PROBLEMAS
RESPIRATORIOS DEL
RN
MIP JULIO CÉSAR SÁNCHEZ MÉRITO
COORDINADOR: DR. ISLAS
SINDROME DE
ASPIRACION
MECONIAL
Líquido Amniótico Meconial
(LAM)
 El meconio es producto de la defecación fetal que está compuesta por restos
de LA deglutido, material de descamación y secreciones gastrointestinales
fetales, así como por biliverdina, que es lo que le confiere el color verde
característico.
 Ocurre aproximadamente en el 13% de todos los nacimientos.
 Puede ser un marcador de compromiso anteparto o intraparto (por ejm.
Hipoxemia o compresión del cordón umbilical)
 El L.A.M es raro en prematuros ,pero puede ocurrir en un 35% o más en los
postmaduros.
Síndrome de aspiración Meconial
(SAM)
 El síndrome de aspiración meconial (SAM) se manifiesta con distrés
respiratorio y es producido por la aspiración de líquido amniótico
teñido con meconio intra útero o intra parto.
 Ocurre en el 4% a 5% de los RN con L.A.M
 La aspiración ocurre comúnmente intraútero.
 Si el LAM es más espeso, hay mayor probabilidad de SAM.
 De todos los RN con SAM ,30% - 60% requieren de ventilación
mecánica, 10 a 25% desarrollan neumotórax, y 2 a 5% fallecen
Líquido Amniótico
Meconial
Aspiración Intra
útero
Aspiración
Postparto
Sindrome de Aspiración
Meconial
Obstrucción de las
vías aéreas prox y
distales
Neumotór
ax
Liberació
n de
Citocinas
Lesión en
el
parénqui
ma
pulmonar
Inactivaci
ón
surfactant
e Hipertensió
n
Pulmonar
persistente
Exudad
o
Edema de
las vías
aéreas
Inflamació
n
Hipoxemi
a
Acidosis
Liberació
n
Eicosanoi
de
Atrapamiento de
aire
Clasificación
A. Leve.- discreta polipnea, hiperinsuflación torácica. No existe
alteración en la PO2 ni en la PCO2 FiO2 <0,4
B. Moderada.- hipercarbia, cianosis. Necesidad de FiO2
progresivamente creciente en las primeras 12-24 horas, incluso VM.
Pueden desarrollar neumotórax o insuficiencia cardiaca hipóxica e
HPPN.
C. Grave.- Hipoxemia e hipercarbia desde el nacimiento, que precisa
VM con FiO2 altas y medidas de soporte cardiovascular.
Desarrollan un cuadro de HPPN. Auscultación: roncus y estertores
diseminados
Prevención de la emisión de
meconio intraútero
 Los obstetras con un control riguroso de la monitorización del
embarazo y del parto, pueden evitar la posmadurez y la hipoxia. En
cierta medida la frecuencia elevada de SAM demuestra mala
calidad perinatológica
Prevención del SAM
 Desde que se sepa que el LA es meconial se avisará al obstetra y al
pediatra para actuar de la siguiente manera:
1. El obstetra limpiará y aspirará de meconio la faringe y fosas
nasales; se debe aspirar cuidadosamente la nariz, boca y faringe,
apenas sale la cabeza a través del canal del parto, y antes que
haya salido el tórax, con una sonda de Lee 10 French
Prevención del SAM
2. Tras cortar el cordón y antes que el niño respire en la cuna
radiante de reanimación, se debe visualizar la hipofaringe y aspirar
el meconio que quede; el pediatra debe realizar una aspiración
adecuada del meconio que exista en boca con sonda adecuada
(French n° 8 o 10) o directamente con tubo endotraqueal antes
que el RN inicie su respiración espontánea. La intubación y
aspiración endotraqueal solo se recomienda en todo recién
nacido, con meconio espeso que nacen deprimidos (no
vigorosos), eligiendo el diámetro del tubo según el peso y/o la
edad gestacional
3. Controlar la situación general del niño. Realizar las maniobras
anteriores antes que la bradicardia sea significativa. Si el niño
estuviera grave, se le dejaría intubado. Si por el contrario el niño
llorara y estuviera estable, no se realizarían más maniobras. En
ambos casos se ubicará al RN en el servicio de Neonatología. Es
fundamental realizar la limpieza de la tráquea antes de que el niño
respire y desde luego, siempre antes de ponerle en ventilación a
presión positiva
Diagnostico
 Clínico.- Debe sospecharse ante un distrés respiratorio de comienzo
precoz en un neonato con hipoxia intra parto que precisó
reanimación laboriosa, observándose meconio en tráquea e
impregnación meconial de piel y cordón umbilical.
 Estudios de laboratorio.- Gasometría Arterial
 Estudios radiológicos.
Hallazgos radiográficos
A. Hallazgos radiográficos, en infantes con SAM
incluyen:
 Infiltrados difusos.
