DROGAS Y
EMBARAZO
Alejandro Chávez Rubio
Grupo 7-7
Dr. Jesús Valdez Bustillos
ANOMALIAS ANATOMICAS DEL
APARATO REPRODUCTOR
FEMENINO
ANOMALIAS ANATOMICAS
Mutaciones
genéticas.
Detención del
desarrollo.
Hormonas o
factores lesivos.
ASPECTOS GENERALES
 Intervención de muchos tipos
celulares (proliferación y
diferenciación).
 División anatómica de vías
urogenitales.
 CELULAS GERMINATIVAS
PRIMORDIALES.
MESODERMO
INTERMEDIO
CRESTA UROGENITAL
ASPECTOS GENERALES
RIÑONES
MESONEFRICOS
CONDUCTOS DE
WOLFF
CLOACA
YEMA URETERALMETANEFROS
CONDUCTOS DE MULLER
SENO UROGENITAL
3 PARTES
DIFERENCIACION GONADAL
 Sexo genético.
 7 semanas del desarrollo: embriones
iguales.
 Migración por el mesenterio dorsal
para poblar el pliegue genital.
SACO VITELINO: origen de
células germinativas
primordiales
PLIEGUE GENITAL
CORDONES SEXUALES
PRIMITIVOS
PRINCIPALES GENES: SRY, SF1, SOX9, WT1,
WNT4, DAX1.
DIFERENACION GONADAL
Células de
Sertoli
Cordones
testiculares
Células de la
región
medular.
Células de
Leydig (15-18
semanas)
Cordones
sexuales
secundarios
Estimulación
por la FSH.
Ausencia de
cordones
testiculares.
Regresión de la
zona medular.
HORMONA
ANTIMULLERIANA:
regresión del sistema
paramesonefrico
ipsilateral
GUBERNACULUM
TESTIS
6-7 millones de
células germinales.
DETENCION DE LA
MEIOSIS 1.
DESARROLLO DE CONDUCTOS
Crecimiento caudal de los conductos de Muller,
dentro de pliegues peritoneales.
A las 10 semanas, se produce su fusión en la
línea media.
Conducto uterovaginal se une al seno
urogenital.
Diferenciación del útero y cérvix a las 12
semanas. Reabsorción del tabique a las 20.
DESARROLLO DE LA VAGINA.
DESARROLLO DE CONDUCTOS
 TUBERCULO DE MULLER.
 Bulbos sinovaginales.
 Canalización completa.
HIMEN
GENITALES EXTERNOS
PROTUBERANCIAS GENITALES
TUBERCULO GENITAL
PLIEGUES LABIOESCROTALES
FALO Y CLITORIS.
MEMBRANA
UROGENITAL
12 SEMANAS
PLIEGUES
UTETRALES.
GENITALES EXTERNOS
HOMBRE MUJER
Alargue de distancia
anogenital.
No se alarga la distancia
anogenital.
Se agranda el falo. El tubérculo genital se
dobla en sentido caudal.
Fusión de pliegues
labioescrotales.
Formación de labios
mayores y menores.
Fusión de pliegues
uretrales.
Transformación del seno
urogenital.
GENITALES EXTERNOS
INFLUENCIAS GENETICAS
 Genes WNT4, WT1, SF1 Y DAX1.
 Modelos experimentales animales.
 GENES HOX: controlan y regulan
aspectos de morfogénesis y
diferenciación celular. Grupo 9-13.
 Mecanismos aun no definidos del
todo.
ANOMALIAS DEL DESARROLLO SEXUAL
SEUDOHERMAFRODITISMO FEMENINO
• Discrepancia entre sexo gonadal y genitales externos.
• Exposición excesiva a andrógenos
• Existen ovarios y estructuras de conductos internos-
• PUNTUACION DE PRADER
• Hiperplasia suprarrenal congénita (CYP21, CYP11B).
