Introduction
citologia
cervicovaginal
Por
Alejandro Cardona
Palacio
Residente de patología
Introducción: Plan nacional para el
control del cáncer en Colombia
 Propuesta para 2013 sobre la transición de la tamización de cáncer de cuello
uterino, de citología a pruebas moleculares de detección temprana de VPH en
las cinco principales ciudades del país (Bogotá, Medellín, Cali, Barranquilla y
Bucaramanga)”.
“Con ello se ratifica la necesidad de reemplazar
la citología convencional por la de base líquida y
el uso de pruebas complementarias más
sensibles y reproducibles”
Historia
 George Nicholas Papanicolaou
(1883-1962)
 Médico griego nacido en Islas
Griegas
 Sistematizado una técnica de
diagnóstico con métodos de
toma de muestra, fijación en
fresco, tinción y nomenclatura
de los diferentes tipos de
alteración citológica
relacionadas con el cáncer
cérvicouterino
Elementos
Visualización del cuello
Toma de Muestra
ZONA DE TRANSFORMACION
Situaciones especiales : Embarazo
Situaciones especiales: Multipara
Situaciones especiales: Menopausia
Ausente – Cúpula – “Muñón” :
Antecedente de Histerectomía
Masa
Pólipo
Ulceración
Cual se encuentra mal tomada???
Fijación
Requisitos de un fijador adecuado
 Debe penetrar las células rápidamente para mantener
el detalle de la morfología celular.
 El encogimiento celular debe ser mínimo y uniforme de
forma que no ocurran distorsiones
 morfológicas.
 Debe permitir la permeabilidad de las tinciones a través
de las barreras celulares y ser apropiado
 para los métodos de tinción usados.
 Debe permitir la adhesión celular a la lámina de vidrio
para el análisis microscópico.
 Debe ser bactericida, no tóxico y permanente.
SATISFACTORIO
 Describe presencia o ausencia
del componente
endocervical/zona de
transformación
 Describe cualquier otro
indicador de calidad como
inflamación, oscurecimiento
parcial de la muestra por
sangre, etc.
DESCRITOS COMO APROPIADOS
 Espécimen rechazado:
Muestra no procesada porque…
(no etiquetada, placa rota, etc.)
 Muestra completamente
evaluada, insatisfactoria
Procesada y examinada pero
insatisfactoria para la evaluación
del epitelio o anormalidad
debido a… (oscurecimiento, etc.)
INSATISFACTORIO
CATEGORÍAS
Notas explicatorias
 Para especímenes satisfactorios: debe incluirse en el informe la información sobre la
adecuación del muestreo de la zona de transformación y otros calificativos de calidad.
 Proporcionar comentarios regulares sobre la calidad de la muestra promueven una mayor
atención a la recolección de la misma.
 Cualquier muestra con células anormales es por definición satisfactorio para evaluación
(células escamosas atípicas de significado indeterminado ASC-US, células glandulares atípicas
AGC o peor).
 Si existe preocupación sobre el compromiso de la muestra, puede adjuntarse una nota
indicando que una anomalía más grave no puede ser excluida.
Notas explicatorias
 Aunque no pueda excluirse una anomalía epitelial, debe reportarse la presencia de hallazgos
anormales como microorganismos o células endometriales en mujeres > de 45 años de edad, ya
que puede ayudar a dirigir el manejo.
 La presencia de células endometriales benignas a cualquier edad no convierte una muestra
insatisfactoria en satisfactoria.
Desventaja de la técnica convencional
 Exceso o escasez de células en PAP convencional
 El cepillo puede obtener de : 250, 000- 1.2 millones de células epiteliales
 Frotis muy gruesos
 Frotis con celularidad variable
 Menos del 37.5%puede transferirse al portaobjetos, al realizar el frotis; el
material restante se queda en las cerdas del cepillo y se tira a la basura
 El traspaso de células está sujeto a error, si las células anormales no se
distribuyen de forma homogénea por toda la muestra
Tomado: https://bioreferencia.com/citologia-en-base-liquida/
Citología base liquida
Citología en base líquida
 Una muestra de células es tomada del cérvix en la forma usual usando una
espátula o un cepillo
 La muestra es transferida a un recipiente que contiene un medio preservativo y
de transporte
 Las células se dispersan en el fluido sobrenadante
 Las células se separan por centrifugación o filtración y se depositan en una
lámina como una capa fina/monocapa por sedimentación o por la aplicación de
presión.
 Las láminas son teñidas y montadas listas para análisis microscópico.
Varios sistemas están actualmente disponibles. Los más ampliamente usados son:
 Sure Path (autocyte, TriPath Imaging)
 Thin Prep (CYTYC)
Citología en base líquida
Ventajas
 Fijado inmediato que realza los detalles del núcleo y del citoplasma
 Todo el material obtenido está disponible para evaluación microscópica
 Una muestra representativa es preparada para evaluación citológica
pero si es necesario se pueden preparar múltiples muestras
 El fondo es mas claro, haciendo menos probable que las células
epiteliales de interés sean ocultadas
 Una capa fina de células dispersas se extiende sobre un área fija, el
área a ser evaluada es pequeña y su análisis toma menos tiempo que
un frotis convencional
 La tasa de frotis insatisfactorios disminuye
 Las muestras son adecuadas para otras pruebas tales como pruebas
para VPH
 Las láminas son adecuadas para análisis automatizado
Citología en base líquida
Desventajas de LBC
 Los patrones del frotis se alteran debido a la selección aleatoria de
células
 Las células anormales se encuentran dispersas
 Preparaciones escasas de LBC pueden ser difícil de examinar e
interpretar
 Aun se encuentran sangre, inflamación, moco y diátesis maligna pero
aparecen ligeramente diferentes
 Las células epiteliales aparecen principalmente como células
individuales y son ligeramente más pequeñas que en los frotis
convencionales especialmente las células endocervicales y las células
metaplásticas inmaduras
 Es más costoso que la prueba convencional
Criterios mínimos de celularidad
escamosa
 En mujeres que han recibido radiación, quimioterapia e histerectomía para manejo del cáncer
invasivo a menudo desarrollan células atróficas y cambios reparativos celulares.
