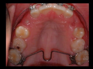
BARRA TRANSPALATINA
 
 
FUNCIONES INTRUSIÓN MOLAR TORQUE MOLAR ELIMINACIÓN DEL FULCRUM POSTERIOR ROTACION MOLAR ANCLAJE INCLINACIÓN MOLAR
INTRUSIÓN MOLAR BARRA PALATINA BAJA
APLANAR LA CURVA DE WILSON TORQUE MOLAR
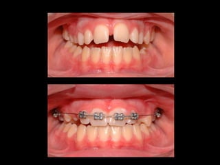
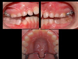
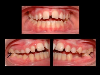
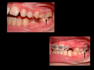
Normalmente, los primeros molares superiores erupcionan hacia vestibular y los inferiores hacia lingual, y después se enderezan.  Esto ocurre cuando hay lugar en el arco. Si no hay espacio, los molares mantienen esa posición y quedan las cúspides palatinas caídas.
PRACTICAMENTE EL 100% DE LOS CASOS NECESITAN TORQUE. EL TORQUE QUE GENERA EL ARCO VESTIBULAR EN LOS MOLARES ES INSUFICIENTE.
Cuando solo quiero torque, la BTP debe quedar lo más cercana al paladar, porque  cuanto mas largo sea el brazo mejor puede actuar.
Cuando necesito intrusión más torque, primero intruyo, y después torqueo porque si no, las cúspides palatinas se anclan en la cortical y no puedo intruir.
CUANDO LOS MOLARES TIENEN TORQUE +, LOS TUBOS PALATINOS ESTÁN  INCLINADOS HACIA OCLUSAL Y VESTIBULAR, SE CREA UNA DIVERGENCIA ENTRE LAS  LLAVES DE LA BARRA, QUE SON PARALELAS EN SENTIDO VERTICAL, Y LA INCLINACIÓN  DE LOS TUBOS PALATINOS.  ESTO PRODUCE UN EFECTO DE TORQUE -, LA ELEVACION DE LAS CUSPIDES PALATINAS Y CON ELLO EL CONTROL  OCLUSAL DEL SECTOR  POSTERIOR .
PARA QUE SE PRODUZCA UN TORQUE – ADECUADO, LA LLAVE DEBE POSICIONARSE  5-6 mm HACIA OCLUSAL DEL TUBO PALATINO DEL MOLAR DEL LADO OPUESTO .
 
INCLINACIÓN MOLAR LA LLAVE DE LA BARRA DEBE TENER LA MISMA ORIENTACIÓN QUE LA CAJA PALATINA (cuando no busco un movimiento mesiodistal)
LA LLAVE DE LA BARRA ESTÁ INCLINADA HACIA OCLUSO-DISTAL (DIVERGENCIA CON LA CAJA PALATINA) EL MOLAR SE INCLINA A MESIAL (y pierde anclaje) LA CÚSPIDE DISTAL DESCIENDE (y el 7 se extruye)
ACTIVACIÓN MESIODISTAL LA LLAVE DE LA BARRA PALATINA ESTÁ INCLINADA HACIA GÍNGIVO-DISTAL SE PRODUCE INCLINACIÓN DISTAL DEL MOLAR (mayor anclaje) LAS CÚSPIDES MESIALES DESCIENDEN Y LAS DISTALES SUBEN (lo que intruye al 7)
INCLINACIÓN MESIODISTAL BARRA PALATINA CON OMEGA HACIA DISTAL DESCENDIDO LA PRESIÓN LINGUAL PRODUCE SU ACTIVACIÓN EL MOLAR SE DISTOINCLINA
INCLINACIÓN MESIODISTAL BARRA PALATINA CON OMEGA MESIAL DESCENDIDO LA PRESIÓN LINGUAL PRODUCE SU ACTIVACIÓN EL MOLAR SE MESIOINCLINA
Rotación distal  del molar
BARRA PALATINA CORRIGIENDO LA ROTACIÓN MOLAR SE PUEDE GANAR 1-2 MM DE LONGITUD DE ARCADA POR LADO
 
ACTIVACIÓN DE ROTACIÓN DISTAL INSTALAR LA BARRA DE UN LADO EL OTRO EXTREMO DEBE QUEDAR 5MM POR DISTAL DEL TUBO CONTRARIO
LA ACTIVACIÓN  ES CORRECTA CUANDO LA LLAVE LIBRE  SE DESPLAZA  5MM  POR DISTAL DEL TUBO OPUESTO
 
 
 
 
 
 
 
 
 
 
 
 
 
 
Un cafecito ?????
 

