HISTORIA DE LA
ODONTOLOGIA
LUISA FERNANDA PERDOMO LEIVA
“ la única guía para el futuro es el estudio del
pasado”
Malvin E. Ring
HISTORIA Y
EVOLUCIÓ
N
• Desde cuando se estudio la odontología como tal
• ¿Existían materiales dentales como hoy?
HISTORIA Y EVOLUCIÓN DE LA SALUD BUCAL
Hesy Ra es bien conocido por ciertos
títulos únicos. El título más discutido es
Wer-ibeh-senjw, que puede traducirse de
muchas maneras. Ibeh se puede traducir
como «dentición» y / o «marfil» también.
Senjw es un plural para «flechas»,
«cortadores» y / o «médicos» por igual.
Así, el título completo Wer-ibeh-senjw
puede ser traducido como «Gran uno de
los cortadores de marfil» o como «Gran
uno de los dentistas».
HISTORIA Y EVOLUCIÓN DE LA SALUD BUCAL
La odontología como en la actualidad se conoce, no
siempre ha sido la misma, como los seres humanos,
ésta ha evolucionado en la historia. Cuando el hombre
primitivo creó el fuego, háblese de 3000 A.C., se sintió
seguro, aprendió a conservarlo y a emplearlo para
ablandar alimentos, usando principalmente el pescado
para su dieta, esto lo llevó a vivir un gran periodo de
tiempo a lo largo de los ríos en Egipto y China. Sin
embargo, en Egipto y China, una considerable porción
del alimento era trigo, maíz, cebada y arroz, con los
cuales reemplazaron en su dieta a las raíces, semillas y
pastos con los cuales el hombre se había alimentado
por muchos años atrás.
En 700 AC los etruscos
fueron los primeros en
utilizar material para
implantes, tales como el
marfil y conchas del mar.
Los mayas utilizaban
incrustaciones de oro,
piedras preciosas o
minerales para la
restauración de piezas
dentales no sólo por
estética sino también
por ornamentación.
Posteriormente los
Incas y los Aztecas
tomaron los métodos
de mayas para la
reconstrucción de
piezas dentales.
HISTORIA Y EVOLUCIÓN DE LA SALUD BUCAL
Desde sus orígenes hasta hoy, la
odontología ha tenido la misma
mentalidad predominante curativa y
rehabilitadora de siempre. Cerca del año
460 A C Hipócrates describía a los
problemas dentales como una situación
que debía ser identificada y corregida
adecuadamente; él vinculó la caída de los
dientes por causa de los alimentos, es
decir, fue el que descubrió que alimentos
perjudicaban la salud bucal.
600 aC al 400 dC: para esta
época en roma se utilizaba
el oro como material para
cubrir algunos huecos
dentales era algo así como
una especie de “Empastes”
En el año 650 a.C., varios médicos indios identificaron
más de 75 dolencias orales. Fueron los etruscos
quienes, durante los siglos que ocuparon la península
itálica, dejaron allí sus costumbres y cultura, así como
sus descubrimientos odontológicos, y los que
indujeron a los romanos al uso de las prótesis. En
cuanto a la higiene bucodental, aconsejaba el cepillo
(Dantakhastra) hecho con ramas de árboles
astringentes.
1250: Fue un fecha
controversial, ya que los
barberos franceses comenzaron
a realizar el oficio de dentista..
1728: Pierre Fauchard público
su obra “El dentista cirujano”
donde fue el primero en brindar
la información completa de la
ciencia de la odontología. Por
lo tanto, se considera el padre
de la odontología
Los griegos crearon el primer sillón para fines quirúrgicos y en 1719, en París, el francés Pierre
Fauchard, recomendó la utilización de un sillón firme para la comodidad del operador y el
paciente; Fauchard pasó a colocar al paciente en una silla con respaldar acolchado. Con el
transcurso del tiempo y en busca de una mayor comodidad se adicionó el apoyo para la
cabeza y en 1815 se creó la seda dental.
Phillips Pfapp que en 1756 describió un
método para impresiones con cera que
después eran vaciadas con yeso, el Dr.
francés, N. De Chemant que en 1792 utilizó
un proceso para hacer dientes de porcelana,
Robert Bunon que será el primero en hablar
de Odontología en la Universidad y definió la
enfermedad que hoy se conoce como
hipoplasia del esmalte.
En 1901 se empezó a estudiar las manchas
color café en los residentes de colorado y
en 1945 se empezaron a fluorar aguas
potables para reducir las caries, la primera
ciudad de Gran Rapids llegó a ser la
primera en el mundo en fluorurar sus
abastecimientos de agua potable.
En 1844 Horace Wells un dentista americano,
es el pionero de la anestesia en cirugía junto
con sus condiscípulos John M. Riggs y
William T.G, Morton, al demostrar que la
sedación con óxido nitroso era un principio
quirúrgico para realizar la extracción dental
sin dolor, Con este notable descubrimiento
se abrirían nuevos horizontes para la cirugía
en la Odontología y en la Medicina.
El Odontólogo americano Willoughby D. Miller
describió, por primera vez, en 1890 las bases
microbiológicas de la caries dental, lo que sirvió
para hacer una llamada de atención sobre la
prevención dental el cual tuvo que tener ayuda
de la medicina y abrió el camino a las
compañías dedicadas al cuidado oral para
comerciar con productos de cuidado oral en el
hogar.
Pág. 2
En la radiología, la radiología intraoral fue descubierta por Roentgen en 1895. Por ello recibió
el premio Nobel de física. Otros pioneros en radiología dental fueron: Walkhof, que realizó la
primera radiografía dental de la historia; Morton, que realizó la primera radiografía dental en
EE. UU. (en un cráneo); Kells, que realizó la primera radiografía dental en EE. UU. (en un
paciente vivo); y Rollins, que escribió el primer texto sobre los peligros de la radiación X. En
1913 Kodak comercializó el primer paquete de película dental preenvuelta de rayos X. En 1920
se comercializaron los primeros paquetes de películas dentales hechos a máquina.