 Hay poca evidencia científica de que un límite celular mínimo de 5,000 sea adecuado en estas
circunstancias, algunos investigadores recomiendan un límite más bajo de 2.000 células
 En esta actualización se enfatiza que un límite de 5,000 células no debe ser rígido en
muestras vaginales con post-terapia.
Criterios mínimos de celularidad
escamosa
PREPARACIONES EN BASE LÍQUIDA
 Una preparación adecuada debe tener un mínimo estimado de al menos 5,000 células
escamosas bien visualizadas / bien conservadas. Este rango se aplica sólo a las células
escamosas.
 Las células endocervicales y las células completamente ocultas deben excluirse.
 Mujeres que han recibido quimioterapia, radioterapia o posmenopáusicas con cambios
atróficos, o que son post-histerectomizadas pueden tener muestras con menos de 5,000 células
y pueden considerarse adecuados.
 Muestras con menos de 2,000 células deben ser consideradas insatisfactorias en la mayoría
de las circunstancias.
Criterios mínimos de celularidad
escamosa
 En muestras con sospecha de baja celularidad, una estimación de la celularidad total se puede
obtener realizando recuentos de células en campo representativos.
 Un mínimo de 10 campos visuales a 40X deben evaluarse a lo largo de un diámetro que
incluya el centro de la preparación.
 Cuando hay agujeros o áreas vacías en la muestra, el porcentaje de las áreas hipocelulares
debe estimarse y los campos contados deben reflejar esta proporción.
https://www.bd.com/en-us/company/video-
gallery?video=6099822996001
Criterios mínimos de celularidad
escamosa
Número promedio de células por campo requerido para lograr un mínimo de 5,000 células en un LBP dado el diámetro de
preparación y el número de campo del ocular
Criterios mínimos de celularidad
escamosa
Para individuos que usan oculares y preparaciones que no se muestran, la fórmula es:
Número de células requeridas por campo = 5,000 / (área de preparación / área de campo)
Los diámetros de las preparaciones SurePath y ThinPrep son de 13 y 20 mm respectivamente.
El diámetro de un campo microscópico en milímetros es el número de campo del ocular dividido
por la ampliación del objetivo.
Criterios mínimos de celularidad
escamosa
 Las placas con menos de 5,000 células deben examinarse para determinar si la razón de la
escasa celularidad es un problema técnico relacionado con la preparación como por ejemplo
una muestra excesivamente hemorrágica.
 Si se identifica un problema técnico y éste se corrige, es posible obtener una adecuada
celularidad al repetir la preparación.
 El informe debe aclarar si la sangre, el moco, el lubricante, la inflamación o los artefactos
técnicos contribuyeron a un muestra insatisfactoria o si el problema es realmente por baja
celularidad escamosa.
Figura 1.1 Insatisfactorio por escasa celularidad escamosa.
Células endocervicales con organización en panal. LBP
ThinPrep en 10X
Figura 1.2 Insatisfactorio por celularidad escasa.
SurePath con menos de 8 células por campo 40X
Figura 1.3 Satisfactorio pero celularidad escamosa límite.
(LBP SurePath) Conteo de 11 células por campo 40X aprox.
En 10 campos 40X podría dar un estimado de 5.000 – 10.000
Figura 1.4 Celularidad escamosa satisfactoria, pero limítrofe (LBP ThinPrep) campo10X
La muestra debe tener al menos este nivel de celularidad para ser considerado satisfactorio, a
40X aproximadamente cuatro células por campo, lo que correspondería a poco más de 5.000
células. Tenga en cuenta que este nivel de densidad celular sería insatisfactorio en un SurePath
Figura 1.5 Celularidad escamosa satisfactoria en mujer de
70 años con atrofia (SurePath).
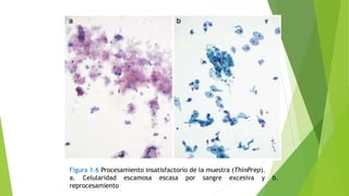
Figura 1.6 Procesamiento insatisfactorio de la muestra (ThinPrep).
a. Celularidad escamosa escasa por sangre excesiva y b.
reprocesamiento
Figura 1.7 Citología vaginal satisfactoria en mujer con
histerectomia total (sin cervix)(ThinPrep). Celularidad estimada <
5.000 pero considerada satisfactoria por que la muestra fue
obtenida de vagina
Figura 1.8 Baja celularidad pero muestra satisfactoria en mujer con
historia de radiación. (ThinPrep).
Figura 1.9 Baja celularidad pero muestra satisfactoria en mujer
con historia de radiación. (SurePath).
