LEUCEMIA LINFOCITICA
      AGUDA
    Tratamiento
1.   Quimioterapia
2.   Radioterapia
3.   Transplante de médula
     ósea
TRATAMIENTO POR ETAPAS

1.   No tratada
2.   En remisión
3.   Recurrente
CONCEPTOS GENERALES
  SOBRE TRATAMIENTO
A). Medidas generales
q Más de la ½ de niños logran
  su curación
q Alimentación balanceada.
  La actividad escolar debe
  ser esencial y evitar su
  abandono durante el Tto.
Medidas generales

qCuando  se encuentre con
efectos tóxicos a la
quimioterapia un proceso
infeccioso o bien un cuadro
de aplasia medular lo
recomendable será el reposo
en el hogar
Medidas generales
El paciente debe tener
conocimiento de enfermedad
Tto y efectos colaterales
(paciente se encuentra en
inmunosupresión). La
inmuno-supresión se realiza
6 meses después de
terminar el Tto adicional
MEDIDAS DE SOSTÉN Y
      SINTOMÁTICAS
q Esindispensable
 incluyendo la utilización de
 soluciones para
 hidratación, utilización de
 antiemético, antibiótico
 para disminuir al máximo la
 morbilidad.
Se debe evitar la
hospitalización frecuente
sólo se internará en
complicaciones Quiomiot.
Evitar el uso de vit, Ac.
Fólico y medicina tradicional
BASES GENERALES DEL
MANEJO CON QUIMIOTERAPIA
Todos los esquemas de QT
incluyendo un periodo de inducción
a la remisión de aprox 4 á 6
semanas de duración una
desconsolidación de 4 á 12
semanas ded duración y un
esquema de mantenimiento que
dura hasta completar entre 24-36
meses de duración. El paciente
está curado 90-95% pero debe
continuar su ttto.
Manejo de complicaciones y
 Tto en la etapa terminal
q Puede  ser infecciosa,
  Hematol, Metabol, Renal,
  Gastrointestinal, etc. se
  debe abordar al tipo de
  complicación
q Respetar la dignidad e
  integridad del paciente
L E U C E M IA
L IN F O C IT IC
A C R O N IC A
B
FISIOPATOLOGÍA
95% de casos –LLC es una
neoplasia de células B, las
manifestaciones clínicas se
deben a la infiltración
progresiva de la médula ósea,
ganglios linfáticos y otros
tejidos por estos linfocitos
inmunocompetentes
Son de pequeño tamaño,
aspecto maduro y genotipo
B. 5% de LLC – tumores de
células T.
EPIDEMIOLOGÍA:

q   Mas frecuente en personas
    adultas >50 años de los
    países occidentales.
q   En el varón predomina 1.5/1
q   Es la mas lenta de todas las
    leucemias.
q   30% de LLC en países
    occidentales.
CARACTERÍSTICAS
CLINICAS
q Asintomática.
q Síntomas   inespecíficas
  (fatiga, pérdida de peso y
  anorexia).
q Susceptibilidad a
  infecciones bacterianas
  (debido a la hipogamma
  globulinemia).
q   Anemia hemolítica
    autoinmunitaria.
q   Linfadenopatía y
    hepatoesplenomegalia
    (50-60%).
q   Los linfocitos aumentan un
    poco (200,000/ul).
q Linfocitosis  absoluta.
q Adenopatias de carácter
  simétrica (40%)
q El bazo suele palparse
  (20-30%).
q Infiltrados linfoides en piel,
  riñón, glándulas lagrimales o
  salivares, pulmón y otros
  (descartar 2° neoplasia).
q Síndrome Nefrótico.
q Hipertensión Portal por
  hiperplasia nodular
  generativa del hígado por
  infiltración linfoide
CARACTERÍSTICAS DEL
LINFOCITO

Presenta inmunoglobulinas de
superficie (SmIg).
Forman rosetas espontáneas
con hematíes de ratón (RR).
Antígenos de superficie
característicos (HLA-DR, CD19,
CD20, CD21, CD23, CD24)
Existen receptores para el
fragmento de los receptores
C3d.
Algunos presentan receptores
para interleucinas 2 (CD25)
En algunos casos se hallan
antígenos mielociticos (CD11b,
CD13, CD14, CD33, CD36).
Receptores para interferon.
El contenido enzimático de los
linfocitos es anormal.
En las amigdalas y ganglios
linfáticos de personas normales
puede identificarse linfocitos
con mismas características.
ALTERACIONES DE LA
INMUNIDAD
1.- Inmunidad Humoral:
Hipogammaglobulinemia
(20-60%).
La Ig que se halla desendido es
la IgH, IgG e IgA.
Infiltración masiva de la médula
ósea con disminución de
células productoras de Ig,
alteraciones en subpoblaciones
T.
2.- Inmunidad Celular:

