   Constituye la segunda causa de
    mortalidad a nivel mundial.

   La primera causa de incapacidad
    a largo plazo.

   Aproximadamente          610,000
    personas por año sufre un 1°
    evento y 185,000 van a presentar
    una recurrencia.




                                       Circulation. 2010;121:e46–e215
Circulation. 2010;121:e46–e215
Evolución posterior a EVC

 Mortalidad post- EVC                Recurrencia de EVC
30 días      8% - 20%              30 días       3% - 10%
1 año       15% a 25%              1 año        5% a 14%
5 años      40% a 60%              5 años       25% a 40%




       Risk factors, outcomes, and stroke subtypes for ischemic stroke.
                      Sacco RL: Neurology. 1997 Nov;49(5 Suppl 4):S39-44.
La lucha contra el tiempo:
 “Time is brain
     and…
  brain is life”




El evento cerebrovascular agudo
   es una emergencia médica
   OMS:
     Síndrome clínico focal ó global de instalación
    rápida que se origina por un infarto ó
    hemorragia cerebral, hay alteración funcional
    cerebral de 24 horas por lo menos, sin otra
    causa aparente que un origen vascular.
.

      Enfermedad Vascular Cerebral

Isquemia                                  Hemorragia
(70-80%)                                   (20-30%)



 Infarto                 Hemorragia       Hemorragia
               ICT
Cerebral                 Intracerebral   Subaracnoidea
              5-10%
70-75%                      10-20%          5-10%

 Aterosclerosis 60%
 Arterioesclerosis 20%
 Embolismo 15%
 Otras 5%

                                                MAOS 2007
   Infarto Cerebral:
    Se ocasiona por el cierre súbito de una
    arteria cerebral y con menor frecuencia
    por la disminución del flujo sanguíneo
    distal secundaria a una estenosis arterial
    importante.
   Isquemia Cerebral Transitoria: es un breve
    episodio de disfunción neurológica causado
    por isquemia focal cerebral ó retiniana con
    síntomas clínicos típicos que duran menos
    de 1 hora y sin evidencia de infarto.


Transient Ischemic Attack - Proposal for a New Definition.Albers, Caplan; for the
                                         TIA
   Working Group. November 2002. The New England Journal of Medicine.
•   La aterotrombosis es una enfermedad crónica, progresiva, generalizada e
    impredecible caracterizada por la formación de coágulos sanguíneos en placas de
    aterosclerosis establecidas



                        Placa rota1                               Placa erosionada2




•   Una manifestación aterotrombótica (infarto del miocardio, EVC, ataque isquémico
    transitorio, angina inestable o enfermedad vascular periférica) en un territorio
    vascular, confiere un incremento del riesgo en todos los lechos vasculares3
•   La aterotrombosis (enfermedad cardiovascular y vascular cerebral) es uno de los
    mayores asesinos del mundo4
Aterosclerosis Sistémica
TA >140/90
Anatomía Arterial del SNC
ART. CEREBRAL MEDIA   ART. CEREBRAL ANTERIOR
ART. PERFORANTES      ART. CEREBRAL POSTERIOR
Mecanismo de producción
                     Isquemia cerebral


Ateroesclerosis   cardioem         pequeño      otras            no deter-
Grandes vasos      bolico          vaso    etiologías             minado




Aterotrombosis    fuentes de     arterioloesclerosis   vasculopatía
Embolia           riesgo mayor     microateromas       no ateroesclerosa
Arteria-arteria   riesgo menor     CADASIL             disección
Aortoembolismo                                         vasculitis
                                                       displasia FM
                                                       estados protrombóticos
Infarto                     Hemorragia Intracerebral
        Infarto Cerebral                Hemorragia intracerebral

        Oclusión arterial           Ruptura arterial (no aneurismática)


      Deterioro escalonado            Deterioro súbito desde el inicio


  Depende el territorio afectado     Depende el tamaño, localización


Leve deterioro del edo. despierto      Deterioro del edo. despierto


     No cefalea, no vómito                   Cefalea y vómito

Elevación de la TA (mecanismo de      Asociado a elevación de la TA
    autorregulación cerebral)
Síndrome Total de la circulación anterior:

1. Cerebral Media.
2. Cerebral Anterior.
-Hemiplejia.
-Hemianopsia.
-Afasia.
› Oclusión de la ACA
      Déficit sensitivo motor del pie y pierna opuestas.
      Hombro, brazo.
      Cara y mano indemnes.
      Desviación de la mirada hacia el lado de la lesión.
      Incontinencia urinaria
  Oclusión del lado izquierdo:
          Brazo o mano extraños
          Afasia transcorical
          Abulia
          Mutismo
 Ramos profundos
      Hemiparesia transitoria
      Disartria
      Abulia
      Agitación
  En infartos bilaterales
      Falta de atención
      Abulia
      Psicosis
      Agitación
› Oclusion del tronco ACM
       Hemiplejia contralateral.
       Hemianestesia.
       Hemianopsia homonima.
       Desviacion de los ojos hacia el lado de la lesión
       Afasia global (izq)
       Anosognosia (der)
       2-5% de las oclusiones de la arteria
› En el territorio de la división superior
       Déficit sensitivo motor denso que compromete cara,
        brazo y en menor grado pierna.
       Pie indemne y la pierna se afecta menos que el brazo,
        ( parálisis braquio-facial).
       Agrafestesia.
       Trastorno en el sentido de la posición.
       Tacto.
       Discriminación entre dos puntos.
       Habla poco fluida y de comprensión normal.
› Oclusión de las estriatocapsulares
      Hemiparesia.

      Afasia.

      Heminegligencia.

      Sindromes motores puros.

    Regiones perisilvianas.

      Diplejia facio-gloso-faringo -masticatoria.
 Sindromes anteriores
    Dejerine y Roussy
       Por obstrucción de las tálamo geniculadas, alteración
        sensitiva contralateral, con hemiparesia transitoria
        (DOLOR TALAMICO)
       Hemianopsia homonima.
       Movimientos extrapiramidales (hemibalismo,
        hemicoreoatetosis)
› Sindromes mesencefalicos
     Por oclusión de las ramas interpedunculares, sindrme
      de weber.
   Sindromes Corticales
        Hemianopsia homonima.

        Alucinaciones visuales.

        Alexia.

        Anomias.

        Agnosias visuales.

        Sindrome de Anton.

        Sindrome de Balint.
› HALLAZGOS

   Hemiplejia contralateral.

   Hemianopsia homonima.

› Lesiones en el lado derecho

   Negligencia espacial izquierda.
› Sindrome de wallenberg
   Infarto de la porción lateral del bulbo
     Compromiso de los núcleos vestibulares
         Nistagmos.
         Oscilopsia.
         Vertigo.
         Nauseas.
         Vomito.
   Fascículo espinotalamico
       Dolor.
       Temperatura.
 Sindrome de wallenberg
  Fascículo simpático descendente
      Horner ipsilateral.
      Miosis.
      Ptosis.
      Anhidrosis.
  Fibras de IX y X
    Disfagia.
    Parálisis de cuerdas vocales.
    Reflejo nauseoso.
  Fibras olivocerebelosas
    Ataxia.
    Lateropulsión.
› Sindrome Basilar completo
      Comatoso.
      Cadraplejico.
      Preservacion del estado de conciencia.

› Porcion superior
      Mutismo.
      Somnolencia.
      Alucinaciones visuales.
      Desviación de la mirada.
› Arteria cerebelosa superior
        Ataxia ipsilateral.
        Nauseas.
        Emesis.
        Perdida de dolor y temperatura contralateral.
› Arteria cerebelosa Anteroinferior
        Vertigo.
        Nistagmos.
        Tinitus.
        Ataxia cerebelosa.
        Horner ipsilateral.
1.   HEMIPLEJÍA MOTORA PURA

1.   SX. SENSITIVO PURO.
2.   HEMIPARESIA ATÁXICA (PARESIA CRURAL
     Y ATAXIA HOMOLATERAL)
3.   SX. SENSITIVO-MOTOR
4.   DISARTRIA DE MANO TORPE
5.   SX. SEUDOBULBAR
Imagen en Infarto Agudo
           Lancet Neurol 2006; 5:755-768




“La    clave   fisiopatológica  es    la
distinción del tejido hipoperfundido en
tres compartimientos operacionales …”
 1. Tejido que inevitablemente morirá (core)
 2. Tejido que sobrevivirá (oligohemia)
 3. Tejido que puede sobrevivir o morir (zona
    de penumbra o penumbra isquémica)
Imagen en Infarto Agudo
                          Lancet Neurol 2006; 5:755-768


           Oligohemia



   Penumbra



      Core




FSC normal: >50ml/100gr/min
Oligohemia: >20 a <50ml/100gr/min
Penumbra: <20ml/100gr/min
Core: <8ml/100gr/min
¿Lesión cerebral es ocasionada por EVC
  de tipo Isquémico ó Hemorrágico, o
  alguna otra condición?
-Clínica.
-Estudios de neuroimagen.
-TAC cráneo en fase simple ó RM de cráneo.



                                  Stroke 2005;36:916-21
Signos Tomográficos Tempranos
                             en Isquemia Cerebral Aguda

Papel de la Tomografía en isquemia
cerebral aguda


          •Excluye hemorragia cerebral y otras causas
           no vasculares de déficit neurológico agudo
          •Detecta anormalidades parenquimatosas
           en etapas tempranas.

