Presentado por:
German Romero
El sarcoma de Kaposi (SK) es
una neoplasia de células
endoteliales linfáticas.
Fue descrita por primera vez en 1872
en Viena por el dermatólogo húngaro
Moritz Kaposi, bajo el nombre de
“sarcoma múltiple pigmentado
idiopático”
también llamado
angiosarcoma de
Kaposi o sarcoma
hemorrágico
idiopático múltiple.
http://articulos.sld.cu/saludeseltema
/2015/12/02/sarcoma-de-kaposi-sk/
Afecta predominantemente
a hombres homosexuales.
Es principalmente asintomático, en la cavidad
bucal aparece con mayor frecuencia en la encía, en
La fotografía podemos observar el clásico SK,
Como una agrupación de nódulos que forman una
Tumoración maligna, la cual tiene la característica
De que el paciente no presenta cuadro de dolor,
Es de color rojo violáceo con algunas zonas mas
Oscuras, presenta cuadro inflamatorio.
Son numerosos los agentes infecciosos a los que se ha intentado atribuir el SK. En 1994, Chang y
colaboradores descubrieron la presencia de ADN de un nuevo tipo de virus herpes en muestras cutáneas
de SK, a partir de ese momento se ha descrito la presencia del virus herpes humano 8 (VHH-8).
El virus que parece ser condición necesaria, pero no absoluta para el desarrollo de la enfermedad. El
SK es originado por una proliferación excesiva de células fusiformes que se cree que provienen de
las células endoteliales.
una compleja desregulación inmune es el tema central de la patogénesis del SK. Esto incluye defectos de
inmunidad celular, defectos de la inmunidad humoral y anomalías del factor de crecimiento endotelial
vascular.
Se han descrito
hasta 10 variantes
diferentes de
lesiones:
Máculas
Placas
Nódulos
linfadenopática
exofítica
infiltrativa
equimótica
telangiectásica
queloidal
y cavernosa o
linfangiomatosa
Las lesiones pueden variar de un
tamaño pequeño hasta varios
centímetros de diámetro. En su
evolución pueden permanecer
estables durante meses o crecer
rápidamente y diseminarse
https://www.menarini.es/images/dermatopatologia/Derma135.pdf
https://www.menarini.es/images/dermatopatologia/Derma135.pdf
https://www.menarini.es/images/dermatopatologia/Derma135.pdf
https://www.menarini.es/images/dermatopatologia/Derma135.pdf
Diversas lesiones orales y
periorales son comunes en
pacientes infectados con el
VIH, siendo el SK
Oral una de las
manifestaciones clínicas
significativamente asociadas
con pacientes hombres
homosexuales, que se
Encuentran con severo
deterioro inmunológico
La aparición enboca ocurre en un 4 - 8% de pacientes
varones con SIDA.
su presentación oral/perioral comprende el 50% ó
Más de los pacientes con SK mucocutáneo.
El SK oral se puede presentar como:
-mácula
-pápula
-tumor
Color rojo, azul o púrpura con o sin ulceración.
su ubicación
más
frecuente: el
paladar, la
encía y el
dorso de la
lengua
Las lesiones tumorales se inician
como parches rojo-violáceos
las dimensiones
varían de pocos
milímetros a
varios
centímetros
Puede aparecer como una lesión
única o múltiple
para luego formar
nódulos que
asemejan
hemangiomas o
granulomas
reactivos
La progresión de las lesiones a
estadios tumorales se asocia
con aumento de la
inmunosupresión.
http://sisbib.unmsm.edu.pe/bvrevistas/folia/vol16_n1/pdf/a09.pdf
 Terapia local , incluyendo cirugía.
 Terapia de radiación
 Quimioterapia
 La terapia biológica
INTRODUCCIÓN
Se ha establecido que el crecimiento, la progresión y las metástasis de los
tumores sólidos, constituyen procesos dependientes de la angiogénesis
(formación de nuevos vasos sanguíneos a partir de capilares preexistentes). En la
mucosa bucal se producen diversas lesiones premalignas y malignas, las cuales se
han empleado como un modelo de progresión tumoral.
