UNIVERSIDAD DE GUAYAQUIL
FACULTAD DE CIENCIA MÈDICAS
ESCUELA DE ENFERMERÌA
ASIGNATURA:
SEMIOLOGIA
DOCENTE:
Lic. SEMIOLOGIA
INTEGRANTES: subgrupo 1
Tercer semestre GRUPO G 3
PERÌODO 2016 – 2017
• CRISTHIAN TAPIA
• JEAN CARLOS LOPEZ
• KAREN VERDEZOTO
• HYLEIN YAGUAL
• RUDY EGUIGUREN
• VALENTINA OYOLA
Desempeña
r el rol de
enfermería
acorde a las
necesidade
s del
paciente
con calidad
y calidez.
Personal de Enfermería
Fortalecer en el Aprendizaje
Significativo
• Liderar atención de calidad en
todos los escenarios.
• Evitar el Desconocimiento
Todo Fármaco solo actúa en presencia
de una dificultad respiratoria.
Tarea
Fundamental
Para
Recordar
MUCOLÍTICOS EXPECTORANTES BALSÁMICOS
ANTI
INFLAMATORI
OS
BRONCODILATADORES
OPIÁCEOS CISTEINAS
AMBROXOL
FÁRMACOS QUE
INTERVIENEN EN EL
SISTEMA RESPIRATORIO
ANTITUSÍGENOS
ANTIASMÁTICOS
SISTEMA
RESPIRATORIO
Anatomía
Función
Patología
Vías Resp.
Altas
Vías Resp.
Bajas
• Nariz
• Senos
Paranasales
• Faringe
• Amígdalas
• Adenoides
• Laringe
• Tráquea
• Pulmones
• Bronquiol
os
• Bronquios
• Alveolos
• Transporte
de O2
• Respiración
• Ventilación
• Asma
• Tos
• Bronqui
tis
El aparato respiratorio
es el sistema del
organismo que asegura
las funciones
respiratorias , mediante
el intercambio de
gases. Permite aspirar
el aire para llevar el
oxígeno a los órganos
y a los tejidos , y
después eliminar el
dióxido de carbono.
APARATO RESPIRATORIO
SE COMPONE DE LAS VIAS RESPIRATORIAS
ALTAS Y BAJAS, EN CONJUNTO LAS DOS
VIAS ESTAN ENCARGADAS DE LA
VENTILACIÓN (MOVIMIENTO DEL AIRE
DENTRO Y FUERA DE LAS VIAS AEREAS)
CALIENTA Y FILTRA EL AIRE INSPIRADO DE
MODO QUE LAS VIAS RESPIRATORIAS BAJAS
(LOS PULMONES) PUEDAN REALIZAR EL
INTERCAMBIO DE GASES
FUNCIONES
EL APARATO RESPIRATORIO
TRABAJA EN CONJUNTO
CON EL APARATO
CARDIOVASCULAR
VIAS RESPIRATORIAS ALTAS
LAS ESTRUCTURAS
DE LAS VIAS AEREAS
ALTAS CONSTAN DE
NARIZ, SENOS
PARANASALES Y
CONDUCTOS
NASALES FARINGE,
AMIGDALAS Y
ADENOIDES,
LARINGE Y TRÁQUEA
NARIZ
LA NARIZ SIRVE COMO UN
CONDUCTO PARA PASAR EL AIRE
DESDE Y HACIA LOS PULMONES,
FILTRAN IMPUREZAS Y
HUMIDIFICA Y ENTIBIAN EL AIRE
INHALADO. SE COMPONE DE UNA
PORCION EXTERNA Y UNA
PORCION INTERNA.
PORCION EXTERNA
SOBRESALE DE LA CARA Y
ESTÁ APOYADA POR LOS
HUESOS Y LOS
CARTILAGOS NASALES.
LAS FOSAS NASALES
ANTERIORES (NARINAS)
SON LAS ABERTURAS
HACIA EL EXTERIOR DE LAS
CAVIDADES NASALES
PORCION INTERNA
Es una cavidad hueca separada
en la cavidad nasal derecha e
izquierda separada por una
estrecha división vertical, el
tabique. Cada cavidad nasal
esta dividida en 3 conductos o
pasajes por 3 cornetes
(conchas) proyectados desde
las paredes laterales. Debido a
sus curvaturas estos huesos
incrementan la superficie
mucosa de la membrana de los
conductos nasales y obstruyen
ligeramente el flujo de aire
El aire que entran
en las narinas se
desvía hacia arriba
de la bóveda nasal y
sigue hasta alcanzar
la nasofaringe
Se pone en contacto con
una superficie extensa
de membrana mucosa
húmeda tibia ricamente
vascularizada y ciliada
que atrapa
prácticamente el polvo y
los microorganismos
SENOS
PARANASALES
INCLUYEN 4 PARES DE
CAVIDADES OSEAS
REVESTIDAS CON
MUCOSA NASAL Y
EPITELIO PULMONAR
CILIADO
SEUDOESTRATIFICADO
. ESTOS ESPACIOS DE
AIRE POR UNA SERIE
DE CONDUCTOS QUE
DRENAN EN LA
CAVIDAD NASAL.
RECIBEN SU NOMBRE DE
ACUERDO SU
UBICACIÓN: SENO
FRONTAL, SENO
ETMOIDAL, SENO
ESFENOIDAL Y SENO
MAXILAR
SU FUNCION ES
SERVIR COMO CAMARA
DE RESONANCIA AL
HABLAR
FARINGE
LA FARINGE O GARGANTA ES
UNA ESTRUCTURA TUBULAR
QUE CONECTA LAS CAVIDADES
NASALES Y ORALES CON LA
LARINGE. SE DIVIDEN EN 3
REGIONES:
NASOFARINGE: SE LOCALIZA EN
LA PARTE POSTERIOR DE LA
NARIZ Y ARRIBA DEL PALADAR
BLANDO
OROFARINGE: ALOJA LA
AMÍGDALA PALANTINA
LARINGOFARINGE: SE
EXTIENDEN DEL HUESO HIODES
AL CARTILAGO CRICOIDES. LA
EPIGLOTIS FORMA LA ENTRADA
DE LA FARINGE
LA FARINGE FUNCIONA COMO
UN CONDUCTO DE PASO A LAS
VIAS RESPIRATORIAS Y
DIGESTIVAS
AMIGDALAS Y
ADENOIDES
• LAS ADENOIDES O AMIGDALAS FARINGIAS SE LOCALIZAN EN EL
TECHO DE LA NASOFARINGE.
• LAS AMIGDALAS, LA ADENOIDES Y OTROS TEJIDOS LINFOIDES
RODEAN LA GARGANTA.
• ESTAS ESTRUCTURAS SON IMPORTANTES ENLACES EN LA CADENA
DE GANGLIOS LINFATICOS QUE PROTEJEN AL CUERPO DE LA
INVASION POR MICROORGANISMOS QUE PENETRAN POR LA NARIZ Y
LA GARGANTA
LARINGE
LA LARINGE U ORGANO DE LA VOZ, ES UNA ESTRUCTURA
CARTILAGINOSA REVESTIDA DE EPITELIO QUE CONECTA
LA FARINGE Y LA TRAQUEA. LA PRINCIPAL FUNCION DE LA
LARINGE ES LA VOCALIZACION. PROTEJE LAS VIAS
AEREAS BAJAS DE SUSTANCIAS EXTRAÑAS Y FACILITA LA
TOS. CON FRECUENCIA SE REFIERE COMO LA CAJA DE LA
VOZ Y CONSTA LO SIGUIENTE:
GLOTIS
UNA VALVULA
DE ALETA
FORMADA POR
UN CARTÍLAGO
QUE CUBRE LA
ABERTURA
HACIA LA
LARINGE
DURANTE LA
DEGLUCIÓN
ABERTURA
ENTRE LAS
CUERDAS
VOCALES EN
LA LARINGE
CARTILAGO
TIROIDES
LA MAYOR DE LAS
ESTRUCTURAS
CARTILAGINOSAS; UAN PARTE
DE ESTE CARTÍLAGO, FORMA
LA MANZANA DE ADAN
CARTILAGO
CRICOIDES
EL ÚNICO ANILLO
CARTILAGINOSO COMPLETO
EN LA LARINGE (LOCALIZADO
ABAJO DEL TIROIDES)
CARTILAGO
TIROIDES
USADO CON
EL CARTILAGO
TIROIDES EN
EL
MOVIMIENTO
DE LAS
CUERDAS
VOCALES
GLOTIS
EPIGLOTIS
CARTILAGO
TIROIDES
CARTILAGO
CRICOIDES
CARTILAGO
ARITENOIDE
S
TRAQUEA
LA TRÁQUEA O TUBO DE AIRE SE COMPONE DE MÚSCULO LISO
CON ANILLOS DE CARTÍLAGO EN FORMA DE C A INTERVALOS
REGULARES. LOS ANILLOS CARTILAGINOSOS ESTAN
INCOMPLETOS EN LA SUPERFICIE POSTERIOR Y CONFORMAN
FIRMEZA A LA PARED DE LA TRÁQUEA, LO CUAL EVITA QUE SE
COLAPSE. SIRVE COMO CONDUCTO ENTRE EL LARINGE Y LOS
BRONQUIOS
VIAS RESPIRATORIAS BAJAS
Consta de: pulmones que contienen estructuras bronquiales y alveolares
necesarias para el intercambio gaseoso
Ventilación: requiere el
movimiento de las
paredes de la caja
torácica y de su suelo
diafragmático
El efecto de estos
movimientos es para
incrementar y disminuir de
forma alternada la capacidad
del tórax
Cuando la incapacidad de tórax
aumenta el aire entra a través de la
tráquea (inspiración), debido al
descenso del tórax los pulmones se
inflan
Cuando la pared torácica y el
diafragma regresan a sus posiciones
previas (espiraciones) los pulmones
se retraen y obligan al aire a salir
través de los bronquios y la tráquea.
Fase inspiratoria
Durante los 2 ultimos tercios. No necesita
energia pero consume mucho en EPOC
Fase espiratoria
Durante el 1er tercio de ciclo respiratorio,
requiere energía
PULMONES
PLEURA
Membrana serosa que
recubre los pulmones y
pared del tórax
Parietal
reviste el tórax
Visceral
Recubre los pulmones
Liquido pleural
Liquido que se
encuentra entre la
pleura parietal y
visceral, sirve de
lubricante a las
membranas.
Mediastino
Se encuentra en medio del tórax
Entre los sacos pleurales que contienen los
pulmones
Se extiende dese el esternón hasta la columna
vertebral.
Contiene todo el tejido torácico que esta por
fuera.
Corazón, timo, ciertos vasos sanguíneos, aorta
esófago, vena cava inferior
LÓBULOS
PULMONARES
DERECHO
3 lóbulos
Sup – med -
inf.
IZQUIERDO
2 lobulos
Sup. E inf.
Cada lóbulo se subdivide
además en 2 o 5
segmentos separados
por fisuras que son
extensiones de la pleura
Bronquios lobulares
Bronquios segmentarios
Bronquiolos terminales
Bronquiolos respiratorios
Bronquios sub segmentarios
Bronquiolos
3 en pulmón derecho – 2 en pulmón izquierdo
10 en pulmón der. 8 en pulmón izq.
Rodeados por tejido conectivo que contiene arterias,
linfáticos y nervios.
Desprovistos de cartílagos en sus paredes. Contienen
glándulas submucosas productoras de moco que
cubre el revestimiento interno de las vías aéreas.
Sin glándulas mucosas ni cilios
Alvéolos
Considerados conductos transicionales de paso
entre las vías aéreas de conducción y las vías
aéreas de intercambio gaseoso.
Intercambio de CO2 y O2
300 millones de alveolos en el pulmón
dispuestos en 15 – 20 racimos
hematosis
BRONQUIOS BRONQUIOLOS
Revestidos por células ciliadas
que generan un movimiento
oscilante continuo que aleje a el
moco y las sustancias extrañas
de los pulmones hacia la laringe
FUNCIÓN DEL APARATO
RESPIRATORIO
Las células del cuerpo derivan la energía que necesitan de
la oxidación de los carbohidratos, grasas y proteínas. A
igual q cualquier tipo de combustión este proceso requiere
oxigeno.
TRANSPORTE DE OXÍGENO
RESPIRACIÓN
VENTILACIÓN
RESPIRACIÓN
La respiración no es solamente una
actividad de los pulmones. Todo el
organismo respira a través del
pulmón. Quien captura el oxígeno y
quien expulsa el dióxido de carbono
es todo el organismo. Sus miles de
millones de células consumen
oxígeno incansablemente para
liberar de los glúcidos (azúcares) la
energía necesaria e indispensable
para realizar sus actividades.