  Guidelines for the Early Management of Patients With Ischemic Stroke 2005 Guidelines Update. A Scientific Statement From the Stroke
                                Council of the American Heart Association/American Stroke Association.
                                                       Stroke. 2005;36:916-921.
Signos Tomográficos Tempranos
en Isquemia Cerebral Aguda



                                   Normal      P
Déficit Focal Agudo                            R
                                               O
                                               N
                              TC               O
                                               S
                                               T
HIPERAGUDO: MENOR 6HRS                         I
AGUDO: 6-24HRS                     Signos
SUBAGUDO TEMPRANO: 1-3 días                    C
                                   Tempranos
SUBAGUDO TARDÍO: 4-14 días                     O
CRÓNICO: MAYOR 15 días
Métodos de dx. por imagen
   •   TC: convencional, angio-TC, PTC.
   •   RM: secuencias convencionales, angio-RM,
            DWI, PWI, ERM.
   •   Cateterismo cerebral (ASD).
   •   Medicina Nuclear (SPECT, PET).
   •   US Doppler carotídeo y transcraneal.
TAC                              IRM
Ventajas:                     Ventajas:

- Mayor accesibilidad del     - Alta sensibilidad para detectar
  método.                       EVC isquémico temprano.
- Exploración rápida.         - Detecta HSA en fase
- Detección de hemorragia       subaguda.
  aguda.                      - Análisis vascular (angio-RM).
- Análisis vascular (angio-
  TAC).                       Desventajas:

                              - Menor disponibilidad del
Desventajas:
                                método.
- Radiación ionizante.        - Exploración prolongada.
- Baja sensibilidad en EVC    - Imposibilidad de introducir
  isquémico hiperagudo.         material ferromagnético a la
                                sala.
Tomografía Computada

 •   Descartar ó confirmar hemorragia intracraneal.
 •   Identificar signos tempranos de isquemia.
 (Correlación con la clínica y siempre hay que buscarlos).
- Signo de ACM hiperdensa
        Signos       Oclusión
       Indirectos    Arterial           - Signo del punto (“dot sign”)



                                Disminución de la densidad
                                -Hipodensidad núcleo lenticular
              Alteraciones      -Pérdida de diferenciación sust. gris-blanca
Signos                          -Borramiento “cinta insular”
             del parénqima
Directos
                 cerebral       Efecto de masa
                                -Obliteración de surcos
                                -Compresión ventricular
   Normal (50-60%)
   Arteria hiperdensa (25-50%)
   Obscurecimiento del núcelo lenticular.
ASPECTS (Alberta Stroke Program Early CT Scale)
Angio-TC
   Pérdida interfase gris/blanca (signo de la “cinta
    insular”).
   Obliteración de surcos.
   Efecto de masa progresivo.
   Area de baja densidad en forma de cuña.
   Posibilidad de transformación hemorrágica.
   Reforzamiento giral en fase contrastada.
   Persiste edema y efecto de masa.
   Se resuelve efecto de masa.
   Persiste reforzamiento giral.
   Desaparece el reforzamiento giral.
   Pérdida de volumen y densidad
    (encefalomalacia)
   Calcificación infrecuente.
PREVENCION            PREVENCION
 PRIMARIA             SECUNDARIA
PRIMARY                    SECONDARY
PREVENTION                 PREVENTION
             SERVICIO DE
             NEUROLOGIA
              VASCULAR
 MANEJO             REHABILITACION
 AGUDO
Objetivos Tratamiento:
 Minimizar el daño cerebral.
 Triage: Activador del Plasminógeno
  tisular.
 Tratamiento específico.
 Identificar factores de riesgo;
  Modificables.
 Tratamiento de complicaciones
  (prevenir trombosis venosa profunda,
  desnutrición).
 Rehabilitación.
Principios
                             Manejo del
Fundamentales          Infarto Agudo Cerebral


 Cuidados Generales

 Manejo del Edema Cerebral

 Reperfusión

Neuroprotección Farmacológica y No
Farmacológica

Rehabilitación temprana
Manejo del              Cuidados
Infarto Agudo Cerebral        Generales

   Monitoreo Cardiovascular / Respiratorio
   Manejo de Presión Arterial
   Balance de Líquidos y Electrolitos
   Metabolismo Glucosa
   Temperatura corporal
   Disfagia / Nutrición
Examen Inicial: ABC
Airway and Breathing:
   Vía aérea permeable
   Asegurar ventilación y oxigenación.
   Oxímetro de pulso (SaO2 >95%)
   O2 2-4 Lts/min x cánula nasal

Circulación:
   Asegurar adecuada perfusión.
   Monitoreo de TA y pulso cada 15 mins.
   NO reducir la TA en la etapa aguda EXCEPTO
    en condiciones especiales
EVC agudo: Guías de manejo de la HTA

 Sí, sistólica < 180 y diastólica < 110 = NO TRATAR

 Sí, sistólica 180 - 220 ó diastólica 110 - 140 mHg:
   Tratar sólo en caso complicación asociada:
     IAM, disección aorta, etc.

 Sí, sistólica > 220 ó diastólica > 140 o PAM > 130:
   Enalapril (0.625 - 2 mg c/6 hs PRN)
   Esmolol    (carga 500 µg/kg; 50-200 µg/kg x min)
   Considerar nitroprusiato 0.5 a 10 ug/Kg/min
                                           Stroke 2005;36:916-21
Balance de Líquidos y Electrolitos
   Evitar el balance positivo excesivo de líquidos/electrolitos
         Edema pulmonar (en particular en pacientes cardiópatas)
        Incrementa el edema cerebral

 Mantener balance de líquidos negativo (300-350 ml) en
 pacientes con edema cerebral
 Las soluciones hipotónicas están contraindicadas
   (evitar NaCl 0.45 % o glucosada 5.0 %):
    riesgo de incrementar el edema cerebral
 Las soluciones glucosadas están contraindicadas:
   Efectos deletéreos de la hiperglucemia
[Neurological Review]
                  Volume 58(8)   August 2001   pp 1209-1212

  The Role of Hyperglycemia in Acute Stroke
 Kagansky, Nadya MD; Levy, Samuel MD; Knobler, Hilla MD



La hiperglucemia se relaciona con:
   Progresión del EVC
   Incremento del tamaño del
  infarto
   Peor pronóstico
Manejo Glucosa
En conclusión: Es esencial el monitoreo de glucemia,
 en particular en el paciente diabético

Debe iniciarse tratamiento con insulina si las cifras de
 glucosa son > 180 mg/dL

Se requiere la corrección inmediata en caso de
 hipoglucemia (< 50 mg/dL) con adición de 100 mg de
 tiamina en pacientes desnutridos o adicción al alcohol




                               Scott et al. Stroke 1999;30 (4):793-799.
                               GIST Investigators. Stroke 2002;33 (1):654.
Temperatura Corporal
 Los procesos infecciosos son factor de riesgo para
  EVC y hasta en el 85 % de los casos la fiebre se debe
  a una infección

 En caso de fiebre debe buscarse siempre un foco
  infeccioso, con el fin de iniciar el tratamiento
  antimicrobiano apropiado

 No se recomienda el uso profiláctico de antibióticos,
  antimicóticos o antivirales en pacientes
  inmunocompetentes

                              Boysen G, Stroke 2001; 32 (2): 413-417.
                              Dippel et al. Stroke 2001; 32 (7): 1607-1612.
                              Kasner et al. Stroke 2002; 33 (1): 130-135.
                              Grau et al. Stroke 1995; 26 (3): 373-379.
EDEMA CEREBRAL


   Principal causa de muerte
      Hipertensión Intracraneal
      Efecto de Masa,
      Herniación transtentorial
Hipertensión Intracraneana: Tratamiento
                            Oxigenación

 Cuidados básicos          Evitar estimulación al
                            aspirar secreciones
 Posición cabeza           Sedación y relajación
 Manejo de HTA             Mantener Normotermia

 Manitol
                            Evitar compresión yugular
 Hiperventilación          Elevar cabecera a 15-30º

 Barbitúricos

         CONTRAINDICADO EL USO DE ESTEROIDES
MANEJO DEL EVC
  ISQUEMICO AGUDO:
LAS PRIMERAS 4.5 HORAS
TROMBOLISIS INTRAVENOSA CON rtPA


1. Restablecer el flujo sanguíneo en el
territorio
   afectado.
2. Mejorar el flujo en la penumbra isquémica.
3. Limitar el tamaño del infarto cerebral.
4. Reducir la morbilidad y mortalidad
asociados
¿Qué pacientes no deben ser tratados?




                                                           >3h ?




Patient A with early       Patient A with        Patient B with a
signs of extensive      demarcation of the      subacute infarction
 right hemispheric     infarct 72 hours later    on the right side
     infarction
 Glucosa (digital)
 BH completa y plaquetas.
 TP, TPT
 Química completa (rutina).
 EKG.
 TC sin contraste.
MERCI Retriever
Mechanical Embolus Removal in Cerebral Ischemia
PREVENCION            PREVENCION
 PRIMARIA             SECUNDARIA
PRIMARY                    SECONDARY
PREVENTION                 PREVENTION
             SERVICIO DE
             NEUROLOGIA
              VASCULAR
 MANEJO             REHABILITACION
 AGUDO
Antitrombóticos                          Control
Antiagregantes plaquetarios
      Anticoagulantes                   Hipertensión



Estatinas
                                            Estilo de
                   EVC isquémica:
                                              Vida
                     Prevención
                      Secundaria


Vitaminas                                   Control
                     Endarterectomía        Diabetes
                    “Stent Carotídeo”
   Después de un EVC o AIT hay muchas estrategias para
    prevenir la recurrencia.




