Hernia hiatal
Zaira Trejo Sanchez R1 IDyT
Herniación del estómago a través del hiato esofágico
• obesidad
• aumento de presión intraluminal
• edad avanzada, múltiples
embarazos, historia de cirugía
esofágica, gastrectomía parcial o
total y desordenes del sistema
esquelético asociados a
descalcificación
FACTORES DE RIESGO
•10% DE POBLACIÓN
MUJERES 5ª Y 6ª
DÉCADA DE
VIDA
•5% REFLUJO
GASTROESOFAG
ICO
PERSISTENTE
CLASIFICACION
Hernia hiatal por
deslizamiento
Hernia hiatal
paraesofágicas
II, III y IV
I
CLASIFICACION ANATOMICA
CLINICA
Hernia hiatal por
deslizamiento
Hernia hiatal
paraesofágicas
ERGE DOLOR, PLENITUD POSPRANDIAL, SENSACIÓN
DE SACIEDAD PRECOZ, RESPIRACIÓN
JADEANTE DURANTE LA INGESTA, DISFAGIA
DIAGNOSTICO
CONFIRMA EL DIAGNÓSTICO.
MÉTODO DIAGNÓSTICO DE
ELECCIÓN.
hernia hiatal evidentes si la
herniación axial es >2cm
ESOFAGOGRAMA CON BARIO
tc
TRATAMIENTO
Sintomatico: TX QXrecurrencia 15% – 60%
modificaciones en el estilo de vida
un ciclo de 8 semanas de IBP
FUNDUPLICATURA
DE NISSEN
PREGUNTAS
banco
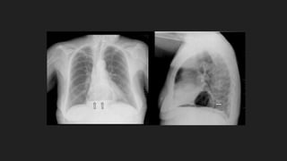
Hombre de 18 años con historia de pirosis y
regurgitaciones de larga evolución. Disfagia de 2
meses
El área del tubo digestivo que está
opacificada corresponde a:
A) Unión crico-faríngea
B) Válvula ileo-cecal
C) Unión recto-sigmoidea
D) Unión esófago-gástrica
E) Ángulo duaodeno-yeyunal
La patología más frecuente de esta región es:
A)Linfoma
B) Carcinoma
C) Hernia hiatal
D) Epidermolisis bulosa
E) Esclerosis sistémica
La incompetencia funcional de esta región produce:
A) Dilatación vascular
B) Dismotilidad esofágica
C) Colonización bacteriana
D) Reflujo gastro-esofágico
E) Retardo en el vaciamiento gástrico
La hernia diafragmática más frecuente es:
A)Morgagni
B) Bochdalek
C) Hiatal paraesofágica
D) Hiatal por esófago corto
E) Hiatal por deslizamiento
Tipo de hernia hiatal mas frecuente:
a paraesofágica
B por deslizamiento
C esofago corto
D iatrogénicas
La complicación más frecuente de esta patología es:
A) Barrett
B) Estenosis
C) Ulceración
D) Carcinoma
E) Encarcelamiento y necrosis gástrica
En base en frecuencia usted podría decir que el diagnostico de este paciente es:
A esofago corto congenito
B hernia hiatal por deslizamiento
C Mixoma cardiaco
D poliesplenia
Que tratamiento seria mejor para este paciente:
A transplante cardiaco
B quimioterapia
C radioterapia y quimioterapia de alto grado
D Cirugia de Nissen
En base a esta imagen cual es su diagnostico:
A hernia de Bockdalek
B hernia de Morgagni
C Hernia hiatal Mixta
D Hernia hiatal por deslizamiento

Hernia hiatal

  • 1.
  • 2.
    Herniación del estómagoa través del hiato esofágico • obesidad • aumento de presión intraluminal • edad avanzada, múltiples embarazos, historia de cirugía esofágica, gastrectomía parcial o total y desordenes del sistema esquelético asociados a descalcificación FACTORES DE RIESGO •10% DE POBLACIÓN MUJERES 5ª Y 6ª DÉCADA DE VIDA •5% REFLUJO GASTROESOFAG ICO PERSISTENTE
  • 3.
