RADIOLOGIA TORACICA Seminario C.P. II
PARTE I I PATOLOGÍA  PULMONAR
ANATOMIA  PULMONAR
LOBULOS Superior D: 3  ( Apical ,  anterior  y  posterior ) Medio: 2  ( Medial  y  lateral ) Superior I: 3  ( Apico-posterior ,  anterior  y  líng ula ) Inferiores: 5  ( apical  y 4 segmentos basales:  medial ,  anterior ,  lateral ,  posterior ).
ANATOMIA SUB-SEGMENTARIA Bronquio segmentario ->  B. subsegmentario ->  Bronquiolo ->  Bronquiolo terminal -> Bronquiolos respiratorios ->  Alveolos
VIA  AEREA  INTRA-PULMONAR
ANATOMIA
LOBULO SECUNDARIO COMPONENTES Estructuras centrales Vía aérea terminal Arteriola Lecho capilar Retículo capilar bronquial Estructuras septales Venas pulmonares Linfáticos
LOB. PULMONAR 2º
LOB. PULMONAR 2º
 
AFECTACION del PARENQUIMA Ocupación del espacio alveolar Alteración intersticial Nódulo o masa Atelectasia
ENFERMEDAD PULMONAR Patrones de afectación Alveolar Bronquiolo- alveolar  Intersticial Lobar Lobular Intersticial
AFECTACION ALVEOLAR  SIGNOS  CLASICOS Broncograma / alveolograma aéreo  Nódulos acinares  Bordes mal definidos  Tendencia a la confluencia  Distribución lobar o segmentaria Alas de mariposa  Aparición precoz tras síntomas
Consolidación del lóbulo medio
ESPACIO INTERSTICIAL Axial -  Peribroncovascular Central -  Parenquimatoso Periférico  -  Septos interlobulares y  sub-pleural
Enfermedad  del  Espacio  Intersticial Acúmulo o infiltración de uno o varios compartimentos del intersticio por: Líquido Células Inflamatorias Células neoplásicas Material proteináceo
Enfermedad  del  Espacio  Intersticial Daño intersticial difuso agudo Engrosamiento de septos (Células o líquido) Relleno alveolar Fibrosis Formación de espacios quísticos Pulmón en estadio final
Espacio  Intersticial: Signos RX Patron miliar o micronodulillar Patrón lineal Septal: Linfangítico, Líneas de Kerley No septal: Densidades irregulares pequeñas “ Panal de miel” Patrón retículo – nodular Aparición tardía tras síntomas Coalescencia tardía
Espacio  Intersticial: Signos TC Engrosamiento irregular de pleura Sombras vasculares irregulares Paredes bronquiales gruesas e irregulares Lineas reticulares Opacidades en “parches” Nódulos de tamaño diverso
PATRON INTERSTICIAL: Patrones SEPTAL Lineas de Kerley A, B, C. Lineas peribroncovasculares NO SEPTAL Densidades pequeñas e irregulares Pulmón “sucio”. “ PANAL DE MIEL” Retícula con quistes y pérdida de volumen
PATRON INTERSTICIAL: Patrones NODULAR MILIAR Nódulos  pequeños de tamaño parecido (discretos) NODULAR HETEROGENEO Nódulos de diferentes tamaños y formas RETICULO - NODULAR Afectación mixta con líneas, sombras y nódulos
Afectación intersticial difusa
PATOLOGÍA INFECCIOSA Lobar Lobular Intersticial Multifocal Neumococo Stafilococo, Gram (-) Virus, Micoplasma Hongos
Infección pulmonar bacteriana: Evolución Inflamación de la pared bronquiolo-alveolar Extensión por poros y canales Ocupación alveolar Distribución parcheada confluente a. Resolución b. Necrosis Cavitación c. Derrame pleural Empiema Según tratamiento 1.  2.  3.
Foco de aumento de densidad en base derecha
Broncograma aéreo
Condensación basal cavitada (AP)
Condensación basal cavitada (Lat.)
Condensación basal izquierda retrocardíaca
Condensación múltiple inmunosuprimido
Condensación LSD
Infección pulmonar intersticial: Evolución Inflamación de la pared bronquiolo-alveolar Edema y hemorragia, extensión parcheada Generalización de edema intersticio-alveolar a. Resolución b. Fibrosis: patrón reticular 1.  2.  3.
