Edema agudo
pulmonar
Cardiogénico
R1: ERIKA LESLIE LÓPEZ MANRIQUE
R2: IBETH MONTIEL HERNÁNDEZ
El Edema Pulmonar Agudo Cardiogénico (EPAC) es el aumento
agudo del líquido intersticial pulmonar generado por aumento de
la presión hidrostática en los capilares pulmonares .
Es una manifestación de una insuficiencia cardíaca aguda (ICA) , la
cual puede presentarse en un corazón previamente insuficiente
(insuficiencia cardíaca crónica reagudizada) o sin manifestaciones
de insuficiencia previa.
Presencia de liquido en los espacios
extravasculares (Intersticial y alveolar) del
pulmón en cantidad superior a la
fisiológica.
Normal: 500 mililitros (70 kg)
se encuentra en fase «gel» distribuida en el
90% del espacio intersticial y el resto
corresponde a agua intracelular.
• Principal causa de hospitalización por insuficiencia cardíaca en Servicios de
Urgencia
• > Adultos mayores
• Mortalidad de 10-20%
Etiología
Infarto agudo a miocardio
Hipertensión arterial severa
Cardiopatía hipertensiva crónica descompensada
Valvulopatía mitral y/o aortica c/endocarditis
Miocardiopatías restrictiva o fibrótica
Miocardiopatía por stress (Takptsubo)
Taquiarritmias
Bradiarritmias severas
Trasgresión alimentaria
Discontinuación del tratamiento de insuficiencia cardíaca
Taponamiento cardiaco
Fibrilación auricular, otras arritmias, bloqueo completo
Enfermedad renal crónica sin diálisis
Infecciones
Disección aortica
Las AQP están conformadas por homotetrámeros, cuyos monómeros
funcionan como canales independientes. Cada monómero, compuesto
por aproximadamente 270 aminoácidos, tiene extremos carboxilo y
amino terminales intracelulares y seis dominios transmembrana. De
los cinco segmentos conectores de los dominios transmembrana, dos
contienen una secuencia de aminoácidos sumamente conservada
(Asn-Pro-Ala) que es esencial en la formación del canal de agua.
La acumulación de líquido en el intersticio en el edema agudo de pulmón
cardiogénico se produce por un incremento brusco en la presión hidrostática de
los capilares en el sistema circulatorio.
Este aumento de presión es el resultado de la disfunción
presión diastólica y sistólica del ventrículo izquierdo, que se
transmite a los vasos pulmonares y se relaciona con el
incremento de la presión capilar pulmonar, permanece
inicialmente en el intersticio (fase intersticial)
Si se sobre pasa la capacidad de los vasos linfáticos, el liquido
se colecciona en el intersticio y en el espacio subpleural, de tal
manera de que cuando la presión hidrostática del intersticio
aumenta aparece el llenado alveolar debido a que la
permeabilidad de la membrana endotelial no esta alterada, el
líquido acumulado es pobre en proteína.
La reversivibilidad de este cuadro se produce gracias al transporte activo de sodio y cloro a través de la
barrera epitelial alveolar, la absorción de sodio y cloro se producen a través de los canales iónicos situados
en la membrana epitelial de las células tipo I y II.
El sodio es transportado del espacio intersticial de manera activa mediante los canales Na/K-ATPasa
localizado en las células epiteliales tipo II.
Además el Agua se difunde de manera pasiva a través de las acuoporinas existentes principalmente en las
células tipo I.
El intercambio de sustancias entre la sangre y el liquido intersticial.