• Exposición a fármacos, tumor ovárico virilizante
CLITORIS
SENO UROGENITAL
PLIEGUES
LABIOESCROTALES
FUNDAMENTAL: adecuación de la
vagina, crear un introito vaginal.
Defectos en
biosíntesis.
Defecto periférico.
Anomalías en el
receptor.
SEUDOHERMAFRODITISMO MASCULINO
1) Enzima desdobladora de
la cadena lateral del
colesterol.
2) 3BHEDH.
3) 17α-hidroxilasa.
4) 17-20, desmolasa.
5) 17BHEDG.
DEFECTO EN LA ENZIMA
5α-REDUCTASA.
SINDROME DE
INSENSIBILIDAD A LOS
ANDROGENOS
SINDROME DE INSENSBILIDAD A LOS ANDROGENOS
 1 caso por cada 13000-41000 vivos.
 Brazo largo del cromosoma X.
 SINDROME COMPLETO:
 Aspecto fenotípico de mujer.
 Amenorrea primaria y escaso vello
púbico y axilar.
 Si desarrollan mamas, genitales
internos anómalos.
 Reposición hormonal adecuada.
RECOMENDACIÓN: extirpar los testículos
para disminuir el riesgo de tumores de
células germinativas.
DISGENESIA GONADAL
 SINDROME DE TURNER (45 X0).
 Anomalías renales, deficiencias auditivas, otitis
media, mastoiditis.
 Mayor incidencia de algunas enfermedades.
 Útero y vagina normales, responden a hormonas
exógenas.
 Mosaicismo.
 Disgenesia gonadal pura (Síndrome de Swyer).
HORMONOTERAPIA: esquema de
comienzo con dosis bajas e incremento con
lentitud.
HERMAFRODITISMO VERDADERO
 Tejido gonadal ovárico y testicular.
 Cariotipo mas común: 46,XX.
 Presencia de ovotesticulos en abdomen, ingle o
escroto.
 LA CANTIDAD DE TESTOSTERONA Y AMH
DETERMINANTES.
 Genitales ambiguos.
 Varones con reversión sexual 46,XX.
REGRESION TESTICULAR EN FASE EMBRIONARIA
 Puede existir útero o no.
 El cariotipo puede ser: 46, XY/45,X, 46, XX o
46,XY.
 Pueden ser heterogéneas las presentaciones
iniciales fenotípicas.
 SINDROME DE KLINEFELTER.
 Talla corta, varones subvirilizados.
 Ginecomastia.
 Testículos firmes y pequeños.
 Disminuye su fecundidad.
DEFECTOS DEL CLITORIS
CLITORIS BIFIDO
Suele surgir con extrofia vesical o
epispadias.
Un caso en 480000 mujeres.
Uretra ensanchada.
Pliegues labiales sin fusionar.
Aplanamiento del monte de venus.
URETRA FALICA FEMENINA
Aparece con persistencia de la cloaca.
Desemboca en la punta del clítoris.
Exposición del embrión a la cocaína.
CLITOROMEGALIA
Índice clitorideo mayor a 10 mm²
Exposición androgénica excesiva.
Fusión de pliegues labioescrotales.
Recién nacidas prematuras.
Presentación de nalgas.
DEFECTOS DEL HIMEN
 Por lo común se perfora durante la vida fetal.
 HIMEN IMPERFORADO:
 Acumulamiento de sangre o moco en la vagina.
 Hidrocolpos/mucocolpos (puede causar
hidronefrosis).
 Protuberancia violácea en el introito.
 Laparoscopia con himenectomia.
 Diferenciar de quistes himenales de la recién nacida.
SINTOMAS
Dolor cíclico
Amenorrea
Dolor abdominal
Dificultad para orinar y
defecar.
COMPLICACION
Endometriosis por
menstruación
retrograda.
DEFECTOS DEL HIMEN
TABIQUE VAGINAL TRANSVERSO
 No se produce la fusión de los conductos de
Muller ni la canalización de la lamina vaginal.
 Puede ser OBSTRUCTIVO o NO OBSTRUCTIVO.