Transporte de oxigeno
Las células están en intimo contacto con
los capilares esto hay permite que haya
un paso o intercambio fácil entre el
oxigeno y dióxido de carbono.
El oxigeno se difunde desde los capilares,
a través de la pared capilar al liquido
intersticial, donde las mitocondrias lo
usan para la respiración celular.
VENTILACIÓN
Factores físicos que gobiernan
El flujo de aire hacia dentro y
fuera de los pulmones se
conocen como la mecánica de a
ventilación
• Variaciones en la presión de
aire
Durante la inspiración, el
movimiento del diafragma y otros
músculos de la respiración
aumenta las dimensiones de la
cavidad torácica , por lo tanto
reduce la presión en el interior del
tórax a un nivel mas bajo que la
presión Atmosférica.
MECÁNICADE
LAVENTILACIÓN
VARIACIONES EN LA
PRESION ARTERIAL
RESISTENCIA EN
LAS VÍAS AÉREAS
DISTENSIBILIDAD
EL AIRE FLUYE DESDE UNA
REGIÓN DE PRESIÓN MAS
ALTA UNA REGIÓN DE
MENOR PRESIÓN.
ESTA DETERMINADA EN
PRIMER LUGAR POR EL
RADIO O EL TAMAÑO DE LAS
VÍAS AÉREAS A TRAVÉS DE
LAS CUALES EL AIRE FLUYE.
ES LA ELASTICIDAD Y LA
EXPANSIBILIDAD DE LOS
PULMONES Y LAS
ESTRUCTURAS TORÁCICAS.
VOLÚMENES Y
CAPACIDADES DEL
PULMÓN
• Es el proceso mediante el cual se
intercambian el oxigeno y el
dióxido de carbono en la interfaz
aire-sangre.
DIFUSIÓN
• Es el flujo de sangre actual a través de
la circulación pulmonar
• La circulación pulmonar se considera
un sistema de baja presión porque la
sistólica arteria pulmonar es 20 a 30
mm Hg y la diastólica 5 a 15 mm Hg.
PERFUSIÓN
DIFUSIÓN Y PERFUSIÓN PULMONAR
EQUILIBRIO Y DESEQUILIBRIO
ENTRE VENTILACIÓN Y
PERFUSIÓN
El equilibrio ocurre en un intercambio
adecuado de gases depende de una
relación ventilación-perfusión.
El desequilibrio ocurre como resultado
de
una ventilación inadecuada. Existe
cuatro
posibles estados: relación normal, baja,
alta
y ausencia de ventilación y perfusión.
El desequilibrio causa cortocircuito de la
sangre, que resulta en hipoxia
INTERCAMBIO
DE GASES
El aire que respiramos es una
mezcla gaseosa que consiste
sobre todo de nitrógeno
(78,6%) y oxigeno (20,8%), con
trazas de dióxido de carbono
(0,04%), vapor de agua
(0,06%), helio y argón.
La presión parcial es la presión
ejercida por cada tipo de gas en
una mezcla de gases.
Cuando un gas se expone a un
liquido, el gas se disuelve en el
liquido hasta alcanzar un
equilibrio.
En el pulmón, la sangre venosa
y el oxigeno alveolar están
separados por una membrana
alveolar muy delgada, el
oxigeno se difunde a través de
esta membrana pasa disolverse
en la sangre hasta que la
presión parcial del oxigeno en la
sangre sea igual que en los
alveolos.
PRESION PARCIAL
DE LOS GASES
EFECTOS DE LA
PRESION SOBRE EL
TRANSPORTE DE
OXIGENO
El transporte de oxigeno
dióxido de carbono e
simultaneo, ya sea disueltos e
la sangre o combinados en lo
eritrocitos.
Cada 100 mL de sangre arterial
normal transporta 0,3 mL de
oxigeno disuelto físicamente en
el plasma y 20 mL de oxigeno
combinado con hemoglobina.
La cantidad de oxigeno que se
combina con la hemoglobina
depende de la cantidad de
hemoglobina en la sangre de
PaO2
TRANSPORTE DE
OXÍGENO
UNA CONSIDERACIÓN IMPORTANTE EN EL TRANSPORTE DE
OXÍGENO, ES EL GASTO CARDIACO ES EL; QUE DETERMINA LA
CANTIDAD DE OXIGENO SUMINISTRADA AL CUERPO Y AFECTA LAS
PERFUSIONES PULMONAR Y TISULAR.
SI EL GASTO CARDIACO ES NORMAL, LA CANTIDAD DE OXIGENO
SUMINISTRADA AL CUERPO POR MINUTO ES NORMAL
TRANSPORTE DE DIÓXIDO
DE CARBONO
-Al mismo tiempo
que el oxígeno se
difunde de la
sangre al interior de
los tejidos, el CO2
se difunde de las
células tisulares a
la sangre y es
transportado a los
pulmones para su
excreción.
-La cantidad de CO2 en
transito es uno de los
mayores determinantes
del balance acibasico
del cuerpo.
- Por lo regular solo 6%
del CO2 venoso se
elimina en los
pulmones y permanece
lo suficiente en la
sangre arterial para
ejercer una presión de
40 mmHg.
-La mayor parte del
CO2 (90%) se
transporta por los
eritrocitos.
-La pequeña porción
(5%) permanece
disuelta en el plasma
es el factor critico
que determina el
desplazamiento de
CO2 dentro y fuera
de sangre.
CONTROL NEUROLÓGICO DE LA
VENTILACIÓN
El ritmo de la respiración
esta controlado por los
centros respiratorios en el
cerebro
Los centros inspiratorios y
espiratorios en el bulbo
raquídeo y la protuberancia
controlan la frecuencia y la
profundidad de la
ventilación.
El centro apnéusico en la
protuberancia inferior
estimula el centro
inspiratorio profundas y
prolongadas.
Se cree que los centros
neumotáxicos en la
protuberancia superior
controla el patrón de la
respiración.
GRUPOS DE RECEPTORES EN EL
CEREBRO
QUIMIORRECEPTORES
CENTRALES
-Localizados en el bulbo raquídeo
-Responden a cambios químicos
en el liquido cefalorraquídeo
-Envían un mensaje a los
pulmones para cambiar la
profundidad y luego la frecuencia
de la ventilación a fin de corregir el
desequilibrio
QUIMIORRECEPTORES
PERIFÉRICOS
Localizados en el cayado aórtico
como en las arterias carótidas
Responden primero a los
cambios en PaO2
Después ala presión parcial de
CO2 y el PH.
El reflejo de Hering-Brever se
activa por estiramiento de los
receptores alveolares.
AUSCULTACIÓN TORÁCICA
Introducción
• Los ruidos pulmonares los identificamos mediante la correcta
auscultación, parte del examen físico que se remonta a la
época de Hipócrates.
• Se convirtió en una práctica habitual con la invención del
fonendoscopio por René Laënnec en 1816.
• las técnicas modernas asistidas digitalmente han permitido un
análisis más preciso para el registro y análisis de los ruidos
pulmonares, favoreciendo la correlación entre índices
acústicos con mediciones de mecánica pulmonar.
CARACTERÍSTICAS DE LOS RUIDOS DE PERCUSIÓN
RUIDO INTENSIDAD
RELATIVA
TIMBRE DURACION EJEMPLO DE
LOCALIZACIÓN
EJEMPLOS
PLANO Suave agudo Corto Muslo Derrame
pleural grande
(quirotorax)
MATE Medio Medio Medio Hígado Neumonía
lobular
RE
SONANTE
Fuerte Bajo Largo Pulmón normal Bronquitis
crónica simple
HIPERR
RESONANTE
Muy fuerte Muy bajo Más largo Ninguno Enfisema
neumotórax
TIMPANICO fuerte Agudo* ** Burbuja de aire
gástrico
Neumotórax
grande
AUSCULTACIÓN
CARDIACA
AUSCULTACIÓN CARDIACA
ÚTIL:
 La valoración del flujo de aire a través del árbol bronquial.
 Para indagar la presencia de obstrucción por liquido o material solido en el pulmón.
 La enfermera ausculta por ruidos respiratorios normales, extraños y sonido de voces
RUIDOS RESPIRATORIOS NORMALES
DESCRIPCIÓN LOCALIZACIÓN ORIGEN
VESICULAR
Son suaves de tono bajo.
La fase inspiratoria es 3
veces más larga que la
espiratoria
Sobre la periferia del
pulmón (excepto sobre las
escapulas)
Generado por el aire que se
mueve a través de vías
aéreas más pequeñas
BRONCOVESICULAR
Son ruidos como un soplo
de tono e intensidad medio.
La fase inspiratoria es igual
a la espiratoria
Se oye mejor
interescapular post. Y ante.
Sobre los bronquiolos
laterales al esternón entre
el 1er
y 2do
espacio
intercostal
Generado por el aire que se
mueve a través de vías
aéreas grandes
TRAQUEAL
Ruidos inspiratorios y
espiratorios son casi
iguales
Muy intenso relativamente
alto
Sobre la tráquea en el
cuello
BRONQUIAL
Son fuertes de tono alto
con calidad hueca la
espiración es más larga que
la inspiración
Sobre e manubrio del
esternón
Generado por el aire que
se mueve a través de la
tráquea cerca de la pared
torácica
vesicular
broncovesicular
bronquial
SONIDO DE VOCES
DESCRIPCIÓN PECTORILOQUIA BRONCOFONÍA EGOFONÍA
El ruido escuchado
a través del
estetoscopio
cuando el paciente
habla se conoce
como resonancia
vocal. Los sonidos
de la voz suelen
valorarse al hacer
que el paciente
repita “treinta y
tres” o “eeee”
mientras la
enfermera ausculta
desde el ápice hasta
las bases
O cuchicheo en el
que se escuchan con
claridad las palabras
que parecen provenir
del punto auscultado,
se escucha en
presencia de
consolidación densa
de los pulmones.
Incremento
anormal en la
claridad de sonido
transmitido de la
voz
Cambio anormal en
el tono dela voz ,
sonidos
distorsionados
Se aprecia mejor cuando el paciente repite la letra E, la distorsión producida por
consolidación transforma el sonido en una A claramente escuchada en lugar de E.
Bronco y Ego fonia indican consolidación como neumonía o derrame pleural.
anormal
normal
RUIDOS ANORMALES
Una condición anormal que afecta el árbol traqueo bronquial
y los alveolos que puede producir ruidos extraños.
CAUSAS
• Bronquitis aguda
• Asma
• Bronquiectasia
• Bronquitis crónica
• Insuficiencia cardíaca congestiva
• Enfisema
• Enfermedad pulmonar intersticial
• Obstrucción de las vías respiratorias por un cuerpo extraño
• Neumonía
• Edema pulmonar
• Traqueo bronquitis
PREGUNTAS DE ANAMNESIS
Las preguntas pueden incluir:
• ¿Cuándo comenzó el ruido respiratorio?
• ¿Cuánto duró?
• ¿Cómo describiría su respiración?
• ¿Qué la mejora o la empeora?
• ¿Qué otros síntomas tiene?
finos
gruesos
estertores
Sibilancias:
• Correlación clinica: Sugiere estrechamiento u obstrucción de la VA cuando es
localizada (por ej. cuerpo extraño o tumor); asociado a obstrucción de la VA
generalizada y limitación al flujo aéreo cuando es ampliamente audible (por ej. asma,
EPOC); el grado de limitación al flujo aéreo es proporcional al número de vías aéreas
que generan sibilancias; puede estar ausente si el flujo aéreo es muy bajo (por ej.
asma severa o enfisema pulmonar).
• En el asma y EPOC , las sibilancias pueden ser auscultadas sobre todo el tórax,
haciendo difícil estimar su numero o magnitud
• En la crisis asmática, condición en la cual el flujo respiratorio es tan bajo que no
puede proporcionar la energía necesaria para generar sibilancias (o algún otro
sonido). Como consecuencia, el MP acompañante también está severamente reducido
o incluso ausente, creando un cuadro clínico conocido como “pulmón silente”. A
medida que disminuye la obstrucción y el flujo aéreo aumenta, tanto el MP como las
sibilancias reaparecen.
Roncus:
Características clínicas: Musical, baja tonalidad, similar al
ronquido; de menor intensidad que las sibilancias; puede ser
audible en fase inspiratoria, espiratoria o ambas.
