolor******  Nocturno  Irradia hacia 1/3 inferior de húmero  Empeorar
  • 11.
    Crepitación a lamovilización Limitación funcional Edema en región acromioclavicular Neer Yocum Hawkins Kennedy Arco doloroso Test de anestésico local
  • 12.
  • 15.
    Diagnóstico ■ USG Artrografía ■ Resonanciamagnética Imagenes en T2 Cortes coronales Tendones mantienen una señal baja Roturas se presentar como imagenes potenciadas en T2
  • 18.
    Diagnóstico ■ Resonancia magnética Retracciònexcesiva de los tendones y atrofia muscular son indicadores de pobre resultado quirúrgico. Sensbilidad 80-97% CONFIRMAR LA IMPRESIÓN DIAGNÓSTICA CLÍNICA
  • 19.
    Tratamiento Conservador  AINEs  Infiltraciones Rehabilitación.  Ejercicios de Codman
  • 20.
  • 21.
    Criterios de Neer ■Persistencia del dolor por mas de 12 meses con test positivo a la lidocaína ■ Presencia radiológica de un osteofito subacromial ■ Reparación de manguito rotador
  • 23.
  • 25.
    ■ Factor deimpacto 2 años: 4.259 ■ Factor de impacto 5 años: 4.847
  • 26.
    Metodología ■ Diseño delestudio – Revisión sistemática ■ Estudios 1963 - 2015 representaba a cabo a través Embase ®, MEDLINE ®, Cochrane CENTRAL y CINAHL. ■ Palabras clave: "manguito de los rotadores", "artroscopia", "mini abierto" y "supraespinoso". ■ Pacientes adultos con desgarros del manguito de los rotadores excluyendo desgarros masivos o irreparables.
  • 27.
    Metodología ■ Diseño delestudio – Revisión sistemática ■ Los resultados clínicos de los pacientes sometidos a reparación del manguito de los rotadores totalmente artroscópica frente a la miniabierta. ■ La revisión se realizó e informó de acuerdo con los ítems de informes preferidos para revisiones sistemáticas y metanálisis (PRISMA).
  • 28.
    Metodología ■ Elegibilidad delestudio – Criterios de inclusión. ■ Estudios comparativos que informaron la reparación del manguito de los rotadores totalmente artroscópica versus RCR. ■ Los resultados relevantes de la reparación artroscópica del manguito rotador o la reparación del manguito rotador mini abierto
  • 29.
    Metodología ■ Elegibilidad delestudio – Criterios de inclusión. ■ Incluyeron puntajes funcionales: – Puntaje de hombro de la Universidad de California Los Angeles – Puntaje de resultado de hombro American Shoulder and Elbow Surgeons – Puntuaciones de Constant-Murley – Rango de movimiento (abducción, flexión, rotación externa) – Puntaje de escala visual analógica (EVA) del dolor y complicaciones.
  • 30.
    Metodología ■ Calidad deestudio – Escala de Evaluación de la Calidad de Newcastle-Ottawa  estudios de cohortes – Herramienta de la ColaboraciónCochrane  Riesgo de sesgo para los ensayos controlados aleatorios ■ Análisis estadístico – Software Comprehensive Meta-Analysis – Heterogeneidad  I cuadrada
  • 31.
  • 33.
    Estudios incluidos Study YearStudy type Group Country Sample size F/M Mean age Follow-up Cho et al. 2012 RCT ASR South Korea 30 13/17 55.5y 6m MOR 30 13/17 56.2y 6m Chung et al. 2013 Prospective ASR South Korea 225 160/128 59.5y 22.8m MOR 41 OP 22 Colegate- Stone et al. 2009 Retrospective ASR United Kingdom 92 48/44 57y 24m MOR 31 15/16 62y 24m Kang et al. 2007 Retrospective ASR USA 65 NG NG 6m MOP 63 6m Kasten et al. 2011 RCT ASR Germany 17 8/9 60.1y 6m MOR 17 5/12 60.1y 6m Kim et al. 2003 Retrospective ASR South Korea 42 15/27 55y 39m(24–72) MOR 34 22/12 55y 39m(24–72) Kose et al. 2008 Retrospective ASR Turkey 25 18/7 55y 31.20m MOR 25 21/4 62y 21.56m Liem et al. 2007 Retrospective ASR Germany 19 3/16 61.9y 25.0m MOR 19 3/16 62.1y 17.6m Nové- Josserand et al. 2011 Retrospective ASR France 154 71/183 50.5y NG MOR 1.RCT: Randomized controlled trial; ASR: Arthroscopic Repair; MOR: Mini-open repair; Y: Years; M: Months; W: Weeks.
