A N G É L I C A D Í A Z
G U S T A V O M O N A S T E R I O
V A L E N T I N A M O R A L E S
D R . R O D R I G O A V E N D A Ñ O
Seminario nº 8
LESIONES CERVICALES NO
CARIOSAS
Lesiones cervicales no cariosas
Las lesiones cervicales son aquellas que se
encuentran ubicadas en el tercio gingival o
cervical de las caras bucales y linguales de todas
las piezas dentarias.
Una de sus principales caracteristicas es la
sensibilidad, por la apertura de tubulos. Su
tratamiento tiene como objetivo principal sellar
la interface y minimizar la microfiltracion
Etiología: pueden tener su origen en: caries,
abrasión, erosión, abfracción.
Atrición
• El desgaste de la sustancia dental como resultado del contacto de los
dientes durante la actividad masticatoria normal o parafuncional.
Abrasión
• El desgaste patológico de la sustancia dental a través de procesos de
fricción bio-mecánica, por ejemplo, cepillado de los dientes
Erosión
• La pérdida de sustancia dental por disolución de ácido de un origen ya
sea intrínseco o extrínseco, por ejemplo, ácido gástrico o ácidos
dietéticos.
Abfracción
• Pérdida de sustancia dental causada por las fuerzas que generan la
flexión de los dientes durante la carga que conduce a la fatiga del
esmalte y la dentina en una ubicación lejos del punto de carga. La
palabra “abfracción '' se deriva del latín'' romper''.
Etiología de las lesiones cervicales no cariosas
 La etiología raramente es provocada por uno sólo de
estos procesos, en la actualidad estos procesos se
consideran de etiología multifactorial.
Lesiones
cervicales
no
cariosas
Caries
Abrasión
Abfracción
Erosión
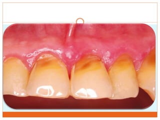
Caso clínico 2
Paciente de 40 años relata que
consume coca cola todos los días, y
de un tiempo hacia acá le han
aparecido unas “manchas” en los
dientes. No relata sensibilidad”
¿Cuál es la etiología de
estas lesiones? ¿Ud. las
trataría? Si es afirmativa
su respuesta, indique con
qué material las
restauraría.
Diagnóstico de la lesión
Erosión dental
La erosión dental ocurre cuando el esmalte se desgasta o se reduce por
la acción de ácidos. Hay dos tipos de erosión dental:
 1. Erosión intrínseca — Es causada por ácido gástrico o
regurgitación consecuente de problemas médicos o psicológicos
(por ejemplo, reflujo ácido, anorexia, bulimia).
 2. Erosión extrínseca – Ocurre cuando los ácidos relacionados
con la alimentación (por ejemplo, consumo de azúcar, refrescos
dietéticos, jugos de fruta, bebidas carbonatadas, etc.) contribuyen
para hacer el medio bucal muy ácido.
Según Levitch et al
“…una lesión erosiva se puede conocer ya sea en lingual o vestibular
del diente, superficial , en forma de U o en forma de disco y tendría
ángulos suaves y una superficie lisa….”
 Diferenciar de Abrasión
 “…Una lesión de abrasión se encuentra facialmente, en forma de cuña o
acanalado con ángulos agudos y, posiblemente, una superficie lisa o rayada”
 Diferenciar de Abfracción
 “…Una lesión asociada a la flexión de los dientes se encuentran facialmente y
estaría compuesto por cuñas o superpuestos en forma de cuña , con ángulos
agudos y una superficie áspera u ondulada”
Diferentes ideas en el tratamiento de NNCTSL
Bader et al
• Nada .
• Restauración.
• Restauración con
ajuste oclusal .
Owen y Gallien
• Se requiere un
tratamiento activo
para evitar una
mayor
concentración de
esfuerzos que
pueden conducir a la
exposición pulpar o
fractura del diente
Grippo
• A favor de la
restauración de
estas lesiones con
resina compuesta
(tendencia a la falla)
Levitch et al dio una lista de indicaciones para
la necesidad de un tratamiento activo .
Si está amenazada la integridad estructural del diente
Si la dentina expuesta es hipersensible
Si la estética es inaceptable
Si es probable que haya exposición pulpar.
Si la modificación de la forma del diente es necesaria
para permitir el diseño de una prótesis parcial
Plan de tratamiento
 Educación y motivación del paciente a abandonar el
hábito de consumir diariamente bebidas
carbonatadas y otros alimentos ácidos.
 Restauración de lesiones cariosas con RC
 Aplicación de flúor barniz y prescripción de pasta
dental 2.500ppm de flúor
 Evaluar presencia de erosiones en otras piezas
dentarias.
