PRÓTESIS DENTALES
DEFINICIÓN DE PRÓTESIS.La prótesis es una extensión artificial que reemplaza o provee una parte del cuerpo que falta por diversas razones.El principal objetivo de un prótesis es sustituir una parte del cuerpo que haya sido perdida por una amputación o que no exista a causa de agenesia, cumpliendo las mismas funciones que la parte faltante, como las piernas artificiales o las prótesis dentales.Además se suele utilizar con fines estéticos o para suplir al cuerpo de funciones de las que carece naturalmente, como las prótesis mamarias usadas en cirugía de reasignación de sexo o de transgeneristas.
TIPOS DE PRÓTESIS.REMOVIBLE.Total o completa (PT). Hechas de acrílico.Parcial (PPR). Hechas de metal-acrílico o acrílico.FIJA.Puentes o prótesis fija plural (PFP). Hechas de metal-porcelana o porcelana pura.Coronas o prótesis fija unitaria (PFU). Hechas de metal-porcelana o porcelana pura.
CONCEPTOS.TIPOS DE IMPRESIONES.De alginato para impresiones preliminares para modelos de estudio.De silicona para impresiones funcionales o de trabajo para modelos de trabajo.
Silicona liviana.Silicona pesada.
Silicona pesadaSilicona liviana.
Cubeta individualizada de acrílico.Impresión definitiva o de trabajo.Silicona mediana + liviana.
CONCEPTOS.Modelos de yeso.De estudio o preliminar.Sirve para analizar el caso individual del paciente y se toma con impresión de alginato ya que no se necesita reproducir detalles finos.De trabajo o definitivo.Sirve para confeccionar la prótesis y se toma con impresión de silicona para reproducir detalles finos.
CONCEPTOS.Retención. Es lo que impide que la prótesis se mueva en sentido vertical.Estabilidad. Es lo que impide que la prótesis se mueva en sentido horizontal.Soporte. Es lo que ayuda a que la prótesis se afirme dentro de la boca.
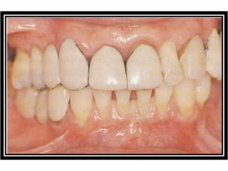
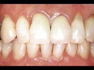
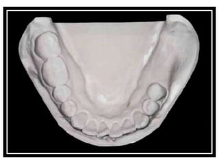
Ejemplos de pacientes desdentados.
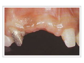
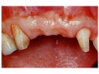
Vanos desdentados
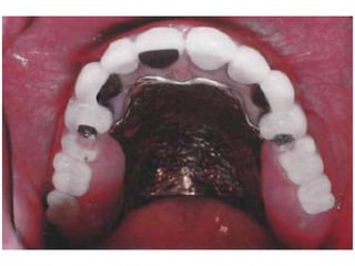
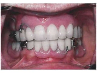
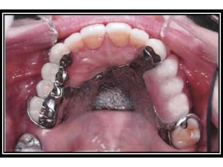
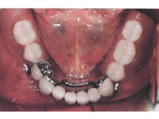
Prótesis removibles parciales y totales.
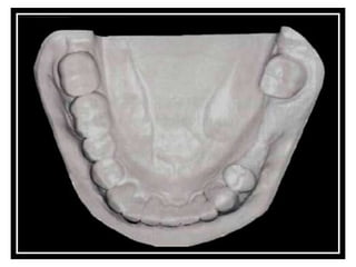
Cubetas individuales.
Mango.
Elaboración de la prótesis en el laboratorio.
Prótesis total en cera.
Zócalo.
Montaje de modelos en el articulador.
Retenedores.
Conector menor.Conector mayor.
Apoyos.
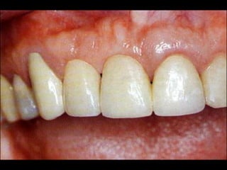
Prótesis fija.
Caso 1PFP de 3 piezas sobre muñones vitales.
Tallado de muñones.
Modelo de trabajo.
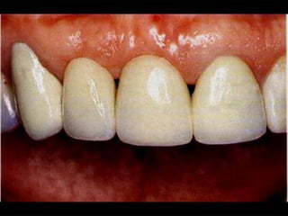
PFP cementada.
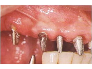
Caso 2Muñón mixto vs muñón vital.
Caso 3PFU desajustadas.
Caso 4Muñones metálicos vs muñones mixtos.
Muñón metálico.Muñón mixto.
Vista interna PFU.
Caso 5PFP sector anterior.
Caso 6
Estructura metálica del puente.
Adición de porcelana a la estructura metálica del puente.
Cementación PFP.
Estructura metálica.
Dudas, preguntas y consultas.
fin

Prótesis dentales