Figura 1.10 Atrofia: celularidad límite en posmenopausia (LBP,
ThinPrep).
Las células parabasales se pueden ver aisladas (a, izquierda) o
en grupos (b, derecha).
Figura 1.11 Muestra insatisfactoria (LBP, ThinPrep).
Abundantes células endocervicales y moco con escasas células
escamosas
Criterios mínimos de celularidad
escamosa
PREPARACIÓN CONVENCIONAL
 Una muestra cervical convencional adecuada debe contener un
mínimo aproximado de 8,000 a 12,000 células escamosas bien
conservadas y bien visualizadas
 Este rango de celularidad no debe ser considerado un límite rígido y
los comentarios relacionados con la celularidad inferior en pos-
tratamiento y muestras vaginales también aplican.
 Los citólogos deben comparar imágenes con los especímenes para
determinar si hay un número suficiente de campos con
aproximadamente igual o mayor celularidad que las imágenes de
referencia. Por ejemplo, si se usa una imagen correspondiente a un
campo de 4X con 1,000 células, la muestra debe tener al menos ocho
de estos campos de 4X para que se considere que tienen una
celularidad adecuada.
Notas explicatorias
 Los criterios estrictos pueden no ser aplicables a todos los casos.
Algunas muestras pueden presentar agrupamiento celular, atrofia o
citólisis y son técnicamente difíciles de contar.
 Puede haber circunstancias clínicas en las que un menor número de
células puede considerarse adecuado.
 La celularidad mínima para preparaciones convencionales es de
8,000–12,000, porque las PBL en virtud de la metodología de
preparación, presentan una forma más aleatoria y presumiblemente
una muestra más representativa del material cervical recolectado.
 Los estudios muestran que la metodología de imagen de referencia
para las preparaciones convencionales es aprendida rápidamente y
tiene buena reproducibilidad interobservador.
Figura 1.12 Celularidad escamosa:
esta imagen representa la
apariencia de un campo 4X con
aproximadamente
75 células.
La muestra es insatisfactoria si
todos los campos tienen este nivel o
menos de celularidad.
Figura 1.13 Celularidad escamosa:
esta imagen representa la
apariencia de un campo 4X con
aproximadamente
150 células.
Si todos los campos tienen este
nivel de celularidad, la muestra
reunirá el criterio de celularidad
mínima, pero sólo por una pequeño
margen
Figura 1.14 Celularidad escamosa:
esta imagen representa la
apariencia de un campo 4X con
aproximadamente
500 células.
Un mínimo de 16 campos con
celularidad similar (o mayor) se
necesita para llamar la muestra
adecuada
Figura 1.15 Celularidad escamosa:
esta imagen representa la
apariencia de un campo 4X con
aproximadamente
1,000 células.
Un mínimo de ocho campos con
similar (o mayor) celularidad se
necesita para llamar la muestra
adecuada
Figura 1.16 Celularidad escamosa:
esta imagen representa la
apariencia de un campo 4X con
aproximadamente
1,400 células.
Un mínimo de seis campos con
similar (o mayor) celularidad se
necesita para llamar la muestra
adecuada
Zona endocervical / zona de
transformación
 La presencia de zona de transformación no es necesaria para una muestra
adecuada, sólo es necesaria la celularidad escamosa.
 Sin embargo se debe informar la presencia o ausencia de la zona de
transformación, ya que puede ser una medida de garantía de calidad útil
tanto para método convencional como para líquido.
 Una muestra de zona de transformación adecuada requiere al menos diez
células endocervicales o escamosas metaplasicas bien conservadas, por
separado o en grupos.
 Las células degeneradas en moco o parabasales no deben contarse al evaluar
la muestra de la zona de transformación.
PREPUBERAL
Edad Fertil
Menopausia
Notas explicativas
 Los estudios longitudinales no han podido demostrar que mujeres con
citologías que carecen de un componente endocervical /zona transformación
tengan un mayor riesgo de lesiones escamosas intraepiteliales de alto grado
(HSIL) a lo largo del tiempo que las mujeres con pruebas negativas que tengan
un componente EC / ZT adecuado.
 La adición de pruebas conjuntas de PVH en mujeres de 30 años o más
proporcionará cierta seguridad de que no hay lesiones presentes en las
mujeres que carecen de ZT que también están PVH negativo
 Además puede proporcionar una mayor sensibilidad para las lesiones que
surgen en el canal endocervical (por ejemplo, adenocarcinoma in situ)
Que puede causar una toma adecuada
con ausencia de células endocervicales
 Flujo abundante
 Cuellos atróficos
 Difícil ubicación del cuello uterino
 Poca colaboración de la paciente
 Resequedad
 Estrecheses
 Sangrado
 Histerectomía
Figura 1.17 Células endocervicales. En la izquierda una
apariencia de "panal". El grupo de células de la derecha se
ve desde una vista lateral, dando la apariencia de "piquete"
Figura 1.19 Las células endocervicales
normales pueden aparecer en grandes
fragmentos hipercromáticos.
No debe ser confundido con grupos
neoplásicos que muestran una mayor
aglomeración, ampliación nuclear,
irregularidad de la membrana nuclear y
patrón anormal de cromatina.
