MALFORMACIONES UTERINO
VAGINALES
M.C MIRELA MALLQUI MEJÍA
GINECO-OBSTETRA
Fellow of the International Federation of Pediatric and Adolescent Gynecology Part I-II
Certificación en Ginecología Infanto Juvenil
Medico Asistente Instituto Nacional de Salud del Niño de San Borja
DESARROLLO DUCTAL:
• Durante las seis primeras semanas del desarrollo embrionario: el feto masculino y femenino son
indistinguibles
• Gonada indiferenciada
• Par de ductos mesonéfricos (ductos de Wolff o genitales masculinos) y
• Par de ductos paramesonéfricos (ductos de Müller o genitales femeninos).
• La presencia del gen SRY promueve que la gónada se diferencie en testículo, su ausencia hace que
se diferencie en ovario.
• Después de la 6º semana de gestación:
o Testículo: Células de Leydig  Testosterona
o Testículo: Sertoli  AMH (Hormona Anti-Mülleriana: regresione ductos mullerianos) y
o Ausencia del factor inhibidor mülleriano (AMH) en el feto femenino promueve un crecimiento
bidireccional del par de ductos de Müller a lo largo del margen lateral de las gónadas y a la vez
se produce una regresión de los ductos de Wolff
7° sem
FUSIÓN DUCTAL:
• Los ductos de Müller crecen, migran caudalmente y se fusionan en la línea media formando el primordio
útero-vaginal.
REABSORCIÓN SEPTAL:
• Entre 9 y 12 semanas de gestación, los conductos de Müller fusionados sufren un proceso de reabsorción del
tabique uterovaginal.
• El proceso de reabsorción se cree que ocurre en ambas direcciones craneal y caudal.
Conducto de Muller:
• Trompas de Falopio
• Útero
• Dos tercios superiores de la
vagina.
Seno urogenital :
• Tercio inferior de vagina
• Himen
• Vestíbulo
Rezagos Embrionarios del Conducto de Wolf
CLASIFICACIÓN DE LA SOCIEDAD
AMERICANA DE MEDICINA
REPRODUCTIVA
SÍNDROME DE MAYER-ROKITANSKY-KUSTER- HAUSER
(10% de las anomalías de los conductos de Müller)
10%
Las trompas son ausentes o muy pobremente desarrolladas.
Los ovarios son normales.
SÍNDROME DE MAYER-ROKITANSKY-KUSTER-
HAUSER (MRKH)
• 1 de cada 5.000 nacidas vivas
• Se asocia a agenesia renal.
• En el 10% de los casos: cordones de tejido fibroso o muscular rudimentario
entre la vejiga y el recto, este bulbo rudimentario tiene endometrio
funcionante o no funcional (capa de endometrio ausente)
• La agenesia total de vagina es usual, pero en un 25% puede existir una
bolsa vaginal (remanente del bulbo senovaginal).
SÍNDROME MRKH: CLÍNICA
• Amenorrea primaria.
• Los genitales externos son
normales.
• El tercio inferior de la vagina puede
estar completamente ausente o ser
una bolsa corta.
• Si existe un remanente funcional se
presentará dolor abdominal cíclico
severo secundaria a criptomenorrea
y hematometra.
SÍNDROME MRKH: Diagnóstico
• El cariotipo es siempre 46, XX.
• Los niveles de hormonas son normales.
• La ecografía pélvica debe ser la primera prueba a la hora de evaluar a
pacientes con sospecha de aplasia uterovaginal.
• Se puede realizar una RMN para visualizar con claridad la malformación.
• Exploración completa (ecografía renal, radiografía de columna, ecografía
cardiaca, evaluación auditiva) para buscar cualquier malformación asociada.
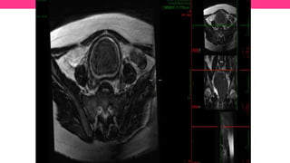
Fig. 4: Fig. 4: Síndrome de Mayer-Rokitansky-Küster-Hauser. A . Sagital FSE T2. B y C. Axial FSE T2. D. FSE T2
con supresión de grasa . La RM muestra la ausencia de útero y vagina. La uretra (flecha blanca sólida) está
situada inmediatamente anterior a la pared rectal (flecha blanca transparente). Agenesia renal izquierda (triángulo
blanco sólido).
SÍNDROME MRKH: Manejo quirúrgico
• NEOVAGINA
• Uso de dispositivos de dilatación para alargar gradualmente la vagina.
• Los casos más severos pueden ser tratados quirúrgicamente mediante el
procedimiento McIndoe o vaginoplastia sigmoide o injerto de piel.
• Si existe un remanente de Müller funcional, independientemente de si se está
"comunicando" se realiza supresión médica de la menstruación seguida de la
extirpación laparoscópica del remanente hipoplásico.
