Misael Fuentes Padrón
  También sean llamados glóbulos blancos son
  un conjunto heterogéneo de células
  sanguíneas que son los efectores celulares de
  la respuesta inmunitaria
 Se originan en la médula ósea y en el tejido
  linfático.
 son  células móviles que se encuentran en
  la sangre.
 A diferencia de los eritrocitos (glóbulos
  rojos), no contienen pigmentos, por lo que se
  les califica de glóbulos blancos.
 Son células con núcleo, mitocondrias y
  otros orgánulos celulares. Son capaces de
  moverse libremente mediante seudópodos.
 Su tiempo de vida varía desde algunas horas,
  meses y hasta años.
 Según la forma del núcleo se clasifican en:
 Leucocitos con núcleo sin lóbulos o
  mononucleares:
    Linfocitos
    Monocitos
 Leucocitos
           con núcleo lobulado o
 polimorfonucleares:
    Neutrófilos
    Basófilos
    Eosinófilos
 Los linfocitos son un tipo
  de leucocito (glóbulo blanco) representan
  del 24 a 32% del total en
  la sangre periférica.
 Presentan un gran núcleo esférico que se tiñe
  de violeta-azul y en su citoplasma
  frecuentemente se observa como un anillo
  periférico de color azul.
 Poseen un borde delgado de citoplasma que
  contienen algunas mitocondrias, ribosomas
  libres y un pequeño aparato de Golgi.
 Loslinfocitos B son los leucocitos de los
 cuales depende la inmunidad mediada
 por anticuerpos con actividad específica de
 fijación de antígenos. Las células B, que
 constituyen un 5 a 15% del total
 de linfocitos.
Detectan antígenos proteicos
 colaboradores: Se les denomina
  colaboradores porque están involucrados en
  la activación y dirección de otras células
  inmunitarias.
 Killers: No tienen marcadores característicos.
  Participan en la inmunidad, con la capacidad
  de reconocer lo "propio" y también tienen
  propiedades líticas.
 Los  monocitos son un tipo de glóbulos
  blancos representa del 4 al 8% de
  los leucocitos en la sangre.
 Los monocitos se generan en la médula
  ósea y después viajan por la sangre, para
  luego emigrar a diferentes tejidos
  como hígado, bazo, pulmones, ganglios
  linfáticos, huesos etc.
 Su principal función es la de fagocitar, es
  decir, comerse a diferentes
  microorganismos o restos celulares.
 Losneutrófilos, denominados también
 o polimorfonucleares (PMN), son glóbulos
 blancos de tipo granulocito. Es el tipo
 de leucocito más abundante de la sangre en
 el ser humano, representando el 45-75%
 Su periodo de vida media es corto, durando
 horas o algunos días. Su función principal es
 la fagocitosis de bacterias y hongos.
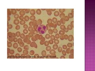
 Los basófilos son un
  tipo de leucocito, el
  menos abundante.
  Tiene núcleo
  irregular, difícil de
  ver por la
  granulación basófila
  que lo cubre casi
  siempre.
 Los basófilos son los
  responsables del
  inicio de la respuesta
  alérgica.
 Un eosinófilo es un leucocito de
  tipo granulocito pequeño derivado de
  la médula ósea.
 Estas proteínas granulares son responsables
  de muchas funciones proinflamatorias,
  principalmente en la patogénesis de las
  enfermedades alérgicas,
  como célula efectora
  de hipersensibilidad inmediata, así como en
  la muerte de parásitos.
 Unade las enzimas más importantes que
 contienen sus gránulos es la histaminasa, que
 se encarga regular la respuesta alérgica.
Globulos blancos

Globulos blancos

  • 1.
  • 2.
     Tambiénsean llamados glóbulos blancos son un conjunto heterogéneo de células sanguíneas que son los efectores celulares de la respuesta inmunitaria  Se originan en la médula ósea y en el tejido linfático.
  • 3.
     son células móviles que se encuentran en la sangre.  A diferencia de los eritrocitos (glóbulos rojos), no contienen pigmentos, por lo que se les califica de glóbulos blancos.  Son células con núcleo, mitocondrias y otros orgánulos celulares. Son capaces de moverse libremente mediante seudópodos.  Su tiempo de vida varía desde algunas horas, meses y hasta años.
  • 4.
     Según laforma del núcleo se clasifican en:  Leucocitos con núcleo sin lóbulos o mononucleares:  Linfocitos  Monocitos  Leucocitos con núcleo lobulado o polimorfonucleares:  Neutrófilos  Basófilos  Eosinófilos
  • 5.
     Los linfocitosson un tipo de leucocito (glóbulo blanco) representan del 24 a 32% del total en la sangre periférica.  Presentan un gran núcleo esférico que se tiñe de violeta-azul y en su citoplasma frecuentemente se observa como un anillo periférico de color azul.  Poseen un borde delgado de citoplasma que contienen algunas mitocondrias, ribosomas libres y un pequeño aparato de Golgi.
  • 7.
     Loslinfocitos Bson los leucocitos de los cuales depende la inmunidad mediada por anticuerpos con actividad específica de fijación de antígenos. Las células B, que constituyen un 5 a 15% del total de linfocitos.
  • 8.
    Detectan antígenos proteicos colaboradores: Se les denomina colaboradores porque están involucrados en la activación y dirección de otras células inmunitarias.  Killers: No tienen marcadores característicos. Participan en la inmunidad, con la capacidad de reconocer lo "propio" y también tienen propiedades líticas.
  • 9.
     Los monocitos son un tipo de glóbulos blancos representa del 4 al 8% de los leucocitos en la sangre.  Los monocitos se generan en la médula ósea y después viajan por la sangre, para luego emigrar a diferentes tejidos como hígado, bazo, pulmones, ganglios linfáticos, huesos etc.  Su principal función es la de fagocitar, es decir, comerse a diferentes microorganismos o restos celulares.
  • 11.
     Losneutrófilos, denominadostambién o polimorfonucleares (PMN), son glóbulos blancos de tipo granulocito. Es el tipo de leucocito más abundante de la sangre en el ser humano, representando el 45-75%  Su periodo de vida media es corto, durando horas o algunos días. Su función principal es la fagocitosis de bacterias y hongos.
  • 13.
     Los basófilosson un tipo de leucocito, el menos abundante. Tiene núcleo irregular, difícil de ver por la granulación basófila que lo cubre casi siempre.  Los basófilos son los responsables del inicio de la respuesta alérgica.
  • 14.
     Un eosinófiloes un leucocito de tipo granulocito pequeño derivado de la médula ósea.  Estas proteínas granulares son responsables de muchas funciones proinflamatorias, principalmente en la patogénesis de las enfermedades alérgicas, como célula efectora de hipersensibilidad inmediata, así como en la muerte de parásitos.
  • 15.
     Unade lasenzimas más importantes que contienen sus gránulos es la histaminasa, que se encarga regular la respuesta alérgica.