ADENOCARCINOMA DE ESOFAGO Y
        ENDOSCOPIA

Dr. Juan M. Martín Guerrero.Hospital
        de la Merced. Osuna.
Aumento de incidencia de
 adenocarcinoma de Esófago
35
30
25                                          Adenocarcinoma

20
                                            Carcinoma
15                                          epidermoide
                                            Otros
10
5
0
     1975 1980 1985 1990 1995 2000


                             Pohl H et al. J Natl Cancer Inst 2005
Etiología
   Erge: E de BArret
   Relacion con la obesidad
   No relacion con H pylori
Etipatogenia




AspECT; BOSS    Genetic?

ChOPIN/IPOD ; Biomarkers ?
Edad presentacion MI

                                           59-63 a
 Edad media Adenocarcinoma
                                           68-72 a
 Edad media de muerte del 92% 5yr
                                           70-74 a




Expectativa de vida con una
Bronconeumonia o 2 ev. vaculares
                                           75-80 a

Expectariva de vida de poblacion general
                                           79-84 a
Estrategias para prevencion del
                  cancer
    Screening ?
   Seguimiento + intervencion ( no es coste efectivo)
   Diagnostico sintomatico precoz ( ninguno)
   Modificacion del estilo de vida ( obesidad y dieta- no esta
    probado)
   Identificacion de susceptibilidad familiar
   Intervencion ambiental ( tabaco, obesidad )
   Quimioprevencion ( mas coste efectivo)
Tratamiento endoscopico radical
   ¿ A que pacientes?
Riesgo de progresión en pacientes con E
         Barrett según grado de displasia
   Ausencia de displasia: 0,5-0,6%
   LGD 0,6-0,7%
   HGD 5-6%
                                            Yousef et al. Am J Epid 2008
                                      Sharma et al. Gastroenterology 2006
                                  Rastogi et al. Gastriintest Endosc 2008
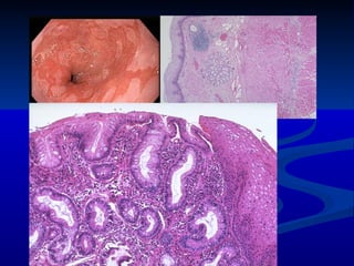
Tinción con Lugol
   Imagen con metapasia columnar endoscopica y
    metaplasia intestinal de AP
Narrow Band Imaging ( NBI)
NBI
Microscopia Confocal
Adjusted odds ratios from case–control studies examining the association between
overweight (body mass index ≥25 kg/m2) and adenocarcinoma of the esophagus (top) and
     the association between obesity (body mass index >30 kg/m2) and esophageal
                               adenocarcinoma (bottom).




                                         Hampel H et al. Ann Intern Med 2005;143:199-211
Quimioprevención
   Nitratos
   Calcioantagonistas
   AINEs/5 ASA, ( COXIB), PPI
   estatinas
   Aspirina, Estudio ASPECT ( N=2500
    patients)           Esomeprazol 20 mg     Esomeprazol 80 mg
                        n:725                 n:725                End Points:
                                                                   •Red 35% Inc cancer

                       Esomeprazol 20 mg +   Esomeprazol 80 mg +   •Red. 15% Muertes
                       300 mg or less AAS    300 mg or less AAS
                       n:725                 n:725


            Jankowsky and Moayyhedi, J Inst Natl Cancer 2004
Importancia de la endoscopia en el
     EB y Adenocarcinoma de esofago
   Deteccion precoz
   Mejora del estadiaje
   Mejora en el tratamiento
Tratamiento endoscopico

• EMR: Resección mucosa endoscópica
• Tratamientos ablativos
    •Terapia Fotodinámica
    • Radiofrecuencia
    • Crioablación
Tratamiento endoscopico: EMR
Tratamiento endoscopico: EMR
Tratamiento endoscopico: EMR
Tratamiento endoscopico: EMR
ENDOSCOPIC MUCOSAL RESECTION
Histopathological criteria for additional
treatment after endoscopic mucosal resection
    for esophageal cancer: analysis of 464
           surgically resected cases
         60