Figura 1.20 Componente de la zona de transformación (LBP, SurePath). Células
endocervicales normales de la la región superior del canal endocervical puede
imitar de cerca a las células metaplásicas escamosas
Figura 1.21 Células metaplásicas escamosas normales
(SurePath)
Figura 1.22 Atrofia. Las células
degeneradas en moco y células de tipo
parabasal no deben contarse en la
evaluación del muestreo de la zona de
transformación.
Puede ser difícil distinguir las células de
tipo parabasal de células metaplásicas
escamosas en muestras con atrofia
Factores de oscurecimiento
 Muestras en las que más del 75% de las células escamosas están
ocultas deben denominarse insatisfactorias, suponiendo que no se
identifiquen células anormales.
 Cuando el 50–75% de las células están ocultas, la muestra debe
informarse como parcialmente oscurecida seguida del término
satisfactorio.
 La preservación y visualización nuclear son de importancia clave.
Factores de oscurecimiento
 Cambios como la citólisis y el oscurecimiento parcial del citoplasma
no necesariamente interfieren con la evaluación de la muestra. A no
ser que casi todos los núcleos estén desprovistos de citoplasma
(insatisfactorio).
 Los criterios de oscurecimiento y celularidad límite son similares para
preparaciones en base líquida y convencionales. Pero las primeras
han demostrado estar relativamente libres de factores de
oscurecimiento en comparación con las convencionales.
Figura 1.23 Insatisfactorio debido a
oscurecimiento por glóbulos blancos.
Si el 50-75% de las células epiteliales están
cubiertas, se debe mencionar la inflamación
en la sección de Indicadores de calidad del
informe.
Sustancias de interferencia
LUBRICANTES
 Algunos estudios sobre el impacto de los lubricantes en las pruebas de
Papanicolaou en base líquida han demostrado un impacto mínimo con los
lubricantes a base de agua, mientras que otros han demostrado un efecto
significativo en las tasas de adecuación con lubricantes que contienen
polímeros.
 La mayoría de los estudios no han encontrado un efecto adverso de los
lubricantes en preparaciones convencionales.
MUESTRAS CON EXCESIVA SANGRE
 Varios estudios han documentado que las muestras de sangre que
inicialmente tienen preparaciones no satisfactorias se pueden reprocesar
con éxito utilizando un lavado con ácido acético glacial diluido
 Sin embargo algunos estudios han documentado un impacto negativo en
las pruebas de VPH, esto puede variar con la prueba de HPV utilizada.
Figura 1.25 Insatisfactorio debido al exceso
de lubricante.
Lubricantes puede imitar la sangre o el
moco a baja magnificación (izquierda).
Guías de manejo relacionadas a la
adecuación
MANEJO DE MUJERES CON CITOLOGÍA INSATISFACTORIA
 Se recomienda repetir la citología en 2 a 4 meses.
Mujeres con citología insatisfactoria pueden recibir tratamiento para
resolver la atrofia o la inflamación (cuando se observa una infección
específica) antes de repetir la citología.
Si una prueba de Papanicolaou es insatisfactorio debido a la baja
celularidad en una mujer con un examen negativo reciente (tomado en
un intervalo más corto del que sugieren las pautas de detección), la
prueba a repetir se puede ajustar a un intervalo de tiempo más largo.
Guías de manejo relacionadas a la
adecuación
MANEJO DE MUJERES CON CITOLOGÍA INSATISFACTORIA
 Se recomienda la colposcopia cuando una mujer ha tenido dos
resultados insatisfactorios consecutivos
 La colposcopia también se puede realizar si la mujer es conocida
PVH16 o 18 positivo o si tiene 30 años o más y es PVH positivo.
Guías de manejo relacionadas a la
adecuación
MANEJO DE MUJERES CON CITOLOGÍA REPORTADA COMO NEGATIVA PERO
AUSENCIA O INSUFICIENCIA DE COMPONENTE ENDOCERVICAL O ZONA DE
TRANSFORMACIÓN
 Para las mujeres de 30 años o más, se prefiere la prueba de PVH. Si
la prueba es negativa, se recomienda el intervalo de detección de
rutina (cada 3 años).
 Para las mujeres de 25 a 29 años de edad se recomienda la detección
de rutina. Co-prueba no está indicado en este grupo de edad.
ejemplos
EJEMPLO 1
Adecuación del espécimen:
Satisfactorio para evaluación; Componente endocervical / zona de
transformación presente.
Interpretación:
Negativos para lesión intraepitelial o malignidad.
ejemplos
EJEMPLO II
Adecuación del espécimen:
Satisfactorio para evaluación; Componente endocervical / zona de
transformación ausente / insuficiente.
Interpretación:
Negativos para lesión intraepitelial o malignidad.
ejemplos
EJEMPLO III
Categorización general:
Insatisfactorio para la evaluación. Ver la sección de Adecuación de
muestras.
Adecuación del espécimen:
Insatisfactorio para la evaluación. Espécimen procesado y examinado
pero insatisfactorio para la evaluación de la anomalía epitelial debido a
oscurecimiento por inflamación.
Comentario:
Trichomonas vaginales identificados. Considerar repetir la citología
cervical después del tratamiento.
ejemplos
EJEMPLO IV
Adecuación del espécimen:
Insatisfactorio.
Categorización general:
Insatisfactorio.
Interpretación:
Espécimen procesado y examinado pero insatisfactorio para la
evaluación por insuficiente celularidad escamosa. Sangre oscurece
parcialmente.
ejemplos
EJEMPLO V
Adecuación del espécimen:
Insatisfactorio para la evaluación; espécimen rechazado porque el vial
fue recibido
sin etiqueta.

