CABEZA Y  CUELLO
CAVIDAD ORALDIENTES Y ESTRUCTURAS DE SOPORTELa cariesLa gingivitisLa periodontitis
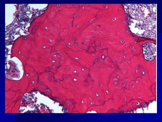
FIBROMA
Lesiones inflamatorias/reactivasLesiones reactivasFibroma por irritaciónGranulomaspiogénicosFibroma osificante periféricoGranulomaperiférico de células gigantes (epulis de células gigantes)
GRANULOMA PIÓGENO
GRANULOMA PIÓGENO
Ulceras aftosasGlositisInfecciones: I. por el virus del herpes simple, Candidiasis Oral (muguet)Manifestaciones orales de enfermedades SistémicasInfecciones: escarlatina, sarampión, mononucleosis infecciosa.Enf. dermatológicas: liquen plano, erite.m.T. hematológicos: pancitopenias, leucemiasMisceláneasLeucoplaquia vellosa
AFTA
CANDIDIASIS ORAL
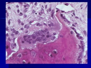
Tumores y lesiones precancerosasLeucoplasia y eritroplasiaCarcinoma escamoso:50 y 70 años edad. Suelode la boca, lengua, paladar blando. Carcinomas Escamosos. Tabaco y alcohol.Quistes odontógenos: Quistes dentígeros,Queratoquisteodontogénico, quistes periapicales.Tumores odontogénicos: Ameloblastoma,Odontoma.
LEUCOPLASIA
LEUCOPLASIA
LEUCOPLASIA
LEUCOPLASIA
LEUCOPLASIA
ERITROPLASIA
ERITROPLASIA
CARCINOMA ESCAMOSO
CARCINOMA VERRUCOSO
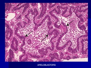
AMELOBLASTOMA
Vías aereas superioresNARIZInflamaciones: Rinitis infecciosa, rinitis alérgica, pó-lipos nasales, sinusitisLesiones necrosantes de la nariz y de las vías aéreas Superiores: Diseminación de infecciones fúngicas, Granulomatosisde Wegener,Granuloma letal de la líneamedia.Inflamaciones de la nasofaringe: Faringitis y amigdal.Tumores de la nariz, los senos y la nasofaringe: an-giofibromanasofaringeo, papiloma invertido, neuro-blastomaolfatorio, carcinoma nasofaringeo
PÓLIPOS NASALES
PÓLIPOS NASALES
PÓLIPOS NASALES
PAPILOMA INVERTIDO
CARCINOMA NASOFARÍNGEO
Deformidad nasalGRANULOMATOSISDEWEGENER
CARCINOMA DE CÉLULAS ESCAMOSAS DEL SENO MAXILAR
LINFOMA ANGIOCENTRICO
ANGIOFIBROMA NASOFARÍNGEO
LARINGEINFLAMACIONESNODULOS REACTIVOS (POLIPOS EN LAS CUERDAS VOCALES)CARCINOMA DE LARINGEPAPILOMA ESCAMOSO Y PAPILOMATOSIS
PÓLIPO DE CUERDA VOCAL
CARCINOMA DE CÉLULAS ESCAMOSAS DE LA LARINGE
OIDOSLesiones inflamatorias: otitis media,colesteatomas.otosclerosisPOLICONDRITIS
COMPLICACIÓN DE OTITIS MEDIA MASTOIDITIS AGUDA
OTOSCLEROSIS
CUELLOQUISTES BRANQUIALES (QUISTES LINFOEPITEL.)QUISTES DEL CONDUCTO TIROGLOSOPARAGANGLIOMA (TUMOR DEL CUERPO CAROTIDEO).
QUISTES BRANQUIALES
PARAGANGLIOMA
GLANDULAS SALIVALESXerostomíaSialoadenitisNeoplasias: Adenoma pleomorfo, Tu-  mor de Warthin (cistoadenoma papilar linfomatoso),Carcinoma mucoepiderm.Otros: Carcinoma reumatoide quístico,  Tumor de celulasacinares.