 1 cm como espesor promedio (hasta 5-6 cm).
 Acumulación de liquido y moco en tercio
superior.
 Piomucocolpos, piometra, piosalpinge.
 Pocas anomalías urológicas.
LOCALIZACION FRECUENCIA
Tercio superior. 46%
Zona media. 35%
Tercio inferior. 19%
DIFERENCIAR DEL HIMEN IMPERFORADO.
Dx: ecografía y resonancia
magnética.
Tx: ablación con anastomosis
terminoterminal, técnica de plastia en Z.
TABIQUE VAGINAL LONGITUDINAL
 Deficiente fusión lateral y resorción
incompleta de la porción caudal de los
conductos de Muller.
 Aparece con duplicación cervical o uterina
y anomalías anorrectales.
 Tratamiento: ablación amplia del tabique
obstructivo.
SINTOMAS
• Dificultad en el coito.
• Dolor vaginal y pélvico unilateral cada
mes.
• Masa vaginal y pélvica de un lado.
• Agenesia renal del mismo lado
(OHVIRA).
ANOMALIAS DE LOS CONDUCTOS DE MULLER
 Inicialmente se manifiestan por: trastornos
menstruales, dolor pélvico, infecundidad, perdida
del embarazo.
 57% de las mujeres pueden embarazarse.
 Principales complicaciones obstétricas: perdidas
repetitivas del embarazo, parto prematuro,
presentación fetal anormal y prematurez.
 Se acompañan de anomalías renales en 30-50%
de los casos.
 CLASIFICACION DE BUTTRAM Y GIBBONS.
HIPOPLASIA O AGENESIA DE SEGMENTOS DE LOS CONDUCTOS
DE MULLER
 Causa frecuente de amenorrea primaria.
 Se detecta la presencia de ovarios,
mujeres fenotípicamente normales.
ATRESIA VAGINAL
No existe el tercio inferior de la vagina, genitales externos
normales.
Se detectan 2-3 cm de tejido fibroso (depresión o pequeña
bolsa vaginal).
Se detecta solo después de la menarquia (dolor pélvico
cíclico, por hematocolpos o hematómetra).
La RM es el mejor método diagnostico y descriptivo.
Puede llegar a ser necesaria la laparoscopia.
 AGENESIA CERVICAL:
 Tampoco tienen la porción superior de la vagina.
 El útero muestra desarrollo normal.
 Amenorrea primaria y dolor abdominal o pélvico
cíclico.
 Complicaciones: distensión del útero y
endometriosis.
 Algunos autores recomiendan histerectomía, otros
la creación de una conexión vaginouterina.
 Agonistas o antagonistas GnRH, anticonceptivos
orales.
HIPOPLASIA O AGENESIA DE SEGMENTOS DE LOS CONDUCTOS
DE MULLER
Dx: ecografía y resonancia
magnética.
AGENESIA DE LOS CONDUCTOS DE MULLER
 Síndrome de Mayer-Rokitansky-Kuster-Hauser:
 Bolsa vaginal superficial de 2.5-5cm de profundidad.
 No existen útero, cuello uterino ni tercio superior de
la vagina.
 Ovarios normales.
 2-7% desarrolla endometrio funcional (dolor
abdominal cíclico).
 Es imposible la concepción tradicional.
 15-36% tiene anomalías asociadas (síndrome
MURCS).
 Considerarlas aquejadas de un síndrome complejo.
TRATAMIENTO
 Objetivo principal: creación de una vagina funcional.
 Invaginación progresiva de la depresión vaginal hasta
crear un conducto,
 METODO DE FRANK: dilatadores vaginales de cristal duro,
graduados (éxito del 90%).
 VAGINOPLASTIA DE MCINDOE: creación de un conducto
en el tejido conjuntivo entre la vejiga y el recto.
 Se recubre la neovagina con un injerto de piel.
 Es necesaria la dilatación posoperatoria programada.
 Se puede utilizar un segmento del intestino para crear la
vagina.
