Universidad Nacional Autónoma de México
Facultad de Medicina
Instituto Mexicano del Seguro Social
HGR y MF N 1
Cuernavaca, Morelos

Radiografía Simple de
Abdomen
Julio César Sánchez Mérito
Rx Abdomen Simple
Indicaciones
• Dolor Abdominal Agudo/Crónico.
• Enfermedad Sistémica.
• Enfermedad Digestiva o Genitourinaria.
No Indicada
• En los 1eros 6m del Embarazo.
Recuento Anatómico
Superior:
• Línea Oblicua (Apéndice Xifoides a Apófisis Transversa 12va Vertebra
Dorsal, reborde costillas falsas)
Inferior
• Cresta ilíaca y pliegue de la ingle.
Regiones Abdominales
Buena Toma de Radiográfica

• Colimada:

• Cúpulas diafragmáticas, senos costodiafragmáticos, hasta
sínfisis púbicas.

• Centrada:

• Igual distancia desde los bordes de la radiografía y las
paredes abdominales.

• Bien Penetrada:

• Permite ver estructuras óseas, densidades aéreas y bordes
de los Psoas ilíacos en forma nítida.
Oblicua

o Post. Y
Proyecciones RadiológicasUbc. Lesión AntPáncreas (OI), o
Calcificaciones
Cola Páncreas y Biliar (OD)

AP Decúbito Supino

AP Bipedestación

Decúbito Lateral

Obstrucción/
Perforación

Nivel
Hidroaéreo

Decúbito Prono
Proyecciones Radiológicas
Decúbito Súpino

•
•
•
•

Esqueleto Regional.
Sombras Musculares.
Sombras Hepáticas-Esplénicas.
Vísceras Retroperitoneales, y
Subperitoneales.

Bipedestación

• Líneas grasas pro-peritoneales.
• Antro Gástrico y Bulbo Duodenal.
• Intestino Grueso (patrón Neumofecal
en ciego. Aire en ángulo cólico
derecho, izquierdo y recto).
• Int. Delgado.
Rx Abdomen Normal
Supino

1.
2.
3.
4.
5.
6.
7.
8.
9.
10.
11.
12.
13.

11va. Costilla
Cuerpo Vertebral.
Gas Estomacal.
Gas Colon Flexura Esplénica.
Gas Colon Transverso.
Gas Sigmoides.
Sacro.
Unión Sacro-Ilica.
Femur.
Gas en Ciego.
Cresta Iliaca.
Gas Colon Flexura Hepática.
Línea del Psoas.
Densidades Radiológicas
• Calcio del hueso
• Calcificaciones
• Agua del Hígado, Bazo, Músculo, Riñones y Vejiga.
• Grasa
• Aire (dentro del TD)
Densidad Cálcica
• Huesos
• Flebolitos o Válvulas Venosas Calcificadas.
• Trayectos Vasculares (Ao, Art. Esplénica)
• Adenopatías Mesentéricas.
• Opacificación Cartílagos Costales.
• Leiomiomas o teratomas.
• Pancreáticas y Suprarrenales.
• Abscesos, Hematomas y Tumores.
Densidad Cálcica
• Cálculos Vesiculares.
• Cálculos biliares.
• Cálculos urinarios (Coraliformes, Caliciales, de la
pelvis)
• Cálculos del uréter.
• Cálculos de la vejiga.
• Vejiga calcificada.
• Cálculos del conducto de Wirsung.
• Calcificación prostática.
• Otras: vesículas seminales, conductos
deferentes, quistes (hidatídico)
Imágene
s
Teratoma Ovarico
Hay órganos que
resaltan porque
están rodeados de
grasa y otros que
se adivinan porque
se ponen en
contacto con ella.

Líneas Grasas del Abdomen
• Línea del borde Post-Inf Drch del Hígado.
• Línea Esplénica (polo inf. Bazo).
• Línea Renal (grasa perirrenal).
• Líneas pro-peritoneales (líneas del flanco).
• Líneas del Psoas (grasa retroperitoneal).
• Líneas Musc. Pelvis Menor (niños)
• Línea Vesical.