 Consolidación
 Atelectasia
 Derrame pleural
 Espacios aéreos (neumotórax, neumomediastino)
 Pulmón húmedo, similar a lo hallazgos vistos en la T.T. RN.
 Hipovascularidad
 Aparentemente limpio, apariencia virtualmente normal.
Atelectasia
Neumomediastino
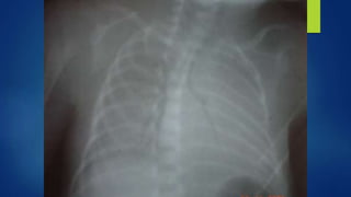
Atrapamiento de aire e hiperinsuflación
por obstrucción de la via aérea
Left pneumothorax with depressed
diaphragm and minimal mediastinal
shift because of noncompliant lungs
Tratamiento
 Tratamiento del SAM Leve:
 Si el RN presentara buen estado general, incluso con Rx de tórax
anormal, se le colocará en incubadora, en posición de trendelemburg
y se realizará fisioterapia eficaz.
 Abrir hoja de control de distrés respiratorio y valorarlo de forma horaria.
 Alimentación oral o por SNG si la FR es <60 rpm. Si la FR es >90 rpm
suspender la alimentación oral, colocar SNG abierta y goteo IV
Tratamiento
 Tratamiento del SAM Grave:
 Ventilación mecánica ajustándose a los requerimientos del RN
 Cateterismo umbilical
 Fisioterapia y aspiración de faringe y/o del tubo endotraqueal (TET),
cada 30 minutos, las primeras 2 horas y posteriormente cada hora, las
10 horas siguientes
 Mantener en trendelemburg y posturar frecuentemente.
 Monitorizacion de FC, FR, SatO2, TA, Diuresis y PVC.
Tratamiento
 Tratamiento del SAM Grave:
 Antibioticoterapia.
 Tratamiento eficaz de la acidosis metabólica, hipoglucemia o
hipocalcemia.
 Terapéutica Antifimica
 Líquidos: 60 cc dextrosa (Dw) 10% + lcc Ca / Kg/24 h
Enfermedad de
membrana hialina
Definición
 Conocido también como Síndrome de Distress respiratorio
idiopático (SDRI).
 Dificultad respiratoria secundaria a la incapacidad del Neumocito
tipo II para sintetizar surfactante.
Behrman: Nelson Textbook of Pediatrics, 17th ed., Copyright © 2004
Elsevier
5%
<28 sem
32-36 sem
>37sem RNT
60-80%
15-30%
Raro
INCIDENCIA DE EMH EN < 1500 g
SEGÚN PESO DE NACIMIENTO
PESO DE
NACIMIENTO
EMH (%)
500 – 750 g
751 – 1000 g
1001 – 1250 g
1251 – 1500 g
77
74
46
27
Incidencia
FISIOPATOLOGÍA
 Ausencia de surfactante:
 Alveolos colapsan
 Espiraciones producen atelectasias
 Acumulación de material exudativo proteináceo y restos epiteliales.
 Pared torácica francamente distensible:
 Soporte estructural débil debido a prematuridad
 Retracción y deformidad de pared torácica por P (-)
FISIOPATOLOGÍA
 Disminución de la pared intratorácica:
 Incapacidad para generar una presión intratorácica efectiva.
 Conlleva a insuficiencia respiratoria inmediata
 Cortocircuito (shunt):
 Al nacimiento: shunt predominante es de D I
 A través de Foramen oval a aurícula izquierda
 Mezcla de sangre: Hipoxemia
 Luego de 18-24 horas predomina shunt I D
 origina edema pulmonar
e-medicine. Respiratory Distress Syndrome. June 24, 2005
Prematurez
Inmadurez enzimática
Células alveolares tipo II
Insuficiente cantidad y
actividad del surfactante
Colapso alveolar
Parrilla costal blanda
Musculatura resp. débil
Hipoxemia
Acidosis metabólica
HipercapniaAsfixia perinatal
Ductus arterioso
Falla CR
Cortocircuito DI
(ductus – foramen oval)
Vasoconstricción pulmonar
Isquemia pulmonar
Daño de células
alveolares
Daño de
células
endoteliales
Dist pulmonar , peq vol. corriente, EMF, vent alv. Insuf.
Behrman: Nelson Textbook of Pediatrics, 17th ed., Copyright © 2004 Elsevier
Clínica
Evolución clínica
Gases arteriales y
equilibrio ácido
básico
Radiografía de
tórax
Behrman: Nelson Textbook of Pediatrics, 17th ed., Copyright © 2004 Elsevier
Diagnostico
ESTADIO I / FORMA LEVE:
• La imagen reticulogranular es
muy fina.
• El broncograma aéreo es muy
discreto, no sobrepasa la
imagen cardiotimica.