Introduccion citologia cervicovaginal

  • 1.
  • 2.
    Introducción: Plan nacionalpara el control del cáncer en Colombia  Propuesta para 2013 sobre la transición de la tamización de cáncer de cuello uterino, de citología a pruebas moleculares de detección temprana de VPH en las cinco principales ciudades del país (Bogotá, Medellín, Cali, Barranquilla y Bucaramanga)”. “Con ello se ratifica la necesidad de reemplazar la citología convencional por la de base líquida y el uso de pruebas complementarias más sensibles y reproducibles”
  • 3.
    Historia  George NicholasPapanicolaou (1883-1962)  Médico griego nacido en Islas Griegas  Sistematizado una técnica de diagnóstico con métodos de toma de muestra, fijación en fresco, tinción y nomenclatura de los diferentes tipos de alteración citológica relacionadas con el cáncer cérvicouterino
  • 7.
  • 8.
  • 9.
  • 10.
  • 11.
  • 12.
  • 13.
  • 14.
    Ausente – Cúpula– “Muñón” : Antecedente de Histerectomía
  • 15.
  • 16.
  • 17.
  • 18.
    Cual se encuentramal tomada???
  • 23.
    Fijación Requisitos de unfijador adecuado  Debe penetrar las células rápidamente para mantener el detalle de la morfología celular.  El encogimiento celular debe ser mínimo y uniforme de forma que no ocurran distorsiones  morfológicas.  Debe permitir la permeabilidad de las tinciones a través de las barreras celulares y ser apropiado  para los métodos de tinción usados.  Debe permitir la adhesión celular a la lámina de vidrio para el análisis microscópico.  Debe ser bactericida, no tóxico y permanente.
  • 25.
    SATISFACTORIO  Describe presenciao ausencia del componente endocervical/zona de transformación  Describe cualquier otro indicador de calidad como inflamación, oscurecimiento parcial de la muestra por sangre, etc. DESCRITOS COMO APROPIADOS  Espécimen rechazado: Muestra no procesada porque… (no etiquetada, placa rota, etc.)  Muestra completamente evaluada, insatisfactoria Procesada y examinada pero insatisfactoria para la evaluación del epitelio o anormalidad debido a… (oscurecimiento, etc.) INSATISFACTORIO CATEGORÍAS
  • 28.
    Notas explicatorias  Paraespecímenes satisfactorios: debe incluirse en el informe la información sobre la adecuación del muestreo de la zona de transformación y otros calificativos de calidad.  Proporcionar comentarios regulares sobre la calidad de la muestra promueven una mayor atención a la recolección de la misma.  Cualquier muestra con células anormales es por definición satisfactorio para evaluación (células escamosas atípicas de significado indeterminado ASC-US, células glandulares atípicas AGC o peor).  Si existe preocupación sobre el compromiso de la muestra, puede adjuntarse una nota indicando que una anomalía más grave no puede ser excluida.
  • 29.
    Notas explicatorias  Aunqueno pueda excluirse una anomalía epitelial, debe reportarse la presencia de hallazgos anormales como microorganismos o células endometriales en mujeres > de 45 años de edad, ya que puede ayudar a dirigir el manejo.  La presencia de células endometriales benignas a cualquier edad no convierte una muestra insatisfactoria en satisfactoria.
  • 30.
    Desventaja de latécnica convencional  Exceso o escasez de células en PAP convencional  El cepillo puede obtener de : 250, 000- 1.2 millones de células epiteliales  Frotis muy gruesos  Frotis con celularidad variable  Menos del 37.5%puede transferirse al portaobjetos, al realizar el frotis; el material restante se queda en las cerdas del cepillo y se tira a la basura  El traspaso de células está sujeto a error, si las células anormales no se distribuyen de forma homogénea por toda la muestra Tomado: https://bioreferencia.com/citologia-en-base-liquida/
  • 31.
  • 32.
    Citología en baselíquida  Una muestra de células es tomada del cérvix en la forma usual usando una espátula o un cepillo  La muestra es transferida a un recipiente que contiene un medio preservativo y de transporte  Las células se dispersan en el fluido sobrenadante  Las células se separan por centrifugación o filtración y se depositan en una lámina como una capa fina/monocapa por sedimentación o por la aplicación de presión.  Las láminas son teñidas y montadas listas para análisis microscópico. Varios sistemas están actualmente disponibles. Los más ampliamente usados son:  Sure Path (autocyte, TriPath Imaging)  Thin Prep (CYTYC)
  • 33.
    Citología en baselíquida Ventajas  Fijado inmediato que realza los detalles del núcleo y del citoplasma  Todo el material obtenido está disponible para evaluación microscópica  Una muestra representativa es preparada para evaluación citológica pero si es necesario se pueden preparar múltiples muestras  El fondo es mas claro, haciendo menos probable que las células epiteliales de interés sean ocultadas  Una capa fina de células dispersas se extiende sobre un área fija, el área a ser evaluada es pequeña y su análisis toma menos tiempo que un frotis convencional  La tasa de frotis insatisfactorios disminuye  Las muestras son adecuadas para otras pruebas tales como pruebas para VPH  Las láminas son adecuadas para análisis automatizado
  • 34.