Se determinó la densidad vascular, como una medida de la respuesta angiogénica,
en grupos de lesiones con diferentes grados de displasia y carcinomas
espinocelulares
El crecimiento de las neoplasias más allá de 1 a 2 mm requiere del riego sanguíneo, el cual
aporta el oxígeno, los nutrientes y los factores de crecimiento requeridos por las células
tumorales para la expansión del tumor. Esta teoría originalmente postulada por Judah
Folkman, ha impulsado dramáticamente el estudio de la angiogénesis en el área oncológica
en las últimas dos décadas.
La angiogénesis es un proceso complejo en el que se encuentran implicados distintos
tipos celulares (células tumorales, células endoteliales, macrófagos y otras.
El aumento de la vascularización, como una medida de la respuesta angiogénica,
posiblemente constituye un evento temprano en el desarrollo de la carcinogénesis bucal.
ANGIOSARCOMA
Los angiosarcomas de cabeza y cuello
afectan con mayor frecuencia el cuero
cabelludo. Los de cavidad oral suponen el
1% del total (primarios o metastásicos).
Dolorosos, sangrantes.
Nódulos ovoides o redondos,
rojizos o azulados.
Rápido crecimiento con
extensa afectación de partes
blandas
Afecta a pacientes mayores con mayor
incidencia en varones.
Muchos de los casos publicados se
originan en la encía.
DIAGNOSTICO
DIFERENCIAL
Hemangioma, granuloma pirógeno,
sarcoma de Kaposi, melanoma o metástasis
de carcinoma
Amplio espectro de
diferenciación histológica.
Tratamiento no estandarizado: Cirugía
radical + radioterapia +/- quimioterapia.
Fuerte tendencia a recurrir
localmente y a producir metástasis
a distancia.
Pronóstico pobre:
• El tamaño, la localización y el grado histológico puede
que afecte a la supervivencia.
• Mejor resultado con angiosarcomas de alto grado
• Supervivencia del 12% a los 5 años
El hemangioendotelioma epitelioide es una rara neoplasia vascular de tejidos blandos, descrita por
Weiss y Enzinger. Es localmente agresivo, con un nivel intermedio o bajo potencial maligno y con
crecimiento intermedio entre el hemangioma y un angiosarcoma.
su localización más frecuente es el hígado, pulmón, páncreas, bazo y tejidos blandos; raramente se
presenta en la cavidad oral, hueso y áreas de cabeza y cuello. Tiene preferencia por los adultos
jóvenes
HEMANGIOENDOTELIOMA EPITELIOIDE.
Los síntomas varían desde lesión ulcerada, lesión eritematosa, nódulo o masa rosada.
La edad de presentación varía de 4 a 45 años, con predominio de 8:1 en mujeres. Se
localizan sobre todo en mucosa gingival mandibular, presentando con frecuencia
erosión ósea.
SINTOMAS:
Paciente femenino de 39 años de edad, originaria de Veracruz y
residente del Distrito Federal desde hace 20 años, antecedentes de
bocio multinodular que requirió tratamiento con yodo radiactivo,
condicionando hipotiroidismo en tratamiento con levotiroxina 100 µg
cada 24 horas; alérgica a sulfas, miomatosis uterina de 3 meses de
evolución, síndrome mielodisplásico de reciente diagnóstico; cuenta
con TAC de abdomen en la cual se observan lesiones multifocales
hepáticas y esplénicas compatibles con metástasis. Enviada a la
consulta externa de cirugía maxilofacial por el Servicio de Hematología
por presentar dolor preauricular bilateral con predominio derecho,
involucrando músculos del cuello, limitación a la apertura bucal,
discreto aumento de volumen de ángulo mandibular derecho
CASO CLINÍCO
Asimetría en tercio inferior derecho a expensas de tumoración a
nivel de ángulo mandibular de aproximadamente 1 x 1 cm, doloroso
a la palpación. Intraoralmente, apertura bucal de 1.5 cm, dentición
completa, palidez de mucosa oral, semihidratada, aumento de
volumen a nivel retromolar.