Barra transpalatina

  • 1.
  • 2.
  • 3.
  • 4.
    FUNCIONES INTRUSIÓN MOLARTORQUE MOLAR ELIMINACIÓN DEL FULCRUM POSTERIOR ROTACION MOLAR ANCLAJE INCLINACIÓN MOLAR
  • 5.
  • 6.
    APLANAR LA CURVADE WILSON TORQUE MOLAR
  • 7.
    Normalmente, los primerosmolares superiores erupcionan hacia vestibular y los inferiores hacia lingual, y después se enderezan. Esto ocurre cuando hay lugar en el arco. Si no hay espacio, los molares mantienen esa posición y quedan las cúspides palatinas caídas.
  • 8.
    PRACTICAMENTE EL 100%DE LOS CASOS NECESITAN TORQUE. EL TORQUE QUE GENERA EL ARCO VESTIBULAR EN LOS MOLARES ES INSUFICIENTE.
  • 9.
    Cuando solo quierotorque, la BTP debe quedar lo más cercana al paladar, porque cuanto mas largo sea el brazo mejor puede actuar.
  • 10.
    Cuando necesito intrusiónmás torque, primero intruyo, y después torqueo porque si no, las cúspides palatinas se anclan en la cortical y no puedo intruir.
  • 11.
    CUANDO LOS MOLARESTIENEN TORQUE +, LOS TUBOS PALATINOS ESTÁN INCLINADOS HACIA OCLUSAL Y VESTIBULAR, SE CREA UNA DIVERGENCIA ENTRE LAS LLAVES DE LA BARRA, QUE SON PARALELAS EN SENTIDO VERTICAL, Y LA INCLINACIÓN DE LOS TUBOS PALATINOS. ESTO PRODUCE UN EFECTO DE TORQUE -, LA ELEVACION DE LAS CUSPIDES PALATINAS Y CON ELLO EL CONTROL OCLUSAL DEL SECTOR POSTERIOR .
  • 12.
    PARA QUE SEPRODUZCA UN TORQUE – ADECUADO, LA LLAVE DEBE POSICIONARSE 5-6 mm HACIA OCLUSAL DEL TUBO PALATINO DEL MOLAR DEL LADO OPUESTO .
  • 13.
  • 14.
    INCLINACIÓN MOLAR LALLAVE DE LA BARRA DEBE TENER LA MISMA ORIENTACIÓN QUE LA CAJA PALATINA (cuando no busco un movimiento mesiodistal)
  • 15.
    LA LLAVE DELA BARRA ESTÁ INCLINADA HACIA OCLUSO-DISTAL (DIVERGENCIA CON LA CAJA PALATINA) EL MOLAR SE INCLINA A MESIAL (y pierde anclaje) LA CÚSPIDE DISTAL DESCIENDE (y el 7 se extruye)
  • 16.
    ACTIVACIÓN MESIODISTAL LALLAVE DE LA BARRA PALATINA ESTÁ INCLINADA HACIA GÍNGIVO-DISTAL SE PRODUCE INCLINACIÓN DISTAL DEL MOLAR (mayor anclaje) LAS CÚSPIDES MESIALES DESCIENDEN Y LAS DISTALES SUBEN (lo que intruye al 7)
  • 17.
    INCLINACIÓN MESIODISTAL BARRAPALATINA CON OMEGA HACIA DISTAL DESCENDIDO LA PRESIÓN LINGUAL PRODUCE SU ACTIVACIÓN EL MOLAR SE DISTOINCLINA
  • 18.
    INCLINACIÓN MESIODISTAL BARRAPALATINA CON OMEGA MESIAL DESCENDIDO LA PRESIÓN LINGUAL PRODUCE SU ACTIVACIÓN EL MOLAR SE MESIOINCLINA
  • 19.
  • 20.
    BARRA PALATINA CORRIGIENDOLA ROTACIÓN MOLAR SE PUEDE GANAR 1-2 MM DE LONGITUD DE ARCADA POR LADO
  • 21.
  • 22.
    ACTIVACIÓN DE ROTACIÓNDISTAL INSTALAR LA BARRA DE UN LADO EL OTRO EXTREMO DEBE QUEDAR 5MM POR DISTAL DEL TUBO CONTRARIO
  • 23.
    LA ACTIVACIÓN ES CORRECTA CUANDO LA LLAVE LIBRE SE DESPLAZA 5MM POR DISTAL DEL TUBO OPUESTO
  • 24.
  • 25.
  • 26.
  • 27.
  • 28.
  • 29.
  • 30.
  • 31.
  • 32.
  • 33.
  • 34.
  • 35.
  • 36.
  • 37.
  • 38.
  • 39.