• El tratamiento quirúrgico es obligatorio debido a la posibilidad de
embarazo en el cuerno rudimentario con posibles consecuencias catastróficas
SINDROME DE WUNDERLICH
(11% de las anomalías del conducto de Müller)
SINDROME DE WUNDERLICH
• 30% están asociadas a anomalías del tracto renal .
• Su etiopatogenia es desconocida .
• Se propone una nueva clasificación de este síndrome debido a las
características clínicas que difieren según el nivel de obstrucción completa
e incompleta del septum vaginal, permitiendo un diagnóstico oportuno y
tratamiento eficaz
. 9:
SINDROME DE WUNDERLICH
•
CLASIFICACIÓN 1: HEMIVAGINA COMPLETAMENTE OBSTRUIDA
Clasificación 1.1: con Hemivagina ciega
SINDROME DE WUNDERLICH
•
CLASIFICACIÓN 1: HEMIVAGINA COMPLETAMENTE OBSTRUIDA
Clasificación 1.2: Con atresia cervicovaginal sin comunicación uterina
SINDROME DE WUNDERLICH
CLASIFICACIÓN 2: HEMIVAGINA INCOMPLETA OBSTRUIDA
Clasificación 2.1: Con reabsorción parcial de septum vaginal
SINDROME DE WUNDERLICH
CLASIFICACIÓN 2: HEMIVAGINA INCOMPLETA OBSTRUIDA
Clasificación 2.2: Con útero comunicante
SINDROME DE WUNDERLICH (Caso Clínico 1)
• Paciente de 13 años, sin antecedentes de importancia; acude a nuestro
centro por dolor abdominal cíclico y fiebre de 07 horas de evolución.
• La menarquia se produjo a los 11 años con un régimen catamenial 4/30 con
historia de dismenorrea tolerable (edad ginecológica: 2 años).
• Al examen físico: peso: 42 kilos .Mamas: estadio tanner 4, abdomen doloroso
a la palpación en fosa iliaca izquierda, se palpa masa de 6cm poco móvil.
• Vulva: estadio tanner 4, vaginometria 3cm de borde himeneal.
SINDROME DE WUNDERLICH(caso clínico 1)
DIAGNÓSTICO PREOPERATORIO:
• Útero didelfo a D/C hemivagina izquierda
• Hematómetra
• Hematocolpos ipsolateral
• Agenesia renal izquierdo.
INTERVENCIONES:
• Reccesión de tabique de hemivagina más drenaje
• Vaginosocopia para identificar cérvix: ambos fueron permeables.
DIAGNÓSTICO POSTOPERATORIO:
• Los mismos del preoperatorio + Piocolos 150cc
• Cultivo de secreción de piocolos: Estreptococo alfa hemolítico.
SINDROME DE WUNDERLICH (Caso Clínico 2)
• Paciente de 11 años, con antecedentes de agenesia renal izquierda hace 3
años; acude a nuestro centro por dolor abdominal que se intensifica con la
menstruación de 04 meses de evolución que cede con analgésicos.
• Su menarquia 10 años 8 meses, con régimen catamenial 4/30
• Al examen físico muestra: mamas Tanner 3, abdomen doloroso a la
palpación, genitales externos normales Tanner 2 sangrado vaginal escaso
volumen, tacto rectal vagina ocupada por colección.
SINDROME DE WUNDERLICH(caso clínico 2)
DIAGNÓSTICO PREOPERATORIO:
• Útero didelfo a D/C hemivagina derecha
• Hematómetra
• Hematocolpos ipsolateral
• Agenesia renal derecha
INTERVENCIONES:
• Reccesión de tabique de hemivagina más drenaje
DIAGNÓSTICO POSTOPERATORIO:
• Los mismos del preoperatorio: “Hematocolpos 600cc”
Evolución postoperatoria de las dos pacientes fueron favorables.
TABIQUE VAGINAL TRANSVERSO
• Son defectos en la fusión entre los conductos de Müller de su
desarrollo cefalocaudal y el seno urogenital en desarrollo
caudocefálico.
• La incidencia estimada de septum vaginal transversal es 1 en
70.000 mujeres
• 46% en la vagina superior, el 40% en la vagina media, y el
14% en la vagina inferior
• Segmento grueso o una membrana delgada.
• Obstructivo y no obstructivo (defecto completo e incompleto)
• Etiología es desconocida
TABIQUE VAGINAL: Manifestaciones Clínicas
NEONATAS Y LACTANTES:
• Secreción acumulada por
estimulación estrogénica materna.
• Compresión de órganos vecinos,
dificultad respiratoria, obstrucción
urinaria
PUBERES:
Obstructivos:
• Dolor pélvico.
• Amenorrea primaria.
• Tumor Abdominal.
No obstructivos
• Dismenorrea.
• Flujo Vaginal.
• Metrorragia.
