Se puede definir actualmente neoplasia como un trastorno
del crecimiento celular que se desencadena por una serie de
mutaciones adquiridas que afectan a una célula y su
progenie.
Neoplasia.
(Del fr. néoplasie).
1. f. Med. Multiplicación o
crecimiento anormal de células
en un tejido del organismo.
2. f. Med. Tumor así formado.
www.rae.es
Tumor.
(Del lat. tumor, -ōris).
1. m. Med. Masa de células transformadas, con crecimiento y
multiplicación anormales.
benigno.
1. m. Med. El formado por células muy semejantes a las
normales, que permanece en su localización primaria y no
produce metástasis.
maligno.
1. m. Med. El de carácter grave, invasivo, que produce
metástasis.
www.rae.es
Características:
- crecimiento celular.
- apoptosis.
- reparación del DNA.
Genética molecular:
• Las bases genéticas del cáncer se fundamentan en:
Genética molecular:
100.000.000.000.000.000 (10
)
10
4 – 7
26
17
Genética molecular:
Características de las células transformadas:
Genética molecular:
Genes de transformación:
• Oncogenes:
Genética molecular:
Genes de transformación:
• Genes de supresión tumoral:
Genética molecular:
Genes de transformación:
• Genes de mutación:
Oncogene Associated Neoplasms
c-erb-B2 Breast and ovarian carcinomas
ras Many carcinomas and leukemias
c-sis Gliomas
c-abl
Chronic myelogenous leukemia,
acute lymphocytic leukemia
c-myc Lymphomas
BRCA-1 Breast and ovarian carcinomas
APC Colonic adenocarcinomas
NF-1
Neurofibromas and
neurofibrosarcomas
Rb
Retinoblastomas, osteosarcomas,
small cell lung carcinomas
p53 Many carcinomas
bcl-2
Chronic lymphocytic leukemia,
lymphomas
Etiología del cáncer
Carcinogénesis:
Causas y mecanismos de transformación tumoral:
primer daño
INICIACIÓN.
teoría clonal
PROMOCIÓN.
PROGRESIÓN.
Clon tumoral
Iniciación
Progresión
Promoción
Carcinogénesis:
Carcinógenos químicos:
 Hidrocarburos aromáticos policíclicos:
 Agentes alquilantes:
 Aminas aromáticas y colorantes azo:
 Nitrosaminas:
 Metales:
Carcinogénesis:
Carcinogénesis física:
• Radiación ultravioleta:
• Radiación ionizante:
• Cuerpos extraños:
Carcinogénesis:
Carcinogénesis por agentes microbiológicos:
 HTLV-1:
 Papiloma virus:
 Virus de hepatitis B (DNA) y virus de hepatitis C (RNA):
 Virus de Epstein-Barr:
 Herpes virus tipo 8:
La incidencia del cáncer varía con la geografía, la edad, la
raza, y el fondo genético
Factores ambientales importantes implicados en la
carcinogénesis son: agentes infecciosos, el tabaquismo, el
alcohol, la dieta, obesidad, historia reproductiva, y la
exposición a carcinógenos ambientales
Las interacciones entre los factores ambientales y
genéticos pueden ser determinantes del riesgo de cáncer.
Epidemiología:
TUMORES MALIGNOS EN HOMBRES (H.U.S.I)
ORGANO No. % EDAD MEDIA
Epidemiología:
TUMORES MALIGNOS EN MUJERES (H.U.S.I)
ORGANO No. % EDAD MEDIA
Aspectos clínicos:
Síntomas:
Aspectos clínicos:
Signos y Síntomas:
Caquexia
• Pérdida progresiva
de la grasa y masa
corporal,
acompañado con
debilidad profunda,
anorexia, y anemia
Complejos de signos y síntomas
en las personas con cáncer que no
se relacionan con la extensión del
tumor
Se da en el 10 % de casos
Endocrinopatías (síndrome de Cushing, hipercalcemia)
Síndromes neuropáticos (neuropatías periféricas, degeneración
neuronal, síndromes miasténicos)
Trastornos de la piel (acantosis nigricans)
Anomalías esqueléticas y articulares (osteoartritis hipertrófica )
Hipercoagulabilidad (tromboflebitis migratoria, endocarditis
trombótica no bacteriana)
Aspectos clínicos:
Determinada por exploración o
imágenes quirúrgicas, se basa
en
• El tamaño
• Propagación a nódulos linfáticos
locales y regionales
• Metástasis a distancia
Tratamiento:
•Apoyo psicológico.