                                      cto
       mo
       Me



       del




                                      Rie
       ca




                                      de
                                      res
       EV
       nis




                                      Fa




                                      sg
        C




                                       o
   La aspirina es el fármaco antiagregante plaquetario más
    utilizado debido a sus efectos bien estudiados en la prevención
    del ictus, su bajo costo, convirtiéndolo en la opción más
    económica en la prevención del ictus secundario.

Recomendación:
        Aspirina como monoterapia (50-325mg) es una opción aceptable para
         la prevención de EVC o AIT.
                                               (Clase I, Nivel de evidencia A).
Recomendación:
      Aspirina combinada con dipiridamol LP es una opción aceptable como
       inicio de tratamiento para la prevención de EVC o AIT.
                                                (Clase I, Nivel de evidencia A).

      La combinación de aspirina con dipiridamol LP es superior que aspirina
       sola.
                                              (Clase I, Nivel de evidencia B).
Recomendación:
     Copidogrel (75mg) como monoterapia es una opción aceptable como inicio de
      tratamiento en la prevención de EVC o AIT.
                                                 ( Clase I, Nivel de evidencia A)

     Copidogrel (75mg) puede considerarse superior aspirina sola basado en la
      comparación de los ensayos clínicos.
                                             (Clase IIb, Nivel de evidencia B)

    • Pacientes alérgicos a la aspirina Copidogrel es una opción razonable.
                                                        (Clase IIa, Nivel de evidencia B)
Recomendación:
     La combinación de copidogrel mas aspirina incrementa el
      riesgo de hemorragia.
      No se recomienda de forma rutinaria para pacientes con infarto
      o AIT a menos que tengan una indicación específica para esta
      (stent coronario o síndrome coronario agudo).

     (Clase III).
ESTATINAS y EVC en la Práctica Clínica

                  SPARCL (atorvastatina)          Pacientes con
                                               Riesgo alto de EVC
                   HPS (simvastatina)
                  MIRACL (atorvastatina)
 Secundaria                                        Pacientes con
                    4 S (simvastatina)
                   CARE (pravastatina)
                                                   coronariopatía

                    LIPID (pravastatina)
Prevención
                ASCOT-LLA (Atorvastatina)
                                                  Pacientes con
                  CARDS (Atorvastatina)           Riesgo de EVC
 Primaria
                 PROSPER (pravastatina)
                                                     Pacientes con
                 WOSCOPS (pravastatina)            Riesgo Alto de CC
                                                     Pacientes con
              AFCAPs /Tex CAPS (lovastatina)       Riesgo Bajo de CC
S PAR C L
 Stroke Prevention by Aggressive Reduction in Cholesterol Levels

                                  1m     3m     6m           5 años


AIT ó
                                                          EVC
                             67% infarto cerebral
Infarto cerebral                                       Muerte Cardiaca
                             31% AIT
< 6 meses evolución    A      2% hemorragia cerebral
                                                        PCR resucitac
LDL 100-190 mg                                            IM no Fatal
                                                         Angina inest
mRS < 3

  N = 4,731
                                 1m     3m    6m             5 años
                      1998                                   2005
Isquemia Cerebral transitoria (%)                            Placebo

                                                                        23%
                                                                                                              "Stroke Prevention by
      Infarto Cerebral o




                                                               Atorvastatina
                                                                                                             Aggressive Reduction in
                                                                                                            Cholesterol Levels” NEJM
                                                                                                                2006;355:549-559
                                       Años desde Aleatorización
        Eventos Cardiovasculares (%)




                                                                                   Eventos coronarios (%)
                                                   Placebo               26%
                                                                                                                                     Placebo

                                                                   Atorvastatina                                                               42%


                                                                                                                                       Atorvastatina




                                       Años desde Aleatorización                                                   Años desde Aleatorización
Recomendación: (Basado SPARCL)
Administración estatinas para reducir los niveles de lípidos en pacientes
con AIT o evento vascular aterosclerótico sin enfermedad coronaria
conocida con el objetivo de reducir el riesgo de EVC y eventos
cardiovasculares.
                  (Clase I, Nivel de evidencia B).
No hay evidencia suficiente que

justifique el uso de fármacos

neuroprotectores en pacientes con

isquemia cerebral aguda y no deben

utilizarse si no es ensayos clínicos.
HEMORRAGIA INTRACRANEAL
                TRAUMATICA    ESPONTANEA

Epidural          TCE           Rara
Subdural          TCE          Poco frecuente
Subaracnoidea     TCE        ANEURISMATICA

Parenquimatosa    TCE        PRIMARIA
                             Hipertensiva
                             Amiloidea
                             SECUNDARIA
                             MAV, Drogas,
                             Anticoagulantes,
                             tumor, etc.
HEMORRAGIA
INTRACEREBRAL
HEMORRAGIA INTRACEREBRAL
      Epidemiología
HEMORRAGIA INTRACEREBRAL
  Factores de mal pronóstico




Rochester MN 1955-1979 (por 100 000 hts)
HEMORRAGIA INTRACEREBRAL
     Síntomas acompañantes
Inicio súbito (gradual, escalonada).        Diurno.
Déficit máximo desde el inicio.

      Cefalea                          74   %
      ½ paresia o ½ plejía.            52   %
      Náusea-vómito                    35   %
      Pérdida del alerta               25   %
      Afasia                           22   %
      Crisis convulsivas               19   %
      Déficit sensorial                17   %
      Desviación ocular
      Apnea Estupor,
      Descerebración
HEMORRAGIA INTRACEREBRAL
           Etiología
Edad x Localización /PLUS = Etiologia probable

1.- Joven         X    Lobar            =   MAV
2.- > 75 a        X    Lobar /no HAS    =   Amiloidea
3.- Adulto        X    Ganglios         =   HTA (78-88%)
4.- Joven         X    Ganglios         =   HTA (11%).
5.- Adulto        X    Lobar / HAS      =   HTA (20%)
6.- Joven         X    Cerebelo         =   MAV
7.- Adulto HTA    X    Cerebelo         =   HTA
8.- Joven/Peclp   X    Ganglios         =   HTA
9.- Joven/Puerp   X    Lobar            =   TVC/HTA
10. Añoso         X    X Local (edem)   =   Tumor
HEMORRAGIA INTRACEREBRAL
    Localización. Lobar
HEMORRAGIA INTRACEREBRAL
      Localización




        Ganglionar
HEMORRAGIA INTRACEREBRAL
      Localización




   Tallo: puente   Cerebelo
CÁLCULO DE VOLUMEN
A x B x C / 2 = Vol. cm3
HEMORRAGIA INTRACEREBRAL
 Tamaño (volumen) hematoma


           8


           6




8x6x5=240 x .5= 120cm³   2x2x2=8 x .5 4 cm³
   “Naranja pequeña”       “Uva pequeña”
   PACIENTES CON HEMORRAGIAS CEREBELOSAS MAYORES DE 3cm, CON
    O SIN HIDROCEFALIA PERO CON DETERIORO NEUROLOGICO ASOCIADO
    AL HEMATOMA.

   HEMATOMA ASOCIADO A LESION CEREBRAL
    (MAV,ANEURISMA,CAVERNOMA, TUMOR)

   PACIENTES MENORES DE 55 AÑOS CON CLARO DETERIORO
    NEUROLOGICO Y LESIONES MAYORES A 10cc.
   HEMORRAGIA MENOR O IGUAL A 10CC SIN DEFICIT
    NEUROLOGICO ASOCIADO AL HEMATOMA
   PACIENTES CON GLASGOW DE 4
   PACIENTES CON POBRE ESTADO NEUROLOGICO PREVIO
   HEMATOMA EN ZONA “ELOCUENTE” MAYOR O IGUAL A
    55CC.
HEMORRAGIA INTRACEREBRAL
         Prevención


La hipertensión arterial es el principal factor de
riesgo para HIC. Su control estricto reduce el riesgo
absoluto hasta en 46 %, además de reducir el riesgo
de recurrencia

 Furlan AJ, Whisnant JP, Elveback IR. The decreasing incidence of primary
 intracerebral hemorrhage: a population study. Ann Neurol 1979; 5: 367-73.

 Hypertension Detection and Follow-up Program Cooperative Group. Five-year findings
 of the Hypertension Detection and Follow-up Program. Reduction in stroke incidence
 among persons with high blood presure. JAMA 1982;247: 633-8.
   Escape de sangre a
    partir de un vaso
    arterial o venoso
    hacia el espacio
    subaracnoideo, que
    en condiciones
    normales esta
    ocupado solo por
    LCR, nervios y vasos
    craneales.


                 Yasargil MG. Microneurosurgery. 1984 Vol.1
   Sangrado (100 ml).
   Aumento de presión
    cisternal.
   Aumento de la PIC.
   Proceso inflamatorio.
   Vasodilatadores vs.
    Vasoconstrictores.