Neumonía intersticial difusa
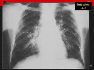
Infección viral
Fibrosis post-infección viral
Infección pulmonar tuberculosa Primoinfección. Complejo primario Infiltrado periférico (neumonía) Linfangitis Adenopatías mediastínicas 1. Granuloma 2. Fibrosis 3. Calcificación 1.  2.  3.  Resolución espontánea. Cicatrización
Infección pulmonar tuberculosa Reinfección: Formas de presentación Neumonía cavitada Linfadenitis Pleuritis Diseminación bronquial Diseminación hematógena (Miliar) Fistulizaciones Afectación de otras vísceras
TBC: Neumonía cavitada
TBC: Neumonía cavitada
TBC: Diseminación bronquial y pleural
TBC: Granulomas
TBC: Granulomas
TBC: Pleuritis
TBC: Pleuritis
TBC: Deformidad tras toracoplastia
TBC: Diseminación miliar
TBC: Calcificaciones pleurales
E. P. O. C.  Enfisema Asma Bronquitis crónica Bronquiectasias
Definiciones “radiológicas” Asma:  Episodios transitorios de obstrucción bronquial, con atrapamiento aéreo. Enfisema: Obstrucción bronquial crónica con atrapamiento aéreo y destrucción de parénquima. Bronquitis crónica: Episodios repetidos de inflamación bronquial con aumento de secreción. Bronquiectasias: Dilataciones bronquiales que favorecen el acúmulo de moco.
ASMA: Signos radiológicos Atrapamiento aéreo:  Hiperclaridad parenquimatosa Descenso, aplanamiento o inversión del diafragma Silueta cardíaca estrecha Tapones mucosos Focos de atelectasia o consolidación Entre crisis, pulmón normal
ASMA: Signos radiológicos Entre crisis, pulmón normal Atrapamiento aéreo:  1. Hiperclaridad parenquimatosa 2. Descenso, aplanamiento o inversión del diafragma 3. Silueta cardíaca estrecha Tapones mucosos 4. Focos de atelectasia o consolidación 1 2 3 4
Tórax en “campana” por asma crónico
Definiciones “radiológicas” Asma: Episodios transitorios de obstrucción bronquial, con atrapamiento aéreo. Enfisema:  Obstrucción bronquial crónica con atrapamiento aéreo y destrucción de parénquima. Bronquitis crónica: Episodios repetidos de inflamación bronquial con aumento de secreción. Bronquiectasias: Dilataciones bronquiales que favorecen el acúmulo de moco.
ENFISEMA: Signos radiológicos Atrapamiento aéreo:  1. Hiperclaridad parenquimatosa no homogénea 2. Descenso, aplanamiento o inversión del diafragma Cambios en la caja torácica 3. Horizontalización de costillas 4 Tórax campaniforme 1 2 4 3
Tórax enfisematoso
Definiciones “radiológicas” Asma: Episodios transitorios de obstrucción bronquial, con atrapamiento aéreo. Enfisema: Obstrucción bronquial crónica con atrapamiento aéreo y destrucción de parénquima. Bronquitis crónica:  Episodios repetidos de inflamación bronquial con aumento de secreción. Bronquiectasias: Dilataciones bronquiales que favorecen el acúmulo de moco.
Engrosamientos de espacios intersticiales A. Signo del “Manguito” o engrosamiento de las paredes bronquiales y perivasculares del intersticio axial A. Signo del “Manguito” o engrosamiento de las paredes bronquiales y perivasculares del intersticio axial B. Signo del” raíl” o engrosamiento longitudinal de las paredes bronquiales. Los bordes vasculares están difuminados A. Signo del “Manguito” o engrosamiento de las paredes bronquiales y perivasculares del intersticio axial B. Signo del” raíl” o engrosamiento longitudinal de las paredes bronquiales. Los bordes vasculares están difuminados C. Lineas intersticiales parenquimatosas. A. Signo del “Manguito” o engrosamiento de las paredes bronquiales y perivasculares del intersticio axial B. Signo del” raíl” o engrosamiento longitudinal de las paredes bronquiales. Los bordes vasculares están difuminados C. Lineas intersticiales parenquimatosas. D. Derrame sub-pulmonar u ocupación del espacio intersticial periférico, entre pulmón y pleura, con redondeamiento de seno costofrénico. A B  C D
Bronquitis crónica
Definiciones “radiológicas” Asma: Episodios transitorios de obstrucción bronquial, con atrapamiento aéreo. Enfisema: Obstrucción bronquial crónica con atrapamiento aéreo y destrucción de parénquima. Bronquitis crónica: Episodios repetidos de inflamación bronquial con aumento de secreción. Bronquiectasias:  Dilataciones bronquiales que favorecen el acúmulo de moco.
