MIGUEL U. MOSRI • DARINKA VARGAS • DAMARIS OJEDA • MA. GPE.GONZÁLEZ
La pulpa forma parte del complejo dentino-pulpar de origen embriológico en la
papila dental (tejido ectomesenquimatoso derivado de la cresta neural) y es el
único tejido blando del diente.
Cavidad central excavada en plena dentina, que
morfológicamente reproduce la forma del elemento
dentario.
En premolares y molares se divide al igual que su
contenido pulpar en porción coronaria y radicular.
Coronaria: posee un piso y un techo,
donde encontramos los cuernos pulpares
que son prolongaciones camerales que se
dirigen a las cúspides (importantes en
operatoria restauradora).
Del piso de la cámara salen dos o tres
conductos que penetran en las raíces
y se extienden desde la región
cervical hasta el foramen apical.
Pulpa radicular: porción tisular
alojada en estos conductos.
En el foramen apical la pulpa radicular se conecta
directamente con el tejido periapical del ligamento
periodontal a la altura del espacio indiferenciado de Black
o periápice; no existe un limite morfológico preciso entre
tejido pulpar del ápice y T.C. del periodonto apical.
En esta área se localizan celulas mesenquimaticas de reserva
que se diferencian según los requerimientos funcionales, en:
• Fibroblastos • Osteoblastos y • Cementoblastos
En los elementos unirradiculares, la pulpa coronaria se continua sin limites
topográficos con la pulpa radicular, pues carece de piso, pero si posee cuernos en
numero de uno o tres.
Durante el desarrollo de la raíz,
la vaina epitelial de Hertwig es
la que determina la forma y el
número de raíces y conductos.
También pueden formarse conductos
laterales o accesorios, debido a que el
tercio apical de la raíz se forma cuando el
diente ya esta en oclusión y puede sufrir la
acción de agentes locales que modifiquen
la anatomía radicular
En el caso de existir conductos laterales, el tejido pulpar
suele establecer relaciones con el tejido periodontal.
Generalmente, el resultado es un
conducto principal situado en el centro de
la raíz, que se abre en un agujero único
central o ligeramente desviado en sentido
distal.
Estructuralmente, la pulpa dental es un tejido conectivo de variedad laxa, ricamente
vascularizado a inervado
En su periferia se ubican los odontoblastos,
que son celulas especializadas que se
encargan de sintetizar los distintos tipos de
dentina. Estas características biológicas
sumadas al hecho de que la pulpa se
encuentra rodeada por dentina
mineralizada, convierten a este tejido único
en su grupo.
La pulpa dental: 75% agua, 25% materia orgánica (células y matriz
extracelular –MEC, representadas por fibras y sustancia fundamental
En la pulpa existen una población de celulas muy heterogénea, que varia en
densidad según las distintas zonas de la misma
Son las celulas específicas del tejido pulpar, y están situadas
en su periferia y adyacentes a la predentina. Pertenecen
tanto a la pulpa como a la dentina porque aunque su
cuerpo se localiza en la periferia pulpar, sus prolongaciones
se alojan en los túbulos de la dentina.
Zona coronaria : similar a epitelio pseudoestratificado
Zona Radicular: epitelio simple de aspecto columnar
Proximidad de periapice: semejante a epitelio aplanado
Los odontoblastos adoptan la forma de celulas cilíndricas altas con núcleos grandes de localización
basal cuando se encuentran en su máxima actividad secretora.
Retículo Endoplasmico
Rugoso
muy extenso, que ocupa una gran parte del
citoplasma.
Complejo de Golgi tiene localización supranuclear y esta muy
desarrollado y en su cara madura exhibe
numerosos gránulos de contenido
filamentoso.
Abundantes
mitocondrias
cuya función principal es liberar energía para
ser utilizada en sus procesos metabólicos
Vesículas secretoras en la prolongación odontoblastica de un
odontoblasto joven (activo)
Citoesqueleto es el encargado de mantener la formula
celular
Ultraestructuralmente, los odontoblastos presentan:
Los odontoblastos se asocian entre sí a través de sistemas de unión de distinta naturaleza:
desmosomas, interigitaciones, uniones gap, etc. para formar la capa odontoblastica
El odontoblasto maduro es
una célula muy diferenciada
que ha perdido la capacidad
de dividirse (cel.
postmitótica)
Son las celulas principales y mas abundantes del tejido
conectivo pulpar, especialmente, en la corona, donde
forman la capa denominada rica en celulas.
Los fibroblastos secretan los precursores de las fibras
colágenas, reticulares y elásticas, así como la sustancia
fundamental de la pulpa.
Su funcion es formar, mantener y regular el recambio
de la matriz extracelular fibrilar y amorfa.
Tienen la capacidad de degradar el colágeno, en
respuesta a distintos estímulos fisiológicos del medio
interno.
