SíndromesSíndromes
ParenquimatososParenquimatosos
Sd. De Condensación: el
mecanismo involucrado
suele ser la inflamación
que afecta a los alveolos,
con migración de
leucocitos polimorfo
nucleares u otros
elementos de la sangre
junto con el exudado y
microorganismos al
espacio alveolar.
Sd. De condensación:
 Neumonía (principal causa)
 Hemorragias alveolares
 Edema pulmonar
 Neumonitis no infecciosas
 Quistes, abscesos
 Carcinomas
 Disneas de tipo ventilatorio restrictivo
(taquipnea e hipopnea) tiraje,
sudoración.
 Fiebre, dolor torácico y tos con
expectoración.
 Fascie neumónica
 Omalgia
 Sd. De Pourfour du Petit.
 Sd. De Claude Bernard Horner
Examen físico
 Palpación: reducción de la expansión
pulmonar y de las vibraciones vocales
sobre el área comprometida.
 Percusión: matidez o submatidez del
área afectada.
 Auscultación: desaparición del murmullo
vesicular, voz broncofonía,
pectoriloquia, pectoriloquia afona,
egofonía y estertores crepitantes.
 Imagen radiopaca homogénea (debido al
compromiso de los alvéolos).
 Broncograma aéreo (signo patognomónico), que
es la interfase entre la sustancia extraña dentro del
alvéolo (radiopaca) y el aire acumulado en los
bronquios (radiolúcida).
 Límites bien definidos, los cuales terminan
bruscamente en una cisura o en la pared costal.
 Las sombras vasculares se encuentran oscurecidas
o borradas.
 El diafragma no se eleva en ninguno de los dos
campos pulmonares.
Imagen radiográfica de los bronquios: En el pulmón
normal los bronquios llenos de aire no contrastan con
los alvéolos también llenos de aire. Si los alvéolos
están ocupados por líquido o sólido, el aire de los
bronquios se contrasta y se produce la imagen
llamada de BRONCOGRAMA AÉREO.
Radiografía de tórax PA: muestra condensación en lóbulo del pulmón
derecho, de limites definidos; y bronco grama aéreo.
Se define como el colapso de un pulmón,
lóbulo ,segmento o los alveolos debido
por un trastorno en la ventilación o por
perdida del contenido aéreo .
los mecanismos involucrados son varios,
entre ellos:
 Obstrucción: de un bronquio mediano o
grande con la consecuente reabsorción
del aire pulmonar.
 Relajación: producida por la presencia
de aire o liquido en el espacio pleural.
 Cicatrizal o compresión extrínseca.
Etiopatogenia
 Obstructivas: tumores bronquiales,
cuerpos extraños, secreciones espesas o
coágulos.
 Relajación: neumotórax o derrame
pleural.
 Cicatrizal: fibrosis, infartos, displasias .
 Compresión extrínseca: elevación
diafragmática en pacientes con
distención abdominal.
Atelectasia
 Inspección: Retracción del lado
afectado, tiraje intercostal en inspiración
reducción de la ventilación en el área
comprometida
 Palpación: disminución de la expansión,
menor excursión y reducción o abolición
de las vibraciones vocales.
 Percusión: Matidez con columna sonora.
 Auscultación: Ausencia o reducción del
murmullo vesicular.
Signos directos
 Desplazamiento cisural, cuando la atelectasia
es lobar, las cisuras se retraen hacia el lugar
afectado.
 Pérdida de la aireación, que se observa como
una imagen radiopaca en el lugar afectado.
 Signos broncovasculares, debido a la
retracción pulmonar hay apelotonamiento de
vasos al nivel de la lesión.
Signos indirectos
 Diafragma, elevado en el lado de la lesión.
 Tráquea, Hilio y Mediastino desviados hacia
el lado de la lesión.
 Espacio intercostal, disminuido debido a
que la trayectoria de las costillas, sobre
todo en el extremo anterior, se hace más
oblicua.