• Transparencia pulmonar
conservada.
Podría en ocasiones pasar como
una Rx. normal.
ESTADIO II / FORMA
MODERADA:
• Esta es la forma más
clásica.
• La imagen reticulogranular
se extiende a través de
todo el campo pulmonar.
• El broncograma aéreo es
muy visible, y sobrepasa
los límites de la silueta
cardiaca.
• La transparencia pulmonar
esta disminuida.
Estadio III / FORMA GRAVE:
• Los nódulos tienden a
hacerse más confluentes.
• El broncograma aéreo se
hace cada vez más visible,
y pueden verse ya
ocupados bronquios del
2do. y 3er. orden.
• La transparencia pulmonar
esta disminuida; pero
todavía se distinguen los
límites de la silueta
cardiaca.
ESTADIO IV / FORMA MUY GRAVE:
La opacidad del tórax es total.
• No se distingue la silueta
cardiaca.
• Pudiera observarse
broncograma aéreo.
• Es una total ausencia de
aire pulmonar.
• Este estadio es de muy mal
pronóstico.
• Su mortalidad llega a ser
del 100%.
DIAGNÓSTICO
 Estudios de laboratorio:
 Muestra de gases en sangre:
 Niveles aceptables: pO2: 50-70 mm Hg
 pCO2: 45-60 mmHg
 pH: 7,25 a más
 SO: 88-95%
Prevención de la hipoxia y acidosis
Adecuada administración de líquidos
Reducción de las demandas metabólicas
Prevención d atelectasia y edema pulmonar
Mínimo injuria pulmonar por barotrauma u oxigeno
Terapia de
reemplazo de
surfactante
Administración
de oxigeno
PPC de la vía
respiratoria
Ventilación
mecánica
Terapia de
soporte
TRATAMIENTO
TRATRAMIENTO
 PREVENTIVO:
 CORTICOSTEROIDES PRENATALES:
 Disminuyen el riesgo de muerte, EMH y hemorragia intraventricular.
 Régimen recomendado:
 Dos dosis de 12mg de betametasona a la madre vía IM c/24h
 Medidas preventivas:
 Ecografía prenatal
 Control fetal continuo
 Agentes tocolíticos
 Evaluación de la madurez pulmonar fetal
TRATAMIENTO
 TERAPIA DE REPOSICIÓN CON SURFACTANTE:
 Surfactante disminuye el riesgo de neumotórax y muerte.
 Efectiva para reducir la gravedad de EMH
 No disminuye con claridad los requerimientos de O2 a largo plazo, ni
desarrollo de cambios pulmondares.
 Disminuye la duración de la ventilación mecánica y días en el
respirador
TRATAMIENTO
 Oxigenoterapia:
 Evitar hipoxia sin causar hiperoxia
 Saturación de O2 óptima:
 Fase I:
 Cánula nasal:
 Mantener PaO2 entre 50-70mmHg
 su uso aplica para requerimiento de oxigeno menor de 0.4 de FiO2
 En RN > de 1500 gr
TRATAMIENTO
 Fase II
 CPAP nasal (presión continua positiva de las vías aéreas)
 En RN < de 1500 gr que requieran FiO2 mayor a 0.4
 Mantener presión de H2O entre 4-6 cm H2O
 Fase III
 Ventilación mecánica convencional o alta frecuencia
 Fracaso de CPAP, mantener una PaO2 > 50 mmHg con FiO2 > 0.6 y presión
de agua de 6-8 cm H2O.
 Acidosis respiratoria con PaCo2 >55-60 mmHg si se acompaña con un pH
<7.2
 Gravedad clínica rápida y progresiva
 RN con peso < a 1000 gr con cuadro compatible
Hemorragia
pulmonar
Escapes de aire
Persistencia
del conducto
arterioso
Hemorragia
intraventricular
Displasia
broncopulmon
ar
Complicaciones
TAQUIPNEA
TRANSITORIA DEL
RN
Definición
 Es un proceso respiratorio no infeccioso que se presenta con más
frecuencia en los recién nacidos de termino o cercanos a termino.
 Abarca del 35-50% de los casos de insuficiencia respiratoria no
infecciosa de los RN que ingresan a los servicios de neonatología.
 Es un proceso generalmente autolimitado que se resuelve de 24 a
72 hrs.
TRANSICIÓN A LA RESPIRACIÓN
PULMONAR
 Eliminar el liquido que rellenan los pulmones del RN
 Mantener y establecer el O2 con capacidad residual funcional
 Desarrollarse una ventilación perfusión que permita el recambio de
O2 a CO2 entre los alveolos y la sangre
PRIMERA RESPIRACIÓN
 Compresión intermitente del tórax facilita la eliminación del liquido
pulmonar
 El agente tensoactivo facilita la aireación de los pulmones que no
tienen gas al reducir la tensión superficial, con lo que reduce la
tensión necesaria para que los alveolos se abran.