La primera referencia conocida una pasta de
dientes se encuentra en un manuscrito de
Egipto en el Siglo IV A.C. que establece una
mezcla de polvo de sal, pimienta, hojas de
menta, iris y flores, era llamada clister. Para
fabricarla se mezclaba además, piedra
pómez pulverizada, sal pimienta agua, uñas
de buey, cáscara de huevo y mirra.
En 1842, un dentista llamado Peabody
fue el primero en agregar jabón a la
pasta de dientes. El primer dentífrico
comercializado apareció en Gran Bretaña
a finales del Siglo XVIII, en presentación
de polvo o pasta envasado en cerámica.
En 1809, J. Maggiolo insertó un tubo de
implante de oro en el hueco de una reciente
extracción. Se permitió que este sitio sanara y
luego le añadió una corona;
desafortunadamente, una extensa inflamación
de la encía siguió al procedimiento. Durante
este período se utilizaron innumerables
sustancias como implantes; estos incluían
cápsulas de plata, porcelana corrugada y tubos
de iridio. El Dr. EJ Greenfield, en 1913, colocó
un “cilindro enrejado hueco de
calibre 24 de iridio-platino soldado
con oro de 24 quilates” como raíz
artificial para “encajar exactamente
en la incisión circular que se le hizo
en la mandíbula del paciente”
En la década de 1938, dos hermanos, los
Dres. Alvin y Moses Strock, experimentaron
con tornillos ortopédicos hechos de
Vitallium (imagen 5) (aleación de cromo-
cobalto). Observaron cuidadosamente
cómo los médicos colocaban implantes con
éxito en el hueso de la cadera, por lo que
los implantaron tanto en humanos como
en perros para restaurar los dientes
individuales. El tornillo Vitallium
proporcionó anclaje y soporte para el
reemplazo del diente faltante.
También se pensó que los hermanos Strock
fueron los primeros en colocar el primer
implante endóseo (en el hueso) exitoso.
(Por cierto, el Dr. Alvin Strock no solo
trabajó con materiales de implantes,
también estableció el uso de antibióticos
para el tratamiento a bordo de infecciones
periodontales como la boca de trinchera).
Especialidades
Odontológicas
Especialidades Odontológicas
 REGLAMENTO DE CERTIFICACIÓN DE LAS
ESPECIALIDADES Y SUBESPECIALIDADES DE
LOS PRESTADORES INDIVIDUALES DE
SALUD Y DE LAS ENTIDADES QUE LA
OTORGAN
Especialidades Odontológicas
 Especialidad: rama de las
ciencias de la salud cuyo
objeto es una parte limitada
de las mismas, sobre la cual
poseen conocimientos y
habilidades muy precisos
quienes la cultivan o
ejercen.
 Subespecialidad: parte de una
rama de las ciencias de la salud
cuyo objeto es una parte
limitada de las mismas, sobre la
cual poseen conocimientos y
habilidades muy precisos
quienes la cultivan o ejercen .
 Se obtiene posterior a una
Especialidad.
QUIENES SON ESPECIALISTAS
Especialidades Odontológicas
 Quienes posean un título o
grado académico relativo a
dichas especialidades o
subespecialidades otorgado
por una Universidad del
Estado o reconocida por
éste.
Especialidades Odontológicas
 Quienes posean un certificado extendido por las corporaciones de
derecho privado denominadas Corporación Nacional Autónoma de
Certificación de Especialidades Médicas (CONACEM), o por la Corporación
Nacional Autónoma de Certificación de Especialidades Odontológicas
(CONACEO) O por el colegio odontológico u otras cuyos estatutos
contemplen entre sus objetivos emitir certificaciones o acreditaciones de
especialización o subespecialización y que se encuentren realizando tales
actividades a la fecha de publicación de este Reglamento.
Especialidades Odontológicas
 Quienes mantengan un convenio vigente con el
Fondo Nacional de Salud para la atención en
Modalidad de Libre Elección y en él sean
reconocidos como especialistas o subespecialistas
mediante los mecanismos que dicho Fondo haya
establecido formalmente.
Especialidades Odontológicas
 CIRUGÍA Y TRAUMATOLOGÍA
BUCOMÁXILO-FACIAL
 ENDODONCIA
 IMAGENOLOGÍA
 IMPLANTOLOGIA
 ODONTOLOGÍA LEGAL
 ODONTOPEDIATRÍA
 ORTODONCIA
 PATOLOGÍA ORAL
 PERIODONCIA
 REHABILITACIÓN ORAL
 SALUD PÚBLICA
Subespecialidades:
 SOMATO-PRÓTESIS
CIRUGÍA
ORAL Y MAXILOFACIAL
Cirugía
 Se dedica al diagnóstico y tratamiento de las
enfermedades, traumatismos y defectos de las piezas
dentarias, de los maxilares y de los tejidos blandos
adyacentes que requieran intervención quirúrgica
 La cirugía oral es la especialidad más antigua de la
odontología.
Cirugía
Cirugía Bucal
Prevención, estudio,
diagnostico y tratamiento
medico quirúrgico de:
Patología infecciosa
Tumoral benigna
Traumática
Malformaciones
Estruturas oseas y mucosas
de la cavidad bucal
 Cirugía Maxilo facial Estudio,
diagnóstico y tratamiento
medicoquirúrgico de las alteraciones
 Traumáticas
 Infecciosas
 Tumorales
 Funcionales
 Estéticas
 Malformaciones congénitas o
adquiridas
Cirugía
Buco Dental
 Ejercida normalmente por el
odontólogo general, realiza
intervenciones menores en boca.
Cirugía
Oral y Maxilofacial
 Por especialistas que se dedican
exclusivamente a esa práctica, exige
especialización, con conocimientos
que los odontologos generales no
pueden desarrollarla en toda su
magnitud.
Cirugía
Cirugía
ENDODONCIA
Endodoncia
 Endodoncia es el tratamiento de conductos radiculares, esto
corresponde a toda terapia que es practicada en el complejo
dentino-pulpar (es decir la pulpa dentaria y su dentina) de
un diente.
