COLANGIOCARCINOMA

Nicolás Hernández Herrera
Residente 2º año Cirugia General
Hospital de Alta Especialidad Adolfo Ruiz Cortines
Colangiocarcinoma

Interrogantes
 Porcentaje del total de tumores gastrointestinales
 a) 3%
 b) 0.3%
 c) 1%
 Tipo histologico más frecuente del colangiocarcinoma





A) Cistoadenocarcinoma
B) Carcinoma anaplasico
C) Carcinoma escamoso
D) Adenocarcinoma
 Factores de riesgo para desarrollo de la enfermedad
excepto:





A) Peso
B) Edad
C) Infeccion por helmintos hepáticos
D) Medios de contraste en desuso
 Tipo de colangiocarcinoma mas frecuente
 Hilar
 Mucinoso
 Sarcomatoso
Vías biliares
 Vias biliares intrahepaticas:
- canaliculos biliares
- conductos interlobulillares
 Vias biliares extrahepaticas:
- Via biliar principal
- Vía biliar accesoria
Vias biliares I.H
 La bilis producida por los hepatocitos
pasa a los canalículos biliares en
dirección contraria a la sangre.
 Canalículos
conductillos biliares
conductos interlobulillares
conductos intrahepáticos
conductos hepáticos principales
Vía biliar e.h






Conductos hepáticos: derecho e izquierdo.
Conducto hepático común: D=4-5mm y L=3cm
C.cistico: L=30-45mm y D=3-4mm
C. Hepático común + C. Cístico = colédoco.
C.conducto coledoco:L=6-8cm y D=6mm
Colangiocarcinoma
 Fue reportado por primera vez en 1840 por Durand Fardel.
 El tumor se forma del epitelio ductal del arbol biliar ya sea
intrahepático o más comunmente de las VB extrahepáticas.
 La mayoría de pacientes son irresecables al momento del
diagnóstico y mueren alrededor de los 12 meses del
diagnóstico.

 Más del 90% de los casos son adenocarcinomas . 60-70%
nacen en la bifurcación del conducto hepático( T. de
Klatskin), 30% en la vía biliar distal y sólo un 5-10% nacen
en los conductos biliares intrahepáticos.
Epidemiología
 Representa el 3% de las neoplasias malignas gastrointestinales y
el segundo mas común de los tumores hepáticos primarios.
 La edad más frecuente es la séptima década de la vida, siendo
ligeramente más común en hombres ( H=48 M=37%)
 La incidencia en USA es de 1-2 casos por 100 mil habitantes.(3500
casos nuevos por año).
Epidemiología
 No presenta predisposición racial.

 Aumento de la incidencia de los intrahépáticos y disminución
de extrahepáticos.
 La ICD ( International clasification of disease) coloca al
colangiocarcinoma intrahepatico de pequeños conductos
como tumor hepático primario.
EPIDEMIOLOGIA
Colangiocarcinoma Intrahepático
La más alta incidencia ocurre en Tailandia (96 por 100 mil
hombres), China y otros países del sudeste asiático.

Neoplasia maligna poco comun
Incidencia por 100,000 en EU
1.0 en mujeres
1.5 en hombres
70% de los casos ocurren en mayores de 65 años
Patogenia
Célula
pluripotencial
Factor o evento
precipitante
desconocido

Colangiocarcinoma

Glándula biliar
periductal
Factores
predisponentes

Patogenia

1. Colangitis esclerosarte
primaria
2. Colitis ulcerativa crónica
3. Infección por Clonorchis
sinensis
4. Quistes del colédoco

5. Cálculos biliares
6. Otros factores de riesgo
1. Colangitis esclerosante primaria
Patología que se asocia más a
Colangiocalcinoma
7-8% desarrollan Colangiocarcinoma

42% en autopsias

9% de transplante
2. Colitis ulcerativa crónica

-No aplica en la enfermedad de Crohn.

• -31 veces más que la población en
general.
• -30 años más joven.
3. Infección por clonorchis sinensis
 Peces → Parasito Clonorchis Sinensis.

Duodeno

Conducto
intrahepatico

• Reside
• Madura

Penetra

Ventosas

• Lesiones crónicas
• Predispone a
infecciones
bacterianas

Dilatación sacular o quística → Bayas en el colangiograma
Colangiocarcinoma hiliar e intrahepatico
4. Quistes de colédoco
Quistes biliares congénitos extrahepáticos del colédoco se
presentan 3%.
El riesgo es mayor si se vuelve sintomático
70% son mujeres en edad media de 34 años.
5. Cálculos biliares
30% de los
pacientes que tienen • Sales biliares
toxicas, citocinas
colangiocarcinoma
y la inflamación
tienen Cálculos
crónica.
biliares.