Protocolo para restauración de lesiones cervicales
no cariosas


 1.-
•La fase restauradora es sólo una parte del tratamiento
•Enfocarse en la etiología (modificar hábitos, derivar a especialista)
Paso 1
•Limpiar el biofilm de la superficie con una escobilla suave y utilizando piedra pómez fina y agua.
•Usar una fresa de carbide redonda a baja velocidad para eliminar depósitos duros y regularizar en caso que fuera necesario.
Paso 2
• Utilizar hilo separador intra-crevicular del grosor adecuado, luego de ello proceder a hacer la aislación absoluta o relativa.
Paso 3
• Si el material de elección es vidrio ionómero, seguir las indicaciones del fabricante.
Paso 4
• Si se va a obturar con resina compuesta, esta debe ser preferentemente nanoparticulada y ser insertado desde oclusal
hacia cervical. En algunos casos, puede hacerse en un solo incremento de ésta, dependiendo de la profundidad y
respetando el factor C.
Paso 5
• Comprobar la anatomía y eliminar los excesos con fresas diamantadas finas y a alta velocidad. Hacer el pulido inicial.
•Si la obturación es sólo con ionómero de vidrio utilizar el glaseador que viene en el set del producto o en su defecto cubrir
con una fina capa de vaselina.
Paso 6 •En la sesión siguiente se recomienda controlar parámetros de anatomía y estética y terminar el pulido en forma
convencional.
CONCLUSIONES
• El número y tamaño de las lesiones aumenta con la edad, las lesiones
son más comunes en las caras vestibulares de los dientes y la
formación de lesiones parece ser multifactorial, donde la forma de
ellas no parece ser predictor de la etiología.
• También se concluyó que la indicación de restauración de estas
lesiones está poco claro y que el ajuste oclusal para aumentar la
retención de las restauraciones colocadas para restaurar lesiones o
para detener la progresión de la lesión no tiene evidencia.
Referencias
 Barrancos J. Operatoria Dental: Integración Clínica. 4ta edición, Buenos
Aires, Editorial Médica Panamericana, 2007. Capítulo 48, pág: 1015 – 1030.
 Wood I. Non-carious cervical tooth surface loss: a literature review. J of
Dentistry, 2008; 36:759-766
 Fares J, Shirodaria S. A new Index of Tooth Wear: Caries Res, 2009. 43;119-
125
 D.W. Bartlett, P. Shah. A Critical Review of Non-carious Cervical (Wear)
Lesions and the Role of Abfraction, Erosion, and Abrasion. J Dent Res, 2006;
85(4):306-312
THE END

Seminario nº 8

  • 1.
    A N GÉ L I C A D Í A Z G U S T A V O M O N A S T E R I O V A L E N T I N A M O R A L E S D R . R O D R I G O A V E N D A Ñ O Seminario nº 8 LESIONES CERVICALES NO CARIOSAS
  • 2.
    Lesiones cervicales nocariosas Las lesiones cervicales son aquellas que se encuentran ubicadas en el tercio gingival o cervical de las caras bucales y linguales de todas las piezas dentarias. Una de sus principales caracteristicas es la sensibilidad, por la apertura de tubulos. Su tratamiento tiene como objetivo principal sellar la interface y minimizar la microfiltracion Etiología: pueden tener su origen en: caries, abrasión, erosión, abfracción.
  • 3.
    Atrición • El desgastede la sustancia dental como resultado del contacto de los dientes durante la actividad masticatoria normal o parafuncional. Abrasión • El desgaste patológico de la sustancia dental a través de procesos de fricción bio-mecánica, por ejemplo, cepillado de los dientes Erosión • La pérdida de sustancia dental por disolución de ácido de un origen ya sea intrínseco o extrínseco, por ejemplo, ácido gástrico o ácidos dietéticos. Abfracción • Pérdida de sustancia dental causada por las fuerzas que generan la flexión de los dientes durante la carga que conduce a la fatiga del esmalte y la dentina en una ubicación lejos del punto de carga. La palabra “abfracción '' se deriva del latín'' romper''.
  • 4.
    Etiología de laslesiones cervicales no cariosas  La etiología raramente es provocada por uno sólo de estos procesos, en la actualidad estos procesos se consideran de etiología multifactorial. Lesiones cervicales no cariosas Caries Abrasión Abfracción Erosión
  • 5.
    Caso clínico 2 Pacientede 40 años relata que consume coca cola todos los días, y de un tiempo hacia acá le han aparecido unas “manchas” en los dientes. No relata sensibilidad” ¿Cuál es la etiología de estas lesiones? ¿Ud. las trataría? Si es afirmativa su respuesta, indique con qué material las restauraría.
  • 7.