Semiología de las bronquiectasias A A. Normal A. Normal B. Quistes de pared fina A. Normal B. Quistes de pared fina C. Quistes de pared gruesa A. Normal B. Quistes de pared fina C. Quistes de pared gruesa D. Ocupación parcial:  “Nidos de golondrina” A. Normal B. Quistes de pared fina C. Quistes de pared gruesa D. Ocupación parcial:  “Nidos de golondrina” E. Ocupación completa:  Nódulos B  C D E
Bronquiectasias en base derecha
Bronquiectasias difusas
NEUMONIA INTERSTICIAL CRONICA Reacción pulmonar, de etiología conocida o desconocida, caracterizada por una respuesta inflamatoria, que es habitualmente seguida de una formación de tejido fibroso, en el intersticio pulmonar
NEUMONIA INTERSTICIAL CRONICA Etiologías Idiopática Radioterapia Colagenopatías Gases tóxicos Viral Fármacos Neumoconiosis Cardiogénico
NEUMONIA INTERSTICIAL CRONICA Semiología Normal Vidrio “deslustrado” Líneas finas Lineas gruesas Patrón en “panal de miel” Pérdida de volumen Conglomerados fibrosos
Fibrosis residual post-infección
Fibrosis intersticial en “Vidrio deslustrado” (HPS)
Fibrosis intersticial por toxicidad del Oxígeno
Fibrosis intersticial por toxicidad de fármacos
Consolidaciones intersticio-alveolares. BONO
Fibrosis intersticial por síndrome tóxico
Fibrosis intersticial con masas. Neumoconiosis

Semiologia de torax2

  • 1.
  • 2.
    PARTE I IPATOLOGÍA PULMONAR
  • 3.
  • 4.
    LOBULOS Superior D:3 ( Apical , anterior y posterior ) Medio: 2 ( Medial y lateral ) Superior I: 3 ( Apico-posterior , anterior y líng ula ) Inferiores: 5 ( apical y 4 segmentos basales: medial , anterior , lateral , posterior ).
  • 5.
    ANATOMIA SUB-SEGMENTARIA Bronquiosegmentario -> B. subsegmentario -> Bronquiolo -> Bronquiolo terminal -> Bronquiolos respiratorios -> Alveolos
  • 6.
    VIA AEREA INTRA-PULMONAR
  • 7.
  • 8.
    LOBULO SECUNDARIO COMPONENTESEstructuras centrales Vía aérea terminal Arteriola Lecho capilar Retículo capilar bronquial Estructuras septales Venas pulmonares Linfáticos
  • 9.
  • 10.
  • 11.
  • 12.
    AFECTACION del PARENQUIMAOcupación del espacio alveolar Alteración intersticial Nódulo o masa Atelectasia
  • 13.
    ENFERMEDAD PULMONAR Patronesde afectación Alveolar Bronquiolo- alveolar Intersticial Lobar Lobular Intersticial
  • 14.
    AFECTACION ALVEOLAR SIGNOS CLASICOS Broncograma / alveolograma aéreo Nódulos acinares Bordes mal definidos Tendencia a la confluencia Distribución lobar o segmentaria Alas de mariposa Aparición precoz tras síntomas
  • 15.
  • 16.
    ESPACIO INTERSTICIAL Axial- Peribroncovascular Central - Parenquimatoso Periférico - Septos interlobulares y sub-pleural
  • 17.
    Enfermedad del Espacio Intersticial Acúmulo o infiltración de uno o varios compartimentos del intersticio por: Líquido Células Inflamatorias Células neoplásicas Material proteináceo
  • 18.
    Enfermedad del Espacio Intersticial Daño intersticial difuso agudo Engrosamiento de septos (Células o líquido) Relleno alveolar Fibrosis Formación de espacios quísticos Pulmón en estadio final
  • 19.