TABIQUE VAGINAL: Exploración Clínica
• EXAMEN FISICO GENERAL:
• Presencia de caracteres sexuales puberales.
• Tratar de precisar la presencia de masa tumoral en abdomen
• EXAMEN GENITAL:
• Mamas: Desarrollo mamario púberes.
• Vulva: Signos de estrogenización en púberes.
• Vaginografia: vagina corta según el nivel de obstrucción alta, media y baja.
TABIQUE VAGINAL: Diagnóstico diferencial
• Atresia vaginal.
• Agenesia vaginal
• Himen Imperforado
• Persistencia del Seno Urogenital.
TABIQUE VAGINAL: Abordaje quirúrgico
• La resección de tabique vaginal transverso es un procedimiento que se
realiza vía vaginal o mixta, dependiendo de la localización del tabique.
• En el periodo neonatal o primera infancia si sean acumulado secreciones,
son necesarios la evacuación y el drenaje inmediato para evitar
complicaciones que comprometan la vida de la paciente.
• En los tabiques del tercio medio e inferior de la vagina, su resección se
realizara por vía vaginal.
• En los tabiques altos, la anastomosis de ambos segmentos es imposible, en
estos casos se requiere crear un espacio entre la vejiga y el recto hasta
identificar la vagina proximal dilatada.
TABIQUE VAGINAL: Abordaje quirúrgico
• Antes de realizar la evacuación del hematocolpos se debe usar la punción y
aspiración con aguja gruesa. se realizara la técnica de z-plastia, se
caracteriza por la apertura central del tabique, la apertura en cuatro partes
y la sección y la sección en dos parte de cada de estas secciones. Estos
cuartos de tabique son utilizados en forma imbricada para tapizar el lecho
cruento de la vagina.
• En algunos casos se requiere una laparotomía para la colocación de una
sonda metálica transuterina desde el fondo uterino hacia la vagina dilatada de
esta manera facilita su reconocimiento para la disección perineal.
COMPLICACIONES:
• Estenosis post resección de tabique vaginal transverso.
• Dismenorrea (20%)
• Dispauremia (30%)
• Hemorragia uterina anormal (30%).
TIPOS
DE
HIMEN
HIMEN IMPERFORADO
• 0.5 a 1/1,000 mujeres.
• Causa más común de obstrucción vaginal.
• El himen es una membrana delgada que normalmente cubre
parte de la abertura vaginal.
• El himen se localiza en el sitio donde la vagina embrionaria
brota del seno urogenital.
• Falta de canalización del tejido conjuntivo del extremo inferior
de la placa vaginal, creando así una oclusión en la salida
vaginal. Cuando el himen cubre esta abertura completamente
entonces se denomina himen imperforado.
• Pueden asociarse malformaciones urogenitales, como la
agenesia renal
HIMEN IMPERFORADO: CLÍNICA
• No suelen presentar problemas hasta que
comienzan la menarquia.
• Amenorrea primaria
• Desarrollo puberal normal
• Dolor y distensión abdominal
• Masa palpable a nivel del hipogastrio y prominencia
del himen.
• Sintomatología genitourinaria: disuria recurrente,
tenesmo, dolor lumbar y retención urinaria.
• Es importante realizar estudios complementarios
para descartar otras malformaciones del conducto
de Müller.
HIMEN IMPERFORADO: DIAGNÓSTICO Y TRATAMIENTO
• El examen ginecologico y
pruebas como la ecografía
pélvica
• La reparación quirúrgica bajo
anestesia, se compone de
una incisión elíptica en la
membrana cerca del anillo
himeneal, por evacuación del
material obstruido.
• La recuperación es muy
sencilla y rápida.
TRASTORNOS DE LA
DIFERENCIACIÓN SEXUAL
(DSD) -2006
INSENSIBILIDAD A LOS ANDRÓGENOS
Clasificación de los fenotipos
Tipo
Genitales externos
(sinónimos)
Características clinicas
CAIS
Femenino ("feminización
testicular")
• Ausencia del conducto de Wolff.
• Ausencia o presencia de epidídimos y/o conductos deferentes.
• Testículos inguinales, labiales o abdominales.
• Vagina ciega corta y ciega.
• Escaso o ausente vello púbico y axilar.
PAIS
Predominantemente femenino
("AIS incompleto")
• Testículos inguinales o labiales.
• Clitoromegalia y fusión labial.
• Distintas aberturas uretrales y vaginales o un seno urogenital.