    Diagnóstico de lalesión Erosión dental La erosión dental ocurre cuando el esmalte se desgasta o se reduce por la acción de ácidos. Hay dos tipos de erosión dental:  1. Erosión intrínseca — Es causada por ácido gástrico o regurgitación consecuente de problemas médicos o psicológicos (por ejemplo, reflujo ácido, anorexia, bulimia).  2. Erosión extrínseca – Ocurre cuando los ácidos relacionados con la alimentación (por ejemplo, consumo de azúcar, refrescos dietéticos, jugos de fruta, bebidas carbonatadas, etc.) contribuyen para hacer el medio bucal muy ácido.
  • 8.
    Según Levitch etal “…una lesión erosiva se puede conocer ya sea en lingual o vestibular del diente, superficial , en forma de U o en forma de disco y tendría ángulos suaves y una superficie lisa….”  Diferenciar de Abrasión  “…Una lesión de abrasión se encuentra facialmente, en forma de cuña o acanalado con ángulos agudos y, posiblemente, una superficie lisa o rayada”  Diferenciar de Abfracción  “…Una lesión asociada a la flexión de los dientes se encuentran facialmente y estaría compuesto por cuñas o superpuestos en forma de cuña , con ángulos agudos y una superficie áspera u ondulada”
  • 9.
    Diferentes ideas enel tratamiento de NNCTSL Bader et al • Nada . • Restauración. • Restauración con ajuste oclusal . Owen y Gallien • Se requiere un tratamiento activo para evitar una mayor concentración de esfuerzos que pueden conducir a la exposición pulpar o fractura del diente Grippo • A favor de la restauración de estas lesiones con resina compuesta (tendencia a la falla)
  • 10.
    Levitch et aldio una lista de indicaciones para la necesidad de un tratamiento activo . Si está amenazada la integridad estructural del diente Si la dentina expuesta es hipersensible Si la estética es inaceptable Si es probable que haya exposición pulpar. Si la modificación de la forma del diente es necesaria para permitir el diseño de una prótesis parcial
  • 11.
    Plan de tratamiento Educación y motivación del paciente a abandonar el hábito de consumir diariamente bebidas carbonatadas y otros alimentos ácidos.  Restauración de lesiones cariosas con RC  Aplicación de flúor barniz y prescripción de pasta dental 2.500ppm de flúor  Evaluar presencia de erosiones en otras piezas dentarias.
  • 12.
    Protocolo para restauraciónde lesiones cervicales no cariosas    1.- •La fase restauradora es sólo una parte del tratamiento •Enfocarse en la etiología (modificar hábitos, derivar a especialista) Paso 1 •Limpiar el biofilm de la superficie con una escobilla suave y utilizando piedra pómez fina y agua. •Usar una fresa de carbide redonda a baja velocidad para eliminar depósitos duros y regularizar en caso que fuera necesario. Paso 2 • Utilizar hilo separador intra-crevicular del grosor adecuado, luego de ello proceder a hacer la aislación absoluta o relativa. Paso 3 • Si el material de elección es vidrio ionómero, seguir las indicaciones del fabricante. Paso 4 • Si se va a obturar con resina compuesta, esta debe ser preferentemente nanoparticulada y ser insertado desde oclusal hacia cervical. En algunos casos, puede hacerse en un solo incremento de ésta, dependiendo de la profundidad y respetando el factor C. Paso 5 • Comprobar la anatomía y eliminar los excesos con fresas diamantadas finas y a alta velocidad. Hacer el pulido inicial. •Si la obturación es sólo con ionómero de vidrio utilizar el glaseador que viene en el set del producto o en su defecto cubrir con una fina capa de vaselina. Paso 6 •En la sesión siguiente se recomienda controlar parámetros de anatomía y estética y terminar el pulido en forma convencional.
  • 13.
    CONCLUSIONES • El númeroy tamaño de las lesiones aumenta con la edad, las lesiones son más comunes en las caras vestibulares de los dientes y la formación de lesiones parece ser multifactorial, donde la forma de ellas no parece ser predictor de la etiología. • También se concluyó que la indicación de restauración de estas lesiones está poco claro y que el ajuste oclusal para aumentar la retención de las restauraciones colocadas para restaurar lesiones o para detener la progresión de la lesión no tiene evidencia.
  • 14.
    Referencias  Barrancos J.Operatoria Dental: Integración Clínica. 4ta edición, Buenos Aires, Editorial Médica Panamericana, 2007. Capítulo 48, pág: 1015 – 1030.  Wood I. Non-carious cervical tooth surface loss: a literature review. J of Dentistry, 2008; 36:759-766  Fares J, Shirodaria S. A new Index of Tooth Wear: Caries Res, 2009. 43;119- 125  D.W. Bartlett, P. Shah. A Critical Review of Non-carious Cervical (Wear) Lesions and the Role of Abfraction, Erosion, and Abrasion. J Dent Res, 2006; 85(4):306-312 THE END