Al existir un proceso expansivo
(inflamatorio, tumoral) en contacto con una
línea grasa, está desaparece o se deforma.
Densidad Hídrica

• Hígado:
• Hepatomegalia
• Atrofia Hepática
• Bazo (Esplenomegalia)
• Riñones:
• Hipertrofia Unilateral (hidronefrosis)
• Hipertrofia Bilateral (R. Poliquístico)
• Útero:
• Embarazo
• Tumoraciones
• Quiste de Ovario (Voluminoso)
• Estomago (Post-Prandial)
• Colon (Moteado Cocel)
Imágenes
Densidad Hídrica
• Tumor Suprarrenal
• Los Voluminosos hacen descender el riñón.

• Tumor Pancreático
• Rechaza el estomago hacia adelante.

• Tumor Ovárico o Uterino
• Opacifica de forma simétrica, la cavidad pelviana, los quistes de
ovario, son las tumoraciones mas voluminosas. Estas son
Esfericas, densas, de limites claros.

• Tumor Retroperitoneales:
• Borran el borde ext. del psoas y rechazan el riñón.
Liquido Hemático, Ascítico, Linfático,
Bilioso
Opacificación de las Zonas de Declives.
• Fondo de Saco de Douglas
• Recesos Paravesicales (Orejas de Perro)
• Canales Parietocólicos
• Receso Hepatorrenal (bolsa de Morison)
• Espacio Subfrénicos
• Derrame Intraperitoneal. Opacidad de límite superior
borroso con liquido situado en el espacio paracólico
derecho, que separa el ciego de la pared. Rechazan
hacia dentro las asas intestinales, el rechazo del ciego
es el signo mas fiable. Se pide Ecografía.
Visualización de Rx en Ascitis
• Opacificidad Difusa de todo el abdomen.
• Buena visualización de contornos viscerales extraperitoneales.
• Perdida de contornos vicelares intraperitoneales.
• Desplazamiento medial del colon ascendente o descendente con
agrupamiento de asas en el centro abdominal.
• Borramiento del ángulo hepático se considera el signo mas fiable
Ascitis.
Densidad Aéreas
• Supino: Burbuja Gástrica ocupa el cuerpo y antro del estomago.
• Bipedestación: Burbuja aérea del estómago esta por debajo del
diafragma y por dentro del ángulo esplénico del colon.
• Se puede observar aire en el intestino y en el colon pueden adoptar
formas de las haustras . Además de poder mezclarse con las heces
llamándole en ¨esponja¨ o ¨miga de pan¨.
Densidad Aéreas
Pneumoperitoneo
• 2rio a una perforación de viscera hueca.
• En Rx Tórax en Bipedestación se ve media luna de aire entre la cúpula
diafragmática y el hígado o la cavidad gástrica.
• En decúbito lateral se ve aire entre el hígado y la pared abdominal.
¨Doble Pared¨
Presencia de Aire en el Interior de Cavidades
y Conductos
• Aire en la V. Biliar o Vejiga indica proceso inflamatorio productor de gas.
• Aire en la silueta hepática, imágenes lineales por haber aire en los conductos
biliares. La aerobilia se produce por fístulas bilioentéricas, secundarias a
intervenciones quirúrgicas.
Aire en Vísceras Macizas:
• En Hígado o Bazo indica absceso. En las 1eras fases se ve masa de densidad
hídrica con patrón moteado en ¨Miga de Pan¨y luego se ve nivel hidraéreo.
Dilatación de Asas Intestinales
Yeyuno

Íleon

Colon

Identaciones del Colon
Síndrome Chilaiditi
Alteración
anatómica que
consiste en la
interposición de una
parte del
colon, generalmente
el derecho, entre el
hígado y el
diafragma. Sin
embargo, también
ha sido descrita la
interposición en el
lado izquierdo.
Obstrucción Intestinal
• En ID es de ubc central y en el colon es periférica,
haciendo aun mas evidente las haustras.
Vólvulo Instestinal
• Hay ausencia de gas y fecal en las asas distales a la obst.
• Niveles hidroaéreos, no se ven en decúbito.
• En Válvula Ileocecal competente hay dilatación de colon
proximal a la obstrucción, y si es incompetente habrá
mayor dilatación del ID.
• En Obst. Por vólvulo de ciego o de sigma aparecen signo
¨grano de café¨o de líquido, signo de ¨pseudotumor¨.
Obstrucción Intestinal
Invaginación Intestinal
Objetos
Extraños
Rx abdomen
Rx abdomen
Rx abdomen