 Enfisema compensador, debido a que el
área adyacente o el pulmón contrario sufre
hiperinsuflación
R(X)PA DE
TORAX
Intersticio
pulmonar
Los espacios
alveolares
Vías aéreas
más pequeñas
Clasificación de la enfermedad pulmonar intersticial
Asociada con enfermedades reumatológicas y
vasculitis
•Esclerosis sistémica
•Artritis reumatoide
•Lupus eritematoso sistémico
Causada por agentes ambientales,
ocupacionales o fármacos
•Alveolitis alérgica extrínseca
•Silicosis
•Asbestosis
•Siderosis
•Fármacos y quimioterapia
•Radiación
Enfermedades granulomatosas
•Sarcoidosis
•Alveolitis alérgica extrínseca
Neumonía intersticial idiopática
•Fibrosis pulmonar idiopática
•Neumonía intersticial aguda
Otras enfermedades pulmonares difusas
•Proteinosis alveolar
•Eosinofilias pulmonares
•Linfangioleiomiomatosis
•Granuloma de cels. de Langerhans
 Disnea de esfuerzo
progresiva:
-sin ortopnea
-Sin disnea
paroxística
-Si es grave, en
reposo
 Tos seca
 5-10% son
asintomáticos
Edad, sexo y hábito
tabáquico
 20-40 años
-Sarcoidosis,
-Granulomatosis de
células de Langerhans
(GCL),
- Bronquiolitis respiratoria
asociada con
enfermedad pulmonar
intersticial
-Linfangioleiomiomatosis
(LAM).
 Más de 55 años
-Fibrosis Pulmonar
Idiopática (FPI)
 Mujeres en edad
fértil
-LAM
 Fumadores
-GCL
- Neumonía intersticial
descamativa,
-Bronquiolitis
respiratoria
-Proteinosis alveolar
Antecedentes familiares
Proporciona información
muy útil:
 Un 5% de los pacientes con
FPI tienen algún otro
miembro de la familia
afecto (FPI familiar).
 La microlitiasis alveolar, la
fibrosis quística, la esclerosis
tuberosa son otros ejemplos
de infiltración pulmonar
difusa con historia
hereditaria.
Historia ocupacional y laboral
 una exposición ambiental a determinados
agentes etiológicos es imprescindible y en
algunos casos proporciona el diagnóstico:
- inhalación de polvos
inorgánicos (neumoconiosis)
- Orgánicos (alveolitis alérgicas extrínsecas).
o Utilización de fármacos
(amiodarona, nitrofurantoína,
citostáticos) o de tratamientos
que sean potencialmente
tóxicos para el pulmón
(radioterapia).
Enfermedad Fuente Antígeno
Pulmón del granjero Heno enmohecido Termoactinomices vulgaris,
Aspergillus
Pulmón del cuidador de aves Palomas, periquitos, etc. Proteínas de excrementos y
séricas
A. por acondicionador de aire Acondicionadores de aire
Humidificadores
Actinomicetos termofílicos,
bacterias y protozoos
Pulmón del cultivador de setas Setas de cultivo T. Vulgaris, Faeni rectivirgula
A. por soja Soja Proteínas de la soja
A. por cándida Heno húmedo y materiales
contaminados otros
Cándida albicans
P. del humidificador doméstico Agua contaminada Múltiples bacterias, hongos y
protozoos
Enfermedad de los graneros Trigo, y otros cereales
contaminados
Sitophilus granarius
E. de los trabajadores de pulpa
de madera
Pulpa enmohecida Alternaria
P. de los lavadores de queso Moho de queso Penicilium casei, Acarus siro
P. de los trabajadores de harina
de pescado
Fábrica de harina de pescado Harina de pescado
P. de los limpiadores embutidos Embutidos enmohecidos Penicilium, Aspergillus
Síntomas respiratorios
 antecedentes de ASMA BRONQUIAL
debemos pensar en la eosinofilia pulmonar
y en la aspergilosis broncopulmonar
alérgica.
