Sistema linfático
Celia Lizeth Murguía Rubio
Beatriz Eugenia Fonseca Villarreal
Elizabeth Flores Orozco
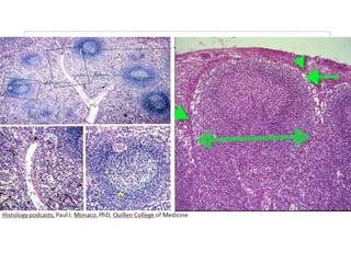
Histology podcasts, Paul J. Monaco, PhD, Quillen College
of Medicine
• Las células de sostén en los órganos linfáticos están organizadas en
mallas laxas.
• Las células del sistema inmune residen en estas mallas y en T.C laxo
Ross, Pawlina .(2007).Histología texto y Atlas. China: Panamericana
• Las células se identifican por medio de marcadores
de cumulo de diferenciación que hay en sus
superficies.
Ross, Pawlina .(2007).Histología texto y Atlas. China: Panamericana
Histology podcasts, Paul J. Monaco, PhD,
Quillen College of Medicine
Macrófago
Esta animación muestra el increíble ataque de
un linfocito T citotóxico (en rojo) a una célula
cancerosa (en azul)
LINFOCITO NK
•Grandes
•Matar céls infectadas
por virus SIN
estimulación antígena
clara
Abbas AK, Lichtman A H, Peber J. Inmunología Celular y Molecular. 5° Edición. Editorial Elsevier. 2004.
Inmunidad adquirida
ACTIVA
Yo elaboro Ac
PASIVA
Yo recibo Ac
Natural Artificial Natural Artificial
Cada vez que te
enfermas
Vacunación Mediante lactancia y
por vía placentaria
(Ig G)
Administración de
Inmunosueros
(inyectan Ac)
*URGENCIA*
Janeway, Murphy K, Travers P, Walport M. Inmunobiología de Janeway. 7ª Edición. Editorial Mac Graw Hill. 2009
Timo
•Órgano linfoepitelial
•Mediastino anterior
•Barrera hematotímica
•Cápsula, trabéculas, lobulillos tímicos
•Corpúsculos de Hassall (médula)
•PARÉNQUIMA: Células epiteliorreticulares
(diferencía Linf.)
•Timocitos
•Solo salen de él células T maduras (CD4 Y CD8)
Abbas AK, Lichtman A H, Peber J. Inmunología Celular y Molecular. 5° Edición. Editorial Elsevier. 2004.
Ross, M., Pawlina, W. Histología, texto y atlas. 7ª edición. España: Wolters Kluwer; 2015
Ross, M., Pawlina, W. Histología, texto y atlas. 7ª edición. España: Wolters Kluwer; 2015
Células epiteliorreticulares
• grandes
lóbulos
separados
por tabiques
de TC.
• compuestos
por lobulillos,
también
separados
entre sí por
tabiques más
finos de TC.
• corteza y
médula.
http://www.wesapiens.org/es/file/2778033/Estructura+general+del+timo
• lobulillo de timo
• La corteza presenta
un color más intenso,
mientras que la
medula es de
tonalidad más
eosinófila = densidad
de linfocitos en la
corteza es mayor que
en la médula.
http://www.wesapiens.org/es/file/2779041/Estructura+del+lobulillo+t%C3%ADmico
Médula del timo- corpúsculos de Hassall
http://www.wesapiens.org/es/file/2778057/M%C3%A9dula+del+timo%2C+corp%C3%BAsculo+de+Hassal
CASO CLÍNICO: Síndrome de Sjögren (SS)
• Paciente de 12 años, de sexo masculino, con historia de artralgias de
3 años de evolución y xeroftalmia dudosa. El examen físico mostró
leve congestión conjuntival, boca seca e hiperlaxitud de rodillas.
Pruebas de laboratorio: hemograma y VHS normales, anticuerpos
antinucleares (+) > 60, Ro (+) > 60 U, factor reumatoideo (+) 160 UI/
ml. Se sospechó SS y se completó el estudio: test de Shirmer, que
determinó ojo seco leve; gammagrafía de las glándulas salivales, que
mostró disfunción de las glándulas submaxilares y parotídeas;
biopsia de glándulas salivales, que mostró focos de infiltrado linfoide
acinar y periductal. Se confirmó SS y se inició tratamiento con
prednisona 7,5 mg/día e hidroxicloroquina 200 mg/día y
tratamientos locales, con buena respuesta.
Mabel Ladino R.1, A. G. (10 de Julio de 2014). Síndrome de Sjögren. Caso clínico. ELSEVIER. Revista chilena de pediatría , 47- 51.