       50
      0 40

       30                                        56
                                                          % LY
                                         53,1

       20

        10                       18

               0        5,6
        0
              M1       M2       M3       SM1    SM2/3




                   Modern Pathology (2006) 19, 475–480.
Do Pathologists Do Better with EMR
               specimen?
                                            • 251 EMR, 269 Biopsy specimens
                                            •4 pathologists
                                            •Interobserver agreement tested
         0,6

         0,5

         0,4
Kappa                                                                         Biopsy
values   0,3    0,57
                       0,51                                                   EMR
                                                               0,43
         0,2                                            0,35
                                     0,33

         0,1                  0,22


          0
                 Non           LGD                       HGB
               Dysplastic
                                                              KC- Amterdam Groups, DDW 2009
EMR for HGD
                                                                  •    49 patients with HGD
•                   2,1 resections/ patients                           (33)/IMC(16)
•                  Follow up: 22,9 months                         •     CBE_EMR
                   120

                   100

                   80
    Patients (%)




                   60
                                                                               All treated
                               97
                                                                              endoscopically
                   40

                   20                                       31                     37
                                               14
                     0
                            Complete Local     Upstaged    Downstaged                Stenosis
                              remission        Pathology   Pathologyons



                                                                 Chennat et al. Am J Gastroenterol 2009
EMR for BE Cancer
               •        1,47 resections/ patients
                                                                                       •      100 patients with cancer

               •                                                                       •     Low risk
                        Follow up: 3 years
                                                                                               •    Types I, IIa, IIb, IIc
                                                                                               •    Lesion <= 2 cm, Mucosal
               120                                                                             •    Grades G1, G2


               100

                   80
Patients (%)




                   60
                               99                                                                  98
                   40
                                                    Minor Bleeding     All treated
                   20                               No perforation    endoscopically
                                                        11                11
                   0
                            Complete Local            Complications   Recurrent Lesions            Survival 5 yr
                              remission
                                                                                     EII et al. Gastrointest Endosc 2007
                                                P< 0,001
Terapia fotodinamica : 5 años de
          seguimiento
                                             • 208 HGD patients
         Progression to cancer               • PDT (138), Observation (70)
                35
                                       *
                30
                25
 Patients (%)




                20                                                         2 Years
                                                      *
                15                    29
                                                                           5 Years
                                 28

                10
                                                       15
                                            13
                5
                0
                              Observation        PDT
                     P=0.02
                                                 Overholt B et al. Gastrointest Endosc 2007
Radiofrecuencia
Radiofrecuencia
                                                        • 128 patients with BE and dysplasia LGD/HGD
                                                        • Mean BE length 5 cm; 12 month follow up
               100
                              *
                90
                                                *                     *
                80
                70
Patients (%)




                60
                                                                                    SHAM
                50
                             90                                                     RFA
                40                              81                   77
                30
                20
                10     23                  19
                                                               2
                 0
                     LGD Erradicat      HGD Erradicat        IM erradicat
                         N: 64            N: 63                 N: 27

                             P< 0,001

                                                                      Shaheen et al. NEJM 2009
Crioterapia
Crioablación
    Dispositivo de baja presión que usa nitogeno liquido a
    – 196ºC.
   Se libera con un cateter multicapa
   Ablación completa de EB: 9/11(78%)
   Ablacion completa de HGD 90%, cancer precoz 75%

                                Johnston MH et al. Gastrointest Endosc 2005
                                Dumot JA et al. Gastrointest Endosc 2009
¿Se debería dejar la vigilancia?. El
      seguimiento es clave
                                                          • Database of 365 PDT patientes
                                                          •135 patients with 6,8 yrs of follow up
                 40                                       •65 complete erradication of BE