Incremento en la cifra absoluta.
Crecimiento de colonias de
linfocitos T.
Disminución de la actividad Nk
(CD16, CD11b, CD56, CD57))
suelen estar incrementados.
COMPLICACIONES

q Infecciones.

q Fenómenos  autoinmunes.
q Transformación de la célula B
  leucémica.
q Segundas neoplacias.
INFECCIONES

q En fases avanzadas.
q Alteraciones de la inmunidad.

q Origen bacteriano y
  localización pulmonar.
q Infecciones víricos (Herpes).
q Primera causa de morbilidad y
  mortalidad.
FENÓMENOS AUTOINMUNES

q Prueba  de Coombs
  (+)=15-35%.
q Los anticuerpos suelen ser de
  tipo IgG.
q Trombocitopenia de tipo
  inmune.
TRANSFORMACIÓN DE LA
CELULA B LEUCEMICA
q Transformación  prolinfocitoide
  (5-10% de casos).
q Linfoma de células grandes
  (3-10% de pctes.) (síndrome
  de Rchter).
q Mieloma múltiple.
TRANSFORMACIÓN DE LA
CELULA B LEUCEMICA
q   Transformación
    prolinfocitoide (5-10% de
    casos).
q   Linfoma de células grandes
    (3-10% de pctes.) (síndrome
    de Rchter).
q   Mieloma múltiple.
SEGUNDAS NEOPLACIAS

q 105  de los enfermos.
q Carcinomas de piel, tubo
  digestivo y pulmón.
q Aparecen en forma previa o
  tras el Dx.
q LLC asociados a enfermedad
  de Hodgkin.
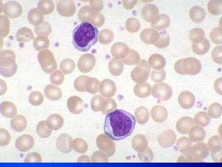
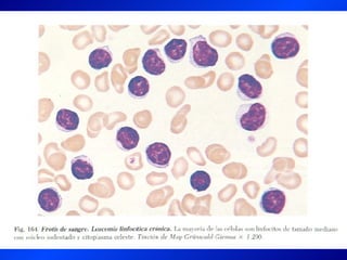
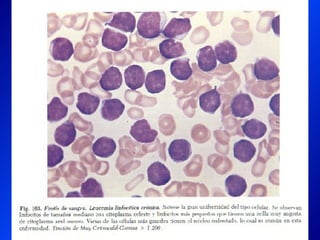
DATOS DE LABORATORIO
qLinfocitosis 20 y 150 X 10/L >a
 75%.
qSon de pequeño tamaño con
 un núcleo redondeado
 cromatina condensada en
 grumos y escaso citoplasma.
qLa hipogammaglobulinemia es
 muy frecuente (20-60% de
 casos).
DIAGNOSTICO DIFERENCIAL

Examen cuidadoso de
linfocitos de sangre
periférico,médula ósea,
ganglios linfáticos y/o bazo
Leucocitosis (>55%) en
sangre periférica y
esplenomegalio
Prolincitos de > tamaño que
los linfocitos poseen mas 5m
Ig
SINTOMAS GENERALES
q Fiebre, sudoración, pérdida
  de peso
q Adenopatías o
  esplenomegalia
q Infecciones repetitivas /
  hipogammaglobulinemia
q Descenso de hemoglobina
  o plaquetas
q Anemia   hemolítica
  autoinmune
q Leucocitosis elevada (>200
  x 10 /L
       9

q Tiempo de duplicación
  linfocitaria rápida (<12
  meses)
TRATAMIENTO
q Mantener al paciente en
  observación unas cuantas
  semanas
q (Biopsia medular), recuento
  de sangre, tiempo de
  duplicación linfocitaria
q Si presenta los síntomas
  generales comenzar el tto.
Disminuir cifras de leucocitosis
LEUCEMIA LINFOCITICA
     CRONICA T
LLC-T
Es en realidad proliferación
monoclonales de linfocitos más
grandes que los de la LLC-B y
que muestran granulaciones
citoplasmáticas (LLGG).
EPIDEMIOLOGIA