El riesgo declina en
después de la
colecistectomía.
6. Otros factores de riesgo
 Radiocontraste → Throrotrast
 Se utilizaba hace 50 años.
 Permanece dentro del sistema
reticuloendotelial
7. Alteraciones moleculares
 Anormal expresión de oncogen K-ras en 21%-100% de los
casos.
 Anormal expresión de gen supresor P53 en 37% de estudio
de especímenes.
 Incremento de expresión de c-met , c-erb-B-2 protooncogen
en metástasis.
 Sobreexpresión de protooncogen Bcl-2, mcl-1,Bcl-xl.
 Mutaciones puntuales en p16,p14 en CEP.
Carcinoma colangiocelular

Datos patológicos

• Tumores periféricos
• Raíces de conductos intrahepáticos
Bifurcación, hiliares o
Klatskin
• Confluencia de los conductos
hepáticos derechos e izquierdo.
Tumores del tercio medio u
distal del colédoco
90% de conductos biliares
son adenocarcinomas
Datos patológicos
• Células escamosas, carcinomas
indifereciados, leiomiosarcoma, tum
ores de células granulosas, etc.
datos clínicos
Ictericia obstructiva

Radiografía.
• Tumor maligno.
• CA vesicular, CA pancreático, Colangiocarcinoma.

Tratamiento paliativo.

Exploración cx
• Extirpabilidad
Signos y síntomas
Ictericia 90%

Perdida de peso 40 a
50%
Dolor abdominal 40-50%
Prurito 30-40 %
Fiebre o colangitis 1020%
Hepatomegalia 50-60%
Sangre oculta en heces
50-60%
HT portal 5%
Signos y síntomas

Carcinomas ductales biliares
• vesícula biliar notablemente distendida

Tumores de bifurcación
• Ictericia, anorexia, pérdida de peso y
hepatomegalia

Colangiocarcinoma colangiocelular
• Puede no causar ictericia
Hallazgos Clínicos
 Depende de la localización de la
lesión.
 Lesiones en el hepático común o
coledoco: ictericia , heces
pálidas, orina oscura, y prurito.
 Lesiones periféricas
intrahepáticas presentan
síntomas no específicos:
fatiga, pérdida de peso, y dolor
abdominal.
 Colangitis es una inusual
presentación.
Datos de laboratorio

Aumento de bilirrubina y Fosfatasa Alcalina 90%
Aumento modesto Aminotranferasa 10-30%
Hipoalbuminemia 30-40%

 Las pruebas regulares de laboratorio no predicen o identifican
al Px con colangitis esclerosarte primaria y carcinoma ductal
Bioquímica
 Aumento de Bilirrubina a predominio directo (generalmente
>10 mg/dl)
 Aumento de Fosfatasa Alcalina: prueba más sensible para
obstrucción biliar.
 Aumento de GGT
 Transaminasas pueden estar normales o elevarse
ligeramente.
 Hipoalbuminemia en casos avanzados.
Marcadores tumorales
Guía diagnóstica.

CA 19.9: S=38-89% y E=50-98%
CA 19.9: >100UI/ml S=53%
CEA primario de CCR ,tiene baja sensibilidad y especificidad para
Colangiocarcinoma.
Otros: CA50, CA 242, CA 195, RCA S1, DU-PAN-2.
Colangiocarcinoma

Localización
Periférica

7 a 20%
Masa intrahepática
Cirrosis poco comun
Etiología desconocida

Hilar

40 a 60%
Confluencia de
conductos biliares
Más común

Distal

20 a 30%
10 a 15% de tumores
peripancreáticos
Tumores proximales:
 Clasificación de Klatskin, sistematizada por Bismuth , (ubicación y extensión del
tumor):
 Tipo I, ubicado debajo de la convergencia y encima del cístico en el hepático
común .
 Tipo II, tumores que toman la convergencia.
 Tipo III, toman uno de los dos hepáticos. Si es derecho es IIIA; IIIB si es izquierdo.
 Tipo IV, toman los dos conductos (derecho e izquierdo).