 La presencia de DISNEA SIBILANTE también
se puede encontrar en las EPID con
afectación de la vía aérea, como es el
caso en la granulomatosis de células de
Langerhans, la sarcoidosis y la
linfangioleiomiomatosis.
 LA HEMOPTISIS es un síntoma característico
de los síndromes de hemorragia alveolar
difusa y nos obliga al diagnóstico
diferencial con una insuficiencia cardiaca,
el cáncer y la tuberculosis.
 La presencia de una PLEURITIS O UN
DERRAME PLEURAL puede ocurrir en las
enfermedades del colágeno y en
exposiciones a drogas o asbesto, pero casi
nunca se ve en la FPI.
Síntomas extra pulmonares
 Antecedentes de ASPIRACIÓN O
DISFAGIA, ARTRITIS, SINUSITIS,
AFECTACIÓN DÉRMICA U OCULAR
pueden aportar datos importantes y
dirigir los tests de laboratorio apropiados.
Por ejemplo, un título elevado de factor
reumatoide, anticuerpos anticitoplasma
del neutrófilo (C-ANCA), anticuerpos
anti-Jo-I o anticuerpos antimembrana
basal glomerular
 Inspección, palpación,
percusión de tórax no
suelen agregar datos.
 Auscultación pulmonar:
-estertores crepitantes de
tipo velcro.
-De timbre seco.
-De fase inspiratoria
(especialmente al final)
 Patrón de vidrio esmerilado: nubosidad
homogénea
 Patrón nodular: nódulos de manos de 1 cm
de diámetro dispersos por todo el campo
pulmonar
 Patrón reticular: redes radiopacas lineales
 Patrón reticulonodular: redes y nódulos
 Patrón en panal de abeja: quistes mayores
de 5 mm de diámetro rodeados de
paredes gruesas
Radiografía
posteroanterior de
tórax en la que se
observa un patrón
intersticial reticular
bilateral que
predomina claramente
en las bases y en la
periferia pulmonar; se
asocia a una pérdida
de volumen de los
lóbulos inferiores
Radiografía de tórax: muestra patrón
reticulonodular en ambos campos
pulmonares y una ampliación en imagen
de la derecha.
Radiografía de tórax: muestra Estado avanzado de infiltración. (Patrón en
panal de abeja)
Radiografía PA de tórax: patrón en vidrio esmerilado, típico de Fibrosis
Pulmonar idiopática(FPI).
 Se realiza con
fibbrobroncoscopia, lavado
bronquial y biopsia pulmonar
Hace referencia a la
presencia de un cavidad de
cierto volumen, superficial,
con contenido aéreo,
paredes lisas y en
comunicación con un
bronquio
 Tuberculosis
 Neumonías
 Abscesos
 Neoplasias
 Micosis
Depende de la causa pero en general se
presenta con:
 Tos
 Expectoración
 Fiebre
 Astenia
 Perdida de peso
Inspección
 Tórax adelgazado
 Movilidad torácica disminuida
Palpación
 Aumento de las vibraciones vocales
Percusión
 Aumento de la sonoridad torácica
Auscultación
 Murmullo vesicular disminuido
 Estertores crepitante
 Pectoriloquia
 Radiografía de tórax
 Tomografía
 Cultivo bacteriológico
 Localización, en cualquier parte del
pulmón pero es mas frecuente en la
periferia
 Ausencia de vasos sanguíneos
 Según su contenido:
llena
semillena
vacía
 Según sus paredes:
bordes finos
bordes gruesos
 Según su forma:
redondas
ovales
en hoja de trébol
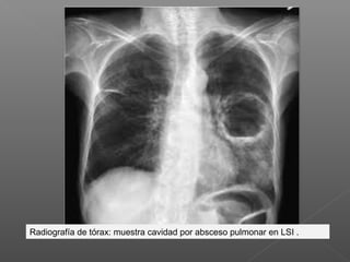
Radiografía de tórax: muestra cavidad por absceso pulmonar en LSI .
