Francisco Javier Saldívar Alarcón
                        R1 MFyC
Caso Clínico
   Varón 17 años, se dedica a la mecánica
    automotriz.

   MC: Dolor torácico y cervical
     AP:
      ○ NAMC
      ○ No hábitos tóxicos.
      ○ No enfermedades de interés.


     Ningún tratamiento habitual
PA:
   La mañana de su llegada a SUH limpiaba un
    motor   con    gasolina   y     posteriormente
    comenzó con dolor torácico que aumentaba
    con la inspiración profunda además de dolor
    cervical anterior. El dolor mejoraba cuando el
    paciente mantiene postura “hacia adelante”.
    No tos, no fiebre, no disnea.
EF:

   TA 120/67 FC 62 x´ T 36.7° SatO2 99%

   Enfisema subcutáneo en cara anterior del
    cuello y área supraclavicular derecha.

   AP: MVC

   Roce pericárdico.
AS:

   Hemograma:
     Leucos: 17,000, Resto normal


   Bioquímica:
     CPK 400, Resto normal


ECG: Rítmico, sinusal 60 lpm, sin alteraciones
 en la repolarización.
Francisco Javier Saldívar Alarcón
                        R1 MFyC
Historia
   Fue descrito por primera vez en 1819
    por Laennec a consecuencia de una
    herida penetrante en tórax.

   En 1939 Hamman describió el NM
    espontáneo. Y a su vez describió el
    signo que lleva su nombre.
Fisiopatología


   Ruptura de alvéolos terminales y a la

    disección que produce el aire liberado.

    Accediendo al mediastino a través del

    hilios.
Epidemiología
   Se observa principalmente en hombres
    delgados y de talla alta.

   Más frecuentemente visto entre la
    segunda a cuarta décadas de la vida.

   Incidencia muy baja 1:800 a 1:42.000 de
    pacientes que se presentaron al SUH.
Factores desencadenantes
   Neumopatías:
     Asma,
     Bronquilitis,
     Infección por Mycoplasma
     Displasia broncopulmonar,
     Pacientes intubados,
     Aspiración de cuerpo extraño.
Factores desencadenantes

 Quimioterapia y radioterapia,
 Drogas inhaladas,
 Aumento      brusco en la presión
  intraalveolar (buceo),
 Maniobra de Valsalva,
 Hiperventilación      en    cetoacidosis
  diabética,
Factores desencadenantes


   Trauma torácico




   Ruptura traqueobronquial o esofágica
Clínica y Exploración Física
 Dolor torácico y disnea
 Disfagia y odinofagia


 Enfisema Subcutáneo
 Signo de Hamman.
     Frotes pericárdicos, se auscultan en focos
     cardiacos
   SatO2 normal o disminuida.
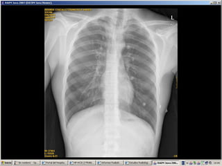
Rx Tórax
   Aire pericárdico, delimitación de los
    grandes vasos y del mediastino.

   Lateral (suele ser más adecuada para el
    diagnóstico):
     Cantidades variables de aire en mediastino
      anterior,
     Alrededor de aorta ascendente,
     Enfisema subcutáneo.
TAC Tórax

   Casos con radiografía aparentemente
    normal y el diagnóstico lo ha establecido
    la tomografía.

   Corresponde a casos con una menor
    cuantía de aire en mediastino
Otros Estudios de Gabinete
   ECG

   Esofagograma

   US

   RMN
Analíticas

   Gases Arteriales.

   Enzimas cardiacas.

   Drogas de abuso en orina.
Diagnóstico diferencial
   Neumonía
   Trauma abdominal
   Acidosis metabólica
   Cetoacidosis diabética
   Distress respiratorio agudo
   Cardiopatías
   Dolor músculo-esqueléticas.
Tratamiento
 Sintomático.
 Reposo,
 Oxigenoterapia y,
 Analgesia.


     Es  una enfermedad autolimitada y en
     general la estancia media hospitalaria oscila
     entre 2 y 7 días.
Tratamiento

   Sonda en tórax solo si se acompaña de
    Neumotórax.