      Barinagarrementeria. Enfermedad Vascular Cerebral, 1998
   TRAUMÁTICA




   ESPONTANEA




      Greenberg. Handbook of Neurosurgery. Thieme 2006.
CAUSAS DE HEMORRAGIA SUBARACNOIDEA
1. Traumática
        Contusiones, radiación, quemaduras, lesiones eléctricas.
2. Angiopatías
        Aneurismas, malformaciones arteriovenosas, vasculitis, amiloide.
3. Trombosis venosa
        Embarazo, uso de contraceptivos
4. Discrasias sanguíneas
        Leucemia, linfoma, hemofilia, drepanocitosis, CID, púrpuras.
5. Enfermedades alérgicas
        Púrpura anafilactoide, Fenómeno de Schwartzmann
6. Infecciones
        Meningitis bacteriana, TB meníngea, sífilis, brucelosis
7. Intoxicaciones
        Cocaína, alcohol, anfetaminas, veneno de serpiente
8. Neoplasias
        Metástasis, adenoma pituitario
9. Misceláneas
        TEC, eclampsia, golpe de calor.
Tomado de: Weir B.: Aneurysms affecting the Nervous System. Williams & Wilkins, 1987, p. 82
1.    Aneurismática (75-80%)
2.    MAVs (4-5%)
3.    Vasculitis
4.    Tumor
5.    Disección arterial.
6.    Discrasias sanguíneas
7.    Trombosis venosa cerebral.
8.    Pretruncal no aneurismática.
9.    Drogas
10.   Anemia de Celulas falciforme
11.   Apoplejía pituitaria
12.   Indeterminada (14-22%)
 Angiografía inadecuada
 Hemorragia
 Trombosis del aneurisma
 Vasoespasmo
 Microaneurismas
 Malformaciones vasculares ocultas
 HSA pretruncal


        Greenberg. Handbook of Neurosurgery. Thieme 2006.
   EVC isquémico 85%

   EVC hemorrágico 15%

   HSA 1-7%

   5% de las muertes ocasionadas por EVC


                            Stroke 1996;27:625-9
 Incidencia 6-8 por 100,000 habitantes.
 28,000 rupturas al año en E.U.


   3% de los pacientes que se presentan en
    urgencias por cefalea.

   Mujeres 1.6 veces mas riesgo

   Raza negra 2.1 veces mas riesgo
                               Stroke 1996;27:625-9
   Finlandia y Japón mayor incidencia

   Mortalidad 45% (32-67%)

   Edad pico 55-60 años

   20% entre los 15 – 45 años.


                                  Stroke 1996;27:625-9
   10-15% presentan muerte súbita



   25% muere en las primeras 24 hrs.




          Greenberg. Handbook of Neurosurgery. Thieme 2006.
   30% ocurren durante el sueño.

   50% tienen síntomas premonitorios.

   Primavera y otoño.

   Aneurismas 5 al 10%


                           Brain (2001), 124, 249-278
   Hipertensión
   Tabaco (>20 cigarrillos / día)
   Consumo de alcohol (>150 gr.)
   Cocaína
   Anticonceptivos orales
   Familiares de 1er. Grado con historia. (3 a 5)
   Sexo femenino




                               Stroke. 2006; 36:2773-2780
 Poliquistosis renal.
 Síndrome de Ehlers-Danlos (tipo IV)
 Displasia fibromuscular
 Síndrome de Marfan
 Neurofibromatosis tipo 1
 Pseudoxantoma elástico
 Deficiencia de alfa 1 anti-tripsina.


                          Neurosurgery.2007; 52:36-40
   Cefalea síntoma mas frecuente (97%)
   “El peor de mi vida”
   Inicio súbito
   Síntoma único en un tercio de los
    pacientes.
   Duración de días
   Acompañado de nausea y vomito.
   Asociarse a esfuerzo físico (20%)

              British Journal of Medicine.2006;333:235-239
 30 a 60 %
 6 a 20 días previos al ictus.
 Duración de 1 día.
 Incremento en el tamaño
 Sangrado en la pared aneurismática.


                              N Engl J Med 354;4
 Crisis convulsivas 6-16%
 Delirium 2%
 Nausea, vómito.
 Fotofobia
 Dolor cervical y lumbar




                             NEJM 2000; 342: 29-35.
Irritación meníngea
 Rigidez de nuca
 Signo de Kernig
 Signo de Brudzinski
 (52%)


                        N Engl J Med 354;4
   Historia de Trauma
   Déficit focal
    neurológico (III NC, VI
    NC, abulia,
    paraparesia,
    Nistagmo, afasia,
    hemiparesia)
   Perdida del estado de
    alerta (50%)
   Papiledema
   Hemorragias retinianas
    y subhialoidea

                              N Engl J Med 354;4
 Prerretiniana o subhialoidea 11-33%
 Hemorragia retiniana




        Greenberg. Handbook of Neurosurgery. Thieme 2006.
 Síndrome de Terson
  (Hemorragia vítrea)
4-27% de los casos.
 Historia Clínica
 Factores epidemiológicos
 Hallazgos a la exploración




                           Stroke 2007;38:2116-2121
 Falla en un 50%
 Migraña o Cefalea tensional
 Se subestima la HSA
 No se detectan pacientes de buen
  pronóstico
 Complicaciones tempranas




                         Stroke 2007;38:2116-2121
   Trastornos cardiacos

   Trastornos pulmonares

   Trastornos hidroelectrolíticos


                        Neurol Clin N Am 22(2004) 347-366
   Se asocia a arritmias
    cardiacas y cambios
    electrocardiográficos en
    un 50%.

   Ondas T anchas o
    invertidas, supra o infra
    desnivel del ST, ondas U,
    contracciones prematuras
    atriales o ventriculares.

   Corazón aturdido

   10% pueden progresar a
    IAM



                                Neurol Clin N Am 22(2004) 347-366
   Aspiración

   Edema pulmonar
    neurogénico




                     Neurol Clin N Am 22(2004) 347-366
 Hipovolemia
 Hipomagnesemia
 Hiponatremia
 SIADH vs. Cerebro perdedor de sal
  (CSW)
 Factor atrial y cerebral natriurético.
 IC, Cirrosis, insuficiencia adrenal, uso de
  AINES, acetaminofen, narcóticos,
  tiazidas.
                      Neurol Clin N Am 22(2004) 347-366
 Primer estudio en el abordaje
 Cortes de 3 mm. desde la base del
  cráneo.
 Paralela al paladar duro.
 Hemoglobina < 10 gr/dl aparece
  isodensa.
 Artificios por movilización del paciente.

                         Am J Emer Med 2006;24:859-863
 Predecir la localización 70%
 Hemorragia intraventricular (PICA)
 Hemorragia en la cisura interhemisférica
  (Acom)
 Hemorragia en el valle silviano (ACM /
  com post)
   Prueba mas sensible
   20% pueden ser
    traumáticas
   No debe ser
    realizada como
    primera
   Duffy reportó que de
    55 pacientes a los
    que se le realizo PL,
    siete tuvieron
    deterioro clínico.

                            N Engl J Med 2006;354:387-96
   Presión de apertura
    elevada

 Citológico
>100,000 eritrocitos
Hiperproteinorraquia
Glucosa normal o baja.



                          N Engl J Med 2006;354:387-96
   Xantocromia vs.
                      Eritrocitos.
                     Espectrofotómetro
                     100% 12 hrs
                     70% 3 semanas
                     40% 4 semanas



Greenberg. Handbook of Neurosurgery. Thieme 2006.
   Excelente para HSA subaguda o remota
    > de 10-20 días.
   “Gold Standard” (95 %)




                        N Engl J Med 2006;355:928-39
 Sensibilidad 86% en aneurismas mayores
  de 3 mm.
 Falso positivo 16%




                      N Engl J Med 2006;355:928-39
 Sensibilidad del 95%
 Especificidad 83%
 Aneurismas de 2.2 mm.




                     N Engl J Med 2006;355:928-39
 Clínicas
Hunt y Hess
Word Federation of Neurologic Surgeos
  (WFNS)



  Radiológica
Fisher

                 Neurosurg Clin North Am 1998;9:421-641
   1: Asintomático, o cefalea leve y rigidez leve de
    nuca.
   2: Paralisis NC, cefalea moderada a severa, rigidez
    de nuca.
   3: Déficit focal leve, somnolencia, confusión.
   4: Estupor, hemiparesia severa a moderada, rigidez
    de decerebración.
   5: Coma, rigidez de decerebración, moribundo.

*Se incrementa un grado por enfermedad sistémica
   grave o vasoespasmo severo.

                                  J Neurosurg 1968;28: 14-20
 Se consideran escalas pronósticas.
 No toman en cuenta factores
  importantes como edad, tiempo de
  evolución, localización del aneurisma.




                          Brain (2001), 124, 249-278
   Grado 1: TC normal.




                          Neurosurgery 1980;6:1-9
   Grado 2: difusa o capa vertical < 1 mm




                             Neurosurgery 1980;6:1-9
   Grado 3: Coagulos localizados y capas
    > 1 mm.




                            Neurosurgery 1980;6:1-9
   Grado 4: Coágulo intracerebral o
    intraventricular.




                             Neurosurgery 1980;6:1-9
   Resangrado

   Hidrocefalia

   Vasoespasmo



                   Neurol Clin N Am 22(2004) 347-366
 1er día 4%
 Después 1.5 % diario en los primeros 13
  dias
 15-20% dentro de los 14 días
 50% dentro de los primeros 6 meses
 Después 3% por año.
 Tasa de mortalidad 2% por año.



                     Neurol Clin N Am 22(2004) 347-366
   50% muere en el
    primer mes.

   Hunt y Hess altos,
    ventriculostomía,
    punción lumbar



                         Neurol Clin N Am 22(2004) 347-366
 Crónica o aguda.
 15-20% presentación inicial.
 50% de los pacientes requeriran un
  sistema de derivación.




                Neurosurg Clin North Am 1998;9:421-641
 Inicia en el día 3
 Pico 14 día
 Se resuelve dentro de 3 semanas.
 Se relaciona con el Hunt y Hess asi como
  con el Fisher.
 Sintomas focalizadores y no
  focalizadores.


