Hospital Regional – Ramón Carrillo 
Servicio de Traumatología y Ortopedia 
Santiago del Estero 
Dr. Targa, Juan José
Generalidades 
 Las fracturas subtrocantéreas son fracturas del fémur 
proximal que pueden extenderse proximalmente hacia la 
fosa piriforme o distalmente hasta el istmo del fémur. 
 De todas las fracturas de la extremidad superior del fémur, 
las localizadas en el área subtrocantérea las menos 
frecuentes.
 Las fracturas subtrocantéreas difieren de las del cuello e 
intertrocantéricas en su anatomía, biomecánica, 
tratamiento y resultados. 
 Este tipo de fracturas asociadas a diversos grados de 
conminución son muy difíciles de reducir y de mantener, 
dando lugar a muchas complicaciones (coxa vara, 
migración medial, falta de unión).
Epidemiología 
 La incidencia por edades de la fractura subtrocentérea de 
fémur tiene una distribución bimodal. 
 El grupo más joven se caracteriza normalmente por 
pacientes traumáticos que sufren la fractura por un 
mecanismo de alta energía (accidente de tráfico, 
precipitación) 
 El paciente mayor a menudo tiene un hueso osteporótico, 
con un deterioro significativo de la resistencia del cálcar.
Osteoporosis 
 Índice de Singh
 Grado 6: patrón trabecular normal 
 Grado 5: desaparecen trabéculas secundarias de 
compresión 
 Grado 4: reducción en las trabéculas de tensión, 
reducción de las trabéculas primarias de 
compresión. 
 Grado 3: rotura en la continuidad de las trabéculas 
primarias de tensión. 
 Grado 2: desaparecen las trabéculas primarias de 
tensión. 
 Grado 1: Marcada reducción de las trabéculas 
primarias de compresión.
Clasificación 
FIELDING 
Tipo 1: A nivel del trocanter menor 
Tipo 2: Entre 2.5 y 5cm del trocanter 
menor 
Tipo 3: Entre 5 y 7.5cm del trocanter 
menor
Seinsheimer 
Basada en el numero de 
fragmentos , la localización 
y configuración de las 
líneas de Fx. 
1- Fx no desplazada 
2- Fx dos fragmentos 
3- Tres fragmentos 
4- Conminuta, mas de 4 
fragmentos 
5- Configuración sub e 
intertrocantérica
Russell-Taylor 
 Basado en la continuidad del 
trocánter menor y en la 
extensión posterior de la 
fractura alcanzando la fosa 
trocánter mayor. 
 Las Tipo I: no se extiende 
hasta la fosa trocanterica , 
mientras que si lo hacen las 
del tipo II.
Valoración y manejo 
principal 
 El paciente joven con fractura subtrocantérea 
tiene múltiples lesiones (traumatismos 
craneales, torácicos y abdominales) 
 El sangrado de estas fracturas puede ser 
significativo, y el paciente puede necesitar la 
reposición de volumen. 
 El miembro inferior acortado y en rotación 
externa. 
 El fragmento proximal está flexionado y 
abducido, debido al efecto de los músculos 
iliopsoas y glúteos.
Objetivos del Tratamiento 
 Calmar el dolor 
 Restablecer la contigüidad de los fragmentos 
 Bipedestarlo lo antes posible 
 Devolverlo al medio social
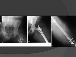
Tratamiento 
 Existen dos tipos de implante para estabilizar las fracturas 
subtrocantéreas de fémur: (1) dispositivos de placa y 
tornillo que se usan mediante reducción abierta y fijación 
interna, y (2) clavos intramedulares aplicados mediante 
técnicas abiertas o cerradas mínimamente invasivas
 Trazos espiroideos
Complicaciones 
 Infeccion 
 Perdida de reducción 
 Pseudoartrosis 
 Consolidación viciosa 
 Trombosis Venosa Profunda
GRACIAS…

Fracturas subtrocantericas de femur

  • 1.
    Hospital Regional –Ramón Carrillo Servicio de Traumatología y Ortopedia Santiago del Estero Dr. Targa, Juan José
  • 2.
    Generalidades  Lasfracturas subtrocantéreas son fracturas del fémur proximal que pueden extenderse proximalmente hacia la fosa piriforme o distalmente hasta el istmo del fémur.  De todas las fracturas de la extremidad superior del fémur, las localizadas en el área subtrocantérea las menos frecuentes.
  • 3.
     Las fracturassubtrocantéreas difieren de las del cuello e intertrocantéricas en su anatomía, biomecánica, tratamiento y resultados.  Este tipo de fracturas asociadas a diversos grados de conminución son muy difíciles de reducir y de mantener, dando lugar a muchas complicaciones (coxa vara, migración medial, falta de unión).
  • 4.
    Epidemiología  Laincidencia por edades de la fractura subtrocentérea de fémur tiene una distribución bimodal.  El grupo más joven se caracteriza normalmente por pacientes traumáticos que sufren la fractura por un mecanismo de alta energía (accidente de tráfico, precipitación)  El paciente mayor a menudo tiene un hueso osteporótico, con un deterioro significativo de la resistencia del cálcar.
  • 5.
  • 6.
     Grado 6:patrón trabecular normal  Grado 5: desaparecen trabéculas secundarias de compresión  Grado 4: reducción en las trabéculas de tensión, reducción de las trabéculas primarias de compresión.  Grado 3: rotura en la continuidad de las trabéculas primarias de tensión.  Grado 2: desaparecen las trabéculas primarias de tensión.  Grado 1: Marcada reducción de las trabéculas primarias de compresión.
  • 8.
    Clasificación FIELDING Tipo1: A nivel del trocanter menor Tipo 2: Entre 2.5 y 5cm del trocanter menor Tipo 3: Entre 5 y 7.5cm del trocanter menor
  • 9.
    Seinsheimer Basada enel numero de fragmentos , la localización y configuración de las líneas de Fx. 1- Fx no desplazada 2- Fx dos fragmentos 3- Tres fragmentos 4- Conminuta, mas de 4 fragmentos 5- Configuración sub e intertrocantérica
  • 10.
    Russell-Taylor  Basadoen la continuidad del trocánter menor y en la extensión posterior de la fractura alcanzando la fosa trocánter mayor.  Las Tipo I: no se extiende hasta la fosa trocanterica , mientras que si lo hacen las del tipo II.
  • 11.
    Valoración y manejo principal  El paciente joven con fractura subtrocantérea tiene múltiples lesiones (traumatismos craneales, torácicos y abdominales)  El sangrado de estas fracturas puede ser significativo, y el paciente puede necesitar la reposición de volumen.  El miembro inferior acortado y en rotación externa.  El fragmento proximal está flexionado y abducido, debido al efecto de los músculos iliopsoas y glúteos.
  • 12.
    Objetivos del Tratamiento  Calmar el dolor  Restablecer la contigüidad de los fragmentos  Bipedestarlo lo antes posible  Devolverlo al medio social
  • 13.
    Tratamiento  Existendos tipos de implante para estabilizar las fracturas subtrocantéreas de fémur: (1) dispositivos de placa y tornillo que se usan mediante reducción abierta y fijación interna, y (2) clavos intramedulares aplicados mediante técnicas abiertas o cerradas mínimamente invasivas
  • 14.
  • 18.
    Complicaciones  Infeccion  Perdida de reducción  Pseudoartrosis  Consolidación viciosa  Trombosis Venosa Profunda
  • 19.