 TECNICA DE VECCHIETTI.
UTERO UNICORNE
 No se desarrolla ni elonga uno de los conductos de
Muller.
 En un lado hay útero funcional, cuello uterino normal y
anexos normales.
 En el otro hay un cuerno uterino rudimentario, que no
se comunica.
 Principal síntoma: dolor unilateral cíclico.
 Infecundidad, endometriosis y dismenorrea.
 Aborto espontaneo (36%), parto prematuro (16%) y
nacimiento de producto vivo (54%).
Dx: histerosalpingografia (cavidad
desviada en forma de banana).
Ecografía.
40% de las mujeres tienen
agenesia renal del mismo lado.
UTERO DIDELFO
 Falta de fusión del par de conductos de Muller.
 Dos cuernos uterinos separados, cada uno con cavidad y
cuello propios.
 Tabique vaginal longitudinal.
 Hemivagina obstruida por un tabique transverso u
oblicuo.
 MEJOR PRONOSTICO EN REPRODUCCION.
 Atención prenatal mas oportuna y precisa.
Dx: histerosalpingografia
(descartar comunicación).
CUERNO DERECHO
COMPLICACIONES FRECUENCIA
Aborto espontaneo 21%
Índice de supervivencia fetal. 75%
Prematurez 24%
Restricción del crecimiento. 11%
Mortalidad perinatal 5%
Cesárea. 84%
UTERO BICORNE
 Fusión incompleta de los conductos de Muller.
 Dos cavidades endometriales separadas,
comunicantes, único cuello.
 Culminación razonable de embarazos (60%).
 Parto prematuro.
 Incidencia de 66% de parto prematuro y menor
supervivencia fetal en el completo.
Dx: histerosalpingografia (cuernos
uterinos divergentes).
ECOGRAFIA (88%).
Resonancia magnética.
TRATAMIENTO: metroplastia de
Strassman.
UTERO TABICADO
 No hay regresión de segmentos mediales de los
conductos de Muller fusionados.
 Estructura histológica fibrosa o fibromuscular.
 Incremento en las cifras de aborto espontaneo (42%).
Perdida temprana.
 Implantación completa o parcial en un tabique
avascular.
 Metroplastia abdominal: necesidad de practicar
cesárea, formación de adherencias pélvicas en el
postoperatorio.
Dx: histerosalpingografia.
Ecografía.
Tratamiento: extirpación del tabique
por histeroscopia.
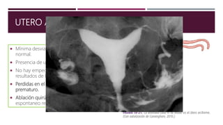
UTERO ARQUEADO
 Mínima desviación del desarrollo uterino
normal.
 Presencia de un tabique en la línea media.
 No hay empeoramiento notable en los
resultados de la esfera reproductiva.
 Perdidas en el segundo trimestre y parto
prematuro.
 Ablación quirúrgica únicamente en aborto
espontaneo repetitivo.
ANOMALIAS INDUCIDAS POR DIETILESTILBESTROL
 Estrógeno no esteroideo sintético (1940-1960).
 Tratar el aborto, preeclampsia, diabetes, bochornos y
parto prematuro.
 Consecuencias: útero en forma de T, adenocarcinoma
de células claras de la vagina y cuello uterino.
 Afectación de la regulación génica.
 Adenosis vaginal: aspecto rojo, multiforme y
granuloso. Se presenta con irritación, secreción
vaginal y metrorragia.
 MALFORMACION: tabique transverso, bordes
circunferenciales y collares cervicales. Acortamiento y
angostamiento de trompas, desaparición de franjas.
METODO PRIMARIO DE DX:
histerosalpingografia.
También afecta a
varones.
ANOMALIAS DE LAS TROMPAS DE
FALOPIO
 Orificios accesorios, agenesia, vestigios
quísticos embrionarios.
 Epooforo y paraoforo.
 Hidátide de Morgagni.
 Quistes paratubarios.
 Exposición al DES: trompas cortas y tortuosas,
con franjas arrugadas y orificios pequeños.