Tumores distales (Periampulares)
Ampolla, Duodeno,
Cabeza del pancreas
Estudios de imagen
TC y US
• US es el estudio de imagen inicial:
dilatación de conductos biliares y nivel de
obstrucción
• TC: proporciona información valiosa sobre
un tumor maligno, identifica de manera
mas precisa la causa y la extirpabilidad
Angiografía
• Complementa la TC y demuestra afección
vascular por el tumor
Cuadro comparatico de las técnicas de imagen. RdiodiagnósticoMajadahonda España 2009
 Patrones de crecimiento radiologicos
 Formadores de masa
 Infiltración predominantemente periductal
 Crecimiento intraductal

Liver Cancer Study Group of Japan 2009
Resonancia magnética

•
•

Mayor calidad de imagenes de arbol biliar
Provee informacion acerca de metástasis, involucro
bvascular, atrofia lobar.

Masselli et al Eu J Radiol (2008)
*Lee et al. Gastrointest Endosc 2008;56:25
Liver Cancer Study Group of Japan 2009
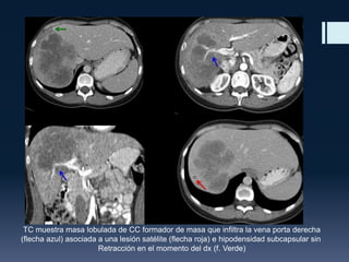
TC muestra masa lobulada de CC formador de masa que infiltra la vena porta derecha
(flecha azul) asociada a una lesión satélite (flecha roja) e hipodensidad subcapsular sin
Retracción en el momento del dx (f. Verde)
RM masa lobulada de CC formador de masa que produce dilatracion de la
vía biliar proximal y retraccion capsular asociada a ascitis
ECO, TC, RM muestran CC formador de masa (f. Amarilla)
Retraccion capsular (f. Verde)
Colangiocarcinoma hilar

ESTADIFICADORA LAPAROSCOPIA
•

Más útil en la identificacion de
metástasis

100 pacientes con cancer biliar poterncialmente resecable
Colangiocarcinoma hilar = 56
Cancer Vesicular = 44
Previo a intervencion quirurgica fueron sometidos a laparoscopia

RESULTS:
En general: 69% fueron no resecables (CH = 59%, VB= 82%)
Efectividad de la laparoscopia: 48% en pacientes con vesicular biliar
(56% en quellos con colecistectomia previain)
25% en pacientes con colangiocarcinoma hilar
Mayor utilidad en la demostracion de matastasis hepática y peritoneal

Weber et al. Ann Surg 235:392 (2002)
PRONÓSTICO
Sobrevida de 8-47% a 5 años para colangiocarcinomas intrahepáticos.
Sobrevida de 20-54% a 5 años para colangiocarcinomas distales.
Depende de su localización, características histológicas y etapa.

 Resección
 Terapia paliativa
 Quimioterapia y radiación
 Trasplante ortotópico hepático
Colangiocarcinoma hilar

Tratamiento
•

La reseccion completa es el único terapia efectiva.

•

Pronóstico posterior a reseccion completa
–

Sobrevida determinada a 5 años

La paliación de los efectos de la obstruccion biliar en el
objetivo terapéutico.
Definiendo resecabiliadad para colangiocarcinoma

¿Cuando considerar cirugia?

1. Puede hacerse con suficiencia remanente hepático, adecuado
flujo sanguineo y drenaje biliar adecuado?
1. Libre de enfermedad
2. Involucro vascular
3. Atrofia lobar
4. Enf. metastásica
Colangiocarcinoma hilar

Criterios de irresacabilidad
Factores relacionados al paciente

•

Contraindicacion mayor a cirugia abdominal mayor

•

Cirrosis o rematente hepático insuficiente en volumen

Enf. Metastásica
N2 linfadenopatia (adenopatias peripancreaticas, retroduodenales,
peciceliacas, rodeando el origen de la AMS)
Metástasis a distancia
Colangiocarcinoma hilar

Meta de la reseccion tumoral:
Resección completa margenes negativos
Establecido:

Recomenando

•

Excision de ducto supraduodenal

•
•

Colecistectomia
Continuidad bilioenterica

Menor controversia:
•
Caudado (resecciones izquierda)
•
Reconstruccion vascular
Results Of Resection for Hilar Cholangiocarcinoma
Author (year)

15

8

Gerhards (2000) 112

29

14

-

Su (1996)

49

57

24

15

Hadjis (1990)

