RADIOLOGIA TORACICA Seminario C.P. II Dr. J.D. Aquerreta Servicio de Radiología  Clínica Universitaria Facultad de Medicina  Universidad de Navarra
PARTE I  PATOLOGÍA  CARDIOVASCULAR
SISTEMATICA  DE  LECTURA Tamaño Posición  Contorno Densidad  Vascularización pulmonar Otras alteraciones torácicas
GENERALIDADES Corazón depende: Edad Sexo  Hábito corporal Actividad física Inspiración Alteraciones torácicas
Silueta cardíaca normal. Vista  A - P 1. Aurícula derecha 2. Aurícula izquierda 3. Ventrículo derecho 4. Ventrículo izquierdo 3 4 1 2 Vista axial: Disposición romboidea de las cavidades Índice cardio-torácico < 0,5 1/3 a la derecha y 2/3 a la izquierda de la línea media. 1 curva a la derecha y 2 curvas en la izquierda 3 4 1 2
TAMAÑO CARDIACO Indice cardio-torácico Relación entre diámetro  máximo de la silueta cardíaca y diámetro del tórax en su base. Valoración subjetiva d. S. d. T =  0,5
Valoración del tamaño cardíaco 1 2 1. Diámetro transverso máximo del corazón 2. Diámetro transverso máximo de la caja torácica en la base Indice cardio – torácico normal < 0,5  1  2
 