Difusión: las moléculas se mueven de una zona de alta concentración a una de baja concentración
Capilar
Oxigeno
Dióxido de carbono
Sodios
Glucosa
Cloruro
Agua
Liposolubles No Liposolubles
Velocidad del agua: 80x mayor que el flujo
INTERSTICIO
Fuerzas de filtración en el extremo arterial
Presión
hidrostática
capilar
30mm/Hg
Presión
negativa
intersticial
3mm/Hg
28mm/Hg
41mm/Hg
Presión
coloidosmotica del
plasma
8mm/Hg
Presión
coloidosmotica
intersticial
Fuerza total de
salida
Fuerzas de filtración en el extremo arterial
Fuerza total de
salida
41mm/Hg
Fuerza total de
entrada
28mm/Hg
Fuerzas de filtración en el extremo arterial
Fuerza total de
salida
41mm/Hg
Fuerza total de
entrada
28mm/Hg
Fuerza neta de salida:
13mm/Hg
Fuerzas de filtración en el extremo venoso
Presión
hidrostática
capilar
10mm/Hg
Presión
negativa
intersticial
3mm/Hg
28mm/Hg
41mm/Hg
Presión
coloidosmotica del
plasma
8mm/Hg
Presión
coloidosmotica
intersticial
Fuerza total de
salida
Fuerza total de
entrada
28mm/Hg
Equilibrio de Starling
Presión
hidrostática
capilar
17,3mm/Hg
Presión
negativa
intersticial
3mm/Hg
28mm/Hg
Presión
coloidosmotica del
plasma
8mm/Hg
Presión
coloidosmotica
intersticial
(Filtración capilar media)
Equilibrio de Starling
Presión
hidrostática
capilar
17,3mm/Hg
Presión
negativa
intersticial
3mm/Hg
28mm/Hg
28,3mm/Hg
Presión
coloidosmotica del
plasma
8mm/Hg
Presión
coloidosmotica
intersticial
Fuerza total de
salida
(Filtración capilar media)
Equilibrio de Starling
Presión
hidrostática
capilar
17,3mm/Hg
Presión
negativa
intersticial
3mm/Hg
28mm/Hg
28,3mm/Hg
Presión
coloidosmotica del
plasma
8mm/Hg
Presión
coloidosmotica
intersticial
Fuerza total de
salida
(Filtración capilar media)
Fuerza total de entrada
28mm/Hg
Fuerzas de filtración en el extremo venoso
Fuerza total de
salida
28,3mm/Hg
Fuerza total de
entrada
28mm/Hg
Fuerzas de filtración en el extremo venoso
Fuerza total de
salida
28,3mm/Hg
Fuerza total de
entrada
28mm/Hg
Fuerza neta de salida: 0,3mm/Hg
Fuerzas de filtración en el extremo venoso
Fuerza total de
salida
28,3mm/Hg
Fuerza total de
entrada
28mm/Hg
Fuerza neta de salida:
0,3mm/Hg
Es absorbido y
vuelve a la
circulación por el
sistema linfático
Clínica
Cuadro agudo y súbito con..
Disnea y taquipnea debido al edema intersticial
Hipoxia y cianosis asociada
Tos y expectoración rosada secundaria a la
ocupación alveolar
Signos y síntomas secundarios a enfermedad
desencadenante
•Antecedentes
de enfermedad
cardiaca
Origen
cardiogénico:
•Neumonía.
Sepsis,
aspiración de
contenido
gástrico,
trauma mayor
asociado a
múltiples
transfusiones
Origen NO
carcinogénico
Exploración física
Aumento del trabajo
respiratorio, cianosis junto
con incapacidad de tolera el
decúbito, taquipnea,
crepitantes pulmonares y
bilaterales
Auscultación: 3 cardiaco Disminución de la diuresis
Signos de infección
respiratoria
Datos de consumo de drogas
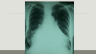
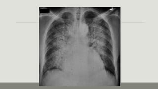
Rx de tórax
Fase
intersticial:
Pérdida de la definición de los vasos
pulmonares, engrosamiento de los
tabiques interlobulillares (líneas A y B de
Kerley), nódulos acinares perhiliares,
manguitos peribronquiales,
engrosamiento de las cisuras.
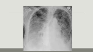
Rx de tórax
Fase
alveolar:
Patrones alveolares mal definidos, confluentes, con
distribución parcheada, bordes irregulares y
predominante en el tercio interno del pulmón,
patrón en ¨alas de mariposa’ (la consolidación se
extiende desde la región perhiliar hacia afuera,
dejando no daño a la zona subpleural)
Pruebas de laboratorio
Marcadores de lesión miocárdica
• Niveles de péptidos nutriureticos (NT-proBNP)>500
Osmolaridad, iones, niveles de amilasa, análisi toxicológico
• Electrolitos séricos/urinarios
Gasometría
• BUN, creatinina, urea, EGO, proteinuria
Pruebas de función hepática
Electrocardiograma
Buscar signos sugestivos
de lesión coronaria aguda:
Evaluar las alteraciones
del segmento ST o
aparición de onda Q en
las fases más avanzadas
La presencia de
hipertrofia ventricular o
auricular también sugiere
etiología cardiaca
La identificación de
arritmias
Cateterismo cardiaco
Gold standard
No se hace
rutina
Prevención de
enclavamiento
pulmonar>15m
mHg
Tratamiento
Objetivos:
1. Soporte cardiopulmonar:
a) Mejorar la ventilación pulmonar a través de la administración de oxigeno a alto flujo y
fármacos broncodilatadores
b) Disminución de la presión venoso capilar
Ventilación mecánica no invasiva (IMNI)
1.- Disminución tanto la pre-carga como la post-carga
Taquea>25/min de saturación -90%
Misma presión de aire al
inspirar y espirar
Diferentes niveles de
presión de aire al +inspirar
y -espirar
2.- Presión positiva continua en la vía aérea (CPAP), en que se mantiene una presión positiva
durante todo el ciclo respiratorio.