LLGG Enfermedad rara (<5% de
toda LLC), aparece en todas las
edades, aunque la edad
promedio es 55-56 años, no
predomina ningún sexo.
CLINICA

q   Asintomático o presenta
    infecciones de repetición.
q   Dato más común
    Esplectomegalia.
q   Hepatomegalia en 20% de
    los casos.
q Adenopatías e infiltración
  de la piel.
q Asocia artritis reumatoidea
  y fenómenos autoinmune.
LABORATORIO

El diagnostico en general
ante una linfocitosis
persistente de al menos
510/Lt
PB. CITOQUÍMICA
Estudia la composición química
de la célula y permita detectar
la localización topográfica
(enzimas, metales pesados,
etc.), es un nexo entre la
morfología y la bioquímica.
CARACTERÍSTICAS

q Linfocitos  grandes.
q Citoplasma abundante.
q Granulaciones azurifilas.
q Fenotipo característico de
  linfocitos postímicos.
Reactividad con marcadores
Pan-T CD2, CD3, CD5, CD7.
Casos: CD3+, CD8+, y CD4-.
La (+) de marcadores propios
de células NK (CD11b, CD16,
CD57) es >frec..
DIAGNOSTICO DIFERENCIAL

Imp. Descartar cualquier tipo
de linfocitosis T reactiva que
acompaña algunas viriasis
(mononucleosis y
citomegalovirus).
Infecciones crónicas
TRATAMIENTO

q   Mejorar las citopenias.
q   Disminuir cifras de
    linfocitosis y las
    viseromegalias.
q   Administración de
    corticoides y/o agentes
    alquilantes.
q Esplectomía para corregir
  la anemia y
  trombocitopenia.
q La neutropenia persiste
  generalmente.
ETAPAS DE LLC
qLLC  en etapa O.
qLLC en etapa I.
qLLC en etapa II.
qLLC en etapa III.
qLLC en etapa IV.
El tratamiento depende de la
etapa de la enfermedad.
Leucemia Linfocitica Cronica B
Leucemia Linfocitica Cronica B
Leucemia Linfocitica Cronica B
Leucemia Linfocitica Cronica B
Leucemia Linfocitica Cronica B
Leucemia Linfocitica Cronica B
Leucemia Linfocitica Cronica B
Leucemia Linfocitica Cronica B
Leucemia Linfocitica Cronica B
Leucemia Linfocitica Cronica B
Leucemia Linfocitica Cronica B
Leucemia Linfocitica Cronica B
Leucemia Linfocitica Cronica B
Leucemia Linfocitica Cronica B
Leucemia Linfocitica Cronica B
Leucemia Linfocitica Cronica B
Leucemia Linfocitica Cronica B
Leucemia Linfocitica Cronica B
Leucemia Linfocitica Cronica B
Leucemia Linfocitica Cronica B
Leucemia Linfocitica Cronica B

