Primera Conferencia de Histología Tema I: La Célula
Subtemas Teoría Celular. Diferenciación celular:  Características generales y consecuencias del proceso de diferenciación celular. Teoría de las señales celulares. Mecanismo de la diferenciación. Modelo histológico: Fibroblasto. Ciclo Celular.  Mantenimiento del estado diferenciado. Renovación celular. Linajes celulares según su ciclo. Mecanismos de regulación del crecimiento y división celulares en mamíferos. Interacciones celulares. Reparación tisular. Correlaciones básico-clínicos.
 
Anatomía.   Estudia el aspecto macroscopico Embriología. Estudia el desarrollo prenatal.  Histología. Estudia la célula y los tejidos.
La materia  viviente es organizada en las unidades estructurales y funcionales llamadas CÉLULAS que son las unidades más pequeñas capaz de  una vida independiente.  En el cuerpo humano las células son organizadas y forman los tejidos, los órganos, los sistemas y finalmente el organismo. Célula  --  Tejidos   --  Organos  --  Sistemas  Sistema Endocrino.
Animales Vegetales PROTOPLASMA Células
COMPONENTES DEL PROTOPLASMA COMPUESTOS  ORGÁNICOS COMPUESTOS  INORGÁNICOS Agua 70 al 85% Minerales 1% Proteínas 10 al 15% Lípidos 2 al 3% Glúcidos 1% PROTOPLASMA
PROPIEDADES FISIOLÓGICAS DEL PROTOPLASMA Irritabilidad.  Conductibilidad.  Excitabilidad.  Contractilidad. Respiración. Absorción.  Secreción.  Excreción. Reproducción.  Crecimiento.
 
La forma de las células está en relación a la función que realizan Neuronas Leucocitos de la sangre Eritrocitos Fibras musculares
M I C R O S C O P I O
Microscopio Electronico
1. Características generales: forma, tamaño, disposición, abundancia o proporción. 2. Características de su citoplasma: aspecto, coloración y componentes más desarrollados. 3. Características de su núcleo: número de núcleos, forma, tamaño, coloración, posición y componentes. 4. Relación estructura-función. ALGORITMO PARA EL ESTUDIO  DE LA CÉLULA.
CÉLULA Núcleo Citoplasma Envoltura nuclear Cromatina Nucléolo Nucleoplasma (Matriz nuclear) Organitos Inclusiones Matriz citoplasmática Membranosos No membranosos Alimentos Pigmentos
ORGANITOS MEMBRANOSOS ORGANITOS NO MEMBRANOSOS Membrana plasmática Mitocondrias Retículo endoplasmático rugoso Retículo endoplasmático liso Aparato o complejo de Golgi Lisosomas  Peroxisomas Ribosomas Centriolos Microtúbulos Microfilamentos Filamentos intermedios Cilios y  flagelos
 
 
Membrana plasmática
 
 
Mitocondrias
Mitocondrias Retículo endoplásmico rugoso
 
Complejo de Golgi
Complejo de  Golgi
MITOCONDRIAS Membrana  externa Crestas  mitocondriales Membrana  doble Crestas  mitocondriales Membrana  interna
MITOCONDRIA
 
GOLGI-RERL
 
FILAMENTOS INTERMEDIOS CITOQUERATINA (EPITELIOS) NEUROFILAMENTOS (NEURONAS) DESMINA (MÚSCULO) PROTEÍNA ÁCIDA FIBRILAR (CÉLULAS DE LA GLÍA) VIMENTINA (CÉLULAS DE ORIGEN    MESENQUIMATOSO)
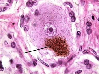
INCLUSIONES CITOPLASMÁTICAS Gránulos de glucógeno Gránulos de lípidos Gránulos de  cimógeno Pigmento de  melanina
 
 
Núcleo Interfásico
Núcleos de cromatina laxa  Núcleos de cromatina densa
 
 
 
 
 
