Incrustar presentación
Descargar como PDF, PPTX




































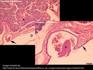
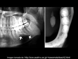
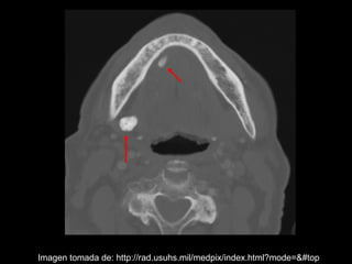
La sialolitiasis es la formación de obstrucciones mineralizadas en las glándulas salivales, causadas por el depósito de calcio y fósforo. Puede presentarse en las glándulas salivales mayores y menores, causando inflamación e hinchazón e incluso dolor durante las comidas. Los sialolitos se ven en radiografías como densidades radiopacas de varias formas y tamaños dentro de los conductos glandulares. El diagnóstico diferencial incluye otras imágenes radiopacas en los tejidos blandos.


