    Citología en baselíquida Desventajas de LBC  Los patrones del frotis se alteran debido a la selección aleatoria de células  Las células anormales se encuentran dispersas  Preparaciones escasas de LBC pueden ser difícil de examinar e interpretar  Aun se encuentran sangre, inflamación, moco y diátesis maligna pero aparecen ligeramente diferentes  Las células epiteliales aparecen principalmente como células individuales y son ligeramente más pequeñas que en los frotis convencionales especialmente las células endocervicales y las células metaplásticas inmaduras  Es más costoso que la prueba convencional
  • 36.
    Criterios mínimos decelularidad escamosa  En mujeres que han recibido radiación, quimioterapia e histerectomía para manejo del cáncer invasivo a menudo desarrollan células atróficas y cambios reparativos celulares.  Hay poca evidencia científica de que un límite celular mínimo de 5,000 sea adecuado en estas circunstancias, algunos investigadores recomiendan un límite más bajo de 2.000 células  En esta actualización se enfatiza que un límite de 5,000 células no debe ser rígido en muestras vaginales con post-terapia.
  • 37.
    Criterios mínimos decelularidad escamosa PREPARACIONES EN BASE LÍQUIDA  Una preparación adecuada debe tener un mínimo estimado de al menos 5,000 células escamosas bien visualizadas / bien conservadas. Este rango se aplica sólo a las células escamosas.  Las células endocervicales y las células completamente ocultas deben excluirse.  Mujeres que han recibido quimioterapia, radioterapia o posmenopáusicas con cambios atróficos, o que son post-histerectomizadas pueden tener muestras con menos de 5,000 células y pueden considerarse adecuados.  Muestras con menos de 2,000 células deben ser consideradas insatisfactorias en la mayoría de las circunstancias.
  • 38.
    Criterios mínimos decelularidad escamosa  En muestras con sospecha de baja celularidad, una estimación de la celularidad total se puede obtener realizando recuentos de células en campo representativos.  Un mínimo de 10 campos visuales a 40X deben evaluarse a lo largo de un diámetro que incluya el centro de la preparación.  Cuando hay agujeros o áreas vacías en la muestra, el porcentaje de las áreas hipocelulares debe estimarse y los campos contados deben reflejar esta proporción.
  • 39.
  • 40.
    Criterios mínimos decelularidad escamosa Número promedio de células por campo requerido para lograr un mínimo de 5,000 células en un LBP dado el diámetro de preparación y el número de campo del ocular
  • 41.
    Criterios mínimos decelularidad escamosa Para individuos que usan oculares y preparaciones que no se muestran, la fórmula es: Número de células requeridas por campo = 5,000 / (área de preparación / área de campo) Los diámetros de las preparaciones SurePath y ThinPrep son de 13 y 20 mm respectivamente. El diámetro de un campo microscópico en milímetros es el número de campo del ocular dividido por la ampliación del objetivo.
  • 42.
    Criterios mínimos decelularidad escamosa  Las placas con menos de 5,000 células deben examinarse para determinar si la razón de la escasa celularidad es un problema técnico relacionado con la preparación como por ejemplo una muestra excesivamente hemorrágica.  Si se identifica un problema técnico y éste se corrige, es posible obtener una adecuada celularidad al repetir la preparación.  El informe debe aclarar si la sangre, el moco, el lubricante, la inflamación o los artefactos técnicos contribuyeron a un muestra insatisfactoria o si el problema es realmente por baja celularidad escamosa.
  • 46.
    Figura 1.1 Insatisfactoriopor escasa celularidad escamosa. Células endocervicales con organización en panal. LBP ThinPrep en 10X
  • 47.
    Figura 1.2 Insatisfactoriopor celularidad escasa. SurePath con menos de 8 células por campo 40X
  • 48.
    Figura 1.3 Satisfactoriopero celularidad escamosa límite. (LBP SurePath) Conteo de 11 células por campo 40X aprox. En 10 campos 40X podría dar un estimado de 5.000 – 10.000
  • 49.
    Figura 1.4 Celularidadescamosa satisfactoria, pero limítrofe (LBP ThinPrep) campo10X La muestra debe tener al menos este nivel de celularidad para ser considerado satisfactorio, a 40X aproximadamente cuatro células por campo, lo que correspondería a poco más de 5.000 células. Tenga en cuenta que este nivel de densidad celular sería insatisfactorio en un SurePath
  • 50.
    Figura 1.5 Celularidadescamosa satisfactoria en mujer de 70 años con atrofia (SurePath).
  • 51.
    Figura 1.6 Procesamientoinsatisfactorio de la muestra (ThinPrep). a. Celularidad escamosa escasa por sangre excesiva y b. reprocesamiento
  • 52.
    Figura 1.7 Citologíavaginal satisfactoria en mujer con histerectomia total (sin cervix)(ThinPrep). Celularidad estimada < 5.000 pero considerada satisfactoria por que la muestra fue obtenida de vagina
  • 53.
    Figura 1.8 Bajacelularidad pero muestra satisfactoria en mujer con historia de radiación. (ThinPrep).
  • 54.
    Figura 1.9 Bajacelularidad pero muestra satisfactoria en mujer con historia de radiación. (SurePath).
  • 55.
    Figura 1.10 Atrofia:celularidad límite en posmenopausia (LBP, ThinPrep). Las células parabasales se pueden ver aisladas (a, izquierda) o en grupos (b, derecha).
  • 56.