•Apoyo familiar.
•Soporte espiritual.
Caquexia
• Pérdida progresiva
de la grasa y masa
corporal,
acompañado con
debilidad profunda,
anorexia, y anemia
Complejos de signos y síntomas
en las personas con cáncer que no
se relacionan con la extensión del
tumor
Se da en el 10 % de casos
Endocrinopatías (síndrome de Cushing, hipercalcemia)
Síndromes neuropáticos (neuropatías periféricas, degeneración
neuronal, síndromes miasténicos)
Trastornos de la piel (acantosis nigricans)
Anomalías esqueléticas y articulares (osteoartritis hipertrófica )
Hipercoagulabilidad (tromboflebitis migratoria, endocarditis
trombótica no bacteriana)
Todos los tumores tienen dos
componentes básicos:
• Células neoplásicas que constituyen
el parénquima tumoral
• Estroma reactivo formado por tejido
conectivo, vasos sanguíneos, y un
número variable de células
inmunitarias.
La clasificación y su
comportamiento biológico se
basan principalmente en el
componente del parénquima,
pero su crecimiento y
extensión dependen
críticamente de su estroma
Clasificación:
• T. Benignos • T. Malignos
Clasificación:
Se basa en:
Clasificación:
Tejido de origen Tumor maligno
Epitelio escamoso Carcinoma escamocelular
Epitelio glandular Adenocarcinoma
Tejido fibroso Fibrosarcoma
Cartílago Condrosarcoma
Músculo liso Leiomiosarcoma
Músculo estriado Rabdomiosarcoma
Tumores benignos. su apariencia macro y microscópica
implica que permanecerá localizado, no se extenderá a otros
sitios, y es susceptible de extirpación quirúrgica local
Tumores malignos pueden invadir y destruir las
estructuras adyacentes y diseminarse a sitios distantes
(metástasis) y causar la muerte.
• Los tumores benignos se nombran con el sufijo oma
• Los tumores malignos por su origen en general se denominan:
• Sarcomaen caso de tumores de origen mesenquimal
• Carcinoma en casos de tumores de origen epitelial
• Excepciones : Linfoma, Melanoma, Seminoma, Glioma,
Blastomas yTeratomas.
Clasificación:
OMA
Tejido de origen Tumor benigno
Epitelio escamoso Papiloma
Epitelio glandular Adenoma
Tejido fibroso Fibroma
Cartílago Condroma
Músculo liso Leiomioma
Tejido adiposo Lipoma
Clasificación:
Tejido de origen Tumor maligno
Epitelio escamoso Carcinoma escamocelular
Epitelio glandular Adenocarcinoma
Tejido fibroso Fibrosarcoma
Cartílago Condrosarcoma
Músculo liso Leiomiosarcoma
Músculo estriado Rabdomiosarcoma
Carcinoma.
(Del lat. carcinōma, y
este del gr. καρκίνωμα).
1. m. Med. Tumor
maligno derivado de
estructuras epiteliales.
www.rae.es
Sarcoma.
(Del lat. sarcōma, y este
del gr. σάρκωμα,
aumento de carne).
1. m. Med. Tumor
maligno derivado de
estructuras
mesenquimales.
www.rae.es
Leucemia.
(De leuc- y el gr. αἷμα, sangre).
