Ernesto Laínez
Definición
   Se denomina derrame pleural a la
    acumulación anormal de liquido en el
    espacio pleural por arriba de 25 mL que
    es lo normal.

   Precisa tener cierto volumen ( más de
    400 mL en los adultos y de 120 mL en
    los niños) para manifestarse.
Fisiopatología
    El movimiento de liquido entre las hojas
     parietal y visceral esta determinado por:

1. Presión hidrostática y osmótica de los
   capilares.
2. Drenaje linfático.
3. El estado de la superficie de las
   membranas pleurales.
Fisiopatología
   La presión intrapleural es de -5 cm de
    H2O.

   El aumento de la presión hidrostática en
    los capilares de la pleura visceral o la
    disminución de la presión oncótica del
    plasma determinan la acumulación de
    líquido en forma pasiva en el espacio
    pleural (Trasudado).
Fisiopatología
   Enfermedades que afectan la superficie
    de la membrana pleural y obstruyan el
    drenaje linfático, hacen que se acumule
    líquido lo que se produce de manera
    activa por un proceso inflamatorio, que
    altera la permeabilidad de los vasos
    pleurales o bloqueo linfático (Exudado).
Fisiopatología
   Frente al hallazgo de trasudado se debe
    pensar en una enfermedad sistémica,
    mientras que el hallazgo de exudado
    indica la presencia de una enfermedad
    que afecta directamente la pleura.
Etiología

Trasudados (causas osmóticas hidráulicas).
Aumento de la presión hidrostática   • Insuficiencia cardíaca izquierda,
                                       derecha o global.
                                     • Síndromes de pericarditis
                                       constrictiva y obstrucción de la
                                       vena cava superior.
Disminución de la presión oncótica   Síndrome nefrótico (en paciente con
                                     anasarca (por hiperaldosteronismo
                                     secundario).
                                     Cirrosis hepática.
Exudados ( por enfermedad pleural).
Infecciones   Bacteriana • Se produce            • Estafilococos.
              s            empiema.              • Klebsiella.
                         • Complicación de       • Pseudomona
                           toracocentesis.         aeruginosa.
                         • Absceso               • Neumococos.
                           subfrenico.
                         • Perforación
                           esofágica
              Tuberculos • Acompañada de síntomas sistémicos:
              a            fiebre, pérdida de peso y dolor pleurítico.
                         • Puede dar empiema pulmonar.

              Micóticas   • Histoplasma capsulatum, blastomyces
                            dermatidis, cryptococcus neoformans.

              Virus       • No son frecuentes.
Neoplasias   CA broncogénico         • Por invasión directa
                                       de la pleura.
                                     • Por obstrucción
                                       linfática.
             Carcinomas              • Carcinoma de
             metástasicos              mama, luego de
                                       ovario, riñón,
                                       estomago y
                                       páncreas.
             Linfomas y leucemias.
             Mesoteliomas            Exposición al amianto.
             malignos.
             Neoplasias de la
             pared torácica.
Embolia de pulmón.                  Derrame plural es una manifestación
                                    habitual, que se da con o sin infarto.

Enfermedades del tejido conectivo   LES, Artritis reumatoidea (el derrame
                                    puede ser prolongado y asintomático.

Enfermedad intraabdominal           Absceso subfrénico.
                                    Pancreatitis, en el 3-17% de los
                                    casos.
Hemotórax         Presencia de sangre en espacio pleural con hto >50% de la
                  sangre periferica.

Quilotórax        Ocurre por filtración de la linfa del conducto toracico dentro
                  del espacio pleural. 50% son traumaticos y el resto por
                  neoplasias.

Seudoquilotórax   Derrame pleural de larga data tiene alto contenido de
                  colesterol, se le confunde con quilotoráx.
                  Carácteristicos de TB y artritis reumatoide.
Manifestaciones clínicas
 Pueden ser asintomáticos.
 Los principales síntomas son:


1.  Disnea.
2. Tos seca e irritativa.
3. Dolor intenso y localizado, empeora con
   la tos, el estornudo, respiración profunda o
   los movimientos bruscos. (Irritación de la
   pleura parietal diafragmática puede
   provocar dolor referido al hombro.
Anamnesis
   Con los síntomas anteriores se deberá
    preguntar sobre:

   Disnea, ortopnea, palpitaciones (insuficiencia
    cardíaca).
   Antecedentes de hepatitis B o alcoholismo (cirrosis).
   Edema en los miembros inferiores, diabetes (sindrome
    nefrótico).
   Contacto con tuberculosos.
   Antecedentes de tabaquismo y pérdida de peso
    (neoplasias)
Anamnesis