  • 34.
    1.RCT: Randomized controlledtrial; ASR: Arthroscopic Repair; MOR: Mini-open repair; Y: Years; M: Months; W: Weeks. Osti et al. 2010 Retrospective ASR Italy 32 17/15 56.1y 30.6m MOR 32 14/18 56y 31m Pearsall et al. 2007 Prospective ASR USA 25 14/11 58y 50.6m MOR 27 17/10 55y 50.6m Sauerbrey et al. 2005 Retrospective ASR USA 26 10/16 56y 19m MOR 28 12/16 57y 33m Severud et al. 2003 Retrospective ASR USA 35 NG NG 44.6m MOR 29 44.6m Verma et al. 2006 Retrospective ASR USA 38 16/22 59.4y 24m MOR 33 10/23 60.7y 24m Warner et al. 2005 Retrospective ASR USA 9 4/5 53y 44m MOR 12 4/8 55y 44m Youm et al. 2005 Retrospective ASR USA 42 NG 60y 37.6m MOR 42 59y 37.6m Zhang et al. 2014 RCT ASR China 55 27/28 53.9y 29.4m MOR 53 26/27 54.2y 29.4m Zwaal et al. 2013 RCT ASR The Netherlands 47 18/29 57.2y 56w MOR 48 20/28 57.8y 56w Estudios incluidos
  • 35.
    RESULTADOS FUNCIONALES ■ Diagramade bosque que muestra la DME (diferencia de medias estandarizada) e IC del 95% para la UCLA (Universidad de California, Los Ángeles) después de la cirugía.
  • 36.
    ■ Diagrama debosque que muestra la DME (diferencia de medias estandarizada) e IC del 95% para ASES (cirujanos estadounidenses de hombro y codo) después de la cirugía
  • 37.
    ■ Diagrama debosque que muestra la DME (diferencia de medias estandarizada) y el IC del 95% (intervalo de confianza) para la puntuación Constant-Murley después de la cirugía.
  • 38.
    ■ Diagrama debosque que muestra la DME (diferencia de medias estandarizada) y el IC del 95% (Intervalo de confianza) para la puntuación DASH (Discapacidad del brazo, hombro y mano) después de la cirugía.
  • 39.
    ■ Diagrama debosque que muestra la DME (diferencia de medias estandarizada) y el IC del 95% (intervalo de confianza) para la SST (prueba simple del hombro) después de la cirugía.
  • 40.
    ■ Diagrama debosque que muestra la DME (diferencia de medias estandarizada) y el IC del 95% (intervalo de confianza) para la flexión después de la cirugía RANGO DE MOVIMIENTO
  • 41.
    ■ Diagrama debosque que muestra la DME (diferencia de medias estandarizada) y el IC del 95% (intervalo de confianza) para la flexión hacia adelante después de la cirugía (análisis de sensibilidad) RANGO DE MOVIMIENTO
  • 42.
    ■ Diagrama debosque que muestra la DME (diferencia de medias estandarizada) y el IC del 95% (intervalo de confianza) para la rotación externa después de la cirugía. RANGO DE MOVIMIENTO
  • 43.
    ■ Diagrama debosque que muestra la DME (diferencia de medias estandarizada) y el IC del 95% (intervalo de confianza) para la rotación externa después de la cirugía (análisis de sensibilidad) RANGO DE MOVIMIENTO
  • 44.
    ■ Diagrama deque muestra la DME (diferencia de medias estandarizada) y el IC del 95% (intervalo de confianza) para la abducción después de la cirugía. RANGO DE MOVIMIENTO
  • 45.
    ■ Diagrama debosque que muestra la DME (diferencia de medias estandarizada) y el IC del 95% (intervalo de confianza) para la rotación interna después de la cirugía. RANGO DE MOVIMIENTO
  • 46.
    ■ Diagrama debosque que muestra la DME (diferencia de medias estandarizada) y el IC del 95% (intervalo de confianza) para EAV (escala analógica visual) (dolor) después de la cirugía PuntuaciónVAS (dolor, función)
  • 47.
    ■ Diagrama debosque que muestra la DME (diferencia de medias estandarizada) y el IC del 95% (intervalo de confianza) para la escala visual analógica (función) después de la cirugía PuntuaciónVAS (dolor, función)
  • 48.
    ■ Diagrama debosque que muestra la DME (diferencia de medias estandarizada) y el IC del 95% (intervalo de confianza) para EVA (escala analógica visual) (función) después de la cirugía (análisis de sensibilidad). PuntuaciónVAS (dolor, función)
  • 49.