    Espacio Intersticial:Signos RX Patron miliar o micronodulillar Patrón lineal Septal: Linfangítico, Líneas de Kerley No septal: Densidades irregulares pequeñas “ Panal de miel” Patrón retículo – nodular Aparición tardía tras síntomas Coalescencia tardía
  • 20.
    Espacio Intersticial:Signos TC Engrosamiento irregular de pleura Sombras vasculares irregulares Paredes bronquiales gruesas e irregulares Lineas reticulares Opacidades en “parches” Nódulos de tamaño diverso
  • 21.
    PATRON INTERSTICIAL: PatronesSEPTAL Lineas de Kerley A, B, C. Lineas peribroncovasculares NO SEPTAL Densidades pequeñas e irregulares Pulmón “sucio”. “ PANAL DE MIEL” Retícula con quistes y pérdida de volumen
  • 22.
    PATRON INTERSTICIAL: PatronesNODULAR MILIAR Nódulos pequeños de tamaño parecido (discretos) NODULAR HETEROGENEO Nódulos de diferentes tamaños y formas RETICULO - NODULAR Afectación mixta con líneas, sombras y nódulos
  • 23.
  • 24.
    PATOLOGÍA INFECCIOSA LobarLobular Intersticial Multifocal Neumococo Stafilococo, Gram (-) Virus, Micoplasma Hongos
  • 25.
    Infección pulmonar bacteriana:Evolución Inflamación de la pared bronquiolo-alveolar Extensión por poros y canales Ocupación alveolar Distribución parcheada confluente a. Resolución b. Necrosis Cavitación c. Derrame pleural Empiema Según tratamiento 1. 2. 3.
  • 26.
    Foco de aumentode densidad en base derecha
  • 27.
  • 28.
  • 29.
  • 30.
  • 31.
  • 32.
  • 33.
    Infección pulmonar intersticial:Evolución Inflamación de la pared bronquiolo-alveolar Edema y hemorragia, extensión parcheada Generalización de edema intersticio-alveolar a. Resolución b. Fibrosis: patrón reticular 1. 2. 3.
  • 34.
  • 35.
  • 36.
  • 37.
    Infección pulmonar tuberculosaPrimoinfección. Complejo primario Infiltrado periférico (neumonía) Linfangitis Adenopatías mediastínicas 1. Granuloma 2. Fibrosis 3. Calcificación 1. 2. 3. Resolución espontánea. Cicatrización
  • 38.
    Infección pulmonar tuberculosaReinfección: Formas de presentación Neumonía cavitada Linfadenitis Pleuritis Diseminación bronquial Diseminación hematógena (Miliar) Fistulizaciones Afectación de otras vísceras
  • 39.
  • 40.
  • 41.
  • 42.
  • 43.
  • 44.
  • 45.
  • 46.
    TBC: Deformidad trastoracoplastia
  • 47.
  • 48.
  • 49.
    E. P. O.C. Enfisema Asma Bronquitis crónica Bronquiectasias
  • 50.
    Definiciones “radiológicas” Asma: Episodios transitorios de obstrucción bronquial, con atrapamiento aéreo. Enfisema: Obstrucción bronquial crónica con atrapamiento aéreo y destrucción de parénquima. Bronquitis crónica: Episodios repetidos de inflamación bronquial con aumento de secreción. Bronquiectasias: Dilataciones bronquiales que favorecen el acúmulo de moco.
  • 51.
    ASMA: Signos radiológicosAtrapamiento aéreo: Hiperclaridad parenquimatosa Descenso, aplanamiento o inversión del diafragma Silueta cardíaca estrecha Tapones mucosos Focos de atelectasia o consolidación Entre crisis, pulmón normal
  • 52.
    ASMA: Signos radiológicosEntre crisis, pulmón normal Atrapamiento aéreo: 1. Hiperclaridad parenquimatosa 2. Descenso, aplanamiento o inversión del diafragma 3. Silueta cardíaca estrecha Tapones mucosos 4. Focos de atelectasia o consolidación 1 2 3 4
  • 53.
    Tórax en “campana”por asma crónico
  • 54.