Categorías de células permanentes o estáticas. 2) Categoría de células lábiles o constantemente renovables. 3) Categorías de células estables o potencialmente renovables CATEGORIAS CELULARES SEGÚN CICLO
Las células pueden dividirse por dos mecanismos: Mitosis  Meiosis La  meiosis  ocurre sólo en una de las etapas de la formación de los gametos (células especializadas en la reproducción, o sea, el ovocito y el espermatozoide). La  mitosis  ocurre en el resto de las etapas de la gametogénesis y en todos los demás procesos de desarrollo del organismo humano que lleven implícita la división celular. TIPOS DE DIVISION CELULAR
 
 
 
 
 
Conclusiones.
Todo organismo vivo tiene como unidad estructural y funcional a la célula, constituida por dos componentes básicos, el núcleo y el citoplasma, los que tienen funciones específicas expresadas por el nivel de diferenciación e interrelación alcanzado.
Las características morfofuncionales de los diferentes tipos celulares del organismo,  dependen  del  proceso de diferenciación y  especialización alcanzado por sus  componentes.

1ra Videoconf HistologíA I

  • 1.
    Primera Conferencia deHistología Tema I: La Célula
  • 2.
    Subtemas Teoría Celular.Diferenciación celular: Características generales y consecuencias del proceso de diferenciación celular. Teoría de las señales celulares. Mecanismo de la diferenciación. Modelo histológico: Fibroblasto. Ciclo Celular. Mantenimiento del estado diferenciado. Renovación celular. Linajes celulares según su ciclo. Mecanismos de regulación del crecimiento y división celulares en mamíferos. Interacciones celulares. Reparación tisular. Correlaciones básico-clínicos.
  • 3.
  • 4.
    Anatomía. Estudia el aspecto macroscopico Embriología. Estudia el desarrollo prenatal. Histología. Estudia la célula y los tejidos.
  • 5.
    La materia viviente es organizada en las unidades estructurales y funcionales llamadas CÉLULAS que son las unidades más pequeñas capaz de una vida independiente. En el cuerpo humano las células son organizadas y forman los tejidos, los órganos, los sistemas y finalmente el organismo. Célula -- Tejidos -- Organos -- Sistemas Sistema Endocrino.
  • 6.
  • 7.
    COMPONENTES DEL PROTOPLASMACOMPUESTOS ORGÁNICOS COMPUESTOS INORGÁNICOS Agua 70 al 85% Minerales 1% Proteínas 10 al 15% Lípidos 2 al 3% Glúcidos 1% PROTOPLASMA
  • 8.
    PROPIEDADES FISIOLÓGICAS DELPROTOPLASMA Irritabilidad. Conductibilidad. Excitabilidad. Contractilidad. Respiración. Absorción. Secreción. Excreción. Reproducción. Crecimiento.
  • 9.
  • 10.
    La forma delas células está en relación a la función que realizan Neuronas Leucocitos de la sangre Eritrocitos Fibras musculares
  • 11.