   Broncoscopia solo en caso de sospecha
    de perforación traqueobronquial.
Gracias…

Neumomediastino

  • 1.
  • 2.
    Caso Clínico  Varón 17 años, se dedica a la mecánica automotriz.  MC: Dolor torácico y cervical  AP: ○ NAMC ○ No hábitos tóxicos. ○ No enfermedades de interés.  Ningún tratamiento habitual
  • 3.
    PA:  La mañana de su llegada a SUH limpiaba un motor con gasolina y posteriormente comenzó con dolor torácico que aumentaba con la inspiración profunda además de dolor cervical anterior. El dolor mejoraba cuando el paciente mantiene postura “hacia adelante”. No tos, no fiebre, no disnea.
  • 4.
    EF:  TA 120/67 FC 62 x´ T 36.7° SatO2 99%  Enfisema subcutáneo en cara anterior del cuello y área supraclavicular derecha.  AP: MVC  Roce pericárdico.
  • 5.
    AS:  Hemograma:  Leucos: 17,000, Resto normal  Bioquímica:  CPK 400, Resto normal ECG: Rítmico, sinusal 60 lpm, sin alteraciones en la repolarización.
  • 8.
  • 9.
    Historia  Fue descrito por primera vez en 1819 por Laennec a consecuencia de una herida penetrante en tórax.  En 1939 Hamman describió el NM espontáneo. Y a su vez describió el signo que lleva su nombre.
  • 10.
    Fisiopatología  Ruptura de alvéolos terminales y a la disección que produce el aire liberado. Accediendo al mediastino a través del hilios.
  • 11.
    Epidemiología  Se observa principalmente en hombres delgados y de talla alta.  Más frecuentemente visto entre la segunda a cuarta décadas de la vida.  Incidencia muy baja 1:800 a 1:42.000 de pacientes que se presentaron al SUH.
  • 12.
    Factores desencadenantes  Neumopatías:  Asma,  Bronquilitis,  Infección por Mycoplasma  Displasia broncopulmonar,  Pacientes intubados,  Aspiración de cuerpo extraño.
  • 13.
    Factores desencadenantes  Quimioterapiay radioterapia,  Drogas inhaladas,  Aumento brusco en la presión intraalveolar (buceo),  Maniobra de Valsalva,  Hiperventilación en cetoacidosis diabética,
  • 14.
    Factores desencadenantes  Trauma torácico  Ruptura traqueobronquial o esofágica
  • 15.
    Clínica y ExploraciónFísica  Dolor torácico y disnea  Disfagia y odinofagia  Enfisema Subcutáneo  Signo de Hamman.  Frotes pericárdicos, se auscultan en focos cardiacos  SatO2 normal o disminuida.
  • 16.
    Rx Tórax  Aire pericárdico, delimitación de los grandes vasos y del mediastino.  Lateral (suele ser más adecuada para el diagnóstico):  Cantidades variables de aire en mediastino anterior,  Alrededor de aorta ascendente,  Enfisema subcutáneo.
  • 17.
    TAC Tórax  Casos con radiografía aparentemente normal y el diagnóstico lo ha establecido la tomografía.  Corresponde a casos con una menor cuantía de aire en mediastino
  • 18.
    Otros Estudios deGabinete  ECG  Esofagograma  US  RMN
  • 19.
    Analíticas  Gases Arteriales.  Enzimas cardiacas.  Drogas de abuso en orina.
  • 20.
    Diagnóstico diferencial  Neumonía  Trauma abdominal  Acidosis metabólica  Cetoacidosis diabética  Distress respiratorio agudo  Cardiopatías  Dolor músculo-esqueléticas.
  • 21.
    Tratamiento  Sintomático.  Reposo, Oxigenoterapia y,  Analgesia.  Es una enfermedad autolimitada y en general la estancia media hospitalaria oscila entre 2 y 7 días.
  • 22.
    Tratamiento  Sonda en tórax solo si se acompaña de Neumotórax.  Broncoscopia solo en caso de sospecha de perforación traqueobronquial.
  • 26.