    CLASIFICACION Hernia hiatal por deslizamiento Herniahiatal paraesofágicas II, III y IV I
  • 4.
  • 5.
    CLINICA Hernia hiatal por deslizamiento Herniahiatal paraesofágicas ERGE DOLOR, PLENITUD POSPRANDIAL, SENSACIÓN DE SACIEDAD PRECOZ, RESPIRACIÓN JADEANTE DURANTE LA INGESTA, DISFAGIA
  • 6.
    DIAGNOSTICO CONFIRMA EL DIAGNÓSTICO. MÉTODODIAGNÓSTICO DE ELECCIÓN. hernia hiatal evidentes si la herniación axial es >2cm ESOFAGOGRAMA CON BARIO
  • 8.
  • 9.
    TRATAMIENTO Sintomatico: TX QXrecurrencia15% – 60% modificaciones en el estilo de vida un ciclo de 8 semanas de IBP FUNDUPLICATURA DE NISSEN
  • 10.
  • 11.
    banco Hombre de 18años con historia de pirosis y regurgitaciones de larga evolución. Disfagia de 2 meses El área del tubo digestivo que está opacificada corresponde a: A) Unión crico-faríngea B) Válvula ileo-cecal C) Unión recto-sigmoidea D) Unión esófago-gástrica E) Ángulo duaodeno-yeyunal
  • 12.
    La patología másfrecuente de esta región es: A)Linfoma B) Carcinoma C) Hernia hiatal D) Epidermolisis bulosa E) Esclerosis sistémica
  • 13.
    La incompetencia funcionalde esta región produce: A) Dilatación vascular B) Dismotilidad esofágica C) Colonización bacteriana D) Reflujo gastro-esofágico E) Retardo en el vaciamiento gástrico
  • 14.
    La hernia diafragmáticamás frecuente es: A)Morgagni B) Bochdalek C) Hiatal paraesofágica D) Hiatal por esófago corto E) Hiatal por deslizamiento Tipo de hernia hiatal mas frecuente: a paraesofágica B por deslizamiento C esofago corto D iatrogénicas
  • 15.
    La complicación másfrecuente de esta patología es: A) Barrett B) Estenosis C) Ulceración D) Carcinoma E) Encarcelamiento y necrosis gástrica
  • 16.
    En base enfrecuencia usted podría decir que el diagnostico de este paciente es: A esofago corto congenito B hernia hiatal por deslizamiento C Mixoma cardiaco D poliesplenia Que tratamiento seria mejor para este paciente: A transplante cardiaco B quimioterapia C radioterapia y quimioterapia de alto grado D Cirugia de Nissen En base a esta imagen cual es su diagnostico: A hernia de Bockdalek B hernia de Morgagni C Hernia hiatal Mixta D Hernia hiatal por deslizamiento

Notas del editor

  • #2 https://www.medigraphic.com/pdfs/revmedcoscen/rmc-2008/rmc082e.pdf
  • #3 APARECE CUANDO LA LAXITUD O EL DEFECTO DE LA MEMBRANA FRENOESOFÁGICA PERMITE LA PROTRUSIÓN DEL ESTÓMAGO A TRAVÉS DEL HIATO ESOFÁGICO DEL DIAFRAGMA. Es la anormalidad más frecuente del tracto digestivo altO Factores DE riesgo: OBESIDAD aumenta la presión intraabdominal y a su vez, deformidad mecánica de la unión gastroesofágica. 10% DE LA POBLACIÓN. MUJERES ENTRE LA 5ª Y 6ª DÉCADA DE LA VIDA. 5% DE LOS PACIENTES TIENEN REFLUJO GASTROESOFAGICO PERSISTENTE. La membrana frenicoesofágica rodea la parte distal del esófago y lo fija al diafragma, de esta manera se previene la herniación gástrica hacia el tórax, si esta membrana ES deficiente.