También se le denominan mesenquimaticas indiferenciadas (derivan del ectodermo de
las cestas neurales)
Constituyen en la pulpa adulta, la población de reserva pulpar, por su
capacidad de diferenciarse en nuevos odontoblastos productores de dentina o
en fibroblastos productores de matriz pulpar.
Se caracterizan por tener abundantes vacuolas y lisosomas, así como por un complejo
de golgi y un REL bien desarrollados
A nivel del tejido pulpar, el macrófago estimulado desempeña un papel clave en la
respuesta inflamatoria e inmune durante la pulpitis
Son denominadas verdaderas y se caracterizan por expresar moléculas de clase II
del complejo mayor de histocompatibilidad por poseer una morfología ramificada
con tres o mas prolongaciones citoplasmicas.
Se acumulan de forma preferente en la región periavascular de la pulpa central y
en la región subodontoblastica.
Su función es participar en el proceso de iniciación de la respuesta inmunológica
primaria
Están constituidas por colágeno tipo I, el cual representa aprox. el 55% del
colágeno pulpar. Son escasas y están dispuestas de forma irregular en la pulpa
coronaria.
Están formadas por delgadas fibrillas de colágeno tipo III asociadas a fibronectina.
Se disponen al azar en el tejido pulpar, excepto a nivel de la región odontoblastica.
En el tejido pulpar, son muy escasas y están localizadas, exclusivamente, en las
delgadas paredes de los vasos sanguíneos aferentes.
Se les considera como fibras elásticas inmaduras y su función es desconocida.
La sustancia fundamental o matriz extracelular amorfa esta constituida principalmente
por proteoglucanos-versicano, decorina y biglucano- y agua.
Los GAG mas significativos
presentes:
Condroitin 4 y 6 sulfato (60%)
Dermatan sulfato (34%)
Keratan sulfato (2%)
Acido hialuronico (2%)
Los proteoglucanos contribuyen
significativamente a la viscosidad
de la matriz intracelular de la pulpa
y le dan un carácter gelatinoso,
esto es lo que permite extraer la
pulpa sin qe se rompa durante los
tratamientos endodonticos
La sustancia fundamental se comporta como un verdadero medio interno, a través
del cual las celulas reciben los nutrientes provenientes de la sangre arterial;
igualmente los productos de deshechos son eliminados en él para ser transportados
hasta la circulación eferente.
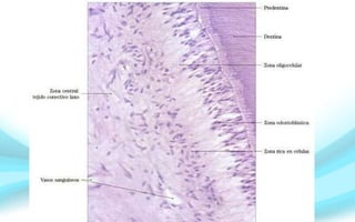
Zonas topográficas de la pulpa.
Se identifican
desde la
predentina
hasta la pulpa
Zona
odontoblástica.
Zona subodontoblástica
u oligocelular de Weil.
Zona rica en
células.
Zona central de la pulpa o
tejido pulpar propiamente
dicho.
Zona odontoblástica.
Está constituida por los odontoblastos, celulas
subodontoblasticas de Höhl.
Los cuerpos celulares de los odontoblastos se
conectan entre sí por diferentes complejos de
unión, en la porción proximal (vecina a la
predentina) se destaca la presencia de uniones
ocluyentes y desmosomas.
• En las caras laterales predominan las
uniones comunicantes de tipo hendidura o
gap.
Zona subodontoblástica u
oligocelular de Weil.
• Tiene aproximadamente 40 µm de ancho.
• Zona pobre en células.
• Está bien definida en la región coronaria de los dientes recién
erupcionados, pero, suele estar ausente en la región radicular. En
pulpas maduras la capa oligocelular alcanza un espesor de 60µm.
Se identifican:
1.- El plexo nervioso de Raschkow.
2.- El plexo capilar subodontoblástico.
3.- Los fibroblastos subodontoblásticos.
Zona rica en células.
Se caracteriza por su alta
densidad celular.
• Destacan las células
ectomesenquimáticas.
• Células madre de la pulpa.
• Los fibroblastos que
originan las fibras de Von
Korff.
Zona central de la pulpa.
Está formada por el tejido
conectivo laxo, característico
de la pulpa.
Con sus distintos tipos
celulares, escasas fibras
inmersas en la matiz
extracelular amorfa y
abundantes vasos y nervios.
Vascularización
Circulación
Sanguínea
Circulación
Linfática
Circulación Sanguínea.
Los vasos sanguíneos
penetran en Ia pulpa
acompañados de fibras
nerviosas sensitivas y
autónomas.
Salen de ella a través del
conducto o foramen
apical.
La red capilar es muy extensa
y se localiza en la zona basal
u oligocelular de Weil, su
función es nutrir a los
odontoblastos.
Circulación Sanguínea.
Capilares
Continuos
Poseen células endoteliales
muy delgadas de un espesor
aproximado entre 0,2 a 0,5
µm.
Fenestrados
Poseen un endotelio
relativamente más grueso, con
poros de aproximadamente
60nm, la membrana basal de los
mismos es continua.
• La circulación sanguínea de la
pulpa es de tipo terminal.