Endodoncia
 Terapias preservar y regenerar la pulpa.
 Tratamiento de conductos
 Retratamiento de conductos
 Cirugía endodontica periapical.
Endodoncia
Causas que puedan requerir endodoncia
 Caries dentales muy profundas.
 Traumatismos o golpes.
 Si la pieza dental ha sido manipulada en distintos procedimientos
odontológicos.
 Cuando hay una inflamación irreversible del tejido pulpar (pulpitis).
 Cuando hay una necrosis (muerte) del tejido pulpar
Endodoncia
OBJETIVOS
 Limpiar el sistema de conductos radiculares
 La obturación del conducto radicular
 Conseguir el sellado del tercio
 Conseguir un cierre biológico
Endodoncia
Endodoncia
Endodoncia
Imagenología
Imagenología
 La imagenología es la especialidad que se ocupa de generar imágenes
del interior del cuerpo mediante diferentes agentes físicos, campos
magnéticos, etc. y de utilizar estas imágenes para el diagnóstico y en
menor medida, para el pronóstico y el tratamiento de las enfermedades.
 También se le denomina genéricamente radiodiagnóstico o diagnóstico
por imagen.
Imagenología
 Especialidad que se dedica al estudio
mediante imágenes de lo normal y lo
anormal del sistema estomatognático.
 Radiología convencional
 Tomografía.
 RNM
 Ecografía
 Sialografía
Imagenología
 Un aparato de rayos X consta, esencialmente, de un transformador de alta
y otro de baja tensión conectados al tubo, un autotransformador y un tubo
de rayos X.
Como elementos complementarios existen: un reóstato, un voltímetro, un
cronómetro, estabilizadores, fusibles de protección, lámpara piloto, toma a
tierra e interruptor general.
Imagenología
 Equipo de Rx
Imagenología
 Equipo de Rx
Imagenología
RADIOGRAFÍA INTRABUCAL
 Técnicas periapicales o retroalveolares
 Técnicas interproximales o de aleta mordida
 Técnicas oclusales
Imagenología
 Técnicas periapicales o retroalveolares
Imagenología
 Técnicas interproximales o de aleta mordida
Imagenología
 Técnicas interproximales o de aleta mordida
Imagenología
 Técnicas oclusales
Imagenología
 Técnicas oclusales
Imagenología
RADIOGRAFÍA EXTRABUCAL
 Extrabucal frontal
 Extrabucal lateral
 Teleradiografía
 Ortopantomografía
 Axiales
Imagenología
 Extrabucal frontal
Imagenología
 Extrabucal lateral
Imagenología
 Teleradiografía
Imagenología
 Ortopantomografía
Imagenología
 Axiales
Imagenología
 Tomografía bucal
Imagenología
 Tomografía bucal tridimensional
Imagenología
IMPLANTOLOGÍA
Implantología
 Es la especialidad odontológica que se dedica a la reposición de
unidades dentales perdidas por medio de la instalación
de implante dental de titanio emplazados en los maxilares, a
manera de raíces de dientes (dentro del hueso) y que luego
pueden portar coronas.
Implantología
 Son pequeños tornillos cilíndricos que
se colocan en los maxilares
ODONTOLOGÍA
LEGAL
Odontología Legal
 La especialización en Odontología Legal está
destinada a la formación de odontólogos
especializados en las determinaciones causales de
lesiones presentes en sujetos vivos y/o en cadáveres
producidas por mala praxis, accidentes,
traumatismos, agresiones, etc.
 Esta carrera requiere de una
capacitación multi e
interdisciplinaria con conocimiento
de una operativa y práctica
particular pues relaciona dos
ciencias fundamentales y de alto
contenido social: el derecho y la
salud.
 Son los autorizados para ejercer auditorias en
los subsistemas del estado y en las asociaciones
estipulantes de salud.
ODONTOPEDIATRÍA
 Es la rama de la odontología encargada de tratar a los niños
 Su objetivo fundamental es la prevención y curación de los
problemas buco-dentales del niño y del adolescente, tomando en
consideración los aspectos sicológicos, biológicos y sociales del
paciente.
ODONTOPEDIATRÍA
 El campo de la odontología
pediátrica se ocupa de la
práctica general de la
odontología en pacientes
menores de 12 años de
edad y, en general, en
pacientes que poseen la
dentición temporal
completa o una dentición
mixta,
ODONTOPEDIATRÍA
 También se encarga de
detectar posibles anomalías
en la posición de los
maxilares o dientes para
remitir al ortodoncista,
especialista en ortodoncia, y
de hacer un tratamiento
restaurador en caso de
necesitarlo
ORTODONCIA
ORTODONCIA
 La ortodoncia es la ciencia que idealiza la
posición de los dientes y sus procesos
alveolares y por otro la que los estudia
desde una visión más amplia, los maxilares
en su desarrollo, a la que genéricamente se
denomina ortopedia dento-maxilar.
ORTODONCIA
 La ortodoncia se encarga del estudio,
prevención, diagnóstico y tratamiento de las
anomalías de forma, posición, relación y función
de las estructuras dentomaxilofaciales
ORTODONCIA
 Tratamiento de ortodoncia
Aparatología fija
 Tratamiento de Ortodoncia
Aparatología removible
 Tratamiento de ortodoncia
Ortodoncia invisible
 Técnica Invasilign
 Tratamiento de ortodoncia
Ortodoncia invisible
 Técnica Invisalign
 Tratamiento de ortodoncia
Ortodoncia invisible
 Técnica Invisalign
 Tratamiento de ortodoncia
Ortodoncia invisible
 Técnica lingual
 Tratamiento de ortodoncia
Ortodoncia invisible
 Técnica lingual
 Tratamiento de ortodoncia
Apiñamiento dental, leve o
severo
 Prognatismo
La mandíbula y/o los dientes
inferiores se hallan adelantados
con respecto al maxilar superior.