Correlación clínica: Asociado con ruptura de laminas de
fluído y a colapsibilidad anormal de la VA; a menudo
desaparece con la tos, sugiriendo un rol de las secreciones en
la VA de mayor calibre; no es específica; es común en
obstrucción de la VA causada por engrosamiento o edema de
la mucosa o por broncoespasmo (por ej. bronquitis o EPOC).
Los roncus y las sibilancias probablemente comparten el
mismo mecanismo de generación, pero los roncus, a
diferencia de las sibilancias, pueden desaparecer con la tos, lo
cual sugiere que las secreciones bronquiales podrían jugar un
rol.
Aunque algunos clínicos aún usan el término roncus, algunos
prefieren el termino sibilancia de baja tonalidad.
EXAMENFISICO: TORÁX
Inspección Torácica
Palpación Torácica
Percusión Torácica
Auscultación Torácica
DATOS
OBJETIVOS
• Lesiones/Úlceras/Masas/etc
• Asimetria
• Color
• Turgencia
• Desnutrición
• Deformidades
• Tamaño
DATOS
SUBJETIVOS
• Dolor
• Líquido en estructuras internas
• Ventilación pulmonar
• Obstrucciones pulmonares
EXAMEN FISICO: TORÁX
DATOS
SUBJETIVOS
DATOS
OBJETIVOS
INSPECCIÓN
TORÁCICA
Configuracion del tórax
Toráx en Tonel
Ocurre como resultado de la
hiperinflacion de los
pulmones.
Toráx en Embudo
Ocurre cuando hay una
depresion en la parte mas
baja del esternòn.
Toráx de Paloma
Ocurre como resultado del
desplazamiento anterior del
esternón.
Cifoescoliosis
Se caracteriza por elevación
de la escápula y columna
vertebral correspondiente en
forma de S.
Patrones respiratorios y
frecuencia respiratoria
Ciertos patrones
respiratorios son
característicos de estados
específicos de una
enfermedad.
INSPECCIÓN TORÁCICA
TORÁX EN TONEL TORÁX EN
EMBUDO
TORÁX DE PALOMA CIFOESCOLIOSIS
FRECUENCIAY PROFUNDIDAD DELA RESPIRACIÓN
• Palpación directa con la
punta de los dedos (para
lesiones cutáneas y
masas cutáneas)
• Con el talón de la mano(
para masas mas
profundas o malestar
generalizado en el flanco o
costilla)
PALPACION
TORÁCICA
• Estimación de la
expansión torácica y
puede revelar
información significativa
acerca del movimiento
del tórax durante la
respiración.
Excursión
Respiratoria • Ruido generado por la
laringe que avanza de
forma distal a lo largo del
árbol bronquial, para
inducir un movimiento
resonante en la pared del
torácica.
Frémito Táctil
FRÉMITO TÁCTIL
PERCUSIÓN TORÁCICA
Pone en movimiento a la pared del tórax y las estructuras
subyacentes. lo que produce vibraciones audibles y táctiles.
PERCUSIÓN TORÁX POSTERIOR
La enfermera percute sobre la parte alta de cada hombro y
localiza la resonancia de los ápices pulmonares en una banda
de 5 cm de ancho; prosigue hacia abajo en el tórax posterior, y
percute las áreas simétricas a intervalos de 5 a 6 cm
PERCUSIÓN TORÁX ANTERIOR
La percusión se inicia en el área supraclavicular y prosigue
hacia abajo, desde un espacio intercostal al siguiente.
EXCURSIÓN DIAFRAGMÁTICA
La resonancia normal del pulmón se interrumpe en el
diafragma. La posición del diafragma es diferente
durante la inspiración y la espiración.
Durante la valoración, la enferma le indica al paciente
efectuar una respiración profunda y sostenerla en tanto
percute el diafragma en su máximo descenso; le indica
nuevamente al paciente efectuar una espiración completa y
sostenida , en tanto la enfermera percute de nuevo y baja
hacia la matidez del diafragma.
La máxima excursión del diafragma puede ser hasta de 8 a 10 cm
en varones jóvenes, altos y saludables, pero en la mayoría de
personas suele ser de 5 a 7 cm.
Por lo general, el diafragma está casi 2cm más alto a
la derecha debido a la posición del corazón y el
hígado arriba y abajo de los segmentos izquierdo y
derecho del diafragma, respectivamente.
AUSCULTACIÓN
TORÁCICA
RUIDOS RESPIRATORIOS
Los ruidos respiratorios
normales se distinguen en
áreas específicas del pulmón
y se identifican como ruidos
respiratorios vesiculares,
broncovesiculares y
bronquiales.
RUIDOS EXTRAÑOS
Se dividen en 2 categorías:
Ruidos discretos, no continuos
(estertores)
Ruidos musicales continuos
(Sibilancias)
SONIDOS DE VOCES
El ruido escuchado a través del
estetoscopio cuando el
paciente habla se conoce
como resonancia vocal.
Las vibraciones producidas en
la laringe se transmiten a la
pared del tórax a medida que
pasan a través de los
bronquios y el tejido alveolar.
La auscultación es útil en
al valoración del flujo de
aire a través del árbol
bronquial y para indagar
la presencia de
obstrucción por líquido o
material sólido en el
pulmón.
malestar torácico puede estar
vinculado con enfermedades
pulmonares o cardíacas.
SIGNOS Y SINTOMAS MÀS FRECUENTES QUE SE PRESENTAN EN
PACIENTES CON DISFUNCIONES RESPIRATORIAS
DOLOR TORÀCICO
DOLOR: Agudo, punzante o intermitente,
sordo, continuo o persistente.
Puede sentirse sobre el lado donde se
localiza el proceso patológico, puede
referirse a otra parte
Dolor Pleurìtico
CARACTERÌSTICAS DEL DOLOR PLURÌTICO:
Pleurìtis aguda: Dolor brusco o intenso en
región zona afectada (punzada).
Pleuritis mediastìnica: motiva molestias
retroesternales que irradia dolor en el cuello,
no agravados por la inspiración y tos.
Orienta a:
•Neumonía
•Abscesos
•Derrames pleurales
•Neumotórax
•Embolia Pulmonar
DISNEA
Es un síntoma común en trastornos
pulmonares(Sensación subjetiva) de respiración
difícil, falta de aire, aliento disminuido.
DISNEA SÙBITA
•En una persona sana puede indicar
neumotórax.
•Obstrucción respiratoria aguda.
•Reacción alérgica.
embolia pulmonar
traumatismo pulmonar,
derivación cardiopulmonar,
pueden indicar síndrome de
dificultad respiratoria aguda
ORTOPNEA:
Incapacidad para respirar con facilidad, excepto en posición
erecta
RESPIRACIÒN:
• RUIDOSA:
 estrechamiento de las vías aéreas
 una obstrucción localizada de un bronquio mayor por
un tumor o cuerpo extraño
• RUIDO DE TONO AGUDO:
 inspiración cuando alguien respira a través de las vías
aéreas altas parcialmente bloqueadas
IMPORTANTE
• Clasificar la intensidad de la disnea
• esfuerzo necesario para respirar
• gravedad de la falta de aliento.
SIBILANCIASsibilancias Relacionados
Sibilancias en general  Espiración
 inspiración según
la causa.
 Oscilación de la
pared bronquial
 Cambios en el
diámetro de vías
aéreas
 Bronquitis crónica
o bronquioectasia
Sibilancias sonoras
roncos
Sonidos retumbantes
profundos de tonos
bajos (espiración)
causados por aire en
movimiento a través
de conductos
traqueobronquiales
estrechos
Secreciones o tumor
TOS
Reflejo que protege a los
pulmones de la acumulación de
secreciones o la inhalación de
cuerpos extraños.
produce por:
 irritación de la membrana mucosa
 Proceso infeccioso
Irritante que flota en el aire
Su presencia o ausencia puede ser un indicio
diagnóstico porque algunos trastornos causan tos y
otros la suprimen, el reflejo de la tos puede
deteriorarse por la debilidad o parálisis de los
músculos respiratorios
Tos seca irriativa Caracterìstica de una infección
en las vìas respiratorias altas
de origen viral
Tos irriativa de tono agudo Causada de laringotraqueìtis
Tos de timbre agudo Lesión traqueal
Tos grave o variable Carcinoma broncogènico
Toser por la mañana con
producción de esputo
bronquitis
Tos que empora cuando se
adopta la posición supina
Goteo posnasal (rinosinusitis)
Toser después de ingerir
alimentos
Inspiraciòn de alimentos en el
árbol traqueobronquial.
Tos de inicio reciente Infección aguda
Hemoptisis
(Expectoración de sangre del conducto
respiratorio) es un síntoma de trastornos
pulmonares y cardíacos.
• Infección pulmonar.
• Carcinoma de pulmón.
• Anormalidades del corazón.
• Anormalidades de arteria o vena
pulmonares.
• Embolia e infarto pulmonar.
angiografía
torácica,
Radiografía de
tórax
 broncoscopia.
•historial y un examen físico
IMPORTANTE:
origen del sangrado
Al documentar un episodio de sangrado, la enfermera
considera los siguientes puntos:
• El esputo sanguinolento
• La sangre del pulmòn suele ser de color rojo
brillante, espumosa y mezclada con esputo.
(7,0)
• Si la hemorragia esta en el estómago, la
sangre se vomita ( hematemesis) en vez de
arrojarla en la tos).
CIANOSIS
Color azuloso de la piel, es un
indicador muy tardìo de hipoxia. La
presencia o ausencia de cianosis se
determina por la cantidad de
hemoglobina no oxigenada en la
sangre. La cianosis aparece cuando
existen al menos 5 g/dl de esta
hemoglobina circulante efectiva se
reduzca a dos tercios de la
concentración normal
ESTRIDOR
Es un sonido respiratorio anormal,
chillón y musical causado por un
bloqueo en la garganta o la laringe.
Generalmente se escucha al inhalar.
CAUSAS:
•ABSCESO EN LAS
AMIGDALAS
•LESIÒN DE LAS VÌAS
RESPIRATORIAS
•EPIGLOTITIS
•SECRECIONES
TIRAJE INTERCOSTAL
El tiraje intercostal se da
cuando los músculos entre
las costillas tiran hacia
dentro. El movimiento casi
siempre es un signo de que la
persona tiene un
problema respiratorio.
CAUSAS:
•ANAFILAXIA
•ASMA
•NEUMONIA
•CUERPO EXTRAÑO EN
LA TRAQUEA
•SINDROME DE
DIFICULTAD
RESPIRATORIA
DEFORMACIONES DEL TÒRAX
malformación de la pared anterior del tórax,
caracterizada por una profunda depresión del
esternón y alteración de las articulaciones
condroesternales inferiores. La malformación
es en la mayoría de los casos congénita
PECTUS CARINATUM
es una deformidad de la caja toràcica en la
que el pecho protuye en quilla de barco
Se trata mediante una
condroesternoplastia. La
condroesternoplastia es
una cirugía invasiva, que a
grandes rasgos, consiste
en fracturar el esternòn
para que se vuelva a
soldar en el ángulo
adecuado.
Sindrome de Poland
Es una enfermedad de
carácter raro y congènito y
en el que se ve afectado el
desarrollo muscular.
•hipoplasia o aplasia a
nivel muscular
• hipoplasia del tejido
subcutáneo
•hipoplasia del pulmón
ipsilateral
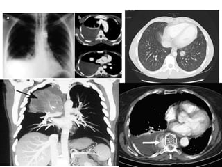
» RADIOGRAFÍA SISTEMÁTICA DE TORAX:
→ Incluye por regla general una proyección posteroanterior y otra
lateral.
→Rx en sentido anteroposterior en caso de px críticos
→ estudio diagnostico de las enfermedades del parénquima pulmonar,
la pleura y en menor medida las vías respiratorias y el mediastino.
→ Proyección en decúbito latera ayuda a la detección de liquido libre en
la pleura.
→ Proyecciones lordoticas permiten examinar mejor los vértices
pulmonares.
• Permite detectar
• Tumor pulmonar
• Neumonía
• Tuberculosis
ACTIVIDADES
• Antes de la radiografía, coméntele al
equipo médico si está o puede estar
embarazada.
• El metal puede causar imágenes
borrosas.
Se necesitará quitar al paciente todas las
joyas
• posiblemente deba usar una bata
hospitalaria.
» Tomografía computarizada:
→ofrece diversas ventajas sobre la rx de tórax:
1. Permite distinguir las densidades que se
superponen en una rx simple.
2. Define mejor las densidades de los tejidos y
separa pequeñas diferencias de densidad entre
estructuras vecinas
3. Permite evaluar el tamaño exacto de las lesiones
4. Identificación de zonas con densidad grasa o
calcificada en los nódulos pulmonares .