Ya que entre los vasos aferentes y
los eferentes de menor calibre.
Existen comunicaciones
alternativas, como anastomosis
arteriovenosas y venosas.
Circulación Linfática..
La circulación linfática de la pulpa
corresponde a un sistema de tipo primitivo.
Los vasos linfáticos se originan en la pulpa
coronaria por medio de extremos ciegos, de
paredes muy delgadas, cerca de Ia zona
oligocelular de Weil y de la zona
odontoblástica.
• Estos vasos ciegos drenan la linfa en
vasos recolectores de pequeño tamaño.
• Las células endoteliales exhiben
numerosas uniones intercelulares y se
encuentran escasos pericitos de
distribución irregular.
Inervación
La inervación esta
a cargo de fibras
nerviosas tipo A
(mielinicas) y C
(amielíticas) que
llegan a la pulpa
junto con los
vasos a través del
foramen apical.
El tejido pulpar se
caracteriza por tener
una doble inervación:
• Sensitiva
• Autónoma
Inervación Autónoma
• Esta constituida por fibras tipo
C. Estas fibras son de
conducción lenta e
intervienen en el control del
calibre arteriolar (función
vasomotora)
Esta constituida por fibras
aferentes sensoriales del
trigémino (V par craneal).
Son fibras mielinicas del
tipo A delta y A beta y,
también fibras amielinicas
tipo C.
Inervación Sensitiva
La fibras A son de conducción rápida y
responden a estímulos hidrodinámicos,
táctiles y térmicos, que trasmiten
sensación de un dolor agudo y bien
localizado.
Las fibras A delta responsables de la
conducción dolorosa maduran 4 o 5
años después de que el diente entre
en oclusión
• Los nervios mielinicos en la pulpa
coronaria se ramifican. En la zona
basal de Weil, dichas
ramificaciones constituyen el
plexo nervioso subodontoblastico
de Raschknow
Las fibras nerviosas, finalizan sobre los
cuerpos de los odontoblastos, en el interior
de los túbulos dentarios. Estos contactos
fibras nerviosas/prologaciones
odontoblasticas actuarían como receptores
sensoriales desempeñando un papel
fundamental en la sensibilidad dentaria.
El numero de túbulos dentarios
inervados varían según la región
topográfica de la dentina
• Las fibras C amielinicas de naturaleza sensorial
tienen una velocidad de conducción lenta y se
distribuyen respondiendo a los estimulos de la
bradicinina, la histamina y la capsaicina. La
estimulación de estas fibras da origen a una
sensación de dolor sordo poco localizado
• Algunas fibras sensoriales se ramifican de
tal manera que una rama se constituye
como terminación sensorial y la otra
como terminación nerviosa vascular.
• Cuando se estimula la terminación
sensorial, el impulso viajaría a los centros
nerviosos y a la rama que inerva la
estructura vascular. Este dispositivo
permite el denominado reflejo axonico
Los neuropeptidos, a nivel pulpar,
actúan como reguladores de la
actividad celular, del flujo sanguíneo
y del proceso de reparación tisular.
La interacción entre estos compuestos y la estructura
y disposición del componente nervioso desempeña
un papel importante en el mantenimiento de la
viabilidad y la funcionalidad pulpar.
Actividad y funcionalidad de la pulpa
• Inductora: el mecanismo inductor del
complejo dentino-pulpar se pone
manifiesto durante la amelo-génesis
Formativa: La pulpa tiene como función esencial forma
dentina. La elaboración de la dentina esta a cargo de los
odontoblastos y se producen distintos tipos de dentina:
• Primaria
• Secundaria o adventicia
• Terciaria o reparativa, se elabora en respuesta a
estímulos irritantes como biológicos (caries) físicos
(calor, presión) o químicos (sustancias nocivas)
• Nutritiva: La pulpa
nutre la dentina a través
de las prolongaciones
odontoblasticas y de los
metabolitos.
Sensitivas: La pulpa, mediante los nervios
sensitivos responde ante los diferentes
estímulos con dolor dentinario (agudo y
corta duración) o pulpar (Es sordo, pulsátil y
persiste durante tiempo). La respuesta es
siempre del tipo dolorosa.
• Defensiva o reparadora: El tejido pulpar
tiene una notable capacidad reparadora,
formando dentina ante las agresiones.
las dos líneas de defensa son:
1) Formación de dentina peritubular para
impedir la penetración e microorganismos a la
pulpa (primera defensa pulpar frente al avance
de una caries)
2) Formación de dentina terciaria, reparadora
o de irritación.
• El tejido pulpar y la cavidad que lo
aloja experimentan variaciones
estructurales y funcionales en
relación con la edad. Estos cambios
ocasionan una disminución en la
capacidad de respuesta biológica
Los principales cambios que tienen
lugar en el envejecimiento son:
Reducción del volumen pulpar,
al disminuir la cámara y los
conductor radiculares
Disminución de la irrigación e inervación,
como resultado de la reducción del
volumen del órgano pulpar.