MUCOCELE
ADENOMA PLEOMORFO
TUMOR DE WARTHIN
HUESOSANOMALÍAS CONGÉNITAS (GENÉTICAS)Y ADQUIRIDAS DE CELULAS, MATRIZ YESTRUCTURA DEL HUESOLas alteraciones del desarrollo tienen frecuen-temente una base genética, y se manifiestan durante los estadíos precoces de la formación   ósea. Las adquiridas en la edad adulta.La clasificación patogenética molecular de los tras-   tornos genéticos se basa en las propiedades funcionales del gen o de la proteína afectada
MALFORMACIONES Y ENFERMEDADES CAUSADAS POR DEFECTOS DE LAS PROTEINAS NUCLEARES Y LOS FACTORES DE TRANSCRIPCIONInfrecuentes. El fallo de desarrollo de un hueso (fa-lange, costilla o clavícula), la formación de huesos adicionales (costillas o dedos supernumerarios), lafusión de dedosadyacentes (sindactilia) o la forma-cion de dedos largos tipo araña.
ENFERMEDADES CAUSADAS POR DEFECTOS HORMONALES Y MECANISMOS DE TRANSDUCCION DE SEÑALESACONDROPLASIA: Forma común de enanismo hereditario. Autosomico dominante. Mutación en el FGFR3. La activación de FGFR3 inhibe la sintesis de cartilago en la placa epifisiaria en crecimiento causando una disminución en la formación oseaendocondral y la osificacion prematura de las placas en crecimiento.Los huesos largos son cortos y delgados,enanismo Los huesos craneales y vertebrales se agrandan generando gran cabeza y tronco.Inteligencianormal,vida y reproduccion normal
ENFERMEDADES ASOCIADAS CON DEFECTOS EN LAS PROTEINAS ESTRUCTURALES EXTRACELULARESOSTEOGENESIS IMPERFECTA: Síntesis anormal de colágeno tipo I. Osteopenia generalizada (hueso fragil) causando fracturas recurrentes y deformidades del esqueleto. Escleras con tinte azulado. Laxitud de los ligamentos articulares permiten la hipermovilidad. El compromiso de los huesos del oido interno produce sordera. Algunos presntandentinogenesis imperfecta dientes pequeños, fragiles, descoloridos (deficiencia de la dentina. Dermis delgada,piel susceptibles a contusiones.
OSTEOGENESIS IMPERFECTA
ENFERMEDADES ASOCIADAS CON DEFECTOS DEL PLEGAMIENTO Y DEGRADACION DE MACROMOLECULASMUCOPOLISACARIDOSIS: Existen alteraciones en el cartilago hialino de las placas de crecimiento, cartlagos costales y superficies articulares. Estatura corta y tienen huesos mal formados, además de otras anomalías cartilaginosas
ENFERMEDADES ASOCIADAS CON DEFECTOS EN LAS VIAS METABOLICAS (ENZIMAS,CANALES IONICOS Y TRANSPORTADORES)OSTEOPETROSIS: Disminucion de la funcion del osteoclasto permitiendo la disminucion de la resorcion y huesos gruesos escleroticos. Incremento de la densidad osea y engrosamiento de la corteza osea.Debilidad de los huesos los hace quebradizos. Debido al estrechamiento y fibrosis de las cavidades medulares lleva a pancitopenia. He-matopoyesisextramedular.Compresion de los nervios craneales.Hidrocefalia debido a la obstruccion del LCR.
ENFERMEDADES ASOCIADAS CON REDUCCION DE LA MASA OSEAOSTEOPOROSIS: Disminución de la masa ósea (osteopenia) causando fragilidad ósea y susceptibles de fracturas.Causas Primarias: Deficiencia de estrogeno, F.Geneticos.Ausencia de ejercicio.Adulto mayor.    F. Nutricionales.Causas Secundarias: Inmovilizacion,Endocrinopatías
Malnutricion(Def. de Ca, vit C y D,proteínas),Cortico    esteroides, Enf.genetica(OGI,E.deGaucher),Frac-    turas de vertebras, cuello femoral, Radio distal,Disminucion de peso y xifosis. Ca.serico N.