Ambiguo
•Microfalo (<1 cm) con glande subdesarrollado tipo clítoris; escroto
bífido tipo labios mayores
•Testículos descendentes o no descendidos
•Hipospadias perineoscrotales o seno urogenital
•Ginecomastia (desarrollo de los senos) en la pubertad
Predominantemente masculino
•Hipospadias simples (glandulares o peneanas) o severas (perineales)
aisladas con un pene de tamaño normal y testículos descendidos o
• Hipospadias severas con micropene, escroto bífido y testículos
descendidos o no descendidos
•Ginecomastia en la pubertad
MAIS
Hombre ("síndrome masculino
subvirilizado")
•Espermatogénesis alterada y/o virilización puberal retardada
•Ginecomastia en la pubertad
DSD – PAIS:Caso clínico 5
EXAMEN FÍSICO:
• A los 17 años en la evaluación clínica se describe un peso de 60 kg (P60),
talla de 165 cm (P75).
• Cabeza: Cara alargada, fascies no dismórfica
• Tórax y pulmones: murmullo vesicular audible en ambos hemitórax.
• Aparato Cardiovascular: RCR, no soplos.
• Abdomen: B/D, no visceromegalias, en canal inguinal se palpa una masa de
aprox. 8mm bilateral.
• Genitourinario: En vulva se observa un solo orificio, presencia de falo 2 x 1cm
(impresiona virilización de clítoris - Prader III).
• Piel y Faneras: No presencia de vello facial y vello axilar.
• Tanner: M4 V2
DSD – PAIS:Caso clínico 5
LABORATORIO CLINICO
(EXÁMENES SOLICITADOS)
RESULTADOS VALORES REFERENCIALES
FSH 59.84 mUI/ml HOMBRES : 1.5 - 12.4
MUJERES :
F.Folicular :3.5-12.5
F.Ovulatoria :4.7-21.5
F.Lutea :1.7-7.7
LH 34.54 mUI/ml HOMBRES :1.7-8.6
MUJERES :
F.Folicular :2.4-12.6
F.Ovulatoria :14.0-95.6
F.Lutea :1.0-11.4
ESTRADIOL 1.99 Pg/mL Mujeres :
Pre-puber : 0.10 - 2.50
Fase Folicular: 0.40 - 5.05
Mitad de ciclo: 0.70 - 5.90
Fase Luteal : 0.40 - 5.55
Hombres Adultos: <=0.50
DESHIDROGENASA LACTICA (DHL) 512 U/L 240 - 849
DHE -S 188.6 ug/dL 65.1 - 368
TESTOSTERONA LIBRE 1.24 pg/ml ND-2.24
CARIOTIPO EN SANGRE PERIFERICA 46,XY [20]
MANEJO QUIRUGICO
• Obtener un fragmento de dermis de una o ambas nalgas, empleando un dermátomo de Paget.
• Posteriormente, mientras el cirujano plástico prepara un molde cilíndrico de 10cm de diámetro y
15 cm de longitud con la dermis obtenida.
• El ginecólogo clivaje vesicorrectal: tras exponer correctamente el infundíbulo, se realiza una
incisión transversal, se atraviesan los planos aponeuróticos superficiales y se llega al tejido
celular, el cual se clava fácil mente mediante disección roma.
• La disección lateral es fácil, pero se requiere precaución cuando se libera la cara posterior, en
contacto con el recto.
• Finaliza la creación del nuevo espacio cuando se alcanza el fondo de saco de Douglas,
Hemostasia para conseguir la adherencia del injerto. A continuación, se procede a la introducción
en la neocavidad del molde, con el injerto de piel con la dermis orientada hacia el exterior para
que pueda ser vascularizada.
• Se fija el injerto al introito con puntos sueltos durante el postoperatorio, es importante mantener la
sonda vesical durante 2 días y el molde de gasas durante 10 días.
• En ocasiones es preferible extraer la prótesis bajo anestesia general, ya que permite controlar la
cicatrización del injerto.
• Una vez extraída la prótesis, debe enseñarse a la paciente a introducirse molde se silicona, que
deberá emplear hasta que mantenga relaciones sexuales con asiduidad según protocolo
ABORDAJE
Pediatras Neonatologia
Medicina del
adolescente
Ginecólogos
Endocrinólogos Urologia Genética Cirujanos
Cirujanos
plásticos
Psicólogos Psiquiatras Asesoría legal
Postoperada de inmediata 12
h
72 horas postoperda
14 días postoperada
PROTOCOLO DE DILATACIONES
TIEMPO FRECUENCIA DE
DILATACION
BETADIDEN Y LUBRICANTE
1mes 3/dia Betadine mas lubricante
2 y 4mes 2/dia Betadine mas lubricante
4 al 6 mes 2/dia Betadine mas lubricante
6to a 1 año 1/dia Lubricante
1año al 1año y medio 2/mes Lubricante
2do año 1/mes Lubricante
Despues del 2año 2 a 3/mes Lubricante
Gracias

Malformaciones utero vaginales

  • 1.