    M I CR O S C O P I O
  • 12.
  • 13.
    1. Características generales:forma, tamaño, disposición, abundancia o proporción. 2. Características de su citoplasma: aspecto, coloración y componentes más desarrollados. 3. Características de su núcleo: número de núcleos, forma, tamaño, coloración, posición y componentes. 4. Relación estructura-función. ALGORITMO PARA EL ESTUDIO DE LA CÉLULA.
  • 14.
    CÉLULA Núcleo CitoplasmaEnvoltura nuclear Cromatina Nucléolo Nucleoplasma (Matriz nuclear) Organitos Inclusiones Matriz citoplasmática Membranosos No membranosos Alimentos Pigmentos
  • 15.
    ORGANITOS MEMBRANOSOS ORGANITOSNO MEMBRANOSOS Membrana plasmática Mitocondrias Retículo endoplasmático rugoso Retículo endoplasmático liso Aparato o complejo de Golgi Lisosomas Peroxisomas Ribosomas Centriolos Microtúbulos Microfilamentos Filamentos intermedios Cilios y flagelos
  • 16.
  • 17.
  • 18.
  • 19.
  • 20.
  • 21.
  • 22.
  • 23.
  • 24.
  • 25.
  • 26.
    MITOCONDRIAS Membrana externa Crestas mitocondriales Membrana doble Crestas mitocondriales Membrana interna
  • 27.
  • 28.
  • 29.
  • 30.
  • 31.
    FILAMENTOS INTERMEDIOS CITOQUERATINA(EPITELIOS) NEUROFILAMENTOS (NEURONAS) DESMINA (MÚSCULO) PROTEÍNA ÁCIDA FIBRILAR (CÉLULAS DE LA GLÍA) VIMENTINA (CÉLULAS DE ORIGEN MESENQUIMATOSO)
  • 32.
    INCLUSIONES CITOPLASMÁTICAS Gránulosde glucógeno Gránulos de lípidos Gránulos de cimógeno Pigmento de melanina
  • 33.
  • 34.
  • 35.
  • 36.
    Núcleos de cromatinalaxa Núcleos de cromatina densa
  • 37.
  • 38.
  • 39.
  • 40.
  • 41.
  • 42.
    Categorías de célulaspermanentes o estáticas. 2) Categoría de células lábiles o constantemente renovables. 3) Categorías de células estables o potencialmente renovables CATEGORIAS CELULARES SEGÚN CICLO
  • 43.
    Las células puedendividirse por dos mecanismos: Mitosis Meiosis La meiosis ocurre sólo en una de las etapas de la formación de los gametos (células especializadas en la reproducción, o sea, el ovocito y el espermatozoide). La mitosis ocurre en el resto de las etapas de la gametogénesis y en todos los demás procesos de desarrollo del organismo humano que lleven implícita la división celular. TIPOS DE DIVISION CELULAR
  • 44.
  • 45.
  • 46.
  • 47.
  • 48.
  • 49.
  • 50.
    Todo organismo vivotiene como unidad estructural y funcional a la célula, constituida por dos componentes básicos, el núcleo y el citoplasma, los que tienen funciones específicas expresadas por el nivel de diferenciación e interrelación alcanzado.
  • 51.
    Las características morfofuncionalesde los diferentes tipos celulares del organismo, dependen del proceso de diferenciación y especialización alcanzado por sus componentes.