   Contacto con asbesto.
   Dolores articulares (colagenopatia).
   Ingesta de fármacos (nitrofurantoína, metisergida,
    procarbazina, hidantoína)
   Várices en los miembros inferiores, reposo prolongado,
    cirugía traumatológica, embarazo, anticonceptivos (TEP).
   Antecedentes de traumatismo en el tórax.
Examen físico
   Inspección:

Abombamiento del hemitoráx afectado, con
desviación del esternón hacia el lado opuesto
y disminución de la movilidad respiratoria, se
vuelve superficial (taquipnea y hipopnea).

Paciente en decúbito lateral sobre el
derrame.
  Palpación:
Vibraciones vocales abolidas o muy
disminuidas.
Disminución de la expansión en la base
afectada.

  Percusión:
 Existe matidez del hemitoráx comprometido,
si el derrame esta libre la matidez puede
desplazarse con la postura (signo de
desnivel). La columna es mate también.
 Auscultación:
Ausencia o disminución del murmullo
vesicular. En el limite superior, por
condensación secundaria a la compresión
del derrame se ausculta soplo pleurítico,
pectoriloquia áfona y egofonía.
Neumotórax
   Es la presencia de aire entre ambas
    hojas pleurales, lo que transforma su
    cavidad virtual en una real, ocupada por
    aire.
Causas de neumotórax
1. Espontaneo   A) Primario         -Ruptura de bulla
                                    subpleural congénita.

                B) Secundario       -Bullas enfisematosas.
                                    -EPOC.
                                    -Cavernas tuberculosas.
                                    -Absceso pulmonar.
                                    -Neoplasias cavitadas.
                                    -Granuloma eosinofilo.
                                    -Metástasis pulmonares.

2. Traumático   A) No iatrigénico   -Traumatismo de tórax
                                    abierto o cerrado ( heridas
                                    punzantes, fracturas
                                    costales)
                b) Iatrogénico      -Vías intravenosas
                                    centrales.
                                    -Toracocentesis.
                                    -Biopsia pleural.
                                    -Biopsia pulmonar
Manifestaciones clínicas
   Neumotórax pequeños:

-Dolor tipo pleurítico en región axilar,
punzante, su intensidad aumenta con la
respiración, que puede propagarse al hombro
homolateral.

-En radiografía de tórax es muy visible una
línea muy fina que limita la zona con
estructura pulmonar y la separa del
neumotórax.
   Neumotórax medianos:

 -Envuelven al pulmón en una capa
  gruesa de aire en especial al vértice que
  a la base.
 -Dolor pleurítico como el anterior.
 -Cierto grado de disnea.
   Neumotórax medianos:

-Disminución de las vibraciones vocales.
-En la percusión hay aumento de la
sonoridad torácica.
-En la auscultación hay disminución del
murmullo vesicular.
-Signos radiológicos como en neumotórax
pequeño.
   Neumotórax completos:

-Colapso total de un pulmón, que se reduce
al tamaño de un puño en el hilio pulmonar.

-Manifestaciones: dolor, disnea, abolición de
vibraciones vocales, hipersonoridad a la
percusión, ausencia de murmullo vesicular, y
en ocasiones presencia de soplo anfórico y
anforonfonía.
Bronquiolitis
   Puede describirse como el primer episodio de
    dificultad respiratoria sibilante en el lactante menor
    de dos años. Es la infección respiratoria más
    frecuente en los primeros 12 meses de la vida. Es
    más frecuente en los meses de invierno (diciembre-
    marzo).

   El mecanismo de transmisión son las partículas en
    el aire espirado y la autoinoculación al tocar
    superficies contaminadas. Existe protección en el
    período precoz del postparto, por el paso de
    anticuerpos maternos, y en la lactancia materna.
Bronquiolitis
  Existen ciertos factores de riesgo que
  favorecen la gravedad de la bronquiolitis:

  •   La prematuridad.
  •   La enfermedad de membrana hialina.
  •   Las cardiopatías congénitas .
  •   La malnutrición grave.
  •   Tabaquismo pasivo.
  •   Concurrencia a guarderías.
  •   Hermanos en edad escolar.
  •   Hacinamiento.
Fisiopatología
   Existen alteraciones en la estructura del
    epitelio bronquiolar como:

 Infiltrado linfocitario.
 Necrosis del epitelio respiratorio.
 Tapones de moco.
 Edema.
    Esto conduce a tres hechos fisiopatologicos
     fundamentales:

1.   Atrapamiento aéreo.

2.    Aumento del trabajo respiratorio: origina
     taquipnea, tiraje, episodios de apnea y puede
     llevar a fracaso respiratorio.