    MALFORMACIONES UTERINO VAGINALES M.C MIRELAMALLQUI MEJÍA GINECO-OBSTETRA Fellow of the International Federation of Pediatric and Adolescent Gynecology Part I-II Certificación en Ginecología Infanto Juvenil Medico Asistente Instituto Nacional de Salud del Niño de San Borja
  • 2.
    DESARROLLO DUCTAL: • Durantelas seis primeras semanas del desarrollo embrionario: el feto masculino y femenino son indistinguibles • Gonada indiferenciada • Par de ductos mesonéfricos (ductos de Wolff o genitales masculinos) y • Par de ductos paramesonéfricos (ductos de Müller o genitales femeninos). • La presencia del gen SRY promueve que la gónada se diferencie en testículo, su ausencia hace que se diferencie en ovario. • Después de la 6º semana de gestación: o Testículo: Células de Leydig  Testosterona o Testículo: Sertoli  AMH (Hormona Anti-Mülleriana: regresione ductos mullerianos) y o Ausencia del factor inhibidor mülleriano (AMH) en el feto femenino promueve un crecimiento bidireccional del par de ductos de Müller a lo largo del margen lateral de las gónadas y a la vez se produce una regresión de los ductos de Wolff
  • 3.
  • 4.
    FUSIÓN DUCTAL: • Losductos de Müller crecen, migran caudalmente y se fusionan en la línea media formando el primordio útero-vaginal.
  • 5.
    REABSORCIÓN SEPTAL: • Entre9 y 12 semanas de gestación, los conductos de Müller fusionados sufren un proceso de reabsorción del tabique uterovaginal. • El proceso de reabsorción se cree que ocurre en ambas direcciones craneal y caudal.
  • 6.
    Conducto de Muller: •Trompas de Falopio • Útero • Dos tercios superiores de la vagina. Seno urogenital : • Tercio inferior de vagina • Himen • Vestíbulo
  • 7.
    Rezagos Embrionarios delConducto de Wolf
  • 8.
    CLASIFICACIÓN DE LASOCIEDAD AMERICANA DE MEDICINA REPRODUCTIVA
  • 16.
    SÍNDROME DE MAYER-ROKITANSKY-KUSTER-HAUSER (10% de las anomalías de los conductos de Müller) 10% Las trompas son ausentes o muy pobremente desarrolladas. Los ovarios son normales.
  • 17.
    SÍNDROME DE MAYER-ROKITANSKY-KUSTER- HAUSER(MRKH) • 1 de cada 5.000 nacidas vivas • Se asocia a agenesia renal. • En el 10% de los casos: cordones de tejido fibroso o muscular rudimentario entre la vejiga y el recto, este bulbo rudimentario tiene endometrio funcionante o no funcional (capa de endometrio ausente) • La agenesia total de vagina es usual, pero en un 25% puede existir una bolsa vaginal (remanente del bulbo senovaginal).
  • 18.
    SÍNDROME MRKH: CLÍNICA •Amenorrea primaria. • Los genitales externos son normales. • El tercio inferior de la vagina puede estar completamente ausente o ser una bolsa corta. • Si existe un remanente funcional se presentará dolor abdominal cíclico severo secundaria a criptomenorrea y hematometra.
  • 19.
    SÍNDROME MRKH: Diagnóstico •El cariotipo es siempre 46, XX. • Los niveles de hormonas son normales. • La ecografía pélvica debe ser la primera prueba a la hora de evaluar a pacientes con sospecha de aplasia uterovaginal. • Se puede realizar una RMN para visualizar con claridad la malformación. • Exploración completa (ecografía renal, radiografía de columna, ecografía cardiaca, evaluación auditiva) para buscar cualquier malformación asociada.
  • 20.
    Fig. 4: Fig.4: Síndrome de Mayer-Rokitansky-Küster-Hauser. A . Sagital FSE T2. B y C. Axial FSE T2. D. FSE T2 con supresión de grasa . La RM muestra la ausencia de útero y vagina. La uretra (flecha blanca sólida) está situada inmediatamente anterior a la pared rectal (flecha blanca transparente). Agenesia renal izquierda (triángulo blanco sólido).
  • 21.
    SÍNDROME MRKH: Manejoquirúrgico • NEOVAGINA • Uso de dispositivos de dilatación para alargar gradualmente la vagina. • Los casos más severos pueden ser tratados quirúrgicamente mediante el procedimiento McIndoe o vaginoplastia sigmoide o injerto de piel. • Si existe un remanente de Müller funcional, independientemente de si se está "comunicando" se realiza supresión médica de la menstruación seguida de la extirpación laparoscópica del remanente hipoplásico. • El tratamiento quirúrgico es obligatorio debido a la posibilidad de embarazo en el cuerno rudimentario con posibles consecuencias catastróficas
  • 22.
    SINDROME DE WUNDERLICH (11%de las anomalías del conducto de Müller)
  • 23.