    ■ Diagrama debosque que muestra la DME (diferencia de medias estandarizada) y el IC del 95% (intervalo de confianza) para SF-36 (Forma corta 36) (dolor corporal) después de la cirugía SF-36 (dolor corporal, rol físico)
  • 50.
    ■ Diagrama debosque que muestra la DME (diferencia de medias estandarizada) y el IC del 95% (intervalo de confianza) para SF-36 (Forma corta 36) (función física) después de la cirugía. SF-36 (dolor corporal, rol físico)
  • 51.
    DISCUSION ■ Los resultadosagrupados indican que no hubo diferencia en los resultados funcionales, el rango de movimiento, la escala de la escala analógica visual (VAS) y las subescalas de forma corta 36 (SF-36). ■ El puntaje funcional de Constant-Murley resultó ser significativamente mejor en pacientes con reparación mínima abierta. ■ Sin embargo, los resultados de la revisión deben interpretarse con cautela debido al tamaño pequeño y al pequeño número de estudios que contribuyen al análisis en algunos de los resultados.
  • 52.
    LIMITACIONES ■ Ensayos clínicosaleatoriazdos y estudios retrospectivos ■ Seguimiento postoperatorio, 6 - 50.6 meses ■ Tamaño de desgarro >< 3 cm ■ Técnicas de fijación ■ Nivel de evidencia (CEBM) 1 – ■ Nivel de evidencia (SIGN) 2a ■ Grado de recomendación (CEBM) (SIGN) : B
  • 53.
    Conclusión ■ La reparaciónde artroscopia y la reparación mínima abierta se asocian con resultados clínicos similares. La elección de la técnica de operación depende del tamaño del desgarro y la preferencia del cirujano. La investigación futura debería centrarse en los patrones de desgarro, el tamaño, el grado de deslaminación, la movilidad y los resultados de la reparación quirúrgica.
  • 54.
    Bibliografía ■ Beaudreuil J.,Dhénain M., Coudane H. y Mlika-Cabanne N. Guías de práctica clínica para el manejo quirúrgico de los desgarros del manguito de los rotadores en adultos . Ortopedia y Traumatología: Surgery & Research 96 , 175-179 (2010). [ PubMed ] ■ Huisstede BM, Koes BW, Gebremariam L., Keijsers E. y Verhaar JA . Evidencia actual de la efectividad de las intervenciones para tratar desgarros del manguito rotador . Terapia manual 16 , 217-230 (2011). [ PubMed ] ■ Pandey V. & Willems WJ Desgarro del manguito rotador: una actualización detallada . Revista Asia-Pacífico de Medicina Deportiva, Artroscopia, Rehabilitación y Tecnología 2 , 1-14 (2015). ■ Kang L., Henn RF, Tashjian RZ & Green A. Resultado temprano de la reparación artroscópica del manguito de los rotadores: una comparación combinada con la reparación del manguito de los rotadores mini-abierto . Artroscopia: The Journal of Arthroscopic & Related Surgery 23 , 573-582. e572 (2007). [ PubMed ] ■ Kasten P. y col. . Comparación aleatorizada prospectiva de reparación artroscópica versus manguito rotador mini-abierto del tendón supraespinoso . International Ortopedia 35 , 1663-1670 (2011). [ Artículo gratuito de PMC ] [ PubMed ] ■ Kim S.-H. et al. . Reparación artroscópica versus reparación de rescate mínima abierta de la rotura del manguito de los rotadores: análisis de resultados a los 2 a 6 años de seguimiento . Artroscopia: The Journal of Arthroscopic & Related Surgery 19 , 746-754 (2003). [ PubMed ] ■ Köse K. Ç. et al. . Reparación de manguito rotador mini abierto versus todo artroscópico: comparación de los costos operativos y los resultados clínicos . Avances en la terapia 25 , 249-259 (2008). [ PubMed ] ■ Osti L., Papalia R., Paganelli M., Denaro E. y Maffulli N. Artroscópicas vs reparación mini-abierta del manguito de los rotadores. Un estudio de deterioro de la calidad de vida . International Orthopedics 34 , 389-394 (2010). [ Artículo gratuito de PMC ] [ PubMed ] ■ van der Zwaal P. y col. . Resultado clínico en la reparación del manguito rotador todo-artroscópico versus mini-abierto en lágrimas pequeñas y medianas: un ensayo controlado aleatorizado en 100 pacientes con seguimiento de 1 año . Artroscopia: The Journal of Arthroscopic & Related Surgery 29, 266-273 (2013). [ PubMed ] ■ Verma NN y col. . Reparación del manguito de los rotadores completamente artroscópica versus mini abierta: una revisión retrospectiva con un seguimiento mínimo de 2 años . Artroscopia: The Journal of Arthroscopic & Related Surgery 22 , 587-594 (2006). [ PubMed ] ■ Youm T., Murray DH, Kubiak EN, Rokito AS y Zuckerman JD Reparación artroscópica versus mini abierto del manguito de los rotadores: una comparación de los resultados clínicos y la satisfacción del paciente . Revista de cirugía de hombro y codo 14 , 455-459 (2005). [ PubMed ]
  • 55.