ANOMALIAS OVARICAS
 OVARIO SUPERNUMERARIO:
 Glándula ectópica sin conexión con los
ligamentos anchos.
 Puede localizarse en pelvis, retroperitoneo,
área paraaortica, mesenterio del colon o
epiplón.
 OVARIO ACCESORIO:
 Exceso de tejido ovárico unido a un ovario
normal.
 Ausencia de un ovario: congénita o adquirida.

Expo gine. anomalias anatomicas

  • 1.
    DROGAS Y EMBARAZO Alejandro ChávezRubio Grupo 7-7 Dr. Jesús Valdez Bustillos ANOMALIAS ANATOMICAS DEL APARATO REPRODUCTOR FEMENINO
  • 2.
  • 3.
    ASPECTOS GENERALES  Intervenciónde muchos tipos celulares (proliferación y diferenciación).  División anatómica de vías urogenitales.  CELULAS GERMINATIVAS PRIMORDIALES. MESODERMO INTERMEDIO CRESTA UROGENITAL
  • 4.
    ASPECTOS GENERALES RIÑONES MESONEFRICOS CONDUCTOS DE WOLFF CLOACA YEMAURETERALMETANEFROS CONDUCTOS DE MULLER SENO UROGENITAL 3 PARTES
  • 5.
    DIFERENCIACION GONADAL  Sexogenético.  7 semanas del desarrollo: embriones iguales.  Migración por el mesenterio dorsal para poblar el pliegue genital. SACO VITELINO: origen de células germinativas primordiales PLIEGUE GENITAL CORDONES SEXUALES PRIMITIVOS PRINCIPALES GENES: SRY, SF1, SOX9, WT1, WNT4, DAX1.
  • 6.
    DIFERENACION GONADAL Células de Sertoli Cordones testiculares Célulasde la región medular. Células de Leydig (15-18 semanas) Cordones sexuales secundarios Estimulación por la FSH. Ausencia de cordones testiculares. Regresión de la zona medular. HORMONA ANTIMULLERIANA: regresión del sistema paramesonefrico ipsilateral GUBERNACULUM TESTIS 6-7 millones de células germinales. DETENCION DE LA MEIOSIS 1.
  • 7.
    DESARROLLO DE CONDUCTOS Crecimientocaudal de los conductos de Muller, dentro de pliegues peritoneales. A las 10 semanas, se produce su fusión en la línea media. Conducto uterovaginal se une al seno urogenital. Diferenciación del útero y cérvix a las 12 semanas. Reabsorción del tabique a las 20. DESARROLLO DE LA VAGINA.
  • 8.
    DESARROLLO DE CONDUCTOS TUBERCULO DE MULLER.  Bulbos sinovaginales.  Canalización completa. HIMEN
  • 9.
    GENITALES EXTERNOS PROTUBERANCIAS GENITALES TUBERCULOGENITAL PLIEGUES LABIOESCROTALES FALO Y CLITORIS. MEMBRANA UROGENITAL 12 SEMANAS PLIEGUES UTETRALES.
  • 10.
    GENITALES EXTERNOS HOMBRE MUJER Alarguede distancia anogenital. No se alarga la distancia anogenital. Se agranda el falo. El tubérculo genital se dobla en sentido caudal. Fusión de pliegues labioescrotales. Formación de labios mayores y menores. Fusión de pliegues uretrales. Transformación del seno urogenital.
  • 11.
  • 13.
    INFLUENCIAS GENETICAS  GenesWNT4, WT1, SF1 Y DAX1.  Modelos experimentales animales.  GENES HOX: controlan y regulan aspectos de morfogénesis y diferenciación celular. Grupo 9-13.  Mecanismos aun no definidos del todo.
  • 14.
  • 15.
    SEUDOHERMAFRODITISMO FEMENINO • Discrepanciaentre sexo gonadal y genitales externos. • Exposición excesiva a andrógenos • Existen ovarios y estructuras de conductos internos- • PUNTUACION DE PRADER • Hiperplasia suprarrenal congénita (CYP21, CYP11B). • Exposición a fármacos, tumor ovárico virilizante
  • 16.