Disminución gradual de la población celular
del tejido conectivo. La densidad celular
queda reducida a la mitad al perderse las
células inmaduras. Tiene gran importancia
clínica.
Transformación progresiva del
tejido conectivo laxo de la pulpa
en tejido conectivo semidenso.
Aparición de centros irregulares
de mineralización, Especialmente
en la región de la pulpa central.
Este fenómeno de calcificación es
común en la pulpa adulta y se
incrementa con la edad y frente a
agentes irritantes.
Las calcificaciones son de dos tipos:
a) Cálculos pulpares o dentículos
b) Calcificación difusa
Los cálculos pulpares están formados por la
precipitación de sales minerales sobre un centro de
matriz predominantemente colágena.
Se clasifican de acuerdo a su estructura en:
a) Verdaderos (poseen túbulos dentarios)
b) Falsos (solo muestran capas concéntricas de tejido
mineralizado) (son los mas frecuentes)
• Clínicamente, los cálculos pulpares
constituyen un problema profesional para
endodoncistas.
Los cálculos difusos aparecen
en especial en los conductos
radiculares en una disposición
perivascular
Biopatología y consideraciones clínicas.
El tejido pulpar puede sufrir distintas
alteraciones como consecuencias de
agresiones tanto que pueden ser:
Exógenas.
Endógenas.
La pulpa responde la agresión y
desencadena una reacción de tipo
inflamatorio (pulpitis).
Primera fase
o Marca dilatación y congestión vascular
(hiperemia)
o Se produce generalmente, como respuesta a
factores locales
 Materiales Dentales .
 Infecciones.
o Los primeros cambios vasculares son
reversibles y se elimina el agente causante.
El aumento de presión del tejido pulpar.
• Es provocado por la presencia de
edema, debido a la hiperemia.
• Presiona las terminaciones
nerviosas .
• Y por lo tanto provoca dolor.
• Los niveles de
neuropeptidos se
incrementan de forma
notable.
• El oxido nítrico
desempeña un papel
importante en la
biopatologia por su
participación en el
mantenimiento del tono
vascular.
En la inflación participan sus dos
componentes esenciales:
Mecanismo
microcirculatorio.
El proceso nervioso
sensorial
Clínicamente la inflamación se
caracteriza por la presencia de:
Leucocitos
 Polimorfonucleares
En este proceso participan los mastocitos que
sintetizan histamina (sustancia que provoca
vasodilatación de las arteriolas pulpares).
• La presencia de otras sustancias también
favorece indirectamente la producción de dolor.
• Si la presión se mantiene puede producir la
necrosis del tejido pulpar.
Cavidad Pulpar Abierta
• Cuando la pulpitis se desarrolla en una
cavidad pulpar abierta, el tejido pulpar esta en
comunicación con el medio bucal. Pulpitis
ulcesosa: Donde el tejido superficial se
necrosa.
Cavidad Pulpar Cerrada
• Puede producirse necrosis pulpar en una
cámara pulpar cerrada, como consecuencia de
un traumatismo, generalmente, en los dientes
anteriores superiores.
Tipos de lesión
pulpar.
Reversible Irreversible
Corta duración y el
tejido pulpar se
recupera.
Son graves o persistentes
Inflamación aguda de la pulpa
Está es sintomática pero si se transforma
en crónica, posiblemente sea
asintomática.
 La inflamación pasa de un estado de
reposo crónico a uno agudo, son los
signos y los síntomas presentes y
pasados los que nos ayudan a realizar un
diagnostico correcto.
• La pulpa también puede verse afectada por
causas generales o sistémicas que alteran el
tejido conectivo por ejemplo:
 Deficiencia de vitamina A y C.
 Hipo e Hipertiroidismo.
 Diabetes.
Ingeniería Tisular.
• La pulpa y la dentina
forman una unidad
biológica que se
denomina complejo
pulpodentinario.
La ingeniería tisular a este nivel se
sustenta…
• En el importante potencial regenerativo que
poseen las células pulpares de reserva, entre
las que incluyen la célula madre pulpa (DPSC)
recientemente identificada. La estimulación y
la diferenciación de estas células y la
formación de una matriz dentinaria, que
pueda sustituir con eficacia la dentina perdida
o alterada.
Otros Autores
• Han construido por
ingeniería tisular pulpa
artificial utilizando
fibroblastos en distintos
tipos de matices para el
posible uso de dichos
sustitutos en algunos
tratamientos endodonticos.
La célula madre de la pulpa (DPSC)
• Es una célula con capacidad diferenciativa
multipotencial
• No solo una célula destinada a la diferenciación
odontoblastica.
• Se diferencia formando otros tipos células como;
 células nerviosas, que expresan in vitro nestina ,
o proteína glial fibrilar acídica (GFAP).
.
1. ¿Cuáles son las 5 poblaciones celulares de la pulpa?
2. ¿Cuales son las zonas topográficas de la pulpa y menciona
una característica de cada una de ellas?