1. f. Enfermedad neoplásica de los órganos
formadores de células sanguíneas,
caracterizada por la proliferación maligna
de leucocitos.
www.rae.es
Linfoma.
1. m. Med.
Tumor de
los tejidos
linfoides.
www.rae.es
• Inmortalidad celular
• Capacidad de metástasis
• Inestabilidad genómica
• Inducen angiogénesis
• Alteran el ciclo celular
• Evitan la destrucción inmune
• Evaden los supresores de
crecimiento
ESTIMULO CAUSA ALTERACIÓN
GENETICA EN LA CÉLULA
Genes alterados por:
-Factores de Crecimiento
-Receptores de factores de crecimiento
-Señal de transduccíón.
-Regulación de la transcripción
-- Reparación del DNA
-Supervivencia de la célula.
La célula transformada prolifera con regulación deficiente
del crecimiento como resultado de cambios genéticos y
desarrolla mutaciones adicionales.
NEOPLASIA
Diferenciación: medida en que las células
del parénquima neoplásico se asemejan a
las células normales, tanto morfológica y
funcionalmente. En general, los tumores
benignos son bien diferenciados
Anaplasia: falta de diferenciación, se
considera una característica de
malignidad.
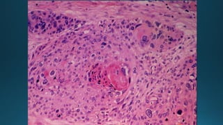
Pleomorfismo
Morfología nuclear anormal
Mitosis. Una característica de malignidad
son figuras de mitosis atípicas
La pérdida de polaridad celular
Variación en el
tamaño y la
forma de
células
Las células
dentro del
mismo tumor no
son uniformes
Núcleos grandes e irregulares
Relación nucleo-citoplasma que
puede acercarse a 1: 1 en lugar de la
normal de 1: 4 o 1: 6.
La cromatina esta densamente
agrupada (hipercromáticos)
Una
característica
de malignidad
son figuras de
mitosis
atípicas
La orientación
de las células
anaplásicas
está alterada
Grandes masas
de células
tumorales
crecen de
manera
desorganizada
anárquica.
Las células tumorales requieren
un suministro de sangre, pero a
menudo el estroma vascular es
insuficiente, y como resultado en
tumores malignos que crecen
rápidamente desarrollan
grandes áreas centrales de
necrosis isquémica.
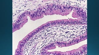
La metaplasia se define como la sustitución de un tipo de célula con
otro tipo. Se asocia con el daño tisular, reparación y regeneración.
La displasia es un término que significa literalmente “crecimiento
desordenado". Se da principalmente en los epitelios y es
caracterizado por cambios que incluyen una pérdida en la
uniformidad de las células individuales, así como una la pérdida en
su orientación arquitectónica, pleomorfismo y a menudo contienen
grandes núcleos hipercromáticos
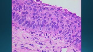
Cuando los cambios displásicos
están marcados e implican todo
el epitelio, pero la lesión no
penetrar la membrana basal, se
considera un neoplasia no
invasora y se conoce como
carcinoma in situ
Una vez que las células
tumorales rompen la membrana
basal se dice que el tumor es
invasivo.
• El crecimiento de los cánceres
está acompañado por la
infiltración progresiva, la
invasión y destrucción del
tejido circundante
• Los tumores benignos en
general permanecen
localizados a su sitio de origen.
• La metástasis se define como
la extensión de un tumor a los
sitios que son físicamente
discontinuos con el tumor
primario, y marca de manera
inequívoca un tumor maligno
Invasión local directa
Diseminación linfática
Diseminación hematógena
Propagación iatrogénica de las células
tumorales
• T. Benignos
Bien diferenciados
Crecimiento lento
Escasa actividad mitótica
Expansivas
Bien delimitadas
No producen metástasis
• T. Malignos
Anaplasia celular
Crecimiento acelerado
Alta actividad mitótica
Crecimiento infiltrativo
Capacidad de metástasis
Determinado por el aspecto citológico;
basado en la idea de que la poca
diferenciación está relacionada con un
comportamiento más agresivo
5 neoplasia
5 neoplasia
5 neoplasia
5 neoplasia
5 neoplasia
5 neoplasia
5 neoplasia
5 neoplasia

5 neoplasia

  • 2.