Radiografía de tórax: muestra cavidad pulmonar en LSD.
Integrantes
 Botta Leonardo
 Burgos Espeche Daiana
 Gallego Ana Elena
 Sánchez Molina Sofía

Síndromes parenquimatosos pulmonares

  • 1.
  • 4.
    Sd. De Condensación:el mecanismo involucrado suele ser la inflamación que afecta a los alveolos, con migración de leucocitos polimorfo nucleares u otros elementos de la sangre junto con el exudado y microorganismos al espacio alveolar.
  • 5.
    Sd. De condensación: Neumonía (principal causa)  Hemorragias alveolares  Edema pulmonar  Neumonitis no infecciosas  Quistes, abscesos  Carcinomas
  • 6.
     Disneas detipo ventilatorio restrictivo (taquipnea e hipopnea) tiraje, sudoración.  Fiebre, dolor torácico y tos con expectoración.  Fascie neumónica  Omalgia  Sd. De Pourfour du Petit.  Sd. De Claude Bernard Horner
  • 7.
    Examen físico  Palpación:reducción de la expansión pulmonar y de las vibraciones vocales sobre el área comprometida.  Percusión: matidez o submatidez del área afectada.  Auscultación: desaparición del murmullo vesicular, voz broncofonía, pectoriloquia, pectoriloquia afona, egofonía y estertores crepitantes.
  • 8.
     Imagen radiopacahomogénea (debido al compromiso de los alvéolos).  Broncograma aéreo (signo patognomónico), que es la interfase entre la sustancia extraña dentro del alvéolo (radiopaca) y el aire acumulado en los bronquios (radiolúcida).  Límites bien definidos, los cuales terminan bruscamente en una cisura o en la pared costal.  Las sombras vasculares se encuentran oscurecidas o borradas.  El diafragma no se eleva en ninguno de los dos campos pulmonares.
  • 9.
    Imagen radiográfica delos bronquios: En el pulmón normal los bronquios llenos de aire no contrastan con los alvéolos también llenos de aire. Si los alvéolos están ocupados por líquido o sólido, el aire de los bronquios se contrasta y se produce la imagen llamada de BRONCOGRAMA AÉREO.
  • 11.
    Radiografía de tóraxPA: muestra condensación en lóbulo del pulmón derecho, de limites definidos; y bronco grama aéreo.
  • 12.
    Se define comoel colapso de un pulmón, lóbulo ,segmento o los alveolos debido por un trastorno en la ventilación o por perdida del contenido aéreo .
  • 13.
    los mecanismos involucradosson varios, entre ellos:  Obstrucción: de un bronquio mediano o grande con la consecuente reabsorción del aire pulmonar.  Relajación: producida por la presencia de aire o liquido en el espacio pleural.  Cicatrizal o compresión extrínseca.
  • 14.
    Etiopatogenia  Obstructivas: tumoresbronquiales, cuerpos extraños, secreciones espesas o coágulos.  Relajación: neumotórax o derrame pleural.  Cicatrizal: fibrosis, infartos, displasias .  Compresión extrínseca: elevación diafragmática en pacientes con distención abdominal.
  • 15.
    Atelectasia  Inspección: Retraccióndel lado afectado, tiraje intercostal en inspiración reducción de la ventilación en el área comprometida  Palpación: disminución de la expansión, menor excursión y reducción o abolición de las vibraciones vocales.  Percusión: Matidez con columna sonora.  Auscultación: Ausencia o reducción del murmullo vesicular.
  • 16.
    Signos directos  Desplazamientocisural, cuando la atelectasia es lobar, las cisuras se retraen hacia el lugar afectado.  Pérdida de la aireación, que se observa como una imagen radiopaca en el lugar afectado.  Signos broncovasculares, debido a la retracción pulmonar hay apelotonamiento de vasos al nivel de la lesión.
  • 17.
