DAVID EDUARDO CORTÉS SIERRA
DEFINICIÓN
 Masa quística de tejido
pulmonar ectópico no
funcionante.
 Sin comunicación
normal con ATB
 Nutrida por vasos
anormales
EPIDEMIOLOGÍA
 Incidencia baja (0,15-
6,4%)
 2 a 3 veces más frecuente
en el sexo masculino
 Intralobares (75%) y
extralobares (25%).
¿POR QUÉ SE PRODUCE?
 Arteria Pulmonar.
 Desarrollo del botón
pulmonar.
 Primordio pulmonar
accesorio (Gerle, 1968)
 SI: lesión adquirida por
infección repetida?
CLASIFICACIÓN
 Intralobar: Rodeado de
parénquima pulmonar
normal.
 Venas pulmonares
 Extralobar: Tiene saco
pleural propio. Unido al
mediastino por un
pedículo, puede
comunicarse con el tubo
digestivo.
 Vena ácigos
LOCALIZACIÓN
 Preferentemente región
basal posterior de
hemitórax izquierdo.
 Puede estar ubicado en
la región abdominal
SECUESTRO INTRALOBAR
 Aorta torácica-65%
 Drenaje venoso: Venas
Pulmonares.
 Segmento basal posterior
del LII 66%
 Se comunica con el árbol
bronquial en un 17%.
SECUESTRO EXTRALOBAR
 Lóbulo de Rokitansky.
 Aorta Abdominal
 Drenaje Venoso
Sistémico
 Lóbulo inferior
izquierdo: 90%.
 4:1 más en masculino.
 Hernia diafragmática y
otras malformaciones
CLÍNICA
INTRALOBAR EXTRALOBAR
 1/3 antes de los diez años.
 Neumonías recurrentes en
la misma
 Tos productiva, fiebre,
hemoptisis, dolor torácico,
enfisema, neumotórax, y
hemotórax
 Generalmente
asintomático.
 Se sospecha por Rx.
 Se asocia con: Atresia
bronquial
 Duplicación de colon
 Anomalías vertebrales
cervicales
DIAGNÓSTICO
INTRALOBAR EXTRALOBAR
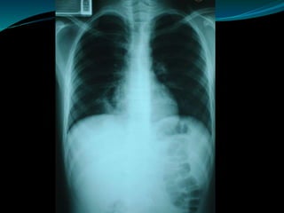
 La radiografía de tórax va a
mostrar una masa sólida,
multiquística o quística,
frecuentemente
posteromedial y en los
lóbulos inferiores.
 Densidad más uniforme,
puede ser oval, fusiforme,
generalmente basal a
izquierda.
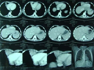
OTRAS IMÁGENES
 LA TAC puede lograr
sospecha
 La Angio-TAC pulmonar
confirma al diagnóstico.
 Angiografía y el
Ecodoppler color, que
pueden mostrar la
irrigación sistémica del
secuestro.
OTRAS IMÁGENES
DIAGNÓSTICO DIFERENCIAL
 Quiste Broncogénico.
 Carcinoma cavitado.
 Infarto pulmonar.
 Bronquiectasias
quísticas.
 Nocardiosis.
 Actinomicosis.
TRATAMIENTO
 Quirúrgico, resección del
lóbulo
 Embolización selectiva
TOS CRÓNICA

Secuestro Pulmonar

  • 1.
  • 2.
    DEFINICIÓN  Masa quísticade tejido pulmonar ectópico no funcionante.  Sin comunicación normal con ATB  Nutrida por vasos anormales
  • 3.
    EPIDEMIOLOGÍA  Incidencia baja(0,15- 6,4%)  2 a 3 veces más frecuente en el sexo masculino  Intralobares (75%) y extralobares (25%).
  • 4.
    ¿POR QUÉ SEPRODUCE?  Arteria Pulmonar.  Desarrollo del botón pulmonar.  Primordio pulmonar accesorio (Gerle, 1968)  SI: lesión adquirida por infección repetida?
  • 5.
    CLASIFICACIÓN  Intralobar: Rodeadode parénquima pulmonar normal.  Venas pulmonares  Extralobar: Tiene saco pleural propio. Unido al mediastino por un pedículo, puede comunicarse con el tubo digestivo.  Vena ácigos
  • 6.
    LOCALIZACIÓN  Preferentemente región basalposterior de hemitórax izquierdo.  Puede estar ubicado en la región abdominal
  • 7.
    SECUESTRO INTRALOBAR  Aortatorácica-65%  Drenaje venoso: Venas Pulmonares.  Segmento basal posterior del LII 66%  Se comunica con el árbol bronquial en un 17%.
  • 8.
    SECUESTRO EXTRALOBAR  Lóbulode Rokitansky.  Aorta Abdominal  Drenaje Venoso Sistémico  Lóbulo inferior izquierdo: 90%.  4:1 más en masculino.  Hernia diafragmática y otras malformaciones
  • 9.
    CLÍNICA INTRALOBAR EXTRALOBAR  1/3antes de los diez años.  Neumonías recurrentes en la misma  Tos productiva, fiebre, hemoptisis, dolor torácico, enfisema, neumotórax, y hemotórax  Generalmente asintomático.  Se sospecha por Rx.  Se asocia con: Atresia bronquial  Duplicación de colon  Anomalías vertebrales cervicales
  • 10.
    DIAGNÓSTICO INTRALOBAR EXTRALOBAR  Laradiografía de tórax va a mostrar una masa sólida, multiquística o quística, frecuentemente posteromedial y en los lóbulos inferiores.  Densidad más uniforme, puede ser oval, fusiforme, generalmente basal a izquierda.
  • 12.
    OTRAS IMÁGENES  LATAC puede lograr sospecha  La Angio-TAC pulmonar confirma al diagnóstico.  Angiografía y el Ecodoppler color, que pueden mostrar la irrigación sistémica del secuestro.
  • 16.
  • 17.
    DIAGNÓSTICO DIFERENCIAL  QuisteBroncogénico.  Carcinoma cavitado.  Infarto pulmonar.  Bronquiectasias quísticas.  Nocardiosis.  Actinomicosis.
  • 18.
    TRATAMIENTO  Quirúrgico, reseccióndel lóbulo  Embolización selectiva
  • 19.