                 35
                 30
                 25
  Patients (%)




                 20
                      35
                 15
                 10
                 5                                                    8
                                                6
                 0
                           BE                       LGD              HGD/Cancer
                      Recurence rates after 4 yrs
                                                            Panjeh et al. DDW 2009
Terapia fotodinamica : 4 años de
          seguimiento
                                                        • PDT (365), 135   patients; follow up 4 yr
                                                        • 65 patietns EB free, Histology in distal 2 cm
                50
                45                  *

                40
 Patients (%)




                35
                                                                               HGD
                30
                                                                               Early CA
                25                                            *
                     44                                                        LGD
                20                                                             IM
                15                                                23
                10
                               14
                 5         6            1   1     4       3
                 0
                          Pre PDT               Post PDT

                                                      Panjehpour M et al. Gastrointest Endosc 2007
Tratamiento endoscopico ablativo
                                           Review of Published literature- 65 articles
                                           More than 2000 patients have undergone ablation
                                           Non-dysplastic:1457;LGD: 239; HGD: 611
            300

            250

Number of
            200
patients
            150
                                                        250
            100

            50
                  20
             0
                       HGD                                  Non-dysplastic
                       Number needed to treat ( NNT)


                                                                   Wani S et al. Am J Gastroenterol 2009

¿ Por que no tratamiento endoscopico a todos
         los pacientes con E Barett?
   EB se asocia con displasia y adenocarcinoma de
    esofago
   Seguimiento: ¿ realmente funciona?
   Manejo proactivo a nuestros pacientes
   No Barrett; No cancer
¿ Por que no tratamiento endoscopico a todos
         los pacientes con E Barett?
   EB es comun ( 2-3 millones de adultos en USA )
    pero el adenocarcinoma de esofago es poco
    frecuente ( 10000-20000 casos/anuales)
   El riesgo de cancer en pacientes sin displasia e
    incluso LGD es extremadamente bajo
   ¿ El riesgo de desarrollo de cancer se elimina tras
    el tratamiento radical y se puede dejar el
    seguimiento?
   Todas las modalidades tiene complicaciones
Retos del tratamiento endoscopico
   Todas la metaplasia intestinales no pueden ser eliminadas ( 70-80%)
   Estenosis, sangrado perforación
   No se produce ablación uniforme
   Persistencia de metaplasia intestinal subescamosa
   Persistencia de anomalias genéticas
Conclusiones
   El tratamiento endoscopico deberia limitarse a pacientes con displasia de alto
    grado o con adenocarcinoma intramucoso
   Hay que tener en consideracion factores propios del paciente como la edad,
    comorbilidades, extensión del cancer, multiples procedimientos y factores de
    la tecnica, experiencia local

