Cárcinoma de próstata
Por: Alejandro Cardona Palacio
Residente de patología UDEA
• Peso: 18 – 20 g
• Tamaño: 4 x 3 cm
• Forma: Nuez
• Superficie : Anterior, posterior y
superior
• Capusla
Capsula
Unidad Túbulo
Alveolar
Estroma
Estroma Fibromuscular
Azul: Tejido Conectivo
Rojo: Musculo liso
ZONA PERIURETRAL ZONA CENTRAL ZONA PERIFÉRICA
Glándulas mucosas
drenan directamente
a la uretra
Glándulas
submucosas: Drenan
en los senos
prostáticos
Glándulas
principales: drenan
en los senos
prostáticos
Rodean a la uretra Rodea a los
conductos
eyaculadores
Rodea a las zona
central
Esta zona puede
producir una
proliferación
anormal de las
células
comprimiendo
parcial o totalmente
a la uretra.
Hiperplasia de
próstata
Zona resistente a la
inflamación y a los
carcinomas
Zona mas
susceptible a la
inflamación y es
donde suceden los
carcinomas
prostáticos.
Biopsia
 10 - 14 cilindros
 6 frascos, con 2 cilindros cada uno, con el sitio
 Mas de 2, alto riesgo de fragmentación
 Ápex mas frecuente involucrado que la base
de la vejiga
 Zona periférica mas frecuente que la zona de
transición
 Posterior periférica mas frecuente
Controversial issues in Gleason and International Society
Epidemiologia : Mundo
Tomado: http://gco.iarc.fr/
https://consultorsalud.com/en-colombia-hay-31-547-hombres-con-cancer-de-prostata/
Estadio Prevalencia
In situ 1.49%
Estadio I 17.26%
Estadio II 27.6%
Estadio III 7.3%
Estadio IV 13.61%
Genética
The genetic classification of prostate cancer: what's on the horizon?
The genetic
classification
of prostate
cancer: what’s
on the horizon?
“...we know that a one-size-
fits-all approach to treating
prostate cancer does not work
[in prostate cancer]...
Clasificación
 Adenocarcinoma acinar
 Atrofico
 Pseudohiperplasico
 Microquistioc
 Mucinoso
 Sarcomatoide “carcinosarcoma”
 Pleomorfico de celulas gigantes
 Carcinoma intraductal
 Carcinoma ductal
 Carcinoma urotelial
 Neoplasia escamosa
 Carcinoma basal
 Tumores neuroendocrinos
 Adenocarcinoma con diferenciación
neuroendocrina
 Tumor neuroendocrino bien
diferenciado
 Carcinoma neuroendocrino de célula
pequeña
 Carcinomma neuroendocrino de célula
grande
2016 World Health Organization (WHO) classification of carcinomas and neuroendocrine tumors of the prostate
Graduación
 Gleason
 Arquitectura, No tiene en cuenta el núcleo
 5 patrones, bien diferenciado – Mal diferenciado
 Usando 4 x o 10 x
 Patrón predominante y el segundo patrón mas predominante
 Ejemplo
 96 % patrón 4 y 4 % patrón 4: Patrón 4 mas 4 igual 8
(Gleason 1966, 1992; Gleason et al. 1974, 1977
Broders 1926
Evans 1942
Shelley 1958
Gleason 1966
Utz y Farrow 1969
Mostofi 1975 OMS
Cold Spring Harb Perspect Med 2017;7:a03041
Gleason
Cold Spring Harb Perspect Med 2017;7:a03041
Adenocarcinoma
acinar
 Neoplasia de las células
epiteliales
 Células basales ausentes
 Localización:
 85-90% multifocal
 2-3 tumores por glándula
 Zona de transición o zona
anterior periferica
https://documents.cap.org/protocols/cp-malegenital-prostate-radicalprostatectomy-19-
4041.pdfhttps://documents.cap.org/protocols/cp-malegenital-prostate-radicalprostatectomy-19-4041.pdf
Macroscopia
 Multifocal
 Variable: Amarrrillos, sin color.
Espécimen prostatectomía
Macroscopia
 Compromiso difuso de la
pared posterior.
Adenocarcinom
a acinar:
Características
Histológicas de
malignidad.cop
ia
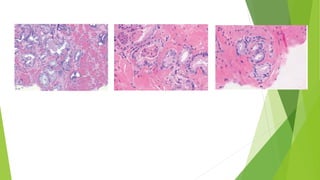
Citoplasma
 Coloración amófila
 Bordes irregulares
 Abundante citoplasma
Contenidos intraluminales
 Cristaloides prostáticos