Aumentar la presión intratoracica.
Disminución en la pre-carga.
Mejoría en el gasto cardiaco.
Disminución de la congestión.
Reclutamiento alveolar.
Eliminar líquido de los alveolos.
Mantener abiertos los alveolos.
3.- Presión positiva de dos niveles en la vía área (BPAP)
IPAP inspirativa
EPAP espiratoria
Mejorar a mecánica respiratoria
Disminución de frecuencia respiratoria
Aumento de volumen corriente
Mejora intercambio gaseoso
Aumenta PO2
Disminución de PCO2
2. Tratamiento de enfermedades desencadenantes del cuadro:
a) Posición sentado con el fin de contrarrestar la restribución de liquido extravascular la cual
disminuye el retorno venoso
b) Monitorización
c) Oxigeno terapia con saturación mayor de 90%
d) Vía periférica
e) Sonda urinaria
Tratamiento farmacológico
Vasodilatadores
Nitroglicerina (50mg/10mL)
Bic: 50mg/50mL (G o F. VP o VC)
Dosis inicial: A- En BIC 10µg/min
B- En bolos de 2mg
Ajuste de dosis: Doblar dosis c/5min SRC. Dosis máx. 200µg/min
Veno-dilatador <50µg/min. Arterio-dilatador>60µg/min
M.A: Dilata el lecho vascular arteriolar, disminuye la resistencia vascular sistémica (post-carga)
Vasodilatadores
Nitroprusiato (50mg/2mL)
Bic: 50mg/50mL (G. VC)
Dosis inicial: 0,2µg/kg/min
Ajuste de dosis: Dosis eficaz 2-5µg/km/min
Dosis máx. 10µg/kg/min
M.A: Disminución de las resistencias vasculares periféricas, Descenso de la presión arterial
disminuyendo la post-carga
Inótropos β-Agonistas
Dobutamina (250mg/5mL)
Bic: 500mg/50mL (G o F. VC)
Dosis inicial: 5µg/kg/min
10-15µg/kg/min si uso crónico de BB
Ajuste de dosis: Aumentar 3-5µg/km/min SRC
Dosis máx. 20µg/kg/min
M.A: Disminución de la post-carga aumento de volumen de eyección sistólica
Inótropos β-Agonistas
Dopamina (200mg/5mL)
Bic: 400mg/50mL (G o F. VC)
Dosis inicial: 5-10µg/kg/min
Ajuste de dosis: Sobre 10µg/km/min predomina efecto a vasoconstrictor.
Dosis máx. 15µg/kg/min
M.A: Vasodilatación, aumento de la fuerza de contracción del músculo cardiaco, aumento de
gasto cardiaco.
Diuréticos
Furosemida (200mg/2mL)
Bic: 200mg/50mL (G o F. VC)
Dosis inicial: A- En Bic iniciar dosis de carga de 100 mg, luego infusión a 10mg/hora
B-En bolos de 400mg y evaluar SR. Doblar dosis si no responde
Ajuste de dosis: A-En Bic la carga inicial : (25-75mL/min: 100-200mg;<25ml/min:200mg)
B-En falla renal bolos de 100mg (y 200mg si no responde). Dosis máx. 200mg en 24hrs.
M.A: Aumento de post-carga, disminución de gasto cardiaco
Vasopresores
Noradrenalina (4mg/1mL)
Bic: 8mg/50mL (F. VC)
Dosis inicial: doble o,5µg/kg/min
Ajuste de dosis: Ajustar SRC. Suspender gradualmente si se logra PAM 60mmHg
M.A: Aumenta el gasto cardiaco
Morfina
Dosis de impregnación : o.03 a 0.2mg/kg
Dosis de mantenimiento: 0.05 a 0.3mg/kg/h
Guía de preparación: 200mg/250mL SG5
M.A: Dilatación arteriolar y venosa con una caída de presiones de llenado cardiaco, reduce la
ansiedad y el trabajo respiratorio.