3. ¿Cuales son las 5 funcionalidades de la pulpa?
4. ¿Como se caracteriza clínicamente la inflamación?

Complejo dentino-pulpar I: Pulpa dental

  • 1.
    MIGUEL U. MOSRI• DARINKA VARGAS • DAMARIS OJEDA • MA. GPE.GONZÁLEZ
  • 2.
    La pulpa formaparte del complejo dentino-pulpar de origen embriológico en la papila dental (tejido ectomesenquimatoso derivado de la cresta neural) y es el único tejido blando del diente. Cavidad central excavada en plena dentina, que morfológicamente reproduce la forma del elemento dentario. En premolares y molares se divide al igual que su contenido pulpar en porción coronaria y radicular.
  • 3.
    Coronaria: posee unpiso y un techo, donde encontramos los cuernos pulpares que son prolongaciones camerales que se dirigen a las cúspides (importantes en operatoria restauradora). Del piso de la cámara salen dos o tres conductos que penetran en las raíces y se extienden desde la región cervical hasta el foramen apical. Pulpa radicular: porción tisular alojada en estos conductos.
  • 4.
    En el foramenapical la pulpa radicular se conecta directamente con el tejido periapical del ligamento periodontal a la altura del espacio indiferenciado de Black o periápice; no existe un limite morfológico preciso entre tejido pulpar del ápice y T.C. del periodonto apical. En esta área se localizan celulas mesenquimaticas de reserva que se diferencian según los requerimientos funcionales, en: • Fibroblastos • Osteoblastos y • Cementoblastos En los elementos unirradiculares, la pulpa coronaria se continua sin limites topográficos con la pulpa radicular, pues carece de piso, pero si posee cuernos en numero de uno o tres.
  • 5.
    Durante el desarrollode la raíz, la vaina epitelial de Hertwig es la que determina la forma y el número de raíces y conductos. También pueden formarse conductos laterales o accesorios, debido a que el tercio apical de la raíz se forma cuando el diente ya esta en oclusión y puede sufrir la acción de agentes locales que modifiquen la anatomía radicular En el caso de existir conductos laterales, el tejido pulpar suele establecer relaciones con el tejido periodontal. Generalmente, el resultado es un conducto principal situado en el centro de la raíz, que se abre en un agujero único central o ligeramente desviado en sentido distal.
  • 6.
    Estructuralmente, la pulpadental es un tejido conectivo de variedad laxa, ricamente vascularizado a inervado En su periferia se ubican los odontoblastos, que son celulas especializadas que se encargan de sintetizar los distintos tipos de dentina. Estas características biológicas sumadas al hecho de que la pulpa se encuentra rodeada por dentina mineralizada, convierten a este tejido único en su grupo. La pulpa dental: 75% agua, 25% materia orgánica (células y matriz extracelular –MEC, representadas por fibras y sustancia fundamental
  • 7.
    En la pulpaexisten una población de celulas muy heterogénea, que varia en densidad según las distintas zonas de la misma Son las celulas específicas del tejido pulpar, y están situadas en su periferia y adyacentes a la predentina. Pertenecen tanto a la pulpa como a la dentina porque aunque su cuerpo se localiza en la periferia pulpar, sus prolongaciones se alojan en los túbulos de la dentina. Zona coronaria : similar a epitelio pseudoestratificado Zona Radicular: epitelio simple de aspecto columnar Proximidad de periapice: semejante a epitelio aplanado
  • 8.
    Los odontoblastos adoptanla forma de celulas cilíndricas altas con núcleos grandes de localización basal cuando se encuentran en su máxima actividad secretora. Retículo Endoplasmico Rugoso muy extenso, que ocupa una gran parte del citoplasma. Complejo de Golgi tiene localización supranuclear y esta muy desarrollado y en su cara madura exhibe numerosos gránulos de contenido filamentoso. Abundantes mitocondrias cuya función principal es liberar energía para ser utilizada en sus procesos metabólicos Vesículas secretoras en la prolongación odontoblastica de un odontoblasto joven (activo) Citoesqueleto es el encargado de mantener la formula celular Ultraestructuralmente, los odontoblastos presentan:
  • 9.
    Los odontoblastos seasocian entre sí a través de sistemas de unión de distinta naturaleza: desmosomas, interigitaciones, uniones gap, etc. para formar la capa odontoblastica El odontoblasto maduro es una célula muy diferenciada que ha perdido la capacidad de dividirse (cel. postmitótica)
  • 10.
    Son las celulasprincipales y mas abundantes del tejido conectivo pulpar, especialmente, en la corona, donde forman la capa denominada rica en celulas. Los fibroblastos secretan los precursores de las fibras colágenas, reticulares y elásticas, así como la sustancia fundamental de la pulpa. Su funcion es formar, mantener y regular el recambio de la matriz extracelular fibrilar y amorfa. Tienen la capacidad de degradar el colágeno, en respuesta a distintos estímulos fisiológicos del medio interno.
  • 11.