Adenocarcinoma De Esofago Y Endoscopia

  • 1.
    ADENOCARCINOMA DE ESOFAGOY ENDOSCOPIA Dr. Juan M. Martín Guerrero.Hospital de la Merced. Osuna.
  • 2.
    Aumento de incidenciade adenocarcinoma de Esófago 35 30 25 Adenocarcinoma 20 Carcinoma 15 epidermoide Otros 10 5 0 1975 1980 1985 1990 1995 2000  Pohl H et al. J Natl Cancer Inst 2005
  • 3.
    Etiología  Erge: E de BArret  Relacion con la obesidad  No relacion con H pylori
  • 4.
    Etipatogenia AspECT; BOSS Genetic? ChOPIN/IPOD ; Biomarkers ?
  • 5.
    Edad presentacion MI 59-63 a Edad media Adenocarcinoma 68-72 a Edad media de muerte del 92% 5yr 70-74 a Expectativa de vida con una Bronconeumonia o 2 ev. vaculares 75-80 a Expectariva de vida de poblacion general 79-84 a
  • 6.
    Estrategias para prevenciondel cancer  Screening ?  Seguimiento + intervencion ( no es coste efectivo)  Diagnostico sintomatico precoz ( ninguno)  Modificacion del estilo de vida ( obesidad y dieta- no esta probado)  Identificacion de susceptibilidad familiar  Intervencion ambiental ( tabaco, obesidad )  Quimioprevencion ( mas coste efectivo)
  • 7.
  • 8.
    Riesgo de progresiónen pacientes con E Barrett según grado de displasia  Ausencia de displasia: 0,5-0,6%  LGD 0,6-0,7%  HGD 5-6% Yousef et al. Am J Epid 2008 Sharma et al. Gastroenterology 2006 Rastogi et al. Gastriintest Endosc 2008
  • 13.
  • 14.
    Imagen con metapasia columnar endoscopica y metaplasia intestinal de AP
  • 15.
  • 16.
  • 19.
  • 20.
    Adjusted odds ratiosfrom case–control studies examining the association between overweight (body mass index ≥25 kg/m2) and adenocarcinoma of the esophagus (top) and the association between obesity (body mass index >30 kg/m2) and esophageal adenocarcinoma (bottom). Hampel H et al. Ann Intern Med 2005;143:199-211
  • 21.
    Quimioprevención  Nitratos  Calcioantagonistas  AINEs/5 ASA, ( COXIB), PPI  estatinas  Aspirina, Estudio ASPECT ( N=2500 patients) Esomeprazol 20 mg Esomeprazol 80 mg n:725 n:725 End Points: •Red 35% Inc cancer Esomeprazol 20 mg + Esomeprazol 80 mg + •Red. 15% Muertes 300 mg or less AAS 300 mg or less AAS n:725 n:725 Jankowsky and Moayyhedi, J Inst Natl Cancer 2004
  • 22.
    Importancia de laendoscopia en el EB y Adenocarcinoma de esofago  Deteccion precoz  Mejora del estadiaje  Mejora en el tratamiento
  • 23.
    Tratamiento endoscopico • EMR:Resección mucosa endoscópica • Tratamientos ablativos •Terapia Fotodinámica • Radiofrecuencia • Crioablación
  • 24.
  • 25.
  • 26.
  • 27.
  • 28.
  • 29.
    Histopathological criteria foradditional treatment after endoscopic mucosal resection for esophageal cancer: analysis of 464 surgically resected cases 60 50 0 40 30 56 % LY 53,1 20 10 18 0 5,6 0 M1 M2 M3 SM1 SM2/3 Modern Pathology (2006) 19, 475–480.
  • 30.
    Do Pathologists DoBetter with EMR specimen? • 251 EMR, 269 Biopsy specimens •4 pathologists •Interobserver agreement tested 0,6 0,5 0,4 Kappa Biopsy values 0,3 0,57 0,51 EMR 0,43 0,2 0,35 0,33 0,1 0,22 0 Non LGD HGB Dysplastic  KC- Amterdam Groups, DDW 2009
  • 31.
    EMR for HGD • 49 patients with HGD • 2,1 resections/ patients (33)/IMC(16) • Follow up: 22,9 months • CBE_EMR 120 100 80 Patients (%) 60 All treated 97 endoscopically 40 20 31 37 14 0 Complete Local Upstaged Downstaged Stenosis remission Pathology Pathologyons Chennat et al. Am J Gastroenterol 2009
  • 32.