                       Neurosurgery 53:123-135, 2003
   Terapia intensiva

   Monitoreo

   Manejo de la vía área

   Catéter intraventricular


                          Neurosurgery 53:123-135, 2003
 Dieta.
 Tromboprofilaxis.
 Reanimación con líquidos
 Anticonvulsivantes ????
 Sedación
 Analgésicos
 Laxantes


                      Neurosurgery 53:123-135, 2003
   Antieméticos

   Nimodipino 60 mg vo cada 4 hrs por 3
    semanas

   Inhibidores H2 o de bomba de protones.

   Control de TA 120-150 mm Hg.

                          Neurosurgery 53:123-135, 2003
   Evitar resangrado

   Manejo de la hidrocefalia

   Manejo del vasoespasmo

   Manejo del desequilibrio
    hidroelectrolítico.
                                Stroke 2006:37:305-308
   Rehabilitación

   Evaluación neuropsicológica

   Depresión

   Cefalea crónica


                        Neurosurgery 53:123-135, 2003
   Mortalidad 51 %

   1/3 permanence independiente

   2/3 mala calidad de vida

   50% presentan problemas de memoria,
    afecto y desempeño neuropsicólogico.

                               Brain 2001:124;249-278

Enfermedad cerebrovacular ok

  • 2.
    Constituye la segunda causa de mortalidad a nivel mundial.  La primera causa de incapacidad a largo plazo.  Aproximadamente 610,000 personas por año sufre un 1° evento y 185,000 van a presentar una recurrencia. Circulation. 2010;121:e46–e215
  • 3.
  • 4.
    Evolución posterior aEVC Mortalidad post- EVC Recurrencia de EVC 30 días 8% - 20% 30 días 3% - 10% 1 año 15% a 25% 1 año 5% a 14% 5 años 40% a 60% 5 años 25% a 40% Risk factors, outcomes, and stroke subtypes for ischemic stroke. Sacco RL: Neurology. 1997 Nov;49(5 Suppl 4):S39-44.
  • 5.
    La lucha contrael tiempo: “Time is brain and… brain is life” El evento cerebrovascular agudo es una emergencia médica
  • 6.
    OMS: Síndrome clínico focal ó global de instalación rápida que se origina por un infarto ó hemorragia cerebral, hay alteración funcional cerebral de 24 horas por lo menos, sin otra causa aparente que un origen vascular.
  • 7.
    . Enfermedad Vascular Cerebral Isquemia Hemorragia (70-80%) (20-30%) Infarto Hemorragia Hemorragia ICT Cerebral Intracerebral Subaracnoidea 5-10% 70-75% 10-20% 5-10% Aterosclerosis 60% Arterioesclerosis 20% Embolismo 15% Otras 5% MAOS 2007
  • 8.
    Infarto Cerebral: Se ocasiona por el cierre súbito de una arteria cerebral y con menor frecuencia por la disminución del flujo sanguíneo distal secundaria a una estenosis arterial importante.
  • 9.
    Isquemia Cerebral Transitoria: es un breve episodio de disfunción neurológica causado por isquemia focal cerebral ó retiniana con síntomas clínicos típicos que duran menos de 1 hora y sin evidencia de infarto. Transient Ischemic Attack - Proposal for a New Definition.Albers, Caplan; for the TIA Working Group. November 2002. The New England Journal of Medicine.
  • 10.
    La aterotrombosis es una enfermedad crónica, progresiva, generalizada e impredecible caracterizada por la formación de coágulos sanguíneos en placas de aterosclerosis establecidas Placa rota1 Placa erosionada2 • Una manifestación aterotrombótica (infarto del miocardio, EVC, ataque isquémico transitorio, angina inestable o enfermedad vascular periférica) en un territorio vascular, confiere un incremento del riesgo en todos los lechos vasculares3 • La aterotrombosis (enfermedad cardiovascular y vascular cerebral) es uno de los mayores asesinos del mundo4
  • 11.
  • 12.
  • 13.
  • 14.
    ART. CEREBRAL MEDIA ART. CEREBRAL ANTERIOR ART. PERFORANTES ART. CEREBRAL POSTERIOR
  • 15.
    Mecanismo de producción Isquemia cerebral Ateroesclerosis cardioem pequeño otras no deter- Grandes vasos bolico vaso etiologías minado Aterotrombosis fuentes de arterioloesclerosis vasculopatía Embolia riesgo mayor microateromas no ateroesclerosa Arteria-arteria riesgo menor CADASIL disección Aortoembolismo vasculitis displasia FM estados protrombóticos
  • 16.
    Infarto Hemorragia Intracerebral Infarto Cerebral Hemorragia intracerebral Oclusión arterial Ruptura arterial (no aneurismática) Deterioro escalonado Deterioro súbito desde el inicio Depende el territorio afectado Depende el tamaño, localización Leve deterioro del edo. despierto Deterioro del edo. despierto No cefalea, no vómito Cefalea y vómito Elevación de la TA (mecanismo de Asociado a elevación de la TA autorregulación cerebral)
  • 17.
    Síndrome Total dela circulación anterior: 1. Cerebral Media. 2. Cerebral Anterior. -Hemiplejia. -Hemianopsia. -Afasia.
  • 18.
    › Oclusión dela ACA  Déficit sensitivo motor del pie y pierna opuestas.  Hombro, brazo.  Cara y mano indemnes.  Desviación de la mirada hacia el lado de la lesión.  Incontinencia urinaria  Oclusión del lado izquierdo:  Brazo o mano extraños  Afasia transcorical  Abulia  Mutismo
  • 19.
     Ramos profundos  Hemiparesia transitoria  Disartria  Abulia  Agitación  En infartos bilaterales  Falta de atención  Abulia  Psicosis  Agitación
  • 20.
    › Oclusion deltronco ACM  Hemiplejia contralateral.  Hemianestesia.  Hemianopsia homonima.  Desviacion de los ojos hacia el lado de la lesión  Afasia global (izq)  Anosognosia (der)  2-5% de las oclusiones de la arteria
  • 21.
    › En elterritorio de la división superior  Déficit sensitivo motor denso que compromete cara, brazo y en menor grado pierna.  Pie indemne y la pierna se afecta menos que el brazo, ( parálisis braquio-facial).  Agrafestesia.  Trastorno en el sentido de la posición.  Tacto.  Discriminación entre dos puntos.  Habla poco fluida y de comprensión normal.
  • 22.
    › Oclusión delas estriatocapsulares  Hemiparesia.  Afasia.  Heminegligencia.  Sindromes motores puros.  Regiones perisilvianas.  Diplejia facio-gloso-faringo -masticatoria.
  • 23.
     Sindromes anteriores  Dejerine y Roussy  Por obstrucción de las tálamo geniculadas, alteración sensitiva contralateral, con hemiparesia transitoria (DOLOR TALAMICO)  Hemianopsia homonima.  Movimientos extrapiramidales (hemibalismo, hemicoreoatetosis) › Sindromes mesencefalicos  Por oclusión de las ramas interpedunculares, sindrme de weber.
  • 24.
    Sindromes Corticales  Hemianopsia homonima.  Alucinaciones visuales.  Alexia.  Anomias.  Agnosias visuales.  Sindrome de Anton.  Sindrome de Balint.
  • 25.
    › HALLAZGOS  Hemiplejia contralateral.  Hemianopsia homonima. › Lesiones en el lado derecho  Negligencia espacial izquierda.
  • 26.
    › Sindrome dewallenberg  Infarto de la porción lateral del bulbo  Compromiso de los núcleos vestibulares  Nistagmos.  Oscilopsia.  Vertigo.  Nauseas.  Vomito.  Fascículo espinotalamico  Dolor.  Temperatura.
  • 27.
     Sindrome dewallenberg  Fascículo simpático descendente  Horner ipsilateral.  Miosis.  Ptosis.  Anhidrosis.  Fibras de IX y X  Disfagia.  Parálisis de cuerdas vocales.  Reflejo nauseoso.  Fibras olivocerebelosas  Ataxia.  Lateropulsión.
  • 28.
    › Sindrome Basilarcompleto  Comatoso.  Cadraplejico.  Preservacion del estado de conciencia. › Porcion superior  Mutismo.  Somnolencia.  Alucinaciones visuales.  Desviación de la mirada.
  • 29.
    › Arteria cerebelosasuperior  Ataxia ipsilateral.  Nauseas.  Emesis.  Perdida de dolor y temperatura contralateral. › Arteria cerebelosa Anteroinferior  Vertigo.  Nistagmos.  Tinitus.  Ataxia cerebelosa.  Horner ipsilateral.
  • 33.
    1. HEMIPLEJÍA MOTORA PURA 1. SX. SENSITIVO PURO. 2. HEMIPARESIA ATÁXICA (PARESIA CRURAL Y ATAXIA HOMOLATERAL) 3. SX. SENSITIVO-MOTOR 4. DISARTRIA DE MANO TORPE 5. SX. SEUDOBULBAR
  • 34.
    Imagen en InfartoAgudo Lancet Neurol 2006; 5:755-768 “La clave fisiopatológica es la distinción del tejido hipoperfundido en tres compartimientos operacionales …” 1. Tejido que inevitablemente morirá (core) 2. Tejido que sobrevivirá (oligohemia) 3. Tejido que puede sobrevivir o morir (zona de penumbra o penumbra isquémica)