 Retrognatismo La mandíbula y/o los dientes
inferiores se hallan retrasados con
respecto al maxilar superior
 Mordida
abierta
Cuando al contactar los dientes
superiores contra los inferiores
queda un espacio entre ambos
dificultando el sellado de los
labios
 Mordida
cubierta
Los dientes superiores cubren a
los inferiores de manera parcial o
total
 Mordida
cruzada
Cuando existe entrecruzamiento
de los dientes superiores con los
inferiores o viceversa.
 Mordida bis a bis
(Borde a borde)
Los bordes incisales de los dientes
superiores contactan directamente
con los bordes incisales de los
dientes inferiores
 Mordida en tijeras
(Colapso)
La relación normal entre maxilar superior y
mandíbula guarda un patrón conocido como
"tijera" (al morder, los dientes superiores cubren
ligeramente a los inferiores
 Diastemas
Son espacios de separación entre
los dientes y que en condiciones
de normalidad no deben existir.
 Brackets
Normalmente son de acero inoxidable. Pueden ser de
titano, especialmente para los pacientes que son alérgicos
al zinc.
También los hay ornamentales de oro.
Hay estéticos, que pueden ser de policarbonato, cerámicos
o zafiros
 Brackets metálicos
 Brackets estéticos
 Brackets estéticos
Patología Oral
Patología Oral
 Estudios de los cambios morfoestructurales de los tejidos que conforman
el territorio maxilofacial.
 La Patología Bucal u Oral es una rama de la Odontología y Patología que
se encarga de la naturaleza, identificación y tratamiento de las alteraciones
y enfermedades localizadas en la cavidad oral, maxilar, mandíbula y
órganos dentarios (comprendiendo todas las estructuras que lo
conforman), así como las relaciones que estas guardan con problemas
sistémicos.
Patología Oral
 Es una ciencia que estudia las causas,
procesos y efectos de las
enfermedades que aquejan al
complejo oral y maxilofacial. La
práctica de la Patología Bucal incluye
la investigación y diagnóstico usando
exámenes clínicos, radiográficos,
microscópicos y bioquímicos así
como el manejo de la entidad
patológica..
PERIODONCIA
PERIODONCIA
 La periodoncia es la especialidad de la Odontología que estudia la prevención,
diagnóstico y tratamiento de las enfermedades y condiciones que afectan los
tejidos que dan soporte a los órganos dentarios o a las estructuras que las
sustituyen y el mantenimiento de la salud, función y estética de estas estructuras y
tejidos.
PERIODONCIA
 Encía sana
PERIODONCIA
ENFERMEDAD PERIODONTAL
 La enfermedad periodontal es una infección bacteriana de las encías que
destruye las fibras de inserción y el hueso de soporte que mantiene los
dientes en la boca
PERIODONCIA
 El estado menos severo se conoce como gingivitis, y conforme avanza la
enfermedad se forman bolsas estas se llenan de infección y destruye mas
tejido, hueso y los dientes eventualmente se aflojan y se pierden.
Rehabilitación Oral
 Especialidad dedicada a reestablecer la función del sistema masticatorio mediante la
Rehabilitación, reeducación del paciente por medio de elementos protésicos.
 La rehabilitación oral es una especialidad dentro de la odontología que combina
en forma integral las áreas de prótesis fija, prótesis removible, operatoria, oclusión
e Implante dental, que realiza el diagnóstico y plan de tratamiento adecuado al
paciente de alta complejidad que requiere recuperar su salud bucal a través de las
técnicas más modernas de rehabilitación. A su vez, establece estrecha relación con
las demás disciplinas de la odontología, como periodoncia,
endodoncia y ortodoncia.
Rehabilitación Oral
 La rehabilitación oral es la parte de la Odontología encargada de
la restauración es decir devuelve la función estética y armonía oral
mediante prótesis dentales de perdidas de dientes, grandes destrucciones o de
solucionar problemas estéticos, siempre buscando una oclusión y función correcta.
PRÓTESIS
Prótesis
Fija
Removible
Implantes
Prótesis
 Las Prótesis Fijas: mediante los cuales los dientes falsos van anclados,
de una manera permanente a los otros dientes sanos presentes en
boca.
Prótesis
Plural Unitaria
Prótesis
Metal y porcelana Porcelana
Prótesis
 Las Prótesis Removibles: son dentaduras que se sostiene
mediante retenedores (ganchos) a los dientes sanos
presentes en boca y descansa en el reborde que quedo
sin dientes.
 Son prótesis que las personas que las usan pueden
retirarlas de la boca en el momento que lo deseen.
Prótesis
Totales Parciales
Prótesis
Metal y acrílico Solo acrílico
Prótesis
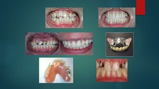
 Implantes
 Son prótesis fijas que se soportan en estructuras
de titanio, que se implantan por medios
quirúrgicos, dentro del hueso maxilar.
Prótesis
Unitarios Múltiples
Salud Pública
Salud Pública
 La salud pública es la disciplina encargada de la protección de la salud a nivel poblacional.
Tiene como objetivo mejorar la salud de la población, así como el control y la erradicación
de las enfermedades.
 Es una ciencia de carácter multidisciplinario, ya que utiliza los conocimientos de otras ramas
del conocimiento como las ciencias Biológicas, Conductuales, Sanitarias y Sociales.
 Es uno de los pilares en la formación de todo profesional de la salud.
Salud Pública
 Las funciones esenciales de la salud
pública son el conjunto de acciones
que deben ser realizadas con fines
concretos, para mejorar la salud de las
poblaciones.
SOMATOPRÓTESIS
Somatoprótesis
 El arte y la ciencia de la
rehabilitación protésica de partes
externas del cuerpo que han sido
perdidas o deformadas.
Somatoprótesis
 Esta prótesis se realiza con el fin de
dar estética a la persona para que esta
pueda llevar una vida con dignidad y
sin ninguna molestia
Somatoprótesis
 Estas prótesis están fabricadas
principalmente a base de siliconas de
presión y metales que sean osteo
compatibles con el paciente
Somatoprótesis
 Son prótesis realizadas para reemplazar
bien sea un ojo, la nariz, oreja o alguna
parte de la cara q ha tenido que ser
removida por problemas cancerígenos,
etc
 Las desfiguraciones causados
por: malformaciones
congénitas, trastornos del
desarrollo; mutilaciones de
origen patológico, como
enfermedades oncológicas y
sus secuelas quirúrgicas;
accidentes de tránsito y
ocupacionales civiles y/o
militares.