Permite evaluar el tamaño exacto de las lesiones en
los pulmones.
1. coágulos de sangre
2. hemorragias internas
ACTIVIDADES
• Si se utiliza un medio de contraste, se recomienda al paciente no
comer ni beber nada durante 4 a 6 horas antes del examen.
• Dado que es difícil para rayos X atravesar metal, se le solicitará
quitarse las joyas y ponerse una bata de hospital durante el estudio.
• Antes de recibir el medio de contraste, coméntele al proveedor de
atención si toma el medicamento para la diabetes metformina
(Glucophage). Las personas que toman este medicamento
posiblemente tengan que suspenderlo por un tiempo antes del
examen.
»RESONANCIA MAGNÉTICA:
→Es un examen de diagnostico por imágenes en el que se
utiliza campos magnéticos y ondas de radio para crear
imágenes la zona torácica.
→ Permite una visión menos detallada del parénquima pulmonar y
menor resolución espacial por lo que su utilidad es escasa.
→ se puede reconstruir en los planos sagital, coronal y transversal de
modo que la técnica es adecuada para obtener imágenes de
anomalías cercanas a los ápices pulmonares, columna vertebral y la
unión toracoabdominal.
SIRVE PARA DIAGNOSTICAR
→ Vasos sanguíneos anormales en los pulmones.
→ EPOC
→ ANOMALIAS BRONQUILAES
ACTIVIDADES
Debido a que el equipo para la resonancia magnética
contiene imanes potentes, no se permiten objetos de
metal dentro de la sala donde está el escáner tenemos
quitar
• Artículos como joyas, relojes, tarjetas de crédito y
audífonos pueden dañarse.
• Lapiceros, navajas y anteojos pueden salir volando a
través del cuarto.
• A usted se le puede solicitar no comer ni beber nada
durante un período de 4 a 6 horas antes del examen.
Antes del examen, dígale a su proveedor de atención médica
si usted tiene:
• Válvulas cardíacas artificiales.
»ECOGRAFIA:
→La energía ultrasónica se disipa en el aire por
ello la ecografía no ayuda al estudio del
parénquima pulmonar
→La ecografía endobronquial permite la
identificación y localización de alteraciones
cercanas alas paredes de las vías respiratorias o
en el interior del mediastino
→Detecta y localiza anomalías pleurales y suele
emplearse como guía para la extracción de
liquido pleural (toracocentesis)
ACTIVIDADES
• Puede beber agua (no otros líquidos).
• Si el paciente diabético y precisa alguna
medicación que haya que tomar con
alimentos y la hora de la cita no se ajusta a su
horario habitual de medicación, consulte con
su médico.
• El paciente tiene que estar en ayunas.
Inspección directa y el examen de la laringe,
tráquea y los bronquios a través de un
broncoscopio flexible de fibra óptica o rígido.
Examinar tejidos o recolectar secreciones
Determinar sitio y Extensión de proceso
Patológico
Diagnosticar sitios de sangrado ( origen de la
hemoptisis)
Retirar cuerpos extraños del árbol
traqueobronquial
Retirar secreciones que obstruyen el árbol
traqueobronquial
Destruir y escindir las lesiones
Intervenciones de enfermería
• No comer ni beber nada durante 6 a 12 horas
antes del examen.
• No tomar ibuprofeno, ácido acetilsalicílico
(aspirin) ni otros fármacos anticoagulantes antes
del procedimiento. Pregúntele al médico que
realizará la Broncoscopia cuándo debe suspender
estos fármacos.
• Hacer los arreglos pertinentes de transporte para
llegar y salir del hospital.
• Hacer los arreglos necesarios con relación al
trabajo, el cuidado de los niños y otras
obligaciones, ya que probablemente necesitará
descansar al día siguiente
Es una prueba diagnostica simple, económica
y eficaz para detectar casos infecciosos.
Usada generalmente para confirmar
diagnostico de pacientes con tuberculosis
Es necesaria la recolección de dos muestras:
 La primera muestra debe ser tomada en el
momento de la consulta (muestra inmediata)
 La segunda muestra la debe recolectar el
paciente en su casa por la mañana al despertar
(muestra matinal)
Intervenciones de Enfermería
1. Enjuague la boca con agua, pero no cepille
los dientes
2. Tosa profusamente y elimine el desgarro
directamente al interior del frasco de
Baciloscopia
3. Obtenga 3 a 5 mL de desgarro o esputo
4. Cierre muy bien el frasco de Baciloscopia,
una vez obtenida la muestra.
5. Traslade la muestra al laboratorio,
rápidamente. En caso contrario mantenga la
muestra en el refrigerador entre 2-8°C y
protegida de la luz. Nunca congelar.
Gases Arteriales
• Determinar el estado acido base del paciente
• Determinar cuan bien el pulmón elimina el
bióxido de carbono
• Determinar cuánto oxigeno está llevando los
pulmones a la corriente sanguínea
GAS Valor Indicador Enfermedad
PH
7.35 a
7.45
Determina la
acidez o la
alcalinidad en la
sangre
- Acidosis o Acidemia
+ Alcalosis o Alcalemia
PCO2
35 - 45
mmHg
Indica la presión
parcial de CO2 en
la sangre
- Hiperventilando
+ Hipoventilando
PO2
80 – 100
mmHg
Indica la presión
parcial del
Oxigeno en la
Sangre
Menos de 60mmHg
presenta insuficiencia
respiratoria
 Alcalosis el pulmón
trata de retener el CO2
para bajar el PH
 Acidosis el pulmón trata
de eliminar el CO2 para
subir el PH
GAS Valor Indicador Enfermedad
S. De O2
95 -
100%
Saturación de
Oxigeno en la
Sangre
+ 95 -90% Tratamiento
inmediato y
monitorización
+ 90% enfermo Grave, Eje.
Hipoxia Severa
+ 80% Intubación y
ventilación mecánica
+ Niños menores a 90%
Remitir directamente al
Hospital
HCO3
23 – 26
Meq/Lt
Niveles de
bicarbonato en la
Sangre
- Alcalosis, el riñón excretara
iones de bicarbonato para
restablecer el PH
+ Acidosis, el riñón retiene
iones de bicarbonato para
restablecer el PH
Intervenciones de Enfermería
 No hay una preparación especial. Si está
recibiendo oxigenoterapia, la concentración
de oxígeno debe permanecer constante
durante 20 minutos antes del examen.
 Explicar que se tomara una pequeña muestra
de sangre del paciente para dicha prueba
Es uno de los estudios de rutina de mayor
importancia, ya que la información que se
presenta aquí nos da una idea general del estado
del paciente, se encuentra dividida en dos series:
Serie roja
Serie Blanca
Plaquetas
Parámetro Valor Enfermedad
Hematocrito
Hombre: 42%-55%
Mujer: 38%-45%
- Anemia, hemorragia, ERC
+ Deshidratación, Hipoxia o
policitemia severa
Hemoglobina
Hombre:14.0-18.0 gr/dl
Mujer:12.0-16.0 gr/dl
- Anemia, sangrado, desnutrición,
sobrehidrtación
+ Cardiopatía congénita, Cor
pulmonar, fibrosis pulmonar,
Eritrocitos
Hombre: 4.0-6.2
millones/mm3
Mujer: 4.0-5.5
millones/mm3
- Anemia Hemorrágica o
enfermedad de la medula ósea
+ Fumadores, Diarreas
Parámetro Valor Enfermedad
Leucocitos 5.000- 10.000/mm3
- Leucopenia
+ Leucocitosis debido a una
infección
Plaquetas
150.000-
400.000/mm3
- Trombopenia y hemorragias
+ Leucemia Mieloide y
trombocitosis
Intervenciones de enfermería
• La realización de una biometría hemática no
requiere preparación especial; no obstante,
dicho estudio se suele practicar junto con una
medición de glucosa, examen que por sus
características debe hacerse en ayunas.
• También se aconseja que antes de llevar a
cabo el análisis se aclare al especialista si se ha
tomado algún medicamento.
• Explicar al paciente que para este examen se
tomara una pequeña muestra de sangre
Formula Leucocitaria
Es un análisis de sangre que mide el porcentaje
de cada tipo de glóbulo blanco (GB) que uno
tiene en la sangre y también revela si hay
algunas células inmaduras o anormales.
Relativa
(%)
Absoluta
Valores/mm
Neutrófilos 50 – 65 3000 – 5500
Bandas 0 – 5 0 – 450
Eosinófilos 0 – 6 0 – 540
Basófilos 0 – 2 0 – 180
Linfocitos 20 – 50 710 – 4530
Monocitos 4 – 8 140 720
Aumento Disminución
Neutrófilos
• Infección aguda
• Estrés agudo
• Eclampsia
• Gota
• Leucemia mielógena
• Artritis reumatoidea
• Fiebre reumática
• Tiroiditis
• Traumatismo
• Anemia aplásica
• Quimioterapia
• Gripe
• Radioterapia o exposición a la
radiación
• Infección viral
• Infección bacteriana grave y
generalizada
Linfocitos
• Infección bacteriana crónica
• Hepatitis infecciosa
• Mononucleosis infecciosa
• Leucemia linfocítica
• Mieloma múltiple
• Infección viral
(como paperas o sarampión)
• Quimioterapia
• Infección por VIH
• Leucemia
• Radioterapia o exposición a la
radiación
• Sepsis
• Uso de esteroides
Aumento Disminución
Monocitos
 Enfermedad inflamatoria crónica
 Leucemia
 Infección parasitaria
 Tuberculosis
 Infección viral (por ejemplo,
mononucleosis infecciosa,
paperas, sarampión)
Eosinófilos
• Enfermedad de Addison
• Reacción alérgica
• Cáncer
• Leucemia mieloide crónica
• Enfermedad vascular del colágeno
• Síndromes hipereosinofílicos
• Infección parasitaria
Basófilos
• Después de la esplenectomía
• Reacción alérgica
• Leucemia mieloide crónica
• Enfermedad vascular del colágeno
• Enfermedad mieloproliferativa
• Infección de varicela
• Infección aguda
• Cáncer
• Lesión grave
Intervenciones de enfermería
• No se necesita preparación especial.
• Explicar al paciente que para este examen se
tomara una pequeña muestra de sangre
PATRÓN
RESPIRATORIO
Disfunciones
Respiratoria
Afecciones que
incluyen vías
respiratorias
altas y bajas
• Limpieza ineficaz de
las vías aéreas
• Patrón respiratorio
ineficaz
• Deterioro en el
intercambio de gases
• Disnea.
• Cianosis.
• Tos productiva
con esputo/ sin
expectoración.
• Hipoxia
• Agitación
• Diaforesis.
• Actividad /
Reposo
• Seguridad /
Protección
• Confort.
Provoca
• Obstrucción del
Árbol Traqueal
• Deformaciones
de la Vías
respiratorias
• Traumatismos.
• Deformaciones
Oseas.
Afecciones que
incluyen vías
respiratorias
altas y bajas
• Actividad / Reposo
• Seguridad /
Protección
• Confort.
• Obstrucción del
Árbol Traqueal
• Deformaciones
de la Vías
respiratorias
• Traumatismos.
• Deformaciones
Oseas.
• Patrón respiratorio ineficaz r/ ansiedad, obesidad, hiperventilación,
dolor, lesión neurológica m/ disnea, alteraciones en la profundidad
respiratoria, alteración de los movimientos torácicos, bradipnea,
disminución de la ventilación por minuto, aleteo nasal, ortopnea, uso
de los músculos accesorios para respirar.
• Deterioro de la ventilación espontánea r/ fatiga de los músculos
respiratorios, factores metabólicos m/ disminución de la presión de
oxígeno (po2), disminución de la saturación de oxigeno (saO2), disnea,
aumento de la frecuencia cardiaca.
Uso PES- NANDA
• Riesgo de aspiración r/ depresión en el vaciado gástrico,
depresión del reflejo nauseoso y tusígeno, deterioro de la
deglución, traumatismo oral, traqueotomía.
• Deterioro de la mucosa oral r/ factores mecánicos, barreras para
el autocuidado oral m/ palidez de la mucosa, úlceras orales,
nódulos, masas rojas, exudado purulento.
• Deterioro de la comunicación verbal r/ barreras físicas m/ disnea,
verbalización inadecuada.