    También se ledenominan mesenquimaticas indiferenciadas (derivan del ectodermo de las cestas neurales) Constituyen en la pulpa adulta, la población de reserva pulpar, por su capacidad de diferenciarse en nuevos odontoblastos productores de dentina o en fibroblastos productores de matriz pulpar. Se caracterizan por tener abundantes vacuolas y lisosomas, así como por un complejo de golgi y un REL bien desarrollados A nivel del tejido pulpar, el macrófago estimulado desempeña un papel clave en la respuesta inflamatoria e inmune durante la pulpitis
  • 12.
    Son denominadas verdaderasy se caracterizan por expresar moléculas de clase II del complejo mayor de histocompatibilidad por poseer una morfología ramificada con tres o mas prolongaciones citoplasmicas. Se acumulan de forma preferente en la región periavascular de la pulpa central y en la región subodontoblastica. Su función es participar en el proceso de iniciación de la respuesta inmunológica primaria
  • 13.
    Están constituidas porcolágeno tipo I, el cual representa aprox. el 55% del colágeno pulpar. Son escasas y están dispuestas de forma irregular en la pulpa coronaria. Están formadas por delgadas fibrillas de colágeno tipo III asociadas a fibronectina. Se disponen al azar en el tejido pulpar, excepto a nivel de la región odontoblastica. En el tejido pulpar, son muy escasas y están localizadas, exclusivamente, en las delgadas paredes de los vasos sanguíneos aferentes. Se les considera como fibras elásticas inmaduras y su función es desconocida.
  • 14.
    La sustancia fundamentalo matriz extracelular amorfa esta constituida principalmente por proteoglucanos-versicano, decorina y biglucano- y agua. Los GAG mas significativos presentes: Condroitin 4 y 6 sulfato (60%) Dermatan sulfato (34%) Keratan sulfato (2%) Acido hialuronico (2%) Los proteoglucanos contribuyen significativamente a la viscosidad de la matriz intracelular de la pulpa y le dan un carácter gelatinoso, esto es lo que permite extraer la pulpa sin qe se rompa durante los tratamientos endodonticos La sustancia fundamental se comporta como un verdadero medio interno, a través del cual las celulas reciben los nutrientes provenientes de la sangre arterial; igualmente los productos de deshechos son eliminados en él para ser transportados hasta la circulación eferente.
  • 15.
    Zonas topográficas dela pulpa. Se identifican desde la predentina hasta la pulpa Zona odontoblástica. Zona subodontoblástica u oligocelular de Weil. Zona rica en células. Zona central de la pulpa o tejido pulpar propiamente dicho.
  • 17.
    Zona odontoblástica. Está constituidapor los odontoblastos, celulas subodontoblasticas de Höhl. Los cuerpos celulares de los odontoblastos se conectan entre sí por diferentes complejos de unión, en la porción proximal (vecina a la predentina) se destaca la presencia de uniones ocluyentes y desmosomas. • En las caras laterales predominan las uniones comunicantes de tipo hendidura o gap.
  • 18.
    Zona subodontoblástica u oligocelularde Weil. • Tiene aproximadamente 40 µm de ancho. • Zona pobre en células. • Está bien definida en la región coronaria de los dientes recién erupcionados, pero, suele estar ausente en la región radicular. En pulpas maduras la capa oligocelular alcanza un espesor de 60µm.
  • 19.
    Se identifican: 1.- Elplexo nervioso de Raschkow. 2.- El plexo capilar subodontoblástico. 3.- Los fibroblastos subodontoblásticos.
  • 20.
    Zona rica encélulas. Se caracteriza por su alta densidad celular. • Destacan las células ectomesenquimáticas. • Células madre de la pulpa. • Los fibroblastos que originan las fibras de Von Korff.
  • 21.
    Zona central dela pulpa. Está formada por el tejido conectivo laxo, característico de la pulpa. Con sus distintos tipos celulares, escasas fibras inmersas en la matiz extracelular amorfa y abundantes vasos y nervios.
  • 22.
  • 23.
    Circulación Sanguínea. Los vasossanguíneos penetran en Ia pulpa acompañados de fibras nerviosas sensitivas y autónomas. Salen de ella a través del conducto o foramen apical.
  • 24.
    La red capilares muy extensa y se localiza en la zona basal u oligocelular de Weil, su función es nutrir a los odontoblastos. Circulación Sanguínea.
  • 25.
    Capilares Continuos Poseen células endoteliales muydelgadas de un espesor aproximado entre 0,2 a 0,5 µm. Fenestrados Poseen un endotelio relativamente más grueso, con poros de aproximadamente 60nm, la membrana basal de los mismos es continua.
  • 26.
    • La circulaciónsanguínea de la pulpa es de tipo terminal. Ya que entre los vasos aferentes y los eferentes de menor calibre. Existen comunicaciones alternativas, como anastomosis arteriovenosas y venosas.
  • 27.