    EMR for BECancer • 1,47 resections/ patients • 100 patients with cancer • • Low risk Follow up: 3 years • Types I, IIa, IIb, IIc • Lesion <= 2 cm, Mucosal 120 • Grades G1, G2 100 80 Patients (%) 60 99 98 40 Minor Bleeding All treated 20 No perforation endoscopically 11 11 0 Complete Local Complications Recurrent Lesions Survival 5 yr remission EII et al. Gastrointest Endosc 2007 P< 0,001
  • 33.
    Terapia fotodinamica :5 años de seguimiento • 208 HGD patients Progression to cancer • PDT (138), Observation (70) 35 * 30 25 Patients (%) 20 2 Years * 15 29 5 Years 28 10 15 13 5 0 Observation PDT P=0.02 Overholt B et al. Gastrointest Endosc 2007
  • 34.
  • 35.
    Radiofrecuencia • 128 patients with BE and dysplasia LGD/HGD • Mean BE length 5 cm; 12 month follow up 100 * 90 * * 80 70 Patients (%) 60 SHAM 50 90 RFA 40 81 77 30 20 10 23 19 2 0 LGD Erradicat HGD Erradicat IM erradicat N: 64 N: 63 N: 27 P< 0,001 Shaheen et al. NEJM 2009
  • 36.
  • 37.
    Crioablación  Dispositivo de baja presión que usa nitogeno liquido a – 196ºC.  Se libera con un cateter multicapa  Ablación completa de EB: 9/11(78%)  Ablacion completa de HGD 90%, cancer precoz 75% Johnston MH et al. Gastrointest Endosc 2005 Dumot JA et al. Gastrointest Endosc 2009
  • 38.
    ¿Se debería dejarla vigilancia?. El seguimiento es clave • Database of 365 PDT patientes •135 patients with 6,8 yrs of follow up 40 •65 complete erradication of BE 35 30 25 Patients (%) 20 35 15 10 5 8 6 0 BE LGD HGD/Cancer Recurence rates after 4 yrs Panjeh et al. DDW 2009
  • 39.
    Terapia fotodinamica :4 años de seguimiento • PDT (365), 135 patients; follow up 4 yr • 65 patietns EB free, Histology in distal 2 cm 50 45 * 40 Patients (%) 35 HGD 30 Early CA 25 * 44 LGD 20 IM 15 23 10 14 5 6 1 1 4 3 0 Pre PDT Post PDT Panjehpour M et al. Gastrointest Endosc 2007
  • 40.
    Tratamiento endoscopico ablativo Review of Published literature- 65 articles More than 2000 patients have undergone ablation Non-dysplastic:1457;LGD: 239; HGD: 611 300 250 Number of 200 patients 150 250 100 50 20 0 HGD Non-dysplastic Number needed to treat ( NNT) Wani S et al. Am J Gastroenterol 2009
  • 41.
  • 42.
    ¿ Por queno tratamiento endoscopico a todos los pacientes con E Barett?  EB se asocia con displasia y adenocarcinoma de esofago  Seguimiento: ¿ realmente funciona?  Manejo proactivo a nuestros pacientes  No Barrett; No cancer
  • 43.
    ¿ Por queno tratamiento endoscopico a todos los pacientes con E Barett?  EB es comun ( 2-3 millones de adultos en USA ) pero el adenocarcinoma de esofago es poco frecuente ( 10000-20000 casos/anuales)  El riesgo de cancer en pacientes sin displasia e incluso LGD es extremadamente bajo  ¿ El riesgo de desarrollo de cancer se elimina tras el tratamiento radical y se puede dejar el seguimiento?  Todas las modalidades tiene complicaciones
  • 44.
    Retos del tratamientoendoscopico  Todas la metaplasia intestinales no pueden ser eliminadas ( 70-80%)  Estenosis, sangrado perforación  No se produce ablación uniforme  Persistencia de metaplasia intestinal subescamosa  Persistencia de anomalias genéticas
  • 45.
    Conclusiones  El tratamiento endoscopico deberia limitarse a pacientes con displasia de alto grado o con adenocarcinoma intramucoso  Hay que tener en consideracion factores propios del paciente como la edad, comorbilidades, extensión del cancer, multiples procedimientos y factores de la tecnica, experiencia local

Notas del editor

  • #21 Adjusted odds ratios from case–control studies examining the association between overweight (body mass index ≥25 kg/m2) and adenocarcinoma of the esophagus (top) and the association between obesity (body mass index &gt;30 kg/m2) and esophageal adenocarcinoma (bottom).