ENFERMEDADES CAUSADAS POR ALTERACIONES FUNCIONALES DE LOS OSTEOCLASTOSENFERMEDAD DE PAGET (OSTEITIS DEFORMANTE)    Desorden localizado de la remodelación ósea, causando una excesiva reabsorción del hueso correspondiente por un desorganizado reemplazo   del hueso, produciendo engrosamiento pero debilidad osea que es susceptible de deformarse y   fracturarse.  Comienza en los 40 años. Posible infeccion con virus lentos por paramixovirus.   Tres estadios:Osteolitica,Mezcla de osteoblastica-osteolitica. Osteoesclerotica.     Ordenamiento al azar de las lineas de cemento, creando un patron de mosaico de h. lamelares.Elevacionserica de F.alcalina
ENFERMEDADES ASOCIADAS CON UNA HOMEOSTASIS MINERAL ANORMALRAQUITISMO (niños) Y OSTEOMALACIA (adultos): Ambas enfermedades se caracterizan por disminucion de la mineralizacion de los  nuevos huesos formados,causado por la deficiencia o metabolismo anormal de la vit. D. Malabsorcion intestinal, No exponerse al sol. Enf. Renal yhepaticaTratamiento: Vit. D y Calcio.
OSTEOMALACIA
INFECCIONES Y OSTEOMIELITISOSTEOMIELITIS PIOGENA: Diseminación hematógena. Afecta comúnmente la metafisisStaphylococcusaureus es el mas frecuente.    Fiebre y leucocitosis. Dolor localizado.    I. supurativa, Insufi.vascular,Secuestro,InvolucrumOSTEOMIELITIS TBC: Ocurre en 1%, Granuloma caseoso con destrucción extensa de los huesos.    Vertebra torácica y lumbar (“Mal de Pott”).Fract. Compresivas vertebrales, Absceso del psoas,amiloidosis
Desórdenes misceláneos del tejido óseoNecrosis Avascular:	Definición: Necrosis isquémica del hueso y médula	Causas: Trauma o fractura (mas común), idiopático, esteroides, anemia de sicklecell, Enfermedad de Gaucher.	Complicaciones : Osteoartritis y fracturas.
Osteitis Fibrosa Quística	Definición : Hormona paratiroideaexcesiva (hiperparatiroidismo) causa la activación de los osteoclastos y resorción generalizada de los huesos.	Etiología: Adenoma Paratiroideo, Hiperplasia Paratiroidea	Clínica: Ocurre en el hiperparatiroidismo primario, causa dolor óseo, deformidades óseas y fracturas.	Patología : La excesiva resorción ósea con incremento del número de osteoclastos, reemplazo fibroso de la médula, espacios quísticos en la trabécula ósea (osteitisdisecante),Tumor de Brown.
Osteoartropatía hipertrófica	Presentes con edema doloroso en las muñecas, dedos, tobillos, rodilla o codo.	Patología: Al final de los huesos largos tienen nuevas formaciones periostales, compromiso digital, artritis en articulaciones adyacentes es comúnmente vista.	Etiología : Carcinoma Broncogénico (un Sindromeparaneoplásico), Enfermedad crónica pulmonar.
Tumores Benignos del Tejido OseoOsteoma :	Definición: neoplasia benigna que frecuentemente involucra el cráneo y huesos faciales.	“Hiperostosis frontal interna” describe un osteoma que se extiende dentro de la órbita o senos paranasales.Osteoma Osteoide:	Definición: benigno, crecimiento dolorosode los huesos largos, frecuentemente la tibia, o fémur	Presentación: Varón>mujer, edad de 5-25 años, dolor que es peor en la noche y que mejora con aspirina.	Micro: Lesión pequeña (<2cm) en la corteza.
OSTEOMA OSTEOIDE
Osteoblastoma	Similar ala osteoma osteoide pero grande (>2cm) y frecuentemente involucra la vértebra.Osteocondroma (exostosis)	Definición : crecimiento metafiseal óseo benigno cubierto con cartílago que se origina de la placa de crecimiento epifisial.	Clínica: varones adolescentes, firme, crecimiento solitario al final de los huesos largos, pueden ser asintomáticos, causan dolor, producen deformidad y se transforman malignamente(raro), osteocondromatosis (exostosis Múltiple Hereditaria) Múltiple, frecuentemente simétrico, osteocondromas.