Edema agudo pulmonar.pptx

Edema agudo pulmonar.pptx

  • 1.
    Edema agudo pulmonar Cardiogénico R1: ERIKALESLIE LÓPEZ MANRIQUE R2: IBETH MONTIEL HERNÁNDEZ
  • 2.
    El Edema PulmonarAgudo Cardiogénico (EPAC) es el aumento agudo del líquido intersticial pulmonar generado por aumento de la presión hidrostática en los capilares pulmonares . Es una manifestación de una insuficiencia cardíaca aguda (ICA) , la cual puede presentarse en un corazón previamente insuficiente (insuficiencia cardíaca crónica reagudizada) o sin manifestaciones de insuficiencia previa.
  • 3.
    Presencia de liquidoen los espacios extravasculares (Intersticial y alveolar) del pulmón en cantidad superior a la fisiológica. Normal: 500 mililitros (70 kg) se encuentra en fase «gel» distribuida en el 90% del espacio intersticial y el resto corresponde a agua intracelular.
  • 4.
    • Principal causade hospitalización por insuficiencia cardíaca en Servicios de Urgencia • > Adultos mayores • Mortalidad de 10-20%
  • 5.
    Etiología Infarto agudo amiocardio Hipertensión arterial severa Cardiopatía hipertensiva crónica descompensada Valvulopatía mitral y/o aortica c/endocarditis Miocardiopatías restrictiva o fibrótica Miocardiopatía por stress (Takptsubo) Taquiarritmias Bradiarritmias severas Trasgresión alimentaria Discontinuación del tratamiento de insuficiencia cardíaca Taponamiento cardiaco Fibrilación auricular, otras arritmias, bloqueo completo Enfermedad renal crónica sin diálisis Infecciones Disección aortica
  • 9.
    Las AQP estánconformadas por homotetrámeros, cuyos monómeros funcionan como canales independientes. Cada monómero, compuesto por aproximadamente 270 aminoácidos, tiene extremos carboxilo y amino terminales intracelulares y seis dominios transmembrana. De los cinco segmentos conectores de los dominios transmembrana, dos contienen una secuencia de aminoácidos sumamente conservada (Asn-Pro-Ala) que es esencial en la formación del canal de agua.
  • 12.
    La acumulación delíquido en el intersticio en el edema agudo de pulmón cardiogénico se produce por un incremento brusco en la presión hidrostática de los capilares en el sistema circulatorio.
  • 13.
    Este aumento depresión es el resultado de la disfunción presión diastólica y sistólica del ventrículo izquierdo, que se transmite a los vasos pulmonares y se relaciona con el incremento de la presión capilar pulmonar, permanece inicialmente en el intersticio (fase intersticial)
  • 14.
    Si se sobrepasa la capacidad de los vasos linfáticos, el liquido se colecciona en el intersticio y en el espacio subpleural, de tal manera de que cuando la presión hidrostática del intersticio aumenta aparece el llenado alveolar debido a que la permeabilidad de la membrana endotelial no esta alterada, el líquido acumulado es pobre en proteína.
  • 15.
    La reversivibilidad deeste cuadro se produce gracias al transporte activo de sodio y cloro a través de la barrera epitelial alveolar, la absorción de sodio y cloro se producen a través de los canales iónicos situados en la membrana epitelial de las células tipo I y II.
  • 16.
    El sodio estransportado del espacio intersticial de manera activa mediante los canales Na/K-ATPasa localizado en las células epiteliales tipo II. Además el Agua se difunde de manera pasiva a través de las acuoporinas existentes principalmente en las células tipo I.
  • 17.
    El intercambio desustancias entre la sangre y el liquido intersticial. Difusión: las moléculas se mueven de una zona de alta concentración a una de baja concentración
  • 18.
    Capilar Oxigeno Dióxido de carbono Sodios Glucosa Cloruro Agua LiposolublesNo Liposolubles Velocidad del agua: 80x mayor que el flujo INTERSTICIO
  • 20.
    Fuerzas de filtraciónen el extremo arterial Presión hidrostática capilar 30mm/Hg Presión negativa intersticial 3mm/Hg 28mm/Hg 41mm/Hg Presión coloidosmotica del plasma 8mm/Hg Presión coloidosmotica intersticial Fuerza total de salida
  • 21.