    SINDROME DE WUNDERLICH •30% están asociadas a anomalías del tracto renal . • Su etiopatogenia es desconocida . • Se propone una nueva clasificación de este síndrome debido a las características clínicas que difieren según el nivel de obstrucción completa e incompleta del septum vaginal, permitiendo un diagnóstico oportuno y tratamiento eficaz
  • 24.
  • 25.
    SINDROME DE WUNDERLICH • CLASIFICACIÓN1: HEMIVAGINA COMPLETAMENTE OBSTRUIDA Clasificación 1.1: con Hemivagina ciega
  • 26.
    SINDROME DE WUNDERLICH • CLASIFICACIÓN1: HEMIVAGINA COMPLETAMENTE OBSTRUIDA Clasificación 1.2: Con atresia cervicovaginal sin comunicación uterina
  • 27.
    SINDROME DE WUNDERLICH CLASIFICACIÓN2: HEMIVAGINA INCOMPLETA OBSTRUIDA Clasificación 2.1: Con reabsorción parcial de septum vaginal
  • 28.
    SINDROME DE WUNDERLICH CLASIFICACIÓN2: HEMIVAGINA INCOMPLETA OBSTRUIDA Clasificación 2.2: Con útero comunicante
  • 29.
    SINDROME DE WUNDERLICH(Caso Clínico 1) • Paciente de 13 años, sin antecedentes de importancia; acude a nuestro centro por dolor abdominal cíclico y fiebre de 07 horas de evolución. • La menarquia se produjo a los 11 años con un régimen catamenial 4/30 con historia de dismenorrea tolerable (edad ginecológica: 2 años). • Al examen físico: peso: 42 kilos .Mamas: estadio tanner 4, abdomen doloroso a la palpación en fosa iliaca izquierda, se palpa masa de 6cm poco móvil. • Vulva: estadio tanner 4, vaginometria 3cm de borde himeneal.
  • 33.
    SINDROME DE WUNDERLICH(casoclínico 1) DIAGNÓSTICO PREOPERATORIO: • Útero didelfo a D/C hemivagina izquierda • Hematómetra • Hematocolpos ipsolateral • Agenesia renal izquierdo. INTERVENCIONES: • Reccesión de tabique de hemivagina más drenaje • Vaginosocopia para identificar cérvix: ambos fueron permeables. DIAGNÓSTICO POSTOPERATORIO: • Los mismos del preoperatorio + Piocolos 150cc • Cultivo de secreción de piocolos: Estreptococo alfa hemolítico.
  • 34.
    SINDROME DE WUNDERLICH(Caso Clínico 2) • Paciente de 11 años, con antecedentes de agenesia renal izquierda hace 3 años; acude a nuestro centro por dolor abdominal que se intensifica con la menstruación de 04 meses de evolución que cede con analgésicos. • Su menarquia 10 años 8 meses, con régimen catamenial 4/30 • Al examen físico muestra: mamas Tanner 3, abdomen doloroso a la palpación, genitales externos normales Tanner 2 sangrado vaginal escaso volumen, tacto rectal vagina ocupada por colección.
  • 37.
    SINDROME DE WUNDERLICH(casoclínico 2) DIAGNÓSTICO PREOPERATORIO: • Útero didelfo a D/C hemivagina derecha • Hematómetra • Hematocolpos ipsolateral • Agenesia renal derecha INTERVENCIONES: • Reccesión de tabique de hemivagina más drenaje DIAGNÓSTICO POSTOPERATORIO: • Los mismos del preoperatorio: “Hematocolpos 600cc”
  • 38.
    Evolución postoperatoria delas dos pacientes fueron favorables.
  • 39.
    TABIQUE VAGINAL TRANSVERSO •Son defectos en la fusión entre los conductos de Müller de su desarrollo cefalocaudal y el seno urogenital en desarrollo caudocefálico. • La incidencia estimada de septum vaginal transversal es 1 en 70.000 mujeres • 46% en la vagina superior, el 40% en la vagina media, y el 14% en la vagina inferior • Segmento grueso o una membrana delgada. • Obstructivo y no obstructivo (defecto completo e incompleto) • Etiología es desconocida
  • 40.
    TABIQUE VAGINAL: ManifestacionesClínicas NEONATAS Y LACTANTES: • Secreción acumulada por estimulación estrogénica materna. • Compresión de órganos vecinos, dificultad respiratoria, obstrucción urinaria PUBERES: Obstructivos: • Dolor pélvico. • Amenorrea primaria. • Tumor Abdominal. No obstructivos • Dismenorrea. • Flujo Vaginal. • Metrorragia.
  • 41.
    TABIQUE VAGINAL: ExploraciónClínica • EXAMEN FISICO GENERAL: • Presencia de caracteres sexuales puberales. • Tratar de precisar la presencia de masa tumoral en abdomen • EXAMEN GENITAL: • Mamas: Desarrollo mamario púberes. • Vulva: Signos de estrogenización en púberes. • Vaginografia: vagina corta según el nivel de obstrucción alta, media y baja.