Endocondroma	Definición: crecimiento cartilaginoso benigno dentro de la cavidad medular del hueso, que usualmente involucra las manos y pies.	Solitarios típicamente y asintomáticos y no requieren tratamiento.Endocondromas múltiples (endocondromatosis)   - Enfermedad de Ollier   - Sindrome de Maffucci
Tumores Malignos OseosOsteosarcoma:	Tumor primario maligno mas común del hueso.	Incidencia: Varón >mujer, ocurre en adolescentes (edad 10-25), pacientes con retinoblastoma familiar tienen alto riesgo.	Clínica: dolor localizado y edema.	Hallazgos clásicos a los rayos X: Triángulo de Codman’s (elevación periostal),Patrón “bronceado por el sol”, destrucción ósea.
Condrosarcoma	Definición: tumor maligno de condroblastos, varón>mujer; edad 30-60	Etiología: el tumor surge e novo o secundario a un condrosarcomapreexistente,exostosis o enfermedad de Paget.	Clínica : crecimiento de la masa con dolor y edema.	Típicamente involucra la pelvis ósea, columna y hombros	Micro: compuesto de condrocitos atípicos y condroblastos, frecuentemente con núcleos múltiples en una laguna.
Tumores de células gigantes(osteoclastoma)	Neoplasia maligna no común conteniendo células gigantes multinucleadas con células estromales.	Mujer>varón; edad 20-50 años	Clínica: gran masa con dolor y fractura.	Micro: múltiples células gigates similares a osteoclastos son distribuidos dentro de un conjunto de células estromalesmononucleares.
Sarcoma de Ewing	Neoplasia maligna de células indiferenciadas que surgen dentro de la cavidad de la médula.	Incidencia: Varones son afectados mas que las mujeres, ocurren a la edad de 5-20.	Clínica: Dolor, edema y sensibilidad.	Micro : Hjas de células azules pequeñas, redondas no diferenciadas que se asemejan a los linfocitos, PseudorosetasHomer Wright.	Metástasis ósea 	Mucho mas común que los tumores primarios óseos	Sitios comunes primarios: Próstata, Mama, Pulmón, Tiroides, Riñón.
SARCOMA EWING
MESTÄSTASIS DE CARCINOMA DE MAMA A HUESO
Cabeza, cuello huesos

Cabeza, cuello huesos

  • 1.
    CABEZA Y CUELLO
  • 2.
    CAVIDAD ORALDIENTES YESTRUCTURAS DE SOPORTELa cariesLa gingivitisLa periodontitis
  • 5.
  • 6.
    Lesiones inflamatorias/reactivasLesiones reactivasFibromapor irritaciónGranulomaspiogénicosFibroma osificante periféricoGranulomaperiférico de células gigantes (epulis de células gigantes)
  • 7.
  • 8.
  • 9.
    Ulceras aftosasGlositisInfecciones: I.por el virus del herpes simple, Candidiasis Oral (muguet)Manifestaciones orales de enfermedades SistémicasInfecciones: escarlatina, sarampión, mononucleosis infecciosa.Enf. dermatológicas: liquen plano, erite.m.T. hematológicos: pancitopenias, leucemiasMisceláneasLeucoplaquia vellosa
  • 10.
  • 11.
  • 12.
    Tumores y lesionesprecancerosasLeucoplasia y eritroplasiaCarcinoma escamoso:50 y 70 años edad. Suelode la boca, lengua, paladar blando. Carcinomas Escamosos. Tabaco y alcohol.Quistes odontógenos: Quistes dentígeros,Queratoquisteodontogénico, quistes periapicales.Tumores odontogénicos: Ameloblastoma,Odontoma.
  • 13.
  • 14.
  • 15.
  • 16.
  • 17.
  • 18.
  • 19.
  • 21.
  • 22.
  • 24.
  • 25.
    Vías aereas superioresNARIZInflamaciones:Rinitis infecciosa, rinitis alérgica, pó-lipos nasales, sinusitisLesiones necrosantes de la nariz y de las vías aéreas Superiores: Diseminación de infecciones fúngicas, Granulomatosisde Wegener,Granuloma letal de la líneamedia.Inflamaciones de la nasofaringe: Faringitis y amigdal.Tumores de la nariz, los senos y la nasofaringe: an-giofibromanasofaringeo, papiloma invertido, neuro-blastomaolfatorio, carcinoma nasofaringeo
  • 26.