    Fuerzas de filtraciónen el extremo arterial Fuerza total de salida 41mm/Hg Fuerza total de entrada 28mm/Hg
  • 22.
    Fuerzas de filtraciónen el extremo arterial Fuerza total de salida 41mm/Hg Fuerza total de entrada 28mm/Hg Fuerza neta de salida: 13mm/Hg
  • 23.
    Fuerzas de filtraciónen el extremo venoso Presión hidrostática capilar 10mm/Hg Presión negativa intersticial 3mm/Hg 28mm/Hg 41mm/Hg Presión coloidosmotica del plasma 8mm/Hg Presión coloidosmotica intersticial Fuerza total de salida Fuerza total de entrada 28mm/Hg
  • 24.
  • 25.
    Equilibrio de Starling Presión hidrostática capilar 17,3mm/Hg Presión negativa intersticial 3mm/Hg 28mm/Hg 28,3mm/Hg Presión coloidosmoticadel plasma 8mm/Hg Presión coloidosmotica intersticial Fuerza total de salida (Filtración capilar media)
  • 26.
    Equilibrio de Starling Presión hidrostática capilar 17,3mm/Hg Presión negativa intersticial 3mm/Hg 28mm/Hg 28,3mm/Hg Presión coloidosmoticadel plasma 8mm/Hg Presión coloidosmotica intersticial Fuerza total de salida (Filtración capilar media) Fuerza total de entrada 28mm/Hg
  • 27.
    Fuerzas de filtraciónen el extremo venoso Fuerza total de salida 28,3mm/Hg Fuerza total de entrada 28mm/Hg
  • 28.
    Fuerzas de filtraciónen el extremo venoso Fuerza total de salida 28,3mm/Hg Fuerza total de entrada 28mm/Hg Fuerza neta de salida: 0,3mm/Hg
  • 29.
    Fuerzas de filtraciónen el extremo venoso Fuerza total de salida 28,3mm/Hg Fuerza total de entrada 28mm/Hg Fuerza neta de salida: 0,3mm/Hg Es absorbido y vuelve a la circulación por el sistema linfático
  • 31.
    Clínica Cuadro agudo ysúbito con.. Disnea y taquipnea debido al edema intersticial Hipoxia y cianosis asociada Tos y expectoración rosada secundaria a la ocupación alveolar Signos y síntomas secundarios a enfermedad desencadenante •Antecedentes de enfermedad cardiaca Origen cardiogénico: •Neumonía. Sepsis, aspiración de contenido gástrico, trauma mayor asociado a múltiples transfusiones Origen NO carcinogénico
  • 34.
    Exploración física Aumento deltrabajo respiratorio, cianosis junto con incapacidad de tolera el decúbito, taquipnea, crepitantes pulmonares y bilaterales Auscultación: 3 cardiaco Disminución de la diuresis Signos de infección respiratoria Datos de consumo de drogas
  • 35.
    Rx de tórax Fase intersticial: Pérdidade la definición de los vasos pulmonares, engrosamiento de los tabiques interlobulillares (líneas A y B de Kerley), nódulos acinares perhiliares, manguitos peribronquiales, engrosamiento de las cisuras.
  • 36.
    Rx de tórax Fase alveolar: Patronesalveolares mal definidos, confluentes, con distribución parcheada, bordes irregulares y predominante en el tercio interno del pulmón, patrón en ¨alas de mariposa’ (la consolidación se extiende desde la región perhiliar hacia afuera, dejando no daño a la zona subpleural)
  • 42.
    Pruebas de laboratorio Marcadoresde lesión miocárdica • Niveles de péptidos nutriureticos (NT-proBNP)>500 Osmolaridad, iones, niveles de amilasa, análisi toxicológico • Electrolitos séricos/urinarios Gasometría • BUN, creatinina, urea, EGO, proteinuria Pruebas de función hepática
  • 43.
    Electrocardiograma Buscar signos sugestivos delesión coronaria aguda: Evaluar las alteraciones del segmento ST o aparición de onda Q en las fases más avanzadas La presencia de hipertrofia ventricular o auricular también sugiere etiología cardiaca La identificación de arritmias
  • 44.
    Cateterismo cardiaco Gold standard Nose hace rutina Prevención de enclavamiento pulmonar>15m mHg
  • 46.
    Tratamiento Objetivos: 1. Soporte cardiopulmonar: a)Mejorar la ventilación pulmonar a través de la administración de oxigeno a alto flujo y fármacos broncodilatadores b) Disminución de la presión venoso capilar
  • 47.