BIBLIOGRAFÍA
• Brunner Surddart , (2005); Enfermería Clínico – Quirúrgico, Ed., 10ma.,
Interamericana, México
• Dullio Gomis, 2010, Manual de Enfermeria teoría + práctica, Edit., Akadia,
Argentina
• Kozier B. Erb G., Blais K., Wilkinson. Fundamentos de Enfermería, conceptos,
proceso y práctica. 5ta. Edic. Edit., McGraw-Hill. Interamericana
• JOHNSON Marion, Moorhead Sue et., al., (2012) Vínculos de NOC y NIC a
NANDA – I y diagnósticos médicos Soporte para el razonamiento crítico y la
calidad de cuidados. 3era. Edic., Edit., Elsevier Mosby, España.
• NANDA Internacional (2013), Diagnósticos Enfermeros: Definiciones y
Clasificación 2012 – 2014. Elsevier. España
• Uribe, Meza, Adolfo, (2010) manual para el examen físico normal y métodos
de exploración , Ed. Biológica, Cali Colombia
• Fundamentos de la Auscultación Pulmonar
• Abraham Bohadana, MD, Gabriel Izbicki, MD and Steve S. Kraman, MD.
• N Engl J Med 2014;370:744-‐51.

Expo semio respirat

  • 1.
    UNIVERSIDAD DE GUAYAQUIL FACULTADDE CIENCIA MÈDICAS ESCUELA DE ENFERMERÌA ASIGNATURA: SEMIOLOGIA DOCENTE: Lic. SEMIOLOGIA INTEGRANTES: subgrupo 1 Tercer semestre GRUPO G 3 PERÌODO 2016 – 2017 • CRISTHIAN TAPIA • JEAN CARLOS LOPEZ • KAREN VERDEZOTO • HYLEIN YAGUAL • RUDY EGUIGUREN • VALENTINA OYOLA
  • 2.
    Desempeña r el rolde enfermería acorde a las necesidade s del paciente con calidad y calidez.
  • 3.
    Personal de Enfermería Fortaleceren el Aprendizaje Significativo • Liderar atención de calidad en todos los escenarios. • Evitar el Desconocimiento Todo Fármaco solo actúa en presencia de una dificultad respiratoria. Tarea Fundamental Para Recordar
  • 4.
    MUCOLÍTICOS EXPECTORANTES BALSÁMICOS ANTI INFLAMATORI OS BRONCODILATADORES OPIÁCEOSCISTEINAS AMBROXOL FÁRMACOS QUE INTERVIENEN EN EL SISTEMA RESPIRATORIO ANTITUSÍGENOS ANTIASMÁTICOS
  • 5.
    SISTEMA RESPIRATORIO Anatomía Función Patología Vías Resp. Altas Vías Resp. Bajas •Nariz • Senos Paranasales • Faringe • Amígdalas • Adenoides • Laringe • Tráquea • Pulmones • Bronquiol os • Bronquios • Alveolos • Transporte de O2 • Respiración • Ventilación • Asma • Tos • Bronqui tis
  • 6.
    El aparato respiratorio esel sistema del organismo que asegura las funciones respiratorias , mediante el intercambio de gases. Permite aspirar el aire para llevar el oxígeno a los órganos y a los tejidos , y después eliminar el dióxido de carbono. APARATO RESPIRATORIO
  • 7.
    SE COMPONE DELAS VIAS RESPIRATORIAS ALTAS Y BAJAS, EN CONJUNTO LAS DOS VIAS ESTAN ENCARGADAS DE LA VENTILACIÓN (MOVIMIENTO DEL AIRE DENTRO Y FUERA DE LAS VIAS AEREAS) CALIENTA Y FILTRA EL AIRE INSPIRADO DE MODO QUE LAS VIAS RESPIRATORIAS BAJAS (LOS PULMONES) PUEDAN REALIZAR EL INTERCAMBIO DE GASES FUNCIONES EL APARATO RESPIRATORIO TRABAJA EN CONJUNTO CON EL APARATO CARDIOVASCULAR
  • 8.
    VIAS RESPIRATORIAS ALTAS LASESTRUCTURAS DE LAS VIAS AEREAS ALTAS CONSTAN DE NARIZ, SENOS PARANASALES Y CONDUCTOS NASALES FARINGE, AMIGDALAS Y ADENOIDES, LARINGE Y TRÁQUEA
  • 9.
    NARIZ LA NARIZ SIRVECOMO UN CONDUCTO PARA PASAR EL AIRE DESDE Y HACIA LOS PULMONES, FILTRAN IMPUREZAS Y HUMIDIFICA Y ENTIBIAN EL AIRE INHALADO. SE COMPONE DE UNA PORCION EXTERNA Y UNA PORCION INTERNA. PORCION EXTERNA SOBRESALE DE LA CARA Y ESTÁ APOYADA POR LOS HUESOS Y LOS CARTILAGOS NASALES. LAS FOSAS NASALES ANTERIORES (NARINAS) SON LAS ABERTURAS HACIA EL EXTERIOR DE LAS CAVIDADES NASALES
  • 10.
    PORCION INTERNA Es unacavidad hueca separada en la cavidad nasal derecha e izquierda separada por una estrecha división vertical, el tabique. Cada cavidad nasal esta dividida en 3 conductos o pasajes por 3 cornetes (conchas) proyectados desde las paredes laterales. Debido a sus curvaturas estos huesos incrementan la superficie mucosa de la membrana de los conductos nasales y obstruyen ligeramente el flujo de aire El aire que entran en las narinas se desvía hacia arriba de la bóveda nasal y sigue hasta alcanzar la nasofaringe Se pone en contacto con una superficie extensa de membrana mucosa húmeda tibia ricamente vascularizada y ciliada que atrapa prácticamente el polvo y los microorganismos
  • 12.
    SENOS PARANASALES INCLUYEN 4 PARESDE CAVIDADES OSEAS REVESTIDAS CON MUCOSA NASAL Y EPITELIO PULMONAR CILIADO SEUDOESTRATIFICADO . ESTOS ESPACIOS DE AIRE POR UNA SERIE DE CONDUCTOS QUE DRENAN EN LA CAVIDAD NASAL. RECIBEN SU NOMBRE DE ACUERDO SU UBICACIÓN: SENO FRONTAL, SENO ETMOIDAL, SENO ESFENOIDAL Y SENO MAXILAR SU FUNCION ES SERVIR COMO CAMARA DE RESONANCIA AL HABLAR
  • 14.
    FARINGE LA FARINGE OGARGANTA ES UNA ESTRUCTURA TUBULAR QUE CONECTA LAS CAVIDADES NASALES Y ORALES CON LA LARINGE. SE DIVIDEN EN 3 REGIONES: NASOFARINGE: SE LOCALIZA EN LA PARTE POSTERIOR DE LA NARIZ Y ARRIBA DEL PALADAR BLANDO OROFARINGE: ALOJA LA AMÍGDALA PALANTINA LARINGOFARINGE: SE EXTIENDEN DEL HUESO HIODES AL CARTILAGO CRICOIDES. LA EPIGLOTIS FORMA LA ENTRADA DE LA FARINGE LA FARINGE FUNCIONA COMO UN CONDUCTO DE PASO A LAS VIAS RESPIRATORIAS Y DIGESTIVAS
  • 16.
    AMIGDALAS Y ADENOIDES • LASADENOIDES O AMIGDALAS FARINGIAS SE LOCALIZAN EN EL TECHO DE LA NASOFARINGE. • LAS AMIGDALAS, LA ADENOIDES Y OTROS TEJIDOS LINFOIDES RODEAN LA GARGANTA. • ESTAS ESTRUCTURAS SON IMPORTANTES ENLACES EN LA CADENA DE GANGLIOS LINFATICOS QUE PROTEJEN AL CUERPO DE LA INVASION POR MICROORGANISMOS QUE PENETRAN POR LA NARIZ Y LA GARGANTA
  • 18.
    LARINGE LA LARINGE UORGANO DE LA VOZ, ES UNA ESTRUCTURA CARTILAGINOSA REVESTIDA DE EPITELIO QUE CONECTA LA FARINGE Y LA TRAQUEA. LA PRINCIPAL FUNCION DE LA LARINGE ES LA VOCALIZACION. PROTEJE LAS VIAS AEREAS BAJAS DE SUSTANCIAS EXTRAÑAS Y FACILITA LA TOS. CON FRECUENCIA SE REFIERE COMO LA CAJA DE LA VOZ Y CONSTA LO SIGUIENTE:
  • 19.
    GLOTIS UNA VALVULA DE ALETA FORMADAPOR UN CARTÍLAGO QUE CUBRE LA ABERTURA HACIA LA LARINGE DURANTE LA DEGLUCIÓN ABERTURA ENTRE LAS CUERDAS VOCALES EN LA LARINGE CARTILAGO TIROIDES LA MAYOR DE LAS ESTRUCTURAS CARTILAGINOSAS; UAN PARTE DE ESTE CARTÍLAGO, FORMA LA MANZANA DE ADAN CARTILAGO CRICOIDES EL ÚNICO ANILLO CARTILAGINOSO COMPLETO EN LA LARINGE (LOCALIZADO ABAJO DEL TIROIDES) CARTILAGO TIROIDES USADO CON EL CARTILAGO TIROIDES EN EL MOVIMIENTO DE LAS CUERDAS VOCALES GLOTIS EPIGLOTIS CARTILAGO TIROIDES CARTILAGO CRICOIDES CARTILAGO ARITENOIDE S
  • 21.
    TRAQUEA LA TRÁQUEA OTUBO DE AIRE SE COMPONE DE MÚSCULO LISO CON ANILLOS DE CARTÍLAGO EN FORMA DE C A INTERVALOS REGULARES. LOS ANILLOS CARTILAGINOSOS ESTAN INCOMPLETOS EN LA SUPERFICIE POSTERIOR Y CONFORMAN FIRMEZA A LA PARED DE LA TRÁQUEA, LO CUAL EVITA QUE SE COLAPSE. SIRVE COMO CONDUCTO ENTRE EL LARINGE Y LOS BRONQUIOS
  • 22.
    VIAS RESPIRATORIAS BAJAS Constade: pulmones que contienen estructuras bronquiales y alveolares necesarias para el intercambio gaseoso Ventilación: requiere el movimiento de las paredes de la caja torácica y de su suelo diafragmático El efecto de estos movimientos es para incrementar y disminuir de forma alternada la capacidad del tórax Cuando la incapacidad de tórax aumenta el aire entra a través de la tráquea (inspiración), debido al descenso del tórax los pulmones se inflan Cuando la pared torácica y el diafragma regresan a sus posiciones previas (espiraciones) los pulmones se retraen y obligan al aire a salir través de los bronquios y la tráquea. Fase inspiratoria Durante los 2 ultimos tercios. No necesita energia pero consume mucho en EPOC Fase espiratoria Durante el 1er tercio de ciclo respiratorio, requiere energía PULMONES
  • 23.
    PLEURA Membrana serosa que recubrelos pulmones y pared del tórax Parietal reviste el tórax Visceral Recubre los pulmones Liquido pleural Liquido que se encuentra entre la pleura parietal y visceral, sirve de lubricante a las membranas.
  • 24.
    Mediastino Se encuentra enmedio del tórax Entre los sacos pleurales que contienen los pulmones Se extiende dese el esternón hasta la columna vertebral. Contiene todo el tejido torácico que esta por fuera. Corazón, timo, ciertos vasos sanguíneos, aorta esófago, vena cava inferior
  • 25.
    LÓBULOS PULMONARES DERECHO 3 lóbulos Sup –med - inf. IZQUIERDO 2 lobulos Sup. E inf. Cada lóbulo se subdivide además en 2 o 5 segmentos separados por fisuras que son extensiones de la pleura
  • 27.
    Bronquios lobulares Bronquios segmentarios Bronquiolosterminales Bronquiolos respiratorios Bronquios sub segmentarios Bronquiolos 3 en pulmón derecho – 2 en pulmón izquierdo 10 en pulmón der. 8 en pulmón izq. Rodeados por tejido conectivo que contiene arterias, linfáticos y nervios. Desprovistos de cartílagos en sus paredes. Contienen glándulas submucosas productoras de moco que cubre el revestimiento interno de las vías aéreas. Sin glándulas mucosas ni cilios Alvéolos Considerados conductos transicionales de paso entre las vías aéreas de conducción y las vías aéreas de intercambio gaseoso. Intercambio de CO2 y O2 300 millones de alveolos en el pulmón dispuestos en 15 – 20 racimos hematosis
  • 28.
    BRONQUIOS BRONQUIOLOS Revestidos porcélulas ciliadas que generan un movimiento oscilante continuo que aleje a el moco y las sustancias extrañas de los pulmones hacia la laringe
  • 29.