    Figura 1.11 Muestrainsatisfactoria (LBP, ThinPrep). Abundantes células endocervicales y moco con escasas células escamosas
  • 57.
    Criterios mínimos decelularidad escamosa PREPARACIÓN CONVENCIONAL  Una muestra cervical convencional adecuada debe contener un mínimo aproximado de 8,000 a 12,000 células escamosas bien conservadas y bien visualizadas  Este rango de celularidad no debe ser considerado un límite rígido y los comentarios relacionados con la celularidad inferior en pos- tratamiento y muestras vaginales también aplican.  Los citólogos deben comparar imágenes con los especímenes para determinar si hay un número suficiente de campos con aproximadamente igual o mayor celularidad que las imágenes de referencia. Por ejemplo, si se usa una imagen correspondiente a un campo de 4X con 1,000 células, la muestra debe tener al menos ocho de estos campos de 4X para que se considere que tienen una celularidad adecuada.
  • 58.
    Notas explicatorias  Loscriterios estrictos pueden no ser aplicables a todos los casos. Algunas muestras pueden presentar agrupamiento celular, atrofia o citólisis y son técnicamente difíciles de contar.  Puede haber circunstancias clínicas en las que un menor número de células puede considerarse adecuado.  La celularidad mínima para preparaciones convencionales es de 8,000–12,000, porque las PBL en virtud de la metodología de preparación, presentan una forma más aleatoria y presumiblemente una muestra más representativa del material cervical recolectado.  Los estudios muestran que la metodología de imagen de referencia para las preparaciones convencionales es aprendida rápidamente y tiene buena reproducibilidad interobservador.
  • 59.
    Figura 1.12 Celularidadescamosa: esta imagen representa la apariencia de un campo 4X con aproximadamente 75 células. La muestra es insatisfactoria si todos los campos tienen este nivel o menos de celularidad.
  • 60.
    Figura 1.13 Celularidadescamosa: esta imagen representa la apariencia de un campo 4X con aproximadamente 150 células. Si todos los campos tienen este nivel de celularidad, la muestra reunirá el criterio de celularidad mínima, pero sólo por una pequeño margen
  • 61.
    Figura 1.14 Celularidadescamosa: esta imagen representa la apariencia de un campo 4X con aproximadamente 500 células. Un mínimo de 16 campos con celularidad similar (o mayor) se necesita para llamar la muestra adecuada
  • 62.
    Figura 1.15 Celularidadescamosa: esta imagen representa la apariencia de un campo 4X con aproximadamente 1,000 células. Un mínimo de ocho campos con similar (o mayor) celularidad se necesita para llamar la muestra adecuada
  • 63.
    Figura 1.16 Celularidadescamosa: esta imagen representa la apariencia de un campo 4X con aproximadamente 1,400 células. Un mínimo de seis campos con similar (o mayor) celularidad se necesita para llamar la muestra adecuada
  • 64.
    Zona endocervical /zona de transformación  La presencia de zona de transformación no es necesaria para una muestra adecuada, sólo es necesaria la celularidad escamosa.  Sin embargo se debe informar la presencia o ausencia de la zona de transformación, ya que puede ser una medida de garantía de calidad útil tanto para método convencional como para líquido.  Una muestra de zona de transformación adecuada requiere al menos diez células endocervicales o escamosas metaplasicas bien conservadas, por separado o en grupos.  Las células degeneradas en moco o parabasales no deben contarse al evaluar la muestra de la zona de transformación.
  • 65.
  • 66.
  • 67.
  • 68.
    Notas explicativas  Losestudios longitudinales no han podido demostrar que mujeres con citologías que carecen de un componente endocervical /zona transformación tengan un mayor riesgo de lesiones escamosas intraepiteliales de alto grado (HSIL) a lo largo del tiempo que las mujeres con pruebas negativas que tengan un componente EC / ZT adecuado.  La adición de pruebas conjuntas de PVH en mujeres de 30 años o más proporcionará cierta seguridad de que no hay lesiones presentes en las mujeres que carecen de ZT que también están PVH negativo  Además puede proporcionar una mayor sensibilidad para las lesiones que surgen en el canal endocervical (por ejemplo, adenocarcinoma in situ)
  • 69.
    Que puede causaruna toma adecuada con ausencia de células endocervicales  Flujo abundante  Cuellos atróficos  Difícil ubicación del cuello uterino  Poca colaboración de la paciente  Resequedad  Estrecheses  Sangrado  Histerectomía
  • 70.
    Figura 1.17 Célulasendocervicales. En la izquierda una apariencia de "panal". El grupo de células de la derecha se ve desde una vista lateral, dando la apariencia de "piquete"
  • 71.
    Figura 1.19 Lascélulas endocervicales normales pueden aparecer en grandes fragmentos hipercromáticos. No debe ser confundido con grupos neoplásicos que muestran una mayor aglomeración, ampliación nuclear, irregularidad de la membrana nuclear y patrón anormal de cromatina.
  • 72.
    Figura 1.20 Componentede la zona de transformación (LBP, SurePath). Células endocervicales normales de la la región superior del canal endocervical puede imitar de cerca a las células metaplásicas escamosas
  • 73.
    Figura 1.21 Célulasmetaplásicas escamosas normales (SurePath)
  • 74.