  • 42.
    TABIQUE VAGINAL: Diagnósticodiferencial • Atresia vaginal. • Agenesia vaginal • Himen Imperforado • Persistencia del Seno Urogenital.
  • 44.
    TABIQUE VAGINAL: Abordajequirúrgico • La resección de tabique vaginal transverso es un procedimiento que se realiza vía vaginal o mixta, dependiendo de la localización del tabique. • En el periodo neonatal o primera infancia si sean acumulado secreciones, son necesarios la evacuación y el drenaje inmediato para evitar complicaciones que comprometan la vida de la paciente. • En los tabiques del tercio medio e inferior de la vagina, su resección se realizara por vía vaginal. • En los tabiques altos, la anastomosis de ambos segmentos es imposible, en estos casos se requiere crear un espacio entre la vejiga y el recto hasta identificar la vagina proximal dilatada.
  • 46.
    TABIQUE VAGINAL: Abordajequirúrgico • Antes de realizar la evacuación del hematocolpos se debe usar la punción y aspiración con aguja gruesa. se realizara la técnica de z-plastia, se caracteriza por la apertura central del tabique, la apertura en cuatro partes y la sección y la sección en dos parte de cada de estas secciones. Estos cuartos de tabique son utilizados en forma imbricada para tapizar el lecho cruento de la vagina. • En algunos casos se requiere una laparotomía para la colocación de una sonda metálica transuterina desde el fondo uterino hacia la vagina dilatada de esta manera facilita su reconocimiento para la disección perineal.
  • 49.
    COMPLICACIONES: • Estenosis postresección de tabique vaginal transverso. • Dismenorrea (20%) • Dispauremia (30%) • Hemorragia uterina anormal (30%).
  • 51.
  • 52.
    HIMEN IMPERFORADO • 0.5a 1/1,000 mujeres. • Causa más común de obstrucción vaginal. • El himen es una membrana delgada que normalmente cubre parte de la abertura vaginal. • El himen se localiza en el sitio donde la vagina embrionaria brota del seno urogenital. • Falta de canalización del tejido conjuntivo del extremo inferior de la placa vaginal, creando así una oclusión en la salida vaginal. Cuando el himen cubre esta abertura completamente entonces se denomina himen imperforado. • Pueden asociarse malformaciones urogenitales, como la agenesia renal
  • 53.
    HIMEN IMPERFORADO: CLÍNICA •No suelen presentar problemas hasta que comienzan la menarquia. • Amenorrea primaria • Desarrollo puberal normal • Dolor y distensión abdominal • Masa palpable a nivel del hipogastrio y prominencia del himen. • Sintomatología genitourinaria: disuria recurrente, tenesmo, dolor lumbar y retención urinaria. • Es importante realizar estudios complementarios para descartar otras malformaciones del conducto de Müller.
  • 54.
    HIMEN IMPERFORADO: DIAGNÓSTICOY TRATAMIENTO • El examen ginecologico y pruebas como la ecografía pélvica • La reparación quirúrgica bajo anestesia, se compone de una incisión elíptica en la membrana cerca del anillo himeneal, por evacuación del material obstruido. • La recuperación es muy sencilla y rápida.
  • 58.
  • 59.
  • 60.
    Clasificación de losfenotipos Tipo Genitales externos (sinónimos) Características clinicas CAIS Femenino ("feminización testicular") • Ausencia del conducto de Wolff. • Ausencia o presencia de epidídimos y/o conductos deferentes. • Testículos inguinales, labiales o abdominales. • Vagina ciega corta y ciega. • Escaso o ausente vello púbico y axilar. PAIS Predominantemente femenino ("AIS incompleto") • Testículos inguinales o labiales. • Clitoromegalia y fusión labial. • Distintas aberturas uretrales y vaginales o un seno urogenital. Ambiguo •Microfalo (<1 cm) con glande subdesarrollado tipo clítoris; escroto bífido tipo labios mayores •Testículos descendentes o no descendidos •Hipospadias perineoscrotales o seno urogenital •Ginecomastia (desarrollo de los senos) en la pubertad Predominantemente masculino •Hipospadias simples (glandulares o peneanas) o severas (perineales) aisladas con un pene de tamaño normal y testículos descendidos o • Hipospadias severas con micropene, escroto bífido y testículos descendidos o no descendidos •Ginecomastia en la pubertad MAIS Hombre ("síndrome masculino subvirilizado") •Espermatogénesis alterada y/o virilización puberal retardada •Ginecomastia en la pubertad
  • 61.