 Mayores presiones para insuflación pulmonar
 La circulación elimina la mayor parte del liquido pulmonar
 El resto es reabsorbido por los linfáticos, deglutido o expulsado.
TAQUIPNEA TRANSITORIA DEL RN
 Se debe a un retraso en la reabsorción de liquido pulmonar
 Padecimiento autolimitado y benigno la mayoría de veces
 El liquido llena los alveolos en cantidad igual a la capacidad
funcional residual (20-30ml/kg/hr) y es eliminado en el útero por las
vías respiratorias
 Secreción activa por el pulmón fetal (2-4ml/kg/hr).
 Se produce por gradiente osmótico por las secreciones de Cl del
epitelio pulmonar hacia el espacio aéreo potencial.
FISIOPATOLOGIA
 El liquido pulmonar es eliminado por 2 mecanismos.
1. Paso transepitelial del liquido alveolar al intersticio, papel
fundamental del transporte de Na, liberación de catecolaminas,
arginina-vasopresina y PGE2.
2. Compresión torácica en el parto vaginal donde 1/3 de liquido es
expulsado.
 Cantidad restante es reabsorbido postparto por el 1er mecanismo
 El liquido retenido se acumula en los linfáticos peribronquiales y en
los espacios broncovasculares
FISIOPATOLOGIA
 El liquido retenido provoca compreison y colapso bronquiolar con
areas de atrapamiento de aire o hiperinsuflacion.
 Estos cambios disminuyen la distensibilidad pulmonar lo que origina
una taquipnea para contrarrestar el aumento de trabajo
respiratorio.
FACTORES DE RIESGO
 Falta de trabajo de parto
 Expulsivo prolongado o fallido
 Parto acelerado
 Cesarea sin trabajo de parto
 Retardo en el pinzamiento del cordón
 Sexo masculino
 Sedación excesiva
 Asma bronquial de la madre
 Administración de líquidos hipotónicos en el TP
 Otros: asfixia perinatal, deficiencia de surfactante, inmadurez del
transporte de Na, gesta múltiple, macrosomia
 La hipoxemia resulta de una pobre ventilacion alveolar con
perfusion adecuada.
 La hipercapnia resulta de una alteracion en la mecanica de
ventilacion alveolar.
 Por lo que se considera enfermedad obstructiva no restrictiva
MANIFESTACIONES CLINICAS
 Polipnea dato mas relevante (80-120x´)
 Poco evidentes otros signos de dificultad respiratoria
 Tórax abombado
 Hígado y bazo palpable
 Buena entrada de aire a la auscultación, puede haber estertores
 Los signos francos se inician a las 2-6 hrs de nacimiento y su duración
es breve
MANIFESTACIONES CLINICAS
 Se desarrolla en ausencia de enfermedades cardiacas, del SNC,
hematológicas, infecciosas o metabólicas.
 Leve 12-24 hrs, graves 72hrs o mas
 Se han identificado 2 entidades
1. Forma benigna
2. Acompañada de HP, Rn termino por cesarea sin TP
DIAGNOSTICO
 Diferenciar de otros problemas respiratorios
 Sospechar de factores de riesgo
 Difícil diferenciación del SDR, en RNPT, neumonía por estreptococo del
grupo B.
 Diferenciarse de la taquipnea posasfixia
 Taquipnea 80-120x´ sin datos importantes de IR
 Buena ventilación alveolar
 Cianosis que cede con FIO2 baja
 BH normal
 Hemocultivo negativo
RX
 No existe imagen tipica
 Puede observarse sobredistencion y buena iluminacion pulmonar
 Congestion hiliar importante
 Edema en cisuras interlobares y angulos costofrenicos
 Hilios prominentes (ingurgitacion de los linfaticos)
 Hipoxemia y acidosis leve en gasometria
 No existen labs especificos para el dx
TRATAMIENTO
 Medidas generales para el RN
 Manejo del SDR
 O2 a flujos bajos FIO2 no mayor a 40% si se requiere mas
pensar en otros dx
 Presión positiva en algunos casos
 Diuréticos
 Albumina
 En estudios aleatorizados no se demostró el beneficio en la
administración de diuréticos VO, IV, nebulización para la
mejoría de la TTRN
DIAGNOSTICOS DIFERENCIALES
 SDR
 SAM
 Neumonias
 SACP
 Cardiopatias congenitas
BIBLIOGRAFIAS
 NELSON TRATADO DE PEDIATRIA, Robert M. Kliegman et all. 18
edición, 2009, España.
 La salud del niño y del adolecente R. Martinez y Martinez 5ª edicion.
 Manual de cuidados neonatales, John P Cloherty 4ª edicion
 Compendio de neonatologia Taeusch-Avery 7ª ed.