Leucemia Linfocitica Cronica B

  • 1.
    LEUCEMIA LINFOCITICA AGUDA Tratamiento
  • 2.
    1. Quimioterapia 2. Radioterapia 3. Transplante de médula ósea
  • 3.
    TRATAMIENTO POR ETAPAS 1. No tratada 2. En remisión 3. Recurrente
  • 4.
    CONCEPTOS GENERALES SOBRE TRATAMIENTO A). Medidas generales q Más de la ½ de niños logran su curación q Alimentación balanceada. La actividad escolar debe ser esencial y evitar su abandono durante el Tto.
  • 5.
    Medidas generales qCuando se encuentre con efectos tóxicos a la quimioterapia un proceso infeccioso o bien un cuadro de aplasia medular lo recomendable será el reposo en el hogar
  • 6.
    Medidas generales El pacientedebe tener conocimiento de enfermedad Tto y efectos colaterales (paciente se encuentra en inmunosupresión). La inmuno-supresión se realiza 6 meses después de terminar el Tto adicional
  • 7.
    MEDIDAS DE SOSTÉNY SINTOMÁTICAS q Esindispensable incluyendo la utilización de soluciones para hidratación, utilización de antiemético, antibiótico para disminuir al máximo la morbilidad.
  • 8.
    Se debe evitarla hospitalización frecuente sólo se internará en complicaciones Quiomiot. Evitar el uso de vit, Ac. Fólico y medicina tradicional
  • 9.
    BASES GENERALES DEL MANEJOCON QUIMIOTERAPIA Todos los esquemas de QT incluyendo un periodo de inducción a la remisión de aprox 4 á 6 semanas de duración una desconsolidación de 4 á 12 semanas ded duración y un esquema de mantenimiento que dura hasta completar entre 24-36 meses de duración. El paciente está curado 90-95% pero debe continuar su ttto.
  • 10.
    Manejo de complicacionesy Tto en la etapa terminal q Puede ser infecciosa, Hematol, Metabol, Renal, Gastrointestinal, etc. se debe abordar al tipo de complicación q Respetar la dignidad e integridad del paciente
  • 11.
    L E UC E M IA L IN F O C IT IC A C R O N IC A B
  • 12.
    FISIOPATOLOGÍA 95% de casos–LLC es una neoplasia de células B, las manifestaciones clínicas se deben a la infiltración progresiva de la médula ósea, ganglios linfáticos y otros tejidos por estos linfocitos inmunocompetentes
  • 13.
    Son de pequeñotamaño, aspecto maduro y genotipo B. 5% de LLC – tumores de células T.
  • 14.
    EPIDEMIOLOGÍA: q Mas frecuente en personas adultas >50 años de los países occidentales. q En el varón predomina 1.5/1 q Es la mas lenta de todas las leucemias. q 30% de LLC en países occidentales.
  • 15.
    CARACTERÍSTICAS CLINICAS q Asintomática. q Síntomas inespecíficas (fatiga, pérdida de peso y anorexia). q Susceptibilidad a infecciones bacterianas (debido a la hipogamma globulinemia).
  • 16.
    q Anemia hemolítica autoinmunitaria. q Linfadenopatía y hepatoesplenomegalia (50-60%). q Los linfocitos aumentan un poco (200,000/ul).
  • 17.
    q Linfocitosis absoluta. q Adenopatias de carácter simétrica (40%) q El bazo suele palparse (20-30%). q Infiltrados linfoides en piel, riñón, glándulas lagrimales o salivares, pulmón y otros (descartar 2° neoplasia).
  • 18.
    q Síndrome Nefrótico. qHipertensión Portal por hiperplasia nodular generativa del hígado por infiltración linfoide
  • 19.
    CARACTERÍSTICAS DEL LINFOCITO Presenta inmunoglobulinasde superficie (SmIg). Forman rosetas espontáneas con hematíes de ratón (RR). Antígenos de superficie característicos (HLA-DR, CD19, CD20, CD21, CD23, CD24)
  • 20.
    Existen receptores parael fragmento de los receptores C3d. Algunos presentan receptores para interleucinas 2 (CD25) En algunos casos se hallan antígenos mielociticos (CD11b, CD13, CD14, CD33, CD36).
  • 21.
    Receptores para interferon. Elcontenido enzimático de los linfocitos es anormal. En las amigdalas y ganglios linfáticos de personas normales puede identificarse linfocitos con mismas características.
  • 23.
  • 24.
    1.- Inmunidad Humoral: Hipogammaglobulinemia (20-60%). LaIg que se halla desendido es la IgH, IgG e IgA. Infiltración masiva de la médula ósea con disminución de células productoras de Ig, alteraciones en subpoblaciones T.
  • 25.
