TRAUMATISMO DE TORAX
DR. JULIO CESAR ESPINOZA LATORRE
Cirugia de Torax y Cardiovascular- HNAGV
“EL TRAUMA TORAXICO
DEMANDA UN PROCESO
RACIONAL DE TOMA DE
DECISIONES Y UN MANEJO
PRIORIZADO DE LAS LESIONES”
DEFINICION
CUADRO AGUDO PROVOCADO POR UNA
CAUSA EXTERNA Y SUBITA QUE AFECTA
LA CAJA TORAXICA, A SU CONTINENTE O
A SU CONTENIDO
FRECUENCIA
MORTALIDAD 25% a 50%.
TEC 50%
Extremidades 45%,
Abd. 30%
Pelvis 15%
Muertes Evitables
Muertes al Ingreso
Distrés respiratorio agudo o
Hipotensión (Shock hipovolémico)
1. Abierto: Existe solución de continuidad en
pared toraxica
1.a. Penetrante: Si llega a la cavidad Pleural
1.b.NO Penetrante: Si no llega a la cavidad
pleural
1.c.Perforante: Presenta herida de entrada y
salida.
2. Cerrado: No existe solución de continuidad
en pared toraxica
CLASIFICACION
La mayoria de las lesiones
penetrantes que se ven en
ambientes civiles son
causadas por AB o PAF de
baja velocidad.
•Las heridas por PAF de alta velocidad se
relacionan por destrucción sustancial de
tejidos
( efecto de estallido )
Las lesiones a pulmón y pleuras se
pueden estabilizar con la colocación de
un tubo toraxico y reanimación con
liquidos EV
muy pocos individuos requieren
toracotomia de urgencias
……a menos que su lesión sea ……..una
herida por PAF de alta velocidad.
•Dependiendo de la intensidad y la
magnitud de los problemas creados
suelen cuantificarse en minutos a horas
después que se producen.
•Las heridas contusas no se evidencian
fácilmente hasta 48 a 72 horas después
que ocurren.
TORACOTOMIA DE EMERGENCIA
Indicaciones
Hemotórax masivo
Escape de aire masivo por el dren pleural
Hemoptisis masiva
Lesion diafragmatica tardía
Trauma cardiaco penetrante
Lesión de grandes vasos
Exploración del esófago torácico
Lesión de esófago
En sala de urgencias (resucitación) *
REVISION PRIMARIA
RESUCITACION DE LAS F.V.
REVISIÓN SECUNDARIA DETALLADA
CUIDADOS DEFINITIVOS
MANEJO
REVISION PRIMARIA
IDENTIFICAR:
LESIONES QUE PONEN EN PELIGRO LA VIDA
LOS PROBLEMAS MAYORES
SE CORRIGEN
CONFORME SE IDENTIFICAN
EN TODO PACIENTE CON TRAUMA
EL PUNTO INICIAL DE RESUCITACIÓN
ES ASEGURARSE DE LA
PERMEABILIDAD DE LA VIA AÉREA
Y
ADECUADA VENTILACION
NEUMOTORAX A TENSION
NEUMOTORAX A TENSION
Es una EMERGENCIA hemodinámica
La presión pleural en el sitio del ntx excede a la
presión atmosférica en la espiración,
creándose un efecto de válvula de un sentido
donde el aire entra al espacio pleural en
inspiración pero no puede salir en espiración.
NEUMOTORAX A TENSION
CLINICA
Hemitorax aumentado de tamaño
sin ruidos respiratorios y
desplazamiento de mediastino
hacia el lado contralateral
NEUMOTORAX A TENSIÓN
Colapso
pulmonar
Desplazamiento
del mediastino
compresion
NEUMOTORAX A TENSION
MANISFESTACIONES CLINICAS Y TRATAMIENTO
DOLOR TORACICO
DIFICULTAD
RESPIRATORIA
TAQUICARDIA
HIPOTENSION
TRAQUEA
DESVIADA
AUSENCIA DE M.V
DISTENCION DE
VENAS DEL CUELLO
CIANOSIS
EL DIAGNOSTICO ES CLINICO
DESCOMPRESION
INMEDIATA
NEUMOTORAX ABIERTO
TRATAMIENTO
Parche
oclusivo
Tubo de drenaje
distante
Cuantificación del colapso
 % NTX = 100 [1- (pulmón3/hemitórax3)]
 % NTX = [AHT(A x B) – APC(a x b)]/AHT
NTX: Neumotórax, AHT: área del hemitórax
APC: área del pulmón colapsado,
TORAX INESTABLE
TORAX INESTABLE
FRACTURA
FRACTURA
FRACTURA
FRACTURA
FRACTURA
FRACTURA
INESTABILIDAD OSEA
DOLOR
CONTUSION PULMONAR
HIPOXIA
TORAX INESTABLE
RESPIRACION PARADOJICA
INSPIRACION ESPIRACION
C.V;CRF;VPT
Reflejo
de la tos
Acumulación de
secreciones
Atelectasias Neumonitis
VENTILACIONADECUADA
TET
VM
OXIGENO
FLUIDOS DE RESUCITACION
ANALGESICOS
ATBTERAPIA
Ex. RX. CONTROL.