 Taquipnea transitoria del recién nacido, factores de riesgo
obstétricos y neonatales. J. Jesús Pérez Molina D. y cols. Ginecol
Obstet Mex 2006;74:95-103
 Diagnostico y tratamiento de taquipnea transitoria del Recien
Nacido, México: Secretaría de Salud; 2009

Problemas respiratorios del recién nacido

  • 1.
    PROBLEMAS RESPIRATORIOS DEL RN MIP JULIOCÉSAR SÁNCHEZ MÉRITO COORDINADOR: DR. ISLAS
  • 2.
  • 3.
    Líquido Amniótico Meconial (LAM) El meconio es producto de la defecación fetal que está compuesta por restos de LA deglutido, material de descamación y secreciones gastrointestinales fetales, así como por biliverdina, que es lo que le confiere el color verde característico.  Ocurre aproximadamente en el 13% de todos los nacimientos.  Puede ser un marcador de compromiso anteparto o intraparto (por ejm. Hipoxemia o compresión del cordón umbilical)  El L.A.M es raro en prematuros ,pero puede ocurrir en un 35% o más en los postmaduros.
  • 4.
    Síndrome de aspiraciónMeconial (SAM)  El síndrome de aspiración meconial (SAM) se manifiesta con distrés respiratorio y es producido por la aspiración de líquido amniótico teñido con meconio intra útero o intra parto.
  • 5.
     Ocurre enel 4% a 5% de los RN con L.A.M  La aspiración ocurre comúnmente intraútero.  Si el LAM es más espeso, hay mayor probabilidad de SAM.  De todos los RN con SAM ,30% - 60% requieren de ventilación mecánica, 10 a 25% desarrollan neumotórax, y 2 a 5% fallecen
  • 6.
    Líquido Amniótico Meconial Aspiración Intra útero Aspiración Postparto Sindromede Aspiración Meconial Obstrucción de las vías aéreas prox y distales Neumotór ax Liberació n de Citocinas Lesión en el parénqui ma pulmonar Inactivaci ón surfactant e Hipertensió n Pulmonar persistente Exudad o Edema de las vías aéreas Inflamació n Hipoxemi a Acidosis Liberació n Eicosanoi de Atrapamiento de aire
  • 7.
    Clasificación A. Leve.- discretapolipnea, hiperinsuflación torácica. No existe alteración en la PO2 ni en la PCO2 FiO2 <0,4 B. Moderada.- hipercarbia, cianosis. Necesidad de FiO2 progresivamente creciente en las primeras 12-24 horas, incluso VM. Pueden desarrollar neumotórax o insuficiencia cardiaca hipóxica e HPPN. C. Grave.- Hipoxemia e hipercarbia desde el nacimiento, que precisa VM con FiO2 altas y medidas de soporte cardiovascular. Desarrollan un cuadro de HPPN. Auscultación: roncus y estertores diseminados
  • 8.
    Prevención de laemisión de meconio intraútero  Los obstetras con un control riguroso de la monitorización del embarazo y del parto, pueden evitar la posmadurez y la hipoxia. En cierta medida la frecuencia elevada de SAM demuestra mala calidad perinatológica
  • 9.
    Prevención del SAM Desde que se sepa que el LA es meconial se avisará al obstetra y al pediatra para actuar de la siguiente manera: 1. El obstetra limpiará y aspirará de meconio la faringe y fosas nasales; se debe aspirar cuidadosamente la nariz, boca y faringe, apenas sale la cabeza a través del canal del parto, y antes que haya salido el tórax, con una sonda de Lee 10 French
  • 10.
    Prevención del SAM 2.Tras cortar el cordón y antes que el niño respire en la cuna radiante de reanimación, se debe visualizar la hipofaringe y aspirar el meconio que quede; el pediatra debe realizar una aspiración adecuada del meconio que exista en boca con sonda adecuada (French n° 8 o 10) o directamente con tubo endotraqueal antes que el RN inicie su respiración espontánea. La intubación y aspiración endotraqueal solo se recomienda en todo recién nacido, con meconio espeso que nacen deprimidos (no vigorosos), eligiendo el diámetro del tubo según el peso y/o la edad gestacional
  • 11.
    3. Controlar lasituación general del niño. Realizar las maniobras anteriores antes que la bradicardia sea significativa. Si el niño estuviera grave, se le dejaría intubado. Si por el contrario el niño llorara y estuviera estable, no se realizarían más maniobras. En ambos casos se ubicará al RN en el servicio de Neonatología. Es fundamental realizar la limpieza de la tráquea antes de que el niño respire y desde luego, siempre antes de ponerle en ventilación a presión positiva
  • 12.
    Diagnostico  Clínico.- Debesospecharse ante un distrés respiratorio de comienzo precoz en un neonato con hipoxia intra parto que precisó reanimación laboriosa, observándose meconio en tráquea e impregnación meconial de piel y cordón umbilical.  Estudios de laboratorio.- Gasometría Arterial  Estudios radiológicos.