    DSD – PAIS:Casoclínico 5 EXAMEN FÍSICO: • A los 17 años en la evaluación clínica se describe un peso de 60 kg (P60), talla de 165 cm (P75). • Cabeza: Cara alargada, fascies no dismórfica • Tórax y pulmones: murmullo vesicular audible en ambos hemitórax. • Aparato Cardiovascular: RCR, no soplos. • Abdomen: B/D, no visceromegalias, en canal inguinal se palpa una masa de aprox. 8mm bilateral. • Genitourinario: En vulva se observa un solo orificio, presencia de falo 2 x 1cm (impresiona virilización de clítoris - Prader III). • Piel y Faneras: No presencia de vello facial y vello axilar. • Tanner: M4 V2
  • 62.
  • 63.
    LABORATORIO CLINICO (EXÁMENES SOLICITADOS) RESULTADOSVALORES REFERENCIALES FSH 59.84 mUI/ml HOMBRES : 1.5 - 12.4 MUJERES : F.Folicular :3.5-12.5 F.Ovulatoria :4.7-21.5 F.Lutea :1.7-7.7 LH 34.54 mUI/ml HOMBRES :1.7-8.6 MUJERES : F.Folicular :2.4-12.6 F.Ovulatoria :14.0-95.6 F.Lutea :1.0-11.4 ESTRADIOL 1.99 Pg/mL Mujeres : Pre-puber : 0.10 - 2.50 Fase Folicular: 0.40 - 5.05 Mitad de ciclo: 0.70 - 5.90 Fase Luteal : 0.40 - 5.55 Hombres Adultos: <=0.50 DESHIDROGENASA LACTICA (DHL) 512 U/L 240 - 849 DHE -S 188.6 ug/dL 65.1 - 368 TESTOSTERONA LIBRE 1.24 pg/ml ND-2.24 CARIOTIPO EN SANGRE PERIFERICA 46,XY [20]
  • 64.
    MANEJO QUIRUGICO • Obtenerun fragmento de dermis de una o ambas nalgas, empleando un dermátomo de Paget. • Posteriormente, mientras el cirujano plástico prepara un molde cilíndrico de 10cm de diámetro y 15 cm de longitud con la dermis obtenida. • El ginecólogo clivaje vesicorrectal: tras exponer correctamente el infundíbulo, se realiza una incisión transversal, se atraviesan los planos aponeuróticos superficiales y se llega al tejido celular, el cual se clava fácil mente mediante disección roma. • La disección lateral es fácil, pero se requiere precaución cuando se libera la cara posterior, en contacto con el recto. • Finaliza la creación del nuevo espacio cuando se alcanza el fondo de saco de Douglas, Hemostasia para conseguir la adherencia del injerto. A continuación, se procede a la introducción en la neocavidad del molde, con el injerto de piel con la dermis orientada hacia el exterior para que pueda ser vascularizada. • Se fija el injerto al introito con puntos sueltos durante el postoperatorio, es importante mantener la sonda vesical durante 2 días y el molde de gasas durante 10 días. • En ocasiones es preferible extraer la prótesis bajo anestesia general, ya que permite controlar la cicatrización del injerto. • Una vez extraída la prótesis, debe enseñarse a la paciente a introducirse molde se silicona, que deberá emplear hasta que mantenga relaciones sexuales con asiduidad según protocolo
  • 65.
    ABORDAJE Pediatras Neonatologia Medicina del adolescente Ginecólogos EndocrinólogosUrologia Genética Cirujanos Cirujanos plásticos Psicólogos Psiquiatras Asesoría legal
  • 66.
    Postoperada de inmediata12 h 72 horas postoperda 14 días postoperada
  • 68.
    PROTOCOLO DE DILATACIONES TIEMPOFRECUENCIA DE DILATACION BETADIDEN Y LUBRICANTE 1mes 3/dia Betadine mas lubricante 2 y 4mes 2/dia Betadine mas lubricante 4 al 6 mes 2/dia Betadine mas lubricante 6to a 1 año 1/dia Lubricante 1año al 1año y medio 2/mes Lubricante 2do año 1/mes Lubricante Despues del 2año 2 a 3/mes Lubricante
  • 69.

Notas del editor

  • #31 Patient 1. Ultrasound shows both hemi-uterus (A), with minimal distention of the left hemi-vagina
  • #36 A) Axial and (B) Coronal T2 WI shows párt of the left hemi-uterus (long arrow) and left hemi-vagina distended (short arrow) with hypointense fluid representing blood products
  • #53 El himen es un vestigio membranoso de la unión entre los bulbos senovaginales y el seno urogenital, generalmente, se perfora durante la vida fetal para establecer una conexión entre la vagina y el periné.
  • #54 El himen es un vestigio membranoso de la unión entre los bulbos senovaginales y el seno urogenital, generalmente, se perfora durante la vida fetal para establecer una conexión entre la vagina y el periné.