Notas del editor

  • #5 La Histología forma parte de las llamadas ciencias morfológicas que se encuentran muy relacionadas entre si y el estudio de cada una complementa los restantes, además se relaciona con otras ciencias como genética fisiología etc.
  • #7 Diapositiva 6 El término protoplasma fue utilizado por primera vez por Purkinje en 1839 para nombrar el contenido de las células ya fueran animales o vegetales. De ahí que por protoplasma se entiende a la materia que constituye a los seres vivos.
  • #8 Diapositiva 7 La composición química del protoplasma es muy diversa, se destaca la presencia de : Compuestos inorgánicos: representados por el agua que constituye el componente más abundante en un 70 a 85%. Los minerales como sulfatos, magnesio, fosfatos y calcio, entre otros que representan el 1% Entre los compuestos orgánicos se destacan las proteínas en un 10 a 15%, los lípidos del 2 al 3% y los glúcidos en 1%. Estos contenidos puedes profundizarlos por la bibliografía orientada al respecto.
  • #9 Diapositiva8 Como materia que constituye a las células, al protoplasma le son inherentes propiedades fisiológicas como expresión de vida, las cuales adquieren un mayor o menor desarrollo dependiendo de la diferenciación y especialización de las células. En la imagen resumimos las mismas, estas son: Irritabilidad, conductibilidad, excitabilidad, contractilidad, respiración, absorción, secreción, excreción, reproducción y crecimiento. Debes estudiarlas por tu bibliografía, siguiendo las orientaciones del CD de la asignatura. El desarrollo de las propiedades fisiológicas del protoplasma de las células en su proceso de diferenciación y especialización, conllevó al surgimiento de niveles superiores, haciendo cada vez más complejo el desarrollo biológico de los organismos, que alcanza su máxima expresión en el hombre.
  • #14 DIAPO 10 Para estudiar las características morfofuncionales de una célula les sugerimos sigan el siguiente orden: Características generales: Donde deben tener en cuenta la forma, el tamaño, la disposición y abundancia o proporción. Características de su citoplasma: Tengan presente el aspecto, la coloración y los componentes más desarrollados. Características de su núcleo: Precisen el número de núcleos, la forma, el tamaño, coloración, la posición y sus componentes. Y por ultimo establezcan la relación estructura-función. Recuerden que la célula por estar constituida por protoplasma presenta una composición química similar a éste.
  • #18 DIAPO 15 En el esquema se observa la disposición de los componentes en el citoplasma de la célula. Fíjense que cada uno guarda un compartimiento. Los organitos citoplasmáticos membranosos son. Membrana plasmática. Retículo endoplásmico liso. Retículo endoplásmico rugoso. Complejo de Golgi. Mitocondrias y Lisosomas. Los organitos que no poseen membrana son: Los ribosomas libres, encargados de la síntesis de proteína para la célula. Los centríolos que juegan un papel importante durante la formación del huso mitótico en la división celular. Y los microtúbulos y microfilamentos, que forman parte del citoesqueleto.
  • #19 DIAPO 16 Microfotografía electrónica de la membrana plasmática
  • #20 DIAPO 17 En esta imagen, están observando un esquema de la organización de la membrana plasmática, formada por una bicapa lipídica, fundamentalmente fosfolípidos y colesterol en estrecha relación con las proteínas, a las que a su vez se unen carbohidratos. A esta estructura dinámica se le conoce como modelo del mosaico fluido, por su constante movimiento y recambio.
  • #21 DIAPO 18 Proteínas integrales de la membrana y las dos hojuelas de la doble capa lipídica.
  • #23 En este esquema se representa la estructura del retículo endoplásmico rugoso, Pueden observar en las membranas del retículo rugoso ribosomas asociados dándole el aspecto característico. Está constituido por cisternas interconectadas, en forma de vesículas aplanadas, redondeadas y túbulos que se anastomosan entre sí y unidos a su superficie se encuentran los ribosomas. Tiene la función de la síntesis de proteínas para la secreción. Por su parte el R etículo Endoplasmatico liso es un sistema de túbulos aplanados que se anastomosan entre sí, carecen de ribosomas asociados a sus membranas y tiene la función de síntesis de lípidos, por lo que abundan en células que secretan estos compuestos, además se plantea que participa en la síntesis de ácido clorhídrico, destoxificación del organismo y en el almacenamiento de los iones calcio que intervienen directamente en la contracción muscular.
  • #24 DIAPO 23 En esta imagen están observando un esquema del complejo de Golgi, en el que pueden ver sus sáculos aplanados, a través de los cuales van pasando y modificándose las sustancias en formación, hasta ser secretadas a través de las vesículas de secreción. A continuación observen una microfotografía al microscopio electrónico. Este organito es el responsable de la condensación de las proteínas, de añadirle azúcares, de formar lisosomas y de aportar membranas entre otras funciones.
  • #25 DIAPO 24 Microfotografía electrónica del complejo de Golgi
  • #27 Diapositiva 26 En esta imagen pueden observar a la izquierda un esquema de una mitocondria, donde se destaca la disposición de su doble membrana y las crestas; hacia la derecha se observan las mismas estructuras pero al microscopio electrónico. Las mitocondrias son las responsables del aporte de ATP mediante el proceso de la respiración celular. Cuando estudien de forma independiente el resto de los componentes citoplasmáticos, deben tener en cuenta sus características al microscopio óptico, al electrónico y sus funciones, deben auxiliarse de las orientaciones del CD de la asignatura.
  • #33 Diapositiva 32 En esta imagen podemos observar en el citoplasma de las células diferentes tipos de inclusiones: en un corte de tejido donde se utilizó la tinción del ácido peryódico de schif, se observa en el citoplasma de la célula un moteado rojo que se corresponde con la presencia de los gránulos de glucógeno, mientras que en un corte de tejido donde se utilizó la tinción de nitrato de plata, podemos observar gránulos oscuros de color marrón correspondientes a la presencia de lípidos. En la parte inferior de la imagen, se observan como moteado oscuro los gránulos de cimógeno en una célula secretora de proteínas y hacia la derecha, gránulos correspondientes a pigmentos de melanina. Para el estudio de las inclusiones pueden apoyarse en las orientaciones del CD.