HISTORIA DE LA ODONTOLOGIA Y CONCEPTOS BASICOS.pptx

HISTORIA DE LA ODONTOLOGIA Y CONCEPTOS BASICOS.pptx

  • 1.
    HISTORIA DE LA ODONTOLOGIA LUISAFERNANDA PERDOMO LEIVA
  • 2.
    “ la únicaguía para el futuro es el estudio del pasado” Malvin E. Ring
  • 3.
    HISTORIA Y EVOLUCIÓ N • Desdecuando se estudio la odontología como tal • ¿Existían materiales dentales como hoy?
  • 4.
    HISTORIA Y EVOLUCIÓNDE LA SALUD BUCAL Hesy Ra es bien conocido por ciertos títulos únicos. El título más discutido es Wer-ibeh-senjw, que puede traducirse de muchas maneras. Ibeh se puede traducir como «dentición» y / o «marfil» también. Senjw es un plural para «flechas», «cortadores» y / o «médicos» por igual. Así, el título completo Wer-ibeh-senjw puede ser traducido como «Gran uno de los cortadores de marfil» o como «Gran uno de los dentistas».
  • 5.
    HISTORIA Y EVOLUCIÓNDE LA SALUD BUCAL La odontología como en la actualidad se conoce, no siempre ha sido la misma, como los seres humanos, ésta ha evolucionado en la historia. Cuando el hombre primitivo creó el fuego, háblese de 3000 A.C., se sintió seguro, aprendió a conservarlo y a emplearlo para ablandar alimentos, usando principalmente el pescado para su dieta, esto lo llevó a vivir un gran periodo de tiempo a lo largo de los ríos en Egipto y China. Sin embargo, en Egipto y China, una considerable porción del alimento era trigo, maíz, cebada y arroz, con los cuales reemplazaron en su dieta a las raíces, semillas y pastos con los cuales el hombre se había alimentado por muchos años atrás.
  • 6.
    En 700 AClos etruscos fueron los primeros en utilizar material para implantes, tales como el marfil y conchas del mar. Los mayas utilizaban incrustaciones de oro, piedras preciosas o minerales para la restauración de piezas dentales no sólo por estética sino también por ornamentación. Posteriormente los Incas y los Aztecas tomaron los métodos de mayas para la reconstrucción de piezas dentales.
  • 7.
    HISTORIA Y EVOLUCIÓNDE LA SALUD BUCAL Desde sus orígenes hasta hoy, la odontología ha tenido la misma mentalidad predominante curativa y rehabilitadora de siempre. Cerca del año 460 A C Hipócrates describía a los problemas dentales como una situación que debía ser identificada y corregida adecuadamente; él vinculó la caída de los dientes por causa de los alimentos, es decir, fue el que descubrió que alimentos perjudicaban la salud bucal.
  • 8.
    600 aC al400 dC: para esta época en roma se utilizaba el oro como material para cubrir algunos huecos dentales era algo así como una especie de “Empastes” En el año 650 a.C., varios médicos indios identificaron más de 75 dolencias orales. Fueron los etruscos quienes, durante los siglos que ocuparon la península itálica, dejaron allí sus costumbres y cultura, así como sus descubrimientos odontológicos, y los que indujeron a los romanos al uso de las prótesis. En cuanto a la higiene bucodental, aconsejaba el cepillo (Dantakhastra) hecho con ramas de árboles astringentes.
  • 9.
    1250: Fue unfecha controversial, ya que los barberos franceses comenzaron a realizar el oficio de dentista.. 1728: Pierre Fauchard público su obra “El dentista cirujano” donde fue el primero en brindar la información completa de la ciencia de la odontología. Por lo tanto, se considera el padre de la odontología
  • 10.
    Los griegos crearonel primer sillón para fines quirúrgicos y en 1719, en París, el francés Pierre Fauchard, recomendó la utilización de un sillón firme para la comodidad del operador y el paciente; Fauchard pasó a colocar al paciente en una silla con respaldar acolchado. Con el transcurso del tiempo y en busca de una mayor comodidad se adicionó el apoyo para la cabeza y en 1815 se creó la seda dental.
  • 11.
    Phillips Pfapp queen 1756 describió un método para impresiones con cera que después eran vaciadas con yeso, el Dr. francés, N. De Chemant que en 1792 utilizó un proceso para hacer dientes de porcelana, Robert Bunon que será el primero en hablar de Odontología en la Universidad y definió la enfermedad que hoy se conoce como hipoplasia del esmalte. En 1901 se empezó a estudiar las manchas color café en los residentes de colorado y en 1945 se empezaron a fluorar aguas potables para reducir las caries, la primera ciudad de Gran Rapids llegó a ser la primera en el mundo en fluorurar sus abastecimientos de agua potable.
  • 12.
    En 1844 HoraceWells un dentista americano, es el pionero de la anestesia en cirugía junto con sus condiscípulos John M. Riggs y William T.G, Morton, al demostrar que la sedación con óxido nitroso era un principio quirúrgico para realizar la extracción dental sin dolor, Con este notable descubrimiento se abrirían nuevos horizontes para la cirugía en la Odontología y en la Medicina. El Odontólogo americano Willoughby D. Miller describió, por primera vez, en 1890 las bases microbiológicas de la caries dental, lo que sirvió para hacer una llamada de atención sobre la prevención dental el cual tuvo que tener ayuda de la medicina y abrió el camino a las compañías dedicadas al cuidado oral para comerciar con productos de cuidado oral en el hogar.
  • 13.
