Equipo:11
Ponente: Alumna Karen Yareli Hernández Arteaga
Docente: Dra. Guerra Dávila Rosa María
Grupo: 604
“NEOPLASIAS DE HIGADO”
GASTROENTEROLOGIA
Introducción
Los tumores malignos que se originan en hígado pueden ser primarios o metastásicos.
La mayoría son primarios:
1. Carcinoma hepatocelular
2. Hepatoblastoma
3. Angiosarcoma
1. Colangiosarcoma
FACTORES DE RIESGO
I. Viral • VHB
• VHC
II. Drogas y toxinas • Alcohol (cirrosis)
• Aflatoxina
• Microcistinas
• Esteroides anabólicos
• Tabaquismo
• Otras drogas
III. Metabólicos • EHNA
• DMII
• Hemocromatosis
• Deficiencia de (α 1AT)
• Porfiria cutánea tardía
• Porfiria aguda intermitente
• Glucogenosis tipo Ia Hipotiroidismo
IV. Enfermedades
autoinmunes
• CBP
• Hepatitis autoinmune
“La enfermedad hepática necroinflamatoria crónica
es la lesión más común en la progresión de las
enfermedades en su camino hacia CHC.”
El aspecto macroscópico se divide en:
1) Nodular
2) Masivo
3) Infiltrante difuso
VHC :
 La infección por virus de hepatitis C representa el factor de
riesgo más importante, que se asocia con CHC.
 De 1 a 3% de los pacientes con infección por HCV desarrolla CHC al paso de 30años.
 Se encontraron propiedades oncogénicas que se relacionan con la proteína del core del HCV.
VHB:
 Cerca de 30 a 40% de los casos de CHC en pacientes con infección por HBV son en ausencia de cirrosis.
 Factores que incrementan el riesgo de CHC:
• Consumo de alimentos contaminados con Aflatoxina
• Coinfección con virus de hepatitis D
• Género masculino
• Abuso de alcohol
• infección concomitante con HCV.
EHNA
 La diabetes y la obesidad, las mayores manifestaciones del síndrome de resistencia a la insulina,
demostraron duplicar el riesgo de CHC.
 La carcinogénesis inducida se encuentra mediada por el aumento del estrés oxidativo por los ácidos
grasos libres, que resulta en la liberación de citosinas, y que promueve , la proliferación celular e
inhibición de apoptosis.
FISIOPATOLOGIA
TAMIZAJE Y DIAGNOSTICO
Los principales grupos en quienes se resalta la importancia del tamizaje para HCC son:
1) Cirróticos de cualquier causa.
2) Infección por HBV en cualquier etapa.
3) Infección por HCV en fase de cirrosis o con carga viral elevada.
4) Hepatopatías crónicas de cualquier etiología, previamente estables, con descompensación súbita
inexplicable.
Al lograr detectarse una lesión en fase temprana, la sobrevida a cinco años luego de recibir tratamiento
puede ser mayor de 50%.
Se realiza la detección mediante:
• HC y Estudios de gabinete: BHC,QS, AFP (Valores superiores a 400 ng/dL),PFH.
• Técnicas de cribado.
• Técnicas diagnosticas.
Técnicas de cribado: USG en pacientes con riesgo cada 6 meses.
Técnicas de diagnostico : US con contraste, TC multifasica, RM dinámica.
 Cuando en el transcurso del seguimiento de un paciente de riesgo se detecta un nódulo hepático, es
preciso llegar a un diagnostico concluyente de dicha lesión.
 Lineamientos según AASLD : Lesión >1cm/Dm con hipervascularidad y lavado venoso tardío cumple con
los criterios para ser diagnosticada como CHC y no requiere biopsia.
 Criterios de la EASL : Existencia de 2 métodos de imagen que concuerden en dicha apreciación de una
lesión focal > 2cm que muestre hipervascularidad y un nivel de AFP >400ng/ml es diagnostico de CHC.
CLASIFICACION
TRATAMIENTO
Quirúrgico:
• La resección del tumor es el tratamiento de elección de los pacientes con CHC sin cirrosis y cuando el tumor
es > 5cm
• Cuando hay presencia de cirrosis es importante evaluar la funcionalidad hepática y el grado de cirrosis ( esta
contraindicada en clases funcionales B o C de child)
No quirúrgico : La mayoría de los hepatocarcinomas es irresecable al momento
de su diagnóstico y no cumple con los criterios para trasplante.
• Ablación local.
1) Térmica (radiofrecuencia y quimioablación)
2) Química (etanol, ácido acético)
• Terapia transarterial: quimioembolización arterial transcatéter y la transarterial con yodo radiactivo.
Tratamiento sistémico:
Sorafenib: logra inhibición de la proliferación y angiogénesis, es el tratamiento de elección en pacientes
con hepatocarcinoma avanzado.
Bevacizumab — inhibidor de VDG
Sunitinib — inhibidor de multitirosina cinasa
Erlotinib y gefi tinib —bloqueadores de factor de crecimiento epidérmico.