TRATAMIENTO
Indicaciones para VM temprana en torax
inestable
Shock
Tres o mas injurias asociadas
TEC grave
Enfermedad pulmonar severa previa
Fractura de 8 o mas costillas
Mayor de 65 años
HEMOTORAX
HEMOTORAX MASIVO
ACUMULACION
RAPIDA DE MAS
DE 1,500CC
SHOCK
AUSENCIA DE M.V
PERCUSION : MATE
opacificación de un hemitórax
Shock
Sin rpta reposición volumen
Deterioro
Hemotorax 1500 cc o más toracotomía
200ml/h en 4h
500ml en 1 h
< 1000cc 100ml/h en 6-8h
cesa la hemorragia se hospitaliza
Hemoneumotórax
TECNICA DE DRENAJE TORAXICO
Sitios
de
colocación
del
tubo
de
toracostomía
http://es.youtube.com/watch?v=y_QeukoK5Dw
TAPONAMIENTO CARDIACO
TAPONAMIENTO CARDIACO
PRESION VENOSA
ELEVADA
HIPOTENSION
RC APAGADOS
PULSO
PARADOJICO
DISTENCION
VENOSA
TAPONAMIENTO CARDIACO
CVC
ECOCARDIOGRAMA
PERICARDIOCENTESIS
METODO SUBXIFOIDEO
ALTO INDICE DE SOSPECHA NO RPTA A RESUCITACION
DEM
En ausencia
De
Hipotensión
Y/o
Neumotorax
a tensión
TRAUMA CARDIACO
Algoritmo trauma cardíaco
hemodinamicamente hemodinámicamente
estable inestable
Ecocardiografía
negativa duda positiva
SOP
ventana Toracotomía
subxifoidea cardiorrafia
negativa positiva
ABC reanimación
REVISIONES SECUNDARIAS
REVISION SECUNDARIA
LESIONES TORACICAS QUE PONEN EN PELIGRO LA VIDA
EXAMEN FISICO COMPLETO Y DETALLADO
PLACA DE TORAX
GASES ARTERIALES
OXIMETRO DE PULSO
ELECTROCARDIOGRAMA
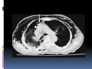
1. CONTUSION PULMONAR
2. CONTUSIÓN MIOCARDICA
3. DISRUPCIÓN AORTICA
4. RUPTURA DIAFRAGMATICA
5. DISRUPCION TRAQUEOBRONQUIAL
6. DISRUPCIÓN ESOFAGICA
CONTUSION PULMONAR
CONTUSION PULMONAR
 DEFINICION: Pscia.
de Lesión
hemorrágica que
ocupa el espacio
aéreo y el intersticio
pulmonar, sin
disrupción mayor de
la arquitectura
pulmonar.
CONTUSION PULMONAR
• Etiopat.: Ruptura de
alvéolos y vasos
sanguíneos:
 Hemorragia
intra-alveolar,
intersticial y edema.
Mecanismo:
Igual que mayoría de lesiones en tórax:
Pscia. fuerzas desgarrantes, ante la presencia de
inercias diferenciales entre estructuras fijas y móviles
dentro del tórax (Estallamiento).
Pscia. fuerzas compresivas directas, en las
que el tejido pulmonar es aprisionado entre los
elementos de las paredes ant. y post. del tórax
(Ac. automovilístico).
CONTUSION PULMONAR
CONTUSION PULMONAR -
diagnostico
 DEBE SOSPECHARSE ENTRAUMATORAX
(CHOQUEY CAIDAS).