  • 35.
    Imagen en InfartoAgudo Lancet Neurol 2006; 5:755-768 Oligohemia Penumbra Core FSC normal: >50ml/100gr/min Oligohemia: >20 a <50ml/100gr/min Penumbra: <20ml/100gr/min Core: <8ml/100gr/min
  • 36.
    ¿Lesión cerebral esocasionada por EVC de tipo Isquémico ó Hemorrágico, o alguna otra condición? -Clínica. -Estudios de neuroimagen. -TAC cráneo en fase simple ó RM de cráneo. Stroke 2005;36:916-21
  • 37.
    Signos Tomográficos Tempranos en Isquemia Cerebral Aguda Papel de la Tomografía en isquemia cerebral aguda •Excluye hemorragia cerebral y otras causas no vasculares de déficit neurológico agudo •Detecta anormalidades parenquimatosas en etapas tempranas. Guidelines for the Early Management of Patients With Ischemic Stroke 2005 Guidelines Update. A Scientific Statement From the Stroke Council of the American Heart Association/American Stroke Association. Stroke. 2005;36:916-921.
  • 38.
    Signos Tomográficos Tempranos enIsquemia Cerebral Aguda Normal P Déficit Focal Agudo R O N TC O S T HIPERAGUDO: MENOR 6HRS I AGUDO: 6-24HRS Signos SUBAGUDO TEMPRANO: 1-3 días C Tempranos SUBAGUDO TARDÍO: 4-14 días O CRÓNICO: MAYOR 15 días
  • 39.
    Métodos de dx.por imagen • TC: convencional, angio-TC, PTC. • RM: secuencias convencionales, angio-RM, DWI, PWI, ERM. • Cateterismo cerebral (ASD). • Medicina Nuclear (SPECT, PET). • US Doppler carotídeo y transcraneal.
  • 40.
    TAC IRM Ventajas: Ventajas: - Mayor accesibilidad del - Alta sensibilidad para detectar método. EVC isquémico temprano. - Exploración rápida. - Detecta HSA en fase - Detección de hemorragia subaguda. aguda. - Análisis vascular (angio-RM). - Análisis vascular (angio- TAC). Desventajas: - Menor disponibilidad del Desventajas: método. - Radiación ionizante. - Exploración prolongada. - Baja sensibilidad en EVC - Imposibilidad de introducir isquémico hiperagudo. material ferromagnético a la sala.
  • 41.
    Tomografía Computada • Descartar ó confirmar hemorragia intracraneal. • Identificar signos tempranos de isquemia. (Correlación con la clínica y siempre hay que buscarlos).
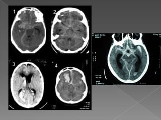
  • 42.
    - Signo deACM hiperdensa Signos Oclusión Indirectos Arterial - Signo del punto (“dot sign”) Disminución de la densidad -Hipodensidad núcleo lenticular Alteraciones -Pérdida de diferenciación sust. gris-blanca Signos -Borramiento “cinta insular” del parénqima Directos cerebral Efecto de masa -Obliteración de surcos -Compresión ventricular
  • 43.
    Normal (50-60%)  Arteria hiperdensa (25-50%)  Obscurecimiento del núcelo lenticular.
  • 44.
    ASPECTS (Alberta StrokeProgram Early CT Scale)
  • 45.
  • 46.
    Pérdida interfase gris/blanca (signo de la “cinta insular”).  Obliteración de surcos.
  • 47.
    Efecto de masa progresivo.  Area de baja densidad en forma de cuña.  Posibilidad de transformación hemorrágica.
  • 48.
    Reforzamiento giral en fase contrastada.  Persiste edema y efecto de masa.
  • 49.
    Se resuelve efecto de masa.  Persiste reforzamiento giral.
  • 50.
    Desaparece el reforzamiento giral.  Pérdida de volumen y densidad (encefalomalacia)  Calcificación infrecuente.
  • 51.
    PREVENCION PREVENCION PRIMARIA SECUNDARIA PRIMARY SECONDARY PREVENTION PREVENTION SERVICIO DE NEUROLOGIA VASCULAR MANEJO REHABILITACION AGUDO
  • 52.
    Objetivos Tratamiento:  Minimizarel daño cerebral.  Triage: Activador del Plasminógeno tisular.  Tratamiento específico.  Identificar factores de riesgo; Modificables.  Tratamiento de complicaciones (prevenir trombosis venosa profunda, desnutrición).  Rehabilitación.
  • 53.
    Principios Manejo del Fundamentales Infarto Agudo Cerebral  Cuidados Generales  Manejo del Edema Cerebral  Reperfusión Neuroprotección Farmacológica y No Farmacológica Rehabilitación temprana
  • 54.
    Manejo del Cuidados Infarto Agudo Cerebral Generales  Monitoreo Cardiovascular / Respiratorio  Manejo de Presión Arterial  Balance de Líquidos y Electrolitos  Metabolismo Glucosa  Temperatura corporal  Disfagia / Nutrición
  • 55.
    Examen Inicial: ABC Airwayand Breathing:  Vía aérea permeable  Asegurar ventilación y oxigenación.  Oxímetro de pulso (SaO2 >95%)  O2 2-4 Lts/min x cánula nasal Circulación:  Asegurar adecuada perfusión.  Monitoreo de TA y pulso cada 15 mins.  NO reducir la TA en la etapa aguda EXCEPTO  en condiciones especiales
  • 56.
    EVC agudo: Guíasde manejo de la HTA  Sí, sistólica < 180 y diastólica < 110 = NO TRATAR  Sí, sistólica 180 - 220 ó diastólica 110 - 140 mHg:  Tratar sólo en caso complicación asociada:  IAM, disección aorta, etc.  Sí, sistólica > 220 ó diastólica > 140 o PAM > 130:  Enalapril (0.625 - 2 mg c/6 hs PRN)  Esmolol (carga 500 µg/kg; 50-200 µg/kg x min)  Considerar nitroprusiato 0.5 a 10 ug/Kg/min Stroke 2005;36:916-21
  • 57.
    Balance de Líquidosy Electrolitos  Evitar el balance positivo excesivo de líquidos/electrolitos  Edema pulmonar (en particular en pacientes cardiópatas)  Incrementa el edema cerebral  Mantener balance de líquidos negativo (300-350 ml) en pacientes con edema cerebral  Las soluciones hipotónicas están contraindicadas (evitar NaCl 0.45 % o glucosada 5.0 %): riesgo de incrementar el edema cerebral  Las soluciones glucosadas están contraindicadas:  Efectos deletéreos de la hiperglucemia
  • 58.
    [Neurological Review] Volume 58(8) August 2001 pp 1209-1212 The Role of Hyperglycemia in Acute Stroke Kagansky, Nadya MD; Levy, Samuel MD; Knobler, Hilla MD La hiperglucemia se relaciona con:  Progresión del EVC  Incremento del tamaño del infarto  Peor pronóstico
  • 59.
    Manejo Glucosa En conclusión:Es esencial el monitoreo de glucemia, en particular en el paciente diabético Debe iniciarse tratamiento con insulina si las cifras de glucosa son > 180 mg/dL Se requiere la corrección inmediata en caso de hipoglucemia (< 50 mg/dL) con adición de 100 mg de tiamina en pacientes desnutridos o adicción al alcohol Scott et al. Stroke 1999;30 (4):793-799. GIST Investigators. Stroke 2002;33 (1):654.
  • 60.
    Temperatura Corporal  Losprocesos infecciosos son factor de riesgo para EVC y hasta en el 85 % de los casos la fiebre se debe a una infección  En caso de fiebre debe buscarse siempre un foco infeccioso, con el fin de iniciar el tratamiento antimicrobiano apropiado  No se recomienda el uso profiláctico de antibióticos, antimicóticos o antivirales en pacientes inmunocompetentes Boysen G, Stroke 2001; 32 (2): 413-417. Dippel et al. Stroke 2001; 32 (7): 1607-1612. Kasner et al. Stroke 2002; 33 (1): 130-135. Grau et al. Stroke 1995; 26 (3): 373-379.
  • 61.
    EDEMA CEREBRAL  Principal causa de muerte  Hipertensión Intracraneal  Efecto de Masa,  Herniación transtentorial
  • 62.
    Hipertensión Intracraneana: Tratamiento Oxigenación  Cuidados básicos Evitar estimulación al aspirar secreciones  Posición cabeza Sedación y relajación  Manejo de HTA Mantener Normotermia  Manitol Evitar compresión yugular  Hiperventilación Elevar cabecera a 15-30º  Barbitúricos CONTRAINDICADO EL USO DE ESTEROIDES
  • 63.
    MANEJO DEL EVC ISQUEMICO AGUDO: LAS PRIMERAS 4.5 HORAS
  • 64.
    TROMBOLISIS INTRAVENOSA CONrtPA 1. Restablecer el flujo sanguíneo en el territorio afectado. 2. Mejorar el flujo en la penumbra isquémica. 3. Limitar el tamaño del infarto cerebral. 4. Reducir la morbilidad y mortalidad asociados
  • 72.
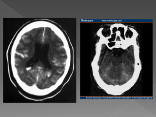
    ¿Qué pacientes nodeben ser tratados? >3h ? Patient A with early Patient A with Patient B with a signs of extensive demarcation of the subacute infarction right hemispheric infarct 72 hours later on the right side infarction
  • 73.