    Circulación Linfática.. La circulaciónlinfática de la pulpa corresponde a un sistema de tipo primitivo. Los vasos linfáticos se originan en la pulpa coronaria por medio de extremos ciegos, de paredes muy delgadas, cerca de Ia zona oligocelular de Weil y de la zona odontoblástica. • Estos vasos ciegos drenan la linfa en vasos recolectores de pequeño tamaño. • Las células endoteliales exhiben numerosas uniones intercelulares y se encuentran escasos pericitos de distribución irregular.
  • 28.
    Inervación La inervación esta acargo de fibras nerviosas tipo A (mielinicas) y C (amielíticas) que llegan a la pulpa junto con los vasos a través del foramen apical.
  • 29.
    El tejido pulparse caracteriza por tener una doble inervación: • Sensitiva • Autónoma
  • 30.
    Inervación Autónoma • Estaconstituida por fibras tipo C. Estas fibras son de conducción lenta e intervienen en el control del calibre arteriolar (función vasomotora)
  • 31.
    Esta constituida porfibras aferentes sensoriales del trigémino (V par craneal). Son fibras mielinicas del tipo A delta y A beta y, también fibras amielinicas tipo C. Inervación Sensitiva
  • 32.
    La fibras Ason de conducción rápida y responden a estímulos hidrodinámicos, táctiles y térmicos, que trasmiten sensación de un dolor agudo y bien localizado. Las fibras A delta responsables de la conducción dolorosa maduran 4 o 5 años después de que el diente entre en oclusión
  • 33.
    • Los nerviosmielinicos en la pulpa coronaria se ramifican. En la zona basal de Weil, dichas ramificaciones constituyen el plexo nervioso subodontoblastico de Raschknow
  • 34.
    Las fibras nerviosas,finalizan sobre los cuerpos de los odontoblastos, en el interior de los túbulos dentarios. Estos contactos fibras nerviosas/prologaciones odontoblasticas actuarían como receptores sensoriales desempeñando un papel fundamental en la sensibilidad dentaria. El numero de túbulos dentarios inervados varían según la región topográfica de la dentina
  • 35.
    • Las fibrasC amielinicas de naturaleza sensorial tienen una velocidad de conducción lenta y se distribuyen respondiendo a los estimulos de la bradicinina, la histamina y la capsaicina. La estimulación de estas fibras da origen a una sensación de dolor sordo poco localizado
  • 36.
    • Algunas fibrassensoriales se ramifican de tal manera que una rama se constituye como terminación sensorial y la otra como terminación nerviosa vascular.
  • 37.
    • Cuando seestimula la terminación sensorial, el impulso viajaría a los centros nerviosos y a la rama que inerva la estructura vascular. Este dispositivo permite el denominado reflejo axonico
  • 38.
    Los neuropeptidos, anivel pulpar, actúan como reguladores de la actividad celular, del flujo sanguíneo y del proceso de reparación tisular. La interacción entre estos compuestos y la estructura y disposición del componente nervioso desempeña un papel importante en el mantenimiento de la viabilidad y la funcionalidad pulpar.
  • 40.
    Actividad y funcionalidadde la pulpa • Inductora: el mecanismo inductor del complejo dentino-pulpar se pone manifiesto durante la amelo-génesis
  • 41.
    Formativa: La pulpatiene como función esencial forma dentina. La elaboración de la dentina esta a cargo de los odontoblastos y se producen distintos tipos de dentina: • Primaria • Secundaria o adventicia • Terciaria o reparativa, se elabora en respuesta a estímulos irritantes como biológicos (caries) físicos (calor, presión) o químicos (sustancias nocivas)
  • 42.
    • Nutritiva: Lapulpa nutre la dentina a través de las prolongaciones odontoblasticas y de los metabolitos. Sensitivas: La pulpa, mediante los nervios sensitivos responde ante los diferentes estímulos con dolor dentinario (agudo y corta duración) o pulpar (Es sordo, pulsátil y persiste durante tiempo). La respuesta es siempre del tipo dolorosa.
  • 43.
    • Defensiva oreparadora: El tejido pulpar tiene una notable capacidad reparadora, formando dentina ante las agresiones. las dos líneas de defensa son: 1) Formación de dentina peritubular para impedir la penetración e microorganismos a la pulpa (primera defensa pulpar frente al avance de una caries) 2) Formación de dentina terciaria, reparadora o de irritación.
  • 44.
    • El tejidopulpar y la cavidad que lo aloja experimentan variaciones estructurales y funcionales en relación con la edad. Estos cambios ocasionan una disminución en la capacidad de respuesta biológica Los principales cambios que tienen lugar en el envejecimiento son:
  • 45.
    Reducción del volumenpulpar, al disminuir la cámara y los conductor radiculares Disminución de la irrigación e inervación, como resultado de la reducción del volumen del órgano pulpar. Disminución gradual de la población celular del tejido conectivo. La densidad celular queda reducida a la mitad al perderse las células inmaduras. Tiene gran importancia clínica.
  • 46.
