Incrustar presentación
Descargado 1059 veces































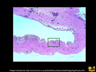
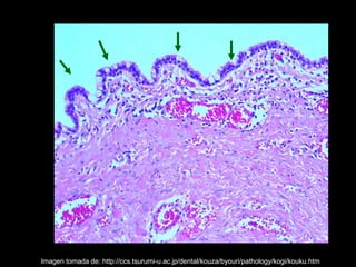
El quiste nasopalatino es un quiste embrionario situado en la línea media en la parte anterior del paladar, que se origina de los restos del conducto nasopalatino. Generalmente aparece entre los 40-60 años y se presenta como un aumento de volumen blando y no doloroso entre los incisivos centrales superiores que puede causar divergencia radicular. Las características radiográficas incluyen una lesión radiolúcida, bien delimitada y de forma redondeada u ovalada que cruza la línea media maxilar.





