27

60

56

22

Jarnagin (2001)

80

78

78

27

Klempnauer (1997)

147

79

79

28

Neuhaus (1999)

95

85

61

22

Kosuge (1999)

65

88

88

33

Nimura (1990)

55

98

83

40

Improving survival

20

Increasing R0 resection rate

39

Increasing inclusion of liver resection

Cameron (1990)

N Concomitant Liver
% R0
5-Year
Resection (%)
Resection
Survival (%)
Tratamiento Quirúrgico
 Colangiocarcinoma extrahepático que afecta via biliar común y
linfáticos hiliares pueden ser resecados.
 Cuando es afectada la confluencia hiliar se necesitará una
hepatectomía parcial, en el caso de los tumores de Klastskin se
reseca el lobulo caudado.
 Los colangiocarcinomas distales necesitan una
pancreatoduodenectomía (Whipple).

 Factores que afectan el outcome post operatorio son la
comorbilidad, hiperbilibirrubinemia, riesgo de falla hepática, status
nutricional, e hipoalbuminemia.
 Selectiva ipsilateral embolización de la vena porta antes de la Qx
induce una hipertrofia compensatoria del hígado remanente.
Transplante Hepático
 THO esta contraindicado para colangiocarcinomas irresecables por
recidiva >90% a los dos años.
 Sin embargo se están realizando trabajos como el de la Clínica Mayo
en 28 pacientes con carcinoma perihiliar sin mts los cuales recibieron
radiación y QT adyuvante antes del TH, de los cuales 3 murieron, y 4
desarrollaron carcinoma recidivante entre los 22-63 meses después. La
sobrevida a los 5 años fue del 82%.
Heimbach JK,et al. Liver transplantation for unresectable perihiliar cholangiocarcinoma. Semin Liver Dis
2004;24:201-07
Tratamientos paliativos
 Drenaje biliar quirurgico
 Drenaje biliar endoscópico
 Radioterapia paliativa
 Quimioterapia paliativa
 Terapia fotodinámica
Principios de tratamiento médico
 La Radioterapia no ha mostrado beneficios.
 La QT adyuvante con 5-fluouracilo y metrotexate, cisplatino,
mytomicina c, leucovorina e interferon alfa no han mostrado
mejoria substancial
GRACIAS
Biliary Stents for the Management of Surgically
Unresectable Cholangiocarcinoma