    Signos indirectos  Diafragma,elevado en el lado de la lesión.  Tráquea, Hilio y Mediastino desviados hacia el lado de la lesión.  Espacio intercostal, disminuido debido a que la trayectoria de las costillas, sobre todo en el extremo anterior, se hace más oblicua.  Enfisema compensador, debido a que el área adyacente o el pulmón contrario sufre hiperinsuflación
  • 18.
  • 23.
  • 24.
    Clasificación de laenfermedad pulmonar intersticial Asociada con enfermedades reumatológicas y vasculitis •Esclerosis sistémica •Artritis reumatoide •Lupus eritematoso sistémico Causada por agentes ambientales, ocupacionales o fármacos •Alveolitis alérgica extrínseca •Silicosis •Asbestosis •Siderosis •Fármacos y quimioterapia •Radiación
  • 25.
    Enfermedades granulomatosas •Sarcoidosis •Alveolitis alérgicaextrínseca Neumonía intersticial idiopática •Fibrosis pulmonar idiopática •Neumonía intersticial aguda Otras enfermedades pulmonares difusas •Proteinosis alveolar •Eosinofilias pulmonares •Linfangioleiomiomatosis •Granuloma de cels. de Langerhans
  • 26.
     Disnea deesfuerzo progresiva: -sin ortopnea -Sin disnea paroxística -Si es grave, en reposo  Tos seca  5-10% son asintomáticos
  • 27.
    Edad, sexo yhábito tabáquico  20-40 años -Sarcoidosis, -Granulomatosis de células de Langerhans (GCL), - Bronquiolitis respiratoria asociada con enfermedad pulmonar intersticial -Linfangioleiomiomatosis (LAM).  Más de 55 años -Fibrosis Pulmonar Idiopática (FPI)  Mujeres en edad fértil -LAM  Fumadores -GCL - Neumonía intersticial descamativa, -Bronquiolitis respiratoria -Proteinosis alveolar
  • 28.
    Antecedentes familiares Proporciona información muyútil:  Un 5% de los pacientes con FPI tienen algún otro miembro de la familia afecto (FPI familiar).  La microlitiasis alveolar, la fibrosis quística, la esclerosis tuberosa son otros ejemplos de infiltración pulmonar difusa con historia hereditaria.
  • 29.
    Historia ocupacional ylaboral  una exposición ambiental a determinados agentes etiológicos es imprescindible y en algunos casos proporciona el diagnóstico: - inhalación de polvos inorgánicos (neumoconiosis) - Orgánicos (alveolitis alérgicas extrínsecas). o Utilización de fármacos (amiodarona, nitrofurantoína, citostáticos) o de tratamientos que sean potencialmente tóxicos para el pulmón (radioterapia).
  • 30.
    Enfermedad Fuente Antígeno Pulmóndel granjero Heno enmohecido Termoactinomices vulgaris, Aspergillus Pulmón del cuidador de aves Palomas, periquitos, etc. Proteínas de excrementos y séricas A. por acondicionador de aire Acondicionadores de aire Humidificadores Actinomicetos termofílicos, bacterias y protozoos Pulmón del cultivador de setas Setas de cultivo T. Vulgaris, Faeni rectivirgula A. por soja Soja Proteínas de la soja A. por cándida Heno húmedo y materiales contaminados otros Cándida albicans P. del humidificador doméstico Agua contaminada Múltiples bacterias, hongos y protozoos Enfermedad de los graneros Trigo, y otros cereales contaminados Sitophilus granarius E. de los trabajadores de pulpa de madera Pulpa enmohecida Alternaria P. de los lavadores de queso Moho de queso Penicilium casei, Acarus siro P. de los trabajadores de harina de pescado Fábrica de harina de pescado Harina de pescado P. de los limpiadores embutidos Embutidos enmohecidos Penicilium, Aspergillus
  • 31.
