Incrustar presentación
Descargar para leer sin conexión


































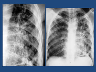
El documento habla sobre una actividad práctica de radiología cuyos objetivos son identificar diferentes estudios de radioimagen y explicar imágenes radiológicas en radiología convencional del sistema nervioso central y tórax. Menciona varias condiciones médicas como osteofitos, fracturas, artritis reumatoidea, osteoporosis, y diferentes tipos de calcificaciones que pueden verse en imágenes radiológicas.
