    Pág. 2 En laradiología, la radiología intraoral fue descubierta por Roentgen en 1895. Por ello recibió el premio Nobel de física. Otros pioneros en radiología dental fueron: Walkhof, que realizó la primera radiografía dental de la historia; Morton, que realizó la primera radiografía dental en EE. UU. (en un cráneo); Kells, que realizó la primera radiografía dental en EE. UU. (en un paciente vivo); y Rollins, que escribió el primer texto sobre los peligros de la radiación X. En 1913 Kodak comercializó el primer paquete de película dental preenvuelta de rayos X. En 1920 se comercializaron los primeros paquetes de películas dentales hechos a máquina.
  • 14.
    La primera referenciaconocida una pasta de dientes se encuentra en un manuscrito de Egipto en el Siglo IV A.C. que establece una mezcla de polvo de sal, pimienta, hojas de menta, iris y flores, era llamada clister. Para fabricarla se mezclaba además, piedra pómez pulverizada, sal pimienta agua, uñas de buey, cáscara de huevo y mirra. En 1842, un dentista llamado Peabody fue el primero en agregar jabón a la pasta de dientes. El primer dentífrico comercializado apareció en Gran Bretaña a finales del Siglo XVIII, en presentación de polvo o pasta envasado en cerámica.
  • 15.
    En 1809, J.Maggiolo insertó un tubo de implante de oro en el hueco de una reciente extracción. Se permitió que este sitio sanara y luego le añadió una corona; desafortunadamente, una extensa inflamación de la encía siguió al procedimiento. Durante este período se utilizaron innumerables sustancias como implantes; estos incluían cápsulas de plata, porcelana corrugada y tubos de iridio. El Dr. EJ Greenfield, en 1913, colocó un “cilindro enrejado hueco de calibre 24 de iridio-platino soldado con oro de 24 quilates” como raíz artificial para “encajar exactamente en la incisión circular que se le hizo en la mandíbula del paciente”
  • 16.
    En la décadade 1938, dos hermanos, los Dres. Alvin y Moses Strock, experimentaron con tornillos ortopédicos hechos de Vitallium (imagen 5) (aleación de cromo- cobalto). Observaron cuidadosamente cómo los médicos colocaban implantes con éxito en el hueso de la cadera, por lo que los implantaron tanto en humanos como en perros para restaurar los dientes individuales. El tornillo Vitallium proporcionó anclaje y soporte para el reemplazo del diente faltante.
  • 17.
    También se pensóque los hermanos Strock fueron los primeros en colocar el primer implante endóseo (en el hueso) exitoso. (Por cierto, el Dr. Alvin Strock no solo trabajó con materiales de implantes, también estableció el uso de antibióticos para el tratamiento a bordo de infecciones periodontales como la boca de trinchera).
  • 18.
  • 19.
    Especialidades Odontológicas  REGLAMENTODE CERTIFICACIÓN DE LAS ESPECIALIDADES Y SUBESPECIALIDADES DE LOS PRESTADORES INDIVIDUALES DE SALUD Y DE LAS ENTIDADES QUE LA OTORGAN
  • 20.
    Especialidades Odontológicas  Especialidad:rama de las ciencias de la salud cuyo objeto es una parte limitada de las mismas, sobre la cual poseen conocimientos y habilidades muy precisos quienes la cultivan o ejercen.  Subespecialidad: parte de una rama de las ciencias de la salud cuyo objeto es una parte limitada de las mismas, sobre la cual poseen conocimientos y habilidades muy precisos quienes la cultivan o ejercen .  Se obtiene posterior a una Especialidad.
  • 21.
  • 22.
    Especialidades Odontológicas  Quienesposean un título o grado académico relativo a dichas especialidades o subespecialidades otorgado por una Universidad del Estado o reconocida por éste.
  • 23.
    Especialidades Odontológicas  Quienesposean un certificado extendido por las corporaciones de derecho privado denominadas Corporación Nacional Autónoma de Certificación de Especialidades Médicas (CONACEM), o por la Corporación Nacional Autónoma de Certificación de Especialidades Odontológicas (CONACEO) O por el colegio odontológico u otras cuyos estatutos contemplen entre sus objetivos emitir certificaciones o acreditaciones de especialización o subespecialización y que se encuentren realizando tales actividades a la fecha de publicación de este Reglamento.
  • 24.
    Especialidades Odontológicas  Quienesmantengan un convenio vigente con el Fondo Nacional de Salud para la atención en Modalidad de Libre Elección y en él sean reconocidos como especialistas o subespecialistas mediante los mecanismos que dicho Fondo haya establecido formalmente.
  • 25.
    Especialidades Odontológicas  CIRUGÍAY TRAUMATOLOGÍA BUCOMÁXILO-FACIAL  ENDODONCIA  IMAGENOLOGÍA  IMPLANTOLOGIA  ODONTOLOGÍA LEGAL  ODONTOPEDIATRÍA  ORTODONCIA  PATOLOGÍA ORAL  PERIODONCIA  REHABILITACIÓN ORAL  SALUD PÚBLICA Subespecialidades:  SOMATO-PRÓTESIS
  • 26.
  • 27.
    Cirugía  Se dedicaal diagnóstico y tratamiento de las enfermedades, traumatismos y defectos de las piezas dentarias, de los maxilares y de los tejidos blandos adyacentes que requieran intervención quirúrgica  La cirugía oral es la especialidad más antigua de la odontología.
  • 28.
    Cirugía Cirugía Bucal Prevención, estudio, diagnosticoy tratamiento medico quirúrgico de: Patología infecciosa Tumoral benigna Traumática Malformaciones Estruturas oseas y mucosas de la cavidad bucal  Cirugía Maxilo facial Estudio, diagnóstico y tratamiento medicoquirúrgico de las alteraciones  Traumáticas  Infecciosas  Tumorales  Funcionales  Estéticas  Malformaciones congénitas o adquiridas
  • 29.
    Cirugía Buco Dental  Ejercidanormalmente por el odontólogo general, realiza intervenciones menores en boca.
  • 30.
    Cirugía Oral y Maxilofacial Por especialistas que se dedican exclusivamente a esa práctica, exige especialización, con conocimientos que los odontologos generales no pueden desarrollarla en toda su magnitud.
  • 31.
  • 32.
  • 33.