Transplante hepatico:
Pacientes que cumplan con los criterios dela clasificacion de Milan:
1. Tumor unico <5cm
2. No. Maximo de 3 tumores ninguno >3cm
3. S/ diseminación vascular mayor
4. S/ diseminación extrahepática
PRONÓSTICO
El número de lesiones hepáticas y la presencia de afectación vascular, son los determinantes del pronóstico.
Factores pronósticos relacionados al carcinoma hepatocelular resecable
Número, tamaño y localización de las lesiones hepáticas
La tasa de supervivencia, a los 5 años en pacientes con tumoración solitaria es de 45% y de 15-25% en
aquellos con enfermedad múltiple.
En pacientes con tumores pequeños (2-5) la tasa de supervivencia a los 5 años es de 40-45%
Los px S/cirrosis con tumores localizados en el lóbulo hepático izq. O en los segmentos inf. Derechos tienen el
mejor pronóstico
Las tasas de sobrevida global son aproximadamente del 15%
Tabaco
Evitar el
consumo
de alcohol
Vacunación
VHB
PROFILAXISTx. Hép. B crónica:
** Interferon alfa
** Adefovir dipiroxil
**Enteavir
Tx. Hép. C crónica:
** Inteferon a-2ª o a-2b
+ ribavirina
CONCLUSION
El CHC es una neoplasia que puede ser prevenida si se controlan las
enfermedades etiológicas , es importante que el medico general sepa
detectar a tiempo la aparición de CHC ya que se puede dar tratamiento y
lograr que el paciente tenga un mejor pronostico
BIBLIOGRAFIA
• Villalobos J, Olivera M, Valdovinos M. Gastroenterología. 5ta edición, México, capitulo 104,
pg.724- 729.
• Pérez Torres E, Abdo F, Bernal S. Gastroenterología. ED McGraw-Hill , 1er edición, México,
Cap.57, Pg. 471-482
• Dr.Acuña T, Oncología Guías diagnosticas 2013 Cáncer de hígado, Versión 1.2013.
• R. Vilana, A. Forner, A. García . Radiología Carcinoma hepatocelular: diagnostico, estatificación
y estrategia terapéutica. Ed. Elsevier. Rev. Radiología. 2010;52(5):385–398.
• Guía Mundial de la Organización Global de la Gastroenterología Carcinoma hepatocelular
(CHC): una perspectiva mundial . Noviembre de 2009
• U.Esquivel .. Carcinoma hepatocelular. Ed. Elsevier. Rev. Gatroenterologia 2010;Supl.2(75):168-
176.Mexico 2010

Carcinoma hepatocelular-gastro

  • 1.
    Equipo:11 Ponente: Alumna KarenYareli Hernández Arteaga Docente: Dra. Guerra Dávila Rosa María Grupo: 604 “NEOPLASIAS DE HIGADO” GASTROENTEROLOGIA
  • 2.
    Introducción Los tumores malignosque se originan en hígado pueden ser primarios o metastásicos. La mayoría son primarios: 1. Carcinoma hepatocelular 2. Hepatoblastoma 3. Angiosarcoma 1. Colangiosarcoma
  • 3.
    FACTORES DE RIESGO I.Viral • VHB • VHC II. Drogas y toxinas • Alcohol (cirrosis) • Aflatoxina • Microcistinas • Esteroides anabólicos • Tabaquismo • Otras drogas III. Metabólicos • EHNA • DMII • Hemocromatosis • Deficiencia de (α 1AT) • Porfiria cutánea tardía • Porfiria aguda intermitente • Glucogenosis tipo Ia Hipotiroidismo IV. Enfermedades autoinmunes • CBP • Hepatitis autoinmune “La enfermedad hepática necroinflamatoria crónica es la lesión más común en la progresión de las enfermedades en su camino hacia CHC.” El aspecto macroscópico se divide en: 1) Nodular 2) Masivo 3) Infiltrante difuso
  • 4.
    VHC :  Lainfección por virus de hepatitis C representa el factor de riesgo más importante, que se asocia con CHC.  De 1 a 3% de los pacientes con infección por HCV desarrolla CHC al paso de 30años.  Se encontraron propiedades oncogénicas que se relacionan con la proteína del core del HCV.
  • 5.
    VHB:  Cerca de30 a 40% de los casos de CHC en pacientes con infección por HBV son en ausencia de cirrosis.  Factores que incrementan el riesgo de CHC: • Consumo de alimentos contaminados con Aflatoxina • Coinfección con virus de hepatitis D • Género masculino • Abuso de alcohol • infección concomitante con HCV.
  • 6.
    EHNA  La diabetesy la obesidad, las mayores manifestaciones del síndrome de resistencia a la insulina, demostraron duplicar el riesgo de CHC.  La carcinogénesis inducida se encuentra mediada por el aumento del estrés oxidativo por los ácidos grasos libres, que resulta en la liberación de citosinas, y que promueve , la proliferación celular e inhibición de apoptosis.
  • 7.
  • 9.