EXPLORACION FISICA
DIAGNOSTICO  Se solicita TAC con reconstrucción 3D, en la cual se
observa destrucción de cortical lingual y vestibular en
ángulo y rama mandibular derecha.
 Se realiza biopsia incisional, bajo anestesia local con incisión en región retromolar
inferior derecha, encontrando pérdida de cortical vestibular y lingual, tejido de tipo
hamartomatoso, friable al manejo, múltiples fragmentos que en conjunto miden
aproximadamente 3 x 2 cm
 se envía muestra para estudio histopatológico para
descartar malignidad. El estudio anatomopatológico
revela tejidos blandos con infiltración por neoplasia
fusocelular y epitelioide
 .Se realiza estudio inmunohistoquímico, con
diagnóstico definitivo de hemangioendotelioma
epitelioide
TRATAMIENTO
El tratamiento incluye excisión-amplia
resección en bloque
 http://www.medigraphic.com/pdfs/actmed/am-2013/am131d.pdf
 https://www.menarini.es/images/dermatopatologia/Derma135.pdf
 http://sisbib.unmsm.edu.pe/bvrevistas/folia/vol16_n1/pdf/a09.pdf
 http://www.medicalnewstoday.com/articles/173259.php?page=2
 http://www.clinicadelaasuncion.com/wp-content/uploads/2015/03/15.Huesca.pdf
 http://www.medigraphic.com/pdfs/cirugiabucal/cb-2009/cb093e.pdf
 file:///C:/Users/Usuario/Downloads/Hemangioendotelioma%20(2).pdf
 file:///C:/Users/Usuario/Downloads/S0001651902783039_S300_es.pdf

Sarcoma de kaposi

  • 1.
  • 2.
    El sarcoma deKaposi (SK) es una neoplasia de células endoteliales linfáticas. Fue descrita por primera vez en 1872 en Viena por el dermatólogo húngaro Moritz Kaposi, bajo el nombre de “sarcoma múltiple pigmentado idiopático” también llamado angiosarcoma de Kaposi o sarcoma hemorrágico idiopático múltiple. http://articulos.sld.cu/saludeseltema /2015/12/02/sarcoma-de-kaposi-sk/ Afecta predominantemente a hombres homosexuales.
  • 3.
    Es principalmente asintomático,en la cavidad bucal aparece con mayor frecuencia en la encía, en La fotografía podemos observar el clásico SK, Como una agrupación de nódulos que forman una Tumoración maligna, la cual tiene la característica De que el paciente no presenta cuadro de dolor, Es de color rojo violáceo con algunas zonas mas Oscuras, presenta cuadro inflamatorio.
  • 5.
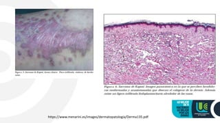
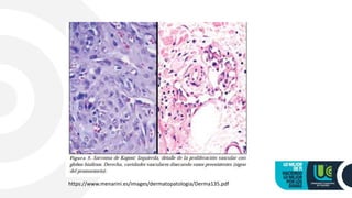
    Son numerosos losagentes infecciosos a los que se ha intentado atribuir el SK. En 1994, Chang y colaboradores descubrieron la presencia de ADN de un nuevo tipo de virus herpes en muestras cutáneas de SK, a partir de ese momento se ha descrito la presencia del virus herpes humano 8 (VHH-8). El virus que parece ser condición necesaria, pero no absoluta para el desarrollo de la enfermedad. El SK es originado por una proliferación excesiva de células fusiformes que se cree que provienen de las células endoteliales. una compleja desregulación inmune es el tema central de la patogénesis del SK. Esto incluye defectos de inmunidad celular, defectos de la inmunidad humoral y anomalías del factor de crecimiento endotelial vascular.