    Transformación progresiva del tejidoconectivo laxo de la pulpa en tejido conectivo semidenso. Aparición de centros irregulares de mineralización, Especialmente en la región de la pulpa central. Este fenómeno de calcificación es común en la pulpa adulta y se incrementa con la edad y frente a agentes irritantes.
  • 47.
    Las calcificaciones sonde dos tipos: a) Cálculos pulpares o dentículos b) Calcificación difusa
  • 48.
    Los cálculos pulparesestán formados por la precipitación de sales minerales sobre un centro de matriz predominantemente colágena. Se clasifican de acuerdo a su estructura en: a) Verdaderos (poseen túbulos dentarios) b) Falsos (solo muestran capas concéntricas de tejido mineralizado) (son los mas frecuentes)
  • 49.
    • Clínicamente, loscálculos pulpares constituyen un problema profesional para endodoncistas. Los cálculos difusos aparecen en especial en los conductos radiculares en una disposición perivascular
  • 50.
    Biopatología y consideracionesclínicas. El tejido pulpar puede sufrir distintas alteraciones como consecuencias de agresiones tanto que pueden ser: Exógenas. Endógenas.
  • 51.
    La pulpa respondela agresión y desencadena una reacción de tipo inflamatorio (pulpitis).
  • 52.
    Primera fase o Marcadilatación y congestión vascular (hiperemia) o Se produce generalmente, como respuesta a factores locales  Materiales Dentales .  Infecciones. o Los primeros cambios vasculares son reversibles y se elimina el agente causante.
  • 53.
    El aumento depresión del tejido pulpar. • Es provocado por la presencia de edema, debido a la hiperemia. • Presiona las terminaciones nerviosas . • Y por lo tanto provoca dolor.
  • 54.
    • Los nivelesde neuropeptidos se incrementan de forma notable. • El oxido nítrico desempeña un papel importante en la biopatologia por su participación en el mantenimiento del tono vascular.
  • 55.
    En la inflaciónparticipan sus dos componentes esenciales: Mecanismo microcirculatorio. El proceso nervioso sensorial
  • 56.
    Clínicamente la inflamaciónse caracteriza por la presencia de: Leucocitos  Polimorfonucleares En este proceso participan los mastocitos que sintetizan histamina (sustancia que provoca vasodilatación de las arteriolas pulpares).
  • 57.
    • La presenciade otras sustancias también favorece indirectamente la producción de dolor. • Si la presión se mantiene puede producir la necrosis del tejido pulpar.
  • 58.
    Cavidad Pulpar Abierta •Cuando la pulpitis se desarrolla en una cavidad pulpar abierta, el tejido pulpar esta en comunicación con el medio bucal. Pulpitis ulcesosa: Donde el tejido superficial se necrosa.
  • 59.
    Cavidad Pulpar Cerrada •Puede producirse necrosis pulpar en una cámara pulpar cerrada, como consecuencia de un traumatismo, generalmente, en los dientes anteriores superiores.
  • 60.
    Tipos de lesión pulpar. ReversibleIrreversible Corta duración y el tejido pulpar se recupera. Son graves o persistentes
  • 61.
    Inflamación aguda dela pulpa Está es sintomática pero si se transforma en crónica, posiblemente sea asintomática.  La inflamación pasa de un estado de reposo crónico a uno agudo, son los signos y los síntomas presentes y pasados los que nos ayudan a realizar un diagnostico correcto.
  • 64.
    • La pulpatambién puede verse afectada por causas generales o sistémicas que alteran el tejido conectivo por ejemplo:  Deficiencia de vitamina A y C.  Hipo e Hipertiroidismo.  Diabetes.
  • 65.
    Ingeniería Tisular. • Lapulpa y la dentina forman una unidad biológica que se denomina complejo pulpodentinario.
  • 66.
    La ingeniería tisulara este nivel se sustenta… • En el importante potencial regenerativo que poseen las células pulpares de reserva, entre las que incluyen la célula madre pulpa (DPSC) recientemente identificada. La estimulación y la diferenciación de estas células y la formación de una matriz dentinaria, que pueda sustituir con eficacia la dentina perdida o alterada.
  • 67.
    Otros Autores • Hanconstruido por ingeniería tisular pulpa artificial utilizando fibroblastos en distintos tipos de matices para el posible uso de dichos sustitutos en algunos tratamientos endodonticos.
  • 68.
    La célula madrede la pulpa (DPSC) • Es una célula con capacidad diferenciativa multipotencial • No solo una célula destinada a la diferenciación odontoblastica. • Se diferencia formando otros tipos células como;  células nerviosas, que expresan in vitro nestina , o proteína glial fibrilar acídica (GFAP). .
  • 69.
    1. ¿Cuáles sonlas 5 poblaciones celulares de la pulpa? 2. ¿Cuales son las zonas topográficas de la pulpa y menciona una característica de cada una de ellas? 3. ¿Cuales son las 5 funcionalidades de la pulpa? 4. ¿Como se caracteriza clínicamente la inflamación?