  • 27.
  • 28.
  • 29.
  • 30.
  • 31.
  • 32.
    CARCINOMA DE CÉLULASESCAMOSAS DEL SENO MAXILAR
  • 33.
  • 34.
  • 35.
    LARINGEINFLAMACIONESNODULOS REACTIVOS (POLIPOSEN LAS CUERDAS VOCALES)CARCINOMA DE LARINGEPAPILOMA ESCAMOSO Y PAPILOMATOSIS
  • 36.
  • 37.
    CARCINOMA DE CÉLULASESCAMOSAS DE LA LARINGE
  • 41.
    OIDOSLesiones inflamatorias: otitismedia,colesteatomas.otosclerosisPOLICONDRITIS
  • 43.
    COMPLICACIÓN DE OTITISMEDIA MASTOIDITIS AGUDA
  • 44.
  • 45.
    CUELLOQUISTES BRANQUIALES (QUISTESLINFOEPITEL.)QUISTES DEL CONDUCTO TIROGLOSOPARAGANGLIOMA (TUMOR DEL CUERPO CAROTIDEO).
  • 46.
  • 47.
  • 48.
    GLANDULAS SALIVALESXerostomíaSialoadenitisNeoplasias: Adenomapleomorfo, Tu- mor de Warthin (cistoadenoma papilar linfomatoso),Carcinoma mucoepiderm.Otros: Carcinoma reumatoide quístico, Tumor de celulasacinares.
  • 49.
  • 51.
  • 55.
  • 61.
    HUESOSANOMALÍAS CONGÉNITAS (GENÉTICAS)YADQUIRIDAS DE CELULAS, MATRIZ YESTRUCTURA DEL HUESOLas alteraciones del desarrollo tienen frecuen-temente una base genética, y se manifiestan durante los estadíos precoces de la formación ósea. Las adquiridas en la edad adulta.La clasificación patogenética molecular de los tras- tornos genéticos se basa en las propiedades funcionales del gen o de la proteína afectada
  • 64.
    MALFORMACIONES Y ENFERMEDADESCAUSADAS POR DEFECTOS DE LAS PROTEINAS NUCLEARES Y LOS FACTORES DE TRANSCRIPCIONInfrecuentes. El fallo de desarrollo de un hueso (fa-lange, costilla o clavícula), la formación de huesos adicionales (costillas o dedos supernumerarios), lafusión de dedosadyacentes (sindactilia) o la forma-cion de dedos largos tipo araña.
  • 65.
    ENFERMEDADES CAUSADAS PORDEFECTOS HORMONALES Y MECANISMOS DE TRANSDUCCION DE SEÑALESACONDROPLASIA: Forma común de enanismo hereditario. Autosomico dominante. Mutación en el FGFR3. La activación de FGFR3 inhibe la sintesis de cartilago en la placa epifisiaria en crecimiento causando una disminución en la formación oseaendocondral y la osificacion prematura de las placas en crecimiento.Los huesos largos son cortos y delgados,enanismo Los huesos craneales y vertebrales se agrandan generando gran cabeza y tronco.Inteligencianormal,vida y reproduccion normal
  • 66.
    ENFERMEDADES ASOCIADAS CONDEFECTOS EN LAS PROTEINAS ESTRUCTURALES EXTRACELULARESOSTEOGENESIS IMPERFECTA: Síntesis anormal de colágeno tipo I. Osteopenia generalizada (hueso fragil) causando fracturas recurrentes y deformidades del esqueleto. Escleras con tinte azulado. Laxitud de los ligamentos articulares permiten la hipermovilidad. El compromiso de los huesos del oido interno produce sordera. Algunos presntandentinogenesis imperfecta dientes pequeños, fragiles, descoloridos (deficiencia de la dentina. Dermis delgada,piel susceptibles a contusiones.
  • 67.
  • 69.
