Hospital Clínico Universidad de Chile
Mirko Fadic Canto
Tecnología Médica
Mención Radiología y Física Médica
Daño Hepático Crónico
“Daño morfológico y/o funcional hepático que persiste en
el tiempo y que lleva en etapas Progresivas a la
declinación de funciones hepáticas.”
 Se produce por la acción de noxas (tóxicos, drogas, virus,
etc.) que actúan de forma persistente sobrepasando la
capacidad hepática de defensa y reparación, produciendo
una regeneración celular desordenada con inflamación y
fibrosis del parénquima  HepatoCa.
Cirrosis Hepática
 DHC cursa con Cirrosis hepática:
 Enfermedad inflamatoria crónica con afectación de la
arquitectura lobulillar.
 Nódulos de regeneración con tejido fibroso
consecuencia de necrosis y regeneración hepatocelular.
 Distorsión del aparato vascular hepático y perdida de
funciones hepáticas.
Anamnesis Caso Clínico
 Paciente sexo femenino de 59 años de edad, acude por
estudio preoperatorio de pinzamiento coxofemoral.
 Antecedente de DHC por Hepatitis C
 Dolor esofágico
 Colecistectomía
 Histerectomizada
 Diabetes (-)
 HTA (-)
 Alcohol (-)
 Tabaquismo (-)
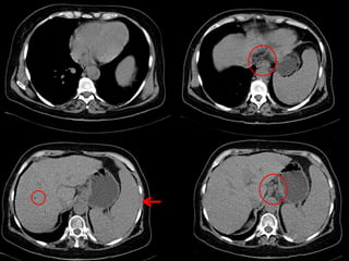
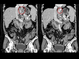
Fase Portal
Terminado el examen…
 Protocolo Aplicado
 DHC
 Hepatocarcinoma
 Rendimiento del método:
 Caracterización de lesiones
 Control de quistes
 Control preoperatorio
 Respecto a la Patología:
 Protocolo adecuado
 Hallazgos Radiológicos:
 Irregularidad de contornos hepáticos
 Hipertensión portal
 Varices esofágicas
 Esplenomegalia

Daño hepático crónico

  • 1.
    Hospital Clínico Universidadde Chile Mirko Fadic Canto Tecnología Médica Mención Radiología y Física Médica
  • 2.
    Daño Hepático Crónico “Dañomorfológico y/o funcional hepático que persiste en el tiempo y que lleva en etapas Progresivas a la declinación de funciones hepáticas.”  Se produce por la acción de noxas (tóxicos, drogas, virus, etc.) que actúan de forma persistente sobrepasando la capacidad hepática de defensa y reparación, produciendo una regeneración celular desordenada con inflamación y fibrosis del parénquima  HepatoCa.
  • 3.
    Cirrosis Hepática  DHCcursa con Cirrosis hepática:  Enfermedad inflamatoria crónica con afectación de la arquitectura lobulillar.  Nódulos de regeneración con tejido fibroso consecuencia de necrosis y regeneración hepatocelular.  Distorsión del aparato vascular hepático y perdida de funciones hepáticas.
  • 4.
    Anamnesis Caso Clínico Paciente sexo femenino de 59 años de edad, acude por estudio preoperatorio de pinzamiento coxofemoral.  Antecedente de DHC por Hepatitis C  Dolor esofágico  Colecistectomía  Histerectomizada  Diabetes (-)  HTA (-)  Alcohol (-)  Tabaquismo (-)
  • 6.
  • 8.
    Terminado el examen… Protocolo Aplicado  DHC  Hepatocarcinoma  Rendimiento del método:  Caracterización de lesiones  Control de quistes  Control preoperatorio  Respecto a la Patología:  Protocolo adecuado  Hallazgos Radiológicos:  Irregularidad de contornos hepáticos  Hipertensión portal  Varices esofágicas  Esplenomegalia