  • 17.
    Defectos en biosíntesis. Defecto periférico. Anomalíasen el receptor. SEUDOHERMAFRODITISMO MASCULINO 1) Enzima desdobladora de la cadena lateral del colesterol. 2) 3BHEDH. 3) 17α-hidroxilasa. 4) 17-20, desmolasa. 5) 17BHEDG. DEFECTO EN LA ENZIMA 5α-REDUCTASA. SINDROME DE INSENSIBILIDAD A LOS ANDROGENOS
  • 18.
    SINDROME DE INSENSBILIDADA LOS ANDROGENOS  1 caso por cada 13000-41000 vivos.  Brazo largo del cromosoma X.  SINDROME COMPLETO:  Aspecto fenotípico de mujer.  Amenorrea primaria y escaso vello púbico y axilar.  Si desarrollan mamas, genitales internos anómalos.  Reposición hormonal adecuada. RECOMENDACIÓN: extirpar los testículos para disminuir el riesgo de tumores de células germinativas.
  • 19.
    DISGENESIA GONADAL  SINDROMEDE TURNER (45 X0).  Anomalías renales, deficiencias auditivas, otitis media, mastoiditis.  Mayor incidencia de algunas enfermedades.  Útero y vagina normales, responden a hormonas exógenas.  Mosaicismo.  Disgenesia gonadal pura (Síndrome de Swyer). HORMONOTERAPIA: esquema de comienzo con dosis bajas e incremento con lentitud.
  • 20.
    HERMAFRODITISMO VERDADERO  Tejidogonadal ovárico y testicular.  Cariotipo mas común: 46,XX.  Presencia de ovotesticulos en abdomen, ingle o escroto.  LA CANTIDAD DE TESTOSTERONA Y AMH DETERMINANTES.  Genitales ambiguos.  Varones con reversión sexual 46,XX.
  • 21.
    REGRESION TESTICULAR ENFASE EMBRIONARIA  Puede existir útero o no.  El cariotipo puede ser: 46, XY/45,X, 46, XX o 46,XY.  Pueden ser heterogéneas las presentaciones iniciales fenotípicas.  SINDROME DE KLINEFELTER.  Talla corta, varones subvirilizados.  Ginecomastia.  Testículos firmes y pequeños.  Disminuye su fecundidad.
  • 23.
    DEFECTOS DEL CLITORIS CLITORISBIFIDO Suele surgir con extrofia vesical o epispadias. Un caso en 480000 mujeres. Uretra ensanchada. Pliegues labiales sin fusionar. Aplanamiento del monte de venus. URETRA FALICA FEMENINA Aparece con persistencia de la cloaca. Desemboca en la punta del clítoris. Exposición del embrión a la cocaína. CLITOROMEGALIA Índice clitorideo mayor a 10 mm² Exposición androgénica excesiva. Fusión de pliegues labioescrotales. Recién nacidas prematuras. Presentación de nalgas.
  • 24.
    DEFECTOS DEL HIMEN Por lo común se perfora durante la vida fetal.  HIMEN IMPERFORADO:  Acumulamiento de sangre o moco en la vagina.  Hidrocolpos/mucocolpos (puede causar hidronefrosis).  Protuberancia violácea en el introito.  Laparoscopia con himenectomia.  Diferenciar de quistes himenales de la recién nacida. SINTOMAS Dolor cíclico Amenorrea Dolor abdominal Dificultad para orinar y defecar. COMPLICACION Endometriosis por menstruación retrograda.
  • 25.
  • 26.