    TAMIZAJE Y DIAGNOSTICO Losprincipales grupos en quienes se resalta la importancia del tamizaje para HCC son: 1) Cirróticos de cualquier causa. 2) Infección por HBV en cualquier etapa. 3) Infección por HCV en fase de cirrosis o con carga viral elevada. 4) Hepatopatías crónicas de cualquier etiología, previamente estables, con descompensación súbita inexplicable. Al lograr detectarse una lesión en fase temprana, la sobrevida a cinco años luego de recibir tratamiento puede ser mayor de 50%. Se realiza la detección mediante: • HC y Estudios de gabinete: BHC,QS, AFP (Valores superiores a 400 ng/dL),PFH. • Técnicas de cribado. • Técnicas diagnosticas.
  • 10.
    Técnicas de cribado:USG en pacientes con riesgo cada 6 meses.
  • 11.
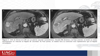
    Técnicas de diagnostico: US con contraste, TC multifasica, RM dinámica.  Cuando en el transcurso del seguimiento de un paciente de riesgo se detecta un nódulo hepático, es preciso llegar a un diagnostico concluyente de dicha lesión.  Lineamientos según AASLD : Lesión >1cm/Dm con hipervascularidad y lavado venoso tardío cumple con los criterios para ser diagnosticada como CHC y no requiere biopsia.  Criterios de la EASL : Existencia de 2 métodos de imagen que concuerden en dicha apreciación de una lesión focal > 2cm que muestre hipervascularidad y un nivel de AFP >400ng/ml es diagnostico de CHC.
  • 16.
  • 18.
    TRATAMIENTO Quirúrgico: • La reseccióndel tumor es el tratamiento de elección de los pacientes con CHC sin cirrosis y cuando el tumor es > 5cm • Cuando hay presencia de cirrosis es importante evaluar la funcionalidad hepática y el grado de cirrosis ( esta contraindicada en clases funcionales B o C de child) No quirúrgico : La mayoría de los hepatocarcinomas es irresecable al momento de su diagnóstico y no cumple con los criterios para trasplante. • Ablación local. 1) Térmica (radiofrecuencia y quimioablación) 2) Química (etanol, ácido acético) • Terapia transarterial: quimioembolización arterial transcatéter y la transarterial con yodo radiactivo.
  • 19.
    Tratamiento sistémico: Sorafenib: lograinhibición de la proliferación y angiogénesis, es el tratamiento de elección en pacientes con hepatocarcinoma avanzado. Bevacizumab — inhibidor de VDG Sunitinib — inhibidor de multitirosina cinasa Erlotinib y gefi tinib —bloqueadores de factor de crecimiento epidérmico. Transplante hepatico: Pacientes que cumplan con los criterios dela clasificacion de Milan: 1. Tumor unico <5cm 2. No. Maximo de 3 tumores ninguno >3cm 3. S/ diseminación vascular mayor 4. S/ diseminación extrahepática
  • 21.
    PRONÓSTICO El número delesiones hepáticas y la presencia de afectación vascular, son los determinantes del pronóstico. Factores pronósticos relacionados al carcinoma hepatocelular resecable Número, tamaño y localización de las lesiones hepáticas La tasa de supervivencia, a los 5 años en pacientes con tumoración solitaria es de 45% y de 15-25% en aquellos con enfermedad múltiple. En pacientes con tumores pequeños (2-5) la tasa de supervivencia a los 5 años es de 40-45% Los px S/cirrosis con tumores localizados en el lóbulo hepático izq. O en los segmentos inf. Derechos tienen el mejor pronóstico Las tasas de sobrevida global son aproximadamente del 15%
  • 22.
    Tabaco Evitar el consumo de alcohol Vacunación VHB PROFILAXISTx.Hép. B crónica: ** Interferon alfa ** Adefovir dipiroxil **Enteavir Tx. Hép. C crónica: ** Inteferon a-2ª o a-2b + ribavirina
  • 23.
    CONCLUSION El CHC esuna neoplasia que puede ser prevenida si se controlan las enfermedades etiológicas , es importante que el medico general sepa detectar a tiempo la aparición de CHC ya que se puede dar tratamiento y lograr que el paciente tenga un mejor pronostico
  • 24.
    BIBLIOGRAFIA • Villalobos J,Olivera M, Valdovinos M. Gastroenterología. 5ta edición, México, capitulo 104, pg.724- 729. • Pérez Torres E, Abdo F, Bernal S. Gastroenterología. ED McGraw-Hill , 1er edición, México, Cap.57, Pg. 471-482 • Dr.Acuña T, Oncología Guías diagnosticas 2013 Cáncer de hígado, Versión 1.2013. • R. Vilana, A. Forner, A. García . Radiología Carcinoma hepatocelular: diagnostico, estatificación y estrategia terapéutica. Ed. Elsevier. Rev. Radiología. 2010;52(5):385–398. • Guía Mundial de la Organización Global de la Gastroenterología Carcinoma hepatocelular (CHC): una perspectiva mundial . Noviembre de 2009 • U.Esquivel .. Carcinoma hepatocelular. Ed. Elsevier. Rev. Gatroenterologia 2010;Supl.2(75):168- 176.Mexico 2010