  • 34.
    Endodoncia  Endodoncia esel tratamiento de conductos radiculares, esto corresponde a toda terapia que es practicada en el complejo dentino-pulpar (es decir la pulpa dentaria y su dentina) de un diente.
  • 35.
    Endodoncia  Terapias preservary regenerar la pulpa.  Tratamiento de conductos  Retratamiento de conductos  Cirugía endodontica periapical.
  • 36.
    Endodoncia Causas que puedanrequerir endodoncia  Caries dentales muy profundas.  Traumatismos o golpes.  Si la pieza dental ha sido manipulada en distintos procedimientos odontológicos.  Cuando hay una inflamación irreversible del tejido pulpar (pulpitis).  Cuando hay una necrosis (muerte) del tejido pulpar
  • 37.
    Endodoncia OBJETIVOS  Limpiar elsistema de conductos radiculares  La obturación del conducto radicular  Conseguir el sellado del tercio  Conseguir un cierre biológico
  • 38.
  • 39.
  • 40.
  • 41.
  • 42.
    Imagenología  La imagenologíaes la especialidad que se ocupa de generar imágenes del interior del cuerpo mediante diferentes agentes físicos, campos magnéticos, etc. y de utilizar estas imágenes para el diagnóstico y en menor medida, para el pronóstico y el tratamiento de las enfermedades.  También se le denomina genéricamente radiodiagnóstico o diagnóstico por imagen.
  • 43.
    Imagenología  Especialidad quese dedica al estudio mediante imágenes de lo normal y lo anormal del sistema estomatognático.  Radiología convencional  Tomografía.  RNM  Ecografía  Sialografía
  • 44.
    Imagenología  Un aparatode rayos X consta, esencialmente, de un transformador de alta y otro de baja tensión conectados al tubo, un autotransformador y un tubo de rayos X. Como elementos complementarios existen: un reóstato, un voltímetro, un cronómetro, estabilizadores, fusibles de protección, lámpara piloto, toma a tierra e interruptor general.
  • 45.
  • 46.
  • 47.
    Imagenología RADIOGRAFÍA INTRABUCAL  Técnicasperiapicales o retroalveolares  Técnicas interproximales o de aleta mordida  Técnicas oclusales
  • 48.
  • 49.
  • 50.
  • 51.
  • 52.
  • 53.
    Imagenología RADIOGRAFÍA EXTRABUCAL  Extrabucalfrontal  Extrabucal lateral  Teleradiografía  Ortopantomografía  Axiales
  • 54.
  • 55.
  • 56.
  • 57.
  • 58.
  • 59.
  • 60.
  • 61.
  • 62.
  • 63.
    Implantología  Es laespecialidad odontológica que se dedica a la reposición de unidades dentales perdidas por medio de la instalación de implante dental de titanio emplazados en los maxilares, a manera de raíces de dientes (dentro del hueso) y que luego pueden portar coronas.
  • 64.
    Implantología  Son pequeñostornillos cilíndricos que se colocan en los maxilares
  • 65.
  • 66.
    Odontología Legal  Laespecialización en Odontología Legal está destinada a la formación de odontólogos especializados en las determinaciones causales de lesiones presentes en sujetos vivos y/o en cadáveres producidas por mala praxis, accidentes, traumatismos, agresiones, etc.
  • 67.
     Esta carrerarequiere de una capacitación multi e interdisciplinaria con conocimiento de una operativa y práctica particular pues relaciona dos ciencias fundamentales y de alto contenido social: el derecho y la salud.
  • 68.
     Son losautorizados para ejercer auditorias en los subsistemas del estado y en las asociaciones estipulantes de salud.
  • 70.
    ODONTOPEDIATRÍA  Es larama de la odontología encargada de tratar a los niños  Su objetivo fundamental es la prevención y curación de los problemas buco-dentales del niño y del adolescente, tomando en consideración los aspectos sicológicos, biológicos y sociales del paciente.
  • 71.
    ODONTOPEDIATRÍA  El campode la odontología pediátrica se ocupa de la práctica general de la odontología en pacientes menores de 12 años de edad y, en general, en pacientes que poseen la dentición temporal completa o una dentición mixta,
  • 72.
    ODONTOPEDIATRÍA  También seencarga de detectar posibles anomalías en la posición de los maxilares o dientes para remitir al ortodoncista, especialista en ortodoncia, y de hacer un tratamiento restaurador en caso de necesitarlo
  • 73.
  • 74.
    ORTODONCIA  La ortodonciaes la ciencia que idealiza la posición de los dientes y sus procesos alveolares y por otro la que los estudia desde una visión más amplia, los maxilares en su desarrollo, a la que genéricamente se denomina ortopedia dento-maxilar.
  • 75.
    ORTODONCIA  La ortodonciase encarga del estudio, prevención, diagnóstico y tratamiento de las anomalías de forma, posición, relación y función de las estructuras dentomaxilofaciales
  • 76.
    ORTODONCIA  Tratamiento deortodoncia Aparatología fija
  • 77.
     Tratamiento deOrtodoncia Aparatología removible
  • 79.
     Tratamiento deortodoncia Ortodoncia invisible  Técnica Invasilign
  • 80.
     Tratamiento deortodoncia Ortodoncia invisible  Técnica Invisalign
  • 81.
     Tratamiento deortodoncia Ortodoncia invisible  Técnica Invisalign
  • 82.
     Tratamiento deortodoncia Ortodoncia invisible  Técnica lingual
  • 83.
     Tratamiento deortodoncia Ortodoncia invisible  Técnica lingual
  • 84.
     Tratamiento deortodoncia Apiñamiento dental, leve o severo
  • 85.
     Prognatismo La mandíbulay/o los dientes inferiores se hallan adelantados con respecto al maxilar superior.
  • 86.
     Retrognatismo Lamandíbula y/o los dientes inferiores se hallan retrasados con respecto al maxilar superior
  • 87.
     Mordida abierta Cuando alcontactar los dientes superiores contra los inferiores queda un espacio entre ambos dificultando el sellado de los labios
  • 88.