    Síntomas respiratorios  antecedentesde ASMA BRONQUIAL debemos pensar en la eosinofilia pulmonar y en la aspergilosis broncopulmonar alérgica.  La presencia de DISNEA SIBILANTE también se puede encontrar en las EPID con afectación de la vía aérea, como es el caso en la granulomatosis de células de Langerhans, la sarcoidosis y la linfangioleiomiomatosis.
  • 32.
     LA HEMOPTISISes un síntoma característico de los síndromes de hemorragia alveolar difusa y nos obliga al diagnóstico diferencial con una insuficiencia cardiaca, el cáncer y la tuberculosis.  La presencia de una PLEURITIS O UN DERRAME PLEURAL puede ocurrir en las enfermedades del colágeno y en exposiciones a drogas o asbesto, pero casi nunca se ve en la FPI.
  • 33.
    Síntomas extra pulmonares Antecedentes de ASPIRACIÓN O DISFAGIA, ARTRITIS, SINUSITIS, AFECTACIÓN DÉRMICA U OCULAR pueden aportar datos importantes y dirigir los tests de laboratorio apropiados. Por ejemplo, un título elevado de factor reumatoide, anticuerpos anticitoplasma del neutrófilo (C-ANCA), anticuerpos anti-Jo-I o anticuerpos antimembrana basal glomerular
  • 34.
     Inspección, palpación, percusiónde tórax no suelen agregar datos.  Auscultación pulmonar: -estertores crepitantes de tipo velcro. -De timbre seco. -De fase inspiratoria (especialmente al final)
  • 35.
     Patrón devidrio esmerilado: nubosidad homogénea  Patrón nodular: nódulos de manos de 1 cm de diámetro dispersos por todo el campo pulmonar  Patrón reticular: redes radiopacas lineales  Patrón reticulonodular: redes y nódulos  Patrón en panal de abeja: quistes mayores de 5 mm de diámetro rodeados de paredes gruesas
  • 36.
    Radiografía posteroanterior de tórax enla que se observa un patrón intersticial reticular bilateral que predomina claramente en las bases y en la periferia pulmonar; se asocia a una pérdida de volumen de los lóbulos inferiores
  • 37.
    Radiografía de tórax:muestra patrón reticulonodular en ambos campos pulmonares y una ampliación en imagen de la derecha.
  • 38.
    Radiografía de tórax:muestra Estado avanzado de infiltración. (Patrón en panal de abeja)
  • 39.
    Radiografía PA detórax: patrón en vidrio esmerilado, típico de Fibrosis Pulmonar idiopática(FPI).
  • 40.
     Se realizacon fibbrobroncoscopia, lavado bronquial y biopsia pulmonar
  • 42.
    Hace referencia ala presencia de un cavidad de cierto volumen, superficial, con contenido aéreo, paredes lisas y en comunicación con un bronquio
  • 43.
     Tuberculosis  Neumonías Abscesos  Neoplasias  Micosis
  • 44.
    Depende de lacausa pero en general se presenta con:  Tos  Expectoración  Fiebre  Astenia  Perdida de peso
  • 45.
    Inspección  Tórax adelgazado Movilidad torácica disminuida Palpación  Aumento de las vibraciones vocales
  • 46.
    Percusión  Aumento dela sonoridad torácica Auscultación  Murmullo vesicular disminuido  Estertores crepitante  Pectoriloquia
  • 47.
     Radiografía detórax  Tomografía  Cultivo bacteriológico
  • 48.
     Localización, encualquier parte del pulmón pero es mas frecuente en la periferia  Ausencia de vasos sanguíneos  Según su contenido: llena semillena vacía
  • 49.
     Según susparedes: bordes finos bordes gruesos  Según su forma: redondas ovales en hoja de trébol
  • 50.
    Radiografía de tórax:muestra cavidad por absceso pulmonar en LSI .
  • 51.
    Radiografía de tórax:muestra cavidad pulmonar en LSD.
  • 52.
    Integrantes  Botta Leonardo Burgos Espeche Daiana  Gallego Ana Elena  Sánchez Molina Sofía