     Glucosa (digital) BH completa y plaquetas.  TP, TPT  Química completa (rutina).  EKG.  TC sin contraste.
  • 74.
    MERCI Retriever Mechanical EmbolusRemoval in Cerebral Ischemia
  • 75.
    PREVENCION PREVENCION PRIMARIA SECUNDARIA PRIMARY SECONDARY PREVENTION PREVENTION SERVICIO DE NEUROLOGIA VASCULAR MANEJO REHABILITACION AGUDO
  • 76.
    Antitrombóticos Control Antiagregantes plaquetarios Anticoagulantes Hipertensión Estatinas Estilo de EVC isquémica: Vida Prevención Secundaria Vitaminas Control Endarterectomía Diabetes “Stent Carotídeo”
  • 77.
    Después de un EVC o AIT hay muchas estrategias para prevenir la recurrencia. cto mo Me del Rie ca de res EV nis Fa sg C o
  • 80.
    La aspirina es el fármaco antiagregante plaquetario más utilizado debido a sus efectos bien estudiados en la prevención del ictus, su bajo costo, convirtiéndolo en la opción más económica en la prevención del ictus secundario. Recomendación:  Aspirina como monoterapia (50-325mg) es una opción aceptable para la prevención de EVC o AIT. (Clase I, Nivel de evidencia A).
  • 81.
    Recomendación:  Aspirina combinada con dipiridamol LP es una opción aceptable como inicio de tratamiento para la prevención de EVC o AIT. (Clase I, Nivel de evidencia A).  La combinación de aspirina con dipiridamol LP es superior que aspirina sola. (Clase I, Nivel de evidencia B).
  • 82.
    Recomendación:  Copidogrel (75mg) como monoterapia es una opción aceptable como inicio de tratamiento en la prevención de EVC o AIT. ( Clase I, Nivel de evidencia A)  Copidogrel (75mg) puede considerarse superior aspirina sola basado en la comparación de los ensayos clínicos. (Clase IIb, Nivel de evidencia B) • Pacientes alérgicos a la aspirina Copidogrel es una opción razonable. (Clase IIa, Nivel de evidencia B)
  • 83.
    Recomendación:  La combinación de copidogrel mas aspirina incrementa el riesgo de hemorragia. No se recomienda de forma rutinaria para pacientes con infarto o AIT a menos que tengan una indicación específica para esta (stent coronario o síndrome coronario agudo). (Clase III).
  • 84.
    ESTATINAS y EVCen la Práctica Clínica SPARCL (atorvastatina) Pacientes con Riesgo alto de EVC HPS (simvastatina) MIRACL (atorvastatina) Secundaria Pacientes con 4 S (simvastatina) CARE (pravastatina) coronariopatía LIPID (pravastatina) Prevención ASCOT-LLA (Atorvastatina) Pacientes con CARDS (Atorvastatina) Riesgo de EVC Primaria PROSPER (pravastatina) Pacientes con WOSCOPS (pravastatina) Riesgo Alto de CC Pacientes con AFCAPs /Tex CAPS (lovastatina) Riesgo Bajo de CC
  • 85.
    S PAR CL Stroke Prevention by Aggressive Reduction in Cholesterol Levels 1m 3m 6m 5 años AIT ó EVC 67% infarto cerebral Infarto cerebral Muerte Cardiaca 31% AIT < 6 meses evolución A 2% hemorragia cerebral PCR resucitac LDL 100-190 mg IM no Fatal Angina inest mRS < 3 N = 4,731 1m 3m 6m 5 años 1998 2005
  • 86.
    Isquemia Cerebral transitoria(%) Placebo 23% "Stroke Prevention by Infarto Cerebral o Atorvastatina Aggressive Reduction in Cholesterol Levels” NEJM 2006;355:549-559 Años desde Aleatorización Eventos Cardiovasculares (%) Eventos coronarios (%) Placebo 26% Placebo Atorvastatina 42% Atorvastatina Años desde Aleatorización Años desde Aleatorización
  • 87.
    Recomendación: (Basado SPARCL) Administraciónestatinas para reducir los niveles de lípidos en pacientes con AIT o evento vascular aterosclerótico sin enfermedad coronaria conocida con el objetivo de reducir el riesgo de EVC y eventos cardiovasculares. (Clase I, Nivel de evidencia B).
  • 88.
    No hay evidenciasuficiente que justifique el uso de fármacos neuroprotectores en pacientes con isquemia cerebral aguda y no deben utilizarse si no es ensayos clínicos.
  • 89.
    HEMORRAGIA INTRACRANEAL TRAUMATICA ESPONTANEA Epidural TCE Rara Subdural TCE Poco frecuente Subaracnoidea TCE ANEURISMATICA Parenquimatosa TCE PRIMARIA Hipertensiva Amiloidea SECUNDARIA MAV, Drogas, Anticoagulantes, tumor, etc.
  • 90.
  • 91.
  • 92.
    HEMORRAGIA INTRACEREBRAL Factores de mal pronóstico Rochester MN 1955-1979 (por 100 000 hts)
  • 94.
    HEMORRAGIA INTRACEREBRAL Síntomas acompañantes Inicio súbito (gradual, escalonada). Diurno. Déficit máximo desde el inicio. Cefalea 74 % ½ paresia o ½ plejía. 52 % Náusea-vómito 35 % Pérdida del alerta 25 % Afasia 22 % Crisis convulsivas 19 % Déficit sensorial 17 % Desviación ocular Apnea Estupor, Descerebración
  • 95.
    HEMORRAGIA INTRACEREBRAL Etiología Edad x Localización /PLUS = Etiologia probable 1.- Joven X Lobar = MAV 2.- > 75 a X Lobar /no HAS = Amiloidea 3.- Adulto X Ganglios = HTA (78-88%) 4.- Joven X Ganglios = HTA (11%). 5.- Adulto X Lobar / HAS = HTA (20%) 6.- Joven X Cerebelo = MAV 7.- Adulto HTA X Cerebelo = HTA 8.- Joven/Peclp X Ganglios = HTA 9.- Joven/Puerp X Lobar = TVC/HTA 10. Añoso X X Local (edem) = Tumor
  • 96.
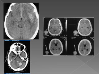
    HEMORRAGIA INTRACEREBRAL Localización. Lobar
  • 97.
    HEMORRAGIA INTRACEREBRAL Localización Ganglionar
  • 98.
    HEMORRAGIA INTRACEREBRAL Localización Tallo: puente Cerebelo
  • 99.
    CÁLCULO DE VOLUMEN Ax B x C / 2 = Vol. cm3
  • 100.
    HEMORRAGIA INTRACEREBRAL Tamaño(volumen) hematoma 8 6 8x6x5=240 x .5= 120cm³ 2x2x2=8 x .5 4 cm³ “Naranja pequeña” “Uva pequeña”
  • 101.
    PACIENTES CON HEMORRAGIAS CEREBELOSAS MAYORES DE 3cm, CON O SIN HIDROCEFALIA PERO CON DETERIORO NEUROLOGICO ASOCIADO AL HEMATOMA.  HEMATOMA ASOCIADO A LESION CEREBRAL (MAV,ANEURISMA,CAVERNOMA, TUMOR)  PACIENTES MENORES DE 55 AÑOS CON CLARO DETERIORO NEUROLOGICO Y LESIONES MAYORES A 10cc.
  • 102.
    HEMORRAGIA MENOR O IGUAL A 10CC SIN DEFICIT NEUROLOGICO ASOCIADO AL HEMATOMA  PACIENTES CON GLASGOW DE 4  PACIENTES CON POBRE ESTADO NEUROLOGICO PREVIO  HEMATOMA EN ZONA “ELOCUENTE” MAYOR O IGUAL A 55CC.
  • 103.
    HEMORRAGIA INTRACEREBRAL Prevención La hipertensión arterial es el principal factor de riesgo para HIC. Su control estricto reduce el riesgo absoluto hasta en 46 %, además de reducir el riesgo de recurrencia Furlan AJ, Whisnant JP, Elveback IR. The decreasing incidence of primary intracerebral hemorrhage: a population study. Ann Neurol 1979; 5: 367-73. Hypertension Detection and Follow-up Program Cooperative Group. Five-year findings of the Hypertension Detection and Follow-up Program. Reduction in stroke incidence among persons with high blood presure. JAMA 1982;247: 633-8.
  • 104.
    Escape de sangre a partir de un vaso arterial o venoso hacia el espacio subaracnoideo, que en condiciones normales esta ocupado solo por LCR, nervios y vasos craneales. Yasargil MG. Microneurosurgery. 1984 Vol.1
  • 107.
    Sangrado (100 ml).  Aumento de presión cisternal.  Aumento de la PIC.  Proceso inflamatorio.  Vasodilatadores vs. Vasoconstrictores. Barinagarrementeria. Enfermedad Vascular Cerebral, 1998
  • 108.
    TRAUMÁTICA  ESPONTANEA Greenberg. Handbook of Neurosurgery. Thieme 2006.
  • 109.
    CAUSAS DE HEMORRAGIASUBARACNOIDEA 1. Traumática Contusiones, radiación, quemaduras, lesiones eléctricas. 2. Angiopatías Aneurismas, malformaciones arteriovenosas, vasculitis, amiloide. 3. Trombosis venosa Embarazo, uso de contraceptivos 4. Discrasias sanguíneas Leucemia, linfoma, hemofilia, drepanocitosis, CID, púrpuras. 5. Enfermedades alérgicas Púrpura anafilactoide, Fenómeno de Schwartzmann 6. Infecciones Meningitis bacteriana, TB meníngea, sífilis, brucelosis 7. Intoxicaciones Cocaína, alcohol, anfetaminas, veneno de serpiente 8. Neoplasias Metástasis, adenoma pituitario 9. Misceláneas TEC, eclampsia, golpe de calor. Tomado de: Weir B.: Aneurysms affecting the Nervous System. Williams & Wilkins, 1987, p. 82
  • 110.