  • 13.
    Hallazgos radiográficos A. Hallazgosradiográficos, en infantes con SAM incluyen:  Infiltrados difusos.  Consolidación  Atelectasia  Derrame pleural  Espacios aéreos (neumotórax, neumomediastino)  Pulmón húmedo, similar a lo hallazgos vistos en la T.T. RN.  Hipovascularidad  Aparentemente limpio, apariencia virtualmente normal.
  • 14.
  • 15.
    Atrapamiento de airee hiperinsuflación por obstrucción de la via aérea Left pneumothorax with depressed diaphragm and minimal mediastinal shift because of noncompliant lungs
  • 16.
    Tratamiento  Tratamiento delSAM Leve:  Si el RN presentara buen estado general, incluso con Rx de tórax anormal, se le colocará en incubadora, en posición de trendelemburg y se realizará fisioterapia eficaz.  Abrir hoja de control de distrés respiratorio y valorarlo de forma horaria.  Alimentación oral o por SNG si la FR es <60 rpm. Si la FR es >90 rpm suspender la alimentación oral, colocar SNG abierta y goteo IV
  • 17.
    Tratamiento  Tratamiento delSAM Grave:  Ventilación mecánica ajustándose a los requerimientos del RN  Cateterismo umbilical  Fisioterapia y aspiración de faringe y/o del tubo endotraqueal (TET), cada 30 minutos, las primeras 2 horas y posteriormente cada hora, las 10 horas siguientes  Mantener en trendelemburg y posturar frecuentemente.  Monitorizacion de FC, FR, SatO2, TA, Diuresis y PVC.
  • 18.
    Tratamiento  Tratamiento delSAM Grave:  Antibioticoterapia.  Tratamiento eficaz de la acidosis metabólica, hipoglucemia o hipocalcemia.  Terapéutica Antifimica  Líquidos: 60 cc dextrosa (Dw) 10% + lcc Ca / Kg/24 h
  • 19.
  • 20.
    Definición  Conocido tambiéncomo Síndrome de Distress respiratorio idiopático (SDRI).  Dificultad respiratoria secundaria a la incapacidad del Neumocito tipo II para sintetizar surfactante.
  • 21.
    Behrman: Nelson Textbookof Pediatrics, 17th ed., Copyright © 2004 Elsevier 5% <28 sem 32-36 sem >37sem RNT 60-80% 15-30% Raro INCIDENCIA DE EMH EN < 1500 g SEGÚN PESO DE NACIMIENTO PESO DE NACIMIENTO EMH (%) 500 – 750 g 751 – 1000 g 1001 – 1250 g 1251 – 1500 g 77 74 46 27 Incidencia
  • 23.
    FISIOPATOLOGÍA  Ausencia desurfactante:  Alveolos colapsan  Espiraciones producen atelectasias  Acumulación de material exudativo proteináceo y restos epiteliales.  Pared torácica francamente distensible:  Soporte estructural débil debido a prematuridad  Retracción y deformidad de pared torácica por P (-)
  • 24.
    FISIOPATOLOGÍA  Disminución dela pared intratorácica:  Incapacidad para generar una presión intratorácica efectiva.  Conlleva a insuficiencia respiratoria inmediata  Cortocircuito (shunt):  Al nacimiento: shunt predominante es de D I  A través de Foramen oval a aurícula izquierda  Mezcla de sangre: Hipoxemia  Luego de 18-24 horas predomina shunt I D  origina edema pulmonar
  • 25.
    e-medicine. Respiratory DistressSyndrome. June 24, 2005
  • 26.
    Prematurez Inmadurez enzimática Células alveolarestipo II Insuficiente cantidad y actividad del surfactante Colapso alveolar Parrilla costal blanda Musculatura resp. débil Hipoxemia Acidosis metabólica HipercapniaAsfixia perinatal Ductus arterioso Falla CR Cortocircuito DI (ductus – foramen oval) Vasoconstricción pulmonar Isquemia pulmonar Daño de células alveolares Daño de células endoteliales Dist pulmonar , peq vol. corriente, EMF, vent alv. Insuf.
  • 27.
    Behrman: Nelson Textbookof Pediatrics, 17th ed., Copyright © 2004 Elsevier Clínica
  • 28.
    Evolución clínica Gases arterialesy equilibrio ácido básico Radiografía de tórax Behrman: Nelson Textbook of Pediatrics, 17th ed., Copyright © 2004 Elsevier Diagnostico
  • 29.
    ESTADIO I /FORMA LEVE: • La imagen reticulogranular es muy fina. • El broncograma aéreo es muy discreto, no sobrepasa la imagen cardiotimica. • Transparencia pulmonar conservada. Podría en ocasiones pasar como una Rx. normal.
  • 30.