Colangiocarcinoma

  • 1.
    COLANGIOCARCINOMA Nicolás Hernández Herrera Residente2º año Cirugia General Hospital de Alta Especialidad Adolfo Ruiz Cortines
  • 2.
    Colangiocarcinoma Interrogantes  Porcentaje deltotal de tumores gastrointestinales  a) 3%  b) 0.3%  c) 1%
  • 3.
     Tipo histologicomás frecuente del colangiocarcinoma     A) Cistoadenocarcinoma B) Carcinoma anaplasico C) Carcinoma escamoso D) Adenocarcinoma
  • 4.
     Factores deriesgo para desarrollo de la enfermedad excepto:     A) Peso B) Edad C) Infeccion por helmintos hepáticos D) Medios de contraste en desuso
  • 5.
     Tipo decolangiocarcinoma mas frecuente  Hilar  Mucinoso  Sarcomatoso
  • 6.
    Vías biliares  Viasbiliares intrahepaticas: - canaliculos biliares - conductos interlobulillares  Vias biliares extrahepaticas: - Via biliar principal - Vía biliar accesoria
  • 7.
    Vias biliares I.H La bilis producida por los hepatocitos pasa a los canalículos biliares en dirección contraria a la sangre.  Canalículos conductillos biliares conductos interlobulillares conductos intrahepáticos conductos hepáticos principales
  • 8.
    Vía biliar e.h      Conductoshepáticos: derecho e izquierdo. Conducto hepático común: D=4-5mm y L=3cm C.cistico: L=30-45mm y D=3-4mm C. Hepático común + C. Cístico = colédoco. C.conducto coledoco:L=6-8cm y D=6mm
  • 9.
    Colangiocarcinoma  Fue reportadopor primera vez en 1840 por Durand Fardel.  El tumor se forma del epitelio ductal del arbol biliar ya sea intrahepático o más comunmente de las VB extrahepáticas.  La mayoría de pacientes son irresecables al momento del diagnóstico y mueren alrededor de los 12 meses del diagnóstico.  Más del 90% de los casos son adenocarcinomas . 60-70% nacen en la bifurcación del conducto hepático( T. de Klatskin), 30% en la vía biliar distal y sólo un 5-10% nacen en los conductos biliares intrahepáticos.
  • 10.
    Epidemiología  Representa el3% de las neoplasias malignas gastrointestinales y el segundo mas común de los tumores hepáticos primarios.  La edad más frecuente es la séptima década de la vida, siendo ligeramente más común en hombres ( H=48 M=37%)  La incidencia en USA es de 1-2 casos por 100 mil habitantes.(3500 casos nuevos por año).
  • 11.
    Epidemiología  No presentapredisposición racial.  Aumento de la incidencia de los intrahépáticos y disminución de extrahepáticos.  La ICD ( International clasification of disease) coloca al colangiocarcinoma intrahepatico de pequeños conductos como tumor hepático primario.
  • 12.
    EPIDEMIOLOGIA Colangiocarcinoma Intrahepático La másalta incidencia ocurre en Tailandia (96 por 100 mil hombres), China y otros países del sudeste asiático. Neoplasia maligna poco comun Incidencia por 100,000 en EU 1.0 en mujeres 1.5 en hombres 70% de los casos ocurren en mayores de 65 años
  • 14.
  • 15.
    Factores predisponentes Patogenia 1. Colangitis esclerosarte primaria 2.Colitis ulcerativa crónica 3. Infección por Clonorchis sinensis 4. Quistes del colédoco 5. Cálculos biliares 6. Otros factores de riesgo
  • 16.
    1. Colangitis esclerosanteprimaria Patología que se asocia más a Colangiocalcinoma 7-8% desarrollan Colangiocarcinoma 42% en autopsias 9% de transplante
  • 17.
    2. Colitis ulcerativacrónica -No aplica en la enfermedad de Crohn. • -31 veces más que la población en general. • -30 años más joven.
  • 18.
    3. Infección porclonorchis sinensis  Peces → Parasito Clonorchis Sinensis. Duodeno Conducto intrahepatico • Reside • Madura Penetra Ventosas • Lesiones crónicas • Predispone a infecciones bacterianas Dilatación sacular o quística → Bayas en el colangiograma Colangiocarcinoma hiliar e intrahepatico
  • 19.
    4. Quistes decolédoco Quistes biliares congénitos extrahepáticos del colédoco se presentan 3%. El riesgo es mayor si se vuelve sintomático 70% son mujeres en edad media de 34 años.
  • 20.
    5. Cálculos biliares 30%de los pacientes que tienen • Sales biliares toxicas, citocinas colangiocarcinoma y la inflamación tienen Cálculos crónica. biliares. El riesgo declina en después de la colecistectomía.
  • 21.
    6. Otros factoresde riesgo  Radiocontraste → Throrotrast  Se utilizaba hace 50 años.  Permanece dentro del sistema reticuloendotelial
  • 22.