  • 6.
    Se han descrito hasta10 variantes diferentes de lesiones: Máculas Placas Nódulos linfadenopática exofítica infiltrativa equimótica telangiectásica queloidal y cavernosa o linfangiomatosa Las lesiones pueden variar de un tamaño pequeño hasta varios centímetros de diámetro. En su evolución pueden permanecer estables durante meses o crecer rápidamente y diseminarse
  • 7.
  • 8.
  • 9.
  • 10.
  • 11.
    Diversas lesiones oralesy periorales son comunes en pacientes infectados con el VIH, siendo el SK Oral una de las manifestaciones clínicas significativamente asociadas con pacientes hombres homosexuales, que se Encuentran con severo deterioro inmunológico La aparición enboca ocurre en un 4 - 8% de pacientes varones con SIDA. su presentación oral/perioral comprende el 50% ó Más de los pacientes con SK mucocutáneo. El SK oral se puede presentar como: -mácula -pápula -tumor Color rojo, azul o púrpura con o sin ulceración.
  • 12.
    su ubicación más frecuente: el paladar,la encía y el dorso de la lengua Las lesiones tumorales se inician como parches rojo-violáceos las dimensiones varían de pocos milímetros a varios centímetros Puede aparecer como una lesión única o múltiple para luego formar nódulos que asemejan hemangiomas o granulomas reactivos La progresión de las lesiones a estadios tumorales se asocia con aumento de la inmunosupresión.
  • 13.
  • 14.
     Terapia local, incluyendo cirugía.  Terapia de radiación  Quimioterapia  La terapia biológica
  • 15.
    INTRODUCCIÓN Se ha establecidoque el crecimiento, la progresión y las metástasis de los tumores sólidos, constituyen procesos dependientes de la angiogénesis (formación de nuevos vasos sanguíneos a partir de capilares preexistentes). En la mucosa bucal se producen diversas lesiones premalignas y malignas, las cuales se han empleado como un modelo de progresión tumoral. Se determinó la densidad vascular, como una medida de la respuesta angiogénica, en grupos de lesiones con diferentes grados de displasia y carcinomas espinocelulares
  • 16.
    El crecimiento delas neoplasias más allá de 1 a 2 mm requiere del riego sanguíneo, el cual aporta el oxígeno, los nutrientes y los factores de crecimiento requeridos por las células tumorales para la expansión del tumor. Esta teoría originalmente postulada por Judah Folkman, ha impulsado dramáticamente el estudio de la angiogénesis en el área oncológica en las últimas dos décadas. La angiogénesis es un proceso complejo en el que se encuentran implicados distintos tipos celulares (células tumorales, células endoteliales, macrófagos y otras. El aumento de la vascularización, como una medida de la respuesta angiogénica, posiblemente constituye un evento temprano en el desarrollo de la carcinogénesis bucal.
  • 17.
    ANGIOSARCOMA Los angiosarcomas decabeza y cuello afectan con mayor frecuencia el cuero cabelludo. Los de cavidad oral suponen el 1% del total (primarios o metastásicos). Dolorosos, sangrantes. Nódulos ovoides o redondos, rojizos o azulados. Rápido crecimiento con extensa afectación de partes blandas
  • 18.
    Afecta a pacientesmayores con mayor incidencia en varones. Muchos de los casos publicados se originan en la encía.
  • 19.
    DIAGNOSTICO DIFERENCIAL Hemangioma, granuloma pirógeno, sarcomade Kaposi, melanoma o metástasis de carcinoma Amplio espectro de diferenciación histológica.
  • 20.
    Tratamiento no estandarizado:Cirugía radical + radioterapia +/- quimioterapia. Fuerte tendencia a recurrir localmente y a producir metástasis a distancia. Pronóstico pobre: • El tamaño, la localización y el grado histológico puede que afecte a la supervivencia. • Mejor resultado con angiosarcomas de alto grado • Supervivencia del 12% a los 5 años
  • 21.