    Bibliografía ■ Ji X.,Bi C., Wang F. y Wang Q. Reparación del manguito de los rotadores artroscópica frente a mini abierto: un metanálisis actualizado de ensayos controlados aleatorios . Artroscopia: The Journal of Arthroscopic & Related Surgery 31 , 118-124 (2015). [ PubMed ] ■ Wang Y.-J., Song Y.-C., Fang R. & Hong H.-G. Comparación del efecto terapéutico del artroscopio versus mini abierto en el tratamiento del deterioro del manguito rotador: un metanálisis. Chinese Journal of Evidence-Based Medicine 10 : 10, 1222-1227 (2010). ■ Morse K. et al. . Reparación artroscópica versus mini-abreviatura de manguito rotador Una revisión exhaustiva y metanálisis . El diario estadounidense de medicina del deporte 36 , 1824-1828 (2008).[ PubMed ] ■ Shan L., Fu D., Chen K., Cai Z. y Li G. Reparación artroscópica versus mini abierta de desgarros del manguito de los rotadores pequeños a grandes: un metanálisis de los resultados clínicos . PloS one 9, e94421 (2014). [ Artículo gratuito de PMC ] [ PubMed ] ■ Roy J.-S., MacDermid JC & Woodhouse LJ Una revisión sistemática de las propiedades psicométricas del puntaje de Constant-Murley . Journal of Shoulder and Elbow Surgery 19 , 157-164 (2010). [ PubMed ] ■ Severud EL, Ruotolo C., Abbott DD & Nottage WM Reparación del manguito de los rotadorestotalmente artroscópica versus mini abierta: una comparación del resultado retrospectivo a largo plazo . Artroscopia: The Journal of Arthroscopic & Related Surgery 19 , 234-238 (2003). [ PubMed ] ■ Nove-Josserand L. et al. . Resultado ocupacional después de la cirugía en pacientes con desgarro del manguito rotador debido a una lesión relacionada con el trabajo o enfermedad ocupacional. Una serie de 262 casos . Ortopedia y Traumatología: Surgery & Research 97 , 361-366 (2011). [ PubMed ] ■ Warner JJ, Tétreault P., Lehtinen J. y Zurakowski D. Reparación del manguito de los rotadores artroscópica frente a mini abierto: un estudio de comparación de cohortes . Artroscopia: The Journal of Arthroscopic & Related Surgery 21 , 328-332 (2005). [ PubMed ] ■ Chung SW, Huong CB, Kim SH y Oh JH Rigidez del hombro después de la reparación del manguito rotador: factores de riesgo e influencia en el resultado . Artroscopia: The Journal of Arthroscopic & Related Surgery 29 , 290-300 (2013). [ PubMed ] ■ Pearsall AW, Ibrahim KA y Madanagopal SG Los resultados de la reparación artroscópica frente a la reparación mínima abierta para los desgarros del manguito de los rotadores en el seguimiento a mitad del período . Revista de cirugía ortopédica e investigación 2 , 24 (2007). [ Artículo gratuito de PMC ] [ PubMed ] ■ Zhang Q. y col. . La técnica de fijación de una sola fila o doble fila para los desgarros del manguito rotador de grosor completo: un metanálisis . PloS one 8 , e68515 (2013). [ Artículo gratuito de PMC ] [ PubMed ] ■ Xu C., Zhao J. y Li D. Meta-análisis comparando las técnicas de reparación de una hilera y doble hilera en el tratamiento artroscópico de las roturas del manguito de los rotadores . Journal of Shoulder and Elbow Surgery 23 , 182-188 (2014). [ PubMed ] ■ Millett PJ, Warth RJ, Dornan GJ, Lee JT y Spiegl UJ Los resultados clínicos y estructurales después de artroscópica sola fila frente de doble hilera de reparación del manguito rotador: una revisión sistemática y meta-análisis de nivel I ensayos clínicos aleatorios . Journal of Shoulder and Elbow Surgery 23 , 586-597 (2014). [ PubMed ]
  • 56.
  • 57.