    TABIQUE VAGINAL TRANSVERSO No se produce la fusión de los conductos de Muller ni la canalización de la lamina vaginal.  Puede ser OBSTRUCTIVO o NO OBSTRUCTIVO.  1 cm como espesor promedio (hasta 5-6 cm).  Acumulación de liquido y moco en tercio superior.  Piomucocolpos, piometra, piosalpinge.  Pocas anomalías urológicas. LOCALIZACION FRECUENCIA Tercio superior. 46% Zona media. 35% Tercio inferior. 19% DIFERENCIAR DEL HIMEN IMPERFORADO. Dx: ecografía y resonancia magnética. Tx: ablación con anastomosis terminoterminal, técnica de plastia en Z.
  • 27.
    TABIQUE VAGINAL LONGITUDINAL Deficiente fusión lateral y resorción incompleta de la porción caudal de los conductos de Muller.  Aparece con duplicación cervical o uterina y anomalías anorrectales.  Tratamiento: ablación amplia del tabique obstructivo. SINTOMAS • Dificultad en el coito. • Dolor vaginal y pélvico unilateral cada mes. • Masa vaginal y pélvica de un lado. • Agenesia renal del mismo lado (OHVIRA).
  • 28.
    ANOMALIAS DE LOSCONDUCTOS DE MULLER  Inicialmente se manifiestan por: trastornos menstruales, dolor pélvico, infecundidad, perdida del embarazo.  57% de las mujeres pueden embarazarse.  Principales complicaciones obstétricas: perdidas repetitivas del embarazo, parto prematuro, presentación fetal anormal y prematurez.  Se acompañan de anomalías renales en 30-50% de los casos.  CLASIFICACION DE BUTTRAM Y GIBBONS.
  • 29.
    HIPOPLASIA O AGENESIADE SEGMENTOS DE LOS CONDUCTOS DE MULLER  Causa frecuente de amenorrea primaria.  Se detecta la presencia de ovarios, mujeres fenotípicamente normales. ATRESIA VAGINAL No existe el tercio inferior de la vagina, genitales externos normales. Se detectan 2-3 cm de tejido fibroso (depresión o pequeña bolsa vaginal). Se detecta solo después de la menarquia (dolor pélvico cíclico, por hematocolpos o hematómetra). La RM es el mejor método diagnostico y descriptivo. Puede llegar a ser necesaria la laparoscopia.
  • 30.
     AGENESIA CERVICAL: Tampoco tienen la porción superior de la vagina.  El útero muestra desarrollo normal.  Amenorrea primaria y dolor abdominal o pélvico cíclico.  Complicaciones: distensión del útero y endometriosis.  Algunos autores recomiendan histerectomía, otros la creación de una conexión vaginouterina.  Agonistas o antagonistas GnRH, anticonceptivos orales. HIPOPLASIA O AGENESIA DE SEGMENTOS DE LOS CONDUCTOS DE MULLER Dx: ecografía y resonancia magnética.
  • 31.
    AGENESIA DE LOSCONDUCTOS DE MULLER  Síndrome de Mayer-Rokitansky-Kuster-Hauser:  Bolsa vaginal superficial de 2.5-5cm de profundidad.  No existen útero, cuello uterino ni tercio superior de la vagina.  Ovarios normales.  2-7% desarrolla endometrio funcional (dolor abdominal cíclico).  Es imposible la concepción tradicional.  15-36% tiene anomalías asociadas (síndrome MURCS).  Considerarlas aquejadas de un síndrome complejo.
  • 32.
    TRATAMIENTO  Objetivo principal:creación de una vagina funcional.  Invaginación progresiva de la depresión vaginal hasta crear un conducto,  METODO DE FRANK: dilatadores vaginales de cristal duro, graduados (éxito del 90%).  VAGINOPLASTIA DE MCINDOE: creación de un conducto en el tejido conjuntivo entre la vejiga y el recto.  Se recubre la neovagina con un injerto de piel.  Es necesaria la dilatación posoperatoria programada.  Se puede utilizar un segmento del intestino para crear la vagina.  TECNICA DE VECCHIETTI.
  • 33.