3.   Trastorno ventilación-perfusión: con aparición
     de hipoxemia, hipercapnia y acidosis.
Etiologia
   El principal agente causal es el Virus
    sincitial respiratorio.

   Agentes causales de casos esporádicos
    son:

         Adenovirus 3, 7 y 21, rinovirus,
influenza A y B, parainfluenza 1 y 3,
enterovirus y, excepcionalmente, M.
pneumoniae.
Manifestaciones clinicas
 El cuadro se instala en 5-7 días.
  Comienza con tos no productiva
  persistente e irritativa, rinitis y
  estornudos.
 2-3 días despues aparece la dificultad
  respiratoria con taquipnea, aleteo nasal,
  cianosis, retracciones subcostales,
  intercostales y xifoideas.
Examen fisico
   Inspección:

 Tórax enfisematoso y/o palidez terrosa
  o cianosis.
 El uso de los músculos respiratorios
  accesorios se traduce en tiraje sub,
  intercostal y/o supraesternal y aleteo
  nasal.
  Palpación:
-Murmullo vesicular disminuido o abolido y
tiempo espiratorio prolongado.



  Percusión:
-hipersonoridad pulmonar.
  Auscultación:
-disminución global o parcial de la entrada
de aire con rales subcrepitantes, roncus
y/o sibilancias diseminadas.

   También se puede hallar una
    pseudohepatoesplenomegalia debido al
    descenso del diafragmapor aumento del
    contenido aéreo del pulmón.
   RADIOLOGIA: la Rx de tórax muestra signos de
    atrapamiento aéreo:

    Horizontalización de las costillas.
   ·Ensanchamiento de los espacios intercostales y
    aumento del número de los mismos.
   ·Descenso o aplanamiento de las cúpulas
    diafragmáticas.
   ·Campos pulmonares hiperclaros, también infiltrados
    intersticiales o hiliofugales y/o zonas de atelectasia,
    en especial en vértices pulmonares.
Semiologia del Derrame pleural, neumotorax y hemotorax
Semiologia del Derrame pleural, neumotorax y hemotorax