    Ventilación mecánica noinvasiva (IMNI) 1.- Disminución tanto la pre-carga como la post-carga Taquea>25/min de saturación -90% Misma presión de aire al inspirar y espirar Diferentes niveles de presión de aire al +inspirar y -espirar
  • 48.
    2.- Presión positivacontinua en la vía aérea (CPAP), en que se mantiene una presión positiva durante todo el ciclo respiratorio.
  • 49.
    Aumentar la presiónintratoracica. Disminución en la pre-carga. Mejoría en el gasto cardiaco. Disminución de la congestión. Reclutamiento alveolar. Eliminar líquido de los alveolos. Mantener abiertos los alveolos.
  • 50.
    3.- Presión positivade dos niveles en la vía área (BPAP) IPAP inspirativa EPAP espiratoria Mejorar a mecánica respiratoria Disminución de frecuencia respiratoria Aumento de volumen corriente Mejora intercambio gaseoso Aumenta PO2 Disminución de PCO2
  • 51.
    2. Tratamiento deenfermedades desencadenantes del cuadro: a) Posición sentado con el fin de contrarrestar la restribución de liquido extravascular la cual disminuye el retorno venoso b) Monitorización c) Oxigeno terapia con saturación mayor de 90% d) Vía periférica e) Sonda urinaria
  • 52.
  • 53.
    Vasodilatadores Nitroglicerina (50mg/10mL) Bic: 50mg/50mL(G o F. VP o VC) Dosis inicial: A- En BIC 10µg/min B- En bolos de 2mg Ajuste de dosis: Doblar dosis c/5min SRC. Dosis máx. 200µg/min Veno-dilatador <50µg/min. Arterio-dilatador>60µg/min M.A: Dilata el lecho vascular arteriolar, disminuye la resistencia vascular sistémica (post-carga)
  • 54.
    Vasodilatadores Nitroprusiato (50mg/2mL) Bic: 50mg/50mL(G. VC) Dosis inicial: 0,2µg/kg/min Ajuste de dosis: Dosis eficaz 2-5µg/km/min Dosis máx. 10µg/kg/min M.A: Disminución de las resistencias vasculares periféricas, Descenso de la presión arterial disminuyendo la post-carga
  • 55.
    Inótropos β-Agonistas Dobutamina (250mg/5mL) Bic:500mg/50mL (G o F. VC) Dosis inicial: 5µg/kg/min 10-15µg/kg/min si uso crónico de BB Ajuste de dosis: Aumentar 3-5µg/km/min SRC Dosis máx. 20µg/kg/min M.A: Disminución de la post-carga aumento de volumen de eyección sistólica
  • 56.
    Inótropos β-Agonistas Dopamina (200mg/5mL) Bic:400mg/50mL (G o F. VC) Dosis inicial: 5-10µg/kg/min Ajuste de dosis: Sobre 10µg/km/min predomina efecto a vasoconstrictor. Dosis máx. 15µg/kg/min M.A: Vasodilatación, aumento de la fuerza de contracción del músculo cardiaco, aumento de gasto cardiaco.
  • 57.
    Diuréticos Furosemida (200mg/2mL) Bic: 200mg/50mL(G o F. VC) Dosis inicial: A- En Bic iniciar dosis de carga de 100 mg, luego infusión a 10mg/hora B-En bolos de 400mg y evaluar SR. Doblar dosis si no responde Ajuste de dosis: A-En Bic la carga inicial : (25-75mL/min: 100-200mg;<25ml/min:200mg) B-En falla renal bolos de 100mg (y 200mg si no responde). Dosis máx. 200mg en 24hrs. M.A: Aumento de post-carga, disminución de gasto cardiaco
  • 58.
    Vasopresores Noradrenalina (4mg/1mL) Bic: 8mg/50mL(F. VC) Dosis inicial: doble o,5µg/kg/min Ajuste de dosis: Ajustar SRC. Suspender gradualmente si se logra PAM 60mmHg M.A: Aumenta el gasto cardiaco
  • 59.
    Morfina Dosis de impregnación: o.03 a 0.2mg/kg Dosis de mantenimiento: 0.05 a 0.3mg/kg/h Guía de preparación: 200mg/250mL SG5 M.A: Dilatación arteriolar y venosa con una caída de presiones de llenado cardiaco, reduce la ansiedad y el trabajo respiratorio.