  • #4 Las hernias se pueden clasificar en dos tipos: hernia hiatal por deslizamiento y hernia hiatal paraesofágicas, aproximadamente 9o% son hernias por deslizamiento. Deslizamiento: asociación con la enfermedad por reflujo gastroesofágico con grados más severos de esofagitis o de esófago de Barrett Paraesofagicas : u importancia clínica está representada por su potencial de causar isquemia, vólvulos u oclusión de la estructura herniada
  • #5 Es la hernia por deslizamineto pura. LA MEMBRANA FRENOESOFAGICA PERMANECE INTACTA PERO LAXA, LA GE SE ENCUENTRA POR ENCIMA DEL DIAFRAGMA. EL TIPO MAS FRECUENTE Y ES HABITUALMENTE ASINTOMÁTICO. HERNIA DEL HIATO TIPO II (PARAESOFAGICA). ascenso del fondo gástrico al mediastino a través del hiato esofágico adyacente al estómago mientras que la unión gastroesofágica se mantiene en su posición anatómica usual HERNIA DEL HIATO TIPO III (una combinación de las dos primeras) cuando el fondo y la unión gastroesofágica se encuentran herniadas por el hiato con el fondo por arriba de la unión gastroesofágica HERNIA DEL HIATO TIPO IV, a herniación de cualquier otra estructura por el hiato esofágico que no sea estómago y pueden estar involucrados intestino delgado, colon, omento o inclusive bazo
  • #6 La mayoría de las hernias son descubiertas como hallazgo incidental en radiografías de tórax o tomografía computarizada dispepsia, ardor y dolor epigástrico, rara vez estos pacientes aquejan infecciones pulmonares por aspiración del contenido gástrico. Las hernias paraesofágicas tienden a encarcelarse causando dolor epigástrico intermitente. Algunos pacientes también experimentan problemas respiratorios manifestados por síntomas, como disnea o broncoespasmo ESTOMAGO HERNIADO ES SUSCEPTIBLE DE PADECER DE: VOLVULUS, OBSTRUCCIONES E INFARTOS. Y PUEDE DESARROLLAR ULCERAS DE CAMERON. REFLUJO 15%
  • #7 historia clínica detallada y examen físico RX DE TÓRAX. EL HALLAZGO DE UN NIVEL HIDROAÉREO SITUADO EN EL MEDIASTINO POSTERIOR EN LA RX. LATERAL DE TÓRAX SUGIERE LA EXISTENCIA DE UNA HERNIA DE HIATO. ESOFAGOGRAMA CON BARIO. CONFIRMA EL DIAGNÓSTICO. MÉTODO DIAGNÓSTICO DE ELECCIÓN. ESOFAGOGASTRODUODENOSCOPIA. INDICADO PARA DETERMINAR EL GRADO DE ESOFAGITIS, LA PRESENCIA DE ESTENOSIS, ESÓFAGO. DE BARRETT. LA HERNIA DE HIATO DESLIZANTE SE IDENTIFICA COMO UNA MUCOSA GÁSTRICA DE MAS 2 CM DE LONGITUD MANOMETRÍA. MOTILIDAD ESOFÁGICA. Esofagograma con bario aporta información importante sobre el tamaño del estómago herniado y la localización de la unión gastroesofágica, hernia hiatal las cuales son evidentes por este método si la herniación axial es de más de 2cm IMAGEN Esofagograma con medio hidrosoluble con evidencia de herniación de fondo gástrico por hiato esofágico
  • #8 la radiografía de tórax se puede demostrar gas en las estructuras retrocardiacas Se puede observar una masa retrocardiaca con un nivel hidroaéreo. Cuando el aire se encuentra dentro de la hernia, la burbuja gástrica por debajo del diafragma tiende a estar ausente. Usualmente la hernia se encuentra a la izquierda de la columna vertebral, sin embargo las hernias de gran tamaño (particularmente las encarceladas) se pueden extender más allá de la silueta cardiaca y producir una mínima cardiomegalia. Estas hernias además del nivel hidroaéreo en su interior tienen contenido gástrico. (5) En las radiografías en posición supina el nivel hidroaéreo podría estar ausente; lo que dificulta la diferenciación con una masa retrocardiaca. El diagnóstico de las hernias pequeñas es más difícil y se debe realizar con el paciente en decúbito ya que se reducen en bipedestación