    Figura 1.22 Atrofia.Las células degeneradas en moco y células de tipo parabasal no deben contarse en la evaluación del muestreo de la zona de transformación. Puede ser difícil distinguir las células de tipo parabasal de células metaplásicas escamosas en muestras con atrofia
  • 75.
    Factores de oscurecimiento Muestras en las que más del 75% de las células escamosas están ocultas deben denominarse insatisfactorias, suponiendo que no se identifiquen células anormales.  Cuando el 50–75% de las células están ocultas, la muestra debe informarse como parcialmente oscurecida seguida del término satisfactorio.  La preservación y visualización nuclear son de importancia clave.
  • 76.
    Factores de oscurecimiento Cambios como la citólisis y el oscurecimiento parcial del citoplasma no necesariamente interfieren con la evaluación de la muestra. A no ser que casi todos los núcleos estén desprovistos de citoplasma (insatisfactorio).  Los criterios de oscurecimiento y celularidad límite son similares para preparaciones en base líquida y convencionales. Pero las primeras han demostrado estar relativamente libres de factores de oscurecimiento en comparación con las convencionales.
  • 77.
    Figura 1.23 Insatisfactoriodebido a oscurecimiento por glóbulos blancos. Si el 50-75% de las células epiteliales están cubiertas, se debe mencionar la inflamación en la sección de Indicadores de calidad del informe.
  • 78.
    Sustancias de interferencia LUBRICANTES Algunos estudios sobre el impacto de los lubricantes en las pruebas de Papanicolaou en base líquida han demostrado un impacto mínimo con los lubricantes a base de agua, mientras que otros han demostrado un efecto significativo en las tasas de adecuación con lubricantes que contienen polímeros.  La mayoría de los estudios no han encontrado un efecto adverso de los lubricantes en preparaciones convencionales. MUESTRAS CON EXCESIVA SANGRE  Varios estudios han documentado que las muestras de sangre que inicialmente tienen preparaciones no satisfactorias se pueden reprocesar con éxito utilizando un lavado con ácido acético glacial diluido  Sin embargo algunos estudios han documentado un impacto negativo en las pruebas de VPH, esto puede variar con la prueba de HPV utilizada.
  • 79.
    Figura 1.25 Insatisfactoriodebido al exceso de lubricante. Lubricantes puede imitar la sangre o el moco a baja magnificación (izquierda).
  • 80.
    Guías de manejorelacionadas a la adecuación MANEJO DE MUJERES CON CITOLOGÍA INSATISFACTORIA  Se recomienda repetir la citología en 2 a 4 meses. Mujeres con citología insatisfactoria pueden recibir tratamiento para resolver la atrofia o la inflamación (cuando se observa una infección específica) antes de repetir la citología. Si una prueba de Papanicolaou es insatisfactorio debido a la baja celularidad en una mujer con un examen negativo reciente (tomado en un intervalo más corto del que sugieren las pautas de detección), la prueba a repetir se puede ajustar a un intervalo de tiempo más largo.
  • 81.
    Guías de manejorelacionadas a la adecuación MANEJO DE MUJERES CON CITOLOGÍA INSATISFACTORIA  Se recomienda la colposcopia cuando una mujer ha tenido dos resultados insatisfactorios consecutivos  La colposcopia también se puede realizar si la mujer es conocida PVH16 o 18 positivo o si tiene 30 años o más y es PVH positivo.
  • 82.
    Guías de manejorelacionadas a la adecuación MANEJO DE MUJERES CON CITOLOGÍA REPORTADA COMO NEGATIVA PERO AUSENCIA O INSUFICIENCIA DE COMPONENTE ENDOCERVICAL O ZONA DE TRANSFORMACIÓN  Para las mujeres de 30 años o más, se prefiere la prueba de PVH. Si la prueba es negativa, se recomienda el intervalo de detección de rutina (cada 3 años).  Para las mujeres de 25 a 29 años de edad se recomienda la detección de rutina. Co-prueba no está indicado en este grupo de edad.
  • 83.
    ejemplos EJEMPLO 1 Adecuación delespécimen: Satisfactorio para evaluación; Componente endocervical / zona de transformación presente. Interpretación: Negativos para lesión intraepitelial o malignidad.
  • 84.
    ejemplos EJEMPLO II Adecuación delespécimen: Satisfactorio para evaluación; Componente endocervical / zona de transformación ausente / insuficiente. Interpretación: Negativos para lesión intraepitelial o malignidad.
  • 85.
    ejemplos EJEMPLO III Categorización general: Insatisfactoriopara la evaluación. Ver la sección de Adecuación de muestras. Adecuación del espécimen: Insatisfactorio para la evaluación. Espécimen procesado y examinado pero insatisfactorio para la evaluación de la anomalía epitelial debido a oscurecimiento por inflamación. Comentario: Trichomonas vaginales identificados. Considerar repetir la citología cervical después del tratamiento.
  • 86.
    ejemplos EJEMPLO IV Adecuación delespécimen: Insatisfactorio. Categorización general: Insatisfactorio. Interpretación: Espécimen procesado y examinado pero insatisfactorio para la evaluación por insuficiente celularidad escamosa. Sangre oscurece parcialmente.
  • 87.
    ejemplos EJEMPLO V Adecuación delespécimen: Insatisfactorio para la evaluación; espécimen rechazado porque el vial fue recibido sin etiqueta.

Notas del editor

  • #41 The diameters of SurePath and ThinPrep preparations are 13 and 20 millimeters (mm), respectively