Rx abdomen

  • 1.
    Universidad Nacional Autónomade México Facultad de Medicina Instituto Mexicano del Seguro Social HGR y MF N 1 Cuernavaca, Morelos Radiografía Simple de Abdomen Julio César Sánchez Mérito
  • 2.
    Rx Abdomen Simple Indicaciones •Dolor Abdominal Agudo/Crónico. • Enfermedad Sistémica. • Enfermedad Digestiva o Genitourinaria. No Indicada • En los 1eros 6m del Embarazo.
  • 3.
    Recuento Anatómico Superior: • LíneaOblicua (Apéndice Xifoides a Apófisis Transversa 12va Vertebra Dorsal, reborde costillas falsas) Inferior • Cresta ilíaca y pliegue de la ingle.
  • 4.
  • 5.
    Buena Toma deRadiográfica • Colimada: • Cúpulas diafragmáticas, senos costodiafragmáticos, hasta sínfisis púbicas. • Centrada: • Igual distancia desde los bordes de la radiografía y las paredes abdominales. • Bien Penetrada: • Permite ver estructuras óseas, densidades aéreas y bordes de los Psoas ilíacos en forma nítida.
  • 6.
    Oblicua o Post. Y ProyeccionesRadiológicasUbc. Lesión AntPáncreas (OI), o Calcificaciones Cola Páncreas y Biliar (OD) AP Decúbito Supino AP Bipedestación Decúbito Lateral Obstrucción/ Perforación Nivel Hidroaéreo Decúbito Prono
  • 7.
    Proyecciones Radiológicas Decúbito Súpino • • • • EsqueletoRegional. Sombras Musculares. Sombras Hepáticas-Esplénicas. Vísceras Retroperitoneales, y Subperitoneales. Bipedestación • Líneas grasas pro-peritoneales. • Antro Gástrico y Bulbo Duodenal. • Intestino Grueso (patrón Neumofecal en ciego. Aire en ángulo cólico derecho, izquierdo y recto). • Int. Delgado.
  • 8.
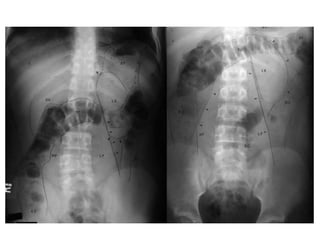
    Rx Abdomen Normal Supino 1. 2. 3. 4. 5. 6. 7. 8. 9. 10. 11. 12. 13. 11va.Costilla Cuerpo Vertebral. Gas Estomacal. Gas Colon Flexura Esplénica. Gas Colon Transverso. Gas Sigmoides. Sacro. Unión Sacro-Ilica. Femur. Gas en Ciego. Cresta Iliaca. Gas Colon Flexura Hepática. Línea del Psoas.
  • 10.
    Densidades Radiológicas • Calciodel hueso • Calcificaciones • Agua del Hígado, Bazo, Músculo, Riñones y Vejiga. • Grasa • Aire (dentro del TD)
  • 11.
    Densidad Cálcica • Huesos •Flebolitos o Válvulas Venosas Calcificadas. • Trayectos Vasculares (Ao, Art. Esplénica) • Adenopatías Mesentéricas. • Opacificación Cartílagos Costales. • Leiomiomas o teratomas. • Pancreáticas y Suprarrenales. • Abscesos, Hematomas y Tumores.
  • 12.
    Densidad Cálcica • CálculosVesiculares. • Cálculos biliares. • Cálculos urinarios (Coraliformes, Caliciales, de la pelvis) • Cálculos del uréter. • Cálculos de la vejiga. • Vejiga calcificada. • Cálculos del conducto de Wirsung. • Calcificación prostática. • Otras: vesículas seminales, conductos deferentes, quistes (hidatídico)
  • 13.
  • 14.
    Hay órganos que resaltanporque están rodeados de grasa y otros que se adivinan porque se ponen en contacto con ella. Líneas Grasas del Abdomen • Línea del borde Post-Inf Drch del Hígado. • Línea Esplénica (polo inf. Bazo). • Línea Renal (grasa perirrenal). • Líneas pro-peritoneales (líneas del flanco). • Líneas del Psoas (grasa retroperitoneal). • Líneas Musc. Pelvis Menor (niños) • Línea Vesical. Al existir un proceso expansivo (inflamatorio, tumoral) en contacto con una línea grasa, está desaparece o se deforma.
  • 15.
    Densidad Hídrica • Hígado: •Hepatomegalia • Atrofia Hepática • Bazo (Esplenomegalia) • Riñones: • Hipertrofia Unilateral (hidronefrosis) • Hipertrofia Bilateral (R. Poliquístico) • Útero: • Embarazo • Tumoraciones • Quiste de Ovario (Voluminoso) • Estomago (Post-Prandial) • Colon (Moteado Cocel)