    7. Alteraciones moleculares Anormal expresión de oncogen K-ras en 21%-100% de los casos.  Anormal expresión de gen supresor P53 en 37% de estudio de especímenes.  Incremento de expresión de c-met , c-erb-B-2 protooncogen en metástasis.  Sobreexpresión de protooncogen Bcl-2, mcl-1,Bcl-xl.  Mutaciones puntuales en p16,p14 en CEP.
  • 23.
    Carcinoma colangiocelular Datos patológicos •Tumores periféricos • Raíces de conductos intrahepáticos Bifurcación, hiliares o Klatskin • Confluencia de los conductos hepáticos derechos e izquierdo. Tumores del tercio medio u distal del colédoco
  • 25.
    90% de conductosbiliares son adenocarcinomas Datos patológicos • Células escamosas, carcinomas indifereciados, leiomiosarcoma, tum ores de células granulosas, etc.
  • 26.
    datos clínicos Ictericia obstructiva Radiografía. •Tumor maligno. • CA vesicular, CA pancreático, Colangiocarcinoma. Tratamiento paliativo. Exploración cx • Extirpabilidad
  • 27.
    Signos y síntomas Ictericia90% Perdida de peso 40 a 50% Dolor abdominal 40-50% Prurito 30-40 % Fiebre o colangitis 1020% Hepatomegalia 50-60% Sangre oculta en heces 50-60% HT portal 5%
  • 28.
    Signos y síntomas Carcinomasductales biliares • vesícula biliar notablemente distendida Tumores de bifurcación • Ictericia, anorexia, pérdida de peso y hepatomegalia Colangiocarcinoma colangiocelular • Puede no causar ictericia
  • 29.
    Hallazgos Clínicos  Dependede la localización de la lesión.  Lesiones en el hepático común o coledoco: ictericia , heces pálidas, orina oscura, y prurito.  Lesiones periféricas intrahepáticas presentan síntomas no específicos: fatiga, pérdida de peso, y dolor abdominal.  Colangitis es una inusual presentación.
  • 30.
    Datos de laboratorio Aumentode bilirrubina y Fosfatasa Alcalina 90% Aumento modesto Aminotranferasa 10-30% Hipoalbuminemia 30-40%  Las pruebas regulares de laboratorio no predicen o identifican al Px con colangitis esclerosarte primaria y carcinoma ductal
  • 31.
    Bioquímica  Aumento deBilirrubina a predominio directo (generalmente >10 mg/dl)  Aumento de Fosfatasa Alcalina: prueba más sensible para obstrucción biliar.  Aumento de GGT  Transaminasas pueden estar normales o elevarse ligeramente.  Hipoalbuminemia en casos avanzados.
  • 32.
    Marcadores tumorales Guía diagnóstica. CA19.9: S=38-89% y E=50-98% CA 19.9: >100UI/ml S=53% CEA primario de CCR ,tiene baja sensibilidad y especificidad para Colangiocarcinoma. Otros: CA50, CA 242, CA 195, RCA S1, DU-PAN-2.
  • 33.
    Colangiocarcinoma Localización Periférica 7 a 20% Masaintrahepática Cirrosis poco comun Etiología desconocida Hilar 40 a 60% Confluencia de conductos biliares Más común Distal 20 a 30% 10 a 15% de tumores peripancreáticos
  • 38.
    Tumores proximales:  Clasificaciónde Klatskin, sistematizada por Bismuth , (ubicación y extensión del tumor):  Tipo I, ubicado debajo de la convergencia y encima del cístico en el hepático común .  Tipo II, tumores que toman la convergencia.  Tipo III, toman uno de los dos hepáticos. Si es derecho es IIIA; IIIB si es izquierdo.  Tipo IV, toman los dos conductos (derecho e izquierdo). Tumores distales (Periampulares) Ampolla, Duodeno, Cabeza del pancreas
  • 39.
    Estudios de imagen TCy US • US es el estudio de imagen inicial: dilatación de conductos biliares y nivel de obstrucción • TC: proporciona información valiosa sobre un tumor maligno, identifica de manera mas precisa la causa y la extirpabilidad Angiografía • Complementa la TC y demuestra afección vascular por el tumor
  • 40.
    Cuadro comparatico delas técnicas de imagen. RdiodiagnósticoMajadahonda España 2009
  • 41.
     Patrones decrecimiento radiologicos  Formadores de masa  Infiltración predominantemente periductal  Crecimiento intraductal Liver Cancer Study Group of Japan 2009
  • 42.
    Resonancia magnética • • Mayor calidadde imagenes de arbol biliar Provee informacion acerca de metástasis, involucro bvascular, atrofia lobar. Masselli et al Eu J Radiol (2008) *Lee et al. Gastrointest Endosc 2008;56:25
  • 43.
    Liver Cancer StudyGroup of Japan 2009
  • 44.
    TC muestra masalobulada de CC formador de masa que infiltra la vena porta derecha (flecha azul) asociada a una lesión satélite (flecha roja) e hipodensidad subcapsular sin Retracción en el momento del dx (f. Verde)
  • 45.
    RM masa lobuladade CC formador de masa que produce dilatracion de la vía biliar proximal y retraccion capsular asociada a ascitis
  • 46.