    2.- Inmunidad Celular: Incrementoen la cifra absoluta. Crecimiento de colonias de linfocitos T. Disminución de la actividad Nk (CD16, CD11b, CD56, CD57)) suelen estar incrementados.
  • 26.
    COMPLICACIONES q Infecciones. q Fenómenos autoinmunes. q Transformación de la célula B leucémica. q Segundas neoplacias.
  • 27.
    INFECCIONES q En fasesavanzadas. q Alteraciones de la inmunidad. q Origen bacteriano y localización pulmonar. q Infecciones víricos (Herpes). q Primera causa de morbilidad y mortalidad.
  • 28.
    FENÓMENOS AUTOINMUNES q Prueba de Coombs (+)=15-35%. q Los anticuerpos suelen ser de tipo IgG. q Trombocitopenia de tipo inmune.
  • 29.
    TRANSFORMACIÓN DE LA CELULAB LEUCEMICA q Transformación prolinfocitoide (5-10% de casos). q Linfoma de células grandes (3-10% de pctes.) (síndrome de Rchter). q Mieloma múltiple.
  • 30.
    TRANSFORMACIÓN DE LA CELULAB LEUCEMICA q Transformación prolinfocitoide (5-10% de casos). q Linfoma de células grandes (3-10% de pctes.) (síndrome de Rchter). q Mieloma múltiple.
  • 31.
    SEGUNDAS NEOPLACIAS q 105 de los enfermos. q Carcinomas de piel, tubo digestivo y pulmón. q Aparecen en forma previa o tras el Dx. q LLC asociados a enfermedad de Hodgkin.
  • 32.
    DATOS DE LABORATORIO qLinfocitosis20 y 150 X 10/L >a 75%. qSon de pequeño tamaño con un núcleo redondeado cromatina condensada en grumos y escaso citoplasma. qLa hipogammaglobulinemia es muy frecuente (20-60% de casos).
  • 33.
    DIAGNOSTICO DIFERENCIAL Examen cuidadosode linfocitos de sangre periférico,médula ósea, ganglios linfáticos y/o bazo Leucocitosis (>55%) en sangre periférica y esplenomegalio
  • 34.
    Prolincitos de >tamaño que los linfocitos poseen mas 5m Ig
  • 35.
    SINTOMAS GENERALES q Fiebre,sudoración, pérdida de peso q Adenopatías o esplenomegalia q Infecciones repetitivas / hipogammaglobulinemia q Descenso de hemoglobina o plaquetas
  • 36.
    q Anemia hemolítica autoinmune q Leucocitosis elevada (>200 x 10 /L 9 q Tiempo de duplicación linfocitaria rápida (<12 meses)
  • 37.
    TRATAMIENTO q Mantener alpaciente en observación unas cuantas semanas q (Biopsia medular), recuento de sangre, tiempo de duplicación linfocitaria q Si presenta los síntomas generales comenzar el tto. Disminuir cifras de leucocitosis
  • 38.
  • 39.
    LLC-T Es en realidadproliferación monoclonales de linfocitos más grandes que los de la LLC-B y que muestran granulaciones citoplasmáticas (LLGG).
  • 40.
    EPIDEMIOLOGIA LLGG Enfermedad rara(<5% de toda LLC), aparece en todas las edades, aunque la edad promedio es 55-56 años, no predomina ningún sexo.
  • 41.
    CLINICA q Asintomático o presenta infecciones de repetición. q Dato más común Esplectomegalia. q Hepatomegalia en 20% de los casos.
  • 42.
    q Adenopatías einfiltración de la piel. q Asocia artritis reumatoidea y fenómenos autoinmune.
  • 43.
    LABORATORIO El diagnostico engeneral ante una linfocitosis persistente de al menos 510/Lt
  • 44.
    PB. CITOQUÍMICA Estudia lacomposición química de la célula y permita detectar la localización topográfica (enzimas, metales pesados, etc.), es un nexo entre la morfología y la bioquímica.
  • 45.
    CARACTERÍSTICAS q Linfocitos grandes. q Citoplasma abundante. q Granulaciones azurifilas. q Fenotipo característico de linfocitos postímicos.
  • 46.
    Reactividad con marcadores Pan-TCD2, CD3, CD5, CD7. Casos: CD3+, CD8+, y CD4-. La (+) de marcadores propios de células NK (CD11b, CD16, CD57) es >frec..
  • 47.
    DIAGNOSTICO DIFERENCIAL Imp. Descartarcualquier tipo de linfocitosis T reactiva que acompaña algunas viriasis (mononucleosis y citomegalovirus). Infecciones crónicas
  • 48.
    TRATAMIENTO q Mejorar las citopenias. q Disminuir cifras de linfocitosis y las viseromegalias. q Administración de corticoides y/o agentes alquilantes.
  • 49.
    q Esplectomía paracorregir la anemia y trombocitopenia. q La neutropenia persiste generalmente.
  • 50.
    ETAPAS DE LLC qLLC en etapa O. qLLC en etapa I. qLLC en etapa II. qLLC en etapa III. qLLC en etapa IV. El tratamiento depende de la etapa de la enfermedad.