    Se puede definiractualmente neoplasia como un trastorno del crecimiento celular que se desencadena por una serie de mutaciones adquiridas que afectan a una célula y su progenie.
  • 3.
    Neoplasia. (Del fr. néoplasie). 1.f. Med. Multiplicación o crecimiento anormal de células en un tejido del organismo. 2. f. Med. Tumor así formado. www.rae.es
  • 4.
    Tumor. (Del lat. tumor,-ōris). 1. m. Med. Masa de células transformadas, con crecimiento y multiplicación anormales. benigno. 1. m. Med. El formado por células muy semejantes a las normales, que permanece en su localización primaria y no produce metástasis. maligno. 1. m. Med. El de carácter grave, invasivo, que produce metástasis. www.rae.es
  • 5.
    Características: - crecimiento celular. -apoptosis. - reparación del DNA.
  • 6.
    Genética molecular: • Lasbases genéticas del cáncer se fundamentan en:
  • 7.
  • 8.
    Genética molecular: Características delas células transformadas:
  • 9.
    Genética molecular: Genes detransformación: • Oncogenes:
  • 10.
    Genética molecular: Genes detransformación: • Genes de supresión tumoral:
  • 11.
    Genética molecular: Genes detransformación: • Genes de mutación:
  • 12.
    Oncogene Associated Neoplasms c-erb-B2Breast and ovarian carcinomas ras Many carcinomas and leukemias c-sis Gliomas c-abl Chronic myelogenous leukemia, acute lymphocytic leukemia c-myc Lymphomas BRCA-1 Breast and ovarian carcinomas APC Colonic adenocarcinomas NF-1 Neurofibromas and neurofibrosarcomas Rb Retinoblastomas, osteosarcomas, small cell lung carcinomas p53 Many carcinomas bcl-2 Chronic lymphocytic leukemia, lymphomas
  • 16.
  • 17.
    Carcinogénesis: Causas y mecanismosde transformación tumoral: primer daño INICIACIÓN. teoría clonal PROMOCIÓN. PROGRESIÓN.
  • 18.
  • 19.
    Carcinogénesis: Carcinógenos químicos:  Hidrocarburosaromáticos policíclicos:  Agentes alquilantes:  Aminas aromáticas y colorantes azo:  Nitrosaminas:  Metales:
  • 23.
    Carcinogénesis: Carcinogénesis física: • Radiaciónultravioleta: • Radiación ionizante: • Cuerpos extraños:
  • 26.
    Carcinogénesis: Carcinogénesis por agentesmicrobiológicos:  HTLV-1:  Papiloma virus:  Virus de hepatitis B (DNA) y virus de hepatitis C (RNA):  Virus de Epstein-Barr:  Herpes virus tipo 8:
  • 30.
    La incidencia delcáncer varía con la geografía, la edad, la raza, y el fondo genético Factores ambientales importantes implicados en la carcinogénesis son: agentes infecciosos, el tabaquismo, el alcohol, la dieta, obesidad, historia reproductiva, y la exposición a carcinógenos ambientales Las interacciones entre los factores ambientales y genéticos pueden ser determinantes del riesgo de cáncer.
  • 33.
    Epidemiología: TUMORES MALIGNOS ENHOMBRES (H.U.S.I) ORGANO No. % EDAD MEDIA
  • 34.
    Epidemiología: TUMORES MALIGNOS ENMUJERES (H.U.S.I) ORGANO No. % EDAD MEDIA
  • 37.
  • 38.
  • 39.
    Caquexia • Pérdida progresiva dela grasa y masa corporal, acompañado con debilidad profunda, anorexia, y anemia
  • 40.