 Secreciones rosadas
amorfas
 Secreciones mucinosas
azules
Núcleo
 Nucleolo prominente
 Hipercromasia
 Figuras mitóticas
 Figuras apoptóticas
Citoplasma
amfofilo
Núcleos
hipercromático
s
Figuras mitóticas
Cristales
eosinófilos
Mucina fibroplasia
Características de malignidad
 Fibroplasia mucinosa
 Crecimiento de fibroblastos
 Secreción mucinosa azulada
 Estructura semejante a glomérulo
 Glándulas con patrón cribiforme
 Invasión peri neural
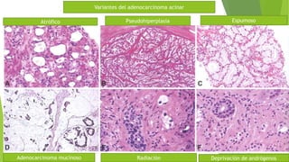
Atrófico Pseudohiperplasia
RadiaciónAdenocarcinoma mucinoso
Espumoso
Deprivación de andrógenos
Variantes del adenocarcinoma acinar
Inmunohistoquímica
 Confirmación de pequeños
adenocarcinomas
 Midiendo menor a 1 mm o menos
del 5 % de la biopsia
Inmunohistoquímico para células basales
Nuevos marcadores en las biopsias de próstata
Inmunohistoquímica: Racemasa
 α-methylacyl-coenzyme A-
racemase
 Peroxisomas
 Factor importante en la B
oxidación
 Sobreexpresión
 Citoplasmática
Diagnostic Immunohistochemistry of Specific Prostate Lesions
Falta de tinción de las celulas
basales con CK AP
Glándulas positivas para racemasa
Celulas problema
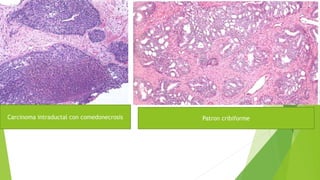
Carcinoma intraductal
 Neoplasia intraacinar o intraductal
 Alto grado
 17 % de las biopsias
 Localización: periférico
 Gleason mayor de 4
Criterios diagnósticos
Células malignas que cubren grandes acinos y
conductos prostaticos con preservación de
celulas basales:
-Patrón cribiforme
-Atipia celular
-Comedonecrosis
Carcinoma intraductal con comedonecrosis Patron cribiforme
PIN: Neoplasia
prostática intraepitelial
de alto grado
 Lesión precursora
 Etapa temprana de la carcinogénesis
 Definición: acinos y conductos prostáticos
arquitecturalmente benignos pero cubiertos por
células atípicas
 2,7 a 14,2% de las biopsias de próstata
 El PIN no eleva significativamente las cifras de PSA
sérico total ni libre
Diferencias entre PIN alto y bajo
Grado
Riesgo de cáncer
Células en anillo de sello
Célula pequeña neuroendocrino Mucinosa
ASAP: proliferación atípica acinar
pequeña
 Definición: Se engloban aquí aquellas
lesiones demasiado pequeñas o en las
que faltan suficientes criterios para
ser capaz de hacer un diagnóstico
definitivo de adenocarcinoma
Conducta frente un
ASAP o PIN ??  Conclusión: Rebiopsiar y seguimiento estricto
Significado clínico de la neoplasia intraepitelial prostática y de la proliferación acinar focal atípica: relación con el
cáncer de próstata

Prostata

Notas del editor

  • #4 Glandulo tuboloalveolar compuesta Formada por 30 – 50 acinos Estroma: Tejido conectivo mas musculo liso
  • #5 Estroma fibromuscular Azul tejido conectivo Rojo musculo liso
  • #21 Aden~~;rcinoma. A Small glands of aden·o~arcinoma (right) have amphophilic cytoplasm and enlarged nuclei with visible nucleott, compared with benign glands (left). B Large hyperchromatic nuclei in small glands of adenocarcinoma, compared with benign glands (right). C With mitotic figure (arrow) and apoptotic body (arrowhead). D Prostatic adenocarcinoma. Showing dense eosinophilic crystalloids. E Crowded glands of adenocarcinoma (centre) with dense eosinophilic secretions; the surrounding benign glands lack secretions. F With mucinous fibroplasia (collagenous micronodule). G Crowded glands of adenocarcinoma with a straight luminal border. H Showing glomerulations. I Carcinoma. Perineural invasion with carcinoma glands that have amphophilic cytoplasm and blue mucinous secretions partially encircling nerves.