  • 16.
  • 17.
    Densidad Hídrica • TumorSuprarrenal • Los Voluminosos hacen descender el riñón. • Tumor Pancreático • Rechaza el estomago hacia adelante. • Tumor Ovárico o Uterino • Opacifica de forma simétrica, la cavidad pelviana, los quistes de ovario, son las tumoraciones mas voluminosas. Estas son Esfericas, densas, de limites claros. • Tumor Retroperitoneales: • Borran el borde ext. del psoas y rechazan el riñón.
  • 18.
    Liquido Hemático, Ascítico,Linfático, Bilioso Opacificación de las Zonas de Declives. • Fondo de Saco de Douglas • Recesos Paravesicales (Orejas de Perro) • Canales Parietocólicos • Receso Hepatorrenal (bolsa de Morison) • Espacio Subfrénicos • Derrame Intraperitoneal. Opacidad de límite superior borroso con liquido situado en el espacio paracólico derecho, que separa el ciego de la pared. Rechazan hacia dentro las asas intestinales, el rechazo del ciego es el signo mas fiable. Se pide Ecografía.
  • 19.
    Visualización de Rxen Ascitis • Opacificidad Difusa de todo el abdomen. • Buena visualización de contornos viscerales extraperitoneales. • Perdida de contornos vicelares intraperitoneales. • Desplazamiento medial del colon ascendente o descendente con agrupamiento de asas en el centro abdominal. • Borramiento del ángulo hepático se considera el signo mas fiable Ascitis.
  • 20.
    Densidad Aéreas • Supino:Burbuja Gástrica ocupa el cuerpo y antro del estomago. • Bipedestación: Burbuja aérea del estómago esta por debajo del diafragma y por dentro del ángulo esplénico del colon. • Se puede observar aire en el intestino y en el colon pueden adoptar formas de las haustras . Además de poder mezclarse con las heces llamándole en ¨esponja¨ o ¨miga de pan¨.
  • 21.
  • 22.
    Pneumoperitoneo • 2rio auna perforación de viscera hueca. • En Rx Tórax en Bipedestación se ve media luna de aire entre la cúpula diafragmática y el hígado o la cavidad gástrica. • En decúbito lateral se ve aire entre el hígado y la pared abdominal. ¨Doble Pared¨
  • 23.
    Presencia de Aireen el Interior de Cavidades y Conductos • Aire en la V. Biliar o Vejiga indica proceso inflamatorio productor de gas. • Aire en la silueta hepática, imágenes lineales por haber aire en los conductos biliares. La aerobilia se produce por fístulas bilioentéricas, secundarias a intervenciones quirúrgicas. Aire en Vísceras Macizas: • En Hígado o Bazo indica absceso. En las 1eras fases se ve masa de densidad hídrica con patrón moteado en ¨Miga de Pan¨y luego se ve nivel hidraéreo.
  • 24.
    Dilatación de AsasIntestinales Yeyuno Íleon Colon Identaciones del Colon
  • 25.
    Síndrome Chilaiditi Alteración anatómica que consisteen la interposición de una parte del colon, generalmente el derecho, entre el hígado y el diafragma. Sin embargo, también ha sido descrita la interposición en el lado izquierdo.
  • 26.
    Obstrucción Intestinal • EnID es de ubc central y en el colon es periférica, haciendo aun mas evidente las haustras. Vólvulo Instestinal • Hay ausencia de gas y fecal en las asas distales a la obst. • Niveles hidroaéreos, no se ven en decúbito. • En Válvula Ileocecal competente hay dilatación de colon proximal a la obstrucción, y si es incompetente habrá mayor dilatación del ID. • En Obst. Por vólvulo de ciego o de sigma aparecen signo ¨grano de café¨o de líquido, signo de ¨pseudotumor¨.
  • 27.
  • 28.
  • 29.