Hospital Regional
Servicio de Traumatología
Dr. Targa Juan José
Generalidades
 Las fx de los metacarpianos y las falanges son
las fx más frecuentes de la extremidad superior.
 Los rayos más externos son los más afectados.
 Las fx de la mano pueden complicarse con
deformidades por falta de tratamiento, rigidez
por tratamiento excesivo y deformidades óseas
y rigidez por tratamiento incorrecto.
 Mas frecuentes en varones, entre 10 y 40 años
Mecanismos de producción
 Directos:
- Contusión
- Aplastamiento
- penetrantes
 Indirectos
- Tracción
- Tensión
- Angulación
- Torsión
- Compresión
Mecanismo de deformidad
 Flexión por tendones flexores e
interóseos
 Rotación por interóseos
 Acortamiento de MTC por contracción
de interóseos en fx oblicuas largas o
espiroideas
Clasificación (según
localización)
 Cabeza
 Cuello
 Diafisis
 Base
AO
clasificacio
n
Cuadro Clínico
 Deformidad
 Dolor
 Tumefaccion
 Desaparece el nudillo
Diagnostico
 Clinico
 Radiologico
Diagnostico
 Examen clínico:
- Edema y hematoma pueden ocultar la
deformidad
- Fx oblicuas o espiroideas pasan
inadvertidas con dedos en extensión
- Es mejor evaluar rotación con dedos en
flexión
- Siempre evaluar tendones, nervios
(sensibilidad) y vascularización (llenado
capilar).
Tratamiento
 Objetivos
- Restauración de la conguencia articular
- Reducción de la malrotación y angulación.
- Estabilidad con mínima Qx.
- Movilización precoz.
Tratamiento conservador
 Reducción ortopédica (con anestesia local) :
 mano en pronación, se hiperflecta el meñique de tal modo que la base de la
falange proximal quede por debajo de la cabeza del metacarpiano,
 se ejerce una fuerza axial hacia dorsal a través de la falange que empuja la
cabeza del 5° metacarpiano,
 lográndose la reducción e inmovilizando en esa posición forzada por un
período de una semana; después se cambia a una inmovilización en
posición funcional por dos semanas.
Tratamiento quirurgico
(indicación)
 Falla del tto conservador
 Fracturas expuestas
 Fracturas de 2 o más MTC
 Fx articular desplazada
 Fx con rotación
 Fx con acortamiento > a 3mm
 Fx angulada>10-20°
Fx de la cabeza de los
metacarpianos
Fijación de fragmento grandes -
anterogrado
Fijación de fragmentos
pequeños - retrogrado
Fx del cuello de los
metacarpianos
 Trauma directo con mano empuñada
 Fx del boxeador
 Fx impactada hacia volar con
angulación dorsal
 Angulación severa…. Dedo en garra
 Angulación tolerada:
- 2-3° MC:…..15°
- 4° MC:……..35°
- 5° MC:………45 (incluso hasta 60°)
 Tto fx inestables
- MCF en 90°
- Compresión axial de 1° F con la cabeza
MC
- Inmoviliza con yeso y/o férula digital con
MCF en 90° e IFP en extensión por 3
semanas
- Rx control al 7° dia
- No se debe inmovilizar con el método
de Jahss (90°-90°)
 OTS indicación
- Angulación severa (> 60°-70°)
- Mal alineamiento rotacional a lateral
- Evaluación tardía (+ de 5-7 días)
Fx diafisarias de los
metacarpianos
Transversales
Oblicuas
conminuta
Metodos de reducción
Transversales
Oblicua
Conminuta
Fx en la base del metacarpiano
 Fx por avulsión de la base del segundo
y tercer metacarpianos
 Fx – luxaciones de la articulación CMC
del dedo meñique
 Luxaciones CMC multiples
Complicaciones de las fx
MTC
 Consolidación visiosa.
 Angulación dorsal.
 Malrotación.
 Consolidación defectuosa intraarticular
 Osteomielitis.
 Pseudoartrosis
Postoperatorio
Ejercicios funcionales
Fractura de 1er
Metacarpiano
Clasificacion de MacNeal
Fractura de Bennett
Cuadro Clinico
 Dolor intenso
 Impotencia funcional
 Tumefaccion
 Deformidad
Tratamiento
 Reduccion mediante
traccion y compresion
 Traccion continua con
esparadrapo (
abduccion y extension
por 3 a 4 sem ) y yeso
 Fijacion con agujas de
Kirschner al trapecio o
2do metacarpiano
Secuelas
 Esteticas: deformidad
 Funcionales: rigidez, pseudoartrosis
 Inestabilidad de la articulacion
trepeciometacarpiana con tendencia a la
luxacion posterior
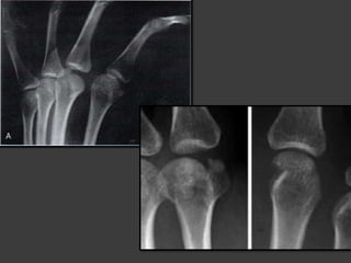
Fractura de Rolando
 Fractura en V, Y o T de la base del 1er
metacarpiano cuya reduccion anatomica
es dificil y lleva a la artrosis
trapeciometacarpiana
Cuadro Clinico
 Dolor intenso
 Deformidad
 Impotencia funcional
 Tumefaccion
tratamiento
 Osteosintesis
 Tornillos de ensamble de fragmentos
Complicaciones
 Angulacion
 Desequilibrio de musculatura intrinseca-
extrinseca, perdida de la fuerza, dolor
mas deformidad
 Pseudoartrosis
Fracturas de metacarpianos

Fracturas de metacarpianos