Glándula salival sin afección
Mabel Ladino R.1, A. G. (10 de Julio de 2014). Síndrome de Sjögren. Caso
clínico. ELSEVIER. Revista chilena de pediatría , 47- 51.
• El síndrome de Sjögren (SS) es una enfermedad
crónica, autoinmune, multisistémica, que afecta
principalmente a las glándulas exocrinas
lagrimales y salivales. También puede afectar a
órganos extraglandulares . Se genera una
infiltración linfocitaria que destruye la glándula,
ocasionando una reducción o término de la
producción lagrimal o salival.
• Poco común en niños.
Mabel Ladino R.1, A. G. (10 de Julio de 2014). Síndrome de Sjögren. Caso clínico. ELSEVIER. Revista chilena de pediatría , 47- 51.
Bibliografía
• Abbas AK, Lichtman A H, Peber J. Inmunología Celular y Molecular. 5° Edición. Editorial
Elsevier. 2004.
• Ross, M., Pawlina, W. Histología, texto y atlas. 7ª edición. España: Wolters Kluwer; 2015
• Ross H. M., & Pawlina W. (2008) Histología: Texto y atlas color con biología celular y
molecular. Buenos Aires, Argentina: Médica Panamericana.
• Gooding. (6 de marzo de 2014). Academias Aduni y César Vallejo. Recuperado el Abril de
2016, de https://www.youtube.com/watch?v=V6zQ90x6ves
• Janeway, Murphy K, Travers P, Walport M. Inmunobiología de Janeway. 7ª Edición. Editorial
Mac Graw Hill. 2009
• Teresa Fortoul, Andrés Castell. (2010).Histología y biología celular. China :Mc Graw Hill.
• Gartner L. P. & Hiatt J. L.(2011) Histología básica. Barcelona, España: Elsevier Saunders.
• Mabel Ladino R.1, A. G. (10 de Julio de 2014). Síndrome de Sjögren. Caso clínico. ELSEVIER.
Revista chilena de pediatría , 47- 51.
http://apps.elsevier.es/watermark/ctl_servlet?_f=10&pident_articulo=90407032&pident_us
uario=0&pcontactid&pident_revista=219&ty=16&accion=L&origen=zonadelectura&web=ww
w.elsevier.es&lan=es&fichero=219v86n01a90407032pdf001.pdf
Histología sistema linfático

Histología sistema linfático

  • 1.
    Sistema linfático Celia LizethMurguía Rubio Beatriz Eugenia Fonseca Villarreal Elizabeth Flores Orozco
  • 5.
    Histology podcasts, PaulJ. Monaco, PhD, Quillen College of Medicine
  • 8.
    • Las célulasde sostén en los órganos linfáticos están organizadas en mallas laxas. • Las células del sistema inmune residen en estas mallas y en T.C laxo Ross, Pawlina .(2007).Histología texto y Atlas. China: Panamericana
  • 9.
    • Las célulasse identifican por medio de marcadores de cumulo de diferenciación que hay en sus superficies. Ross, Pawlina .(2007).Histología texto y Atlas. China: Panamericana
  • 11.
    Histology podcasts, PaulJ. Monaco, PhD, Quillen College of Medicine
  • 22.
  • 23.
    Esta animación muestrael increíble ataque de un linfocito T citotóxico (en rojo) a una célula cancerosa (en azul)
  • 24.
    LINFOCITO NK •Grandes •Matar célsinfectadas por virus SIN estimulación antígena clara Abbas AK, Lichtman A H, Peber J. Inmunología Celular y Molecular. 5° Edición. Editorial Elsevier. 2004.
  • 25.
    Inmunidad adquirida ACTIVA Yo elaboroAc PASIVA Yo recibo Ac Natural Artificial Natural Artificial Cada vez que te enfermas Vacunación Mediante lactancia y por vía placentaria (Ig G) Administración de Inmunosueros (inyectan Ac) *URGENCIA*
  • 26.
    Janeway, Murphy K,Travers P, Walport M. Inmunobiología de Janeway. 7ª Edición. Editorial Mac Graw Hill. 2009
  • 37.
    Timo •Órgano linfoepitelial •Mediastino anterior •Barrerahematotímica •Cápsula, trabéculas, lobulillos tímicos •Corpúsculos de Hassall (médula) •PARÉNQUIMA: Células epiteliorreticulares (diferencía Linf.) •Timocitos •Solo salen de él células T maduras (CD4 Y CD8) Abbas AK, Lichtman A H, Peber J. Inmunología Celular y Molecular. 5° Edición. Editorial Elsevier. 2004. Ross, M., Pawlina, W. Histología, texto y atlas. 7ª edición. España: Wolters Kluwer; 2015
  • 38.