    Complejos de signosy síntomas en las personas con cáncer que no se relacionan con la extensión del tumor Se da en el 10 % de casos
  • 41.
    Endocrinopatías (síndrome deCushing, hipercalcemia) Síndromes neuropáticos (neuropatías periféricas, degeneración neuronal, síndromes miasténicos) Trastornos de la piel (acantosis nigricans) Anomalías esqueléticas y articulares (osteoartritis hipertrófica ) Hipercoagulabilidad (tromboflebitis migratoria, endocarditis trombótica no bacteriana)
  • 42.
  • 43.
    Determinada por exploracióno imágenes quirúrgicas, se basa en • El tamaño • Propagación a nódulos linfáticos locales y regionales • Metástasis a distancia
  • 50.
  • 52.
    Caquexia • Pérdida progresiva dela grasa y masa corporal, acompañado con debilidad profunda, anorexia, y anemia
  • 53.
    Complejos de signosy síntomas en las personas con cáncer que no se relacionan con la extensión del tumor Se da en el 10 % de casos
  • 54.
    Endocrinopatías (síndrome deCushing, hipercalcemia) Síndromes neuropáticos (neuropatías periféricas, degeneración neuronal, síndromes miasténicos) Trastornos de la piel (acantosis nigricans) Anomalías esqueléticas y articulares (osteoartritis hipertrófica ) Hipercoagulabilidad (tromboflebitis migratoria, endocarditis trombótica no bacteriana)
  • 55.
    Todos los tumorestienen dos componentes básicos: • Células neoplásicas que constituyen el parénquima tumoral • Estroma reactivo formado por tejido conectivo, vasos sanguíneos, y un número variable de células inmunitarias. La clasificación y su comportamiento biológico se basan principalmente en el componente del parénquima, pero su crecimiento y extensión dependen críticamente de su estroma
  • 56.
  • 57.
  • 58.
    Clasificación: Tejido de origenTumor maligno Epitelio escamoso Carcinoma escamocelular Epitelio glandular Adenocarcinoma Tejido fibroso Fibrosarcoma Cartílago Condrosarcoma Músculo liso Leiomiosarcoma Músculo estriado Rabdomiosarcoma
  • 59.
    Tumores benignos. suapariencia macro y microscópica implica que permanecerá localizado, no se extenderá a otros sitios, y es susceptible de extirpación quirúrgica local Tumores malignos pueden invadir y destruir las estructuras adyacentes y diseminarse a sitios distantes (metástasis) y causar la muerte.
  • 60.
    • Los tumoresbenignos se nombran con el sufijo oma • Los tumores malignos por su origen en general se denominan: • Sarcomaen caso de tumores de origen mesenquimal • Carcinoma en casos de tumores de origen epitelial • Excepciones : Linfoma, Melanoma, Seminoma, Glioma, Blastomas yTeratomas.
  • 61.
    Clasificación: OMA Tejido de origenTumor benigno Epitelio escamoso Papiloma Epitelio glandular Adenoma Tejido fibroso Fibroma Cartílago Condroma Músculo liso Leiomioma Tejido adiposo Lipoma
  • 62.
    Clasificación: Tejido de origenTumor maligno Epitelio escamoso Carcinoma escamocelular Epitelio glandular Adenocarcinoma Tejido fibroso Fibrosarcoma Cartílago Condrosarcoma Músculo liso Leiomiosarcoma Músculo estriado Rabdomiosarcoma
  • 63.
    Carcinoma. (Del lat. carcinōma,y este del gr. καρκίνωμα). 1. m. Med. Tumor maligno derivado de estructuras epiteliales. www.rae.es
  • 64.
    Sarcoma. (Del lat. sarcōma,y este del gr. σάρκωμα, aumento de carne). 1. m. Med. Tumor maligno derivado de estructuras mesenquimales. www.rae.es
  • 65.