    UTERO UNICORNE  Nose desarrolla ni elonga uno de los conductos de Muller.  En un lado hay útero funcional, cuello uterino normal y anexos normales.  En el otro hay un cuerno uterino rudimentario, que no se comunica.  Principal síntoma: dolor unilateral cíclico.  Infecundidad, endometriosis y dismenorrea.  Aborto espontaneo (36%), parto prematuro (16%) y nacimiento de producto vivo (54%). Dx: histerosalpingografia (cavidad desviada en forma de banana). Ecografía. 40% de las mujeres tienen agenesia renal del mismo lado.
  • 34.
    UTERO DIDELFO  Faltade fusión del par de conductos de Muller.  Dos cuernos uterinos separados, cada uno con cavidad y cuello propios.  Tabique vaginal longitudinal.  Hemivagina obstruida por un tabique transverso u oblicuo.  MEJOR PRONOSTICO EN REPRODUCCION.  Atención prenatal mas oportuna y precisa. Dx: histerosalpingografia (descartar comunicación). CUERNO DERECHO COMPLICACIONES FRECUENCIA Aborto espontaneo 21% Índice de supervivencia fetal. 75% Prematurez 24% Restricción del crecimiento. 11% Mortalidad perinatal 5% Cesárea. 84%
  • 35.
    UTERO BICORNE  Fusiónincompleta de los conductos de Muller.  Dos cavidades endometriales separadas, comunicantes, único cuello.  Culminación razonable de embarazos (60%).  Parto prematuro.  Incidencia de 66% de parto prematuro y menor supervivencia fetal en el completo. Dx: histerosalpingografia (cuernos uterinos divergentes). ECOGRAFIA (88%). Resonancia magnética. TRATAMIENTO: metroplastia de Strassman.
  • 36.
    UTERO TABICADO  Nohay regresión de segmentos mediales de los conductos de Muller fusionados.  Estructura histológica fibrosa o fibromuscular.  Incremento en las cifras de aborto espontaneo (42%). Perdida temprana.  Implantación completa o parcial en un tabique avascular.  Metroplastia abdominal: necesidad de practicar cesárea, formación de adherencias pélvicas en el postoperatorio. Dx: histerosalpingografia. Ecografía. Tratamiento: extirpación del tabique por histeroscopia.
  • 37.
    UTERO ARQUEADO  Mínimadesviación del desarrollo uterino normal.  Presencia de un tabique en la línea media.  No hay empeoramiento notable en los resultados de la esfera reproductiva.  Perdidas en el segundo trimestre y parto prematuro.  Ablación quirúrgica únicamente en aborto espontaneo repetitivo.
  • 38.
    ANOMALIAS INDUCIDAS PORDIETILESTILBESTROL  Estrógeno no esteroideo sintético (1940-1960).  Tratar el aborto, preeclampsia, diabetes, bochornos y parto prematuro.  Consecuencias: útero en forma de T, adenocarcinoma de células claras de la vagina y cuello uterino.  Afectación de la regulación génica.  Adenosis vaginal: aspecto rojo, multiforme y granuloso. Se presenta con irritación, secreción vaginal y metrorragia.  MALFORMACION: tabique transverso, bordes circunferenciales y collares cervicales. Acortamiento y angostamiento de trompas, desaparición de franjas. METODO PRIMARIO DE DX: histerosalpingografia. También afecta a varones.
  • 39.
    ANOMALIAS DE LASTROMPAS DE FALOPIO  Orificios accesorios, agenesia, vestigios quísticos embrionarios.  Epooforo y paraoforo.  Hidátide de Morgagni.  Quistes paratubarios.  Exposición al DES: trompas cortas y tortuosas, con franjas arrugadas y orificios pequeños.
  • 40.
    ANOMALIAS OVARICAS  OVARIOSUPERNUMERARIO:  Glándula ectópica sin conexión con los ligamentos anchos.  Puede localizarse en pelvis, retroperitoneo, área paraaortica, mesenterio del colon o epiplón.  OVARIO ACCESORIO:  Exceso de tejido ovárico unido a un ovario normal.  Ausencia de un ovario: congénita o adquirida.