Semiologia del Derrame pleural, neumotorax y hemotorax

  • 1.
  • 2.
    Definición  Se denomina derrame pleural a la acumulación anormal de liquido en el espacio pleural por arriba de 25 mL que es lo normal.  Precisa tener cierto volumen ( más de 400 mL en los adultos y de 120 mL en los niños) para manifestarse.
  • 4.
    Fisiopatología  El movimiento de liquido entre las hojas parietal y visceral esta determinado por: 1. Presión hidrostática y osmótica de los capilares. 2. Drenaje linfático. 3. El estado de la superficie de las membranas pleurales.
  • 5.
    Fisiopatología  La presión intrapleural es de -5 cm de H2O.  El aumento de la presión hidrostática en los capilares de la pleura visceral o la disminución de la presión oncótica del plasma determinan la acumulación de líquido en forma pasiva en el espacio pleural (Trasudado).
  • 6.
    Fisiopatología  Enfermedades que afectan la superficie de la membrana pleural y obstruyan el drenaje linfático, hacen que se acumule líquido lo que se produce de manera activa por un proceso inflamatorio, que altera la permeabilidad de los vasos pleurales o bloqueo linfático (Exudado).
  • 7.
    Fisiopatología  Frente al hallazgo de trasudado se debe pensar en una enfermedad sistémica, mientras que el hallazgo de exudado indica la presencia de una enfermedad que afecta directamente la pleura.
  • 8.
    Etiología Trasudados (causas osmóticashidráulicas). Aumento de la presión hidrostática • Insuficiencia cardíaca izquierda, derecha o global. • Síndromes de pericarditis constrictiva y obstrucción de la vena cava superior. Disminución de la presión oncótica Síndrome nefrótico (en paciente con anasarca (por hiperaldosteronismo secundario). Cirrosis hepática.
  • 9.
    Exudados ( porenfermedad pleural). Infecciones Bacteriana • Se produce • Estafilococos. s empiema. • Klebsiella. • Complicación de • Pseudomona toracocentesis. aeruginosa. • Absceso • Neumococos. subfrenico. • Perforación esofágica Tuberculos • Acompañada de síntomas sistémicos: a fiebre, pérdida de peso y dolor pleurítico. • Puede dar empiema pulmonar. Micóticas • Histoplasma capsulatum, blastomyces dermatidis, cryptococcus neoformans. Virus • No son frecuentes.
  • 10.
    Neoplasias CA broncogénico • Por invasión directa de la pleura. • Por obstrucción linfática. Carcinomas • Carcinoma de metástasicos mama, luego de ovario, riñón, estomago y páncreas. Linfomas y leucemias. Mesoteliomas Exposición al amianto. malignos. Neoplasias de la pared torácica.
  • 11.
    Embolia de pulmón. Derrame plural es una manifestación habitual, que se da con o sin infarto. Enfermedades del tejido conectivo LES, Artritis reumatoidea (el derrame puede ser prolongado y asintomático. Enfermedad intraabdominal Absceso subfrénico. Pancreatitis, en el 3-17% de los casos.
  • 12.
    Hemotórax Presencia de sangre en espacio pleural con hto >50% de la sangre periferica. Quilotórax Ocurre por filtración de la linfa del conducto toracico dentro del espacio pleural. 50% son traumaticos y el resto por neoplasias. Seudoquilotórax Derrame pleural de larga data tiene alto contenido de colesterol, se le confunde con quilotoráx. Carácteristicos de TB y artritis reumatoide.
  • 13.
    Manifestaciones clínicas  Puedenser asintomáticos.  Los principales síntomas son: 1. Disnea. 2. Tos seca e irritativa. 3. Dolor intenso y localizado, empeora con la tos, el estornudo, respiración profunda o los movimientos bruscos. (Irritación de la pleura parietal diafragmática puede provocar dolor referido al hombro.
  • 14.
    Anamnesis  Con los síntomas anteriores se deberá preguntar sobre:  Disnea, ortopnea, palpitaciones (insuficiencia cardíaca).  Antecedentes de hepatitis B o alcoholismo (cirrosis).  Edema en los miembros inferiores, diabetes (sindrome nefrótico).  Contacto con tuberculosos.  Antecedentes de tabaquismo y pérdida de peso (neoplasias)
  • 15.
    Anamnesis  Contacto con asbesto.  Dolores articulares (colagenopatia).  Ingesta de fármacos (nitrofurantoína, metisergida, procarbazina, hidantoína)  Várices en los miembros inferiores, reposo prolongado, cirugía traumatológica, embarazo, anticonceptivos (TEP).  Antecedentes de traumatismo en el tórax.
  • 16.
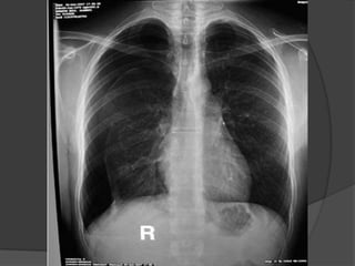
    Examen físico  Inspección: Abombamiento del hemitoráx afectado, con desviación del esternón hacia el lado opuesto y disminución de la movilidad respiratoria, se vuelve superficial (taquipnea y hipopnea). Paciente en decúbito lateral sobre el derrame.
  • 17.
     Palpación: Vibracionesvocales abolidas o muy disminuidas. Disminución de la expansión en la base afectada.  Percusión: Existe matidez del hemitoráx comprometido, si el derrame esta libre la matidez puede desplazarse con la postura (signo de desnivel). La columna es mate también.
  • 18.