    ENFERMEDADES ASOCIADAS CONDEFECTOS DEL PLEGAMIENTO Y DEGRADACION DE MACROMOLECULASMUCOPOLISACARIDOSIS: Existen alteraciones en el cartilago hialino de las placas de crecimiento, cartlagos costales y superficies articulares. Estatura corta y tienen huesos mal formados, además de otras anomalías cartilaginosas
  • 70.
    ENFERMEDADES ASOCIADAS CONDEFECTOS EN LAS VIAS METABOLICAS (ENZIMAS,CANALES IONICOS Y TRANSPORTADORES)OSTEOPETROSIS: Disminucion de la funcion del osteoclasto permitiendo la disminucion de la resorcion y huesos gruesos escleroticos. Incremento de la densidad osea y engrosamiento de la corteza osea.Debilidad de los huesos los hace quebradizos. Debido al estrechamiento y fibrosis de las cavidades medulares lleva a pancitopenia. He-matopoyesisextramedular.Compresion de los nervios craneales.Hidrocefalia debido a la obstruccion del LCR.
  • 76.
    ENFERMEDADES ASOCIADAS CONREDUCCION DE LA MASA OSEAOSTEOPOROSIS: Disminución de la masa ósea (osteopenia) causando fragilidad ósea y susceptibles de fracturas.Causas Primarias: Deficiencia de estrogeno, F.Geneticos.Ausencia de ejercicio.Adulto mayor. F. Nutricionales.Causas Secundarias: Inmovilizacion,Endocrinopatías
  • 77.
    Malnutricion(Def. de Ca,vit C y D,proteínas),Cortico esteroides, Enf.genetica(OGI,E.deGaucher),Frac- turas de vertebras, cuello femoral, Radio distal,Disminucion de peso y xifosis. Ca.serico N.
  • 80.
    ENFERMEDADES CAUSADAS PORALTERACIONES FUNCIONALES DE LOS OSTEOCLASTOSENFERMEDAD DE PAGET (OSTEITIS DEFORMANTE) Desorden localizado de la remodelación ósea, causando una excesiva reabsorción del hueso correspondiente por un desorganizado reemplazo del hueso, produciendo engrosamiento pero debilidad osea que es susceptible de deformarse y fracturarse. Comienza en los 40 años. Posible infeccion con virus lentos por paramixovirus. Tres estadios:Osteolitica,Mezcla de osteoblastica-osteolitica. Osteoesclerotica. Ordenamiento al azar de las lineas de cemento, creando un patron de mosaico de h. lamelares.Elevacionserica de F.alcalina
  • 88.
    ENFERMEDADES ASOCIADAS CONUNA HOMEOSTASIS MINERAL ANORMALRAQUITISMO (niños) Y OSTEOMALACIA (adultos): Ambas enfermedades se caracterizan por disminucion de la mineralizacion de los nuevos huesos formados,causado por la deficiencia o metabolismo anormal de la vit. D. Malabsorcion intestinal, No exponerse al sol. Enf. Renal yhepaticaTratamiento: Vit. D y Calcio.
  • 92.
  • 93.
    INFECCIONES Y OSTEOMIELITISOSTEOMIELITISPIOGENA: Diseminación hematógena. Afecta comúnmente la metafisisStaphylococcusaureus es el mas frecuente. Fiebre y leucocitosis. Dolor localizado. I. supurativa, Insufi.vascular,Secuestro,InvolucrumOSTEOMIELITIS TBC: Ocurre en 1%, Granuloma caseoso con destrucción extensa de los huesos. Vertebra torácica y lumbar (“Mal de Pott”).Fract. Compresivas vertebrales, Absceso del psoas,amiloidosis
  • 99.
    Desórdenes misceláneos deltejido óseoNecrosis Avascular: Definición: Necrosis isquémica del hueso y médula Causas: Trauma o fractura (mas común), idiopático, esteroides, anemia de sicklecell, Enfermedad de Gaucher. Complicaciones : Osteoartritis y fracturas.
  • 101.