  • #9 no es el estudio de rutina para el diagnóstico de hernia hiatal Aparece como una masa retrocardiaca con o sin nivel hidroaéreo Imagen tomográfica de Hernia Hiatal IV
  • #10 modificaciones en el estilo de vida que son efectivas son la pérdida de peso, elevar la cabecera de la cama al menos 8 pulgadas durante las horas de sueño, evitar comer al menos 2 o 3 horas antes de acostarse y eliminar las comidas desencadenantes, a saber, chocolate, alcohol, cafeína, comidas picantes, cítricas y bebidas carbonatada IBP la dosis mínima efectiva para control de síntomas.s tratamiento quirúrgico cuando se tornan sintomáticas, especialmente aquellas que tienen sintomatología obstructiva o de vólvulos con indicación de cirugía urgente. incluye la extirpación del saco, una movilización adecuada del esófago distal, cierre primario del hiato y una funduplicatura de Nissen El procedimiento quirúrgico tradicional para una hernia hiatal con enfermedad por reflujo gastroesofágico es la funduplicatura, la cual está compuesta, como su nombre lo indica, de plicar el fondo del estómago alrededor del esófago distal. La funduplicatura de 360° alrededor del esófago distal es conocida como funduplicatura de Nissen -- hernia tipo I sin evidencia de sintomatología por enfermedad por reflujo no realizar procedimiento quirúrgico
  • #12 , pero el estudio diagnóstico es el esofagograma con medio de contraste. se le indica al paciente que ingiera medio de contraste baritado simple en posición prono, con distensión máxima del esófago con el fin de poner en evidencia un anillo esofágico inferior suprahiatal. En la examinación con doble medio de contraste la mucosa gástrica podría reconocerse en la región torácica. Podemos hablar de hernia hiatal por deslizamiento cuando encontramos más de 1-2cm de anillos mucosos por encima del diafragma o por medio de la identificación de 5 ó más pliegues mucosos que representan más de 1- 2cm por encima del diafragma y que sea demostrado en un estudio con medio de contraste simple Las hernias frecuentemente se reconocen por la presencia de pliegues mucosos gástricos dentro de la hernia, estas pueden causar deformidad del esófago y del fondo gástrico, el esófago tortuoso presenta una unión de forma excéntrica con el borde de la hernia.(4) En las hernias paraesofágicas el diagnóstico se realiza por la posición de la unión gastroesofágica. El cardias gástrico y la unión gastroesofágica permanece en posición normal debajo del hiato diafragmático, solo el estómago se encuentra herniado dentro del tórax; la unión gastroesofágica permanece en su posición normal. En la exploración con doble medio de contraste se pueden demostrar úlceras en la curvatura menor del estómago. En hernias paraesofágicas usualmente no esta asociado a reflujo gastroesofágico.(6) La hernia fácilmente es demostrada en estudio con simple y doble medio de contraste. El cardias es usualmente intratorácico pero en algunas oca siones podría estar subdiafragmático.(6) Ocasionalmente acompaña a la hernia hiatal el reflujo gastroesofágico y la esofagitis los cuales son demostrados adecuadamente durante el estudio con medio de contraste baritado. (9) Falsos positivos y negativos del estudio: las hernias hiatales por deslizamiento pequeñas podrían pasar desapercibidas en este estudio. Hernias pequeñas las cuales se hacen visibles en radiografías simples podrían corresponder a otra clase de hernias ya sean adquiridas o congénitas, a otras patologías diferentes como duplicación del cístico, cístico neurogénico, tumores neurogénicos,