    FUNCIÓN DEL APARATO RESPIRATORIO Lascélulas del cuerpo derivan la energía que necesitan de la oxidación de los carbohidratos, grasas y proteínas. A igual q cualquier tipo de combustión este proceso requiere oxigeno. TRANSPORTE DE OXÍGENO RESPIRACIÓN VENTILACIÓN
  • 30.
    RESPIRACIÓN La respiración noes solamente una actividad de los pulmones. Todo el organismo respira a través del pulmón. Quien captura el oxígeno y quien expulsa el dióxido de carbono es todo el organismo. Sus miles de millones de células consumen oxígeno incansablemente para liberar de los glúcidos (azúcares) la energía necesaria e indispensable para realizar sus actividades.
  • 31.
    Transporte de oxigeno Lascélulas están en intimo contacto con los capilares esto hay permite que haya un paso o intercambio fácil entre el oxigeno y dióxido de carbono. El oxigeno se difunde desde los capilares, a través de la pared capilar al liquido intersticial, donde las mitocondrias lo usan para la respiración celular.
  • 32.
    VENTILACIÓN Factores físicos quegobiernan El flujo de aire hacia dentro y fuera de los pulmones se conocen como la mecánica de a ventilación • Variaciones en la presión de aire Durante la inspiración, el movimiento del diafragma y otros músculos de la respiración aumenta las dimensiones de la cavidad torácica , por lo tanto reduce la presión en el interior del tórax a un nivel mas bajo que la presión Atmosférica.
  • 33.
    MECÁNICADE LAVENTILACIÓN VARIACIONES EN LA PRESIONARTERIAL RESISTENCIA EN LAS VÍAS AÉREAS DISTENSIBILIDAD EL AIRE FLUYE DESDE UNA REGIÓN DE PRESIÓN MAS ALTA UNA REGIÓN DE MENOR PRESIÓN. ESTA DETERMINADA EN PRIMER LUGAR POR EL RADIO O EL TAMAÑO DE LAS VÍAS AÉREAS A TRAVÉS DE LAS CUALES EL AIRE FLUYE. ES LA ELASTICIDAD Y LA EXPANSIBILIDAD DE LOS PULMONES Y LAS ESTRUCTURAS TORÁCICAS.
  • 34.
  • 36.
    • Es elproceso mediante el cual se intercambian el oxigeno y el dióxido de carbono en la interfaz aire-sangre. DIFUSIÓN • Es el flujo de sangre actual a través de la circulación pulmonar • La circulación pulmonar se considera un sistema de baja presión porque la sistólica arteria pulmonar es 20 a 30 mm Hg y la diastólica 5 a 15 mm Hg. PERFUSIÓN DIFUSIÓN Y PERFUSIÓN PULMONAR
  • 37.
    EQUILIBRIO Y DESEQUILIBRIO ENTREVENTILACIÓN Y PERFUSIÓN El equilibrio ocurre en un intercambio adecuado de gases depende de una relación ventilación-perfusión. El desequilibrio ocurre como resultado de una ventilación inadecuada. Existe cuatro posibles estados: relación normal, baja, alta y ausencia de ventilación y perfusión. El desequilibrio causa cortocircuito de la sangre, que resulta en hipoxia
  • 38.
    INTERCAMBIO DE GASES El aireque respiramos es una mezcla gaseosa que consiste sobre todo de nitrógeno (78,6%) y oxigeno (20,8%), con trazas de dióxido de carbono (0,04%), vapor de agua (0,06%), helio y argón. La presión parcial es la presión ejercida por cada tipo de gas en una mezcla de gases. Cuando un gas se expone a un liquido, el gas se disuelve en el liquido hasta alcanzar un equilibrio. En el pulmón, la sangre venosa y el oxigeno alveolar están separados por una membrana alveolar muy delgada, el oxigeno se difunde a través de esta membrana pasa disolverse en la sangre hasta que la presión parcial del oxigeno en la sangre sea igual que en los alveolos. PRESION PARCIAL DE LOS GASES
  • 39.
    EFECTOS DE LA PRESIONSOBRE EL TRANSPORTE DE OXIGENO El transporte de oxigeno dióxido de carbono e simultaneo, ya sea disueltos e la sangre o combinados en lo eritrocitos. Cada 100 mL de sangre arterial normal transporta 0,3 mL de oxigeno disuelto físicamente en el plasma y 20 mL de oxigeno combinado con hemoglobina. La cantidad de oxigeno que se combina con la hemoglobina depende de la cantidad de hemoglobina en la sangre de PaO2
  • 40.
    TRANSPORTE DE OXÍGENO UNA CONSIDERACIÓNIMPORTANTE EN EL TRANSPORTE DE OXÍGENO, ES EL GASTO CARDIACO ES EL; QUE DETERMINA LA CANTIDAD DE OXIGENO SUMINISTRADA AL CUERPO Y AFECTA LAS PERFUSIONES PULMONAR Y TISULAR. SI EL GASTO CARDIACO ES NORMAL, LA CANTIDAD DE OXIGENO SUMINISTRADA AL CUERPO POR MINUTO ES NORMAL
  • 41.
    TRANSPORTE DE DIÓXIDO DECARBONO -Al mismo tiempo que el oxígeno se difunde de la sangre al interior de los tejidos, el CO2 se difunde de las células tisulares a la sangre y es transportado a los pulmones para su excreción. -La cantidad de CO2 en transito es uno de los mayores determinantes del balance acibasico del cuerpo. - Por lo regular solo 6% del CO2 venoso se elimina en los pulmones y permanece lo suficiente en la sangre arterial para ejercer una presión de 40 mmHg. -La mayor parte del CO2 (90%) se transporta por los eritrocitos. -La pequeña porción (5%) permanece disuelta en el plasma es el factor critico que determina el desplazamiento de CO2 dentro y fuera de sangre.
  • 42.
    CONTROL NEUROLÓGICO DELA VENTILACIÓN El ritmo de la respiración esta controlado por los centros respiratorios en el cerebro Los centros inspiratorios y espiratorios en el bulbo raquídeo y la protuberancia controlan la frecuencia y la profundidad de la ventilación. El centro apnéusico en la protuberancia inferior estimula el centro inspiratorio profundas y prolongadas. Se cree que los centros neumotáxicos en la protuberancia superior controla el patrón de la respiración.
  • 43.
    GRUPOS DE RECEPTORESEN EL CEREBRO QUIMIORRECEPTORES CENTRALES -Localizados en el bulbo raquídeo -Responden a cambios químicos en el liquido cefalorraquídeo -Envían un mensaje a los pulmones para cambiar la profundidad y luego la frecuencia de la ventilación a fin de corregir el desequilibrio QUIMIORRECEPTORES PERIFÉRICOS Localizados en el cayado aórtico como en las arterias carótidas Responden primero a los cambios en PaO2 Después ala presión parcial de CO2 y el PH. El reflejo de Hering-Brever se activa por estiramiento de los receptores alveolares.
  • 44.
  • 45.
    Introducción • Los ruidospulmonares los identificamos mediante la correcta auscultación, parte del examen físico que se remonta a la época de Hipócrates. • Se convirtió en una práctica habitual con la invención del fonendoscopio por René Laënnec en 1816. • las técnicas modernas asistidas digitalmente han permitido un análisis más preciso para el registro y análisis de los ruidos pulmonares, favoreciendo la correlación entre índices acústicos con mediciones de mecánica pulmonar.
  • 47.
    CARACTERÍSTICAS DE LOSRUIDOS DE PERCUSIÓN RUIDO INTENSIDAD RELATIVA TIMBRE DURACION EJEMPLO DE LOCALIZACIÓN EJEMPLOS PLANO Suave agudo Corto Muslo Derrame pleural grande (quirotorax) MATE Medio Medio Medio Hígado Neumonía lobular RE SONANTE Fuerte Bajo Largo Pulmón normal Bronquitis crónica simple HIPERR RESONANTE Muy fuerte Muy bajo Más largo Ninguno Enfisema neumotórax TIMPANICO fuerte Agudo* ** Burbuja de aire gástrico Neumotórax grande
  • 48.
  • 49.
    AUSCULTACIÓN CARDIACA ÚTIL:  Lavaloración del flujo de aire a través del árbol bronquial.  Para indagar la presencia de obstrucción por liquido o material solido en el pulmón.  La enfermera ausculta por ruidos respiratorios normales, extraños y sonido de voces
  • 50.
    RUIDOS RESPIRATORIOS NORMALES DESCRIPCIÓNLOCALIZACIÓN ORIGEN VESICULAR Son suaves de tono bajo. La fase inspiratoria es 3 veces más larga que la espiratoria Sobre la periferia del pulmón (excepto sobre las escapulas) Generado por el aire que se mueve a través de vías aéreas más pequeñas BRONCOVESICULAR Son ruidos como un soplo de tono e intensidad medio. La fase inspiratoria es igual a la espiratoria Se oye mejor interescapular post. Y ante. Sobre los bronquiolos laterales al esternón entre el 1er y 2do espacio intercostal Generado por el aire que se mueve a través de vías aéreas grandes TRAQUEAL Ruidos inspiratorios y espiratorios son casi iguales Muy intenso relativamente alto Sobre la tráquea en el cuello BRONQUIAL Son fuertes de tono alto con calidad hueca la espiración es más larga que la inspiración Sobre e manubrio del esternón Generado por el aire que se mueve a través de la tráquea cerca de la pared torácica vesicular broncovesicular bronquial
  • 51.
    SONIDO DE VOCES DESCRIPCIÓNPECTORILOQUIA BRONCOFONÍA EGOFONÍA El ruido escuchado a través del estetoscopio cuando el paciente habla se conoce como resonancia vocal. Los sonidos de la voz suelen valorarse al hacer que el paciente repita “treinta y tres” o “eeee” mientras la enfermera ausculta desde el ápice hasta las bases O cuchicheo en el que se escuchan con claridad las palabras que parecen provenir del punto auscultado, se escucha en presencia de consolidación densa de los pulmones. Incremento anormal en la claridad de sonido transmitido de la voz Cambio anormal en el tono dela voz , sonidos distorsionados Se aprecia mejor cuando el paciente repite la letra E, la distorsión producida por consolidación transforma el sonido en una A claramente escuchada en lugar de E. Bronco y Ego fonia indican consolidación como neumonía o derrame pleural. anormal normal
  • 52.
    RUIDOS ANORMALES Una condiciónanormal que afecta el árbol traqueo bronquial y los alveolos que puede producir ruidos extraños. CAUSAS • Bronquitis aguda • Asma • Bronquiectasia • Bronquitis crónica • Insuficiencia cardíaca congestiva • Enfisema • Enfermedad pulmonar intersticial • Obstrucción de las vías respiratorias por un cuerpo extraño • Neumonía • Edema pulmonar • Traqueo bronquitis PREGUNTAS DE ANAMNESIS Las preguntas pueden incluir: • ¿Cuándo comenzó el ruido respiratorio? • ¿Cuánto duró? • ¿Cómo describiría su respiración? • ¿Qué la mejora o la empeora? • ¿Qué otros síntomas tiene?
  • 53.
  • 55.
    Sibilancias: • Correlación clinica:Sugiere estrechamiento u obstrucción de la VA cuando es localizada (por ej. cuerpo extraño o tumor); asociado a obstrucción de la VA generalizada y limitación al flujo aéreo cuando es ampliamente audible (por ej. asma, EPOC); el grado de limitación al flujo aéreo es proporcional al número de vías aéreas que generan sibilancias; puede estar ausente si el flujo aéreo es muy bajo (por ej. asma severa o enfisema pulmonar). • En el asma y EPOC , las sibilancias pueden ser auscultadas sobre todo el tórax, haciendo difícil estimar su numero o magnitud • En la crisis asmática, condición en la cual el flujo respiratorio es tan bajo que no puede proporcionar la energía necesaria para generar sibilancias (o algún otro sonido). Como consecuencia, el MP acompañante también está severamente reducido o incluso ausente, creando un cuadro clínico conocido como “pulmón silente”. A medida que disminuye la obstrucción y el flujo aéreo aumenta, tanto el MP como las sibilancias reaparecen.
  • 56.