     Auscultación: Ausencia odisminución del murmullo vesicular. En el limite superior, por condensación secundaria a la compresión del derrame se ausculta soplo pleurítico, pectoriloquia áfona y egofonía.
  • 23.
    Neumotórax  Es la presencia de aire entre ambas hojas pleurales, lo que transforma su cavidad virtual en una real, ocupada por aire.
  • 24.
    Causas de neumotórax 1.Espontaneo A) Primario -Ruptura de bulla subpleural congénita. B) Secundario -Bullas enfisematosas. -EPOC. -Cavernas tuberculosas. -Absceso pulmonar. -Neoplasias cavitadas. -Granuloma eosinofilo. -Metástasis pulmonares. 2. Traumático A) No iatrigénico -Traumatismo de tórax abierto o cerrado ( heridas punzantes, fracturas costales) b) Iatrogénico -Vías intravenosas centrales. -Toracocentesis. -Biopsia pleural. -Biopsia pulmonar
  • 25.
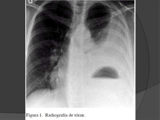
    Manifestaciones clínicas  Neumotórax pequeños: -Dolor tipo pleurítico en región axilar, punzante, su intensidad aumenta con la respiración, que puede propagarse al hombro homolateral. -En radiografía de tórax es muy visible una línea muy fina que limita la zona con estructura pulmonar y la separa del neumotórax.
  • 27.
    Neumotórax medianos:  -Envuelven al pulmón en una capa gruesa de aire en especial al vértice que a la base.  -Dolor pleurítico como el anterior.  -Cierto grado de disnea.
  • 28.
    Neumotórax medianos: -Disminución de las vibraciones vocales. -En la percusión hay aumento de la sonoridad torácica. -En la auscultación hay disminución del murmullo vesicular. -Signos radiológicos como en neumotórax pequeño.
  • 30.
    Neumotórax completos: -Colapso total de un pulmón, que se reduce al tamaño de un puño en el hilio pulmonar. -Manifestaciones: dolor, disnea, abolición de vibraciones vocales, hipersonoridad a la percusión, ausencia de murmullo vesicular, y en ocasiones presencia de soplo anfórico y anforonfonía.
  • 34.
    Bronquiolitis  Puede describirse como el primer episodio de dificultad respiratoria sibilante en el lactante menor de dos años. Es la infección respiratoria más frecuente en los primeros 12 meses de la vida. Es más frecuente en los meses de invierno (diciembre- marzo).  El mecanismo de transmisión son las partículas en el aire espirado y la autoinoculación al tocar superficies contaminadas. Existe protección en el período precoz del postparto, por el paso de anticuerpos maternos, y en la lactancia materna.
  • 35.
    Bronquiolitis Existenciertos factores de riesgo que favorecen la gravedad de la bronquiolitis: • La prematuridad. • La enfermedad de membrana hialina. • Las cardiopatías congénitas . • La malnutrición grave. • Tabaquismo pasivo. • Concurrencia a guarderías. • Hermanos en edad escolar. • Hacinamiento.
  • 36.
    Fisiopatología  Existen alteraciones en la estructura del epitelio bronquiolar como:  Infiltrado linfocitario.  Necrosis del epitelio respiratorio.  Tapones de moco.  Edema.
  • 37.
    Esto conduce a tres hechos fisiopatologicos fundamentales: 1. Atrapamiento aéreo. 2. Aumento del trabajo respiratorio: origina taquipnea, tiraje, episodios de apnea y puede llevar a fracaso respiratorio. 3. Trastorno ventilación-perfusión: con aparición de hipoxemia, hipercapnia y acidosis.
  • 38.
    Etiologia  El principal agente causal es el Virus sincitial respiratorio.  Agentes causales de casos esporádicos son: Adenovirus 3, 7 y 21, rinovirus, influenza A y B, parainfluenza 1 y 3, enterovirus y, excepcionalmente, M. pneumoniae.
  • 39.
    Manifestaciones clinicas  Elcuadro se instala en 5-7 días. Comienza con tos no productiva persistente e irritativa, rinitis y estornudos.  2-3 días despues aparece la dificultad respiratoria con taquipnea, aleteo nasal, cianosis, retracciones subcostales, intercostales y xifoideas.
  • 40.
    Examen fisico  Inspección:  Tórax enfisematoso y/o palidez terrosa o cianosis.  El uso de los músculos respiratorios accesorios se traduce en tiraje sub, intercostal y/o supraesternal y aleteo nasal.
  • 41.
     Palpación: -Murmullovesicular disminuido o abolido y tiempo espiratorio prolongado.  Percusión: -hipersonoridad pulmonar.
  • 42.
     Auscultación: -disminuciónglobal o parcial de la entrada de aire con rales subcrepitantes, roncus y/o sibilancias diseminadas.  También se puede hallar una pseudohepatoesplenomegalia debido al descenso del diafragmapor aumento del contenido aéreo del pulmón.
  • 43.
    RADIOLOGIA: la Rx de tórax muestra signos de atrapamiento aéreo:  Horizontalización de las costillas.  ·Ensanchamiento de los espacios intercostales y aumento del número de los mismos.  ·Descenso o aplanamiento de las cúpulas diafragmáticas.  ·Campos pulmonares hiperclaros, también infiltrados intersticiales o hiliofugales y/o zonas de atelectasia, en especial en vértices pulmonares.