    Definiciones “radiológicas” Asma:Episodios transitorios de obstrucción bronquial, con atrapamiento aéreo. Enfisema: Obstrucción bronquial crónica con atrapamiento aéreo y destrucción de parénquima. Bronquitis crónica: Episodios repetidos de inflamación bronquial con aumento de secreción. Bronquiectasias: Dilataciones bronquiales que favorecen el acúmulo de moco.
  • 55.
    ENFISEMA: Signos radiológicosAtrapamiento aéreo: 1. Hiperclaridad parenquimatosa no homogénea 2. Descenso, aplanamiento o inversión del diafragma Cambios en la caja torácica 3. Horizontalización de costillas 4 Tórax campaniforme 1 2 4 3
  • 56.
  • 57.
    Definiciones “radiológicas” Asma:Episodios transitorios de obstrucción bronquial, con atrapamiento aéreo. Enfisema: Obstrucción bronquial crónica con atrapamiento aéreo y destrucción de parénquima. Bronquitis crónica: Episodios repetidos de inflamación bronquial con aumento de secreción. Bronquiectasias: Dilataciones bronquiales que favorecen el acúmulo de moco.
  • 58.
    Engrosamientos de espaciosintersticiales A. Signo del “Manguito” o engrosamiento de las paredes bronquiales y perivasculares del intersticio axial A. Signo del “Manguito” o engrosamiento de las paredes bronquiales y perivasculares del intersticio axial B. Signo del” raíl” o engrosamiento longitudinal de las paredes bronquiales. Los bordes vasculares están difuminados A. Signo del “Manguito” o engrosamiento de las paredes bronquiales y perivasculares del intersticio axial B. Signo del” raíl” o engrosamiento longitudinal de las paredes bronquiales. Los bordes vasculares están difuminados C. Lineas intersticiales parenquimatosas. A. Signo del “Manguito” o engrosamiento de las paredes bronquiales y perivasculares del intersticio axial B. Signo del” raíl” o engrosamiento longitudinal de las paredes bronquiales. Los bordes vasculares están difuminados C. Lineas intersticiales parenquimatosas. D. Derrame sub-pulmonar u ocupación del espacio intersticial periférico, entre pulmón y pleura, con redondeamiento de seno costofrénico. A B C D
  • 59.
  • 60.
    Definiciones “radiológicas” Asma:Episodios transitorios de obstrucción bronquial, con atrapamiento aéreo. Enfisema: Obstrucción bronquial crónica con atrapamiento aéreo y destrucción de parénquima. Bronquitis crónica: Episodios repetidos de inflamación bronquial con aumento de secreción. Bronquiectasias: Dilataciones bronquiales que favorecen el acúmulo de moco.
  • 61.
    Semiología de lasbronquiectasias A A. Normal A. Normal B. Quistes de pared fina A. Normal B. Quistes de pared fina C. Quistes de pared gruesa A. Normal B. Quistes de pared fina C. Quistes de pared gruesa D. Ocupación parcial: “Nidos de golondrina” A. Normal B. Quistes de pared fina C. Quistes de pared gruesa D. Ocupación parcial: “Nidos de golondrina” E. Ocupación completa: Nódulos B C D E
  • 62.
  • 63.
  • 64.
    NEUMONIA INTERSTICIAL CRONICAReacción pulmonar, de etiología conocida o desconocida, caracterizada por una respuesta inflamatoria, que es habitualmente seguida de una formación de tejido fibroso, en el intersticio pulmonar
  • 65.
    NEUMONIA INTERSTICIAL CRONICAEtiologías Idiopática Radioterapia Colagenopatías Gases tóxicos Viral Fármacos Neumoconiosis Cardiogénico
  • 66.
    NEUMONIA INTERSTICIAL CRONICASemiología Normal Vidrio “deslustrado” Líneas finas Lineas gruesas Patrón en “panal de miel” Pérdida de volumen Conglomerados fibrosos
  • 67.
  • 68.
    Fibrosis intersticial en“Vidrio deslustrado” (HPS)
  • 69.
    Fibrosis intersticial portoxicidad del Oxígeno
  • 70.
    Fibrosis intersticial portoxicidad de fármacos
  • 71.
  • 72.
    Fibrosis intersticial porsíndrome tóxico
  • 73.
    Fibrosis intersticial conmasas. Neumoconiosis