    Roncus: Características clínicas: Musical,baja tonalidad, similar al ronquido; de menor intensidad que las sibilancias; puede ser audible en fase inspiratoria, espiratoria o ambas. Correlación clínica: Asociado con ruptura de laminas de fluído y a colapsibilidad anormal de la VA; a menudo desaparece con la tos, sugiriendo un rol de las secreciones en la VA de mayor calibre; no es específica; es común en obstrucción de la VA causada por engrosamiento o edema de la mucosa o por broncoespasmo (por ej. bronquitis o EPOC). Los roncus y las sibilancias probablemente comparten el mismo mecanismo de generación, pero los roncus, a diferencia de las sibilancias, pueden desaparecer con la tos, lo cual sugiere que las secreciones bronquiales podrían jugar un rol. Aunque algunos clínicos aún usan el término roncus, algunos prefieren el termino sibilancia de baja tonalidad.
  • 58.
    EXAMENFISICO: TORÁX Inspección Torácica PalpaciónTorácica Percusión Torácica Auscultación Torácica
  • 59.
    DATOS OBJETIVOS • Lesiones/Úlceras/Masas/etc • Asimetria •Color • Turgencia • Desnutrición • Deformidades • Tamaño DATOS SUBJETIVOS • Dolor • Líquido en estructuras internas • Ventilación pulmonar • Obstrucciones pulmonares EXAMEN FISICO: TORÁX
  • 60.
  • 61.
    INSPECCIÓN TORÁCICA Configuracion del tórax Toráxen Tonel Ocurre como resultado de la hiperinflacion de los pulmones. Toráx en Embudo Ocurre cuando hay una depresion en la parte mas baja del esternòn. Toráx de Paloma Ocurre como resultado del desplazamiento anterior del esternón. Cifoescoliosis Se caracteriza por elevación de la escápula y columna vertebral correspondiente en forma de S. Patrones respiratorios y frecuencia respiratoria Ciertos patrones respiratorios son característicos de estados específicos de una enfermedad.
  • 62.
  • 63.
    TORÁX EN TONELTORÁX EN EMBUDO
  • 64.
    TORÁX DE PALOMACIFOESCOLIOSIS
  • 65.
  • 66.
    • Palpación directacon la punta de los dedos (para lesiones cutáneas y masas cutáneas) • Con el talón de la mano( para masas mas profundas o malestar generalizado en el flanco o costilla) PALPACION TORÁCICA • Estimación de la expansión torácica y puede revelar información significativa acerca del movimiento del tórax durante la respiración. Excursión Respiratoria • Ruido generado por la laringe que avanza de forma distal a lo largo del árbol bronquial, para inducir un movimiento resonante en la pared del torácica. Frémito Táctil
  • 69.
  • 70.
    PERCUSIÓN TORÁCICA Pone enmovimiento a la pared del tórax y las estructuras subyacentes. lo que produce vibraciones audibles y táctiles. PERCUSIÓN TORÁX POSTERIOR La enfermera percute sobre la parte alta de cada hombro y localiza la resonancia de los ápices pulmonares en una banda de 5 cm de ancho; prosigue hacia abajo en el tórax posterior, y percute las áreas simétricas a intervalos de 5 a 6 cm PERCUSIÓN TORÁX ANTERIOR La percusión se inicia en el área supraclavicular y prosigue hacia abajo, desde un espacio intercostal al siguiente.
  • 72.
    EXCURSIÓN DIAFRAGMÁTICA La resonancianormal del pulmón se interrumpe en el diafragma. La posición del diafragma es diferente durante la inspiración y la espiración. Durante la valoración, la enferma le indica al paciente efectuar una respiración profunda y sostenerla en tanto percute el diafragma en su máximo descenso; le indica nuevamente al paciente efectuar una espiración completa y sostenida , en tanto la enfermera percute de nuevo y baja hacia la matidez del diafragma. La máxima excursión del diafragma puede ser hasta de 8 a 10 cm en varones jóvenes, altos y saludables, pero en la mayoría de personas suele ser de 5 a 7 cm. Por lo general, el diafragma está casi 2cm más alto a la derecha debido a la posición del corazón y el hígado arriba y abajo de los segmentos izquierdo y derecho del diafragma, respectivamente.
  • 73.
    AUSCULTACIÓN TORÁCICA RUIDOS RESPIRATORIOS Los ruidosrespiratorios normales se distinguen en áreas específicas del pulmón y se identifican como ruidos respiratorios vesiculares, broncovesiculares y bronquiales. RUIDOS EXTRAÑOS Se dividen en 2 categorías: Ruidos discretos, no continuos (estertores) Ruidos musicales continuos (Sibilancias) SONIDOS DE VOCES El ruido escuchado a través del estetoscopio cuando el paciente habla se conoce como resonancia vocal. Las vibraciones producidas en la laringe se transmiten a la pared del tórax a medida que pasan a través de los bronquios y el tejido alveolar. La auscultación es útil en al valoración del flujo de aire a través del árbol bronquial y para indagar la presencia de obstrucción por líquido o material sólido en el pulmón.
  • 78.
    malestar torácico puedeestar vinculado con enfermedades pulmonares o cardíacas. SIGNOS Y SINTOMAS MÀS FRECUENTES QUE SE PRESENTAN EN PACIENTES CON DISFUNCIONES RESPIRATORIAS DOLOR TORÀCICO DOLOR: Agudo, punzante o intermitente, sordo, continuo o persistente. Puede sentirse sobre el lado donde se localiza el proceso patológico, puede referirse a otra parte
  • 79.
    Dolor Pleurìtico CARACTERÌSTICAS DELDOLOR PLURÌTICO: Pleurìtis aguda: Dolor brusco o intenso en región zona afectada (punzada). Pleuritis mediastìnica: motiva molestias retroesternales que irradia dolor en el cuello, no agravados por la inspiración y tos. Orienta a: •Neumonía •Abscesos •Derrames pleurales •Neumotórax •Embolia Pulmonar
  • 81.
    DISNEA Es un síntomacomún en trastornos pulmonares(Sensación subjetiva) de respiración difícil, falta de aire, aliento disminuido. DISNEA SÙBITA •En una persona sana puede indicar neumotórax. •Obstrucción respiratoria aguda. •Reacción alérgica. embolia pulmonar traumatismo pulmonar, derivación cardiopulmonar, pueden indicar síndrome de dificultad respiratoria aguda
  • 82.
    ORTOPNEA: Incapacidad para respirarcon facilidad, excepto en posición erecta RESPIRACIÒN: • RUIDOSA:  estrechamiento de las vías aéreas  una obstrucción localizada de un bronquio mayor por un tumor o cuerpo extraño • RUIDO DE TONO AGUDO:  inspiración cuando alguien respira a través de las vías aéreas altas parcialmente bloqueadas IMPORTANTE • Clasificar la intensidad de la disnea • esfuerzo necesario para respirar • gravedad de la falta de aliento.
  • 83.
    SIBILANCIASsibilancias Relacionados Sibilancias engeneral  Espiración  inspiración según la causa.  Oscilación de la pared bronquial  Cambios en el diámetro de vías aéreas  Bronquitis crónica o bronquioectasia Sibilancias sonoras roncos Sonidos retumbantes profundos de tonos bajos (espiración) causados por aire en movimiento a través de conductos traqueobronquiales estrechos Secreciones o tumor
  • 84.
    TOS Reflejo que protegea los pulmones de la acumulación de secreciones o la inhalación de cuerpos extraños. produce por:  irritación de la membrana mucosa  Proceso infeccioso Irritante que flota en el aire Su presencia o ausencia puede ser un indicio diagnóstico porque algunos trastornos causan tos y otros la suprimen, el reflejo de la tos puede deteriorarse por la debilidad o parálisis de los músculos respiratorios
  • 85.
    Tos seca irriativaCaracterìstica de una infección en las vìas respiratorias altas de origen viral Tos irriativa de tono agudo Causada de laringotraqueìtis Tos de timbre agudo Lesión traqueal Tos grave o variable Carcinoma broncogènico Toser por la mañana con producción de esputo bronquitis Tos que empora cuando se adopta la posición supina Goteo posnasal (rinosinusitis) Toser después de ingerir alimentos Inspiraciòn de alimentos en el árbol traqueobronquial. Tos de inicio reciente Infección aguda
  • 86.
    Hemoptisis (Expectoración de sangredel conducto respiratorio) es un síntoma de trastornos pulmonares y cardíacos. • Infección pulmonar. • Carcinoma de pulmón. • Anormalidades del corazón. • Anormalidades de arteria o vena pulmonares. • Embolia e infarto pulmonar. angiografía torácica, Radiografía de tórax  broncoscopia. •historial y un examen físico
  • 87.
    IMPORTANTE: origen del sangrado Aldocumentar un episodio de sangrado, la enfermera considera los siguientes puntos: • El esputo sanguinolento • La sangre del pulmòn suele ser de color rojo brillante, espumosa y mezclada con esputo. (7,0) • Si la hemorragia esta en el estómago, la sangre se vomita ( hematemesis) en vez de arrojarla en la tos).
  • 89.
    CIANOSIS Color azuloso dela piel, es un indicador muy tardìo de hipoxia. La presencia o ausencia de cianosis se determina por la cantidad de hemoglobina no oxigenada en la sangre. La cianosis aparece cuando existen al menos 5 g/dl de esta hemoglobina circulante efectiva se reduzca a dos tercios de la concentración normal
  • 90.
    ESTRIDOR Es un sonidorespiratorio anormal, chillón y musical causado por un bloqueo en la garganta o la laringe. Generalmente se escucha al inhalar. CAUSAS: •ABSCESO EN LAS AMIGDALAS •LESIÒN DE LAS VÌAS RESPIRATORIAS •EPIGLOTITIS •SECRECIONES
  • 91.
    TIRAJE INTERCOSTAL El tirajeintercostal se da cuando los músculos entre las costillas tiran hacia dentro. El movimiento casi siempre es un signo de que la persona tiene un problema respiratorio. CAUSAS: •ANAFILAXIA •ASMA •NEUMONIA •CUERPO EXTRAÑO EN LA TRAQUEA •SINDROME DE DIFICULTAD RESPIRATORIA
  • 92.
    DEFORMACIONES DEL TÒRAX malformaciónde la pared anterior del tórax, caracterizada por una profunda depresión del esternón y alteración de las articulaciones condroesternales inferiores. La malformación es en la mayoría de los casos congénita
  • 93.
    PECTUS CARINATUM es unadeformidad de la caja toràcica en la que el pecho protuye en quilla de barco Se trata mediante una condroesternoplastia. La condroesternoplastia es una cirugía invasiva, que a grandes rasgos, consiste en fracturar el esternòn para que se vuelva a soldar en el ángulo adecuado.
  • 94.
    Sindrome de Poland Esuna enfermedad de carácter raro y congènito y en el que se ve afectado el desarrollo muscular. •hipoplasia o aplasia a nivel muscular • hipoplasia del tejido subcutáneo •hipoplasia del pulmón ipsilateral
  • 96.
    » RADIOGRAFÍA SISTEMÁTICADE TORAX: → Incluye por regla general una proyección posteroanterior y otra lateral. →Rx en sentido anteroposterior en caso de px críticos → estudio diagnostico de las enfermedades del parénquima pulmonar, la pleura y en menor medida las vías respiratorias y el mediastino. → Proyección en decúbito latera ayuda a la detección de liquido libre en la pleura. → Proyecciones lordoticas permiten examinar mejor los vértices pulmonares. • Permite detectar • Tumor pulmonar • Neumonía • Tuberculosis
  • 97.
    ACTIVIDADES • Antes dela radiografía, coméntele al equipo médico si está o puede estar embarazada. • El metal puede causar imágenes borrosas. Se necesitará quitar al paciente todas las joyas • posiblemente deba usar una bata hospitalaria.
  • 99.
    » Tomografía computarizada: →ofrecediversas ventajas sobre la rx de tórax: 1. Permite distinguir las densidades que se superponen en una rx simple. 2. Define mejor las densidades de los tejidos y separa pequeñas diferencias de densidad entre estructuras vecinas 3. Permite evaluar el tamaño exacto de las lesiones 4. Identificación de zonas con densidad grasa o calcificada en los nódulos pulmonares . Permite evaluar el tamaño exacto de las lesiones en los pulmones. 1. coágulos de sangre 2. hemorragias internas
  • 100.
    ACTIVIDADES • Si seutiliza un medio de contraste, se recomienda al paciente no comer ni beber nada durante 4 a 6 horas antes del examen. • Dado que es difícil para rayos X atravesar metal, se le solicitará quitarse las joyas y ponerse una bata de hospital durante el estudio. • Antes de recibir el medio de contraste, coméntele al proveedor de atención si toma el medicamento para la diabetes metformina (Glucophage). Las personas que toman este medicamento posiblemente tengan que suspenderlo por un tiempo antes del examen.
  • 102.