    ESTADIO II /FORMA MODERADA: • Esta es la forma más clásica. • La imagen reticulogranular se extiende a través de todo el campo pulmonar. • El broncograma aéreo es muy visible, y sobrepasa los límites de la silueta cardiaca. • La transparencia pulmonar esta disminuida.
  • 31.
    Estadio III /FORMA GRAVE: • Los nódulos tienden a hacerse más confluentes. • El broncograma aéreo se hace cada vez más visible, y pueden verse ya ocupados bronquios del 2do. y 3er. orden. • La transparencia pulmonar esta disminuida; pero todavía se distinguen los límites de la silueta cardiaca.
  • 32.
    ESTADIO IV /FORMA MUY GRAVE: La opacidad del tórax es total. • No se distingue la silueta cardiaca. • Pudiera observarse broncograma aéreo. • Es una total ausencia de aire pulmonar. • Este estadio es de muy mal pronóstico. • Su mortalidad llega a ser del 100%.
  • 34.
    DIAGNÓSTICO  Estudios delaboratorio:  Muestra de gases en sangre:  Niveles aceptables: pO2: 50-70 mm Hg  pCO2: 45-60 mmHg  pH: 7,25 a más  SO: 88-95%
  • 35.
    Prevención de lahipoxia y acidosis Adecuada administración de líquidos Reducción de las demandas metabólicas Prevención d atelectasia y edema pulmonar Mínimo injuria pulmonar por barotrauma u oxigeno Terapia de reemplazo de surfactante Administración de oxigeno PPC de la vía respiratoria Ventilación mecánica Terapia de soporte TRATAMIENTO
  • 36.
    TRATRAMIENTO  PREVENTIVO:  CORTICOSTEROIDESPRENATALES:  Disminuyen el riesgo de muerte, EMH y hemorragia intraventricular.  Régimen recomendado:  Dos dosis de 12mg de betametasona a la madre vía IM c/24h  Medidas preventivas:  Ecografía prenatal  Control fetal continuo  Agentes tocolíticos  Evaluación de la madurez pulmonar fetal
  • 37.
    TRATAMIENTO  TERAPIA DEREPOSICIÓN CON SURFACTANTE:  Surfactante disminuye el riesgo de neumotórax y muerte.  Efectiva para reducir la gravedad de EMH  No disminuye con claridad los requerimientos de O2 a largo plazo, ni desarrollo de cambios pulmondares.  Disminuye la duración de la ventilación mecánica y días en el respirador
  • 38.
    TRATAMIENTO  Oxigenoterapia:  Evitarhipoxia sin causar hiperoxia  Saturación de O2 óptima:  Fase I:  Cánula nasal:  Mantener PaO2 entre 50-70mmHg  su uso aplica para requerimiento de oxigeno menor de 0.4 de FiO2  En RN > de 1500 gr
  • 39.
    TRATAMIENTO  Fase II CPAP nasal (presión continua positiva de las vías aéreas)  En RN < de 1500 gr que requieran FiO2 mayor a 0.4  Mantener presión de H2O entre 4-6 cm H2O  Fase III  Ventilación mecánica convencional o alta frecuencia  Fracaso de CPAP, mantener una PaO2 > 50 mmHg con FiO2 > 0.6 y presión de agua de 6-8 cm H2O.  Acidosis respiratoria con PaCo2 >55-60 mmHg si se acompaña con un pH <7.2  Gravedad clínica rápida y progresiva  RN con peso < a 1000 gr con cuadro compatible
  • 40.
    Hemorragia pulmonar Escapes de aire Persistencia delconducto arterioso Hemorragia intraventricular Displasia broncopulmon ar Complicaciones
  • 41.
  • 42.
    Definición  Es unproceso respiratorio no infeccioso que se presenta con más frecuencia en los recién nacidos de termino o cercanos a termino.  Abarca del 35-50% de los casos de insuficiencia respiratoria no infecciosa de los RN que ingresan a los servicios de neonatología.  Es un proceso generalmente autolimitado que se resuelve de 24 a 72 hrs.
  • 43.
    TRANSICIÓN A LARESPIRACIÓN PULMONAR  Eliminar el liquido que rellenan los pulmones del RN  Mantener y establecer el O2 con capacidad residual funcional  Desarrollarse una ventilación perfusión que permita el recambio de O2 a CO2 entre los alveolos y la sangre
  • 44.
    PRIMERA RESPIRACIÓN  Compresiónintermitente del tórax facilita la eliminación del liquido pulmonar  El agente tensoactivo facilita la aireación de los pulmones que no tienen gas al reducir la tensión superficial, con lo que reduce la tensión necesaria para que los alveolos se abran.  Mayores presiones para insuflación pulmonar  La circulación elimina la mayor parte del liquido pulmonar  El resto es reabsorbido por los linfáticos, deglutido o expulsado.
  • 45.