    Ross, M., Pawlina,W. Histología, texto y atlas. 7ª edición. España: Wolters Kluwer; 2015
  • 39.
  • 40.
    • grandes lóbulos separados por tabiques deTC. • compuestos por lobulillos, también separados entre sí por tabiques más finos de TC. • corteza y médula. http://www.wesapiens.org/es/file/2778033/Estructura+general+del+timo
  • 41.
    • lobulillo detimo • La corteza presenta un color más intenso, mientras que la medula es de tonalidad más eosinófila = densidad de linfocitos en la corteza es mayor que en la médula. http://www.wesapiens.org/es/file/2779041/Estructura+del+lobulillo+t%C3%ADmico
  • 42.
    Médula del timo-corpúsculos de Hassall http://www.wesapiens.org/es/file/2778057/M%C3%A9dula+del+timo%2C+corp%C3%BAsculo+de+Hassal
  • 50.
    CASO CLÍNICO: Síndromede Sjögren (SS) • Paciente de 12 años, de sexo masculino, con historia de artralgias de 3 años de evolución y xeroftalmia dudosa. El examen físico mostró leve congestión conjuntival, boca seca e hiperlaxitud de rodillas. Pruebas de laboratorio: hemograma y VHS normales, anticuerpos antinucleares (+) > 60, Ro (+) > 60 U, factor reumatoideo (+) 160 UI/ ml. Se sospechó SS y se completó el estudio: test de Shirmer, que determinó ojo seco leve; gammagrafía de las glándulas salivales, que mostró disfunción de las glándulas submaxilares y parotídeas; biopsia de glándulas salivales, que mostró focos de infiltrado linfoide acinar y periductal. Se confirmó SS y se inició tratamiento con prednisona 7,5 mg/día e hidroxicloroquina 200 mg/día y tratamientos locales, con buena respuesta. Mabel Ladino R.1, A. G. (10 de Julio de 2014). Síndrome de Sjögren. Caso clínico. ELSEVIER. Revista chilena de pediatría , 47- 51.
  • 51.
    Glándula salival sinafección Mabel Ladino R.1, A. G. (10 de Julio de 2014). Síndrome de Sjögren. Caso clínico. ELSEVIER. Revista chilena de pediatría , 47- 51.
  • 52.
    • El síndromede Sjögren (SS) es una enfermedad crónica, autoinmune, multisistémica, que afecta principalmente a las glándulas exocrinas lagrimales y salivales. También puede afectar a órganos extraglandulares . Se genera una infiltración linfocitaria que destruye la glándula, ocasionando una reducción o término de la producción lagrimal o salival. • Poco común en niños. Mabel Ladino R.1, A. G. (10 de Julio de 2014). Síndrome de Sjögren. Caso clínico. ELSEVIER. Revista chilena de pediatría , 47- 51.
  • 53.
    Bibliografía • Abbas AK,Lichtman A H, Peber J. Inmunología Celular y Molecular. 5° Edición. Editorial Elsevier. 2004. • Ross, M., Pawlina, W. Histología, texto y atlas. 7ª edición. España: Wolters Kluwer; 2015 • Ross H. M., & Pawlina W. (2008) Histología: Texto y atlas color con biología celular y molecular. Buenos Aires, Argentina: Médica Panamericana. • Gooding. (6 de marzo de 2014). Academias Aduni y César Vallejo. Recuperado el Abril de 2016, de https://www.youtube.com/watch?v=V6zQ90x6ves • Janeway, Murphy K, Travers P, Walport M. Inmunobiología de Janeway. 7ª Edición. Editorial Mac Graw Hill. 2009 • Teresa Fortoul, Andrés Castell. (2010).Histología y biología celular. China :Mc Graw Hill. • Gartner L. P. & Hiatt J. L.(2011) Histología básica. Barcelona, España: Elsevier Saunders. • Mabel Ladino R.1, A. G. (10 de Julio de 2014). Síndrome de Sjögren. Caso clínico. ELSEVIER. Revista chilena de pediatría , 47- 51. http://apps.elsevier.es/watermark/ctl_servlet?_f=10&pident_articulo=90407032&pident_us uario=0&pcontactid&pident_revista=219&ty=16&accion=L&origen=zonadelectura&web=ww w.elsevier.es&lan=es&fichero=219v86n01a90407032pdf001.pdf