    »RESONANCIA MAGNÉTICA: →Es unexamen de diagnostico por imágenes en el que se utiliza campos magnéticos y ondas de radio para crear imágenes la zona torácica. → Permite una visión menos detallada del parénquima pulmonar y menor resolución espacial por lo que su utilidad es escasa. → se puede reconstruir en los planos sagital, coronal y transversal de modo que la técnica es adecuada para obtener imágenes de anomalías cercanas a los ápices pulmonares, columna vertebral y la unión toracoabdominal. SIRVE PARA DIAGNOSTICAR → Vasos sanguíneos anormales en los pulmones. → EPOC → ANOMALIAS BRONQUILAES
  • 103.
    ACTIVIDADES Debido a queel equipo para la resonancia magnética contiene imanes potentes, no se permiten objetos de metal dentro de la sala donde está el escáner tenemos quitar • Artículos como joyas, relojes, tarjetas de crédito y audífonos pueden dañarse. • Lapiceros, navajas y anteojos pueden salir volando a través del cuarto. • A usted se le puede solicitar no comer ni beber nada durante un período de 4 a 6 horas antes del examen. Antes del examen, dígale a su proveedor de atención médica si usted tiene: • Válvulas cardíacas artificiales.
  • 105.
    »ECOGRAFIA: →La energía ultrasónicase disipa en el aire por ello la ecografía no ayuda al estudio del parénquima pulmonar →La ecografía endobronquial permite la identificación y localización de alteraciones cercanas alas paredes de las vías respiratorias o en el interior del mediastino →Detecta y localiza anomalías pleurales y suele emplearse como guía para la extracción de liquido pleural (toracocentesis)
  • 106.
    ACTIVIDADES • Puede beberagua (no otros líquidos). • Si el paciente diabético y precisa alguna medicación que haya que tomar con alimentos y la hora de la cita no se ajusta a su horario habitual de medicación, consulte con su médico. • El paciente tiene que estar en ayunas.
  • 109.
    Inspección directa yel examen de la laringe, tráquea y los bronquios a través de un broncoscopio flexible de fibra óptica o rígido.
  • 110.
    Examinar tejidos orecolectar secreciones Determinar sitio y Extensión de proceso Patológico Diagnosticar sitios de sangrado ( origen de la hemoptisis)
  • 111.
    Retirar cuerpos extrañosdel árbol traqueobronquial Retirar secreciones que obstruyen el árbol traqueobronquial Destruir y escindir las lesiones
  • 112.
    Intervenciones de enfermería •No comer ni beber nada durante 6 a 12 horas antes del examen. • No tomar ibuprofeno, ácido acetilsalicílico (aspirin) ni otros fármacos anticoagulantes antes del procedimiento. Pregúntele al médico que realizará la Broncoscopia cuándo debe suspender estos fármacos. • Hacer los arreglos pertinentes de transporte para llegar y salir del hospital. • Hacer los arreglos necesarios con relación al trabajo, el cuidado de los niños y otras obligaciones, ya que probablemente necesitará descansar al día siguiente
  • 113.
    Es una pruebadiagnostica simple, económica y eficaz para detectar casos infecciosos. Usada generalmente para confirmar diagnostico de pacientes con tuberculosis
  • 114.
    Es necesaria larecolección de dos muestras:  La primera muestra debe ser tomada en el momento de la consulta (muestra inmediata)  La segunda muestra la debe recolectar el paciente en su casa por la mañana al despertar (muestra matinal)
  • 116.
    Intervenciones de Enfermería 1.Enjuague la boca con agua, pero no cepille los dientes 2. Tosa profusamente y elimine el desgarro directamente al interior del frasco de Baciloscopia 3. Obtenga 3 a 5 mL de desgarro o esputo 4. Cierre muy bien el frasco de Baciloscopia, una vez obtenida la muestra. 5. Traslade la muestra al laboratorio, rápidamente. En caso contrario mantenga la muestra en el refrigerador entre 2-8°C y protegida de la luz. Nunca congelar.
  • 117.
    Gases Arteriales • Determinarel estado acido base del paciente • Determinar cuan bien el pulmón elimina el bióxido de carbono • Determinar cuánto oxigeno está llevando los pulmones a la corriente sanguínea
  • 118.
    GAS Valor IndicadorEnfermedad PH 7.35 a 7.45 Determina la acidez o la alcalinidad en la sangre - Acidosis o Acidemia + Alcalosis o Alcalemia PCO2 35 - 45 mmHg Indica la presión parcial de CO2 en la sangre - Hiperventilando + Hipoventilando PO2 80 – 100 mmHg Indica la presión parcial del Oxigeno en la Sangre Menos de 60mmHg presenta insuficiencia respiratoria  Alcalosis el pulmón trata de retener el CO2 para bajar el PH  Acidosis el pulmón trata de eliminar el CO2 para subir el PH
  • 119.
    GAS Valor IndicadorEnfermedad S. De O2 95 - 100% Saturación de Oxigeno en la Sangre + 95 -90% Tratamiento inmediato y monitorización + 90% enfermo Grave, Eje. Hipoxia Severa + 80% Intubación y ventilación mecánica + Niños menores a 90% Remitir directamente al Hospital HCO3 23 – 26 Meq/Lt Niveles de bicarbonato en la Sangre - Alcalosis, el riñón excretara iones de bicarbonato para restablecer el PH + Acidosis, el riñón retiene iones de bicarbonato para restablecer el PH
  • 120.
    Intervenciones de Enfermería No hay una preparación especial. Si está recibiendo oxigenoterapia, la concentración de oxígeno debe permanecer constante durante 20 minutos antes del examen.  Explicar que se tomara una pequeña muestra de sangre del paciente para dicha prueba
  • 121.
    Es uno delos estudios de rutina de mayor importancia, ya que la información que se presenta aquí nos da una idea general del estado del paciente, se encuentra dividida en dos series: Serie roja Serie Blanca Plaquetas
  • 122.
    Parámetro Valor Enfermedad Hematocrito Hombre:42%-55% Mujer: 38%-45% - Anemia, hemorragia, ERC + Deshidratación, Hipoxia o policitemia severa Hemoglobina Hombre:14.0-18.0 gr/dl Mujer:12.0-16.0 gr/dl - Anemia, sangrado, desnutrición, sobrehidrtación + Cardiopatía congénita, Cor pulmonar, fibrosis pulmonar, Eritrocitos Hombre: 4.0-6.2 millones/mm3 Mujer: 4.0-5.5 millones/mm3 - Anemia Hemorrágica o enfermedad de la medula ósea + Fumadores, Diarreas
  • 123.
    Parámetro Valor Enfermedad Leucocitos5.000- 10.000/mm3 - Leucopenia + Leucocitosis debido a una infección Plaquetas 150.000- 400.000/mm3 - Trombopenia y hemorragias + Leucemia Mieloide y trombocitosis
  • 124.
    Intervenciones de enfermería •La realización de una biometría hemática no requiere preparación especial; no obstante, dicho estudio se suele practicar junto con una medición de glucosa, examen que por sus características debe hacerse en ayunas. • También se aconseja que antes de llevar a cabo el análisis se aclare al especialista si se ha tomado algún medicamento. • Explicar al paciente que para este examen se tomara una pequeña muestra de sangre
  • 125.
    Formula Leucocitaria Es unanálisis de sangre que mide el porcentaje de cada tipo de glóbulo blanco (GB) que uno tiene en la sangre y también revela si hay algunas células inmaduras o anormales.
  • 126.
    Relativa (%) Absoluta Valores/mm Neutrófilos 50 –65 3000 – 5500 Bandas 0 – 5 0 – 450 Eosinófilos 0 – 6 0 – 540 Basófilos 0 – 2 0 – 180 Linfocitos 20 – 50 710 – 4530 Monocitos 4 – 8 140 720
  • 127.
    Aumento Disminución Neutrófilos • Infecciónaguda • Estrés agudo • Eclampsia • Gota • Leucemia mielógena • Artritis reumatoidea • Fiebre reumática • Tiroiditis • Traumatismo • Anemia aplásica • Quimioterapia • Gripe • Radioterapia o exposición a la radiación • Infección viral • Infección bacteriana grave y generalizada Linfocitos • Infección bacteriana crónica • Hepatitis infecciosa • Mononucleosis infecciosa • Leucemia linfocítica • Mieloma múltiple • Infección viral (como paperas o sarampión) • Quimioterapia • Infección por VIH • Leucemia • Radioterapia o exposición a la radiación • Sepsis • Uso de esteroides
  • 128.
    Aumento Disminución Monocitos  Enfermedadinflamatoria crónica  Leucemia  Infección parasitaria  Tuberculosis  Infección viral (por ejemplo, mononucleosis infecciosa, paperas, sarampión) Eosinófilos • Enfermedad de Addison • Reacción alérgica • Cáncer • Leucemia mieloide crónica • Enfermedad vascular del colágeno • Síndromes hipereosinofílicos • Infección parasitaria Basófilos • Después de la esplenectomía • Reacción alérgica • Leucemia mieloide crónica • Enfermedad vascular del colágeno • Enfermedad mieloproliferativa • Infección de varicela • Infección aguda • Cáncer • Lesión grave
  • 129.
    Intervenciones de enfermería •No se necesita preparación especial. • Explicar al paciente que para este examen se tomara una pequeña muestra de sangre
  • 130.
  • 131.
    Disfunciones Respiratoria Afecciones que incluyen vías respiratorias altasy bajas • Limpieza ineficaz de las vías aéreas • Patrón respiratorio ineficaz • Deterioro en el intercambio de gases • Disnea. • Cianosis. • Tos productiva con esputo/ sin expectoración. • Hipoxia • Agitación • Diaforesis. • Actividad / Reposo • Seguridad / Protección • Confort. Provoca • Obstrucción del Árbol Traqueal • Deformaciones de la Vías respiratorias • Traumatismos. • Deformaciones Oseas. Afecciones que incluyen vías respiratorias altas y bajas • Actividad / Reposo • Seguridad / Protección • Confort. • Obstrucción del Árbol Traqueal • Deformaciones de la Vías respiratorias • Traumatismos. • Deformaciones Oseas.
  • 133.
    • Patrón respiratorioineficaz r/ ansiedad, obesidad, hiperventilación, dolor, lesión neurológica m/ disnea, alteraciones en la profundidad respiratoria, alteración de los movimientos torácicos, bradipnea, disminución de la ventilación por minuto, aleteo nasal, ortopnea, uso de los músculos accesorios para respirar. • Deterioro de la ventilación espontánea r/ fatiga de los músculos respiratorios, factores metabólicos m/ disminución de la presión de oxígeno (po2), disminución de la saturación de oxigeno (saO2), disnea, aumento de la frecuencia cardiaca. Uso PES- NANDA
  • 134.
    • Riesgo deaspiración r/ depresión en el vaciado gástrico, depresión del reflejo nauseoso y tusígeno, deterioro de la deglución, traumatismo oral, traqueotomía. • Deterioro de la mucosa oral r/ factores mecánicos, barreras para el autocuidado oral m/ palidez de la mucosa, úlceras orales, nódulos, masas rojas, exudado purulento. • Deterioro de la comunicación verbal r/ barreras físicas m/ disnea, verbalización inadecuada.
  • 135.
    BIBLIOGRAFÍA • Brunner Surddart, (2005); Enfermería Clínico – Quirúrgico, Ed., 10ma., Interamericana, México • Dullio Gomis, 2010, Manual de Enfermeria teoría + práctica, Edit., Akadia, Argentina • Kozier B. Erb G., Blais K., Wilkinson. Fundamentos de Enfermería, conceptos, proceso y práctica. 5ta. Edic. Edit., McGraw-Hill. Interamericana • JOHNSON Marion, Moorhead Sue et., al., (2012) Vínculos de NOC y NIC a NANDA – I y diagnósticos médicos Soporte para el razonamiento crítico y la calidad de cuidados. 3era. Edic., Edit., Elsevier Mosby, España. • NANDA Internacional (2013), Diagnósticos Enfermeros: Definiciones y Clasificación 2012 – 2014. Elsevier. España • Uribe, Meza, Adolfo, (2010) manual para el examen físico normal y métodos de exploración , Ed. Biológica, Cali Colombia • Fundamentos de la Auscultación Pulmonar • Abraham Bohadana, MD, Gabriel Izbicki, MD and Steve S. Kraman, MD. • N Engl J Med 2014;370:744-‐51.

Notas del editor

  • #13 EPITELIO NASAL:
  • #106 Introduccion de la sonda ecografica por un broncoscopio… complemeto util de la broncoscopia