    Leucemia. (De leuc- yel gr. αἷμα, sangre). 1. f. Enfermedad neoplásica de los órganos formadores de células sanguíneas, caracterizada por la proliferación maligna de leucocitos. www.rae.es
  • 66.
    Linfoma. 1. m. Med. Tumorde los tejidos linfoides. www.rae.es
  • 88.
    • Inmortalidad celular •Capacidad de metástasis • Inestabilidad genómica • Inducen angiogénesis • Alteran el ciclo celular • Evitan la destrucción inmune • Evaden los supresores de crecimiento
  • 89.
    ESTIMULO CAUSA ALTERACIÓN GENETICAEN LA CÉLULA Genes alterados por: -Factores de Crecimiento -Receptores de factores de crecimiento -Señal de transduccíón. -Regulación de la transcripción -- Reparación del DNA -Supervivencia de la célula.
  • 90.
    La célula transformadaprolifera con regulación deficiente del crecimiento como resultado de cambios genéticos y desarrolla mutaciones adicionales. NEOPLASIA
  • 92.
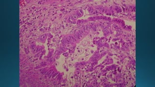
    Diferenciación: medida enque las células del parénquima neoplásico se asemejan a las células normales, tanto morfológica y funcionalmente. En general, los tumores benignos son bien diferenciados Anaplasia: falta de diferenciación, se considera una característica de malignidad.
  • 93.
    Pleomorfismo Morfología nuclear anormal Mitosis.Una característica de malignidad son figuras de mitosis atípicas La pérdida de polaridad celular
  • 94.
    Variación en el tamañoy la forma de células Las células dentro del mismo tumor no son uniformes
  • 95.
    Núcleos grandes eirregulares Relación nucleo-citoplasma que puede acercarse a 1: 1 en lugar de la normal de 1: 4 o 1: 6. La cromatina esta densamente agrupada (hipercromáticos)
  • 96.
  • 97.
    La orientación de lascélulas anaplásicas está alterada Grandes masas de células tumorales crecen de manera desorganizada anárquica.
  • 98.
    Las células tumoralesrequieren un suministro de sangre, pero a menudo el estroma vascular es insuficiente, y como resultado en tumores malignos que crecen rápidamente desarrollan grandes áreas centrales de necrosis isquémica.
  • 99.
    La metaplasia sedefine como la sustitución de un tipo de célula con otro tipo. Se asocia con el daño tisular, reparación y regeneración. La displasia es un término que significa literalmente “crecimiento desordenado". Se da principalmente en los epitelios y es caracterizado por cambios que incluyen una pérdida en la uniformidad de las células individuales, así como una la pérdida en su orientación arquitectónica, pleomorfismo y a menudo contienen grandes núcleos hipercromáticos
  • 100.
    Cuando los cambiosdisplásicos están marcados e implican todo el epitelio, pero la lesión no penetrar la membrana basal, se considera un neoplasia no invasora y se conoce como carcinoma in situ Una vez que las células tumorales rompen la membrana basal se dice que el tumor es invasivo.
  • 101.
    • El crecimientode los cánceres está acompañado por la infiltración progresiva, la invasión y destrucción del tejido circundante • Los tumores benignos en general permanecen localizados a su sitio de origen.
  • 102.
    • La metástasisse define como la extensión de un tumor a los sitios que son físicamente discontinuos con el tumor primario, y marca de manera inequívoca un tumor maligno
  • 103.
    Invasión local directa Diseminaciónlinfática Diseminación hematógena Propagación iatrogénica de las células tumorales
  • 104.
    • T. Benignos Biendiferenciados Crecimiento lento Escasa actividad mitótica Expansivas Bien delimitadas No producen metástasis • T. Malignos Anaplasia celular Crecimiento acelerado Alta actividad mitótica Crecimiento infiltrativo Capacidad de metástasis
  • 105.
    Determinado por elaspecto citológico; basado en la idea de que la poca diferenciación está relacionada con un comportamiento más agresivo