    El hemangioendotelioma epitelioidees una rara neoplasia vascular de tejidos blandos, descrita por Weiss y Enzinger. Es localmente agresivo, con un nivel intermedio o bajo potencial maligno y con crecimiento intermedio entre el hemangioma y un angiosarcoma. su localización más frecuente es el hígado, pulmón, páncreas, bazo y tejidos blandos; raramente se presenta en la cavidad oral, hueso y áreas de cabeza y cuello. Tiene preferencia por los adultos jóvenes HEMANGIOENDOTELIOMA EPITELIOIDE.
  • 22.
    Los síntomas varíandesde lesión ulcerada, lesión eritematosa, nódulo o masa rosada. La edad de presentación varía de 4 a 45 años, con predominio de 8:1 en mujeres. Se localizan sobre todo en mucosa gingival mandibular, presentando con frecuencia erosión ósea. SINTOMAS:
  • 23.
    Paciente femenino de39 años de edad, originaria de Veracruz y residente del Distrito Federal desde hace 20 años, antecedentes de bocio multinodular que requirió tratamiento con yodo radiactivo, condicionando hipotiroidismo en tratamiento con levotiroxina 100 µg cada 24 horas; alérgica a sulfas, miomatosis uterina de 3 meses de evolución, síndrome mielodisplásico de reciente diagnóstico; cuenta con TAC de abdomen en la cual se observan lesiones multifocales hepáticas y esplénicas compatibles con metástasis. Enviada a la consulta externa de cirugía maxilofacial por el Servicio de Hematología por presentar dolor preauricular bilateral con predominio derecho, involucrando músculos del cuello, limitación a la apertura bucal, discreto aumento de volumen de ángulo mandibular derecho CASO CLINÍCO
  • 24.
    Asimetría en tercioinferior derecho a expensas de tumoración a nivel de ángulo mandibular de aproximadamente 1 x 1 cm, doloroso a la palpación. Intraoralmente, apertura bucal de 1.5 cm, dentición completa, palidez de mucosa oral, semihidratada, aumento de volumen a nivel retromolar. EXPLORACION FISICA
  • 25.
    DIAGNOSTICO  Sesolicita TAC con reconstrucción 3D, en la cual se observa destrucción de cortical lingual y vestibular en ángulo y rama mandibular derecha.
  • 26.
     Se realizabiopsia incisional, bajo anestesia local con incisión en región retromolar inferior derecha, encontrando pérdida de cortical vestibular y lingual, tejido de tipo hamartomatoso, friable al manejo, múltiples fragmentos que en conjunto miden aproximadamente 3 x 2 cm
  • 27.
     se envíamuestra para estudio histopatológico para descartar malignidad. El estudio anatomopatológico revela tejidos blandos con infiltración por neoplasia fusocelular y epitelioide
  • 28.
     .Se realizaestudio inmunohistoquímico, con diagnóstico definitivo de hemangioendotelioma epitelioide
  • 29.
    TRATAMIENTO El tratamiento incluyeexcisión-amplia resección en bloque
  • 30.
     http://www.medigraphic.com/pdfs/actmed/am-2013/am131d.pdf  https://www.menarini.es/images/dermatopatologia/Derma135.pdf http://sisbib.unmsm.edu.pe/bvrevistas/folia/vol16_n1/pdf/a09.pdf  http://www.medicalnewstoday.com/articles/173259.php?page=2  http://www.clinicadelaasuncion.com/wp-content/uploads/2015/03/15.Huesca.pdf  http://www.medigraphic.com/pdfs/cirugiabucal/cb-2009/cb093e.pdf  file:///C:/Users/Usuario/Downloads/Hemangioendotelioma%20(2).pdf  file:///C:/Users/Usuario/Downloads/S0001651902783039_S300_es.pdf