    TAQUIPNEA TRANSITORIA DELRN  Se debe a un retraso en la reabsorción de liquido pulmonar  Padecimiento autolimitado y benigno la mayoría de veces  El liquido llena los alveolos en cantidad igual a la capacidad funcional residual (20-30ml/kg/hr) y es eliminado en el útero por las vías respiratorias  Secreción activa por el pulmón fetal (2-4ml/kg/hr).  Se produce por gradiente osmótico por las secreciones de Cl del epitelio pulmonar hacia el espacio aéreo potencial.
  • 46.
    FISIOPATOLOGIA  El liquidopulmonar es eliminado por 2 mecanismos. 1. Paso transepitelial del liquido alveolar al intersticio, papel fundamental del transporte de Na, liberación de catecolaminas, arginina-vasopresina y PGE2. 2. Compresión torácica en el parto vaginal donde 1/3 de liquido es expulsado.  Cantidad restante es reabsorbido postparto por el 1er mecanismo  El liquido retenido se acumula en los linfáticos peribronquiales y en los espacios broncovasculares
  • 47.
    FISIOPATOLOGIA  El liquidoretenido provoca compreison y colapso bronquiolar con areas de atrapamiento de aire o hiperinsuflacion.  Estos cambios disminuyen la distensibilidad pulmonar lo que origina una taquipnea para contrarrestar el aumento de trabajo respiratorio.
  • 48.
    FACTORES DE RIESGO Falta de trabajo de parto  Expulsivo prolongado o fallido  Parto acelerado  Cesarea sin trabajo de parto  Retardo en el pinzamiento del cordón  Sexo masculino  Sedación excesiva  Asma bronquial de la madre  Administración de líquidos hipotónicos en el TP  Otros: asfixia perinatal, deficiencia de surfactante, inmadurez del transporte de Na, gesta múltiple, macrosomia
  • 49.
     La hipoxemiaresulta de una pobre ventilacion alveolar con perfusion adecuada.  La hipercapnia resulta de una alteracion en la mecanica de ventilacion alveolar.  Por lo que se considera enfermedad obstructiva no restrictiva
  • 50.
    MANIFESTACIONES CLINICAS  Polipneadato mas relevante (80-120x´)  Poco evidentes otros signos de dificultad respiratoria  Tórax abombado  Hígado y bazo palpable  Buena entrada de aire a la auscultación, puede haber estertores  Los signos francos se inician a las 2-6 hrs de nacimiento y su duración es breve
  • 51.
    MANIFESTACIONES CLINICAS  Sedesarrolla en ausencia de enfermedades cardiacas, del SNC, hematológicas, infecciosas o metabólicas.  Leve 12-24 hrs, graves 72hrs o mas  Se han identificado 2 entidades 1. Forma benigna 2. Acompañada de HP, Rn termino por cesarea sin TP
  • 52.
    DIAGNOSTICO  Diferenciar deotros problemas respiratorios  Sospechar de factores de riesgo  Difícil diferenciación del SDR, en RNPT, neumonía por estreptococo del grupo B.  Diferenciarse de la taquipnea posasfixia  Taquipnea 80-120x´ sin datos importantes de IR  Buena ventilación alveolar  Cianosis que cede con FIO2 baja  BH normal  Hemocultivo negativo
  • 53.
    RX  No existeimagen tipica  Puede observarse sobredistencion y buena iluminacion pulmonar  Congestion hiliar importante  Edema en cisuras interlobares y angulos costofrenicos  Hilios prominentes (ingurgitacion de los linfaticos)  Hipoxemia y acidosis leve en gasometria  No existen labs especificos para el dx
  • 55.
    TRATAMIENTO  Medidas generalespara el RN  Manejo del SDR  O2 a flujos bajos FIO2 no mayor a 40% si se requiere mas pensar en otros dx  Presión positiva en algunos casos  Diuréticos  Albumina  En estudios aleatorizados no se demostró el beneficio en la administración de diuréticos VO, IV, nebulización para la mejoría de la TTRN
  • 56.
    DIAGNOSTICOS DIFERENCIALES  SDR SAM  Neumonias  SACP  Cardiopatias congenitas
  • 58.
    BIBLIOGRAFIAS  NELSON TRATADODE PEDIATRIA, Robert M. Kliegman et all. 18 edición, 2009, España.  La salud del niño y del adolecente R. Martinez y Martinez 5ª edicion.  Manual de cuidados neonatales, John P Cloherty 4ª edicion  Compendio de neonatologia Taeusch-Avery 7ª ed.  Taquipnea transitoria del recién nacido, factores de riesgo obstétricos y neonatales. J. Jesús Pérez Molina D. y cols. Ginecol Obstet Mex 2006;74:95-103  Diagnostico y tratamiento de taquipnea transitoria del Recien Nacido, México: Secretaría de Salud; 2009