 
TAMAÑO  CARDIACO I I II I II III I II III IV
POSICION  DEL  CORAZON NORMAL 1/3 derecha 2/3 izquierda Anomalía congénita con posición alterada
CONTORNO  CARDIACO   •  Borde izquierdo con 2 curvas. •  Borde derecho con 1 curva. •  Indice C - T. < 0,5 Vista  A - P
Normal
Silueta cardíaca normal. Vista  Lateral Contacto con esternón  < 1/3. Ocupación del diámetro A-P < 1/2.
Normal
OAI
OAD
Influencia de la Inspiración Inspiración Espiración
Grandes vasos arteriales
Vascularización arterial pulmonar
Venas pulmonares
Crecimiento de aurícula derecha.  Vista  A - P 1.  Aumento del índice C - T a expensas del borde derecho. 1
Crecimiento de aurícula derecha.  Vista  Lateral 1.  Aumento de la sombra cardíaca anterior y posterior 1
1. Aumento de la sombra cardíaca a expensas del borde izquierdo. 2. Elevación de la punta cardíaca. 3. Ht. pulmonar con prominencia del cono de la art. pulmonar. Crecimiento de ventrículo derecho.  Vista  A - P 3 1 2
1. Aumento de la sombra retro-esternal. Crecimiento de ventrículo derecho.  Vista  Lateral 1
Crecimiento de aurícula izquierda.  Vista  A - P 1.  Doble arco auricular derecho. 2. Prominencia de la orejuela. 3. Aumento del ángulo carinal. 4. Desplazamiento Ao. lateralmente 3 1 2 4
Cardiomegalia e insuficiencia cardíaca
Aumento auricular izquierdo por valvulopatía mitral intervenida
1. Aumento del tamaño de la silueta. 2. Desplazamiento esofágico látero-posterior. Crecimiento de aurícula izquierda.  Vista  Lateral 1 2
1. Aumento del índice Cardio - Torácico. Borde izquierdo. 2. Descenso de la punta cardíaca. Crecimiento de ventrículo Izquierdo.  Vista  A - P 1 2
Crecimiento de ventrículo izquierdo.  Vista  Lateral 1. Crecimiento cardíaco póstero - inferior. 2. Aumento de la distancia entre la vena Cava Inf. y el borde posterior del V. I. > 1,5 cm 1 2
Crecimiento V.I.
Miocardiopatía dilatada
AORTA  TORACICA Prominencias Anomalías de la posición Dilataciones Estenosis Calcificaciones
Elongación aórtica. Vista  A - P 1. Prominencia en el borde derecho 2. Prominencia del cayado aórtico 3. Incurvación de la aorta descendente 3 1 2
Elongación aórtica. Vista  Lateral 1.  Prominencia anterior con remarcamiento del borde. 2. Superposición con la columna. 1 2
Aneurismas aórticos. Vista  A - P 1. Aneurisma de aorta ascendente 2 y 3. Aneurismas de aorta descendente 3 1 2
Aneurismas aórticos. Vista  Lateral 1.  Aneurisma de aorta ascendente. 2. Aneurisma de aorta descendente. 1 2
Aneurisma de la región del cayado
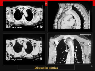
DISECCION AORTA  TORACICA Derrame pleural Derrame pericárdico Consolidación parénquima Cambios evolutivos  Tórax normal Otros signos de disección
Disección aórtica en paciente con Marfan.  Evolución de una semana
ANEURISMA  AORTICO Técnicas  de  diagnóstico Ultrasonidos (Transesofágico) TC  (Angio-TC) RM (Angio-RM) Angiografía (Terapéutica)
Disección aórtica
Aortografía: Aneurismas saculares
Colocación de prótesis recubierta por vía percutánea en un aneurisma aórtico
Derrame pericárdico. Vista  A - P Aumento del índice Cardio - Torácico. Pérdida de las curvas en el contorno Vascularización pulmonar  conservada o disminuida
Derrame pericárdico
PERICARDIO  FIBROSADO Constricción Contorno normal o leve rectificación Vascularización pulmonar disminuida Dilatación de venas sistémicas Presencia de calcificaciones
TUMORES DEL PERICARDIO Quistes Tumores Acúmulos grasos Alteración del contorno
Almohadilla grasa que simula tumor
Edema pulmonar en “Alas de mariposa” Edema alveolar de distribución simétrica hiliofugaz.
Congestión vascular por insuficiencia cardíaca
Miocardiopatía dilatada con insuficiencia
Calcificaciones sobre la silueta cardíaca 1. Calcificación endocárdica auricular 2. Calcificación valvular 3. Calcificación miocárdica ventricular 4. Calcificación pericárdica 3 1 2 4
Suturas de esternotomía Prótesis valvulares Calcificación endocárdica aurícula izquierda 1 2 3
Calcificación miocárdica: Post-infarto
Calcificaciones pericárdicas
Patrones de vascularización pulmonar Normal Aumento de la vascularización Disminución de la vascularización Vascularización asimétrica Vascularización vicariante
Patrón de vascularización pulmonar normal Distribución vascular simétrica Más abundante y de mayor calibre en bases Hilio izquierdo algo más alto que el derecho.
Vascularización normal
Patrón de vascularización pulmonar aumentada Distribución vascular simétrica Mayor calibre del normal respecto a los bronquios
Congestión con dilatación vascular
Patrón de vascularización pulmonar en la Ht. arterial Engrosamiento de vasos centrales Disminución de vasos periféricos Imagen en “arbol podado”
Patrón de vascularización pulmonar en la Ht. veno-capilar Redistribución vascular hacia ápices con vasos de mayor calibre que duplican al de los bronquios Imagen en “astas de ciervo” Frecuente presencia de líneas B de Kerley
Patrón de vascularización pulmonar en la hipo-vascularización Disminución generalizada del calibre y número de los vasos
Hipovascularización pulmonar asimétrica
Hipovascularización pulmonar
Patrón de vascularización pulmonar asimétrico Distribución vascular asimétrica Sin asimetrías en el parénquima
Vascularización asimétrica
Hipoplasia de la arteria pulmonar
Hipoplasia de la arteria pulmonar
Patrón de vascularización pulmonar vicariante Vascularización pulmonar pobre Distribución vascular simétrica o asimétrica Presencia de vasos cortos e irregulares de origen bronquial.
Vascularización vicariante
ESTUDIO DE LOS VASOS CORONARIOS Y FUNCION MIOCARDICA Coronariografía y Ventriculografía Ecocardiografía TC y RM Prueba de esfuerzo Ejercicio Farmacológico ECG Ecocardiografía Gammagrafía (Talio)
Ventriculografía Sístole Diástole
Coronariografía Descendente anterior Circunfleja
Imagen cardíaca: Reconstrucción 3D en TC
Cardiopatías Congénitas Tamaño cardíaco Siluetas típicas Cambios en la forma y  la posición Patrones de vascularización
Cardiopatías Congénitas Tamaño cardíaco Índice cardio-torácico < 0,7 Variable con la respiración y llanto Experiencia
Tórax infantil normal
Cardiopatías Congénitas Siluetas típicas “ Muñeco de nieve” : Drenaje venoso anómalo “ Huevo” : Trasposición de grandes arterias “ Zueco” : Tetralogía de Fallot
T. G. A.
Cardiopatías Congénitas Anomalías  de  posición   Situs inversus Dextrocardia Arco a la derecha
Dextrocardia
Cardiopatías congénitas Patrones de vascularización  Normal Aumentada Disminuida
CC: Vascularización pulmonar  Normal Valvulopatías aórtica o mitral Alteraciones de ventrículo izquierdo Alteraciones aórticas
AORTA TORACICA Alt. de la posición Arco Ao. a la derecha
Coartación  Aórtica Doble cayado Dilatación pre y post estenosis Muescas costales
 
CC: Vascularización pulmonar  Aumentada Sin cianosis Shunts izquierda – derecha Fístulas arteriovenosas Con cianosis Grandes comunicaciones con Ht. Pulmonar e inversión del flujo
C. I. A.
CC: Vascularización pulmonar  Disminuida Alteracíones valvulares tricúspide o pulmonar Alteración ventricular derecha Alteraciones de la arteria pulmonar
Anomalía de Ebstein
Tetralogía de Fallot
Caso problema: Niño de 8 años. Tos.
Datos semiológicos Alteración en la forma cardíaca Desplazamiento mediastínico Asimetría en la vascularización Diferencia de tamaño pulmonar
Diagnóstico diferencial Hipoplasia pulmonar derecha Enfisema unilateral Atelectasia parcial u obstrucción Defecto proyeccional: Oblicuidad Cardiopatía congénita
Diagnóstico: Defecto proyeccional Placa repetida 5’ más tarde

Semtorax