    Osteitis Fibrosa Quística Definición: Hormona paratiroideaexcesiva (hiperparatiroidismo) causa la activación de los osteoclastos y resorción generalizada de los huesos. Etiología: Adenoma Paratiroideo, Hiperplasia Paratiroidea Clínica: Ocurre en el hiperparatiroidismo primario, causa dolor óseo, deformidades óseas y fracturas. Patología : La excesiva resorción ósea con incremento del número de osteoclastos, reemplazo fibroso de la médula, espacios quísticos en la trabécula ósea (osteitisdisecante),Tumor de Brown.
  • 103.
    Osteoartropatía hipertrófica Presentes conedema doloroso en las muñecas, dedos, tobillos, rodilla o codo. Patología: Al final de los huesos largos tienen nuevas formaciones periostales, compromiso digital, artritis en articulaciones adyacentes es comúnmente vista. Etiología : Carcinoma Broncogénico (un Sindromeparaneoplásico), Enfermedad crónica pulmonar.
  • 104.
    Tumores Benignos delTejido OseoOsteoma : Definición: neoplasia benigna que frecuentemente involucra el cráneo y huesos faciales. “Hiperostosis frontal interna” describe un osteoma que se extiende dentro de la órbita o senos paranasales.Osteoma Osteoide: Definición: benigno, crecimiento dolorosode los huesos largos, frecuentemente la tibia, o fémur Presentación: Varón>mujer, edad de 5-25 años, dolor que es peor en la noche y que mejora con aspirina. Micro: Lesión pequeña (<2cm) en la corteza.
  • 106.
  • 107.
    Osteoblastoma Similar ala osteomaosteoide pero grande (>2cm) y frecuentemente involucra la vértebra.Osteocondroma (exostosis) Definición : crecimiento metafiseal óseo benigno cubierto con cartílago que se origina de la placa de crecimiento epifisial. Clínica: varones adolescentes, firme, crecimiento solitario al final de los huesos largos, pueden ser asintomáticos, causan dolor, producen deformidad y se transforman malignamente(raro), osteocondromatosis (exostosis Múltiple Hereditaria) Múltiple, frecuentemente simétrico, osteocondromas.
  • 110.
    Endocondroma Definición: crecimiento cartilaginosobenigno dentro de la cavidad medular del hueso, que usualmente involucra las manos y pies. Solitarios típicamente y asintomáticos y no requieren tratamiento.Endocondromas múltiples (endocondromatosis) - Enfermedad de Ollier - Sindrome de Maffucci
  • 113.
    Tumores Malignos OseosOsteosarcoma: Tumorprimario maligno mas común del hueso. Incidencia: Varón >mujer, ocurre en adolescentes (edad 10-25), pacientes con retinoblastoma familiar tienen alto riesgo. Clínica: dolor localizado y edema. Hallazgos clásicos a los rayos X: Triángulo de Codman’s (elevación periostal),Patrón “bronceado por el sol”, destrucción ósea.
  • 118.
    Condrosarcoma Definición: tumor malignode condroblastos, varón>mujer; edad 30-60 Etiología: el tumor surge e novo o secundario a un condrosarcomapreexistente,exostosis o enfermedad de Paget. Clínica : crecimiento de la masa con dolor y edema. Típicamente involucra la pelvis ósea, columna y hombros Micro: compuesto de condrocitos atípicos y condroblastos, frecuentemente con núcleos múltiples en una laguna.
  • 122.
    Tumores de célulasgigantes(osteoclastoma) Neoplasia maligna no común conteniendo células gigantes multinucleadas con células estromales. Mujer>varón; edad 20-50 años Clínica: gran masa con dolor y fractura. Micro: múltiples células gigates similares a osteoclastos son distribuidos dentro de un conjunto de células estromalesmononucleares.
  • 125.
    Sarcoma de Ewing Neoplasiamaligna de células indiferenciadas que surgen dentro de la cavidad de la médula. Incidencia: Varones son afectados mas que las mujeres, ocurren a la edad de 5-20. Clínica: Dolor, edema y sensibilidad. Micro : Hjas de células azules pequeñas, redondas no diferenciadas que se asemejan a los linfocitos, PseudorosetasHomer Wright. Metástasis ósea Mucho mas común que los tumores primarios óseos Sitios comunes primarios: Próstata, Mama, Pulmón, Tiroides, Riñón.
  • 126.
  • 128.