     Mordida cubierta Los dientessuperiores cubren a los inferiores de manera parcial o total
  • 89.
     Mordida cruzada Cuando existeentrecruzamiento de los dientes superiores con los inferiores o viceversa.
  • 90.
     Mordida bisa bis (Borde a borde) Los bordes incisales de los dientes superiores contactan directamente con los bordes incisales de los dientes inferiores
  • 93.
     Mordida entijeras (Colapso) La relación normal entre maxilar superior y mandíbula guarda un patrón conocido como "tijera" (al morder, los dientes superiores cubren ligeramente a los inferiores
  • 94.
     Diastemas Son espaciosde separación entre los dientes y que en condiciones de normalidad no deben existir.
  • 95.
     Brackets Normalmente sonde acero inoxidable. Pueden ser de titano, especialmente para los pacientes que son alérgicos al zinc. También los hay ornamentales de oro. Hay estéticos, que pueden ser de policarbonato, cerámicos o zafiros
  • 96.
  • 97.
  • 98.
  • 99.
  • 100.
    Patología Oral  Estudiosde los cambios morfoestructurales de los tejidos que conforman el territorio maxilofacial.  La Patología Bucal u Oral es una rama de la Odontología y Patología que se encarga de la naturaleza, identificación y tratamiento de las alteraciones y enfermedades localizadas en la cavidad oral, maxilar, mandíbula y órganos dentarios (comprendiendo todas las estructuras que lo conforman), así como las relaciones que estas guardan con problemas sistémicos.
  • 101.
    Patología Oral  Esuna ciencia que estudia las causas, procesos y efectos de las enfermedades que aquejan al complejo oral y maxilofacial. La práctica de la Patología Bucal incluye la investigación y diagnóstico usando exámenes clínicos, radiográficos, microscópicos y bioquímicos así como el manejo de la entidad patológica..
  • 102.
  • 103.
    PERIODONCIA  La periodonciaes la especialidad de la Odontología que estudia la prevención, diagnóstico y tratamiento de las enfermedades y condiciones que afectan los tejidos que dan soporte a los órganos dentarios o a las estructuras que las sustituyen y el mantenimiento de la salud, función y estética de estas estructuras y tejidos.
  • 104.
  • 105.
    PERIODONCIA ENFERMEDAD PERIODONTAL  Laenfermedad periodontal es una infección bacteriana de las encías que destruye las fibras de inserción y el hueso de soporte que mantiene los dientes en la boca
  • 106.
    PERIODONCIA  El estadomenos severo se conoce como gingivitis, y conforme avanza la enfermedad se forman bolsas estas se llenan de infección y destruye mas tejido, hueso y los dientes eventualmente se aflojan y se pierden.
  • 107.
    Rehabilitación Oral  Especialidaddedicada a reestablecer la función del sistema masticatorio mediante la Rehabilitación, reeducación del paciente por medio de elementos protésicos.  La rehabilitación oral es una especialidad dentro de la odontología que combina en forma integral las áreas de prótesis fija, prótesis removible, operatoria, oclusión e Implante dental, que realiza el diagnóstico y plan de tratamiento adecuado al paciente de alta complejidad que requiere recuperar su salud bucal a través de las técnicas más modernas de rehabilitación. A su vez, establece estrecha relación con las demás disciplinas de la odontología, como periodoncia, endodoncia y ortodoncia.
  • 108.
    Rehabilitación Oral  Larehabilitación oral es la parte de la Odontología encargada de la restauración es decir devuelve la función estética y armonía oral mediante prótesis dentales de perdidas de dientes, grandes destrucciones o de solucionar problemas estéticos, siempre buscando una oclusión y función correcta.
  • 110.
  • 111.
    Prótesis  Las PrótesisFijas: mediante los cuales los dientes falsos van anclados, de una manera permanente a los otros dientes sanos presentes en boca.
  • 112.
  • 113.
  • 114.
    Prótesis  Las PrótesisRemovibles: son dentaduras que se sostiene mediante retenedores (ganchos) a los dientes sanos presentes en boca y descansa en el reborde que quedo sin dientes.  Son prótesis que las personas que las usan pueden retirarlas de la boca en el momento que lo deseen.
  • 115.
  • 116.
  • 117.
    Prótesis  Implantes  Sonprótesis fijas que se soportan en estructuras de titanio, que se implantan por medios quirúrgicos, dentro del hueso maxilar.
  • 118.
  • 119.
  • 120.
    Salud Pública  Lasalud pública es la disciplina encargada de la protección de la salud a nivel poblacional. Tiene como objetivo mejorar la salud de la población, así como el control y la erradicación de las enfermedades.  Es una ciencia de carácter multidisciplinario, ya que utiliza los conocimientos de otras ramas del conocimiento como las ciencias Biológicas, Conductuales, Sanitarias y Sociales.  Es uno de los pilares en la formación de todo profesional de la salud.
  • 121.
    Salud Pública  Lasfunciones esenciales de la salud pública son el conjunto de acciones que deben ser realizadas con fines concretos, para mejorar la salud de las poblaciones.
  • 122.
  • 123.
    Somatoprótesis  El artey la ciencia de la rehabilitación protésica de partes externas del cuerpo que han sido perdidas o deformadas.
  • 124.
    Somatoprótesis  Esta prótesisse realiza con el fin de dar estética a la persona para que esta pueda llevar una vida con dignidad y sin ninguna molestia
  • 125.
    Somatoprótesis  Estas prótesisestán fabricadas principalmente a base de siliconas de presión y metales que sean osteo compatibles con el paciente
  • 126.
    Somatoprótesis  Son prótesisrealizadas para reemplazar bien sea un ojo, la nariz, oreja o alguna parte de la cara q ha tenido que ser removida por problemas cancerígenos, etc
  • 127.
     Las desfiguracionescausados por: malformaciones congénitas, trastornos del desarrollo; mutilaciones de origen patológico, como enfermedades oncológicas y sus secuelas quirúrgicas; accidentes de tránsito y ocupacionales civiles y/o militares.

Notas del editor