    ECO, TC, RMmuestran CC formador de masa (f. Amarilla) Retraccion capsular (f. Verde)
  • 47.
    Colangiocarcinoma hilar ESTADIFICADORA LAPAROSCOPIA • Másútil en la identificacion de metástasis 100 pacientes con cancer biliar poterncialmente resecable Colangiocarcinoma hilar = 56 Cancer Vesicular = 44 Previo a intervencion quirurgica fueron sometidos a laparoscopia RESULTS: En general: 69% fueron no resecables (CH = 59%, VB= 82%) Efectividad de la laparoscopia: 48% en pacientes con vesicular biliar (56% en quellos con colecistectomia previain) 25% en pacientes con colangiocarcinoma hilar Mayor utilidad en la demostracion de matastasis hepática y peritoneal Weber et al. Ann Surg 235:392 (2002)
  • 48.
    PRONÓSTICO Sobrevida de 8-47%a 5 años para colangiocarcinomas intrahepáticos. Sobrevida de 20-54% a 5 años para colangiocarcinomas distales. Depende de su localización, características histológicas y etapa.  Resección  Terapia paliativa  Quimioterapia y radiación  Trasplante ortotópico hepático
  • 49.
    Colangiocarcinoma hilar Tratamiento • La reseccioncompleta es el único terapia efectiva. • Pronóstico posterior a reseccion completa – Sobrevida determinada a 5 años La paliación de los efectos de la obstruccion biliar en el objetivo terapéutico.
  • 51.
    Definiendo resecabiliadad paracolangiocarcinoma ¿Cuando considerar cirugia? 1. Puede hacerse con suficiencia remanente hepático, adecuado flujo sanguineo y drenaje biliar adecuado? 1. Libre de enfermedad 2. Involucro vascular 3. Atrofia lobar 4. Enf. metastásica
  • 52.
    Colangiocarcinoma hilar Criterios deirresacabilidad Factores relacionados al paciente • Contraindicacion mayor a cirugia abdominal mayor • Cirrosis o rematente hepático insuficiente en volumen Enf. Metastásica N2 linfadenopatia (adenopatias peripancreaticas, retroduodenales, peciceliacas, rodeando el origen de la AMS) Metástasis a distancia
  • 54.
    Colangiocarcinoma hilar Meta dela reseccion tumoral: Resección completa margenes negativos Establecido: Recomenando • Excision de ducto supraduodenal • • Colecistectomia Continuidad bilioenterica Menor controversia: • Caudado (resecciones izquierda) • Reconstruccion vascular
  • 56.
    Results Of Resectionfor Hilar Cholangiocarcinoma Author (year) 15 8 Gerhards (2000) 112 29 14 - Su (1996) 49 57 24 15 Hadjis (1990) 27 60 56 22 Jarnagin (2001) 80 78 78 27 Klempnauer (1997) 147 79 79 28 Neuhaus (1999) 95 85 61 22 Kosuge (1999) 65 88 88 33 Nimura (1990) 55 98 83 40 Improving survival 20 Increasing R0 resection rate 39 Increasing inclusion of liver resection Cameron (1990) N Concomitant Liver % R0 5-Year Resection (%) Resection Survival (%)
  • 57.
    Tratamiento Quirúrgico  Colangiocarcinomaextrahepático que afecta via biliar común y linfáticos hiliares pueden ser resecados.  Cuando es afectada la confluencia hiliar se necesitará una hepatectomía parcial, en el caso de los tumores de Klastskin se reseca el lobulo caudado.  Los colangiocarcinomas distales necesitan una pancreatoduodenectomía (Whipple).  Factores que afectan el outcome post operatorio son la comorbilidad, hiperbilibirrubinemia, riesgo de falla hepática, status nutricional, e hipoalbuminemia.  Selectiva ipsilateral embolización de la vena porta antes de la Qx induce una hipertrofia compensatoria del hígado remanente.
  • 58.
    Transplante Hepático  THOesta contraindicado para colangiocarcinomas irresecables por recidiva >90% a los dos años.  Sin embargo se están realizando trabajos como el de la Clínica Mayo en 28 pacientes con carcinoma perihiliar sin mts los cuales recibieron radiación y QT adyuvante antes del TH, de los cuales 3 murieron, y 4 desarrollaron carcinoma recidivante entre los 22-63 meses después. La sobrevida a los 5 años fue del 82%. Heimbach JK,et al. Liver transplantation for unresectable perihiliar cholangiocarcinoma. Semin Liver Dis 2004;24:201-07
  • 59.
    Tratamientos paliativos  Drenajebiliar quirurgico  Drenaje biliar endoscópico  Radioterapia paliativa  Quimioterapia paliativa  Terapia fotodinámica
  • 60.
    Principios de tratamientomédico  La Radioterapia no ha mostrado beneficios.  La QT adyuvante con 5-fluouracilo y metrotexate, cisplatino, mytomicina c, leucovorina e interferon alfa no han mostrado mejoria substancial
  • 62.
  • 63.
    Biliary Stents forthe Management of Surgically Unresectable Cholangiocarcinoma