CONTUSION PULMONAR
clinica
 CLINICAVARIABLE CON RANGOS QUEVAN DE INJURIA
MODERADA A SEVERA.
 SIGNOSY SINTOMAS INESPECIFICOS:
- DISNEA -HEMOPTISIS -TAQUIPNEA
- AUSCULTACION: RONCANTES, SIBILANTES
- HIPOXEMIA, HIPERCARBIA E INCREMENTO DE
GRADIENTE ALVEOLO ARTERIAL
CONTUSION PULMONAR
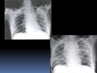
 IMÁGENES (RADIOLOGICO 1º,TACY RMN
2º) .
 LABORATORIO: AGA – HB.
.
CONTUSION PULMONAR - MANEJO
 MANTENERADECUADA OXIGENACIONYVENTILACION.
 SHOCK HIPOVOLEMICO TRATARLA.
 EL MANEJO DE CONTUSION PULMONAR ES DE SOPORTE.
 ENAUSENCIA DE SHOCK RESTRINGIR FLUIDOS (EDEMA).
 ADECUADAANALGESIA REDUCE COMPLICACIONESY NECESIDAD DE
INTUBACION.
 SI REQUIERETET USAR DOBLE LUMEN...MEJOR MANEJO PEEP,
OPTIMIZAR O2 BAROTRAUMA.
COMPLICACIONES
 INFECCION NEUMONIA EN CASI 50% DE PAC.
(RX. NO SE DIFERENCIA CONTUSIONY NEUMONIA)
 SI PCTE. SOBREVIVE A INJURIA INICIAL EL 5-20%
DESARROLLAN SDRA (MORT. 40-60%).
 DISFUNCION RESPIRATORIA: DISNEA 6 MESES
DESPUES DE LA INJURIA.
CONTUSION MIOCARDICA
•DIAGNOSTICO DIFICIL
•NO SE TOMA EN CUENTA
•Dx:
•EKG ANORMAL (TS INEXPLICABLE,FA.,BRD,CPV)
•ECOCARDIOGRAMA
•ENZIMAS Tn
•PVC ELEVADA
•MONITOREO CARDIACO
DISRUPCION AORTICA
CAUSA COMUN DE MUERTE SUBITA EN EL
LUGAR DEL ACCIDENTE (AUTOS O CAIDA)
70%.
SERIE MIRVIS (677 PCTES.)
TRAUMA TORACICO CERRADO: 2.8% DAT
(DESGARRO AORTICO TRAUMATICO).
DISRUPCION AORTICA
• CAUSADO POR DESGARRO DE LA AORTAY ARTERIAS
PULMONARES.
• EMERGENCIA: IDENTIFICACIÓNYTTO INMEDIATO.
• SIGNOSY SINTOMAS AUSENTES NOS GUIA LA SOSPECHA
• EXAMENES
• RADIOGRAFIA SIMPLE sospecha
• ANGIOGRAFIA standard de oro
• ECOTRANSESOFAGICA puede ser util
• TAC consume tiempo y no da dx definitivo
Ruptura Traumática del Diafragma
 Mas común en el lado izquierdo
 Trauma cerrado :
 lesiones radiales que posteriormente se
hernian.
 Trauma penetrante
 pequeñas perforaciones que toman tiempo en
herniarse
Ruptura traumática del diafragma
 Error dx al inicio por:
 Diafragma izquierdo elevado
 Dilatación gástrica aguda
 Hemoneumotórax lobulado
 Si la sospecha es alta :
 insertar SNG
 Si aparece en el HTI estudios con contrate
 Aparición de lavado peritoneal por el tubo torácico
Dx.
ESCALA DE LESION DEL DIAFRAGMA DE LA
AMERICAN ASSOCIATION FOR THE SURGERY TRAUMA
Grado Descripción de la herida
I Contusión
II Laceración <=2cm
III Laceración 2 a 10 cm
IV >10cm con pérdida tejido <=25 cm2
V con pérdida de tejido >25 cm2.
1. Estado de choque continuo
2. Hemorragia prolongada
3. Escape de aire grande con incapacidad para oxigenar
o ventilar o ambas.
4. Sospecha de lesiones vinculadas de corazón, grandes
vasos, esófago, diafragma u órganos
intraabdominales.
INDICACIONES PARA CIRUGIATEMPRANA

TRAUMA DE TORAX.ppt