    1. Aneurismática (75-80%) 2. MAVs (4-5%) 3. Vasculitis 4. Tumor 5. Disección arterial. 6. Discrasias sanguíneas 7. Trombosis venosa cerebral. 8. Pretruncal no aneurismática. 9. Drogas 10. Anemia de Celulas falciforme 11. Apoplejía pituitaria 12. Indeterminada (14-22%)
  • 111.
     Angiografía inadecuada Hemorragia  Trombosis del aneurisma  Vasoespasmo  Microaneurismas  Malformaciones vasculares ocultas  HSA pretruncal Greenberg. Handbook of Neurosurgery. Thieme 2006.
  • 112.
    EVC isquémico 85%  EVC hemorrágico 15%  HSA 1-7%  5% de las muertes ocasionadas por EVC Stroke 1996;27:625-9
  • 113.
     Incidencia 6-8por 100,000 habitantes.  28,000 rupturas al año en E.U.  3% de los pacientes que se presentan en urgencias por cefalea.  Mujeres 1.6 veces mas riesgo  Raza negra 2.1 veces mas riesgo Stroke 1996;27:625-9
  • 114.
    Finlandia y Japón mayor incidencia  Mortalidad 45% (32-67%)  Edad pico 55-60 años  20% entre los 15 – 45 años. Stroke 1996;27:625-9
  • 115.
    10-15% presentan muerte súbita  25% muere en las primeras 24 hrs. Greenberg. Handbook of Neurosurgery. Thieme 2006.
  • 116.
    30% ocurren durante el sueño.  50% tienen síntomas premonitorios.  Primavera y otoño.  Aneurismas 5 al 10% Brain (2001), 124, 249-278
  • 117.
    Hipertensión  Tabaco (>20 cigarrillos / día)  Consumo de alcohol (>150 gr.)  Cocaína  Anticonceptivos orales  Familiares de 1er. Grado con historia. (3 a 5)  Sexo femenino Stroke. 2006; 36:2773-2780
  • 118.
     Poliquistosis renal. Síndrome de Ehlers-Danlos (tipo IV)  Displasia fibromuscular  Síndrome de Marfan  Neurofibromatosis tipo 1  Pseudoxantoma elástico  Deficiencia de alfa 1 anti-tripsina. Neurosurgery.2007; 52:36-40
  • 119.
    Cefalea síntoma mas frecuente (97%)  “El peor de mi vida”  Inicio súbito  Síntoma único en un tercio de los pacientes.  Duración de días  Acompañado de nausea y vomito.  Asociarse a esfuerzo físico (20%) British Journal of Medicine.2006;333:235-239
  • 120.
     30 a60 %  6 a 20 días previos al ictus.  Duración de 1 día.  Incremento en el tamaño  Sangrado en la pared aneurismática. N Engl J Med 354;4
  • 121.
     Crisis convulsivas6-16%  Delirium 2%  Nausea, vómito.  Fotofobia  Dolor cervical y lumbar NEJM 2000; 342: 29-35.
  • 122.
    Irritación meníngea  Rigidezde nuca  Signo de Kernig  Signo de Brudzinski  (52%) N Engl J Med 354;4
  • 123.
    Historia de Trauma
  • 124.
    Déficit focal neurológico (III NC, VI NC, abulia, paraparesia, Nistagmo, afasia, hemiparesia)  Perdida del estado de alerta (50%)  Papiledema  Hemorragias retinianas y subhialoidea N Engl J Med 354;4
  • 125.
     Prerretiniana osubhialoidea 11-33%  Hemorragia retiniana Greenberg. Handbook of Neurosurgery. Thieme 2006.
  • 126.
     Síndrome deTerson (Hemorragia vítrea) 4-27% de los casos.
  • 127.
     Historia Clínica Factores epidemiológicos  Hallazgos a la exploración Stroke 2007;38:2116-2121
  • 128.
     Falla enun 50%  Migraña o Cefalea tensional  Se subestima la HSA  No se detectan pacientes de buen pronóstico  Complicaciones tempranas Stroke 2007;38:2116-2121
  • 129.
    Trastornos cardiacos  Trastornos pulmonares  Trastornos hidroelectrolíticos Neurol Clin N Am 22(2004) 347-366
  • 130.
    Se asocia a arritmias cardiacas y cambios electrocardiográficos en un 50%.  Ondas T anchas o invertidas, supra o infra desnivel del ST, ondas U, contracciones prematuras atriales o ventriculares.  Corazón aturdido  10% pueden progresar a IAM Neurol Clin N Am 22(2004) 347-366
  • 131.
    Aspiración  Edema pulmonar neurogénico Neurol Clin N Am 22(2004) 347-366
  • 132.
     Hipovolemia  Hipomagnesemia Hiponatremia  SIADH vs. Cerebro perdedor de sal (CSW)  Factor atrial y cerebral natriurético.  IC, Cirrosis, insuficiencia adrenal, uso de AINES, acetaminofen, narcóticos, tiazidas. Neurol Clin N Am 22(2004) 347-366
  • 133.
     Primer estudioen el abordaje  Cortes de 3 mm. desde la base del cráneo.  Paralela al paladar duro.  Hemoglobina < 10 gr/dl aparece isodensa.  Artificios por movilización del paciente. Am J Emer Med 2006;24:859-863
  • 134.
     Predecir lalocalización 70%  Hemorragia intraventricular (PICA)  Hemorragia en la cisura interhemisférica (Acom)  Hemorragia en el valle silviano (ACM / com post)
  • 140.
    Prueba mas sensible  20% pueden ser traumáticas  No debe ser realizada como primera  Duffy reportó que de 55 pacientes a los que se le realizo PL, siete tuvieron deterioro clínico. N Engl J Med 2006;354:387-96
  • 141.
    Presión de apertura elevada  Citológico >100,000 eritrocitos Hiperproteinorraquia Glucosa normal o baja. N Engl J Med 2006;354:387-96
  • 142.
    Xantocromia vs. Eritrocitos.  Espectrofotómetro  100% 12 hrs  70% 3 semanas  40% 4 semanas Greenberg. Handbook of Neurosurgery. Thieme 2006.
  • 143.
    Excelente para HSA subaguda o remota > de 10-20 días.
  • 144.
    “Gold Standard” (95 %) N Engl J Med 2006;355:928-39
  • 145.
     Sensibilidad 86%en aneurismas mayores de 3 mm.  Falso positivo 16% N Engl J Med 2006;355:928-39
  • 146.
     Sensibilidad del95%  Especificidad 83%  Aneurismas de 2.2 mm. N Engl J Med 2006;355:928-39
  • 147.
     Clínicas Hunt yHess Word Federation of Neurologic Surgeos (WFNS)  Radiológica Fisher Neurosurg Clin North Am 1998;9:421-641
  • 148.
    1: Asintomático, o cefalea leve y rigidez leve de nuca.  2: Paralisis NC, cefalea moderada a severa, rigidez de nuca.  3: Déficit focal leve, somnolencia, confusión.  4: Estupor, hemiparesia severa a moderada, rigidez de decerebración.  5: Coma, rigidez de decerebración, moribundo. *Se incrementa un grado por enfermedad sistémica grave o vasoespasmo severo. J Neurosurg 1968;28: 14-20
  • 149.
     Se consideranescalas pronósticas.  No toman en cuenta factores importantes como edad, tiempo de evolución, localización del aneurisma. Brain (2001), 124, 249-278
  • 150.
    Grado 1: TC normal. Neurosurgery 1980;6:1-9
  • 151.
    Grado 2: difusa o capa vertical < 1 mm Neurosurgery 1980;6:1-9
  • 152.
    Grado 3: Coagulos localizados y capas > 1 mm. Neurosurgery 1980;6:1-9
  • 153.
    Grado 4: Coágulo intracerebral o intraventricular. Neurosurgery 1980;6:1-9
  • 154.
    Resangrado  Hidrocefalia  Vasoespasmo Neurol Clin N Am 22(2004) 347-366
  • 155.
     1er día4%  Después 1.5 % diario en los primeros 13 dias  15-20% dentro de los 14 días  50% dentro de los primeros 6 meses  Después 3% por año.  Tasa de mortalidad 2% por año. Neurol Clin N Am 22(2004) 347-366
  • 156.
    50% muere en el primer mes.  Hunt y Hess altos, ventriculostomía, punción lumbar Neurol Clin N Am 22(2004) 347-366
  • 157.
     Crónica oaguda.  15-20% presentación inicial.  50% de los pacientes requeriran un sistema de derivación. Neurosurg Clin North Am 1998;9:421-641
  • 159.
     Inicia enel día 3  Pico 14 día  Se resuelve dentro de 3 semanas.  Se relaciona con el Hunt y Hess asi como con el Fisher.  Sintomas focalizadores y no focalizadores. Neurosurgery 53:123-135, 2003
  • 160.
    Terapia intensiva  Monitoreo  Manejo de la vía área  Catéter intraventricular Neurosurgery 53:123-135, 2003
  • 161.
     Dieta.  Tromboprofilaxis. Reanimación con líquidos  Anticonvulsivantes ????  Sedación  Analgésicos  Laxantes Neurosurgery 53:123-135, 2003
  • 162.
    Antieméticos  Nimodipino 60 mg vo cada 4 hrs por 3 semanas  Inhibidores H2 o de bomba de protones.  Control de TA 120-150 mm Hg. Neurosurgery 53:123-135, 2003
  • 163.
    Evitar resangrado  Manejo de la hidrocefalia  Manejo del vasoespasmo  Manejo del desequilibrio hidroelectrolítico. Stroke 2006:37:305-308
  • 164.
    Rehabilitación  Evaluación neuropsicológica  Depresión  Cefalea crónica Neurosurgery 53:123-135, 2003
  • 165.
    Mortalidad 51 %  1/3 permanence independiente  2/3 mala calidad de vida  50% presentan problemas de memoria, afecto y desempeño neuropsicólogico. Brain 2001:124;249-278